Киста кармана Ратке: опасна ли эта патология

Киста, развивающаяся в области кармана Ратке, представляет собой доброкачественное новообразование округлой формы. Кистозная полость появляется как следствие неправильной инволюции (упрощение, аномалия организации) канала Ратке. Патология по распространенности занимает второе место после аденомы гипофиза.
Киста Ратке локализуется между долями гипофиза – передней и задней (аденогипофиз, нейрогипофиз), чаще в зоне турецкого седла. Обычно располагается интраселлярно (в пределах турецкого седла) или супраселлярно (над областью турецкого седла). Главное осложнение – преобразование кисты в доброкачественную опухоль (краниофарингиома), которая формируется из клеток эпителия.
Особенности патологии
Киста, локализующаяся в зоне кармана Ратке – это такое заболевание, которое встречается у 33% населения, что подтверждается результатами аутопсии (вскрытия). Течение патологии напоминает развитие краниофарингиомы (пролактиномы). Киста Ратке может достигать в размерах 5-6 см. Встречаются микрокисты диаметром несколько миллиметров.
Содержимое кистозного образования – чаще желеобразная, слизистая субстанция, реже – серозная жидкость или десквамированные (отшелушенные) клетки эпителия. Может ли новообразование представлять угрозу для здоровья и жизни человека? В большинстве случаев нет, это состояние может быть опасно, если киста начинает расти, сдавливая окружающие ткани в области кармана Ратке.
Симптомы
Заболевание чаще протекает бессимптомно. Особенно в случаях, когда кистозное образование маленькое и не склонно к дальнейшему росту.
Характерные симптомы появляются тогда, когда киста разрастается и начинает сдавливать структуры, расположенные рядом с карманом Ратке – гипофиз, хиазма (перекрест) зрительных нервов, кавернозный (пещеристый) синус.
Компрессия тканей мозга сопровождается устойчивой головной болью (в 81% случаев) и зрительной дисфункцией (75% случаев). В 81% случаев данный диагноз проявляется нарушениями в работе эндокринной системы. Типичные гормональные сбои:
- Гипопитуитаризм (дефицит гормонов гипофиза). В 60% случаев развивается гипогонадотропный гипогонадизм (снижение выработки андрогенов – мужских половых гормонов), в 36% случаев – вторичная недостаточность надпочечников, в 36% случаев – вторичный гипотиреоз (дефицит тироксина и трийодтиронина с последующим нарушением обмена веществ), в 12-79% случаев – недостаток соматотропина (гормон роста).
- Гиперпролактинемия. Состояние обусловлено сдавливанием ножки гипофиза и нарушением транспорта гормона дофамина. Проявляется умеренным повышением концентрации пролактина. Если уровень пролактина повышается значительно, высока вероятность сочетания кисты и пролактиномы, что чаще выявляется после оперативного вмешательства и изучения гистологической пробы.
- Водно-электролитные расстройства.
- Дефицит антидиуретического гормона (АДГ).
Кистозное образование сопровождается развитием несахарного диабета в 3-19% случаев. Иногда клиническая картина дополняется апоплексией (кровотечение) гипофиза или кровоизлиянием в кистозную полость. Оба состояния провоцируют острое ухудшение неврологического статуса и появление симптомов:
- Приступы тошноты, сопровождающиеся рвотой.
- Интенсивные боли в голове, трудно поддающиеся купированию.
- Расстройство зрения.
Спровоцировать появление кистозной полости могут факторы: перенесенные вирусные и бактериальные инфекции, гипоксия (кислородное голодание) тканей мозга, хронические интоксикации, ионизирующее облучение, родовые травмы, полученные новорожденным.
Причины возникновения кисты
Карман Ратке, именуемый так же гипофизарным ходом – структура гипофиза, которая формируется на раннем этапе внутриутробного развития плода. Впоследствии из нее образуются обе части гипофиза (аденогипофиз, нейрогипофиз) и воронка. Физиологическая норма предполагает облитерацию (заращивание) кармана на поздних этапах эмбрионального развития.
Если он остается, возникает небольшой просвет или киста, заполненная коллоидным содержимым. Кистозные образования больше выражены в детском возрасте, чем у взрослых. Точные причины, которые провоцируют образование кистозных полостей, не выявлены. Предположительно, решающую роль играет наследственный фактор.
Диагностика
В большинстве случаев мелкая киста, расположенная в зоне кармана Ратке, обнаруживается случайно в ходе диагностического обследования, назначенного по другому поводу. При подозрении на развитие патологии необходима консультация невролога, эндокринолога, офтальмолога. Проводится исследование пробы крови на уровень гормонов, вырабатываемых гипофизом.
