Дермоидная киста: симптомы и причины, диагностика, лечение и профилактика

Дермоидная киста – это полое доброкачественное образование, представляющее собой плотную капсулу, с содержимым из частичек дермы, волос, сальных элементов. Размеры нароста могут варьироваться от 2 до 200мм. Тератодермоидная киста не поддается классической терапии и народным способам, удалить ее можно только хирургическим способом.
Симптомы дермоидной кисты
Симптомы дермоидной кисты, вне зависимости от ее локализации характеризуются неявным характером, практически себя не проявляют, поскольку развиваются медленно.
Клинические проявления возникают, когда размеры новообразования превышают 5-10см и начинают давить на близлежащие органы, нарост воспаляется, возникает ее нагноение.
В ряде случаев визуально симптоматика проявляется как косметический дефект (киста с волосами на глазу, новообразование на голове). В большинстве случаев нарост обнаруживается случайно или в момент обострения.
Проявления зависят от места локализации образования:
- Симптомы дермоидной кисты яичника при крупных размерах оказывают давление на соседние органы, что вызывает постоянные ноющие боли низа живота, напряжение брюшины, увеличение живота. Наблюдается нарушение работы кишечника (запоры, диарея), расстройство процессов мочевыделения (частые позывы, болезненность нижней части живота во время мочеиспускания). Осложненное новообразование с нагноением провоцирует у женщины сильные боли в области яичников, повышение температуры. Опасность дермоидных образований яичников заключается в возможности их озлокачествления, поэтому данные образования требуют обязательного хирургического вмешательства;
- Крупные наросты в параректальной области сдавливают прямую кишку, результате чего появляется болезненность и затрудненность при дефекации. За счет давления на просвет прямой кишки, каловые массы становятся плоскими, принимают лентовидную форму;
- Большие дермоиды средних отделов грудной полости (средостение) начинают давить на трахею, легкие, перикард. В результате появляется затрудненное дыхание, регулярно проявляющаяся тахикардия, кашель, синюшность кожи.
Причины возникновения дермоидной кисты
Своему формированию новообразование обязано нарушениям, возникающим в период эмбрионального развития. К основным причинам дермоидной кисты относятся:
- Гормональный фактор. Развитие новообразования может быть спровоцировано изменениями гормонального фона в период полового созревания, менопаузы;
- Последствия травмы или ушиба брюшины.
Дермоидная киста яичника – тератома представляет собой плотное полое образование, содержимое которого состоит из ороговевших элементов, частичек волос, костей, сальных и жировых вкраплений. Основной причиной новообразования являются эмбриональные аномалии. Развитие образования до видимых размеров происходит на этапах возрастных изменений гормонального фона: климакс, пубертатный период.
В большинстве случаев формируется дермоидная киста правого яичника. Это происходит по причине более активного функционирования правого органа. Гормональные сбои отражаются на правостороннем яичнике сильнее. Дермоидная киста левого яичника встречается нечасто, при этом тератома, сформировавшаяся на органе, не достигает крупных размеров. Обычно самый крупный объем новообразования – 6см.
Тератомы яичников подлежат обязательному удалению, поскольку одним из последствий данного вида новообразований является бесплодие.
Дермоидная киста на брови представляет собой врожденную патологию. Данное новообразование проявляется внешней деформацией лицевых тканей и определяется в раннем возрасте. Развитие образования протекает бессимптомно, но проявляется визуально.
Структура нароста плотная с четкими границами, безболезненна и подвижна. Болевой синдром возникает при развитии воспаления.
При нагноении новообразования болезненными становятся окружающие кожные покровы, повышается температура, могут возникнуть приступы головной боли, тошноты и слабости.
https://youtube.com/watch?v=VPJwJxoSl1M
Образование необходимо удалять хирургически, поскольку полый узел может деформировать костные ткани, оказать негативное влияние на носоглотку, головной мозг.
Дермоидная киста глаза является доброкачественным полостным образованием, в большинстве случаев врожденного характера. Локализуется нарост в зоне верхнего века, в роговице, на яблоке, склере.
Развитие образования протекает бессимптомно, но его увеличивающиеся объемы могут повлиять на уменьшение размеров глаза, спровоцировать нарушения зрительного восприятия, не поддающиеся коррекции линзами или очками.
Образование представляет собой плотную капсулу, заполненную содержимым из частиц эпидермиса, волосяных фолликулов. Нередко волосы видны на поверхности выроста, по причине чего данное образование получило название «волосатая киста».
Дермоидная киста на голове представляет собой полый вырост с содержимым из элементов волос, дермы, ороговевших частиц. Не характеризуется четкой локализацией.
