Покраснение десен у взрослого или ребенка

Основной симптом распространенных стоматологических заболеваний (пародонтита, гингивита) – покраснение десен. При несвоевременном лечении проблемы человек может лишиться зубов.
Причиной состояния может стать неправильное питание, наследственная предрасположенность и другие факторы.
В статье будут подробно рассмотрены основные провоцирующие факторы заболевания десен и методы борьбы с проблемой.
Причины воспалительного процесса
Почему десна красные? Среди причин дефекта выделяют:
- ослабление иммунной системы;
- аллергические реакции на пищевые раздражители или средства по уходу за зубами;
- травмирование десен;
- воспалительные процессы во внутренних органах;
- прием сильнодействующих лекарств;
- авитаминоз;
- недостаточный или неграмотный уход за полостью рта.
Болезнетворная флора может поражать не только верхнюю часть десны, но и ее глубокие ткани. Из-за этих нарушений между костной тканью и мягкими структурами образуются карманы, наполненные патогенной флорой и частицами пищи.
В запущенных случаях у пациентов фиксируется не только покраснение десен, но и шаткость элементов ряда. Симптомы свидетельствуют о необратимых процессах в ткани зуба и десны, которые не поддаются медикаментозному лечению.
Воспаление и покраснение десен успешно лечатся только на ранних стадиях развития.
У взрослого человека дефект связан со стоматологическими заболеваниями или возрастными изменениями в организме. В последнем случае происходит медленное усыхание десен в высоту из-за нарушения функционирования кровеносных сосудов. Мягкие и твердые ткани лишаются доступа кислорода в необходимом количестве, что становится причиной потери зубов.
Проблема нередко встречается у взрослых пациентов, страдающих от патологий печени, желчного пузыря и туберкулеза.
Незначительные микроповреждения и царапины могут привести к воспалительным процессам во рту. Болезнетворная флора попадает в микротрещены, где активно размножается
Если покраснела десна, то это может свидетельствовать о нехватке в организме витамина С. Без своевременного лечения заболевание приводит к полной адентии.
Риск развития воспаления мягких тканей рта существует у людей, которые подбирают щетки с жестким ворсом или пасты с агрессивным химическим составом. Гигнивит и пародонтит диагностируется у женщин, длительное время принимающих оральные контрацептивны или препараты от повышенного давления.
Воспалительные процессы во рту чаще диагностируют у курящих людей. Никотин, входящий в состав сигарет, способствует ослаблению иммунитета и пересыханию слизистых оболочек рта, за счет чего болезнетворные агенты размножаются быстрее.
От воспаления десен страдают женщины в период беременности, так как в это время их организм претерпевает серьезные гормональные изменения. У беременных покраснение тканей рта сопровождается отеком и кровоточивостью.
Красные десна у ребенка отмечаются при лейкозе. Это связано с тем, что атипичные клетки в первую очередь поражают мягкие ткани рта
Проблема отмечаются у тех детей, чьи родители страдали от стоматологических заболеваний, так как в большинстве случаев патология имеет наследственный характер. У малышей до 1 года покраснение развивается из-за привычки тянуть инородные предметы или руки в рот. Воспаление десен возникает, несмотря на высокие антисептические свойства слюны в младенческом периоде.
Еще одна причина патологии у детей раннего возраста – прорезывание зубов и случайное травмирование слизистых при неаккуратном потреблении пищи. У детей школьного возраста пародонтит возникает из-за несвоевременного лечения молочных кариозных зубов.
Мнение о том, что молочные зубы не требуют терапии – распространенная ошибка родителей. Взрослые должны не только помогать ребенку в уходе за зубами, но и регулярно водить его к стоматологу. Несоблюдение этих правил приводит к воспалению десен у малыша и последующим осложнениям, оказывающим влияние на прикус ребенка во взрослом возрасте.