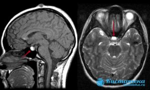
Если предполагается злокачественный характер опухоли, показана консультация онколога. Один из самых информативных методов диагностики – МРТ исследование, которое позволяет дифференцировать кисту, сформировавшуюся в зоне кармана Ратке, от таких патологий, как арахноидальные кисты или аденомы гипофиза (пролактиномы).
На снимке отчетливо видно хорошо отграниченное новообразование кистозной структуры округлой или продолговатой формы иногда с утолщенной стенкой. КТ-томография показывает большую плотность ткани кисты по сравнению с окружающей мозговой тканью.
Группа риска
В группу риска входят люди старшей возрастной группы (более 40 лет), перенесшие менингит, энцефалит, инсульт. Наиболее высока вероятность развития патологии у работников вредных (химическая, ядерная промышленность) производств, больных онкологическими заболеваниями, подвергавшихся радиоактивному облучению в терапевтических целях.
Способы лечения новообразования
Если кисте, образовавшейся в зоне кармана Ратке, не свойственна склонность к росту, если она не провоцирует неврологические синдромы и нарушения, лечение не требуется.
В некоторых случаях выявленное бессимптомное новообразование не увеличивалось в размере в течение 9 и более лет.
Редко встречаются случаи самостоятельного регресса кисты вследствие разрыва оболочки или повышенной абсорбции (всасывание, поглощение) содержимого на фоне уменьшенной его секреции.
Кистозная полость увеличивается в объеме при повышенной секреции содержимого, кровоизлиянии в полость новообразования или вследствие инфекционного поражения.
Если размеры кистозного образования продолжают увеличиваться, показано оперативное вмешательство.
Операцию назначают, если киста с локализацией в области кармана Ратке, задевает, сдавливает глазные нервы, или развиваются состояния дефицита гипофизарных гормонов и гиперпролактинемии.
Хирургическое удаление кисты кармана Ратке обычно выполняется эндоскопическим методом транссфеноидальным (через носовые ходы и носовую перегородку) доступом. Цель операции – дренаж содержимого кистозной полости или разрушение ее стенки. После операции пациент находится под наблюдением невролога и нейрохирурга.
Статистика показывает, после оперативного вмешательства нормализуется уровень пролактина почти в 100% случаев, уменьшение болей в голове наблюдается в 40-100% случаев, восстановление зрительной функции – в 33-100% случаев. Рецидивы возникают достаточно часто в промежутке от 1 месяца до 24 лет. В большинстве клинических случаев этот период составляет 5-6 лет.
Возможные осложнения
Одно из серьезных последствий образования кисты в области кармана Ратке – нарушение гормонального баланса, что приводит к сбоям в работе всех органов и систем. Существует вероятность перерождения кистозного образования в доброкачественную, реже злокачественную опухоль.
Кистозное образование в зоне кармана Ратке – патология, которая часто протекает бессимптомно, не доставляя человеку существенного дискомфорта. Если появляется выраженная неврологическая симптоматика, необходимо оперативное лечение.
Что такое киста кармана Ратке: опасна ли, как лечить и какие существуют последствия?

Среди множества болезней головного мозга бываю такие, которые возникают в самом начале развития человека, то есть в период формирования эмбриона. Киста кармана Ратке, это одна из таких патологий. Ее образование может остаться незамеченным на первых этапах жизни ребенка.
Киста кармана Ратке – что это такое?
Киста кармана Ратке представляет собой образование кистоидного характера, возникающее в головном мозге. У обычного человека, к моменту его рождения карман Ратке не наблюдается, но есть группы людей, у которых фрагменты этой структуры остаются.
Формирование кисты происходит посредством заполнения данного кармана коллоидом. Размеры и формы этого образования могут быть различны. Зафиксированы случаи такой кисты, имеющей объем от нескольких миллиметров до более крупных в несколько сантиметров. Форма образования обычно овальная или округлая.
Локализуется киста кармана Ратке практически всегда в районе гипофиза, занимая переднюю или заднюю его долю. Если вам интересует ответ на вопрос о том, что это гипофиз, то читайте нашу аналогичную статью.
Чаще всего образование никак не проявляет себя, пока не достигнет значительных размеров, начиная сдавливать близлежащие ткани, сам гипофиз, зрительные нервы и другие структуры. Гипофиз является важнейшим составляющим всего организма. В этом отделе головного мозга происходит выработка гормонов, отвечающих за многие функции тела.
Гормоны гипофиза:
- Кортикотропин
- Гормон роста
- Тиротропин
- Фоллитропин
- Пролактин
- Липотропин
- Лютропин
Сбой в выработке такого количества различных гормонов может привести к нарушению работы всего организма. Именно поэтому киста кармана Ратке способна спровоцировать любые патологические процессы в теле человека.
Информацию о других видах кист головного мозга вы можете найти здесь.
Опасно ли это?
