Гингивит: причины, симптомы, диагностика и лечение в Москве

Гингивит — воспаление дёсен, при котором не происходит нарушение целостности околозубных тканей. Без адекватного лечения гингивит переходит в пародонтит и грозит потерей зубов.
Причины
Возбудителями гингивита являются различные микроорганизмы — бактерии, вирусы и грибки. Чаще всего при гингивите выявляют бактерии Bacteroides gingivalis, Streptococcus oralis, Actinomycetes comitans и Porphyromonas gingivalis.
Возбудители заболевания часто находятся в ротовой полости здоровых людей, но высокий иммунитет помогает организму предотвратить развитие воспалительного процесса. Когда общий или местный иммунитет снижается, начинается гингивит.
Причины гингивита:
- недостаточная гигиена полости рта;
- отсутствие адекватного лечения заболеваний зубов;
- сахарный диабет;
- неполноценное питание (особенно с нехватка витамина С);
- снижение иммунитета;
- бактериальные, грибковые и вирусные заболевания дыхательных путей;
- курение;
- беременность;
- затруднённое дыхание носом;
- некачественные зубные протезы и брекеты.
Многие врачи считают гингивит не отдельным заболеванием, а скорее результатом других заболеваний полости рта и организма в целом. Для них гингивит является сигналом снижения иммунитета.
Заболеть гингивитом может любой человек, ведь его возбудителями являются довольно распространённые бактерии. Замечено, что дети в возрасте до 6 лет чаще болеют гингивитом, чем подростки и взрослые. Активное прорезывание зубов травмирует ткани, а желание детей попробовать всё на вкус идёт вразрез с требованиями гигиены.
Замечено также, что мужчины заболевают чаще женщин. Это объясняют особенностями эндокринной и иммунной систем и меньшим вниманием к состоянию зубов.
Люди, носящие зубные протезы и брекеты, травмирующие ткани полости рта, тоже попадают в группу риска. Стоматологи рекомендуют им с особой тщательностью очищать полость рта после еды, следить за состоянием протезов и брекетов и чаще посещать стоматолога для профилактического осмотра.
В отдельную группу риска относят людей, не имеющих возможности получать качественную медицинскую помощь. Регулярные осмотры у стоматолога, лечение и профилактика заболеваний зубов, удаление отложений снижают вероятность гингивита. Длительный кариес, оставленный без профессионального лечения, приводит к распространению бактерий на другие участки полости рта, в том числе и на дёсны.
Симптомы гингивита
Стоматологи выделяют несколько видов гингивита, их симптомы различны, но в целом можно описать такую симптоматическую картину:
- покраснение дёсен и слизистой оболочки рта;
- отёчность дёсен;
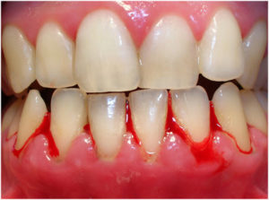
- кровоточивость дёсен, особенно во время чистки зубов;
- болезненность дёсен;
- чувствительность зубов и дёсен к горячей и холодной пище;
- неприятный запах изо рта;
- набухание десневых сосочков;
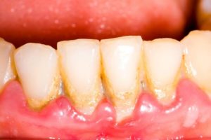
- зубной камень;
- обильный налёт на зубах;
- выделение гноя из дёсен;
- жжение дёсен;
- язвочки на дёснах;
- некроз межзубных сосочков и десневых тканей.
Тяжесть симптомов гингивита зависит от общего состояния организма, своевременности медицинской помощи и качества гигиены полости рта.
При обширном инфекционном поражении полости рта наблюдается также небольшое повышение температуры, слабость, сонливость, возможно нарушение пищеварения.
Высокая температура говорит о том, что гингивит не является первичным заболеванием, а возник на фоне более серьёзных инфекционных процессов. Даже острый гингивит сам по себе не вызывает значительного повышения температуры тела.
Виды гингивита
Различают несколько видов гингивита.
1. Хронический гингивит появляется из-за отсутствия необходимой гигиены, большого количества отложений на зубах и выражается следующим образом:
- нет выраженных болевых ощущений и явного воспаления тканей;
- десневые карманы незначительно изменяются в размере;
- дёсны слегка кровоточат во время чистки зубов;
- ткань дёсен разрастается и частично покрывает коронки зубов.
