Мультифолликулярные или поликистозные яичники

Мультифолликулярными яичниками называют такие яичники, у которых одновременно увеличено несколько фолликулов (12 и более штук).
Если в первую фазу цикла у женщины на УЗИ можно видеть такие яичники, то к лечению прибегать не всегда требуется, так как мультифолликулярные изменения яичников могут происходить у всех здоровых женщин вначале менструального цикла.
Существует множество факторов, задерживающих развитие фолликулов, вызывая при этом гормональный дисбаланс в женском организме.
Но множество фолликулов в яичниках можно наблюдать и в другие периоды цикла.
Причины этому могут быть следующие:
- прием гормональных контрацептивов;
- эндокринные заболевания, в частности нарушение работы щитовидной железы;
- период грудного вскармливания или же повышение уровня пролактина по иной причине;
- стресс;
- резкое похудание или ожирение;
- подростковый возраст.
Иногда очень сложно определить разницу между яичниками поликистозными и мультифолликулярными по результатам УЗИ. Поэтому женщинам, имеющим признаки мультифолликулярных яичников, необходимо динамическое наблюдение у врача-гинеколога с определением гормонального фона.
Симптомы поликистоза яичников
Симптомы поликистоза могут быть такие:
- нарушение менструального цикла;
- отсутствие менструаций более полугода;
- боли внизу живота;
- бесплодие;
- лишний вес;
- угри и прыщи на теле;
- обильный рост волос на всей поверхности тела;
- повышенная жирность кожи головы;
- понижение голоса.
При поликистозе яичников симптомы могут быть явными, а могут практически никак не проявляться: не отражаться на внешности или менструальном цикле женщины. Бесплодие является единственным явным симптомом развития поликистоза яичников.
Причины формирования патологии
К основной причине заболевания относят наследственность. Причем, наследование непрямое, обусловленное не одним геном — их комбинацией.
Данное заболевание, причины которого пока до конца не изучены, сопровождается:
- понижением уровня эстрогенов (женских гормонов);
- увеличением уровня тестостерона (мужского гормона);
- повышенной концентрацией гормона поджелудочной железы инсулина;
- неправильным соотношением фолликулостимулирующего и лютеинизирующего гормонов 2,5:3 (норма 1,5:2).
Беременность и поликистоз
Беременность и мультифолликулярные яичники — вполне совместимы. Но только при отсутствии других нарушений, беременность пройдет нормально.
В случае поликистоза, поверхностный слой яичников утолщается, что мешает выходу яйцеклетки наружу. Как результат — овуляция происходит очень редко. Это заболевание, если сравнивать с эндометриозом, считается одной из самых основных причин бесплодия женщины.
Если регулярно проходить профилактические осмотры, то выявить болезнь можно на самых ранних стадиях ее развития.
Диагностическое обследование заболевания
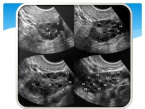
Чтобы подтвердить диагноз, врач вначале, затем в середине и конце менструального цикла назначает УЗИ. Также периодически ультразвук назначают если в процессе данного исследования видны более 10-12 увеличенных фолликулов размером 2-9 мм или яичник, увеличенный в два-три раза.
К тому же следует сдать анализ крови на следующие гормоны:
- фолликулостимулирующий (ФСГ);
- лютеинизирующий (ЛГ);
- инсулин;
- тестостерон;
- кортизол;
- 17-ОН-прогестерон;
- тироксин (Т4);
- ДЭА-сульфат;
- тиреотропин (ТТГ);
- трийодтиронин (Т3).
Чтобы установить точно диагноз поликистоза яичников, следует исключить заболевания, которые дают такую же клиническую картину:
- гиперпролактинемия — переизбыток пролактина;
- синдром Кушинга — повышенное количество кортизола;
- гипотиреоз — снижение функций щитовидной железы;
- андрогенитальный синдром — увеличенное содержание тестостерона.
Лечение поликистоза
Решение о том как лечить поликистоз яичников принимает только врач-гинеколог после осмотра и после проведенных результатов лабораторных анализов.
Лечение поликистоза направлено на:
- Уменьшение уровня мужских гормонов;
- Восстановление менструального цикла;
- При необходимости добиться беременности;
- Профилактические меры по устранению нарушенного обмена веществ.
В случае аменореи (отсутствии месячных) нельзя исключить другие причины ее развития. Лечение поликистоза сможет восстановить гормональный баланс, запустит нормальный цикл менструаций и нормализовать овуляцию. Если у женщины яичники поликистозные, в первую очередь устраняют причину — нормализуют гормональный фон.
В случае подтверждения диагноза, лечение должно включать: лазеролечение, физиотерапию, гормональную и иммуностимулирующую терапию:
- Назначают диету с низким содержанием калорий. Известно из проводимых исследований, что прекрасно регулирует цикл и приводит в норму количество женских и мужских гормонов снижение веса. Если же у больной отсутствуют месячные (аменорея), лечение следует начинать с правильного питания, помогающего снизить вес.
- Проводят лечение гормональными контрацептивами.
- Назначают препарат метформин. Его принимают для лечения сахарного диабета, который регулирует работу инсулина. Когда уровень гормона приходит в норму, налаживается выработка других гормонов.
- Проводят курс лечения антиандрогенными препаратами, которые снижают воздействие мужских гормонов.
- Стимулируют овуляцию. Это необходимо в том случае, если женщина хочет забеременеть.
- Проводят хирургическое вмешательство. Эта крайняя мера необходима в случае, если консервативные методы не дали никакого положительного эффекта. Негативная сторона данной процедуры заключается в том, что могут появиться спайки и непроходимость маточных труб.
Только в сопровождении мультифолликулярных яичников вместе с ановуляторными циклами необходимо проводить лечение.