Одной из самых серьезных опасностей, подстерегающей больных с диагнозом – киста кармана Ратке, является сбой в функционировании гипофиза. В случае, когда кистозное образование сдавливает сам гипофиз, выработка гормонов нарушается. Такая ситуация чревата многими отклонениями в здоровье и способна привести к печальным последствиям.
Чем грозит гормональный сбой:
- Гипотиреоз
- Дефицит гормона роста (карликовость)
- Несахарный диабет
- Гипопитуитаризм (серьезные нарушения обмена веществ)
- Бесплодие, нарушение менструального цикла и набухание молочных желез, у женщин
- Импотенция и снижение полового влечения, у мужчин
- Акромегалия
- Нарушение функционирования всех органов и систем
- Остеопороз
- Сахарный диабет
- Ожирение
- Высокое артериальное давление
Гипофиз отвечает за многие отделы организма, поэтому его хорошее функционирование, это необходимость. Если у ребенка обнаружилась киста кармана Ратке большого размера, то развитие малыша будет нарушено, с множеством отклонений и патологий.
Как формируется?
Развитие плода – процесс сложный. Именно в этот период формируется тело будущего человека. Карман Ратке – это анатомическая конструкция, строение которой начинается у всех в утробе матери. Из этой структуры позже образуется гипофиз головного мозга, его передняя и задняя стенки, а также необходимая воронка. По окончании данного процесса, карман сам по себе исчезает.
При возникновении сбоя в создании такой конструкции, эти строительные клетки остаются и продолжают свою работу, создавая полость, располагающуюся в самом гипофизе. В течение некоторого времени, получившийся карман начинает наполняться мукоидным эпителием с примесью десквамированного содержимого.
Обычный размер данного доброкачественного неопухолевого образования составляет около двух сантиметров, но бывают случаи, когда киста вырастает до больших размеров.
Признаки
Киста кармана Ратке может продолжительное время никак себя не проявлять и протекать бессимптомно. Многие узнают о наличии у себя этого образования случайно, пройдя диагностику МРТ. Проблемы возникают тогда, когда образование по каким-то причинам начинает расти, увеличиваясь в размерах и сдавливая все окружающие ткани.
Симптомы:
- Бессонница
- Головокружение
- Появление галлюцинаций
- Интенсивная головная боль нарастающего характера
- Нарушение зрительной функции
- Эпилептические приступы
- Гиперстезия внутричерепного течения
- Тошнота, рвота
- Гул в ушах
- Нарушение координации
- Обмороки и помутнение сознания
- Расстройство психики
- Ухудшение памяти вплоть до провалов
- Расстройство мелкой моторики
- Болезни эндокринной системы
Проявление симптоматики напрямую зависит от размеров кисты и ее давления на гипофиз, остальные близлежащие участки и нервные окончания.
Кроме того, благодаря увеличению образования, могут происходить и другие нарушения, вызванные сбоем кровообращения головного мозга, такие, как:
- затруднение оттока ликворной жидкости;
- ухудшение функционирования структуры мозга и другие.
В другой статье с нашего сайта мы поднимаем вопрос о ретроцеребеллярной кисте головного мозга.
Что делать если при беременности нашли кисту?
Женщина в период беременности проходит много различных обследований. В некоторых случаях диагностические мероприятия выявляют у таких пациентов заболевания, о которых те и не подозревали.
Диагноз – киста кармана Ратке, поставленный впервые, способен выбить из колеи, особенно если, данная патология обнаружилась у женщины в положении. Это заболевание не приговор для беременных, но весь период вынашивания плода необходимо постоянно консультироваться с доктором.
Дело в том, что кисты любых органов способны начать рост во время беременности, спровоцированный гормональной перестройкой организма женщины. В редких случаях все же происходит рост кисты, во время такого сложного периода, и этот фактор несет много проблем с развитием и вынашиванием плода.
Большой размер образования нарушает кровообращение в головном мозге, негативно влияет на функционирование гипофиза, что чревато гормональным сбоем. Хорошая работа гормональной системы особенно важна для женщин в положении, ведь только с нормальным уровнем гормонов возможно правильное развитие плода.
Именно рост образования, спровоцированный беременностью, очень опасен, как для самой будущей мамы, так и для ее малыша. Только врач способен назначить препараты или мероприятия для контроля роста кисты.
Способы лечения патологии
Если киста кармана Ратке протекает бессимптомно и не увеличивается в размерах, то больной не нуждается в лечении, необходимо только регулярно обследовать образование для контроля его размера. При незначительных признаках данной патологии, врач назначает лечение гормонами, которые подбираются строго индивидуально для каждого пациента.
В случае быстрого роста кисты кармана Ратке, требуется более серьезное лечение. Первый этап терапии состоит из приема гормональных средств, они должны остановить этот процесс. Если гормоны не справились со своей задачей, назначается хирургическое лечение.
