Сфеноидит

Нужна дополнительная информация?
Нужна дополнительная информация?
Не нашли ответ на свой вопрос?
Нажимая на кнопку, вы даете согласие на обработку своих персональных данных Спасибо за обращение. Ваша заявка принята.
Наш специалист свяжется с Вами в ближайшее время
Сфеноидит — это заболевание воспалительного характера, возникающее в клиновидной пазухе. Клиновидная пазуха – это одна из придаточных пазух носа, которые выполняют воздухоносную функцию. Находится эта пазуха в теле клиновидной кости, которая образует центральную часть основания черепа. Нередко это заболевание сочетается с воспалением слизистой оболочки других пазух.
Симптомы сфеноидита
Основными признаками сфеноидита являются:
- сильная ноющая головная боль, которая локализуется в затылочной части или сдавливает голову по типу каски, при этом анальгетики не позволяют избавиться от боли; боль может усиливаться в ночное время, а также на ярком солнце и в жарких помещениях;
- дискомфорт в носоглотке (возникает из-за раздражения от постоянно стекающих слизисто-гнойных выделений);
- выделения из носа (необязательный симптом);
- ухудшение обоняния, субъективное ощущение неприятного запаха в носу пациентом;
- ухудшение зрения;
- слабость;
- повышение температуры;
- ухудшение памяти;
- бессонница;
- онемение, покалывание в конечностях.
Если у Вас наблюдаются подобные симптомы, советуем записаться на прием к врачу. Своевременная консультация предупредит негативные последствия для вашего здоровья. Телефон для записи +7 (495) 292-39-72
Причины сфеноидита
Сфеноидит вызывается теми же микроорганизмами, как и другие синуситы. К ним относят различные вирусы, анаэробные бактерии, грибы. В некоторых случаях причиной сфеноидита могут становиться опухоли, кисты, полипы, анатомическое строение костей, искривление носовой перегородки, травмы.
Сфеноидит может быть острым либо хроническим, развиваться с одной или обеих сторон. Хронический сфеноидит чаще всего возникает при не эффективном лечении предыдущих воспалений в других придаточных пазухах носа.
Диагностика сфеноидита в «СМ-Клиника»
Для того чтобы вылечить сфеноидит эффективно, необходимо пройти качественную диагностику. В нашей клинике работают отолариногологи, имеющие многолетний опыт диагностики и лечения заболеваний ЛОР-профиля. Все современные методики доступны нашим докторам, ведь они постоянно обмениваются опытом с зарубежными коллегами на профильных конференциях и семинарах.
Диагностика сфеноидита в нашем центре начинается с тщательного сбора анамнеза. После чего врач проведет осмотр носоглотки с помощью риноскопии и орофарингоскопии. Из-за анатомических особенностей расположения клиновидной кости, для полной оценки состояния ее пазух потребуются дополнительные исследования.
Рентгенологическое исследование проводится с контрастом. Контрастное вещество, введенное в пазухи, дает возможность тщательно исследовать изменения, появляющиеся при воспалительном процессе.
В «СМ-Клиника» Москвы также есть возможность провести компьютерную томографию и МРТ пазух.
Эти методы имеют большую информативность и позволяют оценивать состояние остальных пазух и частей лицевого черепа.
В нашей клинике врачи применяют комплексный подход к диагностике и терапии любых заболеваний. Именно поэтому, во время диагностики сфеноидита могут привлекаться специалисты других профилей – офтальмологи, невропатологи, эндокринологи.
Лечение сфеноидита в «СМ-Клиника»
После проведения диагностики врачи определят, как вылечить сфеноидит и избавить пациента от болезненных симптомов поскорее. Способы лечения этого заболевания зависят от причины, степени тяжести и характера течения.
При остром бактериальном сфеноидите пациенту назначат антибиотикотерапию, в сочетании с сосудосуживающими спреями, гипосенсибилизирующими препаратами, курсы промывания пазух. Такое лечение быстро убирает отек и воспаление слизистой.