Мультифолликулярные яичники: что это значит, можно ли с ними забеременеть, лечение. почему в яичнике много фолликулов

Во время очередного ультразвукового обследования женщина может неожиданно для себя узнать о том, что у нее мультифолликулярные яичники. Этот термин используется сонологами (специалистами УЗ-диагностики) для описания состояния половых желез, но не является самостоятельным заболеванием или руководством к лечению. В большинстве случаев это вариант нормы.
Если женщина узнала о том, что ее яичники мультифолликулярные, то ей необходимо обратиться к гинекологу. Принять решение о том, нужны ли терапевтические манипуляции, можно только после комплексного обследования.
Нормальная работа яичников
Естественная работа яичников заключается в выполнении важных функций: генеративной (детородной), гормональной и вегетативной. Регулярный менструальный цикл говорит об отлаженной работе половых желез.
В первой фазе цикла, которая у разных женщин может длиться от 7 дней до 3 недель, происходит выработка эстрогенов. Яичники постепенно увеличиваются в размере, формируя в себе фолликулы.
Один или несколько из них к завершению первой фазы становятся доминантными. Для определения этого понятия сонологи используют термин «граафов пузырек».
Достаточное выделение эстрогенов в первой фазе цикла регулирует продуцирование фолликулостимулирующего гормона гипофизом.
https://youtube.com/watch?v=v_lXwW3-1PM
Под действием лютеинизирующего гормона, за секрецию которого отвечает передняя доля гипофиза, происходит раскрытие доминантного фолликула (реже – нескольких одновременно). Яйцеклетка покидает место своего образования, чтобы встретиться со сперматозоидом.
На пустом месте из остатков граафова пузырька формируется желтое тело. В случае наступления беременности оно будет поддерживать достаточный уровень прогестерона.
Если зачатие не состоялось, то в течение 2-3 дней яйцеклетка погибает, а желтое тело разрушается за несколько суток до очередной менструации.
Нормальная работа яичников обеспечивает представительницам слабого пола ту внешность, которая отличает их от мужчин: фигура типа «песочные часы», густые волосы на голове и легкий пушок – на других частях тела, женственная походка, нежная кожа.
В норме к моменту овуляции определяется 1-2 доминантных фолликула и несколько антральных. При обнаружении 8-10 пузырьков и более в заключении УЗИ указывается аббревиатура МФЯ.
Мультифолликулярные – значит поликистозные?
Мультифолликулярные изменения яичников – это большое количество фолликулов, образующихся однократно или в течение каждого цикла. В норме половые железы включают от 4 до 7 фолликулов.
Когда сонолог обнаруживает 8-10 или больше, он говорит о том, что есть эхопризнаки мультифолликулярных яичников. Большое количество фолликулов может быть вариантом нормы.
Мультифолликулярность постоянно или время от времени наблюдается у 25% всех здоровых женщин.
Однако в ряде случаев такие УЗ-признаки заставляют врача заподозрить заболевание — синдром поликистозных яичников (СПКЯ).
Это вовсе не одно и то же, хотя на УЗИ эти два состояния очень похожи. Главное отличие в том, что у женщины с мультифолликулярными яичниками без СПКЯ есть овуляция, а месячный цикл регулярный. В этом случае беспокоиться абсолютно не о чем: такое состояние не мешает забеременеть и жить полноценной жизнью.
При СПКЯ, помимо того, что в яичниках много фолликулов, присутствует дополнительная симптоматика:
- Ановуляторный цикл (отсутствие овуляции). Образовавшиеся пузырьки претерпевают обратное развитие или остаются в неизменном состоянии (атрезия фолликула или персистенция фолликула);
- Нерегулярный или слишком длинный месячный цикл;
- Увеличенный размер яичника на УЗИ;
- Фолликулов больше 10, при этом каждый имеет размер не менее 1 см;
- Гормональные нарушения: содержание в крови ЛГ и ФСГ, тестостерона, инсулина отличаются от нормы;
- Повышенное оволосение по мужскому типу, склонность к полноте, акне (иногда, но не всегда);
- Бесплодие.
Определить самостоятельно, с чем пациентка имеет дело, невозможно. Есть ли поликистоз, можно узнать при помощи дополнительных диагностических процедур. Такое состояние требует обязательной коррекции.
Поликистоз является эндокринным гинекологическим заболеванием, при котором яичник приобретает плотную капсулу. Оболочка не позволяет раскрыться созревшему фолликулу и выпустить яйцеклетку.
Зачастую синдром поликистозных яичников сопровождается заболеваниями щитовидной железы.
Когда структура яичников мультифолликулярная, но нет других жалоб и проявлений гормональных нарушений, обнаруженное состояние признается нормальным. Коррекции оно не требует, а только предполагает наблюдение за работой половых желез в течение нескольких месяцев.
Причины
Причины образования множественных фолликулов бывают внешними и внутренними. Выяснив, что вызвало отклонение, можно говорить о необходимости медицинской коррекции. Здоровым женщинам с правильным функционированием репродуктивных органов будет достаточно устранить провоцирующий фактор. Мультифолликулярная трансформация яичников бывает:
- при использовании гормональных лекарств (длительное подавление репродуктивной функции с последующей отменой препарата ведет к массивному росту фолликулов);
- в пубертатном периоде (у девушек при половом созревании происходит гормональный скачок, который может повлечь за собой рост большого количества антральных фолликулов);
- из-за генетической предрасположенности (если у ближайших родственниц по женской линии наблюдалась такая особенность с сохранением регулярной овуляции, то следует считать данный факт наследственным состоянием);
- вследствие нарушения работы гипофиза (из-за недостаточного выделения ЛГ раскрытие граафова пузырька не происходит);
- при эндокринных отклонениях (могут быть спровоцированы стрессом, хронической усталостью, тяжелым нагрузками);
- у женщин с избытком или дефицитом массы тела.