Может формироваться на губах, веках, глазных яблоках, затылке и любой области волосистой части головы, переносице, ушах, в носогубных складках, в полости рта, носоглотке.
На начальном этапе развития протекает бессимптомно, развиваясь четко визуализируется.
Лечение возможно исключительно хирургическим методом. Удаление образования не проводится у детей, чей возраст меньше 5 лет, поскольку во время операции используется общий наркоз. Исключение представляют случаи, когда новообразование угрожает здоровью и жизни ребенка.
Диагностика дермоидной кисты
Комплекс диагностических мероприятий объединяет:
- Консультация лечащего врача: визуальный осмотр, пальпация;
- Обследование ультразвуком;
- Магнитно-резонансная томография;
- Лучевая компьютерная томография;
- Анализ на онкомаркеры;
- Гистология.
Дермоидная киста на УЗИ
Данный вид обследования позволяет точно оценить состояние пораженного органа, дает точную информацию о формировании новообразования.
Ультразвуковое обследование позволяет выявить локализацию дермоида, определить объем, содержимое капсулы, влияние новообразования на соседние органы.
Дермоидная киста надбровной дуги, как и дермоиды, локализованные в других областях, определяются в масштабах реального времени (3Д, 4Д проекции). УЗИ является необходимым методом исследования для дифференциации дермоидной кисты промежности и мезенхимомы.
МРТ
Дифференциальная диагностика делает необходимым проведение магнитно-резонансной томографии (МРТ). Данный вид обследования базируется на воздействии магнитного излучения высокой частоты на интересуемую область.
Задача исследования – получение снимков новообразования в разной плоскости. Метод является одним из самых точных и детально визуализирует мягкие ткани и органы. МРТ позволяет определить характер капсульного содержимого, место расположения образования, степень воздействия на соседние органы.
Является важнейшим методом дифференциальной диагностики (дифференцирование дермоидной кисты верхнего века от мозговой грыжи, мукоцелей).
При магнитно-резонансной томографии (в отличие от КТ) не применяются рентгеновские лучи, поэтому данный диагностический метод может быть назначен для исследования тератом у детей, выявления дермоидной кисты при беременности.
ЛКТ
Лучевая диагностика является одной из распространенных форм рентгенографии. Результаты лучевой компьютерной томографии являются максимально информативными.
Процедура проводится путем воздействия рентгеновских лучей на исследуемую область, позволяет определить характер развития новообразования.
Данная процедура является важным методом исследования тератомы, поскольку существует минимальный риск перерождения дермоида в злокачественную опухоль.
Анализ крови на онкомаркеры
В ряде случаев (дермоидные узлы яичников, новообразования головного мозга), для выявления характера содержимого, сдается анализ крови СА 125 на онкомаркеры. Для изучения проводится забор венозной крови. Исследование позволяет определить наличие и специфику раковых клеток.
Гистология
В большинстве случаев гистологическое исследование проводится после операции. До оперативного вмешательства забор биоматериала (фрагмент образования) назначается при образованиях яичников.
Лечение дермоидной кисты
Единственный способ лечения дермоидов – оперативное вмешательство. Как правило, операций проводятся по достижению 5-7 лет и далее.
Оперативное лечение дермоидной кисты, в зависимости от ее локализации может проходить под местной или общей анестезией.
В большинстве случаев иссечение образования проходит, не затрагивая здоровые тканевые участки, полное устранение нароста вместе с близлежащими тканями происходит для предотвращения осложнений.
Если размеры образования небольшие, операция длится не более 30 минут. Гнойные новообразования требуют сложных манипуляций, состоящих из нескольких этапов (хирургическое лечение дермоидной кисты в яичниках с обширным поражением органа, дермоиды головного мозга).
Во время оперативного вмешательства вскрывается кистозная капсула, извлечения ее содержимого, дренирования полости в случаях нагноения. Полное иссечение проводится для предотвращения рецидивов и осложнений.
Современные методы хирургического воздействия имеют низкую степень травматизации близлежащих здоровых тканей, короткий восстановительный период. К наиболее распространенным способам оперативного вмешательства относятся лапароскопия, лазерное воздействие, эндоскопия. Устранение дермоидов является одним из самых безопасных операций с благоприятным исходом.
Удаление дермоидной кисты
Одним из наиболее распространенных способов удаления дермоидной кисты, как и других новообразований, является лапароскопия.
Метод оперативного вмешательства получил широкое распространение и популярность благодаря малой травматичности, результативности, короткого восстановительного периода.
Лапароскопическая операция эффективна при устранении тератом любых размеров, даже доходящих до 15 см.
При проведении данного вида оперативного вмешательства доступ к дермоиду осуществляется через разрезы минимального размера (5-7мм).
Края надрезов практически не кровоточат, за счет использования лазерного, ультразвукового, электрического инструментария.
