Сфеноидит – симптомы и лечение, фото, антибиотики

Из этой статьи Вы узнаете:
- что такое сфеноидит,
- по каким признакам ставится диагноз,
- сфеноидит: симптомы и лечение.
Сфеноидит – это воспаление клиновидных пазух, которые являются одними из четырех пар придаточных пазух носа. Изолированный сфеноидит встречается крайне редко (в 1-2% от всех случаев острых и хронических синуситов). Чаще всего сфеноидит возникает как следствие воспаления в расположенных рядом решетчатых пазухах, которое носит название «этмоидит».
Сфеноидит: фото
Сфеноидит является самым опасным воспалением пазух, если сравнивать его с последствиями воспаления других придаточных пазух носа. Клиновидные пазухи находятся у основания черепа, и гнойное воспаление этих пазух чрезвычайно быстро прогрессирует и вызывает тяжелейшие осложнения.
Сфеноидит: причины
Предрасполагающие факторы для IS включает силовое попадания воды в нос во время купания и подводного плавания, аллергический ринит, полипы синоназального, бронхиальная астма, перегородки отклонение, средний / превосходные раковины аномалии, лучевой терапии, иммуносупрессии, сахарный диабет и злоупотребления кокаином.
- Острые и хронические воспалительные заболевания носа и горла – к ним относятся: острый и хронический ринит бактериальной, вирусной или аллергической природы, искривление носовой перегородки, хроническая заложенность носа, полипы и опухоли в носовых ходах, аденоиды.Воспаление близлежащих образований, также может привести к сфеноидиту: → этмоидит (воспаление решетчатых пазух носа), → гайморит (воспаление гайморых пазух носа), → фронтит (воспаление лобных пазух носа), → тонзиллит.
- Плавание – попадания воды в нос во время купания и подводного плавания в некоторых случаях также может приводить к развитию сфеноидита. По статистике эта причина составляет около 10% всех случаев сфеноидита (24stoma.ru)
Сфеноидит: симптомы
Сфеноидит практически не имеет каких-либо «оригинальных» симптомов, поэтому диагностика этого заболевания достаточно сложна. Чаще всего пациентов могут беспокоить следующие симптомы –
- головные боли (особенно в затылке, темени, висках, рядом с глазами),
- насморк,
- затуманенное зрение (возможно),
- повышенная температура, выраженная слабость, быстрая утомляемость,
- боли в разных участках лица,
- слизисто-гнойные выделения из носа,
- стекание слизи и гноя по задней стенке горла.
Как диагностируется сфеноидит –
Несомненно жалобы пациентов (симптомы) имеют значение при постановке правильного диагноза, однако, поставить окончательный диагноз «сфеноидит» можно, только полагаясь на дополнительные методы обследования.
К дополнительным методам относится, например, носовая эндоскопия. Тем не менее, одной только эндоскопии носа также недостаточно, т.к. примерно в 50-60% случаев эндоскопия не выявляет ничего патологического. Обычная рентгенография черепа мало информативна и, как правило, бесполезна.
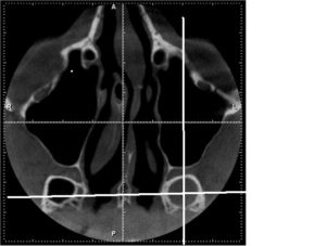
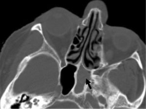
Единственными методами, которые наверняка могут определить сфеноидит, являются компьютерная томография (КТ) или магнитно-резонансная томография (МРТ) –
Сфеноидит: лечение
Острый и хронический сфеноидит лечение проводится у Лор-врача. Если симптоматика умеренная и нет признаков осложнений – проводится консервативная терапия. Если же воспаление тяжелое и есть симптомы осложнений, или консервативная терапия не приносит успеха – решается роль о проведении хирургической операции.
Основные направления консервативной терапии: во-первых – снять заложенность носа, устранить отек слизистой оболочки носа и улучшить отхождение воспалительного экссудата из клиновидных пазух при помощи спреев от насморка, во-вторых – это антибиотикотерапия (возможно также применение кортикостероидов).
Рекомендуемые спреи от насморка – обычные сосудосуживающие капли от насморка при любых синуситах нельзя использовать более 2 или 3 дней. Причина этого в том, что традиционные компоненты спреев через 2-3 дня перестают эффективно действовать, к ним развивается привыкание, и они постепенно начинают оказывать противоположные эффекты.
При сфеноидите оптимально использовать следующие средства от насморка:
- Спрей «Ринофлуимуцил» (Италия, стоимость от 250 руб) – активные компоненты спрея снижают выделение гноя и слизи, улучшают их отхождение, а также снижают заложенность носа за счет уменьшения отека слизистой оболочки носа. Ринофлуимуцил также хорошо сочетается с препаратами «Синуфорте» и «Синупрет», которые ускоряют очищение пазух от гноя и слизи.
- Спрей «Назонекс» (Бельгия, от 500 руб) – содержит низкую дозировку глюкокортикоидов, что позволяет хорошо снимать отечность слизистой оболочки носа и заложенность носа. Этот спрей один из немногих можно применять курсами по 2-3 месяца, что особенно важно, если требуется длительное лечение, и особенно, если причина воспаления – аллергический ринит. Назонекс также хорошо сочетается с препаратами, описанными ниже.