Истинные причины поликистоза на сегодняшний день остаются неизвестными. Очевидно, что провокатором этого процесса является гормональный сбой. Дисбаланс эстрогенов с прогестероном возникает из-за воспалительных заболеваний, сбоев в работе надпочечников и гипофиза, снижения чувствительности к инсулину.
Симптомы
Женщинам необходимо знать про мультифолликулярные яичники то, что это состояние может никак себя не проявлять. При отлаженной работе половых желез представительница слабого пола не ощущает, что внезапно левый или правый яичник наполнился множественными пузырьками.
Реже пациентка чувствует дискомфорт при половом контакте, а также в момент дефекации. Менструация может быть более болезненной или оставаться привычной.
У 7 пациенток из 10 увеличение количества антральных фолликулов обнаруживается совершенно внезапно, что подтверждает бессимптомное течение.
Синдром поликистозных яичников всегда сопровождается нарушением менструальной функции, долгими циклами, бесплодием, болями в нижнем сегменте живота и другими симптомами. Нередко поликистоз дополняется другими гормональными заболеваниями, например, эндометриозом, гиперплазией, опухолями.
Нужно ли это лечить?
Лечение мультифолликулярных яичников начинают только в том случае, когда подтверждается патологическая причина их возникновения, то есть если ставится диагноз синдром поликистозных яичников.
Выявить ее можно только при помощи дополнительных исследований. Первое, что делает гинеколог – проводит ручной осмотр и берет мазок. Определение воспалительного процесса обязывает женщину пройти лечение.
Обращается внимание на индекс массы тела пациентки и ее внешний вид: пигментацию кожи, оволосение.
Перед тем, как лечить пациентку гормональными препаратами, необходимо определить уровень ФСГ, ЛГ, прогестерона и андрогена. Показатели этих гормонов могут сообщить о поликистозе даже без ультразвукового сканирования. Дополнительно берется кровь на сахар, инсулин, пролактин и некоторые гормоны щитовидной железы. Для каждой женщины гинеколог назначает индивидуальный спектр анализов.
Если для пациентки подтвержден диагноз СПКЯ, а на УЗИ видно мультифолликулярные яичники, лечение должно быть комплексным. Женщине назначается гормональная терапия, помогающая «усыпить» половые железы. В течение 3-6 месяцев женщина принимает рекомендованные оральные контрацептивы, а врачи следят за состоянием яичников.
Когда размер антральных пузырьков уменьшится, женщине назначают стимуляцию овуляции. Популярным препаратом, используемым с этой целью, является Клостилбегит. Произошедшая овуляция является колоссальным шагом на пути к успеху. Вторую фазу поддерживают при помощи препаратов на основе прогестерона.
Отсутствие положительных результатов от медикаментозного лечения предполагает проведение хирургического вмешательства. Лапароскопия – эффективный и малотравматичный метод лечения СПКЯ. Во время операции производится резекция железы, а также на нее наносятся надсечки.
Можно ли забеременеть с мультифолликулярными яичниками
Молодые пациентки переживают по поводу того, как забеременеть с мультифолликулярными яичниками. Если репродуктивная функция не нарушена, менструации регулярные, а овуляция происходит около 10 циклов в год, то вероятность естественного зачатия не снижается.
Процесс выхода яйцеклетки не зависит от количества антральных фолликулов. Их может быть много, но гамету выпустит только один (реже – два или три). Беременность и мультифолликулярные яичники не исключают друг друга. После родов это состояние может появиться вновь.
Если особенность обнаружена у планирующей беременность пациентки во время ультразвуковой диагностики, то женщине назначают анализы гормонов.
При поликистозе вероятность естественного зачатия стремиться к нулю. Всего 15% женщин могут забеременеть спонтанно. При этом порядка 5% из них не способны выносить ребенка из-за гормональных нарушений. У 85% пациенток с СПКЯ диагностируется отсутствие овуляции. На вопрос о том, можно ли забеременеть при поликистозе без специального лечения, гинекологи обычно ротвечают отрицательно.
Независимо от того, справа или слева находится мультифолликулярный яичник, можно попробовать решить проблему при помощи проверенных способов. Важным моментом является диета и физическая активность. Особенно актуально это для женщин с избыточным весом. Питание должно стать менее калорийным, более витаминизированным и полезным. Достаточное потребление воды – обязательное условие.
Лечение народными средствами врачи не признают. Однако среди пациенток с СПКЯ популярно применение трав: шалфей, красная щетка, боровая матка, корень солодки, пастушья сумка.
Лечение мультифолликулярных яичников необходимо не всем пациенткам, а только женщинам с нарушением репродуктивной функции, то есть при СПКЯ. Для терапии следует использовать препараты, назначаемые врачом в строгом соответствии с дозировкой и схемой.
Консультация акушера-гинеколога
На вопросы пациенток отвечает акушер-гинеколог Елена Арьемьева.
— Получится ли забеременеть с мультифолликулярными яичниками?
— Если есть овуляция, то наверняка получится. Чтобы узнать, есть ли она, надо сделать фолликулометрию или купить тесты на овуляцию. Если она есть, беспокоиться, скорее всего, не о чем.
Если же овуляции нет, то в сочетании с другими симптомами можно предположить СПКЯ.
Чтобы исключить это заболевание, нужно проконсультироваться с эндокринологом (в идеале с гинекологом-эндокринологом) и сдать анализы на гормоны.
— Мне 21 год, у меня большая задержка (месяц), тест отрицательный. На УЗИ увидели мультифолликулярные яичники.
— Вам нужно сдать анализы на гормоны, в том числе обязательно проверить уровень лютеинизирующего гормона. Такое состояние может быть временным (например, в случае гормонального сбоя, связанного с резкой потерей или набором веса). А может свидетельствовать о начальной стадии поликистоза. Это серьезно. Найдите хорошего врача и выполняйте все его назначения.
Лечение бесплодия, связанного с СПКЯ (синдром поликистозных яичников)

Синдром поликистозных яичников (СПКЯ) – одно из наиболее частых эндокринных заболеваний женщин детородного возраста.