Существует два вида хирургического вмешательства, используемые сегодня:
- Классическая операция. Во время операции доктор удаляет кисту через разрез в области носовой раковины. Добраться до кармана Ратке возможно только через клиновидную пазуху. Для хорошей видимости хирург пользуется бинокулярным микроскопом.
- Лапароскопия. Данный хирургический метод имеет большую популярность. С помощью эндоскопа хирург проникает в черепную коробку через нос, полностью удаляя образование. При таком удалении, сосуды головного мозга и сам гипофиз не травмируются.
Только хирургическое лечение кисты кармана Ратке может полностью избавить человека от этого заболевания. После операции содержимое кисты отправляют на анализ, для исключения злокачественного течения процесса.
Последствия
Для того чтобы киста кармана Ратке приносила как можно меньше проблем, нужно постоянно консультироваться с лечащим врачом. При своевременном и адекватном лечении можно не бояться возникновения тяжелых симптомов данной болезни.
Вероятнее всего, больным назначается операция по удалению образования, что является гарантом полного восстановления практически 100%.
Нельзя игнорировать даже самые незначительные симптомы этой болезни, ведь они могут нарастать, и процессы нарушений в организме станут уже необратимы. Чтобы исключить у себя любые заболевания, нужно регулярно проходить обследования в медицинских учреждениях, это позволит выявить все недуги и вовремя начать лечение. 03.10.2016
Киста кармана Ратке

Киста кармана Ратке это доброкачественное образование, представляющее собой выстланную эпителием кисту овальной, округлой или ганетелевидной формы. Впервые описана Goldzieher в 1913, как случайная находка при секции. Описание кист кармана Ратке увеличилось с распространением компьютерной томографии (КТ) и магнитно-резонансной томографии (МРТ).
Патология
Карман Ратке формируется на 4й неделе эмбрионального развития из выроста эпителия крыши ротовой полости. Передняя стенка кармана дает начало передней доле гипофиза (pars distalis). Задняя стенка кармана не пролиферирует и остается в виде промежуточной доли гипофиза (pars intermedia).
Просвет кармана сужается формируя щель, которая обычно облитерируется. Отсутсвие облитерации считается причиной формирования кист Ратке. Стенки кисты обычно выстланы однослойным однорядным эпителием, часто содержащим бокаловидные клетки и ворсинки.
Встречающиеся внутрипросвеные узелки, которые макроскопически определяются в виде белесоватого налета на стенках кисты, представляют слущенный эпителий.
Гистология
При рутинном окрашивании гематоксилин-эозином в стенке кисты кармана Ратке определяется однослойный однорядный цилиндрический или кубический эпителий с бокаловидными клетками. Иногда наблюдается однослойный многорядный эпителий. При метаплазии, в 9-39% случаев, наблюдается плоский эпителий, что связывают с высоким риском рецидива.
Клиника
Кисты кармана Ратке чаще всего не проявляют себя клинически в течении жизни. Симптоматическе кисты кармана Ратке чаще встречаются на 4-5 декадах жизни у женщин [6,7,8]. Типичные симптомы: головные боли, эндокринная дисфункция и снижение зрения.
Гормональные расстройства включают в себя гиперпролактинемию и дефицита гормона роста, снижение уровня кортизола в крови и гипогонадизм [5]. В 7%-20% случаев встречается несахарный диабет.
“Апоплексия кисты кармана Ратке”, недавно описанный термин, подразумевает резкое возникновение симптоматики сочетающееся с признаками внутрикистозного кровоизлияния при визуализации [3].
Компьютерная томография
Киста кармана Ратке при компьютерной томографии характеризуется как кистозное образование селлярнй или супраселлярной локализации, с четкими границами, сниженной плотности. Крупные размеры могут приводить к ремоделированию прилежащих костей.
Простые кисты могут быть неотличимы от арахноидальных кист и эпидермоидов. Комплексные кисты могут быть неотличимы от краниофарингиомы или аденомы гипофиза.
За счет вариабельности в визуализации компьютерную томографию нельзя использовать как единственный метод диагностики.
- нативно
- однородное гипоинтенсивное образование, обычно не содержащее кальцинатов
- иногда может иметь смешанную изо- гипоинтенсивную плотность
- постконтрастные изображения: отсутствие контрастного усиления
Магнитно-резонансная томография
Кисты кармана Ратке почти всегда имеют гомогенную интенсивность МР сигнала, в то время как кистозные краниофарингеомы и аденомы с кровоизлиянием имеют гетерогенный сигнал. [9] Уровни жидкости подразумевают кровоизиляние в анамнезе. Хотя кисты кармана Ратке не имеют характерных только для данной нозологии МР признаков. Большинство кист можно отнести к двум группам:
- Кисты кармана Ратке с низкой интенсивностью МР сигнала на Т1 взвешенных изображениях и высокой интенсивностью сигнала на Т2 взвешенных изображениях,
- Кисты кармана Ратке с высокой интенсивностью МР сигнала на Т1 взвешенных изображениях и различной интенсивностью МР сигнала на Т2 взвешенных изображениях
В первой группе содержимое кисты серозное и имеет сигнальные характеристики соответствующие ЦСЖ. Во второй группе содержимое кист богато мукополисахаридами, которые считаются продуктами муцин-продуцирующих клеток в стенке кисты.
