Сфеноидит

Сфеноидит – это воспаление слизистой оболочки клиновидной пазухи. По сути сфеноидит относится к синуситам, под которыми понимают воспалительный процесс в околоносовых пазухах.
Как известно, у человека несколько пазух.
Клиновидная (ее иногда называют основной) располагается глубоко в полости носа и граничит с такими важными образованиями, как сонные артерии, основание черепа, гипофиз, глазные нервы.
Можно легко догадаться, что такое «соседство» может приводить к серьезным осложнениям определенных форм сфеноидита. К счастью, чаще у человека поражаются верхнечелюстные пазухи и решетчатый лабиринт (гайморит, этмоидит).
Сфеноидит встречается гораздо реже. С другой стороны, при небольшой распространенности большая часть сфеноидитов являются хроническими, плохо поддаются лечению медикаментами и требуют хирургического лечения. У человека две клиновидных пазухи разделенных перегородкой, соответственно заболевание может быть одно или двусторонним.
Что это такое?
Сфеноидит – воспалительное заболевание слизистой оболочки клиновидной пазухи, которое развивается на фоне уже имеющейся в организме вирусной или же бактериальной инфекции.
Данная разновидность синуситов встречается довольно редко, так как для её развития требуется, чтобы воспалительный процесс из решетчатого лабиринта распространился и на клиновидную (основную) пазуху. С учётом анатомических особенностей строения, этот процесс может занять много времени.
Причины
Причиной сфеноидита является острое или хроническое воспаление слизистой оболочки клиновидной (сфеноидальной) пазухи, вызванное инфекционным агентом.
Частыми причинами сужения естественного выводного протока являются:
- анатомическая узость клиновидной пазухи и ее небольшой размер;
- врожденные аномалии развития носовой полости (искривления, дополнительные перегородки, отсутствие или заращивание протоков);
- врожденное или приобретенное (при травме) искривление задней части перегородки носа;
- объемные образования в клиновидной пазухе (кисты, полипы, злокачественные опухоли);
- объемные образования носоглотки в непосредственной близости к соустью клиновидной пазухи (кисты, полипы, злокачественные опухоли);
- инородные тела, которые попадают в соустье клиновидной пазухи при резком вдохе.
У мужчин и у женщин заболевание проявляется по одним и тем же причинам.
Сфеноидит может не всегда развиваться как основное заболевание, а проявляется в виде осложнения таких недугов:
- грипп;
- скарлатина;
- ангина;
- ринит.
Стоит отметить, что сам по себе инфекционный агент, проникший в клиновидную пазуху, не играет решающей роли в возникновении недуга. Должен быть так называемый пусковой механизм или провоцирующий фактор, который и послужит «толчком» к развитию заболевания.
Симптомы сфеноидита
У взрослых симптомы и признаки воспаления слизистой оболочки клиновидной пазухи носа обычно рассматривают по формам болезни:
Острый сфеноидит чаще всего начинается с появления головной боли, которая усиливается в ночное время суток. Это характерный симптом для данного недуга. Сначала боль локализуется в области затылка, но уже на вторые или третьи сутки от начала развития болезни она начинает отдавать в лоб или виски. В некоторых случаях она иррадиирует в глазницы.
Основные симптомы острого сфеноидита:
- Боли в голове, локализованные в затылочной области, но отдающие по всей лицевой части.
- Обильные выделения из носовой полости слизистого, гнойного или слизисто-гнойного характера.
- Нарушение обоняния.
- Высокая температура.
- Чувствуется запах гнили.
- Слабость и утомляемость.
Хронический сфеноидит – это неблагоприятный исход острой формы заболевания.
Он развивается в том случае, если не вовремя начать лечение сфеноидита в острой стадии, или же врач назначил некорректное лечение, которое не справилось с симптомами недуга и не смогло уничтожить возбудителя.
Процесс протекает в изолированной форме или же с поражением ячеек решетчатого лабиринта. Признаки сфеноидита, как правило, менее выражены, чем при острой форме.
Основные симптомы развития хронического сфеноидита:
- Тупая, ноющая боль в затылочной области.
- Если боль является единственным признаком, тогда возможно невыявление сфеноидита и безуспешное лечение от других болезней, которые не снимают симптоматику.