Оно проявляется себя комбинацией симптомов:
- гиперандрогения (увеличение мужских половых гормонов),
- отсутствие овуляции
- характерные поликистозные изменения яичников (мультифолликулярные яичники).
Часто при СПКЯ наблюдается инсулинорезистентность и ожирение.
СПКЯ очень многогранное заболевание. В разные периоды жизни женщины оно поворачивается одной из своих сторон. В молодом возрасте на первое место выходят бесплодие, связанное с отсутствием овуляции и проявления гиперандрогении (избыточный рост волос, жирная кожа и угревая сыпь).
В зрелом возрасте наиболее актуальными становятся ожирение, гиперинсулинемия, сахарный диабет, атеросклероз, гипертоническая болезнь, увеличивается риск развития рака эндометрия.
https://youtube.com/watch?v=Dfxq9Q0IPtY
Риск рака эндометрия связан с гормональными нарушениями: относительным или абсолютным избытком эстрогенов, низким уровнем прогестерона. Одной из функций прогестерона является защита эндометрия от избыточной активности эстрогенов. При СПКЯ овуляция отсутствует, значит нет и желтого тела, и некому вырабатывать прогестерон. Поэтому противодействовать эстрогенам некому.
Об СПКЯ говорят, если есть 2 из 3 критериев (Rotterdam 2003):
- Клиническое или биохимическое проявление высоких уровней андрогенов в отсутствии других причин.
- Олиго- или ановуляция (редкие овуляторные циклы или их отсутствие)
- Характерная УЗ – картина яичников: наличие более 12 фолликулов в каждом яичнике и/или увеличение объема яичников более 10 мл. Из-за такой особенности их еще называют мультифолликулярные яичники.
Почему развивается СПКЯ?
Полная картина развития СПКЯ до сих пор неясна. Гиперандрогения и ановуляция, сопровождающие СПКЯ, могут быть вызваны нарушениями в:
- Яичниках (избыточная продукция андрогенов, отсутствие созревания фолликулов и овуляции)
- подкожно жировой клетчатке (избыток способствует инсулинорезистентности, и является источником синтеза эстрогенов, часто лишним)
- гипоталамо-гипофизарной системе (нарушение механизма регуляции и синтеза ЛГ и ФСГ) – самая главная причина
Выше я уже упоминал инсулинорезистентность. Что это такое? Под инсулинорезистентностью понимают устойчивость клеток к действию инсулина. Основная роль инсулина – облегчение транспорта глюкозы внутрь клетки.
При инсулинорезистентности, клетка не реагирует на обычные дозы инсулина, требуются более высокие концентрации, чтобы завести глюкозу в клетку. Высокие уровни инсулина называют гиперинсулинемией. Гиперинсулинемия способствуют повышению андрогенов. Высокие уровни андрогенов мешают нормальному развитию фолликулов в яичниках.
Фолликулы начинают созревать, но останавливаются на ранних стадиях, достигая диаметра не более 1 см.
Нарушение секреции ФСГ и ЛГ также способствует дисбалансу в продукции андрогенов и эстрогенов в яичниках. Часто наблюдается увеличение секреции ЛГ при нормальных показателях ФСГ.
Обычна тот или иной фактор превалирует, но присутствуют все вышеперечисленные нарушения:
- аномальная выработка гонадотропинов (ФСГ, ЛГ),
- гиперинсулинемия
- избыток андрогенов.
Как проявляется СПКЯ?
Ановуляцию в случае СПКЯ подозревают при наличии редких менструаций (олигоменоррея) или при их отсутствии (аменорея).
Ановуляция на фоне СПКЯ – ведущая причина исчезновения менструаций (вторичная аменорея) у пациентов, обращающихся за лечением по поводу бесплодия.
Часто женщины с СПКЯ имеют характерный внешний вид.
Почти у половины женщин с СПКЯ есть лишний вес. Тип отложения жира в организме имеет отношение к регулярности менструального цикла и инсулинорезистентности.
Часто говорят о распределении в форме «яблока» или «груши». В первом случае в основном жировая ткань распределяется вокруг живота, во втором вокруг бёдер и ягодиц.
При распределении вокруг живота чаще наблюдается нарушение менструального цикла и чаще бывает инсулинорезистентность.
Наличие признаков гиперандрогении (акне, гирсутизм, облысение по мужскому типу) говорит о возможном наличии СПКЯ. Вирилизация («омужествление») говорит о серьезных нарушениях секреции андрогенов. При ее наличии необходимо исключить другие причины гиперандрогении:
- андроген-секретирующих опухоли
- неклассическую форму гиперплазии надпочечников
- синдром Кушинга.
Акантозис нигриканс (acanthosis nigricans) – это признак выраженной инсулинорезистентности, часто встречается при СПКЯ и ожирении.
Лабораторные изменения:
- У трети женщин с СПКЯ имеется повышение общего тестостерона.
При концентрации более 5 нмоль/л необходимо исключить другие причины повышенного тестостерона:
- андрогенсекретирующие опухоли яичников или надпочечников,
- врожденной гиперплазию надпочечников
- синдром Кушинга.
Наиболее частая форма врождённой гиперплазии надпочечников, связанна с дефицитом 21 – гидроксилазы. У этих женщин имеются повышенные концентрации 17 – гидроксипрогестерона.
- Измерение свободного тестостерона считается наиболее достоверным методом оценки гиперандрогении. Дело в том, что половые гормоны, в том числе и тестостерон, находятся в двух состояниях: часть из них прикрепляется к особым белкам (белок, связывающего половые гормоны) и считается неактивной, а другая находится в свободном состоянии и оказывает свое действие на клетки мишени. Повышение уровня инсулина (гиперинсулинемия) ведет к уменьшению белка, связывающего половые гормоны, и как следствие, при вроде бы нормальном уровне гормонов, концентрация свободного, активного гормона становится выше.