В редких случаях повышенный сигнал на Т1 взвешенных изображениях сочетается с низким МР сигналом на Т2 взвешенных изображениях за счет комбинации факторов включающих наличие мукополисахаридов, продуктов распада гемоглобина, высокого содержания холестерола и сушенных клеточных масс.
https://youtube.com/watch?v=c8dvuyulHck
Сигнальные характеристики в соответствии с содержимым кисты:
- T1
- 50% гиперинтенсивные (высокое содержание мукополисахаридов)
- 50% гипоинтенсивные
- T2
- 70% гиперинтенсивные
- 30% изо- и гипоинтенсивные
- T1 C+
- отсутствие контрастного усиления
- может присутствовать тонкое кольцевидное усиление прилежащей ткани гипофиза за счет сдавления [3,4]
- может присутствовать тонкое кольцевидное усиление отражающее метаплазию эпителия
Дифференциальный диагноз
- краниофарингиома
- локализуется супраселлярно или имеет супраселлярный компонент
- наличие кальцинатов
- кистозная аденома гипофиза
- расположение НЕ по средней линии
- уровень жидкость-жидкость
- гипоинтенсивный ободок в Т2
- наличие перегородок и возможное периферическое усиление
- арахноидальная киста
- эпидермоид
- супраселлярная локализация
- ограничение диффузии
- тератома
- имеет солидный компонент
- имеет интенсивность сигнала соответствующую жировой ткани
Что такое киста кармана Ратке? Проявление, диагностика и лечение патологии

Название «карман Ратке» отражает внешний вид эмбрионального хода, который располагается в гипофизе – между воронкой, передней и задней частью. Собственно, из этого эмбрионального образования в дальнейшем развивается и весь гипофиз.
Карман Ратке образуется у плода на 4-й неделе беременности, источником служит эпителий ротовой полости. Из передней стенки кармана растет передняя доля гипофиза, задняя формирует промежуточную долю.
По мере роста плода карман сужается до размера щели, а затем и вовсе закрывается. Такое развитие происходит в норме. Но иногда что-то идет не так, и карман остается открытым.
В нем образуются узелки, которые выглядят как белесоватый налет, туда же устремляется слущенный эпителий со стенок. В итоге образуется киста кармана Ратке, которая может долгое время никак себя не проявлять.
Впервые это образование описал в XIX веке эмбриолог и анатом Мартин Генрих Ратке, обнаруживший его при изучении трупа.
Другое название – гипофизарный карман Зесселя. Эта патология считалась редкой до внедрения в медицинскую практику МРТ-диагностики. В наши дни большинство таких кист обнаруживают случайно при обследовании по другому поводу.
Как это выглядит?
Это доброкачественное образование. Выглядит как горошинка или рисовое зернышко – плотная ткань округлой или овальной формы, четко отграниченная от вещества гипофиза.
Бессимптомная киста кармана Ратке имеет размер от 1 мм до 2 см, при этих размерах никак не нарушает работу мозга. В подавляющем числе случаев находится между передней и задней долями гипофиза, иногда впереди воронки.
Образование эластичное, структура мукозная (синовиальная, желеобразная). Иногда внутри кисты обнаруживается серозная жидкость или слущенные клетки.
При жизни эту кисту обнаруживают редко, только в том случае, если она становится гормонально активной или чрезмерной большой и начинает давить на окружающие нервные структуры. На вскрытиях обнаруживается в 22% случаев, причем у женщин в 2 раза чаще.
Проявление патологии
У ребенка или взрослого киста может увеличиться и давить на соседние структуры:
- гипофиз в целом;
- кавернозный синус или пещеристую пазуху, через которую оттекает венозная кровь крови от глазниц и мозга;
- хиазму или перекрест зрительных нервов.
Первый симптом – головная боль. Череп – это замкнутое пространство, которое не расширяется. Лишний объем внутри головы давит на мозг, сразу прибавляется отек, что усиливает давление еще больше.
Присоединяются нарушения зрения – выпадения полей, снижение остроты, двоение, нарушение восприятия цвета. По мере роста кисты эти нарушения нарастают.
