Кт и мрт диагностика дефекта межпредсердной перегородки
- 1/3 всех ВПС дефект межпредсердной перегородки сердца у новорожденных и детей не диагностируется до достижения взрослого возраста.
- Изолированный дефект межпредсердной перегородки (ДМПП) составляет 5-10% всех пороков сердца
- Чаще встречается у женщин, чем у мужчин (2:1)
- До 40% небольших ВПС дефектов межпредсердной перегородки у новорожденных и детей могут закрываться спонтанно в возрасте до 5 лет
- Выраженность и направление шунта зависят от размера дефекта и растяжимости желудочков
- Дефект межпредсердной перегородки менее 0,5 см гемодинамически не значим
- Дефект более 2 см вызывает гемодинамически значимый шунт
- У 10% пациентов с гемодинамически значимым шунтом развивается ЛГ
- В крайних случаях развивается переменный праволевый шунт (синдром Эйзенменгера).
- Дефект первичного окна (15% всех дефектов межпредсердной перегородки)
- Дефект вторичного окна: специальная форма — открытое овальное окно вторичный дефект межпредсердной перегородки (75%)
- Дефект венозного синуса (около 10%)
- Дефект венечного синуса (редко).
- Выраженный рисунок легочных сосудов в связи с перегрузкой кровотоком
- Увеличение ПЖ в связи с объемной перегрузкой
- Поздние стадии дефекта межпредсердной перегородки характеризуются выраженными интерстициальными изменениями в легких
- Первичные показания к КТ отсутствуют.
- Увеличение ПП и ПЖ
- Увеличение легочных артерий с ускорением кровотока через клапан легочного ствола
- Оценка давления в легочных артериях
- Визуализация и количественная оценка шунта при цветовом допплеровском исследовании
- Помощь в оценке может оказать использование сонографических контрастных средств.
- Показано только при подозрении на комбинированные пороки сердца
- Признаки, сходные с данными ЭХО-КГ
- Визуализация анатомии
- Оценка функции сердца
- Шунт может быть количественно оценен в сравнении с ударным объемом или при проведении флоуметрии (сравнение измерения легочного кровотока и системного кровотока [Qp:Qs]
- Редко необходимы при проведении первичного диагностического алгоритма
- Ангиография коронарных артерий может проводиться для исключения пороков их развития (также может использоваться МСКТ) или ИБС у взрослых
- Инвазивная количественная оценка скорости шунта
ДМПП. Четырехкамерный срез (ЭХО-КГ) демонстрируетширокий дефект (стрелка) в межпредсердной перегородке (с разрешения L.Sieverdingи G.Greil, Tübingen)
Цветовая допплеровская ЭХО-КГ у того жепациента, что и на рисунке 9.1. Четырехкамерныйсрез демонстрирует праволевый шунт (стрелка)в области дефекта (с разрешения L.Sieverdingи G.Greil, Tübingen).ДМПП может быть скорригирован путем имплантации окклюзионной системы.
Клинические проявления
Типичные симптомы дефекта межпредсердной перегородки:
- Снижение толерантности к физическим нагрузкам
- Задержка физического развития
- Одышка при физической нагрузке
- Более частые бронхолегочные инфекции
- У пациентов после 30 лет определяются предсердные аритмии, правожелудочковая СН, парадоксальные эмболии.
Методы лечения
- При дефекте межпредсердной перегородки 2:1 необходимо провести закрытие дефекта до возраста 5 лет во всех возможных случаях (опасность проведения закрытия дефекта в случае уже развившейся ЛГ)
- Дефект межпредсердной перегородки может быть закрыт путем прямого наложения шва или лоскута при проведении стернотомии — операции при дефекте межпредсердной перегородки
- Альтернативный метод I интервенционный метод закрытия (при дефекте менее 38 мм и наличии 5-6 мм остаточной перегородки спереди и снизу от дефекта)
- После операции при дефекте межпредсердной перегородки прием аспирина (2 мг/кг тела) ежедневно в течение 6 мес.
- Профилактика эндокардита в течение нескольких месяцев.
Течение и прогноз
- Если дефект межпредсердной перегородки остается открытым, у 5-10% пациентов в возрасте до 20 лет развивается ЛГ
- Явная СН обычно не развивается до 40 лет
- Более половины пациентов в возрасте после 60 лет имеют фибрилляции предсердий
- Закрытие дефекта межпредсердной перегородки в возрасте до 6 лет обеспечивает хороший прогноз с отсутствием существенного снижения продолжительности жизни.
Что хотел бы знать лечащий врач?
- Сопутствующие аномалии
- Размеры и расположение ДМПП
- Количественную оценку шунта (Qp:Qs >1,5)
- Признаки ЛГ.
Открытый артериальный проток
- Все внутрисердечные пороки с патологическим шунтом крови приводят к снижению кровотока в аорте
- Открытый артериальный проток: выбухание восходящей аорты
Другие причины СН
- Кардиомиопатия
- Аритмии
- ИБС
Советы и ошибки
- Поздно проводить коррекцию ДМПП после развития необратимых изменений легочных артерий (постоянная ЛГ)
- Внимание: необходимо не пропустить более частые аномалии, такие как ДМПП с ДМЖП или АВ-дефект перегородки.
