Сфеноидит — что это такое, симптомы и лечение у взрослых, хронический сфеноэтмоидит, признаки, темпорально-сфеноидальная линия, воспаление

Сфеноидит – очень опасное воспаление клиновидных пазух. Из всех синуситов данная болезнь – самая сложная, так как может иметь необратимые последствия. Клиновидные пазухи находятся у основания черепа, их гнойное воспаление чрезвычайно быстро прогрессирует и вызывает тяжелейшие осложнения. Как диагностировать и лечить сфеноидит?
Сфеноидит – определение заболевания
Сфеноидитом медики именуют воспаление слизистой оболочки клиновидной пазухи. По сути, это заболевание является разновидностью синусита, который объединяет разные воспалительные процессы в околоносовых пазухах.
У человека имеется несколько пазух. Клиновидная, являющаяся основной, располагается глубоко в полости носа и граничит с такими важными составляющими организма человека, как гипофиз, сонные артерии, основание черепа, глазные нервы. Разумеется, такое «соседство» может грозить серьёзными осложнениями.
К счастью, сфеноидит встречается редко, чаще у человека поражаются верхнечелюстные пазухи и решётчатый лабиринт (гайморит, этмоидит). Вместе с тем при небольшой распространённости большая часть сфеноидитов переходит в хроническую форму, плохо поддаётся лечению медикаментами и требуют хирургического вмешательства.
У человека имеются две клиновидных пазухи, разделённых перегородкой, поэтому заболевание может быть односторонним или двусторонним.
Причины возникновения
Развитие сфеноидита происходит вследствие поражения слизистой оболочки бактериями, вирусами или грибками.
Любое простудное заболевание вызывает воспаление во всех околоносовых пазухах, в том числе и клиновидной. Однако воспалительный процесс обычно проходит в течение 1-2 недель.
Бактериальный сфеноидит развивается в определённых условиях. Основными факторами, предрасполагающими к возникновению болезни являются:
- Узость или полное отсутствие соустья – выводного отверстия клиновидной пазухи.
- Наличие кисты или полипа в клиновидной пазухе, блокирующей соустье.
- Искривления носовой перегородки в заднем или верхнем её отделе, которые препятствуют достаточной проходимости в соустье пазухи.
- Попадание в пазуху инородных тел при резком вдохе.
- Дополнительные перегородки в клиновидной пазухе.
- Недостаточный размер клиновидной пазухи.
- Опухоли в клиновидной пазухе.
Попадание воды в нос во время купания и подводного плавания также может привести к развитию сфеноидита. По статистике данная причина составляет около 10% всех случаев сфеноидита.
На практике медики чаще всего сталкиваются с сочетанием одной или более причин возникновения сфеноидита. Их устранение в подавляющем большинстве случаев приводит к выздоровлению. Заразен ли тонзиллит, узнайте в данном материале.
Симптомы и первые признаки хронического, острого и катарального сфеноидита
Сфеноидит может быть острым и хроническим.
Острый форма, в зависимости от характера воспаления, может быть катаральной или гнойной. Ведущими симптомами острой формы сфеноидита являются:
- Головные боли, локализованные, главным образом, в затылочной, реже – в лобной, теменной или височной частях головы;
- Обильные слизисто-гнойные или гнойные выделения из носа;
- Нарушение обоняния, постоянное ощущение неприятного запаха гнили;
- Повышение температуры тела;
- Общая слабость;
- Утомляемость.
При отсутствии лечения возможен переход воспалительного процесса на близлежащие органы с развитием менингита, абсцесса мозга, неврита зрительного нерва.
Хронический сфеноидит, как правило, протекает без ярко выраженной симптоматики. Больного беспокоит ноющая или тупая боль в затылочной области.
Если боль – единственная жалоба пациента, то не каждый врач подумает о воспалении клиновидной пазухи, поэтому бывают случаи, когда больной годами наблюдается у терапевта или невролога и получает лечение, не приносящее результата. Причины, симптомы, лечение и профилактика гайморита описаны здесь.