2. Острый гингивит имеет более явные симптомы и подразделяется на катаральный, язвенный, гипертрофический, атрофический и язвенно-некротический типы.
Катаральный гингивит вызывается острой бактериальной или грибковой инфекцией и сопровождается такими симптомами:
- ярко выраженным покраснением десны;
- острой болью;
- отёком десны;
- зудом в ротовой полости;
- небольшим повышением температуры тела;
- общей слабостью.
Язвенный гингивит сопровождается образованием язвочек на дёснах, кроме того, наблюдается:
- сильное жжение и зуд в полости рта;
- кровоточивость дёсен;
- боль, особенно во время приёма пищи и выполнения гигиенических процедур.
Гипертрофический гингивит связан с гормональными изменениями в организме и зачастую отмечается у подростков, беременных женщин, людей с эндокринными заболеваниями. Также этот вид гингивит может встречаться на фоне приема гормональных контрацептивов. Симптомами гипертрофического гингивита являются:
- гиперплазия десны с набуханием десневых сосочков;
- кровоточивость десны;
- выделение гноя;
- неприятный запах изо рта;
- обильный зубной налёт;
- синеватый цвет десны.
Атрофический гингивит можно назвать противоположностью гипертрофического гингивита. При атрофическом гингивите дёсна уменьшаются в объёме, десневые карманы углубляются, корни зубов оголяются. Это заболевание чревато потерей зубов.
Язвенно-некротический гингивит характеризуется некрозом межзубных сосочков. Другими симптомами являются:
- воспаление слизистой оболочки ротовой полости;
- неприятный запах изо рта;
- кровоточивость дёсен.
Наиболее распространённый вариант гингивита — катаральный. Хронический вариант тоже встречается часто, но здесь клиническая картина смазана, и он у многих остаётся без лечения.
По локализации воспаления различают локализованный и генерализованный гингивит. При локализованном варианте поражается несколько дёсен, при генерализованном — все дёсны и даже иногда соседние ткани.
Диагностика гингивита
Диагностикой гингивита занимается стоматолог. Сложность диагностики зависит от степени заболевания и его вида. Так, хронический гингивит может выявить только врач на осмотре, а острый, особенно катаральный и язвенный, легко диагностировать самому пациенту по острой боли, обильному покраснению десен или образованию язвочек на слизистой оболочке.
Диагностика гингивита начинается с визуального осмотра. Далее идёт инструментальный осмотр. Важно определить стадию заболевания и его локализацию — в некоторых случаях этого бывает достаточно. В тяжёлых случаях важно оценить общее состояние организма и точно выявить возбудителя. Стоматолог назначает общий анализ крови и микробиологическое исследование отделяемого полости рта.
При гипертрофическом гингивите может потребоваться консультация эндокринолога. Гингивит в этом случае может стать симптомом более серьёзного эндокринного заболевания. Для эффективного лечения гингивита требуется коррекция гормонального фона. Если заболевание началось на фоне приёма гормональных препаратов, их следует отменить или заменить на другие.
При катаральном и язвенном гингивите может потребоваться консультация иммунолога. Серьёзное воспаление дёсен показывает, что организм не справляется с инфекцией. Иммунолог должен определить иммунный статус пациента, найти причину местного и общего иммунодефицита и подсказать способы повышения иммунитета.
Гингивит у детей необходимо лечить совместно с педиатрами. Прорезывание и рост зубов травмирует дёсны и вызывает их воспаление. Малыши активно познают мир и тянут в рот различные предметы, чтобы попробовать их на вкус.
Вместе с игрушками и пальцами в рот попадают микробы, которые и становятся причиной гингивита. Педиатр подскажет оптимальную гигиену полости рта для детей разного возраста и подберет наиболее щадящие методы лечения.
Лечение гингивита
Лечение гингивита подбирается индивидуально в зависимости от вида заболевания, его тяжести и локализации.
Важнейшим моментом при лечении гингивита становится ликвидация воспалительного процесса, особенно при катаральном типе заболевания. Для этого прибегают к противомикробным и противогрибковым препаратам.
При локализованном воспалении используются местные средства — полоскания, пастилки, кремы, гели.
При генерализованном гингивите, осложнённом высокой температурой, слабостью и распространением инфекции, рекомендуется системный прием антибиотиков.