Дефект межпредсердной перегородки — лечение эндоваскулярными методами в отделении института Амосова

В нормальном сердце правые и левые отделы разделены между собой тонкой стенкой, так называемой перегородкой. Дефект межпредсердной перегородки это отверстие между камерами сердца – левым и правым предсердиями (Рис 1).
Давление в левых отделах сердца в норме выше, чем правых. Кровь из левого предсердия попадает в правое передсердие, затем в правый желудочек и легочную артерию, вызывая растяжение и перегрузку этих отделов сердца.
Это в свою очередь приводит к ряду неприятных проблем.
Естественное течение порока. Или к чему приведет дефект межпредсердной перегородки?
Перегруженные кровью правый желудочек и правое предсердие увеличиваются в размерах, что приводит к нарушению работы сердца, развитию сердечной недостаточности и различных аритмий.
Порок проявляется отдышкой, постоянным чувством усталости, а в запущенных случаях – отеками и ощущением перебоев в работе сердца.
Перегрузка кровью легочной артерии приводит к развитию частых бронхо-легочных заболеваний, а в запущенных случаях – к необратимым изменениям со стороны сосудов легких, их склерозу. В таких случаях закрытие дефекта межпредсердной перегородки противопоказано.
Что такое открытое овальное окно?
У некоторых здоровых людей есть небольшая щель между предсердиями, которая называется открытым овальным окном. Такая щель есть у плода в утробе матери и, как правило, закрывается она самостоятельно в первые несколько месяцев жизни.
Открытое овальное окно не является пороком развития и не приводит к развитию тех симптомов, которые проявляются при дефекте межпредсердной перегородки. Довольно редко у взрослых людей открытое овальное окно может привести к развитию внезапной тромбоэмболии сосудов головного мозга (инсульту у лиц молодого возраста).
Только в этом случае открытое овальное окно требует эндоваскулярного закрытия.
Лечение дефекта межпредсердной перегородки.
Показанием для выполнения операции является перегрузка и увеличение правых отделов сердца. Оптимальный возраст для операции при неосложненном течении — дошкольный.
В случае большого дефекта межпредсердной перегородки, значительного сброса крови, при появлении и нарастании симптомов сердечной недостаточности операция должна быть выполнена вне зависимости от возраста пациента.
На сегодняшний день существует два способа закрытия дефектов: эндоваскулярный способ и операция в условиях искусственного кровообращения (ушивание ДМПП или закрытие его заплатой).
Эндоваскулярное закрытие ДМПП
В последние два десятилетие появились устройства, позволяющие выполнить закрытие дефекта межпредсердной перегородки не прибегая к открытому вмешательству, требующему разреза, проведения искусственного кровообращения и длительной реабилитации. Для выполнения этой манипуляции было предложено большое количество специальных устройств — окклюдеров (Рис 2 — 4).
| Рис 2 – Внешний вид окклюдера | Рис 3 – Окклюдер на системе доставки | Рис 4 – Окклюдер может растягиваться и деформироваться, но в сердце он примет нужную нам форму |
Устройство представляет собой два диска из нитинола (сплав элементов титана и никеля, обладает эффектом памяти формы), заполненные тонкими нитями из дакрона (синтетический полимер). В сложенном состоянии окклюдер располагается в тоненькой трубочке – катетере (Рис 5 — 7).
| Рис 5 – Окклюдер частично сложен в систему доставки (вид сзади) | Рис 6 – Окклюдер частично сложен в систему доставки (вид спереди) | Рис 7 – Окклюдер полностью сложен в систему доставки диаметром всего в 4 мм |
Материалы, из которых сделан окклюдер полностью биосовместимые и гипоалергенные, не имеют магнитных свойств. Эндоваскулярное вмешательство выполняется в условиях рентгеноперационной.
Перед проведением операции эндоваскулярного закрытия дефекта межпредсердной перегородки всем пациентам проводится транспищеводное ультразвуковое исследование сердца (УЗИ).
Поскольку наше сердце располагается непосредсдвенно за пищеводом, транспищеводное УЗИ дает полную информацию об анатомии такого порока сердца.
| Рис 8 – Транспищеводная ЭхоКГ |
| Рис 9 – Измерение размера дефекта по данным ЭхоКГ |
| Рис 10 – Измерение размера дефекта с помощью измерительного баллона, который заведен и раздут в отверстии между предсердиями. Размер перетяжки на баллоне соответствует размеру дефекта. |
| Рис 11 – Система доставки заведена в бедренную вену |
| Рис 12 – Дефект закрыт окклюдером (транспищеводная ЭхоКГ) |
Только этот метод диагностики позволит точно определить показания и противопоказания к эндоваскулярному лечению (Рис 8). Транспищеводный датчик у большинства пациентов вызывает дискомфорт, поэтому операция закрытия дефекта межпредсердной перегородки окклюдером проводится под наркозом. Ни разреза грудной клетки, ни использования аппарата искусственного кровообращения при этом не требуется.
https://youtube.com/watch?v=bGoIX4H1Brc
Размер дефекта измеряют по ЭхоКГ (Рис 9) или определяют с помощь измерительного баллона (Рис 10).
Затем через прокол вены на бедре (Рис 11) окклюдер в «упакованном» виде, по ходу естественных сосудов вводится в полости сердца, под контролем рентгеноскопии и эхокардиографии устанавливается таким образом, что один из его дисков располагается в левом предсердии, другой – в правом предсердии. Дефект оказывается полностью закрыт заплаткой, которая исключает сброс крови из левого предсердия в правое(Рис 12).