Хронический сфеноидит чаще всего требует проведения хирургического вмешательства. Доступ к клиновидной пазухе осуществляется разными способами, они зависят от локализации воспаления, анатомических особенностей строения лицевого черепа.
Отоларингологи «СМ-Клиника» владеют щадящими эндоскопическими методиками лечения сфеноидита.
При эндоскопическом вскрытии пазухи создается широкое дренажное отверстие, что способствует исчезновению воспаления после удаления патологического содержимого.
Это малотравматичная манипуляция, которая имеет короткий восстановительный период. Поэтому, если вы сомневаетесь где лечить сфеноидит, можете быть уверены, что наша клиника окажется лучшим выбором.
Профилактика сфеноидита
Для профилактики сфеноидита необходимо вовремя лечить воспаления в других пазухах носа, верхних дыхательных путях, а также кариозные зубы. При необходимости следует устранить или исправить анатомические дефекты. Здоровый образ жизни также способствует профилактике такого заболевания как сфеноидит.
Уточнить стоимость любых процедур и записаться на консультацию к отоларингологу можно по телефону.
Наши преимущества:
Более 20 ведущих отоларингологов
Все специалисты в одной клинике
Передовое медицинское оборудование
Гарантия качества обслуживания
Хотите, мы Вам перезвоним?
Симптомы, причины и лечение Сфеноидита

Сфеноидит как заболевание — это воспалительный процесс, локализованный на слизистой оболочке клиновидной пазухи. Часто такое поражение бывает не изолированным, а в сочетании с другими синуситами – этмоидитом (воспаление решётчатой пазухи).
Особенности анатомии
Анатомическое расположение клиновидного синуса таково, что он находится в толще кости. Эта кость — клиновидная — расположена в глубине полости черепа. Клиновидный синус через отверстие на его передней стенке имеет сообщение с носоглоткой.
Важно! Рядом с пазухой расположены важные анатомические образования:
- перекрест зрительных нервов;
- черепно-мозговые нервы — тройничный, лицевой;
- оболочки мозга.
Причины заболевания
Острый сфеноидит по своей сути заболевание вторичное. Он развивается на фоне перенесенных или текущих респираторных заболеваний и ангин. Непосредственная причина — инфекция попадает в этот синус из носоглотки, ротоглотки, других пазух.
Поэтому возбудителями заболевания становятся все те микроорганизмы, которые вызвали первичное заболевание:
- респираторные вирусы — грипп, парагрипп, РС-вирус, аденовирус;
- бактерии — стафилококки, стрептококки;
- грибки — кандида.
Есть также предрасполагающие факторы, при наличии которых риск развития сфеноидита возрастает:
- стеноз отверстия пазухи;
- аномалии развития клиновидного синуса;
- снижение общего и местного иммунитета;
- патологические процессы в носовых ходах и носовой перегородке;
- гиперпластические процессы пазухи — кисты, полипы, опухоли;
- нахождение в полости синуса инородного тела;
- механические травмы пазухи.
Патогенез заболевания
- Инфекционный агент губительно действует на клетки слизистой.
- Формируется воспалительный катаральный процесс.
- Сочетание инфекции и предрасполагающих факторов усугубляет состояние.
- Слизистая становится отечной и перекрывает отверстие синуса. В этих условиях происходит бурное размножение микроорганизмов — прямая причина синусита.
- Постепенно гной заполняет всю полость клиновидного синуса.
Классификация сфеноидитов
Сфеноидиты относятся к двум большим группам, в каждой из которых выделяются подвиды.
Группы:
- сопровождающиеся выделением жидкости — экссудативные;
- сопровождающиеся разрастанием слизистой — гиперпластические.
Подвиды первой группы:
- катаральный сфеноидит;
- серозный сфеноидит;
- гнойный сфеноидит.
Подвиды второй группы:
- полипозный;
- гнойно-полипозный.