При сильной боли, которой порой сопровождается острый катаральный гингивит, врачи-пародонтологи рекомендуют местные обезболивающие препараты — гели и мази. Возможен также приём обезболивающих препаратов в виде таблеток и капсул.
https://youtube.com/watch?v=QkP26nfCI7Q
Вторым важным этапом лечения становится удаление зубного налёта и зубного камня. Затвердевший налёт невозможно удалить обычной зубной щёткой, поэтому чистка зубов проводится профессиональным оборудованием в стоматологическом кабинете. Рекомендуется ультразвуковая чистка для удаления отложений, так как механическая будет чрезвычайно болезненной при воспалении.
Ультразвук бережно удаляет мягкий налёт, зубной камень, загрязнения и потемнения эмали. Ультразвуковую чистку часто совмещают с чисткой системой Air Flow. Струи воды и воздуха очищают межзубное пространство, десневые карманы, выемки и трещины на зубах. Эти процедуры обычно безболезненные, но при остром гингивите пациент может чувствовать боль и дискомфорт.
После удаления зубного налёта и зубного камня приступают к лечению зубов. Статистика показывает, что гингивит редко протекает без кариеса или пульпита. Эти зубные болезни часто прячутся под толстым слоем отложений. Если зубы не вылечить, дёсны будут воспаляться постоянно.
Детям рекомендуется провести герметизацию фиссур — это процедура при которой бороздки на жевательной поверхности зубов заполняются специальным составом. Поверхность зуба становится гладкой и не пропускает инфекцию внутрь.
Герметизация фиссур признана надёжной профилактикой заболеваний зубов у детей, что благотворно сказывается и на состоянии дёсен.
В случае некротического гингивита часто требуется хирургическое вмешательство. Отмершие участки десны не восстанавливаются, поэтому они требуют удаления. Хирургическое лечение требуется и при гнойном гингивите. Капсулы с гноем вскрываются, полости промываются антисептическим раствором. Помощь хирурга требуется и при гипертрофическом гингивите.
Разросшиеся дёсны необходимо уменьшить до нормальных размеров. Опасность разросшихся дёсен заключается в том, что зубная эмаль под ними не очищается должным образом, и велика вероятность развития пришеечного кариеса. Гипертрофический гингивит портит и внешний вид зубов, поэтому нуждается в хирургическом лечении и ради эстетического эффекта.
Осложнения
Гингивит может давать осложнения, если вовремя не проводится лечение этого заболевания. Основными осложнениями является:
- пародонтит;
- потеря зуба;
- распространение инфекции на глубокие слои тканей, в том числе кости;
- распространение инфекции на другие органы и системы.
Особенно опасен гингивит для людей с серьёзным иммунодефицитом. Иммунная система не способна локализовать инфекцию, и она распространяется всё дальше. В этом случае особенно важна своевременная диагностика и эффективное лечение.
Постоянная кровоточивость дёсен может привести к заражению крови, если язвочки не обрабатываются должным образом, в десневые карманы попадают кусочки пищи, не соблюдается гигиена. Нарушение свёртываемости крови приводит к усилению кровоточивости дёсен.
Профилактика
Гингивит — серьёзный недуг, и его проще предотвратить, чем вылечить.
В основе профилактики лежит качественная и регулярная гигиена зубов. Зубы следует чистить как минимум 2 раза в день, а после каждого приёма пищи следует полоскать рот тёплой водой.
Зубную щётку следует регулярно менять. Электрические щётки доказали большую эффективность по сравнению с обычными.
Они качественнее удаляют зубной налёт, а также лучше массируют дёсна, повышая плотность тканей и улучшая их кровоснабжение.
Следует чистить не только сами зубы, но и дёсны, язык, внутренние поверхности щёк. Для чистки языка советуют использовать специальный скребок. Кроме того, важно очищать и межзубное пространство. Для этого следует пользоваться зубными нитями. Полезно и активное полоскание. А вот зубочистки лучше не использовать. Острые края травмируют дёсны и царапают зубную эмаль.
Людям, склонным к воспалениям дёсен, следует полоскать рот специальными бальзамами с противовоспалительными компонентами. Можно пользоваться готовыми аптечными средствами или готовить отвары трав. После острой пищи следует полоскать рот содовым раствором, он нормализует кислотность и предотвращает разъедание тканей кислотами.