Симптомы проблемы
Следует рассмотреть основные заболевания, при которых проявляется покраснение десен и их отличительные признаки:
Причины воспаления десен
- Гингивит. Болезнь связана с поражением ткани возле зуба вредоносными агентами. Основная причина проблемы – неправильный уход за ротовой полостью. Невылеченный гингивит осложняется пародонтитом или пародонтозом, выпадением зубов. Основные признаки – боль при потреблении пищи и чистке зубов, неприятный запах изо рта, подъем температуры.
- Пародонтит. При патологии поражаются мягкие ткани вокруг зуба. Болезнь протекает остро с ярко выраженной симптоматикой, а также изменением интенсивности боли. Патологический процесс развивается в течение 7-14 дней. При несвоевременном лечении пародонтит грозит инфарктом, инсультом, потерей элементов зубного ряда, интоксикацией организма.
- Пародонтоз. При болезни также воспаляются ткани, окружающие зубы. Отличительная черта патологии – вялотекущее развитие. Проблема протекает со скрытой симптоматикой несколько лет, но в конечном итоге приводит к потере единиц. Основные признаки пародонтоза: шаткость элементов, красные наросты на деснах, расхождение зубов в разные стороны. Несвоевременное лечение пародонтоза грозит заболеваниями органов ЖКТ из-за неполноценного пережевывания пищи.
Экстренная помощь при воспалении
Что делать, если болит десна? Первую помощь для облегчения симптоматики оказывают в домашних условиях. Рекомендуется регулярное (1 раз в 2 часа) полоскание рта антисептическими растворами – фурацилином, пищевой содой, хлоргексидином.
Для лечения покраснения десен применяют мази с антисептическим и кровоостанавливающим действием
Основное правило экстренной помощи – исключение радикальных способов лечения: такая терапия приводит к серьезным последствиям. Для остановки размножения болезнетворной флоры подойдут травяные настойки, продающиеся в аптеке без рецепта – Гивалекс, Стоматодин, Мевалекс. Средства используют согласно инструкции по применению.
Способы лечения
Самостоятельно справиться с проблемой только при помощи экстренных методов не получится. Для предупреждения опасных осложнений человеку потребуется консультация квалифицированного врача.
Перед составлением схемы лечения стоматолог проведет осмотр ротовой полости и, при необходимости, порекомендует прохождение инструментальных исследований – рентгена, панорамного снимка.
Тяжелые случаи заболевания требуют комплексного подхода – антибиотикотерапии, использования средств для местной обработки воспаленных участков и рецептов народной медицины.
Медикаменты для местной обработки рта
Что делать при воспалении мягких тканей рта? Фармакологическая промышленность предлагает широкий ассортимент средств для борьбы с проблемой, которые выпускаются в виде спреев, мазей, гелей и аппликаций. Все препараты снабжены инструкцией по применению. Специалист может корректировать частоту применения лекарства, которая обозначена в инструкции в зависимости от тяжести проблемы и формы ее течения.
Если десна опухла и сопровождается кровоточивостью, то в терапевтических целях рекомендуют препараты для антисептического полоскания:
- Листерин. Используют 2 раза в день по 30 секунд. Курс лечения 5-10 дней.
- Стоматофит. Используют до 4 раз в день до 15 дней.
- Фурацилин – до 3 раз в сутки.
- Хлоргексидин. При пародонтите у взрослых назначают раствор в концентрации 0,2%, у детей опухшие десна лечат 0,05% средством. Рот полощут после еды до полного исчезновения неприятных симптомов.
- Хлорофиллипт. Эффективно действует против стрептококковой инфекции. Перед применением раствор разводят кипяченой водой в соотношении 1 ст. л. лекарства на 200 мл жидкости.
Эффект от ополаскивателей усиливается при одновременном выполнении аппликаций целебными мазями и гелями.
Смысл аппликаций заключается в нанесении лечебных средств на десна под пленку. Препараты создают защитный слой на покрасневших участках и способствуют гибели патогенной флоры
Среди эффективных средств для аппликаций отмечают:
- Парадонтоцит, состоящий из мяты, душицы и шалфея;
- Генгигель с гиалуроновой кислотой, благодаря которой происходит усиленная регенерация очагов поражения;
- Стоматофит для обезболивания воспаленных десен;
- Холисал для лечения пародонтита у детей и взрослых;
- Солкосерил для обезболивания поврежденных участков и их скорейшего заживления.