Еще один опасный признак кисты – гипофизарная дисфункция, включающая в себя:
- Повышение в крови уровня гормона пролактина. Нарушения многообразные, у каждого человека не похожи на другой случай. У молодых женщин может быть отсутствие месячных в сочетании с истечением молока из молочных желез и бесплодием. У женщин всех возрастов отмечаются нарушения менструального цикла. Считается, что треть случаев женского бесплодия обусловлены гиперпролактинемией – так правильно называется это состояние. Другие признаки у женщин – утрата сексуального чувства, оволосение по мужскому типу на теле, низкий тембр голоса, рост усов и бороды. У мужчин это состояние ведет к откладыванию жира на бедрах и ягодицах по женскому типу, росту грудных желез, повышению тембра голоса, уменьшению растительности, а также эректильной дисфункции. Люди обоего пола страдают при этом от ожирения в сочетании с сахарным диабетом, снижения минеральной плотности костей.
- Дефицит гормона роста. Эта опасность подстерегает детей, они могут оставаться ненормально низкого роста навсегда.
- Снижение уровня гормона кортизола. Это гормон стресса, вырабатываемый надпочечниками, однако «командует» синтезом гипофиз. Проявляться это может падением уровня сахара в крови, снижением аппетита и веса, мышечной слабостью и усталостью, снижением артериального давления, уровня кальция и калия.
- Гипогонадизм или снижение выработки половых гормонов яичками у мужчин.
- Несахарный диабет или несахарное мочеизнурение – состояние, которое поражает лиц молодого возраста и даже детей первого года жизни. Человек страдает от непомерной жажды, постоянно пьет воду, выделяя от 6 до 15 литров мочи в сутки.
Киста кармана Ратке может сохранить приемлемые размеры, оставаться мелкой, но в какой-то момент стать гормонально активной. Тогда она начинает представлять опасность, человека мучают описанные выше проявления.
Лечение
Только хирургическое. Ни консервативные методы, ни дренаж кисты к улучшению состояния не приводят. Наоборот, после попыток аспирации (засасывания) содержимого кисты остаток ее может подвергнуться злокачественному перерождению.
Удаляют кисту в нейрохирургических центрах, операция сложная и требует применения робототехники. Используют эндоскопическую технику высокой точности.
После анестезии в носовую полость вводится оптико-волоконный эндоскоп. Под «взглядом» встроенной видеокамеры эндоскоп доводят до области турецкого седла.
Все происходящее нейрохирург видит на экране монитора. В клиновидном синусе формируется отверстие, через которое удаляется вся капсула кисты с содержимым.
Полученный материал отправляется на срочное гистологическое исследование.
После такого вмешательства не остается открытой раны, риска инфицирования практически нет. Реабилитация тоже почти не нужна, пациент выписывается домой спустя 2-3 дня. Примерно через неделю физиологические показатели возвращаются к норме, начинается полное выздоровление.
Оцените эту статью:
Всего : 137
Непредсказуемая киста гипофиза Ратке: как заподозрить образование

Киста Ратке гипофиза вызывает повышение внутричерепного давления, изменения гормонального фона. Бывает бессимптомной или сопровождается жаждой, повышенным аппетитом, постоянными головными болями, половыми дисфункциями. О том, по каким признакам можно заподозрить кисту, какое обследование и лечение необходимо, читайте подробнее в статье.
Что представляет собой киста Ратке
Гипофиз состоит из двух разных по происхождению частей – передней и задней долей. Первая развивается из выроста ротовой ямки, а вторая представляет собой нейроэпителиальные клетки.
Они в период внутриутробного развития постепенно соединяются, а пространство между ними (карман Ратке) зарастает.
Если этого не происходит, то образуется полость, которая заполняется спинномозговой жидкостью.
Когда она небольшая, то это никак не влияет на работу гипофиза и соседних с ним структур – гипоталамуса, перекреста зрительных нервов.
В том случае, если по каким-либо причинам происходит увеличение этого образования, то оно сдавливает переднюю и заднюю долю железы.
Это приводит к нарушению гормонального фона, так как тормозится активность гипофиза и движение гормонов в него по воронке из гипоталамуса.
Чаще всего повышается пролактин, снижается уровень соматотропина, отвечающего за рост тела, а также фоллитропина и лютропина, регулирующих половые функции. При дальнейшем увеличении кисты отмечается уменьшение поступления в кровь адренокортикотропина и тиреотропина, приводящее к гормональной недостаточности надпочечников и щитовидной железы.
Вторая группа симптомов крупной кисты вызвана ее давлением на венозные синусы. Через них оттекает кровь из черепа. При наличии препятствия повышается внутричерепное давление.
Увеличенные гипофизарные ткани из-за скопления между ними жидкости нарушают работу глазных нервов, так как вблизи расположен их перекрест. Это проявляется в виде выпадения отдельных полей или других нарушении зрительной функции.
Рекомендуем прочитать статью о кровоизлиянии в гипофиз. Из нее вы узнаете о причинах кровоизлияния в гипофиз, симптомах кровоизлияния аденомы и микроаденомы, возможных осложнениях, а также о методах диагностики и лечения кровоизлияния в гипофиз.
А здесь подробнее о кисте гипофиза.
