Сфеноидит

Нужна дополнительная информация?
Нужна дополнительная информация?
Не нашли ответ на свой вопрос?
Нажимая на кнопку, вы даете согласие на обработку своих персональных данных Спасибо за обращение. Ваша заявка принята.
Наш специалист свяжется с Вами в ближайшее время
Сфеноидит — это заболевание воспалительного характера, возникающее в клиновидной пазухе. Клиновидная пазуха – это одна из придаточных пазух носа, которые выполняют воздухоносную функцию. Находится эта пазуха в теле клиновидной кости, которая образует центральную часть основания черепа. Нередко это заболевание сочетается с воспалением слизистой оболочки других пазух.
Симптомы сфеноидита
Основными признаками сфеноидита являются:
- сильная ноющая головная боль, которая локализуется в затылочной части или сдавливает голову по типу каски, при этом анальгетики не позволяют избавиться от боли; боль может усиливаться в ночное время, а также на ярком солнце и в жарких помещениях;
- дискомфорт в носоглотке (возникает из-за раздражения от постоянно стекающих слизисто-гнойных выделений);
- выделения из носа (необязательный симптом);
- ухудшение обоняния, субъективное ощущение неприятного запаха в носу пациентом;
- ухудшение зрения;
- слабость;
- повышение температуры;
- ухудшение памяти;
- бессонница;
- онемение, покалывание в конечностях.
Если у Вас наблюдаются подобные симптомы, советуем записаться на прием к врачу. Своевременная консультация предупредит негативные последствия для вашего здоровья. Телефон для записи +7 (495) 292-39-72
Причины сфеноидита
Сфеноидит вызывается теми же микроорганизмами, как и другие синуситы. К ним относят различные вирусы, анаэробные бактерии, грибы. В некоторых случаях причиной сфеноидита могут становиться опухоли, кисты, полипы, анатомическое строение костей, искривление носовой перегородки, травмы.
Сфеноидит может быть острым либо хроническим, развиваться с одной или обеих сторон. Хронический сфеноидит чаще всего возникает при не эффективном лечении предыдущих воспалений в других придаточных пазухах носа.
Диагностика сфеноидита в «СМ-Клиника»
Для того чтобы вылечить сфеноидит эффективно, необходимо пройти качественную диагностику. В нашей клинике работают отолариногологи, имеющие многолетний опыт диагностики и лечения заболеваний ЛОР-профиля. Все современные методики доступны нашим докторам, ведь они постоянно обмениваются опытом с зарубежными коллегами на профильных конференциях и семинарах.
Диагностика сфеноидита в нашем центре начинается с тщательного сбора анамнеза. После чего врач проведет осмотр носоглотки с помощью риноскопии и орофарингоскопии. Из-за анатомических особенностей расположения клиновидной кости, для полной оценки состояния ее пазух потребуются дополнительные исследования.
Рентгенологическое исследование проводится с контрастом. Контрастное вещество, введенное в пазухи, дает возможность тщательно исследовать изменения, появляющиеся при воспалительном процессе.
В «СМ-Клиника» Москвы также есть возможность провести компьютерную томографию и МРТ пазух.
Эти методы имеют большую информативность и позволяют оценивать состояние остальных пазух и частей лицевого черепа.
В нашей клинике врачи применяют комплексный подход к диагностике и терапии любых заболеваний. Именно поэтому, во время диагностики сфеноидита могут привлекаться специалисты других профилей – офтальмологи, невропатологи, эндокринологи.
Лечение сфеноидита в «СМ-Клиника»
После проведения диагностики врачи определят, как вылечить сфеноидит и избавить пациента от болезненных симптомов поскорее. Способы лечения этого заболевания зависят от причины, степени тяжести и характера течения.
При остром бактериальном сфеноидите пациенту назначат антибиотикотерапию, в сочетании с сосудосуживающими спреями, гипосенсибилизирующими препаратами, курсы промывания пазух. Такое лечение быстро убирает отек и воспаление слизистой.
Хронический сфеноидит чаще всего требует проведения хирургического вмешательства. Доступ к клиновидной пазухе осуществляется разными способами, они зависят от локализации воспаления, анатомических особенностей строения лицевого черепа.
Отоларингологи «СМ-Клиника» владеют щадящими эндоскопическими методиками лечения сфеноидита.
При эндоскопическом вскрытии пазухи создается широкое дренажное отверстие, что способствует исчезновению воспаления после удаления патологического содержимого.
Это малотравматичная манипуляция, которая имеет короткий восстановительный период. Поэтому, если вы сомневаетесь где лечить сфеноидит, можете быть уверены, что наша клиника окажется лучшим выбором.
