Нарост на десне (уплотнение, образование, эпулис): причины появления, лечение, удаление

Нарост на десне – это патологическое образование на мягких тканях альвеолярных отростков челюстей, которое может иметь полость, наполненную содержимым, или целиком состоять из соединительной ткани. Под термином «нарост» пациенты могут иметь в виду любое образование: свищ, нарыв, кисту, опухоль, папиллому. Но чаще всего речь идет об эпулисе – разрастании соединительной ткани на небольшой ножке.
Эпулис на десне не болит и практически не беспокоит человека, поэтому часто выявляется случайно. Заболевание не является опасным, но при хронической травматизации может озлокачествляться. Поэтому при его обнаружении или возникновении неприятных симптомов следует обратиться к врачу.
Причины
Существует много причин, по которым появляется нарост на десне. Основной считается травма тканей или слизистой оболочки, в которую проникают микроорганизмы – при их патологическом воздействии происходит разрастание тканей. Например, нарост может образоваться на десне после удаления зуба, если условия работы стоматолога были не стерильны.
Другие причины заболевания у взрослых:
- наличие вредных привычек,
- неудовлетворительный гигиенический уход,
- зубочелюстные аномалии,
- неправильный прикус,
- стоматологические болезни,
- хронический периодонтит,
- гормональные изменения,
- доброкачественные и злокачественные опухоли,
- повреждения мягких тканей.
Заболевание часто возникает у детей, что связано со сменой зубов и более высоким уровнем травматичности.
Причины появления образования на десне у ребенка:
- период сменного прикуса,
- прорезывание зубов,
- заболевания зубов: кариес, пульпит, периодонтит,
- нарушения прикуса и положения зубов.
У детей также встречается нарост на десне после удаления зуба. После процедуры необходимо придерживаться рекомендаций врача и не трогать рану, но малыши часто тянут в рот посторонние предметы, вследствие чего и происходит заражение тканей.
Виды образований на десне
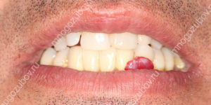
Образование на десне имеет вид участка, который разросся и вышел за пределы десневого края. Нарост может выглядеть как небольшая опухоль или бородавка, иметь красный или розовый цвет. Специалисты различают эпулис нескольких типов:
- Ангиоматозный эпулис имеет вид красного шершавого нароста. Образование мягкое на ощупь, при надавливании может кровоточить. Чаще всего родители отмечают, что у детей нарост появился в период сменного прикуса (5–10 лет). Образуется он при разрастании кровеносных сосудов десны. Заболевание опасно тем, что может быстро увеличиваться и возникать повторно после удаления.
- Фиброзный эпулис на десне имеет плотную структуру, розовый цвет и напоминает нормальную десну. Образование медленно растет, не приносит болезненных ощущений даже при надавливании.
- Гигинтоклеточный нарост имеет специфический вид: бугристую поверхность, красный или синюшный цвет, эластичную структуру. Эпулис может достигать значительных размеров. При травмировании возникает кровоточивость, а при хронической травме существует риск озлокачествления. Чаще возникает у людей 40–60 лет.
Доброкачественное образование растет медленно, не приносит дискомфорта, имеет незначительные размеры.
Срочно обратиться к специалисту рекомендуется при наличии следующих симптомов:
- быстрое увеличение нароста на десне,
- большой размер эпулиса,
- воспаление и образование гнойного экссудата,
- постоянная травматизация и кровоточивость образования,
- возникновение заболеваний расположенных рядом зубов.
Какой врач лечит нарост на десне?
Лечением заболевания занимается стоматолог. Провести консультацию может стоматолог любой специализации: терапевт, пародонтолог, ортопед, ортодонт, хирург. Но лечение и удаление нароста проводит хирург.
При посещении специалиста проводится тщательный осмотр и тесты, собирается анамнез жизни и заболевания. При необходимости доктор может назначить сдачу анализов, дополнительные методы исследования и консультацию других специалистов.