Лечить воспаление десен можно специальными зубными пастами. Их используют и в профилактических целях. В составе этих препаратов содержатся противовоспалительные травы и противомикробные компоненты. Среди лучших паст следует выделить: Лакалут, Мексидол фито; Президент. Эти средства рекомендуется использовать для чистки зубов не более 1 месяца.
К антимикробным средствам прибегают в редких случаях, например, когда появились признаки интоксикации организма. Антибиотики не только подавляют признаки пародонтита, но и способствуют восстановлению функций всех систем. Прием препаратов данной группы возможен только с разрешения стоматолога. Врач подбирает подходящее средство и определяет его дозировку.
Рецепты народной медицины используют в качестве дополнительных средств к медикаментам при лечении воспаления десен
Натуральные средства разрешены и взрослым, и детям. Для последней категории пациентов подбирают однокомпонентные рецепты и средства, не содержащие продуктов пчеловодства.
Красные десна лечат с помощью следующих рецептов:
- Концентрированного раствора соды: 1 ч. л. продукта растворяют в 200 мл воды. Смесь используют через каждые 2 часа для обработки красных пятен.
- Липового цвета: 1 ст. л. цветов липы заливают 250 мл холодной воды и отстаивают 5 часов. Лекарство используют каждые 4 часа для полоскания рта.
- Пихтового масла. Используется, если на поверхности воспаленной десны имеются шишки или кровоточащие раны. Марлевый тампон, смоченный в масле, прикладывают к проблемным участкам на 15 минут 2 раза в день.
- Липового меда и ржавого гвоздя. Рецепт используется для удаления нарывов и гнойных абсцессов. Для этого гвоздь нагревают до красна и помещают в мед. Вокруг гвоздя образуется черное вещество, которым смазывают десна.
Принципы лечения заболеваний десен
Схема терапии разрабатывается врачом в зависимости от типа патологии, которой сопутствует покраснение десен. Каждое стоматологическое заболевание требует индивидуального подхода.
Гингивит
Проблема характеризуется воспалением околозубных сосочков и появлением мелких прыщиков в этой области. Терапия проблемы начинается с удаления твердых и мягких отложений с поверхности эмали. После этого назначаются противовоспалительные и противоотечные препараты местного действия. Прогноз на выздоровление при гингивите обычно благоприятный.
Пародонтит
Заболевание считается более серьезной формой поражения тканей десны. При отсутствии лечения околозубные сосочки атрофируются, а в пародонтальных карманах образуются шарики, наполненные гноем. Лечение недуга выполняется поэтапно: прием или ввод антибиотиков в десну; шинирование подвижных элементов ряда; хирургическое формирование атрофированных участков десны.
Воспаление десен требует немедленного лечения, поскольку при осложнении патологического процесса может развиться пародонтоз или полная потеря зубного ряда.
Существует множество способов борьбы с проблемой в домашних условиях. Терапия включает в себя применением фармакологических препаратов и средств народной медицины.
Легкие формы воспаления легко устраняются за несколько недель при соблюдении всех правил, обозначенных стоматологом.
Покраснели десна: что это может быть?

На то, что в ротовой полости начался воспалительный процесс и, возможно, развиваются стоматологические заболевания, может указывать распространенный симптом – покраснение десен.
Чтобы не допустить этого, исключить потерю зуба или нескольких, нужно пройти стоматологический осмотр. Врач точно установит причину опасного изменения цвета тканей, проведет лечение, назначит профилактические процедуры.
Основные причины изменений
Медики используют специальный термин для описания симптома у больного, у которого покраснела десна – гиперемия тканей. Её не классифицируют как самостоятельное заболевание, относят к признакам ряда патологий. Если покраснели десны и болят – произошло внешнее или внутреннее воздействие на кровеносные сосуды, которые стали расширенными и воспаленными.