Препараты, ускоряющие очищение пазух от гноя и слизи – растительные компоненты этих препаратов стимулируют функцию мерцательного эпителия на поверхности слизистой оболочки, что приводит к более быстрому очищению пазух (которые выстланы из нутри слизистой оболочкой и сообщаются через небольшие отверстия с полостью носа) от накапливающихся в пазухах слизи и гноя.
- Драже или капли «Синупрет» (Германия) – активные компоненты растительного происхождения обладают противовоспалительным действием, а также облегчают эвакуацию гноя и слизи из пазух. Препарат выпускается известной европейской фармкомпанией «Bionorica». Цена около 350 руб.
- Капли для носа «Синуфорте» (Испания) – препарат выпускается на основе экстракта одного из лекарственных растений. Способствует очищению пазух, как и предыдущий препарат. Стоимость составит от 2300 руб.
Антибиотики при сфеноидите –
В зависимости от тяжести воспаления антибиотики могут назначаться внутрь, либо внутривенно. Наиболее оптимальным выбором антибиотика при сфеноидите считается Амоксициллин в комбинации с Клавулановой кислотой. Препараты, содержащие такое сочетание, например: «Амоксиклав» или «Аугументин».
При непереносимости антибиотиков группы пенициллинов или при недостаточности эффекта могут быть назначены антибиотики группы макролидов (например, Азитромицин» или «Кларитромицин»), а также группы фторхинолонов (например, «Ципрофлоксацин»).
Хирургическое лечение сфеноидита –
Если консервативная терапия оказалась неэффективной, или на момент обращения пациента уже есть симптомы тяжелых гнойных осложнений – проводится срочная хирургическая операция при помощи эндоскопа и микро-хирургических инструментов (с доступом через носовые ходы). Надеемся, что наша статья на тему: Сфеноидит симптомы и лечение – оказалась Вам полезной!
Источники:
1. Высшее проф. образование автора по хирургической стоматологии, 2. На основе личного опыта в челюстно-лицевой хирургии и хирургической стоматологии,
3. National Library of Medicine (USA),
4. «Руководство по челюстно-лицевой хирургии» (Тимофеев А.А.),
5. «Хирургическая стоматология и челюстно-лицевая хирургия» (Кулаков А.).
Портал «24stoma» создан нами в 2011 году – в качестве информационного ресурса для пациентов. Вы можете быть полностью уверены в достоверности медицинской информации на нашем сайте, т.к.
все статьи написаны опытными практикующими врачами.
Наша экспертность подтверждена рекомендациями «Стоматологической Ассоциации России» (СтАР), специалисты которой присвоили нашему сайту официальный статус – «Информационный портал, аккредитованный при СтАР».
Наш информационный портал также прошел сертификацию специалистами международной медицинской организации «Health on the Net Foundation» (HON), которая является партнером Всемирной Организации Здравоохранения (ВОЗ).
Наличие подобного сертификата у медицинских сайтов – также является одним из критериев достоверности медицинской информации, и того, что все статьи написаны не студентами или копирайтерами, а практикующими врачами с документально подтвержденным медицинским образованием.
Информация о составе редакции –
Главный редактор и учредитель: Каменских Кирилл Валерьевич (высшее медицинское образование по специальности «Стоматология», действующие сертификаты по хирургической стоматологии и челюстно-лицевой хирургии + дополнительное профессиональное образование в области эстетической косметологии – по мезотерапии, применению ботулотоксинов, контурной пластике лица, а также по нитевому лифтингу). Вся информация на сайте является оригинальной и написана редактором сайта.
Профиль редактора в Instagram
Профиль редактора в
Подробная информация об образовании – 1977 года рождения, 43 года. В 1999 году закончил стоматологический факультет Омской государственной медицинской академии (ОГМА).
Получен диплом врача по специальности «Стоматология» (рис.2). С 1999 по 2000 год пройдена интернатура по хирургической стоматологии в челюстно-лицевом отделении Курганской обл.больницы (рис.3).
С 2000 года – хирург-стоматолог.
В 2002 году – повышение квалификации «Практическая пародонтология» в Волгоградской медицинской академии (рис.4). В 2006 году – повышение квалификации «Стоматология терапевтическая» в Смоленской медицинской академии (рис.5).
Основной опыт работы – оперативная пародонтология (лоскутные операции, кюретаж), амбулаторная хирургия, имплантология.
Прошел годовую стажировку в челюстно-лицевом отделении при Московском областном научно-исследовательском клиническом институте (МОНИКИ).
В 2018-2019 году пройдено несколько курсов повышения квалификации в сфере эстетической косметологии: 1) по применению ботулотоксина типа А, например, Ботокса, Диспорта, Ксеомина и т.д.
, 2) несколько курсов по нехирургическому инъекционному лифтингу мягких тканей лица, т.е. контурной пластике, 3) по мезотерапии лица и тела, биоревитализации лица.
Обучение пройдено в крупных косметологических компаниях, получены удостоверения о повышении квалификации государственного образца (фото сертификатов размещены ниже).
Документы об образовании врача-стоматолога –
Все документы об образовании государственного образца, принадлежащие главному редактору портала Каменских К.В., имеют регистрационный номер, действительность которого легко проверяется.