Лечение эпулиса на десне
Медикаментозное и хирургическое лечение эпулиса на десне должно проводиться только у специалиста. Самолечение может травмировать образование и вызвать осложнения.
Хирургическое лечение – это небольшая операция с местным обезболиванием, которая предполагает удаление нароста.
Удаление может проводиться путем иссечения с помощью скальпеля или лазера. Второй вариант является менее травматичным и более предпочтительным. Операция считается несложной и занимает около 30 минут. Вмешательство проводят после сдачи анализов и постановки диагноза. При подозрении на злокачественное новообразование удаленные ткани направляются на биопсию или гистологическое исследование.
После удаления нароста на десне нужно проводить медикаментозное лечение и следовать рекомендациям врача:
- качественно выполнять гигиенический уход за зубами,
- проводить промывание раны антисептиками,
- проводить полоскания полости рта,
- придерживаться диеты,
- применять противовоспалительные средства,
- при назначениях врача – употреблять антибиотики для профилактики осложнений,
- использовать местные ранозаживляющие средства.
Возможно ли лечение в домашних условиях?
Проводить лечение заболевания в домашних условиях практически невозможно или малоэффективно. Кроме того, при неправильной терапии могут возникнуть осложнения. Лучшим решением будет обратиться на консультацию к специалисту.
Применение средств народной медицины поможет снять воспаление с тканей и ускорить выздоровление после хирургического иссечения шишки.
Можно проводить следующее лечение дома:
- Полоскание полости рта отварами лекарственных трав (зверобой, ромашка, шалфей, календула, кора дуба). Лечебные травы обладают антисептическими, противовоспалительными и ранозаживляющими свойствами.
- Полоскание раствором соды и соли, помогает снять отек и воспаление.
- Использование мазей на основе трав и витаминов для заживления раны.
При отсутствии профессионального лечения инфекция может распространяться – поражаются десна, периост, кость, лимфатические узлы. Лечение осложнений будет сложным, длительным и дорогостоящим. Поэтому следует вовремя обращаться к доктору и проводить назначенное им лечение.
Последствия
При отсутствии лечения нарост на десне будет увеличиваться, рано или поздно начнет беспокоить. Появление кровоточивости, боли, неприятных ощущений может свидетельствовать о перерождении патологического процесса в тканях в злокачественный.
При неправильном лечении или его отсутствии могут возникать и другие неприятные осложнения:
- воспаление десны,
- гингивит, пародонтит, периостит,
- лимфаденит – воспалительное поражение лимфатических узлов,
- распространение инфекции в полости рта и организме,
- развитие заболеваний зубов.
Профилактика
Уплотнение на десне возникает вследствие разнообразных причин, и чтобы предотвратить заболевание, следует придерживаться профилактических мер. Профилактика включает в себя регулярное посещение стоматолога для проверки полости рта, лечения заболеваний, проведения профессиональной гигиены.
Необходимым условием сохранения здоровья полости рта и организма в целом является качественный и регулярный гигиенический уход. Чистить зубы нужно утром и вечером, для этого следует использовать подобранные специалистом средства.
После еды полость рта желательно ополаскивать водой или ополаскивателем. Перед сном следует использовать зубную нить для чистки межзубных промежутков.
После удаления зубов или других хирургических вмешательств необходимо следовать рекомендациям врача, соблюдать послеоперационный период. При возникновении осложнений или боли – обращаться к врачу и не заниматься самолечением.
Можно сделать вывод, что эпулис на десне не является опасным заболеванием, но требует квалифицированной помощи. Заболевание может не беспокоить, существовать годами и выявиться случайно. Так как существует риск возникновения осложнений и попадания инфекции в организм, следует проводить правильное и полноценное лечение.
Лиана Мохтари, стоматолог, специально для Karies.pro
про иссечение нароста на десне
Нарост на десне: эпулис, экзостоз, костный нарост, причины появления — Зубной доктор

- Нарост на десне (эпулис) может возникнуть неожиданно из-за воспалительных процессов в ротовой полости.