- Ощущение гнили во рту.
- Дискомфорт в носоглотке.
- Неприятный запах.
- При вовлечении в процесс зрительного нерва больной жалуется на снижение зрения.
- Хроническая сонливость.
- Постоянная усталость.
- Постепенно снижающийся аппетит.
- Слабость и вялость.
Последствия
Поскольку клиновидная пазуха расположена рядом со многими жизненно важными структурами, ее воспаление может привести к серьезным осложнениям.
- Поражение черепно-мозговых нервов, включая зрительный перекрест. Из-за близкого расположения черепно-мозговых нервов инфекционный процесс часто переходит на них. При этом могут поражаться III, IV, V и VI пары черепных нервов. При поражении третьей пары мозговых нервов у пациента возникает двоение в глазах, нарушение движения глазного яблока кнаружи, а также вверх, вниз и внутрь. Если поражается IV пара нервов, то нарушается движения глаза только вниз и вбок. Если инфекция затрагивает тройничный нерв (V пару) то нарушается чувствительность кожи лица, зубов, жевательных мышц. Наиболее тяжелые последствия развиваются, если в воспалительный процесс вовлекается зрительный перекрест. Это сопровождается появлением слепых пятен в поле зрения (скотом), слепотой в одной половине поля зрения (гемианопсией), а в тяжелых случаях и полной утратой зрения (амаврозом).
- Распространение инфекции на другие пазухи. Обычно в клиновидную пазуху инфекция проникает их других синусов, чаще всего из гайморового или этмоидального. Однако болезнь может развиваться и по другому сценарию. Воспаление с клиновидной пазухи по естественным соустьям или с током крови может переходить на другие воздухоносные пути. Так, одновременно может вовлекаться несколько пазух с развитием так называемого пансинусита.
- Распространение инфекции в полость черепа. Иногда инфекция прорывается в полость черепа через естественные отверстия в клиновидной пазухе. При этом бактерии (или вирусы, если воспаление вирусной этиологии) могут поражать как само вещество мозга, так и его оболочки. В первом случае развиваются энцефалиты, а во втором — менингиты. В обоих случаях состояние пациента резко ухудшается. Возникает заторможенность вплоть до сопора, падает артериальное давление, появляется рвота, светобоязнь. Как правило, распространение инфекции сопровождается ухудшением общего состояния, что сразу диагностируется врачами. В редких случаях (на фоне выраженной иммуносупрессии) инфекция, проникшая в череп, может локализоваться и сохраняться в течение долгого времени.
- Инфицирование полости глазницы. Это осложнение чаще всего развивается на фоне сфеноидита с вовлечением решетчатого лабиринта. Поскольку последняя анатомическая структура непосредственно контактирует с полостью глазницы, микробная флора очень легко проникает в эту полость. При этом могут формироваться ретробульбарные (расположенные за глазом) абсцессы, флегмоны. Эти скопления гноя в дальнейшем оказывают давление на глазное яблоко, приводя к его выпячиванию. При вовлечении в воспалительный процесс мягких тканей кожа вокруг глаз становится отечной, красной. Движения глазными яблоками затруднены, пациент старается держать глаз закрытым.
Диагностика
Такие симптомы, как патологические выделения из носа и длительные головные боли, должны послужить поводом для безотлагательного обращения к специалисту.
В медицинском учреждении проводятся:
- опрос пациента отоларингологом с выяснением того, как начиналось заболевание, и каковы были доминирующие в клинике симптомы;
- риноскопия;
- пункция клиновидной пазухи;
- ее зондирование;
- лабораторные анализы крови;
- рентгенологическое исследование клиновидной пазухи в нескольких проекциях;
- компьютерная томография.
Как лечить сфеноидит?
Тактика лечения при остром сфеноидите у взрослых зависит характера воспалительного процесса и определения причины его развития (т. е. возбудителя). Лечение может проводиться амбулаторно или в условиях стационара.