Возникновению симптома могут способствовать несколько факторов:
- неправильный, некачественный, недостаточный гигиенический уход за полостью рта;
- повреждение десневых тканей при еде, твердыми предметами или химическими веществами;
- зубной налет, образование камня;
- неправильное пломбирование, протезирование;
- прорезывание зуба мудрости;
- авитаминоз, дефицит минеральных веществ или микроэлементов;
- наличие патологий соединительных тканей;
- развитие заболеваний, сопровождающихся снижением иммунитета;
- нарушение работы эндокринной системы;
- частое употребление кофе, курение.
Покраснение десны и её болезненность вокруг зуба может быть признаком нескольких стоматологических заболеваний – гингивита, периодонтита, пародонтита. Симптом возникает и после выполнения пломбирования зубов, их удаления.
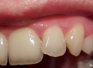
Покраснели десна фото
Другой патологический процесс, при котором наблюдается покраснение десны – периодонтит или воспаление прикорневых тканей. Он является следствием кариеса, пульпита, возникает у пациентов после некачественного стоматологического лечения, травмы зуба, воздействия токсических препаратов.
Периодонтит может развиваться в нескольких формах, бывает острым или хроническим. Основными признаками заболевания считают:
- появление боли, которая описывается ноющей, острой, пульсирующей, она усиливается при любом воздействии на зуб;
- ткани десны краснеют, отекают;
- зуб «выдвигается» из ряда, имеются признаки кариеса, разрушения коронки;
- возникают симптомы развития воспаления – ухудшается самочувствие, повышается температура, может увеличиться размер лимфоузлов.
Диагноз подтверждается при помощи рентгенографии. Назначается терапевтическое или хирургическое лечение.
Стоматолог в первом случае будет действовать по схеме: анестезия – высверливание пораженных участков – доступ к зубным каналам – удаление нерва – расширение канала – его очистка от гноя – закладывание в полость медикаментов (на 2-3 дня) – временное пломбирование. Во второе посещение врача каналы вскрываются, промываются, обрабатываются антисептиком, временно цементируются. На третьем приеме оценивается результат лечения, устанавливается постоянная пломба, назначается физиолечение – лазеротерапия, электрофорез.
В сложных случаях показаны хирургические манипуляции – разрез и медикаментозная обработка мягких тканей, удаление корня или зуба.
Профилактика
Чтобы избежать ситуации, когда покраснели десны и болят, требуется выполнять профилактические меры:
- Не допускать развития стоматологических заболеваний, начинать их лечение при первых симптомах.
- Всегда качественно проводить гигиену полости рта.
- Укреплять иммунитет.
Своевременное лечение заболеваний десен и зубов снизит вероятность осложнений, критического состояния полости рта.
У ребенка красные десна: причины, лечение, профилактика

Когда у ребенка краснеют десны, это не остается незамеченным, т. к. обычно приносит особый дискомфорт и сильно беспокоит малыша. Такой симптом может возникать по разным причинам, большинство из которых связано с различными воспалительными и инфекционными процессами в полости рта.
Ребенок при этом может быть капризным, отказываться от пищи и жаловаться на боль. Для того чтобы быстрее помочь крохе, нужно в первую очередь разобраться, почему у ребенка красные десна и как это вылечить.
Десны краснеют по разным причинам.
Почему краснеют десны?
Покраснение сопровождается болезненностью.
Покраснение десен у ребенка может произойти в результате различных процессов, чаще всего это свидетельствует о воспалении. Воспаление десен у детей, особенно младшего возраста, встречается довольно часто. Потому что десны у малышей очень нежные и легкоуязвимые, а местный иммунитет слизистой ротовой полости ещё не достаточно сильный.
Кроме того, дети до трех лет, в целях познания мира, своими руками часто берут в рот различные предметы, что может быть провоцирующим фактором в заражении полости рта патогенными агентами.
Кровоточивость требует срочного обращения к врачу.
Появление красноты на деснах ребенка обязательно требует осмотра врача, который сможет точно оценить характер проблемы и, при необходимости, назначить соответствующее лечение.