Симптомы
Признаки сфеноидита разделены на две группы:
- специфические симптомы;
- неспецифические симптомы.
Неспецифические симптомы — те, которые наблюдаются при воспалительных процессах в любых пазухах:
- подъём температуры тела до субфебрильных цифр;
- головная боль;
- заложенность носа;
- недомогание.
Головная боль — один из симптомов
Специфические симптомы характерны конкретно для этого заболевания:
- головная боль имеет свою локализацию — в затылке, в глубине головы;
- постоянное ощущение неприятного запаха;
- при осмотре ротоглотки обнаруживается полоска гноя на её задней стенке.
Острый сфеноидит
- выраженная интоксикация;
- болевой синдром — головная боль, боль в глазных яблоках;
- свежий гной на задней стенке глотки.
Хронический сфеноидит
Хронический процесс характеризуется:
- атрофией слизистой оболочки носоглотки, образованием на ней трудноудаляемых корок;
- если воспаление затрагивает близкорасположенную хиазму — перекрест зрительных нервов — появляются жалобы на такое ухудшение зрения: нарушение движения глаз, опущение век, слезотечение;
- при затрагивании черепно-мозговых нервов появляются характерные симптомы — боль в лице, паралич половины лица, опущение века, ухудшение слуха.
Клиновидная пазуха в медицинской литературе описывается как «немая» или «забытый синус». Это связано с её расположением — она находится в толще клиновидной кости, которая расположена в глубине черепа.
Особые симптомы
- нарушение аппетита как проявление интоксикации;
- изменения сна — ночью бессонница, днём сонливость;
- кожные парестезии — мурашки, онемение.
Эти признаки характерны для хронического течения.
Диагностика заболевания
Постановка диагноза основывается на:
- характерных жалобах пациента;
- данные визуального осмотра для диагностики малозначимы, поскольку клиновидная пазуха недоступна ни риноскопии, ни фарингоскопии;
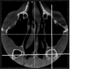
- информативнее других методов обнаруживают сфеноидит компьютерная или магнитно-резонансная томография;
- при недоступности КТ и МРТ выполняется рентгенологическая диагностика;
- имеет место такой метод, как диагностическая пункция с исследованием содержимого пазухи.
КТ — исследование пазухи с помощью рентгеновского излучения. КТ позволяет выявить аномалии синуса, степень поражения слизистой. При исследовании с помощью КТ определяется уровень гноя в пазухе.
Ещё более информативным методом диагностики является МРТ — она выявляет послойные поражения, которые могут быть не замечены на КТ.
Лечебные приемы
Лечение любого синусита — процесс комплексный и сложный. В случае сфеноидита, особенно хронического, он становится ещё сложнее, потому что пазуха эта труднодоступна для лечебных манипуляций.
Основной задачей лечебного процесса является устранение причины — инфекции. Так как подавляющее большинство сфеноидитов вызвано бактериальной флорой, для лечения симптомов используются антибактериальные препараты с широким спектром действия:
- пенициллины – «Амоксиклав», «Флемоксин»;
- цефалоспорины – «Цефтриаксон», «Цефепим»;
- макролиды – «Азитромицин».
При легких формах заболевания такие препараты принимают внутрь в таблетированной форме. При тяжелом течении лечить нужно серьезнее — назначаются внутримышечные инъекции.
Все остальные лекарственные средства оказывают симптоматическое и патогенетическое действие:
- лечение сфеноидита гормональными средствами — выраженный противовоспалительный и противоотечный эффект («Назонекс», «Авамис», «Дезринит»);
- сосудосуживающие средства — противоотечный эффект, освобождают носовое дыхание («Ксилен», «Тизин», «Отривин»);
- нестероидные противовоспалительные средства — устранение воспалительного процесса, снижение температуры тела, обезболивание («Нурофен», «Панадол», «Кетопрофен»);
- антигистаминные средства — устранение отека и заложенности носа («Зиртек», «Кларитин», «Зодак»);
- средства для стимуляции иммунитета («Иммунал», «Ликопид», «Бронхо-мунал»);
- гомеопатические средства («Синупрет», «Синуфорте»).