- Работу яичников в основном регулируют два гормона: фолликулостимулирующий (ФСГ) и лютеинизирующий (ЛГ). При СПКЯ происходит увеличение концентрации ЛГ, но не ФСГ. При высоких уровнях ЛГ чаще наблюдаются нарушении менструального цикла, выкидыши, снижаются шансы на зачатие ребенка.
- Антимюллеров гормон (АМГ) также увеличен при СПКЯ.
Характерным признаком СПКЯ является отсутствие овуляции.
Как определить была или нет овуляция?
Прогестерон образуется в желтом теле. Желтое тело появляется на месте овулировавшего фолликула.
Повышение прогестерона до 30нмоль/л говорит о наличии овуляции. Обычно он максимально повышен на 20-21 день цикла (на 7 день после овуляции). Но при нерегулярном цикле бывает сложно выбрать правильный день для измерения прогестерона.
Обычно требуется измерить несколько раз в течение менструального цикла. Наблюдает за ростом фолликулов, а потом регистрируют и желтое тело.
ЛГ повышается за 36 часов до овуляции. Измерить его можно с помощью тестов на овуляцию или сдав кровь (что более достоверно).
Есть одна проблема. При СПКЯ ЛГ итак повышен, поэтому возможна ложная диагностика овуляции.
Дополнительное обследование касается других причин ановуляции.
Частые причины вторичное аменореи (отсутствия менструации):
- Раннее истощение яичников
- Гиперпролактинемия
- Аменорея, связанная с потерей веса или с занятиями спортом
- Гипогонадотропный гипогонадизм
УЗИ при СПКЯ.
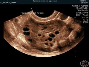
При СПКЯ яичники имеют характерную ультразвуковую картину. В них имеется множество мелких фолликулов по периферии яичника, их иногда называют «ожерельем». Обычно это 9-12 фолликулов диаметром до 9 мм. За счет разрастания стромы яичника (ткань которая окружает фолликулы) увеличивается и объем яичников, обычно он более 10 мл.
Снижение веса.
С одной стороны, это просто, с другой, может представлять очень сложную задачу.
Как мы уже говорили выше, высокие уровни инсулина усугубляют развитие СПКЯ, лишний вес способствует инсулинорезистентности и как следствие ведет к повышению инсулина.
Нормализация веса тела, по крайней мере, до индекса массы тела ниже 30 кг/м2 (норма 19-25 кгм2) помогает восстановить менструальный цикл, улучшает результативность всех видов лечения бесплодия, ведет к снижению уровня инсулина и тестостерона.
Даже небольшое, 5%-снижение веса ведет к уменьшению жировой ткани, повышает чувствительность к инсулину и способствует восстановлению овуляции.
Стойкой нормализации веса тяжело добиться без изменения образа жизни. Требуется коррекция характера питания и уровня физической активности. В ряде случаев может понадобиться медикаментозная поддержка или хирургическое лечение.
Необходимо обращать внимание на безопасность медикаментозных препаратов, т.к. основная цель это беременность.
Лечение ановуляции
Антиэстрогены используются для лечения ановуляции очень давно. Наиболее известный антиэстроген – клостилбегит. Обычно с него начинают лечение ановуляции при СПКЯ. Регуляция работы яичников осуществляется из гипофиза и гипоталамуса (структуры, которые находятся в головном мозге).
Гипофиз и гипоталамус оценивают уровень эстрогенов в крови, если он низкий дается сигнал усилить работу яичников, если он высокий, то яичники отдыхают. При назначении антиэстрогенов, гипоталамус и гипофиз считают, что эстрогенов мало и интенсивно стимулируют выработку ФСГ.
Фолликулостимулирующий гормон заставляет яичники работать интенсивнее, что ведет к образованию фолликулов и к овуляции.
Цель стимуляции овуляции смоделировать физиологические изменения в организме и вызвать рост 1-2 фолликулов.
Клостилбегит (кломифен) вызывает овуляцию примерно у 70-80% пациентов. Эффективность терапии клостилбегитом довольно высокая. Беременность наступает у 15% женщин в течение одного цикла и у 67% через 6 месяцев лечения. Однако при наличии других причин бесплодия достигнуть этих цифр сложно.
Если удалось достигнуть овуляции в течении 3-6 циклов, но беременность не наступила, необходимо рассмотреть и другие варианты лечения.
Побочные эффекты клостилбегита:
- нарушения зрения
- приливы
- вздутие живота
- смена настроения
- нагрубание молочных желез
- головокружение
- тошнота
При стимуляции клостилбегитом существует риск многоплодия, около 6-11%.
Часть пациентов с СПКЯ не реагирует на клостилбегит. В этом случае говорят о кломифенрезистентности. Помочь этим пациентам могут метформин (сиафор), ингибиторы ароматазы, гонадотропины и хирургическое лечение.
Гонадотропины назначают в случаях, когда отсутствует положительный эффект от клостилбегита. Кроме того, их используют при наличии побочных эффектов от клостилбегита.
Начинают обычно с малых доз, цель получение 1-2 фолликула. Основной минус гонадотропинов – высокая стоимость препаратов, по сравнению с клостилбегитом.
Метформин (сиафор) долгие годы использовался как противодиабетический препарат. Действие его направлено на облегчение попадания инсулина в клетку, повышение чувствительности рецепторов клетки к инсулину.
При СПКЯ часто наблюдается снижение чувствительности к инсулину (инсулинорезистентность).
Назначение препаратов, восстанавливающих чувствительность рецепторов к инсулину, может исправить ситуацию и нормализовать обмен гормонов, что приведет к появлению овуляции.
Чувствительность рецепторов к инсулину восстанавливается, уровень инсулина снижается, в след за этим снижается уровень андрогенов, что способствует восстановлению процесса формирования фолликулов и появлению овуляции.