2). Если окклюдер установлен правильно, катетер отсоединяется и извлекается наружу, если произошло смещение, окклюдер может быть снова втянут в доставляющий катетер и процесс установки повторится. Продолжительность вышеописанной процедуры, включая подготовку пациента — около часа.
Через сутки после операции проводится контрольное обследование и пациента выписывают. После выписки пациент находится под наблюдением кардиохирурга, с периодичностью сначала в один, затем в три месяца выполняется эхокардиография для контроля положения окклюдера и герметичности межпредсердной перегородки.
На сегодняшний день более чем у 90% пациентов дефект межпредсердной перегородки может быть устранен при помощи эндоваскулярной операции. В то же время имеются противопоказания.
Это огромные дефекты без краев, что делает невозможным надежную фиксацию окклюдера, наличие у пациента других внутрисердечных аномалий (часто это бывает аномальный дренаж одной или нескольких легочных вен), требующих хирургической коррекции.
Отсутствие аортального края или аневризма перегородки не являются противопоказаниями к эндоваскулярному лечению порока. Хочется отметить, что возможность закрытия дефекта окклюдером могут точно определить лишь опытный УЗИ-специалист или эндоваскулярный хирург после проведения транспищеводной ЭхоКГ. На данные обычной трансторакальной ЭхоКГ ориентироваться можно лишь условно.
Реабилитация после процедуры
Как правило, пациентов выписывают на следующий день после процедуры. На месте введения катетера в сосуд еще некоторое время должна оставаться стерильная повязка. Некоторое время после процедуры вы будете чувствовать дискомфорт в горле, обусловленный введением транспищеводного датчика.
В течение 6 месяцев после операции вы будете принимать аспирин для профилактики тромбообразования и в случае простудных заболеваний проводить антибиотикопрофилактику инфекционного эндокардита. В течение одного месяца после процедуры необходимо будет ограничить физические нагрузки.
Уже через 6 месяцев после операции окклюдер полностью покрывается собственными клеточками сердца – эндотелизируется. До этого времени пациентам стоит воздержаться от плановой вакцинации и планирования беременности.
Спустя 6 месяцев наш пациент может вести привычный для него образ жизни – теперь он абсолютно здоров! У нас наибольший в Украине опыт по эндоваскулярному закрытию вторичного дефекта межпредсердной перегородки – более 350 операций. Мы имеем доступ к оборудованию для закрытия дефектов любых размеров.
Для того чтобы попасть к нам на консультацию или госпитализироваться позвоните по одному из телефонов или запишитесь на прием онлайн.
| 1 – В этой красочной анимации Вы сможете увидеть, как закрывают дефект межпередсердной перегородки окклюдером. |
| 2 — Дефект закрыт окклюдером (рентгеновское видео). |
Мрт (магнитно-резонансная томография) сердца

Визуализация сердца с помощью магнитно-резонансной томографии (МРТ) позволяет детально оценить особенности строения камер сердца и сосудов, исследовать внутрисердечную гемодинамику, функциональные показатели работы сердца, измерить скорость кровотока в крупных сосудах.
Для выполнения МРТ сердца необходимо направление от лечащего врача-кардиолога. Направительный диагноз помогает врачу-рентгенологу выбрать нужный протокол исследования.
Выполнение МРТ сердца значительно отличается от МР-исследований других органов и систем.
Существуют требования для получения МРТ изображений сердца: высокое качество магнитно – резонансной системы и специальное программное обеспечении (рекомендуется прибор с полем 1,5 Тл и выше); высококвалифицированный врач – диагност; синхронизация с ЭКГ пациента; выполнение исследования с задержкой дыхания по команде оператора; при необходимости введение внутривенного контраста.
Основные достоинства МРТ сердца:
- неинвазивность;
- отсутствие лучевой нагрузки;
- высокое временное и пространственное разрешение;
- естественный контраст от движущейся крови;
- чувствительность к скорости и характеру движения крови (МР-ангиография);
- любая ориентация срезов;
- оценка морфологии, функции и перфузии;
- исследования с контрастированием гадолинием.
Показания к МРТ сердца:
- врожденные пороки сердца. Наиболее распространенный врожденный порок сердца — дефект межпредсердной перегородки (ДМПП). При выполнении МРТ получают изображения в различных плоскостях сердца, что позволяет отчетливо показать наличие и расположение дефекта, визуализировать турбулентный поток крови в месте дефекта. Одним из важных параметров для наличия дефекта является определение соотношения кровотока в восходящей аорте и легочном стволе (Qp/Qs). МРТ позволяет неинвазивно определить соотношение кровотоков (в норме соотношение Qp к Qs должно составлять 1).