- Обычно люди не обращают внимания на незначительные раны и повреждения слизистых оболочек рта.
- Но если в рану попадает бактерия, то образуется новообразование с плотной структурой, причиняющее дискомфорт ее обладателю.
Киста на десне чаще всего заполняется гнойными массами.
Такое состояние опасно для здоровья и жизни больного, поскольку инфекция из поврежденной области распространяется на соседние ткани и вызывает воспаление других систем организма.
По этой причине нельзя оставлять нарост на десне без внимания, следует срочно обратиться к стоматологу.
Основная причина проблемы – внедрение гнилостных микроорганизмов в ткани десны.
- вредные привычки;
- недостаточный уход за полостью рта;
- деформация зубов;
- повреждения слизистых;
- неправильный прикус;
- гормональные сбои в организме;
- хронический периодонтит;
- воспаление костной ткани.
Иногда эпулис формируется после повреждения мягких тканей зубами. Это может произойти из-за некачественной работы стоматолога. Самостоятельно удалять костный нарост на деснекатегорически запрещено.
Если образование заполнено гноем, то оно становится причиной отека щеки и повышения температуры.
Определить эпулис, развившийся в костных тканях достаточно сложно, особенно если речь идет о начальных стадиях патологии.
Если белый нарост на десне у ребенка образовался возле молочного зуба, то ему требуется срочная оперативная помощь. Ситуация может привести к тому, что малыш потеряет не только молочный, но и непрорезавшийся коренной зуб.
Основной мерой профилактики образования кист на десне является своевременная терапия стоматологических патологий.
- чистить зубы 2 раза в день и дополнительно использовать зубную нить;
- полоскать рот солевыми, содовыми или травяными растворами после каждого приема пищи;
- удалять брекеты или съемные протезы, причиняющие дискомфорт.
Для своевременной диагностики повреждений мягких тканей во рту необходимо проходить профилактический осмотр 2 раза в год.
- полоскание рта соком алоэ. Для этого сок растения смешивают с водой в пропорции 1:4;
- с использованием клюквенного сока;
- полоскание десен настойкой из щавелевых листьев: 2 ст.л. растительного ингредиента заливают 200 мл кипятка и настаивают 1 час;
- компрессы с пихтовым маслом. Смоченные в средстве ватные тампоны ежедневно прикладывают к деснам на 5-10 минут.
Вместе с народными рецептами можно использовать и медицинские препараты для ухода за полостью рта – ополаскиватели, гели, лечебные зубные пасты. Комбинированная терапия дает более эффективный профилактический результат.
Перед лечением кисты назначается рентген пораженной десны, для определения локализации образования и его вида (экзостоз или гнойный нарост).
Благодаря современным методам медицины, возможно, сохранить зубной ряд целым
Еще несколько десятилетий назад для устранения кисты на десне удаляли зуб, над которым она располагается, чтобы обеспечить доступ к свищевому отверстию.
В начале лечения назначаются мощные противомикробные препараты. После подавления воспалительного процесса, поврежденные участки десны подвергаются антисептической обработке. Кроме того проводится пломбирование расположенных рядом кариозных зубов.
Даже если после полосканий размеры шишки на десне уменьшились и исчезли неприятные симптомы, не следует откладывать визит к стоматологу. При переохлаждении организма, некачественной чистке зубов или ослаблении иммунитета проблема может рецидивировать.
Наросты на деснах у людей быстро и эффективно можно устранить с помощью хирургической операции.
- Хирург выполняет небольшой надрез в пораженной области, предварительно обезболив обрабатываемую область. Разрез при этом охватывает мягкие ткани десны, надкостницу и проходит в нескольких миллиметрах от самого образования;
- Все участки с воспаленными тканями удаляются. Если шишка на десне возникла из-за воспаления костной ткани, то нарост удаляют вместе с костью. В этом случае хирург не должен допускать излишней травматизма тканей. В противном случае заболевание может развиться повторно;
- После удаления пораженных областей в рану помещают тампон, смоченный в йодовом растворе. Если рана глубокая, то врач накладывает на нее швы, чтобы обеспечить скорейшую регенерацию поврежденных тканей.