Однако с точки зрения восстановления овуляции метформин проигрывает клостилбегиту и гонадотропинам. Но использование метформина в комбинации с клостилбегитом может помочь в случаях, когда один клостилбегит не справляется (клостилбегит-резистентные яичники).
Оперативное лечение один из самых старых и эффективных методов лечения ановуляции при СПКЯ. Кроме того, он лишен таких недостатков стимуляции яичников, как риск многоплодия и возникновения синдрома гиперстимуляции яичников.
До конца непонятно, почему удаление части яичника помогает восстановить овуляцию у женщин с СПКЯ.
Проведённая операция позволяет вернуть регулярный менструальный цикл.
Наиболее эффективна данная процедура у пациентов с СПКЯ, имеющих высокий ЛГ. У женщин с СПКЯ, имеющих выраженную гиперандрогению, ожирение и длительно существующее бесплодие – операция менее эффективна.
Операция относительно безопасна, осложнения встречаются редко. Наиболее частое осложнение — это формирование послеоперационных спаек.
Эффект от операции временный, менструальный цикл и овуляция, если все удачно, восстанавливается на 1-2 года. Т.е. оперативное лечение, даже успешное, не ведет к полному излечению.
Главный же минус оперативного лечения при СПКЯ — это необратимая потеря овариального резерва. Восстановить его невозможно. И даже ЭКО может не привезти к нужному результату. В этом случае единственным выходом будет донорство яйцеклеток.
Поэтому оперативное лечение СПКЯ оправдано лишь у женщин, которые не имеют возможности наблюдаться во время стимуляции яичников.
Безусловно лечение бесплодия при СПКЯ с помощью ЭКО это самый быстрый путь достижения беременности. Современные технологи позволяют сделать это быстро, эффективно и безопасно.
Отличия поликистозных яичников от мультифолликулярных

Поликистозные и мультифолликулярные изменения в яичниках – это два различных состояния, которые часто по ошибке считаются одинаковыми.
Их происхождение может быть похожим, но лечебные мероприятия и всевозможные последствия значительно различаются.
Для того чтобы понять, почему же при вышеописанных двух патологиях различается методика терапии и характер течения, девушка должна понимать, в чем разница между мультифолликулярными яичниками и поликистозным органом.
Яичники – это парные, детородные органы, которые отвечают за синтез яйцеклеток и гормональных элементов. На начальной стадии менструального цикла на яичниках стремительно развиваются фолликулы (мешочки, в которых находится яйцеклетка) и, после достижения их максимального размера, они разрываются и выпускают оплодотворяемые клетки.
При прогрессировании мультифолликулярных маточных придатков на ультразвуковом исследовании доктор выявляет большое количество созревших фолликулов (более двенадцати штук), которые готовы к овуляционному периоду.
Такое состояние может быть индивидуальной особенностью женщины и лишь в редких случаях требует врачебного вмешательства (при гормональном дисбалансе).
При МФЯ существует высокая вероятность родить двойню или даже тройню.
Поликистоз яичников – это заболевание, ухудшающее нормальное функционирование репродуктивной системы. Представляет собой оно формирование большого количества доброкачественных образований на маточных придатках, которые могут стремительно расти и не позволять наступлению овуляции. Нецелесообразная терапия поликистоза может приводить к бесплодию и другим необратимым последствиям.
Причины их развития
Причиной появления мультифолликулярности яичников, как правило, становится наследственная предрасположенность.
Такое состояние чаще всего развивается у женщин, в роду которой были случаи рождения близнецов или тройняшек. Интенсивная работа придатков не вредит организму.
Синдром поликистозных яичников (СПКЯ), наоборот, может провоцировать необратимые последствия. Такая патология возникает по следующим причинам:
- Гормональный дисбаланс;
- Резкая утрата или набор массы тела;
- Лактационный период;
- Нецелесообразный выбор и прием противозачаточных таблеток;
- Наличие воспалительных процессов в органах малого таза;
- Прогрессирование инфекционных заболеваний;
- Неправильное употребление фармакологических препаратов, содержащих в себе гормональные элементы;
- Ухудшенная работа иммунной системы;
- Нарушения в работе обменных процессов.
Вышеописанные состояния могут стать провокаторами патологического течения МФЯ.
Методы диагностики
Для того чтобы обнаружить и различить МФЯ и СПКЯ проводятся следующие диагностические процедуры:
- Ультразвуковое исследование органов малого таза;
- Лабораторный анализ кровяной жидкости на содержание гормональных элементов;
- Фолликулометрия – контроль за динамикой увеличения и нарушения целостности созревших фолликулов;
- Исследование влагалищного мазка (для выявления воспалительных или инфекционных процессов).
Результаты помогут доктору определить, какое состояние прогрессирует в организме у женщины, и необходимо ли назначать лечебные мероприятия.
Возможные осложнения
Патологическое течение мультифолликулярных изменений и синдром поликистозных яичников, при нецелесообразном лечении, могут осложняться такими состояниями:
- Хронические нарушения менструального цикла;
- Заболевания эндокринной системы;
- Нестабильная работа репродуктивных органов;
- Невозможность зачать ребенка;
- Формирование новообразований внушительных размеров, имеющих злокачественный или доброкачественный характер;
- Нарушение целостности кистозных опухолей и последующее инфицирование организма.
В чем сходства
Из-за некоторых схожестей МФЯ и СПКЯ медикам приходится проводить более обширное обследование. Два патологических состояния имеют такие сходства:
- Одинаковое проявление при ультразвуковом исследовании через влагалищную полость;
- Схожая симптоматика.
Иногда даже лабораторные исследования биологической жидкости могут быть одинаковыми при двух патологиях, так как мультифолликулярные образования могут сопрововждаться гормональным дисбалансом или воспалительным процессами.