Раз в полгода следует посещать стоматолога для профессиональной гигиены зубов. Рекомендуется ультразвуковая чистка, комбинированная с системой Air Flow.
Необходимость в профессиональной чистке зубов доказана многочисленными клиническими исследованиями. Во время гигиены врач может выявить заболевания зубов и рекомендовать лечение. Затягивать с лечением не рекомендуется.
Поверхностный кариес вылечить проще, чем глубокий кариес или пульпит.
Для профилактики гингивита рекомендуется полноценное, богатое витаминами питание. Особенно важен витамин С. Стоматологи рекомендуют кушать больше фруктов и овощей. В них содержится много витаминов. К тому же, они имеют довольно плотную структуру и хорошо очищают поверхность зубов от налёта.
Поддержать здоровье зубов поможет также пища, богатая кальцием. Кальций усваивается только вместе с витамином D, поэтому следует чаще гулять, принимать солнечные ванны или употреблять синтетический витамин D в каплях.
Это особенно актуально для жителей северных районов, где солнечный день короткий, и остро ощущается нехватка витамина D.
Курение и алкоголь снижают местный иммунитет, портят зубную эмаль и вызывают воспаление дёсен. Часто у курильщиков наблюдается хронический, язвенный и язвенно-некротический гингивит. Следует отказаться от этих вредных привычек ради здоровья зубов и всего организма в целом.
Заботиться о зубах нужно всегда! Это стоит знать о гингивите: симптомы и лечение

Что такое гингивит? Это процесс воспаления дёсен, сопровождающийся отёком, покраснением и кровоточивостью. При данном заболевании целостность зубодесневого соединения не нарушается.
Незнающий человек может перепутать гингивит с пародонтитом. В первом случае, воспаление дёсен поверхностное, затрагивает только слизистую оболочку и промежуток между зубами. При этом недуге зубы не приобретают подвижность, их целостность не нарушается.
ontakte
Odnoklassniki
Гингивит чаще всего развивается как самостоятельное заболевание, но также может являться следствием другой болезни.
Внимание! Для начала необходимо определить форму недуга. Именно от этого зависит эффективность назначенного лечения.
Причины возникновения гингивита разделяют на внутренние и внешние.
Внутренние
- Прорезывание зубов, например, зубов мудрости у взрослого человека.
- Нарушение обмена веществ.
- Сахарный диабет.
- Ослабленный иммунитет.
- Заболевания желудочно-кишечного тракта.
- Деформации дёсен.
- Стрессы или психические заболевания.
- Проблемы с гормонами, вынашивание ребёнка.
- Нехватка витаминов в организме, или, наоборот, их избыток.
Внешние
К ним относят причины, которые воздействуют на ротовую полость свнешней стороны организма и не зависят от самочувствия человека:
- Ушибы и разные травмы.
- Ожоги, в том числе и химические.
- Инфекции.
- Курение и другие вредные привычки.
- Неправильно наложенная пломба.
- Некачественные виниры или их неправильная установка. Травма от брекетов.
- Отсутствие или нетщательный уход за ротовой полостью
Главной причиной гингивита является зубной налёт. Чистка зубов обязательна, так как налёт минерализируется довольно быстро, менее чем за 16 часов.
Температура, запах изо рта и другие признаки гингивита, а также его лечение
Способы лечения зависят от характера течения недуга, а также от его формы:
- Катаральная — считается начальной стадией болезни. Характеризуется воспалением и отёком десны. Возможно возникновение кровоточивости при чистке зубов. На зубах появляются мягкие и твёрдые налёты. В этой стадии ещё возможно вылечить гингивит самостоятельно.
- Десквамативная —дёсны становятся ярко-красные. Появляются пузыри и начинается десквамация — отшелушивание эпителия десны.
- Гиперпластическая — увеличивается объём зубодесневых сосочков. Такая форма заболевания характеризуется кровоточивостью дёсен, выделением гноя. Десна приобретает синюшно-бардовый оттенок. Отложения на зубах твёрдые, возникает неприятный запах изо рта. Возможно повышение температуры.
- Язвенная —характерна кровоточивость дёсен, сильный зуд и жжение. Появляются язвы во рту и эрозии.