Помимо боли в затылке, человек, страдающий хроническим сфеноидитом, может ощущать постоянный дискомфорт в носоглотке, неприятный запах или привкус гнили во рту. Это объясняется тем, что гнойное отделяемое из клиновидных пазух через соустья выходит в обонятельную часть носовой полости, откуда стекает вниз по задней стенке глотки.
Если в патологический процесс вовлекается зрительный нерв, то на это указывают расстройства зрения.
Например, может наблюдаться небольшое снижение остроты зрения, ограничение полей зрения, периодически возникающее двоение в глазах.
Хронический сфеноидит – это воспалительный процесс, поэтому в случае длительного его течения появляются и постепенно нарастают симптомы интоксикации организма. Это могут быть:
- Чувство недомогания;
- Некоторая сонливость;
- Слабость;
- Плохой аппетит.
Данные симптомы постоянно сопровождают больного, с годами усугубляясь всё больше.
Возможные осложнения
Помимо боли и общего ухудшения самочувствия, воспаление клиновидной пазухи может привести к развитию таких тяжёлых заболеваний, как:
- Арахноидит;
- Менингит;
- Неврит зрительного нерва;
- Флегмона орбиты глаза;
- Абсцесс мозга и др.
Эти патологические состояния способны привести к инвалидности и даже летальному исходу.
Диагностика
Основными диагностическими методами определения сфеноидита у взрослых являются риноскопия и рентгенография. Во время риноскопии выявляется отёчность заднего свода носоглотки и стекание по ней гнойных выделений.
Рентгенография позволяет установить затемнение клиновидных пазух, что сигнализирует о скоплении в них гноя и наличии воспалительного процесса.
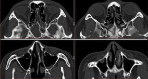
В тех случаях, когда эти два метода диагностики оказываются малоинформативными (в связи с индивидуальными особенностями строения пазух или течения заболевания), назначается компьютерная томография или МРТ, которые с высокой точностью выявляют патологии в придаточных пазухах носа.
Лечение
Острый и хронический сфеноидит необходимо лечить, предварительно проконсультировавшись с Лор-врачом. Если симптоматика болезни умеренная и нет признаков осложнений, назначается консервативная терапия. Если обнаружены симптомы осложнений или консервативная терапия оказалась неэффективной, то проводится хирургическая операция.
Медикаментозное лечение
Основные направления медикаментозной терапии:
- Снятие заложенности носа.
- Устранение отёка слизистой оболочки носа.
- Улучшение отхождения воспалительного экссудата из клиновидных пазух при помощи спреев от насморка.
- Применение антибиотиков и кортикостероидов (при необходимости).
Рекомендуется использование спреев сосудосуживающих капель. Однако помните, что их нельзя применять более 3 дней. Причина заключается в том, что традиционные компоненты спреев через 2-3 дня перестают эффективно действовать, так как происходит привыкание, и они постепенно начинают оказывать негативный эффект.
Спреи для носа
При сфеноидите можно использовать следующие средства от насморка:
- Спрей «Ринофлуимуцил» (Италия). Ринофлуимуцилактивные компоненты спрея снижают выделение гноя, слизи и заложенности носа, улучшают отхождение гноя, уменьшают отёк слизистой оболочки носа. Ринофлуимуцил также хорошо сочетается с препаратами «Синуфорте» и «Синупрет», которые ускоряют очищение пазух от гноя и слизи.
- Спрей «Назонекс» (Бельгия). Назонекс содержит низкую дозу глюкокортикоидов, что позволяет хорошо снимать отёчность слизистой оболочки и заложенность носа. Этот спрей отличается тем, что его можно применять курсами по 2-3 месяца, что особенно важно при длительном лечении. Назонекс также хорошо сочетается с любыми другими препаратами.