Подобная технология обеспечивает эффективный и быстрый доступ к поврежденному органу с одновременным запечатыванием сосудов по краям разреза. Послеоперационные швы практически незаметны, полностью исчезают в течение 3 месяцев.
Наиболее эффективно лапароскопическое удаление дермоидной кисты в яичнике. Данная операция позволяет, в большинстве случаев, сохранить женщине детородную функцию. Через полгода после проведения процедуры пациентка способна к зачатию.
Лапароскопия не применяется при новообразованиях в области головного мозга.
Особенности оперативного вмешательства
Устранить новообразование можно исключительно оперативным путем, выбор типа операции зависит от многих факторов: возраст, локализация, размеры образования, наличие хронических заболеваний, состояние здоровья пациента.
В большинстве случаев хирургическое вмешательство проводится по достижению 5 лет (не ранее), поскольку с этого возраста организм ребенка может переносить не только местную, но и общую анастезию.
Когда дермоид осложнен нагнаиванием, его устранение проводится после медикаментозной терапии, задачей которой является снять воспаление и боль. Хирургическое вмешательство возможно на стадии стойкой ремиссии.
При неосложненных, медленно развивающихся новообразований, удаление проходит планово. Операция проводится стандартным хирургическим методом или применяется лапароскопия.
В ходе операции происходит аккуратное вскрытие новообразования, содержимое капсулы и стенки полости удаляются. Важно уничтожить все фрагменты дермоида, во избежание рецидивов.
Хирургическая операция проводится в пределах образования, близлежащие здоровые ткани не затрагиваются.
Длительность операции зависит от места локализации, степени поражения кисты и может продолжаться от 15 минут до нескольких часов.
Устранение небольших дермоидов, локализованных в области копчика или головы, не требует общей анестезии. Общий наркоз используется в случаях, когда операция назначена маленькому ребенку (начиная с 5 лет), поскольку детям сложно соблюдать условия операции.
Устранение дермоида является единственным методом успешного лечения данного вида кист. Хирургическое вмешательство является обязательным при развитии новообразования, поскольку существует вероятность воспаления и нагноения кисты, нарушение функционирования органов за счет разрастания образования, небольшой, но существующей возможности озлокачествления.
Прогноз и профилактика
Дермоидные кисты имеют врожденный характер, их первопричиной являются аномалии развития плода в эмбриональный период.
Поэтому, во время беременности следует придерживаться правил здорового образа жизни, необходимых для нормального формирования малыша.
Правильное питание и прием назначенных витаминно-минеральных комплексов, адекватная физическая активность, стабилизация психо-эмоционального фона – все это минимизирует возможность появления каких-либо нарушений в развитии плода.
При уже существующей кисте маленьких размеров, предотвратить ее развитие поможет укрепление иммунной системы и общее оздоровление организма, по правилам, аналогичным для будущих мам: здоровое питание, посильная физическая активность, стабильное эмоциональное состояние, прием витаминных комплексов при необходимости.
Необходимо проходить плановые осмотры врачей. Такое отношение к своему здоровью позволит вовремя определить и начать своевременное лечение любого заболевания. Обнаружение дермоида на ранней стадии, его иссечение никак не отразится на качестве жизни пациента, но сможет предотвратить возможные осложнения.
Низкая склонность к озлокачествлению, медленный рост, качественное удаление дермоидного образования современными хирургическими методами делает прогноз очень благоприятным.
Дермоидная киста яичника

- Поликлиника
- Стационар
- Стоматология
- Пластическая хирургия
- ЭКО
Что такое дермоидная киста яичника, насколько она опасна и как на сегодняшний день она лечится? Этими и многими другими вопросами задаются девушки и женщины, которым поставили такой диагноз.
В этой статье мы постараемся рассмотреть ключевые моменты, касающиеся этого заболевания.
Дермоидная киста на яичнике (иначе ее еще называют зрелой тератомой или дермоидом) – это довольно распространенная доброкачественная опухоль.
Внешне она представляет собой капсулу диаметром до 15 см, заполненную слизью с волосами, жировой тканью, а иногда хрящевыми и костными образованиями.
Встречаться подобные опухоли могут как у маленьких девочек, так и у зрелых женщин, однако наиболее часто диагностируют заболевание у девушек в пубертатный период, у женщин детородного возраста, а также у женщин в период менопаузы.
Симптомы дермоидной кисты яичника
Большинство женщин долгое время могут даже не подозревать о наличии дермоида в их организме: при малых размерах образования болевые ощущения отсутствуют.
Первые неприятные симптомы заболевания дают знать о себе, когда киста достигает значительных размеров.