- заболевания аорты (аневризмы, коарктация). Применение процедуры МРТ позволяет визуализировать аорту неинвазивно, без лучевой нагрузки и контрастного вещества на всем протяжении. МРТ позволяет определить стеноз перешейка аорты, его протяженность и степень выраженности, измерить минимальный диаметр и определить диаметр сосуда до и после стеноза. С помощью МРТ можно оценить аневризму аорты, определить её локализацию, размеры дилатации, а также наличие пристеночных тромбов
- кардиомиопатии (аритмогенная дисплазия правого желудочка, дилатационная кардиомиопатия, гипертрофическая кардиомиопатия, синдром некомпактного миокарда). Под кардиомиопатиями понимают первичные заболевания миокарда после исключения клапанных, перикардиальных и коронарных болезней. МРТ помогает разграничить ишемическую и неишемическую дилатационную кардиомиопатию. МРТ является инструментом для визуализации редких расположений гипертрофии: в правом желудочке, в апикальном сегменте левого желудочка. МРТ является одним из главных методов в выявлении аритмогенной дисплазии правого желудочка (АДПЖ). Главные признаки АДПЖ на МРТ: локальное нарушение сократимости ПЖ, дилатация ПЖ, усиление трабекулярности ПЖ и отсроченное контрастирование миокарда ПЖ
- диагностика миокардита. Миокардит визуализируется с помощью МРТ с контрастным усилением, как зоны гиперусиления с интрамуральной и субэпикардиальной локализацией. Так же можно определить воспалительный отек тканей сердца.
- оценка жизнеспособности миокарда (после острого инфаркта миокарда, перед хирургическим лечением). МРТ можно применять для выявления очагов острого инфаркта миокарда, оценки перфузии миокарда, но чаще используют для выявления рубцовых изменений миокарда (ПИКС), осложнений инфаркта миокарда (аневризмы, внутрижелудочковых тромбов).
- заболевания перикарда. При выполнении МРТ сердца можно определить толщину фиброзного утолщения перикарда, выявить наличие выпота в полость перикарда.
- опухоли сердца. Самой частой доброкачественной опухолью сердца является миксома. Миксома сердца обычно развивается из межпредсердной перегородки, имеет относительно однородную структуру с четкими границами. При МРТ с внутривенным контрастированием миксома часто негомогенно накапливает контрастный препарат.
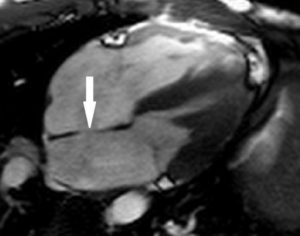
Рисунок 1. МРТ. Четырехкамерное сечение сердца. Стрелкой указан дефект межпредсердной перегородки (ДМПП).
Рисунок 2. МРТ. Аневризма нисходящего отдела аорты.
Рисунок 3. МРТ. Четырехкамерное сечение сердца. Апикальная гипертрофия миокарда левого желудочка.
Рисунок 4. МРТ. Четырехкамерное сечение сердца. Миокардит, субэпикардиальное и интрамиокардиальное накопление контрастного препарата.
Рисунок 5. МРТ. Двухкамерное сечение левого желудочка. Постинфарктный кардиосклероз.
МРТ-диагностика сердца и коронарных сосудов
Магнитно-резонансная томография сердца и коронарных сосудов – это неинвазивное диагностическое исследование, которое помогает с высокой точностью изучить состояние сердца и коронарных сосудов.
В дальнейшем точно поставленный диагноз помогает эффективно вылечить кардиологические заболевания. Поэтому все больше врачей доверяют этому методу исследования.
С помощью сильного магнитного поля и радиоимпульсов высокой частоты, последующей обработки получаемых сигналов на мощном компьютере удается получить четкое и выраженное изображение органов сердечно-сосудистой системы. Врач рассматривает изображение на компьютерном экране и далее может распечатать его на пленке, передать по интернету или скопировать на компьютерный диск.
Магнито-резонансная томография сердца и коронарных сосудов безопасна для человека, так как томограф не излучает рентгеновских лучей.
Рекомендации для МРТ сердца и коронарных сосудов
Это исследование проводится для:
- оценки анатомии, функционального состояния сердца, желудочков, больших сосудов сердца, а также тканей вокруг перикарда;
- оценки сердечно-сосудистых патологий;
- обнаружения опухолей и острых болезней сердца, сосудов;
- обнаружения и оценки функционирования коронарных сосудов;
- диагностики причин нарушения кровоснабжения миокарда;
- диагностики наличия рубца от инфаркта миокарда;
- разработки методики лечения больных с кардиологическими и сосудистыми аномалиями;
- постоянного наблюдения за больным;
- диагностики патологий сердца, кровеносных сосудов, наблюдающихся при прирожденных пороках.
Какие болезни диагностирует МРТ сердца?
Магнито-резонансная томография показывает многие патологии. Назовем некоторые из них.
Аневризма аорты
Признаки этой болезни, заставляющие больного обратиться в диагностический центр – боли в груди, спине, одышка. Если патологический процесс распространяется на брюшную полость, то боль распространяется на ягодицы, ноги, пах.
Аневризма аорты
Расслаивающаяся аневризма аорты
Больного беспокоит острая, внезапная боль в груди, а также падение артериального давления с признаками шокового состояния.
Атеросклероз аорты
Основные признаки болезни – боль в области груди и одышка. До появления осложнений симптомы, как правило, не наблюдаются.
Аортит
Воспалительные процессы аорты характеризуются обмороками, головокружениями, одышкой, расстройствами регуляции артериального давления.
Ишемическая болезнь сердца
Она развивается по причине недостаточного поступления кислорода к сердечной мышце. Болезнь характеризуется болью за грудиной, часто давящего характера, одышкой, особенно при подъеме на лестницу, сильным сердцебиением. При инфаркте миокарда боли за грудиной резко выражены и не снимаются обычными препаратами, в частности, нитроглицерином.