Симптоматическое лечение
Чтобы нормализовать температуру тела больного, быстро избавить его от непрекращающейся головной боли и других малоприятных ощущений, врачи делают следующие назначения:
- Парацетамол, Нурофен, Аспирин, Индометацин – это лекарственные средства из группы нестероидных противовоспалительных;
- Аквамарин, Квикс и Аквалор – это спреи, изготовленные на основе соленой морской воды и необходимые для регулярного промывания носовых ходов и пазух;
- Насобек, Беконазе – лекарственные препараты из группы кортикостероидов;
- Синупрет, Пиносол и Умкалор – средства от насморка и заложенности носа, которые изготовлены исключительно на растительной основе;
- ИРС 19 и другие иммуностимулирующие препараты.
Обратите внимание: некоторые врачи назначают гомеопатические средства – эффект от них может быть, но научных доказательств «работы» подобных препаратов нет.
Как только будут устранены острые симптомы развития воспалительного процесса, больному назначаются физиотерапевтические процедуры – для скорейшего восстановления и, так сказать, закрепления результата. К таковым процедурам относятся:
- иглоукалывание;
- бальнеологические процедуры;
- рефлексотерапия;
- массаж;
- электрофорез;
- лазеротерапия и другие.
Если причиной развития сфеноидита послужили анатомические особенности строения клиновидной пазухи, то больному будет рекомендовано пройти хирургическое лечение и исправить проблему.
Затем пациенту предстоит пройти достаточно длительный реабилитационный период с посещением профильных санаториев, а в последующем придется соблюдать меры профилактики и периодически проходит осмотры у лечащего врача.
Этиотропная терапия
Если сфеноидит имеет бактериальное происхождение, то больному обязательно будет назначен курс антибактериальных препаратов (антибиотиков). Причем, такое лечение может проводиться и в условиях стационара, и в условиях амбулатории.
Антибактериальный препарат может назначаться и в виде инъекций, и в таблетированной форме. Но в любом случае выбор конкретного лекарственного средства из группы антибиотиков осуществляется исключительно в индивидуальном порядке – все зависит от длительности течения воспалительного процесса, глубины его распространения, выявленного возбудителя.
Одновременно с приемом антибактериальных препаратов пациенту будут назначены орошения и промывания носоглотки и пазух носа антисептическими и противовоспалительными растворами.
Что полезно кушать?
В рацион питания должны входить продукты, которые богаты витаминами, белками, минералами, лактобактериями. Рассмотрим витамины, которые помогают побороть недуг, а также продукты, которые их содержат:
- Витамин А. Содержится в моркови, куриных яйцах, говяжьей печени и рыбьем жире. Этот витамин повышает сопротивляемость дыхательной системы к инфекционным агентам.
- Витамин С. Аскорбиновая кислота содержится в шиповнике, облепихе, помидорах, сладком перце, цветной капусте. При инфекционных процессах выделяются вредные токсические вещества, так вот витамин С ослабляет их негативное действие.
- Витамин Е. Содержится в оливковом масле, грецких орехах, кураге. Данный витамин уменьшает утомляемость и делает организм более выносливым.
Теперь поговорим о важнейших минералах и их содержании в продуктах питания:
- Цинк. Содержится в говядине, свинине, арахисе. Этот важнейший элемент необходим для поддержания нормальной работы иммунной системы.
- Железо присутствует в свиной и говяжьей печени, шпинате, гречке, овсянке. Железо принимает активное участие в обезвреживании токсических веществ, а также укреплении защиты от вредоносных бактерий.
- Кальций содержится в сырах, чесноке, твороге, миндале. Кальций обладает противовоспалительным свойством, а также увеличивает барьерные функции.
Отдельно хочется сказать о роли лактобактерий в лечении сфеноидита. Эти полезные бактерии губительно воздействуют на бактериальную и грибковую инфекцию. Кроме того, лактобактерии улучшают всасываемость полезных веществ. Также они препятствуют развитию дисбактериоза, который может возникнуть из-за антибактериальной терапии, применяющейся во время лечения сфеноидита.
В каких случаях назначается операция
Операция – это крайняя мера. Специалисты прибегают к хирургическому вмешательству при неэффективности консервативных методик лечения и во избежание развития серьезных осложнений.