Рис.1-3 – диплом врача по специальности «Стоматология» + действующие сертификаты по хирургической стоматологии и челюстно-лицевой хирургии. Диплом врача-стоматолога выдан Омской государственной медицинской академией (ОГМА). В настоящее время ВУЗ называется – Омский государственный медицинский университет (ОмГМУ).
Рис.4 – Свидетельство об окончании интернатуры «Стоматология хирургическая». Интернатура пройдена в челюстно-лицевом отделении Курганской областной больницы (ГБУ «КОКБ»).
Рис.5 – Свидетельство о повышении квалификации «Практическая пародонтология» при Волгоградской медицинской академии (ВолГМА). В настоящее время ВУЗ называется – Волгоградский государственный медицинский университет (ВолгГМУ).
Рис.6 – Диплом о дополнительном образовании «Стоматология терапевтическая». Получен при Смоленской гос. медакадемии (СмолГМА). В настоящее время ВУЗ называется – Смоленский государственный медицинский университет (СГМУ). Документ дает право работать стоматологом-терапевтом:
Рис.7 – Сертификат о дополнительном образовании по имплантологии. Учебный центр «Северная Синица» (Санкт-Петербург). Пройдено индивидуальное обучение у врача-имплантолога, кандидата медицинских наук Караскуа А.А.:
Доп. образование по косметологии –
Прохождение некоторых курсов по косметологии подтверждено удостоверениями государственного образца (наличие такого свидетельства говорит о том, что содержание данного курса было одобрено Министерствами Здравоохранения и Образования РФ), часть других – подтверждается наличием коммерческих сертификатов. Ниже мы приводим только самые основные документы, т.к. их достаточно много.
Доказательства нашей экспертности –
Как мы сказали выше – наш портал имеет аккредитацию «Стоматологической Ассоциации России» (СтАР) и ассоциации «Health on the Net Foundation». Уже только это может свидетельствовать о том, что мы являемся экспертами.
Помимо этих профессиональных медицинских ассоциаций нас рекомендуют государственные медицинские вузы при Министерствах Здравоохранения России и Украины – в качестве учебного ресурса для студентов-стоматологов.
Ссылки на документы:
- Национальный медицинский университет имени А.А.Богомольца МЗ Украины (ссылка на документ).
Наши статьи используются в материалах научных конференций –
Ниже мы приводим краткий перечень научно-практических конференций по стоматологии, в которых используются наши публикации.
Мы серьезно относимся к нашей работе, поэтому наш информационный ресурс имеет государственную регистрацию юридического лица. Кроме того, просим вас внимательно отнестись к копированию материалов нашего сайта, т.к. товарный знак 24stoma® зарегистрирован Федеральной службой по интеллектуальной собственности № 664752 от 30.07.18 г. Правообладатель товарного знака – ООО «Стоматология Онлайн».
Будучи профессиональными медицинскими специалистами – мы публикуем только актуальную информацию, в объективности которой мы уверены. Мы дорожим своей репутацией и не публикуем рекламных материалов под видом статей. Мы надеемся, что наш опыт и профессионализм будут вам полезны. С уважением, главный редактор Каменских Кирилл Валерьевич.
Сфеноидит

Нужна дополнительная информация?
Нужна дополнительная информация?
Не нашли ответ на свой вопрос?
Нажимая на кнопку, вы даете согласие на обработку своих персональных данных Спасибо за обращение. Ваша заявка принята.
Наш специалист свяжется с Вами в ближайшее время
Сфеноидит — это заболевание воспалительного характера, возникающее в клиновидной пазухе. Клиновидная пазуха – это одна из придаточных пазух носа, которые выполняют воздухоносную функцию. Находится эта пазуха в теле клиновидной кости, которая образует центральную часть основания черепа. Нередко это заболевание сочетается с воспалением слизистой оболочки других пазух.
Симптомы сфеноидита
Основными признаками сфеноидита являются:
- сильная ноющая головная боль, которая локализуется в затылочной части или сдавливает голову по типу каски, при этом анальгетики не позволяют избавиться от боли; боль может усиливаться в ночное время, а также на ярком солнце и в жарких помещениях;
- дискомфорт в носоглотке (возникает из-за раздражения от постоянно стекающих слизисто-гнойных выделений);
- выделения из носа (необязательный симптом);
- ухудшение обоняния, субъективное ощущение неприятного запаха в носу пациентом;
- ухудшение зрения;
- слабость;
- повышение температуры;
- ухудшение памяти;
- бессонница;
- онемение, покалывание в конечностях.
Если у Вас наблюдаются подобные симптомы, советуем записаться на прием к врачу. Своевременная консультация предупредит негативные последствия для вашего здоровья. Телефон для записи +7 (495) 292-39-72
Причины сфеноидита
Сфеноидит вызывается теми же микроорганизмами, как и другие синуситы. К ним относят различные вирусы, анаэробные бактерии, грибы. В некоторых случаях причиной сфеноидита могут становиться опухоли, кисты, полипы, анатомическое строение костей, искривление носовой перегородки, травмы.
Сфеноидит может быть острым либо хроническим, развиваться с одной или обеих сторон. Хронический сфеноидит чаще всего возникает при не эффективном лечении предыдущих воспалений в других придаточных пазухах носа.