Препараты, ускоряющие очищение пазух от гноя и слизи
В них обычно входят растительные компоненты, которые стимулируют функцию мерцательного эпителия на поверхности слизистой оболочки, что приводит к более быстрому очищению пазух от накапливающихся в них слизи и гноя. При воспалении клиновидных пазух рекомендуются такие препараты, как:
- Драже или капли «Синупрет» (Германия). Синупретактивные компоненты растительного происхождения обладают противовоспалительным действием, облегчают эвакуацию гноя и слизи из пазух.
- Капли для носа «Синуфорте» (Испания). Синуфортепрепарат выпускается на основе экстракта одного из лекарственных растений. Способствует очищению пазух.
Антибиотики при сфеноидите
В зависимости от степени воспаления, наличия или отсутствия осложнений, антибиотики могут назначаться внутримышечно или внутривенно. Наиболее оптимальным вариантом антибиотика при сфеноидите считается Амоксициллин в комбинации с клавулановой кислотой. Существуют препараты, содержащие такое сочетание, это:
При непереносимости антибиотиков группы пенициллинов или при их недостаточной эффективности могут быть назначены антибиотики группы макролидов (Азитромицин, Кларитромицин) или группы фторхинолонов, например, Ципрофлоксацин.
Хирургическое лечение сфеноидита у взрослых (операции)
Если консервативная терапия оказалась безрезультатной или на момент обращения пациента обнаружены симптомы тяжёлых гнойных осложнений, то проводится срочная хирургическая операция при помощи эндоскопа и микро-хирургических инструментов (с доступом через носовые ходы).
Не стоит ждать осложнений. Лучше своевременно обратиться к ЛОР-врачу, чтобы не потребовалось оперативное вмешательство.
Физиотерапия
Любое заболевание верхних дыхательных путей может повлечь за собой отёк носоглотки и вызвать сфеноидит.
Физиотерапевтические методы лечения сфеноидита могут использоваться исключительно в качестве вспомогательной терапии и только по назначению врача.
При острой фазе назначаются ингаляции с Гидрокортизоном и Эфедрином, которые снимут отёчность слизистых и будут способствовать естественной эвакуации содержимого придаточных пазух. В восстановительном периоде и во время ремиссии могут быть применены:
- УВЧ-терапия;
- Облучение лампой соллюкс;
- Озокеритовые компрессы.
Помните, что ни один из методов физиотерапии не способен оказать воздействие на глубинные процессы, протекающие в клиновидных пазухах. Эффективен только комплексный подход с применением медикаментозного и физиотерапевтического лечения.
Альтернативные методики лечения болезни
В последнее время в арсенале медиков появилась новая технология BSP – баллонная синусопластика, которая представляет собой набор эндоскопических катетерных инструментов, предназначенных для расширения закрытых соустий околоносовых пазух. Данные устройства могут применяться как наряду с медикаментозным лечением, так и в рамках традиционных хирургических методик лечения сфеноидита.
Как лечить в домашних условиях
Несмотря на множество рецептов народной медицины, предназначенных для лечения воспалительных процессов в носовых пазухах, сфеноидит не поддаётся лечению посредством «бабушкиных» рецептов. Если же вы желаете применить какой-либо из них в домашних условиях, будьте осторожны и предварительно посоветуйтесь с ЛОР-врачом.
Основной риск заключается в гипераллергенности фитопрепаратов: аллергический отёк выводного отверстия придаточной пазухи может существенно усилиться и осложнить течение болезни.
Даже если вы не склонны к аллергии, помните, что интоксикация, обусловленная воспалением в клиновидной пазухе, может сама по себе спровоцировать аллергическую реакцию.
Профилактика
Что делать маме, если у ребенка осипший голос без признаков простуды
Все про вакцину Гриппол Плюс описано тут.