Регулярное посещение врача-гинеколога, плановое УЗИ позволяют не только обнаружить новообразование, но и вовремя назначить лечение. К основным симптомам зрелой тератомы можно отнести:
- Неприятные и болевые ощущения внизу живота. Чаще всего боль носит скручивающий характер, женщине трудно определить ее локализацию.
- Отсутствие гормональных сбоев и нарушений менструального цикла.
- Нарушение функционирования других внутренних органов: постепенно увеличивающийся дермоид оказывает давление на близко расположенные органы.
- Боль и чувство жжения при мочеиспускании, частые позывы в туалет.
- Нарушение стула: могут наблюдаться как частые запоры, так и диарея, а иногда и их чередование.
- В запущенных случаях размер брюшной полости из-за разрастания кисты может увеличиться.
Помимо вышеперечисленных симптомов киста может привести к очень серьезному осложнению — перекручиванию ножки дермоида. Такое неприятное явление случается обычно после усиленной физической нагрузки или танцев, и ему сопутствует следующая симптоматика:
- Сильная нарастающая боль в нижней части живота, которая может отдавать в ногу или кишечник.
- Болезненные ощущения при пальпации.
- Повышенная температура тела.
В случае воспаления зрелой тератомы у женщины наблюдаются такие неприятные явления, как:
- Лихорадочное состояние: температура тела может достигать максимальных показателей.
- Упадок сил, слабость.
- Резкая боль в животе.
Помимо того, что разросшийся дермоид может причинять сильную боль, он также может сдавливать сосуды яичника, нарушать кровообращение в нем и мешать его здоровому функционированию. Со временем это приводит к тому, что пораженный яичник замещается соединительной тканью (она более невосприимчива к нехватке питательных веществ, кислорода), и двойная нагрузка ложится на здоровый орган.
Диагностика
При подозрении на зрелую тератому женщине назначаются и проводятся следующие исследования:
- Ректо-абдоминальное и влагалищно-абдоминальное обследование гинеколога. Двуручный осмотр позволяет определить округлое образование спереди или сбоку от матки.
- УЗИ малого таза с использованием трансвагинального или трансабдоминального датчика. Данный метод диагностики сегодня признан одним из самых информативных: при проведении УЗИ можно определить точные размеры кисты, плотность ее содержимого и толщину ее капсулы. С помощью метода ЦДК (цветного доплеровского картирования) можно точно определить, является ли новообразование злокачественным или доброкачественным: способ помогает оценить характер кровотока (его отсутствие).
- Дермоидная киста яичника мрт — данная процедура позволяет в случае сомнений подтвердить диагноз: во время МРТ жировая ткань зрелой тератомы становится различимой.
- Анализ крови на онкомаркеры: процедура назначается для того, чтобы определить или исключить присутствие в крови онкомаркеров – веществ, характерных для злокачественных новообразований.
В качестве дополнительных способов диагностики дермоида женщине могут предложить сделать:
- Рентген брюшной полости: снимок помогает обнаружить дермоид с костными включениями.
- Лапароскопию: дермоидная киста яичника лапароскопия – это получение снимка кисты при помощи эндоскопа, введенного через маленький разрез в полость живота.
Помимо гинеколога может понадобиться консультация онколога или хирурга.
Причины
Есть несколько причин возникновения зрелой тератомы, и все они связаны с нарушением эмбриогенеза. Дермоид развивается еще в период внутриутробного развития плода из зародышевых клеток.
На беременную женщину в этот момент, предположительно, оказывается воздействие таких неблагоприятных факторов, как физические (облучение, воздействие слишком высоких или низких температур), биологические (перенесенные заболевания во время беременности, влияние вирусов), химические (отравление лекарственными или пищевыми ядами, токсичными веществами).
Эти причины являются первичными, но киста может никак себя не проявлять на протяжении десятилетий, если на нее не будут воздействовать провоцирующие рост дермоида факторы. К ним относятся:
- Гормональные изменения в организме женщины (объясняется частой диагностикой заболевания у девочек-подростков и у женщин во время климакса, а также беременных женщин).
- Травматический фактор.
Последствия и осложнения
Неправильно утверждать, что дермоидная киста яичника – это рак, но в злокачественное образование опухоль переродится все же может. Называется такое явление малигнизацией. И хоть опухоль в злокачественную превращается довольно редко (около 2 % случаев), нельзя не учитывать этот риск.
Лечение дермоидной кисты яичников
Дермоидная киста яичника как лечить? Ответ только один – хирургическим методом. На данный момент еще не созданы препараты для медикаментозного лечения кисты. Обязательное удаление образования на яичнике необходимо для того, чтобы:
- Спасти яичник и его непораженную ткань. Это особенно важно для женщин и девушек, которые в будущем планируют материнство. Степень фертильности женщины напрямую зависит от объема оставшейся здоровой ткани органа.