- Атрофическая — последняя стадия, считается наиболее запущенной. Характеризуется истончением ткани десны. Иногда зубы обнажаются вплоть до корней. Лечение будет довольно сложным и долгим.
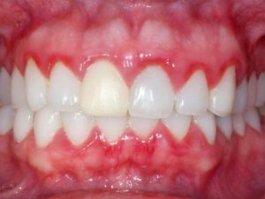
Фото 1. Воспаление и отек десен, наличие мягкого налета на начальной стадии катаральной формы гингивита.
Гингивит может также возникать при простудных заболеваниях. Это происходит вследствие повышения в ротовой полости количества микробов и вредных бактерий.
В период болезни некоторые люди пренебрегают элементарными правилами гигиены. При этом повышение температуры не будет являться признаком заболевания.
Симптомами станут неприятные ощущения при чистке зубов, возможна даже кровоточивость.
Важно! При возникновении первых признаков гингивита необходимо сразу обратиться к врачу.
Оценка тяжести, используя индекс
Для оценки тяжести течения болезни стоматологи используют папиллярно-маргинально-альвеолярный индекс(РМА). Он же применяется для регистрации динамики процесса гингивита.
Оценку проводят по следующим критериям:
- воспаление отсутствует.
- воспаление только десневого сосочка (десна между смежными зубами).
- воспаление маргинальной десны (расположенная между зубами, но не прикреплённая к ним).
- воспаление альвеолярной десны (расположенная над зубами, прочно с ними скреплённая).
Формула индекса РМА
Чтобы рассчитать индекс, необходимо сумму полученных баллов (после оценки) разделить на количество зубов и умножить на 100%.
Справка! Нормой считается результат, равный нулю. Чем выше индекс, тем больше интенсивность заболевания. При индексе меньше 30% — лёгкая степень. От 31% и до 60% — средняя, выше 61% — тяжёлая.
Количество зубов учитывают по возрасту человека. В случае если какой-то зуб или зубной ряд отсутствует, то сумму балов делят на количество имеющихся зубов.
В данном видео рассказывается об особенностях воспаления десен, называемого гингивитом.
Гингивит успешно вылечивается. Но если пустить болезнь на самотёк, она может стать причиной возникновения пародонтита, вылечить который практически невозможно. Появление кровоточивости дёсен или любых других симптомов гингивита, должно стать поводом незамедлительно посетить стоматолога, чтобы избежать осложнений болезни.
Оцени статью:
Будь первым!
Поделись с друзьями!
Гингивит у детей: формы заболевания, сопутствующие симптомы, методы лечения

Покраснение десен, кровоточивость, зуд и жжение — все это может быть симптомами гингивита.
Это распространенное заболевание среди детей, характеризующееся воспалением десен без нарушения целостности зубодесневого соединения.
Пик заболеваемости приходится на возраст 3-7 лет и пубертатный период. Почему у ребенка воспаляются десны и как их лечить? Какие основные факторы вызывают гингивит?
Причины возникновения гингивита у детей
Почему у детей воспаляются десны? Можно выделить следующие факторы:
- снижение иммунитета;
- сахарный диабет;
- дефицит аскорбиновой кислоты в организме;
- ОРВИ, ОРЗ, ангина, грипп;
- неправильный прикус;
- зубной камень;
- дефицит витаминов и полезных микроэлементов из-за отсутствия полноценного питания.
Дошкольники наиболее подвержены появлению воспаления. Зачастую гингивит у детей развивается из-за бактериальной пленки, которая появляется на зубках и слизистой вследствие несоблюдения правил ухода за полостью рта. Возбудителями заболевания являются бактерии актиномицеты, спирохеты, стрептококки, реже — вирусы и грибы.
Симптомы в зависимости от формы заболевания
Существует несколько форм заболевания:
- катаральная;
- атрофическая;
- гипертрофическая;
- язвенная;
- герпетическая.
Они отличаются формой протекания и бывают вирусными или бактериальными. Виды гингивита имеют различную симптоматику, это позволяет доктору поставить правильный диагноз и разработать эффективную схему лечения. Как выглядит пораженная десна, можно посмотреть на фото.
Катаральный гингивит
Самая распространенная форма гингивита — катаральная. Она развивается в основном из-за плохого ухода за ротовой полостью, также причинами могут быть:
- аллергия на пищевые продукты;
- смена молочных зубов постоянными;
- новые продукты в рационе;
- психологический стресс;
- травма десны — механическая, термическая.