Хлорофиллипт для полоскания горла //drlor.online/zabolevaniya/gortani-glotki-bronxov/angina/chem-poloskat-gorlo-pri-tonzillite.html
Любые заболевания верхних дыхательных путей и придаточных пазух носа, в том числе и сфеноидит, довольно легко предупредить. В качестве таких мер предлагаем несколько рекомендаций:
- Не занимайтесь самолечением гриппа, ринита и других инфекционных заболеваний.
- При нарушениях носового дыхания, которые длятся более суток, обращайтесь к врачу (даже если вас больше ничего не беспокоит).
- Избегайте продолжительного пребывания в запыленных и загазованных помещениях.
- При склонности к аллергии соблюдайте рекомендации аллерголога и старайтесь устранить контакт с аллергеном.
Регулярное закаливание снижает риск развития сезонных простудных заболеваний и сводит к минимуму вероятность заражения вирусными и бактериальными инфекциями.
Выводы
Итак, сфеноидит – непростое заболевание, связанное с воспалением в носовых пазухах. Оно легко поддаётся лечению, если болезнь не запущена, но может привести к тяжёлым последствиям при отсутствии своевременного лечения.
Прислушивайтесь к своему организму, при первых симптомах, описанных выше, обращайтесь к врачу, предпринимайте профилактические меры – и тогда такое заболевание, как сфеноидит, вряд ли коснётся вас.
Как лечить гайморит без прокола описано в статье.
Симптомы, причины и лечение Сфеноидита

Сфеноидит как заболевание — это воспалительный процесс, локализованный на слизистой оболочке клиновидной пазухи. Часто такое поражение бывает не изолированным, а в сочетании с другими синуситами – этмоидитом (воспаление решётчатой пазухи).
Особенности анатомии
Анатомическое расположение клиновидного синуса таково, что он находится в толще кости. Эта кость — клиновидная — расположена в глубине полости черепа. Клиновидный синус через отверстие на его передней стенке имеет сообщение с носоглоткой.
Важно! Рядом с пазухой расположены важные анатомические образования:
- перекрест зрительных нервов;
- черепно-мозговые нервы — тройничный, лицевой;
- оболочки мозга.
Причины заболевания
Острый сфеноидит по своей сути заболевание вторичное. Он развивается на фоне перенесенных или текущих респираторных заболеваний и ангин. Непосредственная причина — инфекция попадает в этот синус из носоглотки, ротоглотки, других пазух.
https://youtube.com/watch?v=Wl6YD6xeGnM
Поэтому возбудителями заболевания становятся все те микроорганизмы, которые вызвали первичное заболевание:
- респираторные вирусы — грипп, парагрипп, РС-вирус, аденовирус;
- бактерии — стафилококки, стрептококки;
- грибки — кандида.
Есть также предрасполагающие факторы, при наличии которых риск развития сфеноидита возрастает:
- стеноз отверстия пазухи;
- аномалии развития клиновидного синуса;
- снижение общего и местного иммунитета;
- патологические процессы в носовых ходах и носовой перегородке;
- гиперпластические процессы пазухи — кисты, полипы, опухоли;
- нахождение в полости синуса инородного тела;
- механические травмы пазухи.
Патогенез заболевания
- Инфекционный агент губительно действует на клетки слизистой.
- Формируется воспалительный катаральный процесс.
- Сочетание инфекции и предрасполагающих факторов усугубляет состояние.
- Слизистая становится отечной и перекрывает отверстие синуса. В этих условиях происходит бурное размножение микроорганизмов — прямая причина синусита.
- Постепенно гной заполняет всю полость клиновидного синуса.
Классификация сфеноидитов
Сфеноидиты относятся к двум большим группам, в каждой из которых выделяются подвиды.
Группы:
- сопровождающиеся выделением жидкости — экссудативные;
- сопровождающиеся разрастанием слизистой — гиперпластические.
Подвиды первой группы:
- катаральный сфеноидит;
- серозный сфеноидит;
- гнойный сфеноидит.