Причины образования
Заболевание возникает в период внутриутробного развития. На неполное сращение долей гипофиза могут повлиять такие факторы:
- курение, прием алкоголя;
- применение медикаментов;
- инфекционные заболевания, особенно вирусные, скарлатина, краснуха;
- сахарный диабет;
- тяжелое течение токсикоза;
- угроза выкидыша;
- недостаток фолиевой кислоты, гиповитаминоз.
Так как формирование гипофизарных структур начинается с 4-5 недели, то на протяжении второго месяца наиболее опасны отравления, облучение, контакт с токсичными веществами, обострения болезней почек, резкие повышения артериального давления.
Киста Ратке может быть очень длительный период бессимптомной, ее обнаруживают случайно, или даже пациент на протяжении всей жизни не ощущает ее наличия. Но существуют факторы риска, которые вызывают ее ускоренный рост. Чаще всего они проявляют свое влияние к 35-40 годам жизни.
Наиболее изученными являются:
- нейроинфекция – распространение воспаления на ткани мозга при энцефалите, менингите;
- осложнения гриппа, простудных болезней, гайморита, отита, ангины;
- сосудистые заболевания головного мозга – атеросклероз, дисциркуляторная энцефалопатия;
- нарушения оттока крови из-за остеохондроза;
- последствия черепно-мозговой травмы, операций, лучевой терапии;
- тяжелые роды;
- массивная кровопотеря.
Симптомы наличия кисты Ратке в гипофизе
Проявления кисты зависят размеров образования. Они состоят из изменений гормонального фона, неврологической симптоматики, зрительных нарушений.
Гормональные
Чаще всего первым признаком бывает повышение уровня пролактина. Причиной этого является нарушение поступления в гипофиз дофамина из гипоталамуса из-за сдавления воронки. При отсутствии этого тормозящего фактора гормон в большой концентрации обнаруживается в крови, что приводит к изменениям половой функции:
- у мужчин – слабость эрекции, низкий уровень сексуального влечения, увеличение грудных желез, снижение числа и подвижности сперматозоидов;
- у женщин – задержки менструаций, длинный цикл, скудные выделения, прекращение месячных, бесплодие, выделение жидкости из сосков, усиленный рост волос на теле и лице.
Вне зависимости от пола увеличивается вес тела, отмечается раздражительность, депрессивные расстройства. Нарушения половой функции усиливаются, если снижается образование фолликулостимулирующего и лютеинизирующего гормонов передней долей гипофиза. Такие изменения гормонального фона могут привести к преждевременному наступлению климакса, устойчивому бесплодию.
https://youtube.com/watch?v=4r6L9X1oPro
Уменьшение уровня гормона роста наиболее ощутимо, если киста формируется у ребенка. Дети отстают от своих сверстников по физическому развитию, при выраженном дефиците без лечения они остаются карликами. Нередко это сочетается с замедлением полового созревания, снижением способности к обучению.
Гормональная недостаточность надпочечников проявляется нехваткой кортизола. Это выражается в таких симптомах:
- тяжелая общая и мышечная слабость;
- низкая сопротивляемость инфекциям, стрессам;
- снижение сахара в крови;
- потеря аппетита.
Если уменьшено поступление тиреотропного гормона, то щитовидная железа в недостаточном количестве синтезирует тироксин. У больных замедляются обменные процессы, кожные покровы становятся сухими, отечными. Возникает непереносимость холода, запоры, замедляется сердечный ритм.
Из-за того, что сдавлена воронка из гипоталамуса, в заднюю долю гипофиза не поступает гормон вазопрессин. Он является регулятором водного обмена. При его нехватке пациенты испытывают постоянную жажду, а объем мочи возрастает до 6-10 литров за сутки. Такое состояние называется несахарным диабетом, оно нередко бывает первым поводом для обращения к врачу и выявления кисты.
Неврологические
Увеличение кистозного образования сопровождается постоянными головными болями. Они вызваны торможением оттока крови из полости черепа. Их типичными признаками являются:
- усиление при физической активности, наклоне вниз;
- тошнота, позывы на рвоту;
- ощущение давления на глаза, болезненность при их движении;
- отечность тканей лица, век.
При постоянно повышенном внутричерепном давлении пациенты плохо переносят смену погоды, климата. У них нередко бывает бессонница, раздражительность, снижение памяти, быстрая утомляемость при умственной деятельности. Крупная киста является причиной:
- судорожного синдрома;
- нарушения координации движений;
- шаткости при ходьбе;
- кратковременных обморочных состояний.
Зрительные
Давление гипофиза на перекрест зрительных нервов приводит к снижению зрения и выпадению его полей. Могут возникать:
- двоение и расплывчатые контуры предметов;
- опущение века;
- непроизвольные мелкие подергивания глаз.
Если заболевание своевременно не выявлено, то из-за прекращения движения импульсов по глазным нервам наступает слепота.