Различия
Отличие МФЯ от ПКЯ выявляется на подробном обследовании. При поликистозе отмечаются такие изменения:
- Диаметр яичников увеличивается до девяти сантиметров;
- Утолщению подвергаются внутренние капсулы парного органа;
- Значительно увеличиваются фолликулы;
- Отсутствие овуляционного периода;
- Гормональный дисбаланс.
Мультифолликуряным изменения присущи:
- Увеличение яичников до шести сантиметров;
- Толщина стенок органа не утолщается;
- Размер фолликулярных капсул не превышает восемь миллиметров;
- Овуляционный период наступает своевременно;
- Уровень гормонов остается стабильным.
Считается ли мультифолликулярность поликистозом
Мультифолликулярность яичников при естественном, врожденном течении, которая не сопровождается сбоем менструации, не считается предвестником развития поликистозного синдрома.
Однако в том случае, если МФЯ возникает при различных отклонениях в работе репродуктивной системы, сопровождается задержками и неприятными симптомами, то несвоевременное лечение такого состояния часто заканчивается формированием кистозных опухолей на придатках.
Можно ли забеременеть
Медицинские специалисты утверждают, что длительное прогрессирование синдрома поликистозных яичников делает процесс зачатия ребенка практически невозможным.
Ощутить радости материнства женщина может лишь в том случае, если своевременно вылечить неблагоприятное заболевание, в ходе которого не нарушилось функционирование парных, детородных органов.
Мультифолликулярные изменения патологического характера также препятствуют беременности и провоцируют развитие СПКЯ.
Лишь в случае врожденного прогрессирования мультифолликулярных яичников, которые считаются индивидуальной особенностью женщины, зачатие, вынашивание и рождение здорового малыша возможно.
Как лечить
Чтобы устранить патологические состояния в яичниках доктор выписывает пациентке прием специальных, фармакологических препаратов:
- Болеутоляющие препараты;
- Лекарственные средства, содержащие гормональные элементы;
- Противозачаточные таблетки;
- Препараты, стимулирующие наступление овуляционного периода;
- Рассасывающие новообразования медикаменты.
Мультифолликулярные яичники не требуют произведения терапевтических вмешательств.
Профилактика
Дабы обезопасить себя от развития различных заболеваний, поражающих функционирование маточных придатков, доктора рекомендуют придерживаться следующих профилактических правил:
- Периодическое посещение гинекологического кабинета (не менее двух раз в год);
- Правильное, сбалансированное питание;
- Занятие физической активностью;
- Регулярная сексуальная жизнь;
- Употребление любых фармакологических средств, содержащих в составе гормональные элементы, всегда согласовывать с квалифицированным специалистом;
- Контроль своего психологического состояния;
- Обращение в медицинское учреждение при первых проявлениях нарушений.
Соблюдая вышеперечисленные рекомендации, женщина может значительно снизить вероятность развития заболеваний, поражающих яичники.
Мультифолликулярные яичники — причины и симптомы заболевания

Мультифолликулярные яичники (МФЯ) – это состояние, при котором в яичнике одновременно созревает больше фолликулов, чем обычно. Это расстройство очень распространено в гинекологии, и оно диагностируется у каждой третьей женщины на УЗИ.
Как возникает заболевание яичников
Обычно за один менструальный цикл в яичнике созревает от 4 до 7 фолликулов. Они растут неравномерно: доминируют один или два фолликула, т.е. они растут быстрее.
При синдроме мультифолликулярные яичники в организме созревают 8 или более фолликулов. Это может быть временным явлением, а может указывать на проблемы с гормональной системой.
Иногда эта патология является предвестником поликистоза.
Главный вопрос, который мучает пациентов с мультифолликулярными яичниками: возможно ли забеременеть? В некоторых случаях это отклонение не влияет на овуляцию, поэтому женщина может зачать ребенка, но, если беременность не наступает в течение нескольких месяцев, а анализы показывают отсутствие овуляции, следует начинать лечение. Лучше всего, если это народные средства, которые не нарушают гормональный баланс и помогают естественным образом восстановить репродуктивную функцию.
Причины возникновения МФЯ
- Наиболее распространенные причины возникновения многофолликулярных яичников это:
- генетическая предрасположенность;
- гормональный сбой (недостаток лютеинизирующего гормона, проблемы с щитовидной железой, период лактации, сбой в период полового созревания);
- внезапная потеря веса или увеличение веса;
- прекращение использования противозачаточных таблеток;
- депрессия, постоянный стресс.
Чтобы определить точные причины, необходимо пройти гормональный анализ. Если есть существенные отклонения от нормы, шансы на беременность уменьшаются, и пациентка должна пройти курс лечения.
Симптомы МФЯ
В большинстве случаев такое отклонение не дает симптомов. Только ультразвук может обнаружить эхо-сигналы: количество фолликулов, превышающее норму. В этом случае необходимо отслеживать динамику развития этих фолликулов: в этот момент ультразвук проводится в начале, середине и конце менструального цикла.
Если проблемой является низкий уровень лютеинизирующего гормона, существуют такие признаки многофолликулярных яичников:
- задержка менструального цикла;
- аменорея (не более шести месяцев);
- бесплодие (беременность не наступает из-за отсутствия овуляции).
Стоит отметить, что эти симптомы не обязательно указывают на наличие в анамнезе МФЯ. Но нарушения менструального цикла являются явным признаком гормонального сбоя, поэтому лечащему врачу необходимо понять диагноз и устранить причину.
Мультифолликулярные яичники и беременность
Часто наличие МФЯ не предотвращает наступление беременности, так как эти изменения не влияют на овуляцию. Женщины с эховирусными МФЯ без гормональных нарушений считаются здоровыми и имеют небольшой риск развития беременности и связанных с ней проблем.
Однако с учетом текущей гормональной дисфункции, то есть отсутствия лютеинизирующего гормона, количество циклов овуляции уменьшается. Как правило, после правильной фармакотерапии гормональные нарушения устраняются, проблемы с беременностью устраняются.