МРТ также показывает жизнеспособность миокарда, а также позволяет оценить степень ишемического поражения коронарных сосудов.
Кардиомиопатия
Болезнь характеризуется появлением симптомов сердечной недостаточности (одышка, боль в груди, цианоз, сердечная астма), которые неуклонно прогрессируют. Сердечные боли не купируются нитроглицерином. Обращает на себя внимание учащенное сердцебиение. При аортальном стенозе возникают обмороки, сердцебиение. Больного беспокоит бледность, одышка, особенно во время физической активности.
Перикардит
Для его диагностики необходимо обратиться в диагностический центр возможно раньше, так как на начальных стадиях болезнь ничем себя не проявляет. При выраженном течении болезни люди жалуются на приступы сердцебиения, учащенный или нерегулярный пульс, иногда – лихорадку.
Врожденное отсутствие перикарда
Это очень редкая болезнь: в настоящее время во всем мире известны не больше 300 случаев отсутствия перикарда у детей.
Родителям надо обратиться в диагностический центр, если у ребенка наблюдаются боли в груди, не связанные с нагрузкой, а также при сердцебиении, которое появляется в положении лежа на боку.
Рентгенограмма или диспансеризация не дают точных результатов, и ребенку ошибочно ставят не тот диагноз.
Тромбы сердца
Тромбоз характеризуется приступами головокружения, потерей сознания, одышкой, иногда – приступом удушья, внезапным понижением артериального давления, учащенным сердцебиением. МРТ сердца помогает обнаружить опасную болезнь и назначить эффективное лечение.
Опухоли сердца
Магнито-резонансная томография позволяет подтвердить или исключить наличие в сердце опухолевого образования.
Кроме того, этот вид диагностики применяется для оценки результативности хирургического лечения у больных с сердечно-сосудистыми патологиями.
Другие обследования не дают развернутой картины состояния больного после оперативного вмешательства или в период восстановления. Поэтому возникает большой риск возникновения врачебных ошибок в выборе тактики лечения.
В первую очередь пациент обязан снять с себя предметы и украшения из металла.
Магнито-резонансная томография не делается людям, которым вживлен электрический кардиостимулятор, суставные протезы, спицы и другие изделия. Они притягиваются мощным магнитом, находящимся в аппарате.
Если пациент одет в одежду, которая не мешает процедуре диагностики, он может находиться в ней. Но он также может использовать специальную одежду.
Большое значение для успешной диагностики имеет эмоциональное состояние пациента. Врач должен объяснить ему суть проводимой диагностики, а также показать аппарат.
МРТ сердца и коронарных сосудов – диагностическое исследование неинвазивного типа, позволяющее оценить состояние органа. Этот метод является наиболее точным и незаменим для правильной диагностики ряда кардиологических заболеваний. Как проводится МРТ сердца и сосудов и в каких случаях его назначают?
Магнитное сканирование сосудов и сердца проводится по рекомендации кардиолога при определенных жалобах пациента. Необходимо исследование не только для постановки диагноза, но и для оценки текущего состояния органа при наличии хронических патологий. Благодаря магнитно-резонансной томографии сердца специалист может:
- оценить состояние желудочков сердца, больших сосудов и тканей возле перикарда при врожденных пороках;
- оценить анатомию и функциональность органа;
- подтвердить или опровергнуть наличие рубца после инфаркта;
- диагностировать причины нарушения кровоснабжения.
Дефект межпредсердной перегородки сердца: операция, лечение в СПб

Дефект межпредсердной перегородки – это отверстие в межпредсердной перегородке, через которое кровь поступает из левого в правое предсердие.
Дефекты по своему расположению и формированию подразделяются на первичные, вторичные дефекты межпредсердной перегородки и дефекты венозного синуса.
Дефекты могут иметь различную форму и размеры (вплоть до полного отсутствия перегородки и формирования единого предсердия), могут быть единичными и множественными, могут быть единственным пороком сердца, а могут входить в состав более сложных пороков сердца (открытый AV-канал, аномальный дренаж легочных вен и т.д.).
Причины дефекта межпредсердной перегородки
В основе формирования дефекта межпредсердной перегородки лежит нарушение развития первичной или вторичной перегородки в эмбриональном периоде.
- Первичный дефект располагается в нижней части межпредсердной перегородки рядом с фиброзными кольцами атриовентрикулярных клапанов (митрального и трехстворчатого), по сути его нижним краем является само фиброзное кольцо.
- Вторичный дефект располагается в центральной части межпредсердной перегородки, и все его края представлены самой перегородкой.
- Дефект венозного синуса – это дефект, локализующийся в верхней части межпредсердной перегородки. Данному пороку часто сопутствует аномальный дренаж лёгочных вен (часть лёгочных вен впадает не в левое предсердие, а в верхнюю полую вену).
Гемодинамика
Cмысл порока заключается в сбросе артериальной крови из большого круга кровообращения (левого предсердия) в малый круг кровообращения (правое предсердие), что приводит к перегрузке малого круга кровообращения избыточным объемом крови с поражением, в первую очередь, легких. Крайней формой поражения является формирование легочной гипертензии (высокого давления в сосудах легких). Легочная гипертензия при дефекте межпредсердной перегородки носит злокачественный характер, приводя к тяжелой сердечной недостаточности и гибели пациента.