Примечательно. Дермоидная киста яичника левого, как гласит статистика, встречается намного реже (в 26% случаев), чем киста дермоидная в правом яичнике (68 % случаев).
Это напрямую зависит от своеобразного анатомического строения организма женщины: левый яичник вырабатывает меньше яйцеклеток, он в меньшей степени обеспечивается кровью и формируется этот левый яичник намного медленнее правого.
Зачатие возможно спустя полгода в том случае, если сохранена большая половина тканей органа (выждать 6 месяцев необходимо для полного восстановления функций яичника). Если же опухоль была двусторонней, то беременность возможна только спустя год и при том условии, что на органы сохранили половину своей здоровой ткани.
- Снизить риск перерождения зрелой тератомы в плоскоклеточный рак.
Здесь важно отметить, что операцию должен проводить исключительно опытный врач: важно не просто «освободить» яичник от кисты, но в процессе случайно ее не вскрыть. Жир, волосы и прочее содержимое кисты, растекшееся в организме, может привести к формированию абсцессов.
Отказываясь от операции, женщина рискует получить перекрут ножки кисты, который возможен во время любых физических нагрузок. Также существует риск нагноения содержимого кисты, в результате которого дермоид может переродится в рак.
Лапароскопия – один из самых малотравматичных и популярных методов удаления зрелой тератомы. Через малые надрезы в брюшную полость вводятся камера и необходимые для удаления кисты инструменты. Обычная полостная операция проводится, когда киста достигла внушительных размеров.
Обратившись к опытному специалисту, вы также снижаете риск рецидива кисты, который возможен в случае неполного удаления образования.
При своевременном и квалифицированном удалении кисты, дальнейший прогноз, касающийся детородной функции и общего здоровья, благоприятен.
Профилактика дермоидной кисты
Среди мер профилактики роста дермоида необходимо отметить следующие:
- Регулярный осмотр гинеколога: заподозрить рост дермоидной кисты яичника тератомы можно выявить во время обычного гинекологического обследования.
- Сбалансированное питание, достаточное потребление селена и витамина А.
- Отказ от употребления алкогольных напитков и курения.
Способ удаления дермоидной кисты определяется исходя из ситуации: так, в экстренном режиме производятся операции по удалению воспаленных образований и зрелых тератом с перекрутом ножки.
Если дермоидная киста диагностирована в период беременности, и в это время она не оказывает негативного влияния на соседние органы или имеет малые размеры, то оперативное вмешательство целесообразно отложить на послеродовый период.
Дермоидная киста яичника лечения после операции особого не требует, однако необходимо регулярно посещать гинеколога, проводить УЗИ органов малого таза раз в год.
Специалисты медицинского центра «Клиника К+31» напоминают, что своевременное обращение к врачу значительно снижает риск развития многих опасных осложнений.
* — Травмпункт работает в круглосуточном режиме только для взрослых.Для детей ведется прием детского травматолога в соответствие с расписанием.Расписание уточняйте у операторов в кол-центре
Обращаем ваше внимание, что вся информация, включая цены, предоставлена для ознакомления и не является публичной офертой (ст.435 ГК РФ, cт. 437 ГК РФ)
Для получения более детальных консультаций по услугам и их стоимости обращайтесь в колл-центр по телефонам, указанным выше.
Цены действительны для потребителей — физических лиц.
Внутричерепная дермоидная киста

Интракраниальные дермоидные кисты — редко встречающиеся образования с характерными радиологическими чертами.
Они представляют собой сочетание широкого спектра патологии от эпидермоидных кист (содержащих только слущенный плоский эпителий), до тератом (содержащих любые ткани, производные всех трех эмбриональных ростков).
Эпидемиология
Дермоидные кисты встречаются в 0.5% случаев всех первичных внутричерепных опухолей (в 5-10 раз реже чем эпидермоиды), несколько чаще встречаются у женщин. Обычно, дермоидные кисты встречаются в возрасте до 30 лет [3].
Клиническая картина
За частую дермоидные кисты асимптомны и обнаруживаются случайно. Иногда, в течении длительного времени они могут не иметь иной симптоматики, кроме головных болей [4]. При наличии клиники, её проявления можно разделить на:
- результат объемного воздействия
- сдавление окружающих структур, например, хиазмы зрительного нерва
- разрыв (спонтанный, травматический или ятрогенный (во время резекции))
- включения жировой плотности в субарахноидальных пространствах
- асептический химический менингит, за счет попадания холестерина и жировых кислот в ликворные пути
- разнообразная клиника от головных болей до судорог, вазоспазма или даже смерти [4]
Патология
Последние, вырабатывая кожное сало, определяют характерный паттерн визуализации на МРТ и КТ. Существует частое заблуждение, что дермоид содержит жировую ткань. Но липоциты имеют мезодермальное происхождение, в то время как дермоидные кисты (по определению) должны иметь только эктодермальное. Дермоидные кисты с жировой тканью относятся к тератомам (истинным новообразованиям).