Диагностика сфеноидита в «СМ-Клиника»
Для того чтобы вылечить сфеноидит эффективно, необходимо пройти качественную диагностику. В нашей клинике работают отолариногологи, имеющие многолетний опыт диагностики и лечения заболеваний ЛОР-профиля. Все современные методики доступны нашим докторам, ведь они постоянно обмениваются опытом с зарубежными коллегами на профильных конференциях и семинарах.
Диагностика сфеноидита в нашем центре начинается с тщательного сбора анамнеза. После чего врач проведет осмотр носоглотки с помощью риноскопии и орофарингоскопии. Из-за анатомических особенностей расположения клиновидной кости, для полной оценки состояния ее пазух потребуются дополнительные исследования.
Рентгенологическое исследование проводится с контрастом. Контрастное вещество, введенное в пазухи, дает возможность тщательно исследовать изменения, появляющиеся при воспалительном процессе.
В «СМ-Клиника» Москвы также есть возможность провести компьютерную томографию и МРТ пазух.
Эти методы имеют большую информативность и позволяют оценивать состояние остальных пазух и частей лицевого черепа.
В нашей клинике врачи применяют комплексный подход к диагностике и терапии любых заболеваний. Именно поэтому, во время диагностики сфеноидита могут привлекаться специалисты других профилей – офтальмологи, невропатологи, эндокринологи.
Лечение сфеноидита в «СМ-Клиника»
После проведения диагностики врачи определят, как вылечить сфеноидит и избавить пациента от болезненных симптомов поскорее. Способы лечения этого заболевания зависят от причины, степени тяжести и характера течения.
При остром бактериальном сфеноидите пациенту назначат антибиотикотерапию, в сочетании с сосудосуживающими спреями, гипосенсибилизирующими препаратами, курсы промывания пазух. Такое лечение быстро убирает отек и воспаление слизистой.
Хронический сфеноидит чаще всего требует проведения хирургического вмешательства. Доступ к клиновидной пазухе осуществляется разными способами, они зависят от локализации воспаления, анатомических особенностей строения лицевого черепа.
Отоларингологи «СМ-Клиника» владеют щадящими эндоскопическими методиками лечения сфеноидита.
При эндоскопическом вскрытии пазухи создается широкое дренажное отверстие, что способствует исчезновению воспаления после удаления патологического содержимого.
Это малотравматичная манипуляция, которая имеет короткий восстановительный период. Поэтому, если вы сомневаетесь где лечить сфеноидит, можете быть уверены, что наша клиника окажется лучшим выбором.
Профилактика сфеноидита
Для профилактики сфеноидита необходимо вовремя лечить воспаления в других пазухах носа, верхних дыхательных путях, а также кариозные зубы. При необходимости следует устранить или исправить анатомические дефекты. Здоровый образ жизни также способствует профилактике такого заболевания как сфеноидит.
Уточнить стоимость любых процедур и записаться на консультацию к отоларингологу можно по телефону.
Наши преимущества:
Более 20 ведущих отоларингологов
Все специалисты в одной клинике
Передовое медицинское оборудование
Гарантия качества обслуживания
Хотите, мы Вам перезвоним?
Сфеноидит — что это такое, симптомы и лечение у взрослых, хронический сфеноэтмоидит, признаки, темпорально-сфеноидальная линия, воспаление

Сфеноидит – очень опасное воспаление клиновидных пазух. Из всех синуситов данная болезнь – самая сложная, так как может иметь необратимые последствия. Клиновидные пазухи находятся у основания черепа, их гнойное воспаление чрезвычайно быстро прогрессирует и вызывает тяжелейшие осложнения. Как диагностировать и лечить сфеноидит?
Сфеноидит – определение заболевания
Сфеноидитом медики именуют воспаление слизистой оболочки клиновидной пазухи. По сути, это заболевание является разновидностью синусита, который объединяет разные воспалительные процессы в околоносовых пазухах.
У человека имеется несколько пазух. Клиновидная, являющаяся основной, располагается глубоко в полости носа и граничит с такими важными составляющими организма человека, как гипофиз, сонные артерии, основание черепа, глазные нервы. Разумеется, такое «соседство» может грозить серьёзными осложнениями.
К счастью, сфеноидит встречается редко, чаще у человека поражаются верхнечелюстные пазухи и решётчатый лабиринт (гайморит, этмоидит). Вместе с тем при небольшой распространённости большая часть сфеноидитов переходит в хроническую форму, плохо поддаётся лечению медикаментами и требуют хирургического вмешательства.
У человека имеются две клиновидных пазухи, разделённых перегородкой, поэтому заболевание может быть односторонним или двусторонним.
Причины возникновения
Развитие сфеноидита происходит вследствие поражения слизистой оболочки бактериями, вирусами или грибками.
Любое простудное заболевание вызывает воспаление во всех околоносовых пазухах, в том числе и клиновидной. Однако воспалительный процесс обычно проходит в течение 1-2 недель.
Бактериальный сфеноидит развивается в определённых условиях. Основными факторами, предрасполагающими к возникновению болезни являются:
- Узость или полное отсутствие соустья – выводного отверстия клиновидной пазухи.
- Наличие кисты или полипа в клиновидной пазухе, блокирующей соустье.