Профилактика сфеноидита
Для профилактики сфеноидита необходимо вовремя лечить воспаления в других пазухах носа, верхних дыхательных путях, а также кариозные зубы. При необходимости следует устранить или исправить анатомические дефекты. Здоровый образ жизни также способствует профилактике такого заболевания как сфеноидит.
Уточнить стоимость любых процедур и записаться на консультацию к отоларингологу можно по телефону.
Наши преимущества:
Более 20 ведущих отоларингологов
Все специалисты в одной клинике
Передовое медицинское оборудование
Гарантия качества обслуживания
Хотите, мы Вам перезвоним?
Сфеноидит (синусит клиновидной пазухи): симптомы, диагностика, лечение | ЛОР Боклин А. К

- Как и любой синусит, сфеноидит может быть острым и хроническим.
- Типичным симптомом сфеноидита – головная боль, чаще не локализованная в затылочной области, глазнице, темени, висках.
- Диагноз ставится только после клинического обследования.
- Для лечения сфеноидита доступны различные методы, но предпочтительна эндоскопическая хирургия (сфенотомия).
Острая форма любого синусита, в том числе и сфеноидита (синусит клиновидной пазухи) обычно возникает в результате респираторных инфекций.
Параназальные пазухи вовлечены почти в каждый ринит или насморк. В 5-10% случаев возникает также бактериальный сфеноидит.
Записаться на консультацию
Что такое острый сфеноидит?
Параназальные пазухи – заполненные воздухом образования в черепе, которые связаны узкими проходами с полостью носа. К ним относятся верхнечелюстные, эмоидальные, лобные и клиновидные (сфеноидальные) пазухи. Они гораздо реже воспаляется чем, например, гайморова (верхнечелюстная) пазуха. Однако сфеноидит достаточно сильно подвержен хроническому течению заболевания.
В околоносовых пазухах образуются выделения и слизь, которые в норме поступают через соустья в носовую полость. Однако если эти проходы закупориваются отеком слизистой от простуды или от других причин, то отток отделяемого нарушается. Тогда существует опасность скопления бактериальной или вирусной инфекции в пазухах.
В 90% случаев сфеноидит является вирусным (грипп, ОРЗ и др.) и только в ходе продолжения заболевания бактерии присоединяются к этому процессу (бактериальная суперинфекция).
Что такое хронический сфеноидит?
Если сфеноидит длится более 12 недель, его называют хроническим, что затрудняет его лечение обычными нехирургическими методами.
Какие симптомы вызывает сфеноидит?
- Острая головная боль, особенно при ее наклоне.
- При сфеноидите боль, чаще не локализованная, а разлитая и ощущается в затылочной области, глазнице, темени, висках.
- Лихорадка, плоть до высоких цифр (39 оC).
- Заложенность носа – не во всех случаях.
- Накопление выделений и слизи в области носоглотки (часто гнойных).
- Ощущение неприятного запаха и привкуса.
Сфеноидит чаще сочетается с гайморитом и фронтитом.
Одиночная локализация встречается достаточно редко.
Какие осложнения сфеноидита?
Если воспалительный процесс не проходит из-за отсутствия или неправильного лечения, то инфекция мигрирует в рядом расположенные отделы. Впоследствии из-за этого может возникнуть менингит, энцефалит (скопление гноя в мозговых оболочках), абсцессы и тромбоз сосудов головного мозга. Другие осложнения включают ухудшение зрения, вплоть до необратимой слепоты.
Как врач диагностирует сфеноидит?
ЛОР-врач после предварительного осмотра и опроса пациента, проводит клиническое обследование с помощью назальной эндоскопии. С помощью эндоскопии можно обнаружить воспалительные (гнойные) очаги в околоносовых пазухах.
Эта так называемая «эндоскопия» не является болезненной, но может быть дискомфортной. Чтобы избежать этого, полость носа предварительно обрабатывают местным анестетиком.
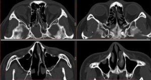
Для диагностики сфеноидита необходимо выполнение Компьютерной томографии (КТ) пазух носа.
Записаться на консультацию
Как лечится сфеноидит?
Существует два варианта лечения сфеноидита:
- Медикаментозный.
- Хирургический.
Медикаментозное лечение
Обезболивающие препараты, такие как парацетамол или ибупрофен, подходят для лечения острой боли.
Противоотечные средства, такие как ксилометазолин, псевдоэфедрин или фенилэфрин в форме капель для носа или спреев для носа, способствуют дренажу секрета из околоносовых пазух и клиновидной в том числе.
Кортикостероиды (кортизон), такие как мометазон или флутиказон, могут использоваться в качестве назального спрея.
Если симптомы не проходят более 10 дней, и они усиливаются, или наблюдается высокая температура, это свидетельствует о присоединении бактериальной инфекции. Тогда врачом назначается терапия антибиотиками.