Подвиды второй группы:
- полипозный;
- гнойно-полипозный.
Симптомы
Признаки сфеноидита разделены на две группы:
- специфические симптомы;
- неспецифические симптомы.
Неспецифические симптомы — те, которые наблюдаются при воспалительных процессах в любых пазухах:
- подъём температуры тела до субфебрильных цифр;
- головная боль;
- заложенность носа;
- недомогание.
Головная боль — один из симптомов
Специфические симптомы характерны конкретно для этого заболевания:
- головная боль имеет свою локализацию — в затылке, в глубине головы;
- постоянное ощущение неприятного запаха;
- при осмотре ротоглотки обнаруживается полоска гноя на её задней стенке.
Острый сфеноидит
- выраженная интоксикация;
- болевой синдром — головная боль, боль в глазных яблоках;
- свежий гной на задней стенке глотки.
Хронический сфеноидит
Хронический процесс характеризуется:
- атрофией слизистой оболочки носоглотки, образованием на ней трудноудаляемых корок;
- если воспаление затрагивает близкорасположенную хиазму — перекрест зрительных нервов — появляются жалобы на такое ухудшение зрения: нарушение движения глаз, опущение век, слезотечение;
- при затрагивании черепно-мозговых нервов появляются характерные симптомы — боль в лице, паралич половины лица, опущение века, ухудшение слуха.
Клиновидная пазуха в медицинской литературе описывается как «немая» или «забытый синус». Это связано с её расположением — она находится в толще клиновидной кости, которая расположена в глубине черепа.
Особые симптомы
- нарушение аппетита как проявление интоксикации;
- изменения сна — ночью бессонница, днём сонливость;
- кожные парестезии — мурашки, онемение.
Эти признаки характерны для хронического течения.
Диагностика заболевания
Постановка диагноза основывается на:
- характерных жалобах пациента;
- данные визуального осмотра для диагностики малозначимы, поскольку клиновидная пазуха недоступна ни риноскопии, ни фарингоскопии;
- информативнее других методов обнаруживают сфеноидит компьютерная или магнитно-резонансная томография;
- при недоступности КТ и МРТ выполняется рентгенологическая диагностика;
- имеет место такой метод, как диагностическая пункция с исследованием содержимого пазухи.
КТ — исследование пазухи с помощью рентгеновского излучения. КТ позволяет выявить аномалии синуса, степень поражения слизистой. При исследовании с помощью КТ определяется уровень гноя в пазухе.
Ещё более информативным методом диагностики является МРТ — она выявляет послойные поражения, которые могут быть не замечены на КТ.
Лечебные приемы
Лечение любого синусита — процесс комплексный и сложный. В случае сфеноидита, особенно хронического, он становится ещё сложнее, потому что пазуха эта труднодоступна для лечебных манипуляций.
Основной задачей лечебного процесса является устранение причины — инфекции. Так как подавляющее большинство сфеноидитов вызвано бактериальной флорой, для лечения симптомов используются антибактериальные препараты с широким спектром действия:
- пенициллины – «Амоксиклав», «Флемоксин»;
- цефалоспорины – «Цефтриаксон», «Цефепим»;
- макролиды – «Азитромицин».
При легких формах заболевания такие препараты принимают внутрь в таблетированной форме. При тяжелом течении лечить нужно серьезнее — назначаются внутримышечные инъекции.
Все остальные лекарственные средства оказывают симптоматическое и патогенетическое действие:
- лечение сфеноидита гормональными средствами — выраженный противовоспалительный и противоотечный эффект («Назонекс», «Авамис», «Дезринит»);
- сосудосуживающие средства — противоотечный эффект, освобождают носовое дыхание («Ксилен», «Тизин», «Отривин»);
- нестероидные противовоспалительные средства — устранение воспалительного процесса, снижение температуры тела, обезболивание («Нурофен», «Панадол», «Кетопрофен»);
- антигистаминные средства — устранение отека и заложенности носа («Зиртек», «Кларитин», «Зодак»);
- средства для стимуляции иммунитета («Иммунал», «Ликопид», «Бронхо-мунал»);
- гомеопатические средства («Синупрет», «Синуфорте»).