- Искривления носовой перегородки в заднем или верхнем её отделе, которые препятствуют достаточной проходимости в соустье пазухи.
- Попадание в пазуху инородных тел при резком вдохе.
- Дополнительные перегородки в клиновидной пазухе.
- Недостаточный размер клиновидной пазухи.
- Опухоли в клиновидной пазухе.
Попадание воды в нос во время купания и подводного плавания также может привести к развитию сфеноидита. По статистике данная причина составляет около 10% всех случаев сфеноидита.
https://youtube.com/watch?v=Wl6YD6xeGnM
На практике медики чаще всего сталкиваются с сочетанием одной или более причин возникновения сфеноидита. Их устранение в подавляющем большинстве случаев приводит к выздоровлению. Заразен ли тонзиллит, узнайте в данном материале.
Симптомы и первые признаки хронического, острого и катарального сфеноидита
Сфеноидит может быть острым и хроническим.
Острый форма, в зависимости от характера воспаления, может быть катаральной или гнойной. Ведущими симптомами острой формы сфеноидита являются:
- Головные боли, локализованные, главным образом, в затылочной, реже – в лобной, теменной или височной частях головы;
- Обильные слизисто-гнойные или гнойные выделения из носа;
- Нарушение обоняния, постоянное ощущение неприятного запаха гнили;
- Повышение температуры тела;
- Общая слабость;
- Утомляемость.
При отсутствии лечения возможен переход воспалительного процесса на близлежащие органы с развитием менингита, абсцесса мозга, неврита зрительного нерва.
Хронический сфеноидит, как правило, протекает без ярко выраженной симптоматики. Больного беспокоит ноющая или тупая боль в затылочной области.
Если боль – единственная жалоба пациента, то не каждый врач подумает о воспалении клиновидной пазухи, поэтому бывают случаи, когда больной годами наблюдается у терапевта или невролога и получает лечение, не приносящее результата. Причины, симптомы, лечение и профилактика гайморита описаны здесь.
Помимо боли в затылке, человек, страдающий хроническим сфеноидитом, может ощущать постоянный дискомфорт в носоглотке, неприятный запах или привкус гнили во рту. Это объясняется тем, что гнойное отделяемое из клиновидных пазух через соустья выходит в обонятельную часть носовой полости, откуда стекает вниз по задней стенке глотки.
Если в патологический процесс вовлекается зрительный нерв, то на это указывают расстройства зрения.
Например, может наблюдаться небольшое снижение остроты зрения, ограничение полей зрения, периодически возникающее двоение в глазах.
Хронический сфеноидит – это воспалительный процесс, поэтому в случае длительного его течения появляются и постепенно нарастают симптомы интоксикации организма. Это могут быть:
- Чувство недомогания;
- Некоторая сонливость;
- Слабость;
- Плохой аппетит.
Данные симптомы постоянно сопровождают больного, с годами усугубляясь всё больше.
Возможные осложнения
Помимо боли и общего ухудшения самочувствия, воспаление клиновидной пазухи может привести к развитию таких тяжёлых заболеваний, как:
- Арахноидит;
- Менингит;
- Неврит зрительного нерва;
- Флегмона орбиты глаза;
- Абсцесс мозга и др.
Эти патологические состояния способны привести к инвалидности и даже летальному исходу.
Диагностика
Основными диагностическими методами определения сфеноидита у взрослых являются риноскопия и рентгенография. Во время риноскопии выявляется отёчность заднего свода носоглотки и стекание по ней гнойных выделений.
Рентгенография позволяет установить затемнение клиновидных пазух, что сигнализирует о скоплении в них гноя и наличии воспалительного процесса.
В тех случаях, когда эти два метода диагностики оказываются малоинформативными (в связи с индивидуальными особенностями строения пазух или течения заболевания), назначается компьютерная томография или МРТ, которые с высокой точностью выявляют патологии в придаточных пазухах носа.
Лечение
Острый и хронический сфеноидит необходимо лечить, предварительно проконсультировавшись с Лор-врачом. Если симптоматика болезни умеренная и нет признаков осложнений, назначается консервативная терапия. Если обнаружены симптомы осложнений или консервативная терапия оказалась неэффективной, то проводится хирургическая операция.
Медикаментозное лечение
Основные направления медикаментозной терапии:
- Снятие заложенности носа.
- Устранение отёка слизистой оболочки носа.
- Улучшение отхождения воспалительного экссудата из клиновидных пазух при помощи спреев от насморка.
- Применение антибиотиков и кортикостероидов (при необходимости).
Рекомендуется использование спреев сосудосуживающих капель. Однако помните, что их нельзя применять более 3 дней. Причина заключается в том, что традиционные компоненты спреев через 2-3 дня перестают эффективно действовать, так как происходит привыкание, и они постепенно начинают оказывать негативный эффект.
Спреи для носа
При сфеноидите можно использовать следующие средства от насморка:
- Спрей «Ринофлуимуцил» (Италия). Ринофлуимуцилактивные компоненты спрея снижают выделение гноя, слизи и заложенности носа, улучшают отхождение гноя, уменьшают отёк слизистой оболочки носа. Ринофлуимуцил также хорошо сочетается с препаратами «Синуфорте» и «Синупрет», которые ускоряют очищение пазух от гноя и слизи.