Хирургическое лечение
В случае если медикаментозное лечение не помогает, тогда назначается хирургическое лечение. Наиболее эффективным методом является эндоскопическая сфенотомия – это минимально травматическое воздействие с низким риском осложнений. Так же эта процедура позволяет в более короткие сроки восстановиться пациенту, выписка из стационара обычно происходит через сутки после операции.
Записаться на консультацию
Симптомы
Клинические признаки сфеноидита зависят от характера течения заболевания, т.е. это хронический сфеноидит или острый. Если это первичное острое воспаление, то на первый план выходят проявления простудного заболевания, поэтому человек даже не догадывается, что развивается поражение клиновидной пазухи. В это время его беспокоят:
- Заложенность носовых ходов, невозможность свободного дыхания;
- Постоянные выделения слизистого или слизисто-гнойного характера;
- Подъем температуры и другие проявления интоксикации, особенно ярко выраженные при вирусной природе простуды (слабость, боли в мышцах и суставах, головная боль и т.д.).
Если врач осмотрит носовые ходы, то он увидит, что они отечные и покрасневшие. На данном этапе никаких других признаков сфеноидита он не увидит.
Но если присоединяется бактериальная флора, то симптоматика становится более выраженной, поэтому специалист уже может, даже основываясь на ней, выставить предварительный диагноз.
Острый сфеноидит на данном этапе будет проявляться следующими признаками:
- Боли в области затылка, которые усиливаются преимущественно в утреннее время;
- Выраженность боли уже не зависит от приема сосудосуживающих капель, которые эффективны только при изолированном рините;
- Умеренно повышенная температура тела, которая обычно не переходит за отметку 38°С;
- Нарастает заложенность носа, выраженная со стороны воспаленной пазухи ;
- Выделения из носа становятся уже не слизистыми, а гнойными. Но их может и не быть, если блокировано выводное отверстие клиновидной пазухи. В этом случае человека беспокоит мучительная головная боль, которая не купируется даже приемом анальгетиков или уменьшается всего лишь на некоторое время.
Такой сфеноидит у ребенка или взрослого отоларинголог подтверждает при осмотре задней стенки глотки. Если диагноз правомочен, то на ее поверхности определяется умеренное или обильное количество патологических выделений (слизисто-гнойных или гнойных).
Хронический сфеноидит по проявлениям напоминает острый только в период обострения, но при этом симптоматика может быть менее выраженной. В последнее время участились случаи вялотекущего воспаления в клиновидной пазухе, которые протекают без повышения температуры и выраженного болевого синдрома. Заподозрить такой сфеноидит симптомы следующего характера помогают:
- Постоянно или периодически беспокоящие выделения из носовой полости;
- Заложенность носового дыхания, которая может присутствовать только какое-то время или постоянно;
- Дискомфорт в области затылка.
Диагностика
Клинически заподозренный сфеноидит, симптомы которого заставили человека обратиться за медицинской помощью – это показание для детального обследования пациента. Если вы хотите установить точный диагноз и определить причину этого состояния, то обращайтесь в Ниармедик. На это есть 3 веских аргумента:
- Оснащенность новейшим инструментальным оборудование для диагностики и лечения.
- Высокая квалификация врачей, которые регулярно повышают уровень своих медицинских знаний и практических умений, чтобы внедрять самые инновационные методы помощи пациентам, страдающим сфеноидитом.
- Чуткое и внимательное отношение к обратившемуся человеку, которое вселяет ему веру в возможность полного излечения и восстановления полноценной жизни.
Если у врачей центров Ниармедик есть подозрение на сфеноидит, диагностика в обязательном порядке включает проведение:
- Передней и задней риноскопии (соответственно, осмотра передних отделов носовой полости и задних);
- Эндоскопического обследования носовой полости и носоглотки. Для этого используют специальные приборы, оснащенные на конце видеокамерой. Изображение под увеличением выводится на экран, поэтому врач может детально рассмотреть строение этих анатомических образований.
Рентгенография черепа – еще один метод диагностики, который позволяет уточнить, есть или нет сфеноидит. Особенно высока ее диагностическая ценность при экссудативной форме воспаления, когда обнаруживается уровень жидкости в пазухе.
Нередко, особенно при хроническом течении, врачи прибегают к проведению компьютерной томографии. С ее помощью удается послойно оценить строение носа и придаточных его пазух. Главное преимущество этого метода – это возможность определить размер соустий, который влияет на частоту рецидивов заболевания и отражается на тактике лечения.
Сфеноидит, лечение которого предполагает использование противомикробных препаратов, в обязательном порядке предполагает микробиологическое обследование. Оно поможет идентифицировать возбудителя, а также определить его чувствительность к антибиотикам (противогрибковым средствам и т.д.).