В настоящее время эффективна эндоскопическая операция. Исходя из названия понятно, что вмешательство выполняется с помощью эндоскопа — тонкой трубки, оснащенной подсветкой для удобства осмотра носовых ходов: во время операции доктор удаляет ткани, которые их блокируют.
Альтернативой эндоскопической операции служит процедура с использованием синус-катетера. Это болезненная, но необходимая манипуляция предполагает чередование повышенного и пониженного давления, направленных в гнойный очаг, что способствует эвакуации содержимого, а также восстановлению способности обоняния.
Преимущество метода заключается в том, что после очищения от патологического секрета, посредством этого катетера вводят медикаментозные средства, оказывающие дезинфицирующий эффект, а значит, успешное лечение. Такой терапевтический способ применяется с пятилетнего возраста, а для стабильности положительного эффекта рекомендовано число повторений от трех до пяти процедур.
Профилактика
Те, кто поддерживает слизистую оболочку носа достаточно влажной, предотвращают большинство проблем. Эффективными окажутся ингаляции отвара лечебных трав; отказ от пребывания в помещении, наполненного сигаретным дымом; ограничение потребления алкоголя и кофеина, известных своим высушивающим эффектом.
Раннее выявление исключает вероятность более серьезных осложнений, к которым относятся неврологические нарушения и, реже, смерть. Учитывая возможность быстрого прогресса болезни, нужно придавать значение любым изменениям в самочувствии, а при ухудшении состояния немедленно обратиться в больницу.
Прогноз
При своевременно выполненном медикаментозном или хирургическом лечении, пациент, страдавший сфеноидитом, выздоравливает. Рецидивы бывают редко.
Симптомы
Клинические признаки сфеноидита зависят от характера течения заболевания, т.е. это хронический сфеноидит или острый. Если это первичное острое воспаление, то на первый план выходят проявления простудного заболевания, поэтому человек даже не догадывается, что развивается поражение клиновидной пазухи. В это время его беспокоят:
- Заложенность носовых ходов, невозможность свободного дыхания;
- Постоянные выделения слизистого или слизисто-гнойного характера;
- Подъем температуры и другие проявления интоксикации, особенно ярко выраженные при вирусной природе простуды (слабость, боли в мышцах и суставах, головная боль и т.д.).
Если врач осмотрит носовые ходы, то он увидит, что они отечные и покрасневшие. На данном этапе никаких других признаков сфеноидита он не увидит.
Но если присоединяется бактериальная флора, то симптоматика становится более выраженной, поэтому специалист уже может, даже основываясь на ней, выставить предварительный диагноз.
Острый сфеноидит на данном этапе будет проявляться следующими признаками:
- Боли в области затылка, которые усиливаются преимущественно в утреннее время;
- Выраженность боли уже не зависит от приема сосудосуживающих капель, которые эффективны только при изолированном рините;
- Умеренно повышенная температура тела, которая обычно не переходит за отметку 38°С;
- Нарастает заложенность носа, выраженная со стороны воспаленной пазухи ;
- Выделения из носа становятся уже не слизистыми, а гнойными. Но их может и не быть, если блокировано выводное отверстие клиновидной пазухи. В этом случае человека беспокоит мучительная головная боль, которая не купируется даже приемом анальгетиков или уменьшается всего лишь на некоторое время.
Такой сфеноидит у ребенка или взрослого отоларинголог подтверждает при осмотре задней стенки глотки. Если диагноз правомочен, то на ее поверхности определяется умеренное или обильное количество патологических выделений (слизисто-гнойных или гнойных).
Хронический сфеноидит по проявлениям напоминает острый только в период обострения, но при этом симптоматика может быть менее выраженной. В последнее время участились случаи вялотекущего воспаления в клиновидной пазухе, которые протекают без повышения температуры и выраженного болевого синдрома. Заподозрить такой сфеноидит симптомы следующего характера помогают:
- Постоянно или периодически беспокоящие выделения из носовой полости;
- Заложенность носового дыхания, которая может присутствовать только какое-то время или постоянно;
- Дискомфорт в области затылка.
Осложнения
Осложнения сфеноидита определяются соседством клиновидной пазухи с важными образованиями, которые могут вторично вовлекаться в воспалительный процесс. Рядом располагаются:
- Сонные артерии и вены;
- Гипофиз – важная эндокринная железа и нервный центр регуляции многих процессов;
- Глазничные нервы;
- Участки головного мозга, расположенные в области основания черепа.