Зубы, расположенные рядом с опухолью, удаляются только при значительной шаткости или оголении корней.
Также для устранения проблемы может использоваться лазерное удаление опухоли. Методика способствует минимальной травматизации слизистых и обеспечивает стерильность процедуры.
- питаться измельченной мягкой пищей;
- не употреблять горячую еду;
- отказаться (хотя бы на время) от курения, никотин замедляет рубцевание тканей;
- ограничить физические нагрузки.
Виды наростов
Патологические образования могут различаться по нескольким параметрам:
- плотностью,
- структурой,
- цветом,
- размером,
- наличием болевых ощущений или кровоточивости.
Наросты на слизистой десны могут классифицироваться следующим образом:
Эпулис
Это в большинстве случаев доброкачественное образование, но в редких случаях встречаются и злокачественные формы. Различают: фиброзный, гигантоклеточный, ангиоматозный. Ангиоматозный эпулис чаще всего встречается в детском и подростковом возрасте, а у людей после 45 лет чаще диагностируется гигантоклеточная форма недуга.
У женской половины население эта патология встречается чаще.
Эпулис отличается: различными размерами – от нескольких мм до нескольких см, отсутствием болевых ощущений, синеватыми или красноватыми оттенками, крайне неэстетичным видом, любой структурой – может быть и мягким, и твердым, возникновением язвенного образования (если происходит повреждение), в редких случаях разреженной костью.
Чаще всего образуется на челюстной кости в районе коренных зубов, на нижней челюсти диагностируется значительно реже.
Киста
Это патологическое образование на десне, в полости которого может образовываться гнойный экссудат или ороговевшие клетки. Киста сопровождается: болевыми ощущениями (особенно при надавливании), повышенной температурой, свищем. Чаще всего образуется на месте воспалительного процесса, может иметь белый или сероватый цвет.
Экзостоз
Костяной нарост. Возникает в качестве осложнений различных заболеваний. Признаки патологии: твердое образование, которое при нажатии не продавливается, в результате разрастания нароста, места для языка становится меньше, что приводит к изменению речи, наличие эрозий на внутренней стороне щеки, поскольку шип может сильно натирать, боль ощущается внутри челюсти.
Фибропапиллома
Образование доброкачественного характера.
Гнойный абсцесс
Свищевое образование красного цвета,сопровождающееся выделением гноя.
Причины возникновения нароста на десне
Причин, по которым на десне может появляться нарост, может быть много. Но главной из них считается травма слизистой с ее повреждением, что дает возможность патогенной микрофлоре беспрепятственно проникать в организм.
Попав в ткани слизистой, микроорганизмы начинают увеличивать свою колонию, в результате чего образуется нарост. Самой распространенной причиной появления нароста у взрослых является удаление зуба, во время которого стоматолог не соблюдал условия стерильности.
У взрослого
Нарост у взрослых может появляться при:
- наличии вредных привычек,
- отсутствии правильной гигиены за полостью рта,
- аномалиях развития челюсти,
- неправильном прикусе,
- различных стоматологических недугах,
- сбое гормонального характера,
- любых повреждениях мягких тканей ротовой полости.
У ребенка
У детей нарост на десне возникает по причине травмирования или в результате смены зубов:
- сменный прикус,
- кариес, периодонтит, пульпит,
- неправильный прикус,
- период прорезывания зубов.
У детей нарост на десне также может возникать после удаления зуба, поэтому так важно запретить ребенку трогать ранку и брать в рот руки и различные предметы, которые могут стать причиной попадания в ранку инфекционных агентов.
Лечение нароста на десне
Безусловно лечение нароста напрямую связано с видом образования и причиной, которая его спровоцировала.
Перед тем, как проводить лечение, необходимо пройти диагностику, которая включает в себя рентген и некоторые другие виды анализов.