Катаральный гингивит чаще всего проявляется в острой форме. У малыша краснеет пораженная область, появляется припухлость, неприятный запах изо рта, боль при соприкосновении с десной и зуд на этом участке.
Состояние вялое, температура поднимается до 38°С, аппетита практически нет. Если удается уговорить ребенка немного поесть, он жалуется на болевые ощущения при соприкосновении с горячей или холодной пищей.
Чувство вкуса искажено.
Катаральный гингивит часто возникает у детей 4-7 лет. Именно в этот период родители позволяют ребенку самостоятельно чистить зубы, а он в большинстве случаев пренебрегает гигиеническими процедурами и практически не очищает полость рта.
Атрофическая форма
Основной симптом атрофической формы — уменьшение в объемах десны. Сначала такие изменения не заметны, ребенок не чувствует боли и не жалуется на дискомфорт, поэтому без посещения стоматолога на ранних этапах обнаружить заболевание достаточно сложно.
Постепенно десны становятся ярко-красными, обнажая корни зуба. Ребенку трудно принимать пищу, это вызывает сильные болевые ощущения, особенно при соприкосновении с горячим или холодным. Во время чистки зубов десны кровоточат.
Что может быть причиной атрофического гингивита? В первую очередь это непрофессиональное стоматологическое и ортодонтическое лечение, например некачественное пломбирование зуба или неправильная установка брекет-системы. Кроме этого, причина может заключаться во врожденных аномалиях прикуса или уздечки языка.
Гипертрофическая форма болезни
Гипертрофический гингивит характеризуется обратным процессом — десны увеличиваются в размерах. В зависимости от величины гипертрофии различают такие степени этого типа заболевания:
- легкая— 1/3 коронки зуба;
- средняя — до ½;
- тяжелая — больше ½.
При гипертрофическом гингивите десны становятся багрово-синюшного цвета, образуются ложные десневые карманы, в которые попадают остатки пищи и начинают там гнить. Это способствует активному размножению бактерий и возникновению воспаления. Пораженные участки кровоточат, в них скапливается гной, изо рта неприятно пахнет. Чаще всего сосочки десен увеличиваются на передней стороне челюстей.
Различают отечную и фиброзную форму гипертрофического типа. При фиброзной форме гипертрофической болезни отсутствует гиперемия десны и кровоточивость.
Это довольно редкая форма гингивита, причиной гиперплазии десен являются патологии эндокринной системы и колебания уровня гормонов. У детей она появляется в пубертатный период, наиболее подвержены больные сахарным диабетом.
Язвенный гингивит
Язвенная форма — одна из наиболее опасных и тяжелых. Характеризуется следующими симптомами:
- кровоточащие язвы на слизистой;
- синюшный цвет слизистой оболочки;
- сильная боль при любом прикосновении (чистка зубов или прием пищи);
- повышение температуры до 39-40°С;
- плохое самочувствие, головные боли.
Часто язвенный гингивит — это осложнение катарального. Возбудителем является фузиформная палочка и спирохета Венсана.
Это условно-патогенные микроорганизмы, которые начинают активно размножаться на фоне сниженного иммунитета. Если катаральную форму не лечить, она переходит в некротическую стадию.
Состояние ребенка становится критическим. Десны покрываются зеленоватым гнойным налетом, изо рта исходит сильная вонь.
Герпетический тип
Возбудителем герпесного гингивита является вирус герпеса человека. Характерный признак герпесного вида — образование на слизистых покровах мелких пузырьков, заполненных жидкостью, со временем на их месте остаются небольшие язвочки.
Методы диагностики
Как родителям определить, что у ребенка больные десны? В первую очередь необходимо понаблюдать за малышом: как он ест, не доставляет ли ему прием пищи боль. Явным симптомом гингивита считается кровоточивость десен при их чистке. Также родители могут заподозрить наличие болезни, если заметят, что слизистая изменила цвет и отекла, изо рта ребенка плохо пахнет.
К какому врачу обращаться? Лечением полости рта занимается детский стоматолог, но на первичную консультацию можно обратиться к педиатру, врач даст направление к нужному специалисту.
Для постановки диагноза достаточно визуального осмотра и опроса пациента, также дантист может выписать направление на рентген.