Осложнения
Осложнения сфеноидита определяются соседством клиновидной пазухи с важными образованиями, которые могут вторично вовлекаться в воспалительный процесс. Рядом располагаются:
- Сонные артерии и вены;
- Гипофиз – важная эндокринная железа и нервный центр регуляции многих процессов;
- Глазничные нервы;
- Участки головного мозга, расположенные в области основания черепа.
Лечение в Ниармедик
Лечение сфеноидита в Ниармедик проводится с учетом индивидуальный особенностей пациента и характера воспалительного процесса. При остром и обострении хронического заболевания преимущественно показана консервативная терапия, которая включает в себя 3 направления:
- Антибактериальное (при доказанной причинной роли бактерий);
- Противовоспалительное;
- Сосудосуживающее и муколитическое (для создания оттока воспалительной жидкости из пазухи).
Консервативному лечению не подлежит полипозный сфеноидит. Операция направлена на иссечение патологических разрастаний. Врачи Ниармедик используют для ее проведения эндоназальный доступ (через носовые ходы), поэтому она малотравматична и не оставляет видимых следов.
Лечите сфеноидит правильно с Ниармедик!
Сфеноидит – симптомы и лечение, фото, антибиотики

Из этой статьи Вы узнаете:
- что такое сфеноидит,
- по каким признакам ставится диагноз,
- сфеноидит: симптомы и лечение.
Сфеноидит – это воспаление клиновидных пазух, которые являются одними из четырех пар придаточных пазух носа. Изолированный сфеноидит встречается крайне редко (в 1-2% от всех случаев острых и хронических синуситов). Чаще всего сфеноидит возникает как следствие воспаления в расположенных рядом решетчатых пазухах, которое носит название «этмоидит».
Сфеноидит: фото
Сфеноидит является самым опасным воспалением пазух, если сравнивать его с последствиями воспаления других придаточных пазух носа. Клиновидные пазухи находятся у основания черепа, и гнойное воспаление этих пазух чрезвычайно быстро прогрессирует и вызывает тяжелейшие осложнения.
Сфеноидит: причины
Предрасполагающие факторы для IS включает силовое попадания воды в нос во время купания и подводного плавания, аллергический ринит, полипы синоназального, бронхиальная астма, перегородки отклонение, средний / превосходные раковины аномалии, лучевой терапии, иммуносупрессии, сахарный диабет и злоупотребления кокаином.
- Острые и хронические воспалительные заболевания носа и горла – к ним относятся: острый и хронический ринит бактериальной, вирусной или аллергической природы, искривление носовой перегородки, хроническая заложенность носа, полипы и опухоли в носовых ходах, аденоиды.Воспаление близлежащих образований, также может привести к сфеноидиту: → этмоидит (воспаление решетчатых пазух носа), → гайморит (воспаление гайморых пазух носа), → фронтит (воспаление лобных пазух носа), → тонзиллит.
- Плавание – попадания воды в нос во время купания и подводного плавания в некоторых случаях также может приводить к развитию сфеноидита. По статистике эта причина составляет около 10% всех случаев сфеноидита (24stoma.ru)
Сфеноидит: симптомы
Сфеноидит практически не имеет каких-либо «оригинальных» симптомов, поэтому диагностика этого заболевания достаточно сложна. Чаще всего пациентов могут беспокоить следующие симптомы –
- головные боли (особенно в затылке, темени, висках, рядом с глазами),
- насморк,
- затуманенное зрение (возможно),
- повышенная температура, выраженная слабость, быстрая утомляемость,
- боли в разных участках лица,
- слизисто-гнойные выделения из носа,
- стекание слизи и гноя по задней стенке горла.
Как диагностируется сфеноидит –
Несомненно жалобы пациентов (симптомы) имеют значение при постановке правильного диагноза, однако, поставить окончательный диагноз «сфеноидит» можно, только полагаясь на дополнительные методы обследования.
К дополнительным методам относится, например, носовая эндоскопия. Тем не менее, одной только эндоскопии носа также недостаточно, т.к. примерно в 50-60% случаев эндоскопия не выявляет ничего патологического. Обычная рентгенография черепа мало информативна и, как правило, бесполезна.
Единственными методами, которые наверняка могут определить сфеноидит, являются компьютерная томография (КТ) или магнитно-резонансная томография (МРТ) –
Сфеноидит: лечение
Острый и хронический сфеноидит лечение проводится у Лор-врача. Если симптоматика умеренная и нет признаков осложнений – проводится консервативная терапия. Если же воспаление тяжелое и есть симптомы осложнений, или консервативная терапия не приносит успеха – решается роль о проведении хирургической операции.
Основные направления консервативной терапии: во-первых – снять заложенность носа, устранить отек слизистой оболочки носа и улучшить отхождение воспалительного экссудата из клиновидных пазух при помощи спреев от насморка, во-вторых – это антибиотикотерапия (возможно также применение кортикостероидов).