Если в результате диагностики было установлено, что нарост на десне – это эпулис, то надо быть готовым к тому, что скорее всего его будут удалять хирургическим путем. Кроме того, удалять будут все поврежденные ткани, включая надкостницу и некоторые костные ткани (например, при гигантоклеточной форме патологии).
Чаще всего такое вмешательство проводится под общим наркозом. В некоторых случаях позволяется использовать современные технологии, и удалять эпулис при помощи лазера. В этом случае нарост не только удаляется, но и происходит дезинфекция и прижигание окружающих тканей, что делает реабилитационный период короче, а также снижает риск развития послеоперационных осложнений.
Лечение народными средствами абсолютно нецелесообразно, их можно использовать только для ускорения заживления ранки.
Для полоскания рекомендуется:
- календула,
- шалфей,
- ромашка,
- пищевая сода,
- солевой раствор.
Жидкость для полоскания должна быть комнатной температурой. Горячее или холодное полоскание категорически исключается.
Кистозные образования можно лечить как консервативными, так и хирургическими способами. Понятно, что медикаментозное лечение назначается в начальных стадиях недуга, когда размер кисты не превышает сантиметра. Консервативное лечение заключается в удалении гнойных образований и использовании заживляющей пасты.
Поскольку большинство пациентов приходят к стоматологу с уже запущенным процессом, чаще всего киста удаляется хирургическим путем. Удаление кисты может проводится как с полной ампутацией зуба, так и с сохранением его целостности. Как правило, используется лазерное удаление, но если в клинике такого оборудования нет, киста удаляется следующими методами:
- цистостомия,
- гемисекция,
- цистэктомия.
К чему приводит появление нароста на десне

Здоровые десна не менее важны для любого человека, чем крепкие зубы. Здоровая десна имеет бледно-розовый цвет и четкий рельеф безо всяких шишек или припухлостей.
Различные патологические образования во рту настораживают большинство людей, и это правильно. Любой нарост на десне не должен оставаться без внимания.
О чем именно могут свидетельствовать подобные новообразования во рту, их причины и возможные способы лечения, мы рассмотрим ниже.
Что понимают под наростом на десне
Когда люди говорят про нарост на десне, они обычно имеют в виду кисту, которая нередко появляется безо всяких видимых причин. Если нарост не болит при надавливании, то его называют эпулис (или наддесневик). Если его вскрыть, то из нароста выделяется рыхлая масса или вытекает жидкое содержимое.
Без своевременной терапии образование рано или поздно само вскрывается, трансформируясь в небольшую опухоль с отверстием на поверхности, из которого свищевой ход идет в толщу кисты. Из образовавшегося свища периодически происходит выделение сукровицы или гноя.
При этом общее состояние больного также страдает: его беспокоят головные боли, потеря жизненных сил, а лимфоузлы вблизи очага инфекции (челюстные, шейные или ушные) обычно увеличены и болезненны.
Образование кисты на десне встречается в любом возрасте. К счастью, такое новообразование не всегда является признаком серьезной патологии.
Чаще всего неприятный нарост на десне появляется из образовавшейся ранки после занесения инфекции в ротовую полость.
Особенно часто такой процесс может проявляться у детей, так как о соблюдении малышом строгой гигиены можно лишь мечтать его родителям. Чаще всего наросты на поверхности десен появляются у детишек во время прорезывания зубов.
В этот момент присутствуют все основные факторы, которые способствуют проникновению инфекции в полости десны: засовывание в рот грязных рук или предметов, сниженный иммунитет и ранки в слизистой десен.
Засовывая различные предметы в рот ребенок тем самым пытается с помощью массажа десен унять боль и зуд в месте прорезывания зуба.
Внешний вид и разновидности нароста
Внешне десневое новообразование выглядит, как разросшаяся и вышедшая за пределы десна. Нарост на десне чаще имеет вид небольшой плотной опухоли ярко-красного цвета.
Обычно десневое разрастание является доброкачественным и не превышает 2-3 мм в размере.