При гингивите поражаются только десны, поэтому если болезнь затронула зубы, значит диагноз неправильный.
Как лечить?
Доктор Комаровский настаивает на том, что оставлять гингивит без лечения нельзя, это опасно появлением осложнений, да и с эстетической точки зрения воспаленные десны доставляют много неудобств в виде отечности и плохого запаха изо рта. Заниматься самолечением категорически не рекомендуется. Ребенка нужно обязательно отвести на прием к специалисту, чтобы тот назначил необходимые для терапии лекарства (антибиотики или противовоспалительные средства).
Стоматологические процедуры
В стоматологическом кабинете обычно лечат гингивит на запущенных этапах. При легкой форме врач просто выписывает необходимые медикаментозные средства, которые можно применять в домашних условиях. Хирургическое лечение необходимо при гипертрофической, язвенно-некротической и атрофической формах гингивита.
В таблице представлен перечень стоматологических процедур.
| № п/п | Название процедуры | Описание | При какой форме гингивита применяют |
| 1 | Замораживание | В десну вводится раствор декстрозы или хлористого кальция. Медикамент вызывает затвердевание сосочков, из-за чего они прекращают расти. | Гипертрофическая |
| 2 | Диатермокоагуляция | Разросшаяся ткань прижигается электрическим током силой 3-5 А. Процедура очень болезненная, ее делают только с обезболиванием. Запрещено использовать для детей младше 5 лет. | Гипертрофическая |
| 3 | Гингивэктомия | Операция, при которой проводится усечение десны. Показана при тяжелой стадии гипертрофии. Выполняется под общим наркозом, в ходе оперативного вмешательства десна для предотвращения дальнейшего разрастания замораживается или прижигается. | Гипертрофическая |
| 4 | Некролиз | На омертвевшие участки слизистой для рассасывания пораженных участков наносится фермент трипсин и хлористый натрий. | Язвенно-некротическая |
| 5 | Гингивопластика | Восстановление омертвевших участков десны с помощью пересадки слизистой. | Язвенная, атрофическая. |
Противовоспалительные средства
Для снятия воспаления доктора назначают противовоспалительные препараты, которые выпускаются в виде растворов для полоскания рта или гелей для нанесения на пораженный участок десны.
Лекарства снимают отечность, устраняют покраснение и кровоточивость, облегчают боль.
Перед нанесением ротовую полость нужно тщательно очистить, а после процедуры необходимо на некоторое время воздержаться от пищи.
В таблице представлен перечень противовоспалительных препаратов.
| № п/п | Название | Действующее вещество | Форма выпуска | Способ применения |
| 1 | Хлоргексидин С | Хлоргексидин | Раствор для местного и наружного использования | В течение 10 дней полоскать рот после чистки утром и вечером по 30 с. |
| 2 | Мирамистин | Бензилдитемил аммоний хлорид моногидрат | Раствор для местного применения | Ополаскивать рот 4 раза в день по 30 с. |
| 3 | Холисал | Холина салицилат, цеталкония хлорид | Гель | Втирать в десны дважды в сутки в течение 10 дней. После процедуры нельзя принимать пищу в течение 3 часов. |
| 4 | Метрогил Дента | Хлоргексидин диглюконат, метронидазол бензоат | Гель | Способ применения аналогичен Холисалу. Запрещено применять для детей младше 6 лет. |
Назначение антибиотиков
Для лечения гингивита, вызванного болезнетворными микроорганизмами, необходим прием антибиотиков.
Маленьким деткам не рекомендуется давать такие сильные лекарства, но при тяжелых формах болезни без них не обойтись. Антибактериальную терапию должен назначать врач с учетом возраста малыша и медицинских показаний.
Антибиотики подходят только для лечения бактериальной формы болезни, в случае герпетического типа они бесполезны.