Рекомендуемые спреи от насморка – обычные сосудосуживающие капли от насморка при любых синуситах нельзя использовать более 2 или 3 дней. Причина этого в том, что традиционные компоненты спреев через 2-3 дня перестают эффективно действовать, к ним развивается привыкание, и они постепенно начинают оказывать противоположные эффекты.
https://youtube.com/watch?v=Wl6YD6xeGnM
При сфеноидите оптимально использовать следующие средства от насморка:
- Спрей «Ринофлуимуцил» (Италия, стоимость от 250 руб) – активные компоненты спрея снижают выделение гноя и слизи, улучшают их отхождение, а также снижают заложенность носа за счет уменьшения отека слизистой оболочки носа. Ринофлуимуцил также хорошо сочетается с препаратами «Синуфорте» и «Синупрет», которые ускоряют очищение пазух от гноя и слизи.
- Спрей «Назонекс» (Бельгия, от 500 руб) – содержит низкую дозировку глюкокортикоидов, что позволяет хорошо снимать отечность слизистой оболочки носа и заложенность носа. Этот спрей один из немногих можно применять курсами по 2-3 месяца, что особенно важно, если требуется длительное лечение, и особенно, если причина воспаления – аллергический ринит. Назонекс также хорошо сочетается с препаратами, описанными ниже.
Препараты, ускоряющие очищение пазух от гноя и слизи – растительные компоненты этих препаратов стимулируют функцию мерцательного эпителия на поверхности слизистой оболочки, что приводит к более быстрому очищению пазух (которые выстланы из нутри слизистой оболочкой и сообщаются через небольшие отверстия с полостью носа) от накапливающихся в пазухах слизи и гноя.
- Драже или капли «Синупрет» (Германия) – активные компоненты растительного происхождения обладают противовоспалительным действием, а также облегчают эвакуацию гноя и слизи из пазух. Препарат выпускается известной европейской фармкомпанией «Bionorica». Цена около 350 руб.
- Капли для носа «Синуфорте» (Испания) – препарат выпускается на основе экстракта одного из лекарственных растений. Способствует очищению пазух, как и предыдущий препарат. Стоимость составит от 2300 руб.
Антибиотики при сфеноидите –
В зависимости от тяжести воспаления антибиотики могут назначаться внутрь, либо внутривенно. Наиболее оптимальным выбором антибиотика при сфеноидите считается Амоксициллин в комбинации с Клавулановой кислотой. Препараты, содержащие такое сочетание, например: «Амоксиклав» или «Аугументин».
При непереносимости антибиотиков группы пенициллинов или при недостаточности эффекта могут быть назначены антибиотики группы макролидов (например, Азитромицин» или «Кларитромицин»), а также группы фторхинолонов (например, «Ципрофлоксацин»).
Хирургическое лечение сфеноидита –
Если консервативная терапия оказалась неэффективной, или на момент обращения пациента уже есть симптомы тяжелых гнойных осложнений – проводится срочная хирургическая операция при помощи эндоскопа и микро-хирургических инструментов (с доступом через носовые ходы). Надеемся, что наша статья на тему: Сфеноидит симптомы и лечение – оказалась Вам полезной!
Источники:
1. Высшее проф. образование автора по хирургической стоматологии, 2. На основе личного опыта в челюстно-лицевой хирургии и хирургической стоматологии,
3. National Library of Medicine (USA),
4. «Руководство по челюстно-лицевой хирургии» (Тимофеев А.А.),
5. «Хирургическая стоматология и челюстно-лицевая хирургия» (Кулаков А.).
Портал «24stoma» создан нами в 2011 году – в качестве информационного ресурса для пациентов. Вы можете быть полностью уверены в достоверности медицинской информации на нашем сайте, т.к.
все статьи написаны опытными практикующими врачами.
Наша экспертность подтверждена рекомендациями «Стоматологической Ассоциации России» (СтАР), специалисты которой присвоили нашему сайту официальный статус – «Информационный портал, аккредитованный при СтАР».
Наш информационный портал также прошел сертификацию специалистами международной медицинской организации «Health on the Net Foundation» (HON), которая является партнером Всемирной Организации Здравоохранения (ВОЗ).
Наличие подобного сертификата у медицинских сайтов – также является одним из критериев достоверности медицинской информации, и того, что все статьи написаны не студентами или копирайтерами, а практикующими врачами с документально подтвержденным медицинским образованием.
Информация о составе редакции –
Главный редактор и учредитель: Каменских Кирилл Валерьевич (высшее медицинское образование по специальности «Стоматология», действующие сертификаты по хирургической стоматологии и челюстно-лицевой хирургии + дополнительное профессиональное образование в области эстетической косметологии – по мезотерапии, применению ботулотоксинов, контурной пластике лица, а также по нитевому лифтингу). Вся информация на сайте является оригинальной и написана редактором сайта.