Положительный эффект при сфеноидите оказывают методы физиотерапии:
- назальный электрофорез с лекарственными средствами;
- ультрафиолетовое облучение пазухи через носовые ходы;
- магнит на область пазухи.
Если консервативная терапия не даёт должного эффекта и состояние пациента ухудшается, применяется хирургическое лечение.
Хирургическое вмешательство
- Хирургами используется эндоскопическая методика операции. Доступ к клиновидному синусу осуществляется через глазницы и носовые ходы. С помощью эндоскопа очищается полость синуса и удаляется все лишнее — некротизированная слизистая, полипы, кисты.
- Катетеризация. Через носовые ходы в полость синуса вводится катетер, с помощью которого промывается полость пазухи.
Осложнения
Если заболевание не лечить, оно способствует развитию тяжёлых осложнений:
- хронизация процесса;
- переход воспаления на другие пазухи с формированием пансинусита, лечить который придётся очень долго;
- переход воспаления на глазницу с развитием абсцессов и флегмоны — их лечить только оперативно;
- патология черепно-мозговых нервов и соответствующие симптомы;
- нарушение зрения необратимого характера;
- переход воспаления на головной мозг с развитием осложнений — менингита и энцефалита.
Профилактика
Профилактические мероприятия заключаются в:
- полноценном лечении респираторных заболеваний;
- поддержании хорошего иммунитета;
- избегании в период эпидемий мест скопления людей;
- периодической санации пазух с помощью специальных растворов – «Аквамариса», «Физиомера», «Аквалора», «Маримера».
Народная медицина
Сфеноидит — не то заболевание, которое нужно пытаться лечить самостоятельно, в домашних условиях, используя приёмы народной медицины.
Слишком серьёзные осложнения могут развиться из-за неправильного лечения хронического воспаления клиновидного синуса.
Методы народной медицины в домашних условиях можно применять только в качестве дополнительного лечения и только после консультации специалиста.
Прогноз при сфеноидите
Прогноз заболевания зависит от своевременности диагностики и лечения. Сразу же проведенное лечение и операция позволят устранить патологический процесс и добиться полного выздоровления. Если же пациент не обращается за медицинской помощью и не начинает лечить болезнь, сфеноидит переходит в хроническую форму и развиваются осложнения.
Особенности образа жизни
Лечение сфеноидита во время острого процесса требует от пациента соблюдения особых правил:
- немаловажно соблюдать правильное питание и питьевой режим;
- процедуры, направленные на регулярное очищение носоглотки от слизи и гноя;
- мероприятия по повышению резистентности организма.
Питание
Вырабатывается четкий режим приёма пищи — в одни и те же часы, небольшими порциями, пять раз в день.
Из рациона исключаются продукты, которые способствуют возникновению аллергии. Аллергический процесс в организме вызывает отек в слизистых, в том числе и слизистой клиновидной пазухи.
Полезными продуктами являются те, которые способствуют повышению резистентности организма. Такие продукты должны содержать:
- витамины;
- белки, жиры и углеводы;
- минеральные вещества;
- пробиотики — бифидо- и лактобактерии.
Острый сфеноидит требует ограничивать приём жидкости, чтобы не увеличивать отек слизистой и симптомы нарушения дыхания.
Очищение носоглотки
Необходимо для ускорения выздоровления и направлено против присоединения вторичной микробной флоры. Осуществляется промывными растворами:
- «Аквамарисом»;
- «Аквалором»;
- «Физиомером»;
- «Маримером»;
- «Линаквой».
Закаливание
Включает мероприятия, направленные на повышение резистентности организма:
- контрастный душ;
- холодные обливания;
- гимнастические занятия на свежем воздухе.