Лечение в Ниармедик
Лечение сфеноидита в Ниармедик проводится с учетом индивидуальный особенностей пациента и характера воспалительного процесса. При остром и обострении хронического заболевания преимущественно показана консервативная терапия, которая включает в себя 3 направления:
- Антибактериальное (при доказанной причинной роли бактерий);
- Противовоспалительное;
- Сосудосуживающее и муколитическое (для создания оттока воспалительной жидкости из пазухи).
Консервативному лечению не подлежит полипозный сфеноидит. Операция направлена на иссечение патологических разрастаний. Врачи Ниармедик используют для ее проведения эндоназальный доступ (через носовые ходы), поэтому она малотравматична и не оставляет видимых следов.
https://youtube.com/watch?v=Wl6YD6xeGnM
Лечите сфеноидит правильно с Ниармедик!
Сфеноидит – симптомы и лечение, фото, антибиотики

Из этой статьи Вы узнаете:
- что такое сфеноидит,
- по каким признакам ставится диагноз,
- сфеноидит: симптомы и лечение.
Сфеноидит – это воспаление клиновидных пазух, которые являются одними из четырех пар придаточных пазух носа. Изолированный сфеноидит встречается крайне редко (в 1-2% от всех случаев острых и хронических синуситов). Чаще всего сфеноидит возникает как следствие воспаления в расположенных рядом решетчатых пазухах, которое носит название «этмоидит».
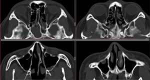
Сфеноидит: фото
Сфеноидит является самым опасным воспалением пазух, если сравнивать его с последствиями воспаления других придаточных пазух носа. Клиновидные пазухи находятся у основания черепа, и гнойное воспаление этих пазух чрезвычайно быстро прогрессирует и вызывает тяжелейшие осложнения.
Сфеноидит: причины
Предрасполагающие факторы для IS включает силовое попадания воды в нос во время купания и подводного плавания, аллергический ринит, полипы синоназального, бронхиальная астма, перегородки отклонение, средний / превосходные раковины аномалии, лучевой терапии, иммуносупрессии, сахарный диабет и злоупотребления кокаином.
Сфеноидит: симптомы
Сфеноидит практически не имеет каких-либо «оригинальных» симптомов, поэтому диагностика этого заболевания достаточно сложна. Чаще всего пациентов могут беспокоить следующие симптомы –
- головные боли (особенно в затылке, темени, висках, рядом с глазами),
- насморк,
- затуманенное зрение (возможно),
- повышенная температура, выраженная слабость, быстрая утомляемость,
- боли в разных участках лица,
- слизисто-гнойные выделения из носа,
- стекание слизи и гноя по задней стенке горла.
Как диагностируется сфеноидит –
Несомненно жалобы пациентов (симптомы) имеют значение при постановке правильного диагноза, однако, поставить окончательный диагноз «сфеноидит» можно, только полагаясь на дополнительные методы обследования.
К дополнительным методам относится, например, носовая эндоскопия. Тем не менее, одной только эндоскопии носа также недостаточно, т.к. примерно в 50-60% случаев эндоскопия не выявляет ничего патологического. Обычная рентгенография черепа мало информативна и, как правило, бесполезна.
Единственными методами, которые наверняка могут определить сфеноидит, являются компьютерная томография (КТ) или магнитно-резонансная томография (МРТ) –
Сфеноидит: лечение
Острый и хронический сфеноидит лечение проводится у Лор-врача. Если симптоматика умеренная и нет признаков осложнений – проводится консервативная терапия. Если же воспаление тяжелое и есть симптомы осложнений, или консервативная терапия не приносит успеха – решается роль о проведении хирургической операции.
Основные направления консервативной терапии: во-первых – снять заложенность носа, устранить отек слизистой оболочки носа и улучшить отхождение воспалительного экссудата из клиновидных пазух при помощи спреев от насморка, во-вторых – это антибиотикотерапия (возможно также применение кортикостероидов).