Компьютерная томография
Обычно дермоидные кисты представляют собой хорошо отграниченные, дольчатые образования сниженной (жировой) плотности. В стенке могут встречаться кальцинаты.
Контрастное усиление не характерно и если присутствует, то должно быть в виде кольца по периферии.
Редко, дермоидные кисты имеют включения высокой плотности за счет сапонификации (омыления солей кальция), микрокальцинатов и продуктов распада гемоглобина.
Магнитно-резонансная томография
В отличии от интракраниальных липом, которые соответствуют жиру на всех последовательностях, интракраниальные дермоидные кисты имеют более разнообразные сигнальные характеристики [4]:
- T1
- обычно гиперинтенсивные (за счет холестерола)
- капельные включения в субарахноидальных пространствах при разрыве
- T1 с контрастным усилением
- обычно не имеет усиления
- выраженное усиление оболочек при химическом менингите, после разрыва кисты
- T2: варьирует от гипо- до гиперинтенсивного
Дифференциальный диагноз
Дифференциальный ряд ограничен образованиями хиазмально-селлярной области с первично повышенным МР сигналом на Т1 взвешенных изображениях, а так же небольшим перечнем патологических образований содержащих жир:
- интракраниальная липома
- гомогенная жировая плотность/интенсивность сигнала
- артефакт химического сдвига
- внутричерепная эпидермоидная киста
- плотность приближена к плотности цереброспинальной жидкости
- ограничение диффузии на DWI
- внутричерепная тератома
- незрелая
- обычно локализуется в селлярной области
- краниофарингиома
- более выраженная гиперинтенсивность на T2 изображениях
- более выраженное контрастное усиление
Ключевые моменты
- содержит придатки кожи такие как волосяные фоликулы, потовые и сальные железы, но не содержит жировой ткани
- низкая плотность (жирова) на КТ и гиперинтенсивный сигнал на Т1 взвешенных МР изображениях
- при разрыве: капельные включения в субарахноидальных пространствах и химический менингит
Мрт кисты яичника

Магнитно-резонансная томография широко используется в гинекологии, как в диагностике заболеваний малого таза и визуализации гипофиза (орган, который находится в головном мозге). Патология гипофиза также частая причина гинекологических заболеваний. МРТ вышел на лидирующие места в диагностике гинекологических патологии по ряду причин.
- данный метод абсолютно безопасный (нет такого поражающего фактора, как радиация).
- метод позволяет оценить полностью анатомию органов малого таза.
- неинвазивный метод в отличие хирургических диагностических процедур.
- высокоточный метод. Чувствительность ко всем заболеваниям находится на уровне 90%.
- сохранение данных обследования, что дает возможность сравнивать после лечения или отправлять свои диагнозы на второе мнение.
При исследовании МРТ яичников нужно сказать о наличии имплантата (кардиостимуляторы) и о спирали частой в гинекологической практике.
При МРТ оценивают состояние яичников, положение, доминантное тело, количество фолликулов, наличие воспалительного, спаечного, опухолевого процесса в малом тазу.
МРТ яичников. Визуализируются множественные кисты обоих яичников
Мрт труб матки и яичников
При выполнении МРТ яичников также выполняют сканирование маточных труб, что важно при диагностике следующих заболеваний:
- воспалительные заболевания Оофорит — воспаление яичников. Сальпингоофорит — воспаление яичников и маточной трубы. Также может быть просто сальпингит — воспаление маточной трубы. Также в зависимости от содержимого в маточной трубе или яичнике добавляют такие приставки гидро (жидкость), пио (гной), гемо (кровь) и получаются такие диагнозы, как, например, пиосальпингоофорит.
- кисты. При помощи МРТ оценивают доброкачественные или злокачественный процесс. Наиболее часто встречаемые кисты яичника следующие: фолликулярная киста, киста желтого тела, геморрагическая киста, эндометриоидная киста, дермоидная киста, муцинозная киста, серозная киста, герминогенные опухоли, эпителиальные опухоли, множественные кисты яичников.
- злокачественные опухоли.
- аномалии развития (агенезия яичников, лишний яичник и так далее).
МРТ помогает врачу гинекологу определить дальнейший план лечения, который может быть хирургический или консервативный.