Оно начинается с незначительного воспаления (чаще после микротравмы), но затем воспалительный процесс уплотняется и увеличивается.
Различают эпулис трех разновидностей: ангиоматозный, фиброзный и гигантоклеточный.
Ангиоматозное образование чаще встречается у детей 5-10 лет. Этот вид кисты шершавый на ощупь и имеет красный оттенок. Такой нарост на ощупь мягкий, а при надавливании часто кровоточит. Этот эпулис может не только быстро разрастаться, но и снова образовываться после его удаления.
Фиброзный нарост по цвету идентичен окружающей его десне. Он обычно плотный и разрастается совсем медленно и незначительно. Если на такое образование надавить, то оно не будет причинять боль или кровоточить.
Гигантоклеточный эпулис является бугристым, эластичным, с красно-синей окраской. Он может образовываться и из слизистой десны, и из альвеолярного отростка кости. Этот вид нароста может иметь значительные размеры, что приводит к его постоянному травмированию и кровоточивости.
Лечение
Лечением любых наростов во рту должен заниматься врач.
Для определения вида кисты используется рентгенологический метод. При необходимости производится также гистология тканей кисты.
Стоматологи лучше всего лечат кистообразное образование в начальной стадии. Кардинальным и самым быстрым методом является удаление больного зуба в районе поврежденной десны. Это был единственный способ лечения кист до недавних пор. Затем полость полностью санировали и очищали от пораженных инфекцией тканей.
В настоящее время удалять зуб нет необходимости, так как используются современные методы промывания образовавшейся полости через свищевой канал различными антисептическими растворами.
Такой курс лечения очень длительный и включает использование общей противовоспалительной терапии и антибиотиков нового поколения. Кистозная полость промывается до тех пор, пока не удалятся все микроорганизмы из нее.
На протяжении всего курса консервативного лечения в корневой канал и образовавшуюся полость в кисте вводится специальная паста, помогающая восстановлению костной ткани.
Можно ли вылечить нарост на десне самостоятельно
Конечно же, самостоятельное лечение может быть лишь подспорьем к профессиональной терапии. Народные методы могут лишь ускорить заживление ранки после оперативного или консервативного медикаментозного лечения. Для этого обычно применяют травяные настои или отвары (шалфей, ромашка, дубовая кора, зверобой, календула, фиалка трехцветная).
Для профилактики инфицирования послеоперационной ранки часто применяют содовые растворы, а при отечности тканей используют раствор морской соли (1 ст.л. на стакан воды).
Также народные целители используют наложение мази на основе лекарственных трав (тысячелистник, донник, календула, пижма, щавель, корень одуванчика) на пораженные участки десны. Травяные компоненты мази прокручиваются через мясорубку и смешиваются с маслом календулы и ихтиоловой мазью или мазью Вишневского.
Осложнения
Почему же нельзя лечить кисту десны самостоятельно? Да потому, что инфекция в данном случае уже попала глубоко в ткани челюсти, где самому уничтожить микробы уже просто невозможно. При прогрессировании недуга гнилостные бактерии проникают в зубную пульпу, откуда по корневым канальцам попадают внутрь костной ткани.
Далее процесс может спровоцировать развитие очень серьезного и плохо поддающегося лечению недуга – остеомиелита. При этом пациент жалуется на резкую слабость, высокую температуру, увеличенные лимфоузлы. Особенно часто остеомиелит встречается в виде осложнения десневого разрастания у детей.
Кроме того, инфекция из кистозной полости может распространиться по организму. Ведь при воспалении к пораженной области организмом направляется усиленный поток крови.
Погибшие лимфоциты крови оседают в полости десны в виде гнойного секрета, избыток которого выходит через свищевой канал наружу.
Именно сепсис (заражение крови) является наиболее опасным для жизни пациента осложнением нароста на десне.
Любые заболевания полости рта важно лечить сразу же после их возникновения. Именно в ротовой полости кровоток настолько сильный, что любое воспаление может моментально развиваться и по кровяному руслу разноситься по всему организму больного.