Рекомендуемые спреи от насморка – обычные сосудосуживающие капли от насморка при любых синуситах нельзя использовать более 2 или 3 дней. Причина этого в том, что традиционные компоненты спреев через 2-3 дня перестают эффективно действовать, к ним развивается привыкание, и они постепенно начинают оказывать противоположные эффекты.
При сфеноидите оптимально использовать следующие средства от насморка:
Препараты, ускоряющие очищение пазух от гноя и слизи – растительные компоненты этих препаратов стимулируют функцию мерцательного эпителия на поверхности слизистой оболочки, что приводит к более быстрому очищению пазух (которые выстланы из нутри слизистой оболочкой и сообщаются через небольшие отверстия с полостью носа) от накапливающихся в пазухах слизи и гноя.
Антибиотики при сфеноидите –
В зависимости от тяжести воспаления антибиотики могут назначаться внутрь, либо внутривенно. Наиболее оптимальным выбором антибиотика при сфеноидите считается Амоксициллин в комбинации с Клавулановой кислотой. Препараты, содержащие такое сочетание, например: «Амоксиклав» или «Аугументин».
При непереносимости антибиотиков группы пенициллинов или при недостаточности эффекта могут быть назначены антибиотики группы макролидов (например, Азитромицин» или «Кларитромицин»), а также группы фторхинолонов (например, «Ципрофлоксацин»).
Хирургическое лечение сфеноидита –
Если консервативная терапия оказалась неэффективной, или на момент обращения пациента уже есть симптомы тяжелых гнойных осложнений – проводится срочная хирургическая операция при помощи эндоскопа и микро-хирургических инструментов (с доступом через носовые ходы). Надеемся, что наша статья на тему: Сфеноидит симптомы и лечение – оказалась Вам полезной!
Источники:
1. Высшее проф. образование автора по хирургической стоматологии, 2. На основе личного опыта в челюстно-лицевой хирургии и хирургической стоматологии,
3. National Library of Medicine (USA),
4. «Руководство по челюстно-лицевой хирургии» (Тимофеев А.А.),
5. «Хирургическая стоматология и челюстно-лицевая хирургия» (Кулаков А.).
Портал «24stoma» создан нами в 2011 году – в качестве информационного ресурса для пациентов. Вы можете быть полностью уверены в достоверности медицинской информации на нашем сайте, т.к.
все статьи написаны опытными практикующими врачами.
Наша экспертность подтверждена рекомендациями «Стоматологической Ассоциации России» (СтАР), специалисты которой присвоили нашему сайту официальный статус – «Информационный портал, аккредитованный при СтАР».
Наш информационный портал также прошел сертификацию специалистами международной медицинской организации «Health on the Net Foundation» (HON), которая является партнером Всемирной Организации Здравоохранения (ВОЗ).
Наличие подобного сертификата у медицинских сайтов – также является одним из критериев достоверности медицинской информации, и того, что все статьи написаны не студентами или копирайтерами, а практикующими врачами с документально подтвержденным медицинским образованием.
Информация о составе редакции –
Главный редактор и учредитель: Каменских Кирилл Валерьевич (высшее медицинское образование по специальности «Стоматология», действующие сертификаты по хирургической стоматологии и челюстно-лицевой хирургии + дополнительное профессиональное образование в области эстетической косметологии – по мезотерапии, применению ботулотоксинов, контурной пластике лица, а также по нитевому лифтингу). Вся информация на сайте является оригинальной и написана редактором сайта.
Профиль редактора в Instagram
Профиль редактора в
Подробная информация об образовании – 1977 года рождения, 43 года. В 1999 году закончил стоматологический факультет Омской государственной медицинской академии (ОГМА).
Получен диплом врача по специальности «Стоматология» (рис.2). С 1999 по 2000 год пройдена интернатура по хирургической стоматологии в челюстно-лицевом отделении Курганской обл.больницы (рис.3).
С 2000 года – хирург-стоматолог.
В 2002 году – повышение квалификации «Практическая пародонтология» в Волгоградской медицинской академии (рис.4). В 2006 году – повышение квалификации «Стоматология терапевтическая» в Смоленской медицинской академии (рис.5).