Сфеноидит- заболевание не из простых. Оно требует своевременной диагностики, несмотря на малое количество специфических симптомов. Процесс часто приобретает хронический характер и требует длительного лечения, иногда и повторных операций.
Сфеноидит – симптомы и лечение, фото, антибиотики

Из этой статьи Вы узнаете:
- что такое сфеноидит,
- по каким признакам ставится диагноз,
- сфеноидит: симптомы и лечение.
Сфеноидит – это воспаление клиновидных пазух, которые являются одними из четырех пар придаточных пазух носа. Изолированный сфеноидит встречается крайне редко (в 1-2% от всех случаев острых и хронических синуситов). Чаще всего сфеноидит возникает как следствие воспаления в расположенных рядом решетчатых пазухах, которое носит название «этмоидит».
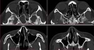
Сфеноидит: фото
Сфеноидит является самым опасным воспалением пазух, если сравнивать его с последствиями воспаления других придаточных пазух носа. Клиновидные пазухи находятся у основания черепа, и гнойное воспаление этих пазух чрезвычайно быстро прогрессирует и вызывает тяжелейшие осложнения.
Сфеноидит: причины
Предрасполагающие факторы для IS включает силовое попадания воды в нос во время купания и подводного плавания, аллергический ринит, полипы синоназального, бронхиальная астма, перегородки отклонение, средний / превосходные раковины аномалии, лучевой терапии, иммуносупрессии, сахарный диабет и злоупотребления кокаином.
Сфеноидит: симптомы
Сфеноидит практически не имеет каких-либо «оригинальных» симптомов, поэтому диагностика этого заболевания достаточно сложна. Чаще всего пациентов могут беспокоить следующие симптомы –
- головные боли (особенно в затылке, темени, висках, рядом с глазами),
- насморк,
- затуманенное зрение (возможно),
- повышенная температура, выраженная слабость, быстрая утомляемость,
- боли в разных участках лица,
- слизисто-гнойные выделения из носа,
- стекание слизи и гноя по задней стенке горла.
Как диагностируется сфеноидит –
Несомненно жалобы пациентов (симптомы) имеют значение при постановке правильного диагноза, однако, поставить окончательный диагноз «сфеноидит» можно, только полагаясь на дополнительные методы обследования.
https://youtube.com/watch?v=Wl6YD6xeGnM
К дополнительным методам относится, например, носовая эндоскопия. Тем не менее, одной только эндоскопии носа также недостаточно, т.к. примерно в 50-60% случаев эндоскопия не выявляет ничего патологического. Обычная рентгенография черепа мало информативна и, как правило, бесполезна.
Единственными методами, которые наверняка могут определить сфеноидит, являются компьютерная томография (КТ) или магнитно-резонансная томография (МРТ) –
Сфеноидит: лечение
Острый и хронический сфеноидит лечение проводится у Лор-врача. Если симптоматика умеренная и нет признаков осложнений – проводится консервативная терапия. Если же воспаление тяжелое и есть симптомы осложнений, или консервативная терапия не приносит успеха – решается роль о проведении хирургической операции.
Основные направления консервативной терапии: во-первых – снять заложенность носа, устранить отек слизистой оболочки носа и улучшить отхождение воспалительного экссудата из клиновидных пазух при помощи спреев от насморка, во-вторых – это антибиотикотерапия (возможно также применение кортикостероидов).
Рекомендуемые спреи от насморка – обычные сосудосуживающие капли от насморка при любых синуситах нельзя использовать более 2 или 3 дней. Причина этого в том, что традиционные компоненты спреев через 2-3 дня перестают эффективно действовать, к ним развивается привыкание, и они постепенно начинают оказывать противоположные эффекты.