Учитывая же близкое расположение головного мозга, гнойный процесс из ротовой полости может распространяться в этот орган и приводить к непоправимым последствиям.
Нарост на десне

Каждый человек знает, что следует регулярно чистить зубы. Это нужно не только для соблюдения гигиены, но и для отслеживания состояния зубов и слизистой оболочки рта. Именно тут могут образовываться новообразования. Нарост на десне требует особого внимания.
Рак десен
Рак десны
Это особо опасные образования на деснах. Возникает из-за бесконтрольного деления клеток подверженных мутации. На деснах из эпителия формируются красные опухоли.
Развивается это заболевание быстро. Без должного лечения поражает мягкие ткани слизистой ротовой полости, потом переходит на кости челюсти. В запущенной форме обнаруживают метастазы (чаще всего в лимфоузлах под челюстью).
До сих пор неизвестны точные причины появления рака.
Больной отмечает у себя:
- общую слабость;
- субфебрильную температуру тела (т.е. 37 градусов);
- сонное состояние;
- потерю аппетита.
Диагноз может поставить только доктор при детальном обследовании. Лечение долгое и кропотливое. Сперва происходит удаление опухоли (если позволяет стадия рака), потом медикаментозное лечение.
При своевременно начатой терапии исход болезни благоприятный.
Фиброма десен
В отличие от рака это доброкачественное образование. Растет не спеша из соединительной ткани слизистой оболочки десен. Со стороны такая шишка кажется продолжением десны. Она мягкая и подвижная, с четкими краями.
Фиброма
Чаще всего эта опухоль появляется после воспаления полости рта или перенесенной травмы десны. Именно при фиброме доктора склонны думать, что генетическая предрасположенность имеет большое значение, то есть заболевание передается по наследству.
Больной не ощущает никаких изменений в период роста. При увеличении размеров может появиться ощущение постороннего предмета во рту, как будто наросла десна на зуб. Больной старается языком убрать мешающий нарост, что может привести к его травме и кровотечению.
Лечение только хирургическое. Под местной анестезией происходит полное удаление фибромы с последующим медикаментозным лечением.
Киста на десне
Киста – это одна из разновидностей наростов в полости рта. Появляется после длительного воспалительного процесса в деснах. Развивается из эпителия и содержит гной. Разрастается такой гнойный мешочек до 3-4 сантиметров.
Появлению данного нароста предшествует:
- наличие кариеса зубов;
- некачественная пломба;
- пародонтит;
- пульпит;
- экстракция зуба.
С появлением кисты в ротовой полости у больного ухудшается общее состояние. Возникает боль при жевании, слабость, повышается температура тела. Если не начать лечение на этом этапе, то произойдет самопроизвольное вытекание гноя или инфильтрация и заражение здоровой ткани десен.
Лечение образовавшейся кисты – хирургическое удаление (возможно, лазером) и медикаментозная терапия.
Что делать, если на десне появился нарост
Любые изменения на слизистой десен должны побудить человека посетить врача. Если не обращать внимания на новообразования, то происходит потеря драгоценного времени для лечения. Чем позже его начать, тем больше шансов получить осложнения.
Если человек наблюдает увеличение в размере или изменения в консистенции шишки, присоединение болезненных ощущений, то необходимо обратиться к стоматологу. Данные патологии сложно поддаются медикаментозному лечению, необходимо хирургическое удаление.
Пациент должен проводить своевременную гигиену ротовой полости, что позволит избежать присоединения инфекции.
Можно ли проводить лечение самостоятельно
Самому полностью излечить наросты невозможно. При помощи народных средств удастся ускорить заживление и регенерацию ткани после оперативного вмешательства. Ведь причины появления наростов различные (от нарушения гигиены до патологии зубов) и повлияют на первоисточник самому не всегда можно.
Для снятия отека и боли можно применить полоскания рта отварами из трав. В таком случае поможет шалфей, цветы ромашки, дубовая кора.
Для заживления раны можно применить мази (Вишневского, ихтиолка).