Особенно важно как можно скорее показать малыша специалисту, если, помимо красноты, вы наблюдаете такие симптомы:
- кровоточивость десен;
- появление белых или темных пятен;
- сильные боли;
- резкий и неприятный запах изо рта;
- увеличение лимфоузлов;
- повышение температуры.
Дополнительную информацию о причинах покраснения десен у детей можно узнать из видео в этой статье. А далее мы рассмотрим наиболее частые из них.
Стоматит
Молочница полости рта часто поражает детей до года.
Стоматит – это достаточно распространенное заболевание, на начальной стадии которого обнаруживается красная десна у ребенка, а чуть позже на ней появляются белые пятна. По этиологии стоматит может быть микробным, грибковым (кандидозный стоматит или молочница полости рта) и механическим.
Важно: Красные десна и температура у ребенка – одни из первых симптомов стоматита. От стоматита у грудничков часто используют протирание содой.
Стоматит у детей отличается от этой болезни у взрослых очень быстрым развитием, и если лечение не начать во время, то он может поразить всю слизистую полости рта, вызывая сильную интоксикацию организма.
Причины этому следующие:
- незрелая тонкая слизистая поверхность, которая легко травмируется;
- стремление попробовать на вкус всё вокруг;
- недостаточно зрелая иммунная система;
- неразвитые асептические свойства слюны.
Лечение стоматита у детей основывается на выявлении причины болезни с учетом возраста малыша. Обычно оно основывается на изменении кислотно-щелочного баланса полости рта и обработке противовоспалительными, антисептическими или антигрибковыми препаратами.
Помимо основного лечения, при грибковом стоматите очень важна поддерживающая терапия в виде витаминов и иммуностимуляторов.
Кариес
У детей кариес развивается стремительно.
Детский кариес – это одна из самых частых причин обращения к детскому врачу стоматологу, которая обычно вызвана неправильным питанием либо недостаточной гигиеной.
К остальным причинам появления кариеса относятся:
- чрезмерное употребление сладостей;
- заражение от других членов семьи через поцелуи или столовые приборы;
- долгий контакт зубов с соской от бутылочки (бутылочный кариес);
- генетические особенности.
Первые симптомы кариеса – белые и серые пятна.
К сожалению, далеко не все родители считают нужным лечить кариес молочных зубов, особенно на начальных стадиях, когда он имеет вид белых или серых пятен, как на фото. Но кариес у детей отличается стремительным развитием, которое объясняется особым строением эмали и дентина, и, при отсутствии лечения, он может достигнуть даже пульпы зуба, вызвав покраснение десен и пульпит.
Спустя время на этом месте появляется припухлость, образуется гной. Особо опасен пульпит тем, что он может привести не только к потере зуба, но и к сепсису. Поэтому очень важно своевременно начинать лечение кариеса у детей, ведь цена халатности в этом случае может стоить даже жизни ребенка.
Прорезывание зубов
Первые зубы могут прорезаться уже в 4 месяца.
Самой безопасной причиной, вызывающей покраснение десен у грудничка, является прорезывание зубов. Такой симптом может наблюдаться в возрасте от 3 до 30 месяцев, пока прорезываются молочные зубы.
Дополнительно при прорезывании зубов обычно отмечаются:
- потеря аппетита;
- небольшое повышение температуры тела;
- повышенное слюноотделение;
- попытки «почесать» десны любыми предметами, попавшими в руки;
- расстройство стула;
- насморк.
Для того чтобы не спутать симптомы прорезывания зубов с началом воспалительного заболевания полости рта, желательно показать ребенка специалисту, который с легкостью определит причину, по которой покраснели десна у ребенка.
Важно: Покраснение десен из-за прорезывания зубов может наблюдаться и в подростковом возрасте, когда появляются зубы мудрости.
При прорезывании зубов у малыша для облегчения состояния можно использовать специальные гели с охлаждающим и обезболивающим эффектом.