Если пациент планирует зачать ребенка после ультразвукового сканирования, и выдается результат о наличии мультифолликулярных яичников, то рекомендуется лабораторное исследование гормональной функции яичников.
При поликистозе яичников беременность маловероятна. Почти все (85%) пациенты с этим диагнозом имеют ановуляцию и первичное бесплодие, а редкие (3-5%) спонтанные беременности показывают преждевременные роды и выкидыши.
В отличие от поликистозов, в многофолликулярных яичниках иногда возникают проблемы с зачатием, а не с самой беременностью. Если результат структурных изменений в яичниках уже взят во время беременности, проводится подробное лабораторное обследование для выявления возможных гормональных нарушений для немедленной коррекции.
Дефицит прогестерона — причина отсутствия беременности
Наиболее частой причиной тревожности по поводу беременности при МФЯ является дефицит прогестерона. Во время формирования плаценты прогестерон выделяется желтым телом во время беременности. После того, как плацента полностью сформировалась, она сохраняет сарен, чтобы сохранить рыхлость в желтом теле, и начинает синтезировать только прогестерон.
Развивающийся и растущий плод воспринимается маткой как «инородное тело», которое имеет тенденцию к рефлексивному разрыву. Прогестерон предотвращает преждевременное прерывание беременности, так как предотвращает сокращение мышечной стенки при беременности. Он также стимулирует рост матки и участвует в подготовке молочных желез к лактации.
При дефиците прогестерона в мультифолликулярных яичниках существует риск преждевременного прерывания беременности. Несмотря на возможность осложнений, подавляющее большинство случаев МФЯ не влияет на нормальное течение беременности и и плода.
Лечение многофолликулярных яичников
Очень важно понимать, что в конечном итоге не следует воспринимать единственный результат о наличии структурных аномалий в яичниках.
Яичники очень чувствительно реагируют на любые временные события (переохлаждение, стресс, инфекционные заболевания, внезапные колебания настроения, чрезмерную физическую активность и т.д.
) в организме и окружающей среде, а иногда реагируют на них с изменением своих функции.
Поэтому при повторном УЗИ в следующем цикле наличие мультифолликулярных яичников может больше не диагностироваться. Исследование проводится в 2 или 3 последующих циклах, и, если картина не меняется, принимается решение о дополнительных тактиках.
Многофолликулярные яичники не лечат, поскольку они не рассматриваются как диагноз или заболевание. Однако, если это является следствием постоянной гормональной дисфункции, необходимо создать и устранить ее источник. В этом случае их не лечат, но патогенез, который их провоцирует, чаще всего заключается в низком содержании лютеинизирующего гормона, ответственного за полную овуляцию.
Чтобы исправить правильный гормональный баланс и способствовать овуляции, в его составе используются гормональные препараты с соответствующим соотношением гормонов. Они подбираются индивидуально на основании лабораторных данных.
Многофолликулярные яичники у подростков – обычное явление, связанное с возрастной нормой, если девушка не жалуется на тяжелую менструальную дисфункцию или другие недуги.
Если мультифолликулярные яичники диагностируются на фоне применения гормональной контрацепции, считается физиологическое состояние.
Когда прием гормональных средств завершен и гормональный фон полон, структура яичников самостоятельно улучшается после двух или трех циклов.
Пошаговое лечение МФЯ
Чрезвычайно важно точно интерпретировать данные ультразвукового сканирования, чтобы отделить мультифолликулярные яичники от поликистозных офтальмологических, так как иногда безобидный результат превращается в серьезный диагноз после дополнительного обследования.
Лечение поликистозных яичников требует много времени и состоит из множества последовательных стадий, так как многие важные системы организма участвуют в формировании поликистоза. На начальных этапах существующие метаболические и эндокринные нарушения улучшаются: разрабатывается индивидуальный план физической активности, пересматривается рацион питания и назначаются меры по снижению веса.
Следующие шаги предназначены для устранения гормональных нарушений (особенно гиперандрогении) и обеспечения овуляции. С этими задачами могут справиться гормональные препараты из группы комбинированных контрацептивов. При лечении поликистоза предпочтительными являются препараты с низким содержанием эстрогена (Marvelon, Logest, Janine и аналоги).
Изменения, происходящие в яичниках в течение периода лечения, полностью контролируются ультразвуком. Если женщина не планирует беременность, лечение прекращается. Если необходимо улучшить циклы овуляции, терапия завершается следующим этапом – стимуляция овуляции.
К сожалению, не всегда возможно выполнить репродуктивную функцию в случае поликистоза. И если лечение окажет положительный эффект, болезнь может вернуться через несколько лет.
Лечение народными методами
В отличие от фармацевтических гормональных препаратов, лечение травами не имеет побочных эффектов.
- Авраамовое дерево увеличивает секрецию лютеинизирующего гормона в гипофизе, а значит, устраняет причину МФЯ. Лечения длится 3 месяца для устойчивого эффекта. Заваривать чай каждое утро и вечер: для этого замочить 10 г фруктов в стакане кипятка и выпейте легкого меда.
- Весенний кипарис, содержит фитогормоны, стимулирует выработку лютеинизирующего гормона. Положить несколько трав в стеклянную емкость, добавить 1 литр водки или разбавленного спирта, накрыть и убрать в темное место. Через 10 дней настойка готова. Утром и вечером пить по чайной ложке лекарства.
- Пастернак столовый. Его народные целители рекомендуют настаивать на вине (1 литр напитка на 100 г трав). Для этого нагреть вино почти до кипения и добавить в него немного гвоздики. Залить этим составом сухую траву и смешать с несколькими столовыми ложками меда. Оставить в теплом месте на три дня, затем процедить и хранить в холодильнике. Пить по 50 мл каждую ночь перед сном, за исключением дней менструации.