При сфеноидите оптимально использовать следующие средства от насморка:
Препараты, ускоряющие очищение пазух от гноя и слизи – растительные компоненты этих препаратов стимулируют функцию мерцательного эпителия на поверхности слизистой оболочки, что приводит к более быстрому очищению пазух (которые выстланы из нутри слизистой оболочкой и сообщаются через небольшие отверстия с полостью носа) от накапливающихся в пазухах слизи и гноя.
Антибиотики при сфеноидите –
В зависимости от тяжести воспаления антибиотики могут назначаться внутрь, либо внутривенно. Наиболее оптимальным выбором антибиотика при сфеноидите считается Амоксициллин в комбинации с Клавулановой кислотой. Препараты, содержащие такое сочетание, например: «Амоксиклав» или «Аугументин».
При непереносимости антибиотиков группы пенициллинов или при недостаточности эффекта могут быть назначены антибиотики группы макролидов (например, Азитромицин» или «Кларитромицин»), а также группы фторхинолонов (например, «Ципрофлоксацин»).
Хирургическое лечение сфеноидита –
Если консервативная терапия оказалась неэффективной, или на момент обращения пациента уже есть симптомы тяжелых гнойных осложнений – проводится срочная хирургическая операция при помощи эндоскопа и микро-хирургических инструментов (с доступом через носовые ходы). Надеемся, что наша статья на тему: Сфеноидит симптомы и лечение – оказалась Вам полезной!
Источники:
1. Высшее проф. образование автора по хирургической стоматологии, 2. На основе личного опыта в челюстно-лицевой хирургии и хирургической стоматологии,
3. National Library of Medicine (USA),
4. «Руководство по челюстно-лицевой хирургии» (Тимофеев А.А.),
5. «Хирургическая стоматология и челюстно-лицевая хирургия» (Кулаков А.).
Портал «24stoma» создан нами в 2011 году – в качестве информационного ресурса для пациентов. Вы можете быть полностью уверены в достоверности медицинской информации на нашем сайте, т.к.
все статьи написаны опытными практикующими врачами.
Наша экспертность подтверждена рекомендациями «Стоматологической Ассоциации России» (СтАР), специалисты которой присвоили нашему сайту официальный статус – «Информационный портал, аккредитованный при СтАР».
Наш информационный портал также прошел сертификацию специалистами международной медицинской организации «Health on the Net Foundation» (HON), которая является партнером Всемирной Организации Здравоохранения (ВОЗ).
Наличие подобного сертификата у медицинских сайтов – также является одним из критериев достоверности медицинской информации, и того, что все статьи написаны не студентами или копирайтерами, а практикующими врачами с документально подтвержденным медицинским образованием.
Информация о составе редакции –
Главный редактор и учредитель: Каменских Кирилл Валерьевич (высшее медицинское образование по специальности «Стоматология», действующие сертификаты по хирургической стоматологии и челюстно-лицевой хирургии + дополнительное профессиональное образование в области эстетической косметологии – по мезотерапии, применению ботулотоксинов, контурной пластике лица, а также по нитевому лифтингу). Вся информация на сайте является оригинальной и написана редактором сайта.
Профиль редактора в Instagram
Профиль редактора в
Подробная информация об образовании – 1977 года рождения, 43 года. В 1999 году закончил стоматологический факультет Омской государственной медицинской академии (ОГМА).
Получен диплом врача по специальности «Стоматология» (рис.2). С 1999 по 2000 год пройдена интернатура по хирургической стоматологии в челюстно-лицевом отделении Курганской обл.больницы (рис.3).
С 2000 года – хирург-стоматолог.
В 2002 году – повышение квалификации «Практическая пародонтология» в Волгоградской медицинской академии (рис.4). В 2006 году – повышение квалификации «Стоматология терапевтическая» в Смоленской медицинской академии (рис.5).
Основной опыт работы – оперативная пародонтология (лоскутные операции, кюретаж), амбулаторная хирургия, имплантология.
Прошел годовую стажировку в челюстно-лицевом отделении при Московском областном научно-исследовательском клиническом институте (МОНИКИ).