Профиль редактора в Instagram
Профиль редактора в
Подробная информация об образовании – 1977 года рождения, 43 года. В 1999 году закончил стоматологический факультет Омской государственной медицинской академии (ОГМА).
Получен диплом врача по специальности «Стоматология» (рис.2). С 1999 по 2000 год пройдена интернатура по хирургической стоматологии в челюстно-лицевом отделении Курганской обл.больницы (рис.3).
С 2000 года – хирург-стоматолог.
В 2002 году – повышение квалификации «Практическая пародонтология» в Волгоградской медицинской академии (рис.4). В 2006 году – повышение квалификации «Стоматология терапевтическая» в Смоленской медицинской академии (рис.5).
Основной опыт работы – оперативная пародонтология (лоскутные операции, кюретаж), амбулаторная хирургия, имплантология.
Прошел годовую стажировку в челюстно-лицевом отделении при Московском областном научно-исследовательском клиническом институте (МОНИКИ).
В 2018-2019 году пройдено несколько курсов повышения квалификации в сфере эстетической косметологии: 1) по применению ботулотоксина типа А, например, Ботокса, Диспорта, Ксеомина и т.д.
, 2) несколько курсов по нехирургическому инъекционному лифтингу мягких тканей лица, т.е. контурной пластике, 3) по мезотерапии лица и тела, биоревитализации лица.
Обучение пройдено в крупных косметологических компаниях, получены удостоверения о повышении квалификации государственного образца (фото сертификатов размещены ниже).
Документы об образовании врача-стоматолога –
Все документы об образовании государственного образца, принадлежащие главному редактору портала Каменских К.В., имеют регистрационный номер, действительность которого легко проверяется.
Рис.1-3 – диплом врача по специальности «Стоматология» + действующие сертификаты по хирургической стоматологии и челюстно-лицевой хирургии. Диплом врача-стоматолога выдан Омской государственной медицинской академией (ОГМА). В настоящее время ВУЗ называется – Омский государственный медицинский университет (ОмГМУ).
Рис.4 – Свидетельство об окончании интернатуры «Стоматология хирургическая». Интернатура пройдена в челюстно-лицевом отделении Курганской областной больницы (ГБУ «КОКБ»).
Рис.5 – Свидетельство о повышении квалификации «Практическая пародонтология» при Волгоградской медицинской академии (ВолГМА). В настоящее время ВУЗ называется – Волгоградский государственный медицинский университет (ВолгГМУ).
Рис.6 – Диплом о дополнительном образовании «Стоматология терапевтическая». Получен при Смоленской гос. медакадемии (СмолГМА). В настоящее время ВУЗ называется – Смоленский государственный медицинский университет (СГМУ). Документ дает право работать стоматологом-терапевтом:
Рис.7 – Сертификат о дополнительном образовании по имплантологии. Учебный центр «Северная Синица» (Санкт-Петербург). Пройдено индивидуальное обучение у врача-имплантолога, кандидата медицинских наук Караскуа А.А.:
Доп. образование по косметологии –
Прохождение некоторых курсов по косметологии подтверждено удостоверениями государственного образца (наличие такого свидетельства говорит о том, что содержание данного курса было одобрено Министерствами Здравоохранения и Образования РФ), часть других – подтверждается наличием коммерческих сертификатов. Ниже мы приводим только самые основные документы, т.к. их достаточно много.
Доказательства нашей экспертности –
Как мы сказали выше – наш портал имеет аккредитацию «Стоматологической Ассоциации России» (СтАР) и ассоциации «Health on the Net Foundation». Уже только это может свидетельствовать о том, что мы являемся экспертами.
Помимо этих профессиональных медицинских ассоциаций нас рекомендуют государственные медицинские вузы при Министерствах Здравоохранения России и Украины – в качестве учебного ресурса для студентов-стоматологов.
Ссылки на документы:
- Национальный медицинский университет имени А.А.Богомольца МЗ Украины (ссылка на документ).
Наши статьи используются в материалах научных конференций –
Ниже мы приводим краткий перечень научно-практических конференций по стоматологии, в которых используются наши публикации.
Мы серьезно относимся к нашей работе, поэтому наш информационный ресурс имеет государственную регистрацию юридического лица. Кроме того, просим вас внимательно отнестись к копированию материалов нашего сайта, т.к. товарный знак 24stoma® зарегистрирован Федеральной службой по интеллектуальной собственности № 664752 от 30.07.18 г. Правообладатель товарного знака – ООО «Стоматология Онлайн».
Будучи профессиональными медицинскими специалистами – мы публикуем только актуальную информацию, в объективности которой мы уверены. Мы дорожим своей репутацией и не публикуем рекламных материалов под видом статей. Мы надеемся, что наш опыт и профессионализм будут вам полезны. С уважением, главный редактор Каменских Кирилл Валерьевич.