- Спрей «Назонекс» (Бельгия). Назонекс содержит низкую дозу глюкокортикоидов, что позволяет хорошо снимать отёчность слизистой оболочки и заложенность носа. Этот спрей отличается тем, что его можно применять курсами по 2-3 месяца, что особенно важно при длительном лечении. Назонекс также хорошо сочетается с любыми другими препаратами.
Препараты, ускоряющие очищение пазух от гноя и слизи
В них обычно входят растительные компоненты, которые стимулируют функцию мерцательного эпителия на поверхности слизистой оболочки, что приводит к более быстрому очищению пазух от накапливающихся в них слизи и гноя. При воспалении клиновидных пазух рекомендуются такие препараты, как:
- Драже или капли «Синупрет» (Германия). Синупретактивные компоненты растительного происхождения обладают противовоспалительным действием, облегчают эвакуацию гноя и слизи из пазух.
- Капли для носа «Синуфорте» (Испания). Синуфортепрепарат выпускается на основе экстракта одного из лекарственных растений. Способствует очищению пазух.
Антибиотики при сфеноидите
В зависимости от степени воспаления, наличия или отсутствия осложнений, антибиотики могут назначаться внутримышечно или внутривенно. Наиболее оптимальным вариантом антибиотика при сфеноидите считается Амоксициллин в комбинации с клавулановой кислотой. Существуют препараты, содержащие такое сочетание, это:
При непереносимости антибиотиков группы пенициллинов или при их недостаточной эффективности могут быть назначены антибиотики группы макролидов (Азитромицин, Кларитромицин) или группы фторхинолонов, например, Ципрофлоксацин.
Хирургическое лечение сфеноидита у взрослых (операции)
Если консервативная терапия оказалась безрезультатной или на момент обращения пациента обнаружены симптомы тяжёлых гнойных осложнений, то проводится срочная хирургическая операция при помощи эндоскопа и микро-хирургических инструментов (с доступом через носовые ходы).
Не стоит ждать осложнений. Лучше своевременно обратиться к ЛОР-врачу, чтобы не потребовалось оперативное вмешательство.
Физиотерапия
Любое заболевание верхних дыхательных путей может повлечь за собой отёк носоглотки и вызвать сфеноидит.
Физиотерапевтические методы лечения сфеноидита могут использоваться исключительно в качестве вспомогательной терапии и только по назначению врача.
При острой фазе назначаются ингаляции с Гидрокортизоном и Эфедрином, которые снимут отёчность слизистых и будут способствовать естественной эвакуации содержимого придаточных пазух. В восстановительном периоде и во время ремиссии могут быть применены:
- УВЧ-терапия;
- Облучение лампой соллюкс;
- Озокеритовые компрессы.
Помните, что ни один из методов физиотерапии не способен оказать воздействие на глубинные процессы, протекающие в клиновидных пазухах. Эффективен только комплексный подход с применением медикаментозного и физиотерапевтического лечения.
Альтернативные методики лечения болезни
В последнее время в арсенале медиков появилась новая технология BSP – баллонная синусопластика, которая представляет собой набор эндоскопических катетерных инструментов, предназначенных для расширения закрытых соустий околоносовых пазух. Данные устройства могут применяться как наряду с медикаментозным лечением, так и в рамках традиционных хирургических методик лечения сфеноидита.
Как лечить в домашних условиях
Несмотря на множество рецептов народной медицины, предназначенных для лечения воспалительных процессов в носовых пазухах, сфеноидит не поддаётся лечению посредством «бабушкиных» рецептов. Если же вы желаете применить какой-либо из них в домашних условиях, будьте осторожны и предварительно посоветуйтесь с ЛОР-врачом.
Основной риск заключается в гипераллергенности фитопрепаратов: аллергический отёк выводного отверстия придаточной пазухи может существенно усилиться и осложнить течение болезни.
Даже если вы не склонны к аллергии, помните, что интоксикация, обусловленная воспалением в клиновидной пазухе, может сама по себе спровоцировать аллергическую реакцию.
Профилактика
Что делать маме, если у ребенка осипший голос без признаков простуды
Все про вакцину Гриппол Плюс описано тут.
Хлорофиллипт для полоскания горла //drlor.online/zabolevaniya/gortani-glotki-bronxov/angina/chem-poloskat-gorlo-pri-tonzillite.html
Любые заболевания верхних дыхательных путей и придаточных пазух носа, в том числе и сфеноидит, довольно легко предупредить. В качестве таких мер предлагаем несколько рекомендаций:
- Не занимайтесь самолечением гриппа, ринита и других инфекционных заболеваний.
- При нарушениях носового дыхания, которые длятся более суток, обращайтесь к врачу (даже если вас больше ничего не беспокоит).
- Избегайте продолжительного пребывания в запыленных и загазованных помещениях.
- При склонности к аллергии соблюдайте рекомендации аллерголога и старайтесь устранить контакт с аллергеном.
Регулярное закаливание снижает риск развития сезонных простудных заболеваний и сводит к минимуму вероятность заражения вирусными и бактериальными инфекциями.
Выводы
Итак, сфеноидит – непростое заболевание, связанное с воспалением в носовых пазухах. Оно легко поддаётся лечению, если болезнь не запущена, но может привести к тяжёлым последствиям при отсутствии своевременного лечения.