Также ребенку нужно предлагать специальные прорезыватели, о которые можно мягко и безопасно помассировать десны. Краснота в этом случае спадает сразу же после появления зуба.
Стоматит у грудничка
Здравствуйте доктор! Подскажите пожалуйста, у моего сына, ему 9 месяцев, очень часто появляется молочница во рту. Лечим, по совету нашего педиатра, Лизобактом и протиранием слизистой раствором соды. Молочница проходит быстро, но спустя 2-3 недели появляется снова.
Может быть, нам нужны какие-то более сильные средства, чтобы окончательно избавиться от болезни?
Здравствуйте! То, что у Вашего сына часто появляется стоматит, говорит лишь о том, что у него есть проблемы с иммунитетом.
Поэтому никакие, даже самые сильные противогрибковые лекарства, не помогут исправить эту ситуацию, пока Вы не займетесь укреплением иммунитета. Чаще гуляйте на свежем воздухе, больше поите, следите за гигиеной и полноценным питанием.
Налет или кариес?
У сына 5 лет на верхних резцах появился налет, который не счищается зубной щеткой. При этом у ребенка покраснение десен и он стал жаловаться на чувствительность зубов при соприкосновении с горячей или холодной пищей.
Может ли это быть кариес и стоит ли его лечить, если эти резцы должны уже вот-вот поменяться на коренные?
Судя по симптомам, которые Вы описали, очень похоже, что у ребенка развивается острый кариес. В Вашей ситуации стоит незамедлительно показать ребенка стоматологу, т. к.
даже с учетом того, что зубы скоро выпадут, кариес может перейти на здоровые зубы и заразить весь ряд. Поэтому требуется осмотр специалиста и назначение соответствующего лечения.
Читать далее…
Красная десна вокруг зуба болит но крови нет

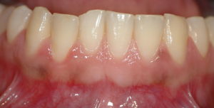
Нередко пациенты стоматологов жалуются на то, что у них покраснела десна вокруг зуба. Это говорит о развитии воспалительного процесса, который поначалу протекает без каких-либо симптомов, но со временем, помимо покраснения, может возникнуть кровоточивость десен, расшатывание зуба.
С чем может быть связано покраснение десневой ткани вокруг зуба? На самом деле, это явление может быть вызвано разными заболеваниями, что отличаются своими симптомами и причинами возникновения. Зачастую покраснение десны врачи связывают с гингивитом, протекание которого приводит к нарушению соединения зубов пациента с мягкими тканями.
Причины покраснения
С чем может быть связано покраснение десневой ткани вокруг зуба? На самом деле, это явление может быть вызвано разными заболеваниями, что отличаются своими симптомами и причинами возникновения. Зачастую покраснение десны врачи связывают с гингивитом, протекание которого приводит к нарушению соединения зубов пациента с мягкими тканями.
К причинам возникновения недуга врачи относят:
- получение травм при зубном протезировании;
- нарушение гормонального фона в организме;
- несоблюдение правил гигиены ротовой полости, что привело к образованию зубного камня.
Неправильное лечение гингивита или его полное отсутствие может обернуться для пациента серьезным осложнением в виде пародонтита. Это заболевание воспалительного характера, которое нередко сопровождается повреждением околозубной ткани.
Основные причины развитие этого заболевания:
- недостаточная гигиена полости рта;
- появление зубного камня;
- неправильный прикус;
- несбалансированное питание;
- возникновение травм при зубной имплантации или в результате удаление зуба;
- последствие других заболеваний, например, гингивита.
Существует еще одна форма воспаления тканей десны – периодонтит. К основным причинам возникновения этого недуга стоит отнести последствия применения некоторых лекарственных средств, развитие воспалительного процесса в гайморовых пазухах. Также периодонтит может появиться в виде осложнения другой патологии (пульпит, остеомиелит).
На заметку! Довольно часто воспалительные процессы в ротовой полости протекают после проведения некоторых стоматологических процедур. К ним относится протезирование, обточка зубов и другие мероприятия.
Характерные симптомы
О начале воспалительного процесса в деснах будут говорить симптомы, проявляющиеся постепенно. Но спустя некоторое время их интенсивно будет увеличиваться.