При осложненном течении возникает кровоизлияние в кисту. Оно сопровождается резким снижением зрения, сильной головной болью, тошнотой и рвотой.
Методы диагностики
Главным методом для обнаружения кисты является магнитно-резонансная или компьютерная томография. Так как это образование похоже на аденому гипофиза и краниофарингиому, то чаще всего необходимо дополнительное введение контрастного вещества. К наиболее важным диагностическим критериям кисты кармана Ратке относятся:
- расположение внутри турецкого седла, или она выходит и за его границы;
- форма – овал, гантель, круг;
- находится между передней и средней долей;
- размер обычно 1-2 см, реже бывают крупные – до 4-5 см, они могут разрушать костные ткани;
- при введении контраста не накапливает его;
- границы четкие;
- однородной структуры;
- не содержит отложений кальция в отличие от опухолей.
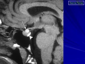
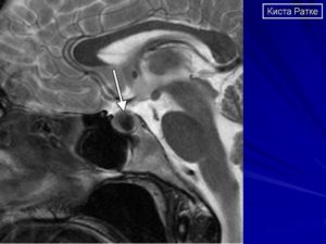
На снимке МРТ стрелочками указана киста и аденогипофиз, который всегда деформирован кистой, и киста непосредственно к нему прилегает
Плотность содержимого кисты ниже, чем окружающая ткань, если преобладает жидкостный компонент внутри. При усиленном накоплении белков и мукополисахаридов консистенция становится желеобразной. В редких случаях имеется неоднородность сигнала за счет того, что присутствуют включения жиров, распавшейся крови, слущенного слоя эпителия, который выстилает изнутри кисту.
Окружающая ткань гипофиза может выглядеть более плотной, так как отмечается сдавление его клеток. При аденоме, наоборот, соседние области разрежены, так как максимальная гормональная активность наблюдается внутри опухоли.
Смотрите на видео о МРТ головного мозга:
Пациентам показано исследование крови на гормоны:
- пролактин, соматотропин;
- фолликулостимулирующий, лютеинизирующий, прогестерон, эстрадиол, тестостерон;
- адренокортикотропный и кортизол;
- тиреотропный и свободный тироксин.
К обязательным этапам обследования относится осмотр невропатолога и окулиста, измерение полей зрения, выявление изменений глазного дна.
Лечение кисты Ратке
Если образование найдено случайно, то киста Ратке гипофиза лечения не требует. За такими пациентами устанавливается наблюдение.
Им ежегодно нужно проходить анализы крови, томографию, осмотр эндокринолога, нейрохирурга и окулиста.
Известны случаи, когда на протяжении 10 лет не было изменений размеров кисты, реже происходило ее уменьшение из-за разрыва оболочки или преобладания поглощения жидкости над образованием.
Увеличение размеров, а также неврологические нарушения, избыток пролактина, тяжелая недостаточность гипофизарных гормонов требуют оперативного удаления кисты.
Для этого хирург чаще всего выбирает доступ через носовые ходы. При помощи эндоскопических инструментов из полости откачивается жидкость, а ее стенки разрушаются. После такой операции удается добиться:
- снижения пролактина;
- ослабления головной боли;
- восстановления или частичного улучшения зрения.
Недостаточность гормона роста, кортизола и тироксина ликвидируется не полностью. Поэтому многим пациентам назначается заместительная терапия. Соматотропин вводят до завершения роста костей детям и подросткам, а лечение Гидрокортизоном и Эутироксом рекомендуется в любом возрастном периоде.
Если киста маленькая, а уровень пролактина удается снизить при помощи Парлодела, Достинекса, то операция может и не потребоваться. При устойчивом бесплодии показано применение методов стимуляции овуляции, искусственное оплодотворение.
Всем пациентам, вне зависимости от методов лечения, нужно оставаться под ежегодным врачебным наблюдением, так как даже успешно выполненное удаление не гарантирует отсутствия рецидива. Он в среднем вероятен на протяжении 5 лет.
Рекомендуем прочитать статью о кисте эпифиза. Из нее вы узнаете о причинах появления кисты шишковидной железы, видах образования эпифиза, методах диагностики и лечения у детей, а также об удалении кисты у взрослых.
А здесь подробнее о гипофизе и головной боли.
Киста кармана Ратке является нарушением внутриутробного развития гипофиза. Бывает бессимптомной, но при инфекционных, сосудистых заболеваниях и травмах может расти. Она сдавливает воронку и пути оттока крови, что проявляется гормональными нарушениями, внутричерепной гипертензией.
Если повреждаются зрительные нервы, то это приводит к снижению зрения, вплоть до слепоты. Для выявления нужна томография и анализы крови на гормоны гипофиза. Лечение проводится медикаментозное или кисту удаляют через носовые ходы.