Прислушивайтесь к своему организму, при первых симптомах, описанных выше, обращайтесь к врачу, предпринимайте профилактические меры – и тогда такое заболевание, как сфеноидит, вряд ли коснётся вас.
Как лечить гайморит без прокола описано в статье.
Симптомы, причины и лечение Сфеноидита

Сфеноидит как заболевание — это воспалительный процесс, локализованный на слизистой оболочке клиновидной пазухи. Часто такое поражение бывает не изолированным, а в сочетании с другими синуситами – этмоидитом (воспаление решётчатой пазухи).
Особенности анатомии
Анатомическое расположение клиновидного синуса таково, что он находится в толще кости. Эта кость — клиновидная — расположена в глубине полости черепа. Клиновидный синус через отверстие на его передней стенке имеет сообщение с носоглоткой.
Важно! Рядом с пазухой расположены важные анатомические образования:
- перекрест зрительных нервов;
- черепно-мозговые нервы — тройничный, лицевой;
- оболочки мозга.
Причины заболевания
Острый сфеноидит по своей сути заболевание вторичное. Он развивается на фоне перенесенных или текущих респираторных заболеваний и ангин. Непосредственная причина — инфекция попадает в этот синус из носоглотки, ротоглотки, других пазух.
Поэтому возбудителями заболевания становятся все те микроорганизмы, которые вызвали первичное заболевание:
- респираторные вирусы — грипп, парагрипп, РС-вирус, аденовирус;
- бактерии — стафилококки, стрептококки;
- грибки — кандида.
Есть также предрасполагающие факторы, при наличии которых риск развития сфеноидита возрастает:
- стеноз отверстия пазухи;
- аномалии развития клиновидного синуса;
- снижение общего и местного иммунитета;
- патологические процессы в носовых ходах и носовой перегородке;
- гиперпластические процессы пазухи — кисты, полипы, опухоли;
- нахождение в полости синуса инородного тела;
- механические травмы пазухи.
Патогенез заболевания
- Инфекционный агент губительно действует на клетки слизистой.
- Формируется воспалительный катаральный процесс.
- Сочетание инфекции и предрасполагающих факторов усугубляет состояние.
- Слизистая становится отечной и перекрывает отверстие синуса. В этих условиях происходит бурное размножение микроорганизмов — прямая причина синусита.
- Постепенно гной заполняет всю полость клиновидного синуса.
Классификация сфеноидитов
Сфеноидиты относятся к двум большим группам, в каждой из которых выделяются подвиды.
Группы:
- сопровождающиеся выделением жидкости — экссудативные;
- сопровождающиеся разрастанием слизистой — гиперпластические.
Подвиды первой группы:
- катаральный сфеноидит;
- серозный сфеноидит;
- гнойный сфеноидит.
Подвиды второй группы:
- полипозный;
- гнойно-полипозный.
Симптомы
Признаки сфеноидита разделены на две группы:
- специфические симптомы;
- неспецифические симптомы.
Неспецифические симптомы — те, которые наблюдаются при воспалительных процессах в любых пазухах:
- подъём температуры тела до субфебрильных цифр;
- головная боль;
- заложенность носа;
- недомогание.
Головная боль — один из симптомов
Специфические симптомы характерны конкретно для этого заболевания:
- головная боль имеет свою локализацию — в затылке, в глубине головы;
- постоянное ощущение неприятного запаха;
- при осмотре ротоглотки обнаруживается полоска гноя на её задней стенке.
Острый сфеноидит
- выраженная интоксикация;
- болевой синдром — головная боль, боль в глазных яблоках;
- свежий гной на задней стенке глотки.
Хронический сфеноидит
Хронический процесс характеризуется:
- атрофией слизистой оболочки носоглотки, образованием на ней трудноудаляемых корок;
- если воспаление затрагивает близкорасположенную хиазму — перекрест зрительных нервов — появляются жалобы на такое ухудшение зрения: нарушение движения глаз, опущение век, слезотечение;
- при затрагивании черепно-мозговых нервов появляются характерные симптомы — боль в лице, паралич половины лица, опущение века, ухудшение слуха.
Клиновидная пазуха в медицинской литературе описывается как «немая» или «забытый синус». Это связано с её расположением — она находится в толще клиновидной кости, которая расположена в глубине черепа.
Особые симптомы
- нарушение аппетита как проявление интоксикации;
- изменения сна — ночью бессонница, днём сонливость;
- кожные парестезии — мурашки, онемение.
Эти признаки характерны для хронического течения.
Диагностика заболевания
Постановка диагноза основывается на:
- характерных жалобах пациента;
- данные визуального осмотра для диагностики малозначимы, поскольку клиновидная пазуха недоступна ни риноскопии, ни фарингоскопии;
- информативнее других методов обнаруживают сфеноидит компьютерная или магнитно-резонансная томография;
- при недоступности КТ и МРТ выполняется рентгенологическая диагностика;
- имеет место такой метод, как диагностическая пункция с исследованием содержимого пазухи.
КТ — исследование пазухи с помощью рентгеновского излучения. КТ позволяет выявить аномалии синуса, степень поражения слизистой. При исследовании с помощью КТ определяется уровень гноя в пазухе.
Ещё более информативным методом диагностики является МРТ — она выявляет послойные поражения, которые могут быть не замечены на КТ.