Клиническая картина воспаления десен выглядит примерно так:
- несвежее дыхание;
- отекание и покраснение десны;
- появление кровоточивости;
- болевые ощущения.
Покраснение десен, которое сразу бросается в глаза, возникает уже на раннем этапе развития недуга, в результате чего десны окрашиваются в ярко-красный цвет. Если вы заметили, что десна начинает краснеть, но никаких других симптомов пока нет, все равно нужно посетить кабинет стоматолога.
Кровоточивость возникает на второй стадии развития воспалительного процесса. Как правило, кровь появляется только при чистке зубов или механическом воздействии.
Это достаточно серьезное явление, наличие которого говорит о длительном протекании заболевания. В связи с этим, нужно сразу же приступать к лечению. Даже незначительные прикосновения к покрасневшей десне могут вызвать неприятные ощущения или боль.
Это касается и приема пищи, ведь при жевании десны подвергаются сильной нагрузке.
Следующий этап развития сопровождается припухлостью десны, а в десенном кармане начинает собираться гной, из-за которого у пациента и возникает неприятный запах изо рта. В редких случаях несвежее дыхание может быть единственным симптомом воспалительного процесса.
Неправильное лечение может привести к тому, что десны пациента атрофируются. Вследствие этого пациент может лишиться одного или нескольких зубов. Чтобы этого не допустить, крайне важно лечить патологию сразу же после появления первых симптомов, то есть на раннем этапе ее развития.
Аптечные средства
Для снятия или облегчения симптомов современная медицина предлагает множество лекарств, к наиболее эффективным из которых стоит отнести:
- Холисал;
- Полиминерол;
- Мараславин;
- Пародонтоцид.
Все эти препараты выпускаются в разных формах, но чаще всего стоматологи рекомендуют использовать крем или гель для снятия воспалительного процесса. Это позволит снять не только воспаление, но и кровоточивость десен, а также защитить организм от попадания инфекции.
В аптеках можно найти и другие препараты, позволяющие снять покраснение в деснах. Это Дентал, Асепта, Пародиум и другие. Но даже если вы приобрели одно из этих средств, визит к врачу никто не отменял.
Как уменьшить воспаление
Гигиена ротовой полости – это, пожалуй, основной фактор, влияющий на возникновения многих патологий, в том числе и воспаления.
Если человек будет правильно ухаживать за полостью рта, это позволит защититься от подобных неприятностей. Но если воспалительный процесс в деснах все же начался, нужно знать, как быстро можно его уменьшить.
Ниже представлена пошаговая инструкция, которая поможет снять воспаление в домашних условиях.
Шаг 1. Зубной налет нередко приводит к появлению воспалительного процесса, поэтому для его снятия регулярно чистите зубы не менее 2 раз в день. При этом длительность процедуры должна составлять 2-3 минуты. Также это позволит предотвратить рецидивы. Зубную щетку меняйте каждые 3 месяца. То же касается и пасты, которую периодически необходимо менять.
Шаг 2. Не игнорируйте использование зубной нити. Это отличный способ очистить межзубные промежутки от скапливаемых остатков пищи и зубного налета. Но прибегать к нити нужно не чаще одного раза в день. Все движения должны быть аккуратными, чтобы не повредить десны. В противном случае наряду с покраснением может возникнуть и кровоточивость десен.
Шаг 3. Регулярно полощите рот солевым раствором. Не секрет, что соль обладает противовоспалительными и антибактериальными свойствами, поэтому регулярное полоскание ротовой полости позволит уменьшить покраснение десен. Просто смешайте стакан теплой воды с 1 ч. л. соли. Только раствор глотать нельзя.
Шаг 4. Прикладывайте компрессы к зубам. Это позволит снять воспаление. Намочите небольшой кусок ткани теплой водой и приложите к больному месту для снятия болевых ощущений. Можно также прикладывать и холодный компресс. Для этого положите несколько кубиков льда в чистую ткань и прижмите аккуратно к нужному месту.