Симптомы
Первые симптомы заболевания возникают в виде одышки при физической нагрузке, частых простуд, ощущения перебоев в работе сердца. При этом симптоматика разнообразная и зависит от локализации и размера дефекта, сочетания его с другими пороками сердца. Дефекты малого размера не имеют характерной клинической картины.
Жалобы пациенты активно не предъявляют, физическая активность их не ограничена — порок обнаруживается случайно. При больших, гемодинамически значимых дефектах у пациентов появляются одышка, повышенная утомляемость, непереносимость физической нагрузки. После физических упражнений возможно возникновение кашля, сопровождающегося иногда кровохарканьем.
Для таких пациентов характерны частые пневмонии, бронхиты.
Диагностика
- Осмотр пациента с аускультацией (выслушиванием) сердца выявляет шумы в сердце.
- ЭКГ выявляет гипертрофию миокарда правого желудочка, блокаду правой ножки пучка Гиса, аритмии разной степени тяжести, резкое отклонение электрической оси сердца влево.
- Рентгенография органов грудной клетки выявляет расширение ствола легочной артерии, увеличение сердца, усиление лёгочного рисунка.
- Трансторакальная эхокардиография позволяет не только визуализировать дефект межпредсердной перегородки и уточнить его характер (первичный, вторичный, дефект венозного синуса), но также оценить направление сброса крови через дефект и его гемодинамическую значимость (Qp/Qs).
- Чреспищеводная эхокардиография у взрослых позволяет получить детальную информацию о краях дефекта, что важно для выбора метода оперативного лечения.
- Зондирование камер сердца и атриография используется при недостаточной информации от вышеописанных методов исследования или как часть уже оперативного лечения.
Показания к операции на дефект межпредсердной перегородки
Принятие решения об оперативном лечении зависит от размера дефекта, его гемодинамических характеристик (объем и направление сброса крови через дефект), наличия и величины легочной гипертензии, возраста пациента, наличия сопутствующей патологии и т.д. Решение о целесообразности оперативного лечения принимается совместно лечащим кардиологом, кардиохирургом, врачами других специальностей (при необходимости).
Лечение дефекта межпредсердной перегородки
На данный момент существует два вида оперативного лечения:
- 1. Операция на открытом сердце в условиях искусственного кровообращения с ушиванием дефекта или его пластикой заплатой из перикарда.
- 2. Устранение дефекта межпредсердной перегородки с использованием специальных устройств (окклюдеров) в условиях рентгеноперационной через проколы артерий без стернотомии.
- Необходимо понимать, что не каждый дефект может быть устранен оперативным путем, существуют противопоказания к операции (дефекты малого диаметра, тяжелая легочная гипертензия, право-левый сброс через дефект), и не каждый дефект может быть устранен с использованием оккклюдеров (сочетание дефекта с аномальным дренажом легочных вен, первичные дефекты с отсутствующим нижним краем, дефекты большого размера, сочетание дефекта с другой патологией сердца являются показанием к открытой операции).
- Более подробно о конкретном случае заболевания, показаниях и противопоказаниях можно узнать в процессе консультации сердечно-сосудистого хирурга (на амбулаторном приеме).
Дефект межпредсердной перегородки

Среди всех пороков сердца чаще всего определяется дефект межпредсердной перегородки. Подобная аномалия нередко сочетается с повреждением межжелудочковой перегородки. До 80% этого дефекта в первые годы жизни ребенка зарастает, поэтому по частоте распространения среди ВПС лидирующее место занимает именно ДМПП.
Дефект межпредсердной перегородки (ДМПП) — это нарушение структуры стенки между двумя верхними камерами сердца (предсердиями), представленное чаще всего в виде отверстия.
Состояние нередко обнаруживается при рождении, поэтому эта аномалия считается врожденной. Может проявляться как в детском возрасте (у новорожденных), так и во взрослом.
В каждом индивидуальном случае рассматривается наиболее подходящая тактика лечения либо наблюдение за состоянием больного.
Заболевание может не требовать хирургического лечения, но нередко рекомендуется оперативное вмешательство, поскольку в противном случае повышается риск развития осложнений, грозящих летальным исходом.
Перед операцией больные обязательно проходят комплексное обследование. Тщательно изучается месторасположение дефекта, определяются другие нарушения и степень их тяжести. Не менее важное значение после операции имеет реабилитационный период. При правильном выполнении всех действий прогностическое заключение чаще всего благоприятное.
ДМПП или дефект межпредсердной перегородки: причины, симптомы, диагностика и лечение ДМПП
Что такое ДМПП?
Среди врожденных пороков сердца самым распространенным видом является дефект межпредсердной перегородки. Пристальное внимание болезни начали уделять с 1900 года, когда Бедфордом было создано подробное описание болезни. Дополнения внесли Паппа и Паркинсона в 1941 году, а далее — физическая, электрокардиографическая, радиологическая диагностика.
ДМПП часто ассоциируется с другими врожденными поражениями — открытым артериальным протоком, аномалией межжелудочковой перегородки, стенозом легочного клапана, транспозицией стволов крупных артерий.
Нередко сочетается с дефектами желудочковой перегородки, артериального протока, редкими венозными аномалиями при опорожнении легочных вен.
Таким образом, дефект межпредсердной перегородки может сопровождать почти любое врожденное поражение, но при єтом нередко выступает в изолированной форме.
Немного статистики:
- Межпредсердная перегородка полностью отсутствует в 3% случаев.