Лечебные приемы
Лечение любого синусита — процесс комплексный и сложный. В случае сфеноидита, особенно хронического, он становится ещё сложнее, потому что пазуха эта труднодоступна для лечебных манипуляций.
https://youtube.com/watch?v=uyx_X-ft4k8
Основной задачей лечебного процесса является устранение причины — инфекции. Так как подавляющее большинство сфеноидитов вызвано бактериальной флорой, для лечения симптомов используются антибактериальные препараты с широким спектром действия:
- пенициллины – «Амоксиклав», «Флемоксин»;
- цефалоспорины – «Цефтриаксон», «Цефепим»;
- макролиды – «Азитромицин».
При легких формах заболевания такие препараты принимают внутрь в таблетированной форме. При тяжелом течении лечить нужно серьезнее — назначаются внутримышечные инъекции.
Все остальные лекарственные средства оказывают симптоматическое и патогенетическое действие:
- лечение сфеноидита гормональными средствами — выраженный противовоспалительный и противоотечный эффект («Назонекс», «Авамис», «Дезринит»);
- сосудосуживающие средства — противоотечный эффект, освобождают носовое дыхание («Ксилен», «Тизин», «Отривин»);
- нестероидные противовоспалительные средства — устранение воспалительного процесса, снижение температуры тела, обезболивание («Нурофен», «Панадол», «Кетопрофен»);
- антигистаминные средства — устранение отека и заложенности носа («Зиртек», «Кларитин», «Зодак»);
- средства для стимуляции иммунитета («Иммунал», «Ликопид», «Бронхо-мунал»);
- гомеопатические средства («Синупрет», «Синуфорте»).
Положительный эффект при сфеноидите оказывают методы физиотерапии:
- назальный электрофорез с лекарственными средствами;
- ультрафиолетовое облучение пазухи через носовые ходы;
- магнит на область пазухи.
Если консервативная терапия не даёт должного эффекта и состояние пациента ухудшается, применяется хирургическое лечение.
Хирургическое вмешательство
- Хирургами используется эндоскопическая методика операции. Доступ к клиновидному синусу осуществляется через глазницы и носовые ходы. С помощью эндоскопа очищается полость синуса и удаляется все лишнее — некротизированная слизистая, полипы, кисты.
- Катетеризация. Через носовые ходы в полость синуса вводится катетер, с помощью которого промывается полость пазухи.
Осложнения
Если заболевание не лечить, оно способствует развитию тяжёлых осложнений:
- хронизация процесса;
- переход воспаления на другие пазухи с формированием пансинусита, лечить который придётся очень долго;
- переход воспаления на глазницу с развитием абсцессов и флегмоны — их лечить только оперативно;
- патология черепно-мозговых нервов и соответствующие симптомы;
- нарушение зрения необратимого характера;
- переход воспаления на головной мозг с развитием осложнений — менингита и энцефалита.
Народная медицина
Сфеноидит — не то заболевание, которое нужно пытаться лечить самостоятельно, в домашних условиях, используя приёмы народной медицины.
Слишком серьёзные осложнения могут развиться из-за неправильного лечения хронического воспаления клиновидного синуса.
Методы народной медицины в домашних условиях можно применять только в качестве дополнительного лечения и только после консультации специалиста.
Прогноз при сфеноидите
Прогноз заболевания зависит от своевременности диагностики и лечения. Сразу же проведенное лечение и операция позволят устранить патологический процесс и добиться полного выздоровления. Если же пациент не обращается за медицинской помощью и не начинает лечить болезнь, сфеноидит переходит в хроническую форму и развиваются осложнения.
Особенности образа жизни
Лечение сфеноидита во время острого процесса требует от пациента соблюдения особых правил:
- немаловажно соблюдать правильное питание и питьевой режим;
- процедуры, направленные на регулярное очищение носоглотки от слизи и гноя;
- мероприятия по повышению резистентности организма.
Питание
Вырабатывается четкий режим приёма пищи — в одни и те же часы, небольшими порциями, пять раз в день.
https://youtube.com/watch?v=ABy8Dytfo60
Из рациона исключаются продукты, которые способствуют возникновению аллергии. Аллергический процесс в организме вызывает отек в слизистых, в том числе и слизистой клиновидной пазухи.
Полезными продуктами являются те, которые способствуют повышению резистентности организма. Такие продукты должны содержать:
- витамины;
- белки, жиры и углеводы;
- минеральные вещества;
- пробиотики — бифидо- и лактобактерии.
Острый сфеноидит требует ограничивать приём жидкости, чтобы не увеличивать отек слизистой и симптомы нарушения дыхания.
Очищение носоглотки
Необходимо для ускорения выздоровления и направлено против присоединения вторичной микробной флоры. Осуществляется промывными растворами:
- «Аквамарисом»;
- «Аквалором»;
- «Физиомером»;
- «Маримером»;
- «Линаквой».
Закаливание
Включает мероприятия, направленные на повышение резистентности организма:
- контрастный душ;
- холодные обливания;
- гимнастические занятия на свежем воздухе.
Сфеноидит- заболевание не из простых. Оно требует своевременной диагностики, несмотря на малое количество специфических симптомов. Процесс часто приобретает хронический характер и требует длительного лечения, иногда и повторных операций.