В 2018-2019 году пройдено несколько курсов повышения квалификации в сфере эстетической косметологии: 1) по применению ботулотоксина типа А, например, Ботокса, Диспорта, Ксеомина и т.д.
, 2) несколько курсов по нехирургическому инъекционному лифтингу мягких тканей лица, т.е. контурной пластике, 3) по мезотерапии лица и тела, биоревитализации лица.
Обучение пройдено в крупных косметологических компаниях, получены удостоверения о повышении квалификации государственного образца (фото сертификатов размещены ниже).
Документы об образовании врача-стоматолога –
Все документы об образовании государственного образца, принадлежащие главному редактору портала Каменских К.В., имеют регистрационный номер, действительность которого легко проверяется.
Рис.1-3 – диплом врача по специальности «Стоматология» + действующие сертификаты по хирургической стоматологии и челюстно-лицевой хирургии. Диплом врача-стоматолога выдан Омской государственной медицинской академией (ОГМА). В настоящее время ВУЗ называется – Омский государственный медицинский университет (ОмГМУ).
Рис.4 – Свидетельство об окончании интернатуры «Стоматология хирургическая». Интернатура пройдена в челюстно-лицевом отделении Курганской областной больницы (ГБУ «КОКБ»).
Рис.5 – Свидетельство о повышении квалификации «Практическая пародонтология» при Волгоградской медицинской академии (ВолГМА). В настоящее время ВУЗ называется – Волгоградский государственный медицинский университет (ВолгГМУ).
Рис.6 – Диплом о дополнительном образовании «Стоматология терапевтическая». Получен при Смоленской гос. медакадемии (СмолГМА). В настоящее время ВУЗ называется – Смоленский государственный медицинский университет (СГМУ). Документ дает право работать стоматологом-терапевтом:
Рис.7 – Сертификат о дополнительном образовании по имплантологии. Учебный центр «Северная Синица» (Санкт-Петербург). Пройдено индивидуальное обучение у врача-имплантолога, кандидата медицинских наук Караскуа А.А.:
Доп. образование по косметологии –
Прохождение некоторых курсов по косметологии подтверждено удостоверениями государственного образца (наличие такого свидетельства говорит о том, что содержание данного курса было одобрено Министерствами Здравоохранения и Образования РФ), часть других – подтверждается наличием коммерческих сертификатов. Ниже мы приводим только самые основные документы, т.к. их достаточно много.
Доказательства нашей экспертности –
Как мы сказали выше – наш портал имеет аккредитацию «Стоматологической Ассоциации России» (СтАР) и ассоциации «Health on the Net Foundation». Уже только это может свидетельствовать о том, что мы являемся экспертами.
Помимо этих профессиональных медицинских ассоциаций нас рекомендуют государственные медицинские вузы при Министерствах Здравоохранения России и Украины – в качестве учебного ресурса для студентов-стоматологов.
Ссылки на документы:
- Национальный медицинский университет имени А.А.Богомольца МЗ Украины (ссылка на документ).
Наши статьи используются в материалах научных конференций –
Ниже мы приводим краткий перечень научно-практических конференций по стоматологии, в которых используются наши публикации.
Мы серьезно относимся к нашей работе, поэтому наш информационный ресурс имеет государственную регистрацию юридического лица. Кроме того, просим вас внимательно отнестись к копированию материалов нашего сайта, т.к. товарный знак 24stoma® зарегистрирован Федеральной службой по интеллектуальной собственности № 664752 от 30.07.18 г. Правообладатель товарного знака – ООО «Стоматология Онлайн».
Будучи профессиональными медицинскими специалистами – мы публикуем только актуальную информацию, в объективности которой мы уверены. Мы дорожим своей репутацией и не публикуем рекламных материалов под видом статей. Мы надеемся, что наш опыт и профессионализм будут вам полезны. С уважением, главный редактор Каменских Кирилл Валерьевич.