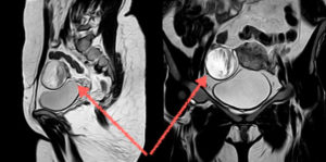
МРТ малого таза. Стрелкой указан яичник и геморрагический компонент в нем
МРТ яичников и матки
На том уровне, где расположены яичники при МРТ визуализируется матка. На МРТ диагностику отправляют много женщин с бесплодием. Аномалия матки, кисты яичников или непроходимость маточных труб часто являются причинами бесплодия.
Самая частая аномалия матки — это двурогая матка, которая в свою очередь может быть неполной, полной или седловидной двурогой маткой.
Как правило, женщина, которая долго не может забеременеть в браке, обращается к акушеру-гинекологу тот после общего гинекологического осмотра, УЗИ, чаще советует пройти на такое обследование, как МРТ.
Частое заболевание, которое поражает и яичники, и матку одновременно — это эндометриоз и воспалительные процессы со спаечным процессом. Эндометриоз чаще поражает сначала матку, а потом в 3 степени берется и за яичник, что клинически также выражается в бесплодии.
Воспалительный процесс в малом тазу — это исход венерологических заболеваний таких возбудителей, как гонорея, хламидиоз, поражение стрептококком, стафилококком, грибками и вирусами.
Клинически у пациента бесплодие, повышенная температура, хроническая тазовая боль, болезненные менструации.
На МРТ радиолог диагностирует спаечный процесс, когда речь идет о инфекционном процессе, и кровоизлияния, формирование кист в матке и яичнике при эндометриозе.
МРТ малого таза.Двурогая матка. Частая причина бесплодия. Стрелками указаны рога матки
Мрт яичников что показывает?
Магнитно-резонансная томография оценивает анатомию (расположение, структуру органов) яичников и маточных труб, содержимое в яичниках и маточных трубах, патологические изменения.
МРТ видит изменения в яичниках размеров менее 1 сантиметра, что особенно важно при эндометриозе. Для того, чтобы диагноз был максимально точный важно, чтобы пациент предоставил свою историю болезни врачу МРТ.
Это поможет проводить МРТ исследование в нужных протоколах и последовательностях, что в свою очередь гарантирует правильный диагноз.
Врач выявить доминантный фолликул, посчитать количество фолликулов в яичнике, оценить желтое тело в яичнике, оценить проходимость маточных труб.
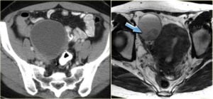
МРТ малого таза. Гиперинтенсивные очаги свидетельствуют о жидкости в маточных трубах у женщины
Мрт при кисте яичника
Кисты яичника является абсолютным показанием для выполнения магнитно-резонансной томографии.
Существует следующая классификация кист яичников.
- фолликулярная киста. 83% всех кист яичников. Вырастает главного фолликула, чаще поражает женщин в первые пять лет климакса.
- киста желтого тела. Формируется после овуляции в результате действия гормона гипофиза лютеин-гормона.
- геморрагическая киста. Киста внутри, которой находится кровь. Возникает в следствие кровоизлияния в функциональную кисту.
- эндометриоидная киста. Киста, которая возникает из-за эндометриоза.
- дермоидная киста. Киста, которая содержит волосы, волосяные фолликулы и сальные железы
- муцинозная киста. Киста, которая состоит из капсулы, заполненной муцином.
- серозная киста. Киста, которая состоит из капсулы, заполненной серозной жидкостью.
- герминогенные опухоли — это опухоли (герминомы) возникающие из первичных зародышевых клеток и способные дифференцироваться в любые ткани. /
- эпителиальные опухоли — это опухоли развивающиеся из плоского или железистого эпителия.
- множественные кисты яичников (поликистоз яичников).
Все данные патологические состояния МРТ в силах визуализровать, дифференцировать друг от друга (отличить друг от друга). Также МРТ оценивает состояние рядом расположенных органов, что облегчают тактику хирургу, который будет выполнять операцию.
МРТ малого таза. Серозная киста правого яичника
Мрт диагностика кистомы яичника фото
Кистома яичника — это опухоль яичника, которая постоянно увеличиваются в размерах за счет накопления в них либо муцинозной, либо серозной жидкости.
https://youtube.com/watch?v=9rTYZd3g4yE
Обычно гинеколог направляет на МРТ малого таза по поводу кистомы со следующими симптомами:
- тянущие боли, которые усиливаются при физической нагрузке.
- увеличение живота в размерах.
- сдавление соседних органов — нарушение мочеиспускания, акта дефекации.
Классификация кистом яичника:
- муцинозная цистаденома.
- серозная цистаденома.
Кистомы яичника — это в целом доброкачественные образования, но есть склонность к переходу в злокачественную опухоль. Муцинозная опухоль встречается реже серозных опухолей. При МРТ рентгенолог в силах отличить одну опухоль от другой.