Шаг 5. Если вам довелось столкнуться с покраснением десен, то на период лечения желательно отказаться от вредных привычек. Дело в том, что табак и алкоголь негативно сказываются на состоянии десен, а также ослабляют иммунную систему человека.
Шаг 7. Снять воспаление поможет массаж десен. Массируйте свои десна аккуратными движениями пальцев, уделяя по 1 минуте для каждого сеанса.
Шаг 8. Используйте масло гвоздики для снятия воспалительного процесса. Для этого нужно смочить тампон маслом и наносить его на десны. Благодаря своим полезным свойствам, масло снимает покраснение и устраняет боль. После нанесения рот нужно прополоскать теплой водой.
Народная медицина
В народной медицине есть немало различных рецептов, позволяющих снять покраснение и боль в деснах, но причину этого заболевания устранить нельзя. К одним из самых эффективных методов относится полоскание, позволяющее устранить неприятные симптомы перед визитом к стоматологу. Рассмотрим наиболее распространенные рецепты.
Таблица. Рецепты народных средств при воспалении десны.
| Лимон часто применяется в народной медицине при лечении патологий ротовой полости. Для снятия воспаления обработайте пораженные участки десен специальным раствором, приготовленным из лимонного сока и теплой воды. Для нанесения раствора воспользуйтесь ватой или мягкой кисточкой. Избегайте попадания средства на зубную эмаль. |
| Измельчите с помощью блендера или на мелкой терке несколько лимонных корочек, затем смешайте полученную кашицу с растительным маслом. Полученное средство настаивайте 2 дня в темном помещении, затем наносите на воспалившийся участок десен несколько раз в день. |
| Снять воспалительный процесс помогает мелисса. Для приготовления настоя залейте 500 мл кипятка 1 ст. л. травы и настаивайте на протяжении 3 часов. Остывший настой нужно процедить через марлю, затем полощите им рот 2-3 раза в день. |
| Это лекарственное растение оказывает на организм противовоспалительный эффект, поэтому алоэ часто используется в нетрадиционной медицине при покраснении десен. Разрежьте лист алоэ пополам и натрите его внутренней частью воспалившиеся десны. Повторяйте эту процедуру 2 раза в день. |
| Пропитайте ватный тампон или бинт пихтовым маслом и обработайте воспаленную поверхность десны. Спустя 10-15 минут прополощите рот теплой водой. Процедуру рекомендуется проводить ежедневно перед сном. |
| Приготовьте раствор из 1 части воды и 10 частей спиртовой настойки. Полощите рот дважды в день. Результат можно будет увидеть практически сразу. |
Если народная медицина все же не помогла снять воспаление и боль, то перед визитом к врачу все равно не рекомендуется принимать обезболивающие препараты.
В первую очередь, это связано с тем, что такие средства могут спровоцировать выработку организмом иммунитета к разным стоматологическим процедурам, например, к «заморозке».
Поэтому при посещении врача пациент может испытывать неприятные ощущения.
https://youtube.com/watch?v=LUt8IbzziiA
Если сразу обратиться к стоматологу нет возможности, то в качестве исключения можно принять обезболивающее средство под названием Ибупрофен. Это позволит снять болезненные ощущения, пока вы не посетите врача.
Меры профилактики
Чтобы воспаление десны не появилось снова, нужно принимать некоторые профилактические меры:
- регулярно выполняйте массаж десен;
- по возможности откажитесь от курения;
- добавьте в рацион больше витаминосодержащих продуктов;
- принимайте меры по укреплению иммунной системы;
- следите за гигиеной ротовой полости;
- пользуйтесь ополаскивателями для рта;
- посещайте кабинет стоматолога каждые 6 месяцев.
Занимайтесь активными видами спорта, но в тоже время постоянно следите за своим здоровьем, ведь чрезмерные нагрузки могут спровоцировать серьезные заболевания.
Соблюдать эти рекомендации несложно, но зато вы сможете укрепить свой организм, сэкономив немало денег на последующем лечении.