Симптомы, причины и лечение Сфеноидита

Сфеноидит как заболевание — это воспалительный процесс, локализованный на слизистой оболочке клиновидной пазухи. Часто такое поражение бывает не изолированным, а в сочетании с другими синуситами – этмоидитом (воспаление решётчатой пазухи).
Особенности анатомии
Анатомическое расположение клиновидного синуса таково, что он находится в толще кости. Эта кость — клиновидная — расположена в глубине полости черепа. Клиновидный синус через отверстие на его передней стенке имеет сообщение с носоглоткой.
Важно! Рядом с пазухой расположены важные анатомические образования:
- перекрест зрительных нервов;
- черепно-мозговые нервы — тройничный, лицевой;
- оболочки мозга.
Причины заболевания
Острый сфеноидит по своей сути заболевание вторичное. Он развивается на фоне перенесенных или текущих респираторных заболеваний и ангин. Непосредственная причина — инфекция попадает в этот синус из носоглотки, ротоглотки, других пазух.
Поэтому возбудителями заболевания становятся все те микроорганизмы, которые вызвали первичное заболевание:
- респираторные вирусы — грипп, парагрипп, РС-вирус, аденовирус;
- бактерии — стафилококки, стрептококки;
- грибки — кандида.
Есть также предрасполагающие факторы, при наличии которых риск развития сфеноидита возрастает:
- стеноз отверстия пазухи;
- аномалии развития клиновидного синуса;
- снижение общего и местного иммунитета;
- патологические процессы в носовых ходах и носовой перегородке;
- гиперпластические процессы пазухи — кисты, полипы, опухоли;
- нахождение в полости синуса инородного тела;
- механические травмы пазухи.
Патогенез заболевания
- Инфекционный агент губительно действует на клетки слизистой.
- Формируется воспалительный катаральный процесс.
- Сочетание инфекции и предрасполагающих факторов усугубляет состояние.
- Слизистая становится отечной и перекрывает отверстие синуса. В этих условиях происходит бурное размножение микроорганизмов — прямая причина синусита.
- Постепенно гной заполняет всю полость клиновидного синуса.
Классификация сфеноидитов
Сфеноидиты относятся к двум большим группам, в каждой из которых выделяются подвиды.
Группы:
- сопровождающиеся выделением жидкости — экссудативные;
- сопровождающиеся разрастанием слизистой — гиперпластические.
Подвиды первой группы:
- катаральный сфеноидит;
- серозный сфеноидит;
- гнойный сфеноидит.
Подвиды второй группы:
- полипозный;
- гнойно-полипозный.
Острый сфеноидит
- выраженная интоксикация;
- болевой синдром — головная боль, боль в глазных яблоках;
- свежий гной на задней стенке глотки.
Хронический сфеноидит
Хронический процесс характеризуется:
- атрофией слизистой оболочки носоглотки, образованием на ней трудноудаляемых корок;
- если воспаление затрагивает близкорасположенную хиазму — перекрест зрительных нервов — появляются жалобы на такое ухудшение зрения: нарушение движения глаз, опущение век, слезотечение;
- при затрагивании черепно-мозговых нервов появляются характерные симптомы — боль в лице, паралич половины лица, опущение века, ухудшение слуха.
Клиновидная пазуха в медицинской литературе описывается как «немая» или «забытый синус». Это связано с её расположением — она находится в толще клиновидной кости, которая расположена в глубине черепа.
https://youtube.com/watch?v=uyx_X-ft4k8
Особые симптомы
- нарушение аппетита как проявление интоксикации;
- изменения сна — ночью бессонница, днём сонливость;
- кожные парестезии — мурашки, онемение.
Эти признаки характерны для хронического течения.
Диагностика заболевания
Постановка диагноза основывается на:
- характерных жалобах пациента;
- данные визуального осмотра для диагностики малозначимы, поскольку клиновидная пазуха недоступна ни риноскопии, ни фарингоскопии;
- информативнее других методов обнаруживают сфеноидит компьютерная или магнитно-резонансная томография;
- при недоступности КТ и МРТ выполняется рентгенологическая диагностика;
- имеет место такой метод, как диагностическая пункция с исследованием содержимого пазухи.
КТ — исследование пазухи с помощью рентгеновского излучения. КТ позволяет выявить аномалии синуса, степень поражения слизистой. При исследовании с помощью КТ определяется уровень гноя в пазухе.
Ещё более информативным методом диагностики является МРТ — она выявляет послойные поражения, которые могут быть не замечены на КТ.
Лечебные приемы
Лечение любого синусита — процесс комплексный и сложный. В случае сфеноидита, особенно хронического, он становится ещё сложнее, потому что пазуха эта труднодоступна для лечебных манипуляций.