Положительный эффект при сфеноидите оказывают методы физиотерапии:
- назальный электрофорез с лекарственными средствами;
- ультрафиолетовое облучение пазухи через носовые ходы;
- магнит на область пазухи.
Если консервативная терапия не даёт должного эффекта и состояние пациента ухудшается, применяется хирургическое лечение.
Хирургическое вмешательство
- Хирургами используется эндоскопическая методика операции. Доступ к клиновидному синусу осуществляется через глазницы и носовые ходы. С помощью эндоскопа очищается полость синуса и удаляется все лишнее — некротизированная слизистая, полипы, кисты.
- Катетеризация. Через носовые ходы в полость синуса вводится катетер, с помощью которого промывается полость пазухи.
Осложнения
Если заболевание не лечить, оно способствует развитию тяжёлых осложнений:
- хронизация процесса;
- переход воспаления на другие пазухи с формированием пансинусита, лечить который придётся очень долго;
- переход воспаления на глазницу с развитием абсцессов и флегмоны — их лечить только оперативно;
- патология черепно-мозговых нервов и соответствующие симптомы;
- нарушение зрения необратимого характера;
- переход воспаления на головной мозг с развитием осложнений — менингита и энцефалита.
Народная медицина
Сфеноидит — не то заболевание, которое нужно пытаться лечить самостоятельно, в домашних условиях, используя приёмы народной медицины.
Слишком серьёзные осложнения могут развиться из-за неправильного лечения хронического воспаления клиновидного синуса.
Методы народной медицины в домашних условиях можно применять только в качестве дополнительного лечения и только после консультации специалиста.
Прогноз при сфеноидите
Прогноз заболевания зависит от своевременности диагностики и лечения. Сразу же проведенное лечение и операция позволят устранить патологический процесс и добиться полного выздоровления. Если же пациент не обращается за медицинской помощью и не начинает лечить болезнь, сфеноидит переходит в хроническую форму и развиваются осложнения.
Особенности образа жизни
Лечение сфеноидита во время острого процесса требует от пациента соблюдения особых правил:
- немаловажно соблюдать правильное питание и питьевой режим;
- процедуры, направленные на регулярное очищение носоглотки от слизи и гноя;
- мероприятия по повышению резистентности организма.
Питание
Вырабатывается четкий режим приёма пищи — в одни и те же часы, небольшими порциями, пять раз в день.
Из рациона исключаются продукты, которые способствуют возникновению аллергии. Аллергический процесс в организме вызывает отек в слизистых, в том числе и слизистой клиновидной пазухи.
Полезными продуктами являются те, которые способствуют повышению резистентности организма. Такие продукты должны содержать:
- витамины;
- белки, жиры и углеводы;
- минеральные вещества;
- пробиотики — бифидо- и лактобактерии.
Острый сфеноидит требует ограничивать приём жидкости, чтобы не увеличивать отек слизистой и симптомы нарушения дыхания.
Очищение носоглотки
Необходимо для ускорения выздоровления и направлено против присоединения вторичной микробной флоры. Осуществляется промывными растворами:
- «Аквамарисом»;
- «Аквалором»;
- «Физиомером»;
- «Маримером»;
- «Линаквой».
Закаливание
Включает мероприятия, направленные на повышение резистентности организма:
- контрастный душ;
- холодные обливания;
- гимнастические занятия на свежем воздухе.
Сфеноидит- заболевание не из простых. Оно требует своевременной диагностики, несмотря на малое количество специфических симптомов. Процесс часто приобретает хронический характер и требует длительного лечения, иногда и повторных операций.