Основной опыт работы – оперативная пародонтология (лоскутные операции, кюретаж), амбулаторная хирургия, имплантология.
Прошел годовую стажировку в челюстно-лицевом отделении при Московском областном научно-исследовательском клиническом институте (МОНИКИ).
В 2018-2019 году пройдено несколько курсов повышения квалификации в сфере эстетической косметологии: 1) по применению ботулотоксина типа А, например, Ботокса, Диспорта, Ксеомина и т.д.
, 2) несколько курсов по нехирургическому инъекционному лифтингу мягких тканей лица, т.е. контурной пластике, 3) по мезотерапии лица и тела, биоревитализации лица.
Обучение пройдено в крупных косметологических компаниях, получены удостоверения о повышении квалификации государственного образца (фото сертификатов размещены ниже).
Документы об образовании врача-стоматолога –
Все документы об образовании государственного образца, принадлежащие главному редактору портала Каменских К.В., имеют регистрационный номер, действительность которого легко проверяется.
Рис.1-3 – диплом врача по специальности «Стоматология» + действующие сертификаты по хирургической стоматологии и челюстно-лицевой хирургии. Диплом врача-стоматолога выдан Омской государственной медицинской академией (ОГМА). В настоящее время ВУЗ называется – Омский государственный медицинский университет (ОмГМУ).
Рис.4 – Свидетельство об окончании интернатуры «Стоматология хирургическая». Интернатура пройдена в челюстно-лицевом отделении Курганской областной больницы (ГБУ «КОКБ»).
Рис.5 – Свидетельство о повышении квалификации «Практическая пародонтология» при Волгоградской медицинской академии (ВолГМА). В настоящее время ВУЗ называется – Волгоградский государственный медицинский университет (ВолгГМУ).
Рис.6 – Диплом о дополнительном образовании «Стоматология терапевтическая». Получен при Смоленской гос. медакадемии (СмолГМА). В настоящее время ВУЗ называется – Смоленский государственный медицинский университет (СГМУ). Документ дает право работать стоматологом-терапевтом:
Рис.7 – Сертификат о дополнительном образовании по имплантологии. Учебный центр «Северная Синица» (Санкт-Петербург). Пройдено индивидуальное обучение у врача-имплантолога, кандидата медицинских наук Караскуа А.А.:
Доп. образование по косметологии –
Прохождение некоторых курсов по косметологии подтверждено удостоверениями государственного образца (наличие такого свидетельства говорит о том, что содержание данного курса было одобрено Министерствами Здравоохранения и Образования РФ), часть других – подтверждается наличием коммерческих сертификатов. Ниже мы приводим только самые основные документы, т.к. их достаточно много.
Доказательства нашей экспертности –
Как мы сказали выше – наш портал имеет аккредитацию «Стоматологической Ассоциации России» (СтАР) и ассоциации «Health on the Net Foundation». Уже только это может свидетельствовать о том, что мы являемся экспертами.
Помимо этих профессиональных медицинских ассоциаций нас рекомендуют государственные медицинские вузы при Министерствах Здравоохранения России и Украины – в качестве учебного ресурса для студентов-стоматологов.
Ссылки на документы:
- Национальный медицинский университет имени А.А.Богомольца МЗ Украины (ссылка на документ).
Наши статьи используются в материалах научных конференций –
Ниже мы приводим краткий перечень научно-практических конференций по стоматологии, в которых используются наши публикации.
https://youtube.com/watch?v=uyx_X-ft4k8
Мы серьезно относимся к нашей работе, поэтому наш информационный ресурс имеет государственную регистрацию юридического лица. Кроме того, просим вас внимательно отнестись к копированию материалов нашего сайта, т.к. товарный знак 24stoma® зарегистрирован Федеральной службой по интеллектуальной собственности № 664752 от 30.07.18 г. Правообладатель товарного знака – ООО «Стоматология Онлайн».
Будучи профессиональными медицинскими специалистами – мы публикуем только актуальную информацию, в объективности которой мы уверены. Мы дорожим своей репутацией и не публикуем рекламных материалов под видом статей. Мы надеемся, что наш опыт и профессионализм будут вам полезны. С уважением, главный редактор Каменских Кирилл Валерьевич.