Основной задачей лечебного процесса является устранение причины — инфекции. Так как подавляющее большинство сфеноидитов вызвано бактериальной флорой, для лечения симптомов используются антибактериальные препараты с широким спектром действия:
- пенициллины – «Амоксиклав», «Флемоксин»;
- цефалоспорины – «Цефтриаксон», «Цефепим»;
- макролиды – «Азитромицин».
При легких формах заболевания такие препараты принимают внутрь в таблетированной форме. При тяжелом течении лечить нужно серьезнее — назначаются внутримышечные инъекции.
Все остальные лекарственные средства оказывают симптоматическое и патогенетическое действие:
- лечение сфеноидита гормональными средствами — выраженный противовоспалительный и противоотечный эффект («Назонекс», «Авамис», «Дезринит»);
- сосудосуживающие средства — противоотечный эффект, освобождают носовое дыхание («Ксилен», «Тизин», «Отривин»);
- нестероидные противовоспалительные средства — устранение воспалительного процесса, снижение температуры тела, обезболивание («Нурофен», «Панадол», «Кетопрофен»);
- антигистаминные средства — устранение отека и заложенности носа («Зиртек», «Кларитин», «Зодак»);
- средства для стимуляции иммунитета («Иммунал», «Ликопид», «Бронхо-мунал»);
- гомеопатические средства («Синупрет», «Синуфорте»).
Положительный эффект при сфеноидите оказывают методы физиотерапии:
- назальный электрофорез с лекарственными средствами;
- ультрафиолетовое облучение пазухи через носовые ходы;
- магнит на область пазухи.
Если консервативная терапия не даёт должного эффекта и состояние пациента ухудшается, применяется хирургическое лечение.
Хирургическое вмешательство
- Хирургами используется эндоскопическая методика операции. Доступ к клиновидному синусу осуществляется через глазницы и носовые ходы. С помощью эндоскопа очищается полость синуса и удаляется все лишнее — некротизированная слизистая, полипы, кисты.
- Катетеризация. Через носовые ходы в полость синуса вводится катетер, с помощью которого промывается полость пазухи.
Профилактика
Профилактические мероприятия заключаются в:
- полноценном лечении респираторных заболеваний;
- поддержании хорошего иммунитета;
- избегании в период эпидемий мест скопления людей;
- периодической санации пазух с помощью специальных растворов – «Аквамариса», «Физиомера», «Аквалора», «Маримера».
Народная медицина
Сфеноидит — не то заболевание, которое нужно пытаться лечить самостоятельно, в домашних условиях, используя приёмы народной медицины.
Слишком серьёзные осложнения могут развиться из-за неправильного лечения хронического воспаления клиновидного синуса.
Методы народной медицины в домашних условиях можно применять только в качестве дополнительного лечения и только после консультации специалиста.
Прогноз при сфеноидите
Прогноз заболевания зависит от своевременности диагностики и лечения. Сразу же проведенное лечение и операция позволят устранить патологический процесс и добиться полного выздоровления. Если же пациент не обращается за медицинской помощью и не начинает лечить болезнь, сфеноидит переходит в хроническую форму и развиваются осложнения.
Особенности образа жизни
Лечение сфеноидита во время острого процесса требует от пациента соблюдения особых правил:
- немаловажно соблюдать правильное питание и питьевой режим;
- процедуры, направленные на регулярное очищение носоглотки от слизи и гноя;
- мероприятия по повышению резистентности организма.
Питание
Вырабатывается четкий режим приёма пищи — в одни и те же часы, небольшими порциями, пять раз в день.
https://youtube.com/watch?v=ABy8Dytfo60
Из рациона исключаются продукты, которые способствуют возникновению аллергии. Аллергический процесс в организме вызывает отек в слизистых, в том числе и слизистой клиновидной пазухи.
Полезными продуктами являются те, которые способствуют повышению резистентности организма. Такие продукты должны содержать:
- витамины;
- белки, жиры и углеводы;
- минеральные вещества;
- пробиотики — бифидо- и лактобактерии.
Острый сфеноидит требует ограничивать приём жидкости, чтобы не увеличивать отек слизистой и симптомы нарушения дыхания.
Очищение носоглотки
Необходимо для ускорения выздоровления и направлено против присоединения вторичной микробной флоры. Осуществляется промывными растворами:
- «Аквамарисом»;
- «Аквалором»;
- «Физиомером»;
- «Маримером»;
- «Линаквой».
Закаливание
Включает мероприятия, направленные на повышение резистентности организма:
- контрастный душ;
- холодные обливания;
- гимнастические занятия на свежем воздухе.
Сфеноидит- заболевание не из простых. Оно требует своевременной диагностики, несмотря на малое количество специфических симптомов. Процесс часто приобретает хронический характер и требует длительного лечения, иногда и повторных операций.