- Дефект по типу оstium secundum: наиболее распространенный тип ДМПП и составляет 75% всех случаев патологии, это примерно 7% всех врожденных сердечных дефектов и 30-40% подобных аномалий у пациентов старше 40 лет.
- Дефект по типу ostium primum: второй по распространению тип порока и составляет 15-20% всех случаев.
- Дефект по типу sinus venosus: наименее распространенный из трех вариантов ДМПП и наблюдается у 5-10% всех аномалий развития.
- Соотношение встречаемости ДМПП между женщинами и мужчинами составляет приблизительно 2:1.
- К 40 годам 90% пациентов, не получавших лечение, имеют симптомы одышки, усталости, сердцебиения, продолжительной аритмии или даже признаки сердечной недостаточности.
Патогенез
В нормальном состоянии сердце делится на четыре полые камеры: две справа и две слева. Чтобы прокачать кровь по всему телу, сердце использует левую и правую стороны для выполнения различных задач.
Правая половина перемещает кровь в сторону легких через легочные артерии. В альвеолах происходит насыщение крови кислородом, после чего она возвращается в левую половину сердца через легочные вены.
Левые предсердие и желудочек перекачивают кровь через аорту, направляя ее к остальным органа и тканям.
При наличии порока межпредсердной перегородки насыщенная кислородом кровь течет из левой верхней камеры сердца (левого предсердия) в правую верхнюю камеру сердца (правое предсердие). Там она смешивается с бескислородной кровью и снова закачивается в легкие, хотя до этого она уже насыщалась кислородом.
При великом дефекте межпредсердной перегородки этот дополнительный объем крови может переполнять легкие и перегружать правые отделы сердца.
Поэтому при отсутствии заболевания правая часть сердца в конечном итоге гипертрофируется и ослабляется.
Если этот процесс будет далее продолжаться, артериальное давление в легких заметно увеличивается, что незамедлительно приводит к легочной гипертензии.
Причины
В основном все предрасполагающие факторы риска и причины ДМПП связаны с внутриутробным развитием плода. При некоторых обстоятельствах особенно высока вероятность рождения ребенка с врожденным пороком сердца.
- Краснуха (инфекционное заболевание). Заражение вирусом краснухи в течение первых нескольких месяцев беременности может увеличить риск возникновения фетальных сердечных дефектов, включая ДМПП.
- Наркомания, табакокурение или алкоголизм, а также воздействие определенных веществ. Использование некоторых лекарств, табака, алкоголя или наркотиков, таких как кокаин, во время беременности может нанести вред развивающемуся плоду.
- Сахарный диабет или системная красная волчанка. Если отмечаются подобные заболевания (особенно у беременной женщины), тогда увеличиваются шансы рождения ребенка с сердечным пороком.
- Ожирение. Избыточный вес тела по типу ожирения может сыграть определенную роль в увеличении риска рождения ребенка с дефектом межпредсердной перегородки.
- Фенилкетонурия (ФКУ). Если женщина болеет этим заболеванием, у нее может быть больше шансов иметь ребенка с серьезным дефектом.
Клиника
У многих детей, родившихся с дефектами межпредсердной перегородки, не определяются характерные признаки. У взрослых симптомы могут проявляться примерно в возрасте 30 лет и старше.
Симптомокомплекс при дефекте межпредсердной перегородки может включать:
- одышку, особенно при тренировках;
- усталость;
- частое или неритмичное сердцебиение;
- инсульт.
Когда нужно обратиться к врачу?
Не стоит откладывать визит к врачу, если у ребенка или взрослого есть какие-либо из следующих признаков:
- прерывистое дыхание;
- отеки ног, рук или живота;
- быстрая утомляемость, особенно после занятий;
- учащенное сердцебиение или экстрасистолии.
Чаще всего это свидетельствует о наличии сердечной недостаточности или других осложнений, возникших при врожденной болезни сердца.
Осложнения
Незначительный дефект межпредсердной перегородки чаще всего не приводит к серьезным нарушениям гемодинамики. Небольшие ДМПП в основном самостоятельно закрываются ещё в младенчестве.
Большие дефекты МПП нередко вызывают серьезные нарушения:
- Правостороннюю сердечную недостаточность
- Расстройства сердечного ритма (аритмии)
- Повышенный риск развития инсульта
- Преждевременное изнашивание сердечной мышцы
Менее распространенные серьезные осложнения:
- Легочная гипертония. При отсутствии лечения большого дефекта межпредсердной перегородки повышенный приток крови к легким увеличивает артериальное давление в легочных артериях, в результате чего развивается осложнение по типу легочной гипертензии.
- Синдром Эйзенменгера. Длительно протекающая легочная гипертензия может вызвать постоянное повреждение легких. Это осложнение обычно развивается на протяжении многих лет и встречается у людей с большими аномалиями межпредсердной перегородки.
Своевременно проведенное лечение может предотвратить или помочь справиться со многими из этих осложнений.
Дмпп и беременность
Большая часть женщин с дефектом межпредсердной перегородки может переносить беременность без каких-либо проблем. Но при наличии большого дефекта или сопутствующих заболеваний по типу сердечной недостаточности, аритмии или легочной гипертензии риск осложнений во время беременности значительно возрастает.
Врачи настоятельно советуют женщинам с синдромом Эйзенменгера не зачинать ребенка, потому что это может поставить жизнь обоих под угрозу.