МРТ малого таза. У пациентки нарушение менструации и выраженная правосторонняя тазовая боль. Стрелкой указано патологическое образование.
Муцинозная цистаденома. Гипоинтенсивный сигнал на Т1 и гиперинтенсивный сигнал на Т2.
Дермоидная киста малого таза

Дермоидная киста яичника – дополнительное образование овариальной ткани, состоящее из толстостенной капсулы, внутри которой содержится слизеобразная масса с различными включениями (кожей, жировой тканью, сальными железами, волосами, костями, зубами, нервной тканью).
Клинически дермоидная киста яичника проявляет себя при достижении больших размеров: в этом случае могут отмечаться боли в животе и пояснице, дизурические нарушения, расстройства дефекации. Дермоидные кисты склонны к воспалению, нередко наблюдается перекрут ножки кисты. Диагностика включает гинекологический осмотр, УЗИ, МРТ, лапароскопию.
Лечение дермоидных кист яичника оперативное – кистэктомия, клиновидная резекция яичника или овариоэктомия.
Общие сведения
Дермоидная киста (дермоид, зрелая тератома) – доброкачественная опухоль яичника, которая встречается у 15-20% женщин с овариальными кистами.
Дермоидная киста яичника обычно имеет круглую или овальную форму, гладкие наружные стенки, может вырастать диаметром до 15 сантиметров.
Внутри полость тератомы выстлана многослойным эпителием и заполнена желеобразным содержимым со зрелыми фрагментами производных эктодермы, эндодермы и мезодермы (сальных и потовых желез, волос, жировой, нервной, костной и др. тканей).
Дермоидная киста развивается из зародышевых эмбриональных листков, которые при нарушении внутриутробной дифференцировки тканей сохраняются в яичниках. Дермоидная киста яичника может возникать в любом возрасте (детском, подростковом, репродуктивном, климактерическом).
Причины формирования зрелых тератом неизвестны; в их развитии предполагается провоцирующая роль гормональных изменений в период полового созревания и климакса, травм живота. Дермоидные кисты яичника растут медленно, обычно имеют одностороннюю локализацию (чаще правостороннюю).
В 1-3% случаев отмечается перерождение дермоидной кисты яичника в плоскоклеточный рак.
Лечение дермоидной кисты яичника
Единственным способом устранения дермоидных кист яичника является их хирургическое удаление. Объем операции определяется в зависимости от возраста пациентки, размера и доброкачественности образования.При дермоидных кистах яичника, осложненных воспалением или перекрутом ножки, операция осуществляется в экстренном режиме и в объемах, диктуемых ситуацией.
У девочек и молодых женщин производится кистэктомия, клиновидная резекция яичника; у женщин в пременопаузе – оофорэктомия, иногда аднексэктомия со стороны поражения.
Удаление дермоидной кисты яичника производится в процессе лапароскопии или лапаротомии. Если при гистологическом исследовании подтверждается диагноз дермоидной кисты яичника, лечение на этом заканчивается.
Планировать беременность после удаления зрелой тератомы рекомендуется через 6 мес. – 1 год после операции.
Прогноз
При своевременном удалении дермоидной кисты яичника прогноз в отношении специфических функций (менструальной, половой, детородной) благоприятный.
Повторное возникновении зрелых тератом встречается исключительно редко, в тех случаях, если на момент операции в яичнике имелись микроскопические зачатки дермоидных кист.
После операции профилактические осмотры гинекологом и УЗИ-контроль проводятся дважды в год.
При неудаленной дермоидной кисте яичника любая физическая активность (прыжки, наклоны, повороты) могут способствовать перекруту ножки кисты. Также наличие кисты несет потенциальную опасность нагноения ее содержимого и злокачественного перерождения.
Дермоидная киста — доброкачественная опухоль, образующаяся в периоде эмбриогенеза. Кисты могут включать части ткани или органа, не характерного для данной локализации: киста с волосами в головном мозге, киста с мышечной тканью в области копчика (поэтому называются тератомами — с др. греческого «тератос-» — чудовище, «-ома» — опухоль). В ряде случаев могут быть последствием травмы.
Патоморфология дермоидных кист
По классификации такие кисты являются истинными, стенки их выстланы многослойным плоским эпителием, содержащим придатки кожи (внутри кист могут оказаться волосы, ногти, сальные или потовые железы). В некоторых случаях, при исследовании удалённой во время операции кисты, внутри неё находят зубы, ногти, даже хрящи.
Макроскопически киста представляет собой округлой формы плотное образование с полостью внутри. Эта полость может быть заполнена белыми массами, содержать кристаллы холестерина или серозную жидкость. Одним из ярких диагностических признаков является обнаружение волоса внутри кисты.