Риск врожденной болезни сердца выше у детей, родители которых имеют врожденные пороки сердца, будь то отец или мать.
Любой человек с врожденным пороком сердца, восстановленным или нет, который рассматривает возможность создать семью, должен тщательно обсудить это заранее с врачом.
Некоторые лекарства могут быть исключены из листа назначений или скорректированы до того, как наступит беременность, потому что могут возникнуть серьезные проблемы у развивающегося плода.
Жить здорово! Дефект межпредсердной перегородки
Диагностика
Если ДМПП большого размера, врач во время аускультации сердца больного может услышать патологический сердечный шум. При небольших дефектах он может быть слабо слышим. Поскольку у многих людей с нескорректированными ДМПП нет выраженных симптомов, патология может быть обнаружена в подростковом возрасте или уже во взрослого.
Наиболее распространенным диагностическим тестом, используемым для подтверждения ДМПП, является эхокардиограмма (эхоКГ) или ультразвуковое исследование сердца.
Другие исследования, которые врач может назначить больному, следующие:
- Рентгенограмма грудной клетки
- Электрокардиограмма (ЭКГ)
- Магнитно-резонансная томография сердца (МРТ)
- Трансэзофагеальное эхоКГ
- Катетеризация сердца
Лечение
Если определяется небольшой ДМПП, закрытие обычно не рекомендуется. Однако, при обнаружении у больного таких симптомов, как усталость, затрудненное дыхание, прединсультное состояние, фибрилляция предсердий или если правый желудочек увеличивается в размерах, тогда рассматривается возможность восстановительной пластики.
Если у больного определяется тяжелая легочная гипертензия, развившаяся из-за синдрома Эйзенменгера, пластическая реконструкция дефекта не рекомендуется.
В 1953 году доктор Джон Х. Гиббон успешно закрыл дефект МПП, используя открытую операцию на сердце и аппарат сердечно-легочной регуляции. С тех пор ДМПП восстанавливают с помощью разных материалов и хирургических методов.
До начала 1990-х годов все ДМПП закрывались путем проведения открытой операции на сердце. Сегодня методом выбора является закрытие отверстия через катетеризацию сердца.
Если же размер дефекта слишком велик или у больного определяются какие-либо другие типы врожденных пороков, рекомендуется открытая хирургическая операция.
При ранней диагностике и восстановлении ДМПП результат, как правило, превосходный. В таких случаях предполагается хороший долгосрочный результат, особенно если дефект был рано диагностирован и закрыт во взрослом возрасте или у больного определяется нормальное давление в легочных артериях.
Однако нередко есть риск развития аритмий предсердий из-за шрамов в области закрытия. В небольшом количестве случаев может потребоваться повторная операция. Другие риски, которые могут возникнуть позднее, включают вероятность развития сердечной недостаточности или артериальной гипертензии.
В зависимости от того, проходил больной ДМПП специфическое лечение или нет, даются следующие рекомендации:
- Все взрослые, у которых имеется невосстановленный ДМПП, должны регулярно наблюдаться на протяжении всей жизни специалистом врожденных пороков сердца.
- Больные, у которых дефект был закрыт в детском или во взрослом возрасте, нуждаются в периодических проверках сердца; которые следует проходить хотя бы один раз в год в профилированном медицинском центре. Это необходимо для правильной диагностики и оценки эффективности ранее проведенного лечения.
- Дальнейшая потребность в последующем наблюдении определяться лечащим кардиологом, специализирующемся на врожденных пороках сердца.
Прогноз
Взрослые с небольшими ДМПП, которые не влияют на функцию сердца, обычно не требуют лечения. В таких случаях по-прежнему важно наблюдаться у доктора хотя бы один раз в год, чтобы убедиться, что ничего не изменилось.
С другой стороны, если отверстие слишком велико, а кровь течет с левой стороны сердца в правую сторону, тогда прогноз ухудшается. Это связано с тем, что лишняя кровь поступает в легкие, заставляя сердце и легкие работать усерднее и менее эффективно.
Когда это происходит, существует большой риск развития других заболеваний сердца, легких и кровеносной системы.
Прогноз при ДМПП ухудшается в случае определения следующих осложнений:
- Правые отделы сердца увеличены, что может вызвать сердечную недостаточность
- Нерегулярные и быстрые сердечные сокращения, такие как фибрилляция, особенно с локализацией в предсердиях
- Инсульт
- Повреждение легочных артерий
- Синдром Эйзенменгера
- Поражение трехстворчатого и митрального клапанов
Профилактика
Чаще всего развитие дефекта межпредсердной перегородки не может быть предотвращено. Если же планируется беременность, тогда следует предварительно проконсультироваться у своего врача. Это посещение должно включать:
- Обследование на присутствие иммунитета к краснухе. Если определяется восприимчивость к вирусу, тогда проводится вакцинация.
- Анализ общего состояния здоровья и определение принимаемых лекарств. При необходимости нужно будет тщательно контролировать определенные проблемы со здоровьем во время беременности. Врач может также порекомендовать скорректировать дозу или исключить из приема определенные лекарства, которые могут повредить беременности.
- Анализ наследственности. Если семейная история отягощена сердечными дефектами или другими генетическими нарушениями, следует подумать о том, чтобы проконсультироваться у генетика, что позволит определить риски относительно будущей беременности.
Дефект межжелудочковой перегородки