В таблице представлен перечень антибиотиков.
| № п/п | Название | Действующее вещество | Форма выпуска | Способ применения |
| 1 | Линкомицин | Линкомицин | Раствор для инъекций, капсулы | 5 капсул растворить в 1 литре воды, полоскать 2 раза в день. Не рекомендуется давать маленьким детям, лучше использовать для лечения подростков. |
| 2 | Ампициллин | Ампициллин | Таблетки, порошок для приготовления суспензий, раствор для инъекций | Рекомендуется использовать для полоскания, а не для приема внутрь. |
| 3 | Эритромицин | Эритромицин | Таблетки, мазь, раствор для инъекций | Курс лечения назначается врачом индивидуально в зависимости от возраста и массы тела. |
Средства народной медицины
Если заболевание находится на начальной стадии развития, воспаление можно снять с помощью народных методов. Несколько эффективных рецептов народной медицины:
- Сок алоэ. Лист растения необходимо тщательно промыть и перемолоть на мясорубке. Кашицу прикладывают к воспаленной десне на 20-30 минут, затем убирают и прополаскивают рот.
- Черничный сок. 2 столовые ложки свежих ягод раздавить и залить стаканом горячей воды. Отвар поставить на ночь в темное сухое место, чтобы он настоялся. На следующий день полоскать рот 3-4 раза.
- Отвар шалфея. 2 столовые ложки сухого растения залить стаканом кипятка и настоять в течение 60 минут. За это время отвар успеет настояться, а жидкость остынет до комнатной температуры. Полоскать ротовую полость дважды или трижды в сутки.
Какие могут быть осложнения
Лечение гингивита откладывать нельзя. Без своевременной терапии заболевание способно привести к тяжелым последствиям. Легкая форма катарального гингивита, с которой можно было бы справиться с помощью стоматологических гелей или полосканий, без правильно подобранного лечения переходит в тяжелую язвенно-некротическую форму. Во рту появляются гнойные очаги, участки десны отмирают.
Другое осложнение, к которому может привести гингивит, — это пародонтит. При воспалении пародонта зубы расшатываются, усиливается кровоточивость и болевые ощущения во время еды и чистки зубов. В результате малыш может остаться без зубов.
Меры профилактики
Можно ли избежать возникновения гингивита? Стоматологи рекомендуют придерживаться следующих норм по профилактике:
- Правильный уход за полостью рта. Чистить зубы нужно с младенческого возраста. Даже если у грудничка еще не прорезались зубки, родителям следует очищать ему десны и слизистую. Гигиена ротовой полости — это не только чистка зубов, но и ополаскивание рта, очищение слизистой, использование зубной нити.
- Своевременное посещение стоматолога — дважды в год для профилактических осмотров и при первых признаках заболеваний полости рта. С малых лет детей нужно приучать к профессиональной чистке, ведь зубной камень способствует появлению гингивита.
- Специальный уход во время прорезывания зубов. Период, когда режутся зубки, считается опасным для грудничков. Малышу нужно смазывать десны успокаивающими и противовоспалительными гелями.
Гингивит на ранних стадиях практически не причиняет ребенку неудобств. Однако без лечения болезнь способна привести к тяжелым осложнениям, которые в общем негативно отразятся на здоровье малыша.
Высокая температура при гингивите у детей. Что делать?

Независимо от возраста, защитная функция иммунной системы детей намного слабее, чем у взрослых. Из-за этого дети больше подвержены инфицированию различными заболеваниями. Довольно сильно распространена проблема воспаления десен – гингивит. Основной причиной является скопление налета в ротовой полости, который остается после переработки бактериями остатков пищи.
Существуют также и физиологические проявления гингивита. В период прорезывания молочных зубов у малышей зачастую встречается воспаление десен. Данный процесс сопровождается постоянными болями, покраснением и зудом. Большинство детей имеют склонность к пищевой аллергии, которая также вызывает воспаление.
Почему воспаляются десны у ребенка?
Так как дети не до конца понимают серьезность правил гигиены, вся ответственность ложится на родителей. Значительная роль в проявлении гингивита отводится патогенным бактериям, функционирующим в налете.
Этот агент провоцирует 70% –80% случаев проявление воспаления десен у детей. Разнообразие флоры и ее силы патогенности изменяется со временем: количество анаэробных бактерий зависти от давности и объема зубных отложений.
Развитие гингивита у деток может начаться от скопления налета в период 1-6 дней.
К факторам локального действия, которые влияют на проявление гингивита, относится нагрузка на пародонтальный комплекс. Это неверный прикус, уплотненность зубов, кариес.
Воспаление десен может быть вызвано недостатком витаминов и микроэлементов в организме. И поэтому детский рацион должен быть наполнен полезной пищей, которая положительно влияет на состояние здоровья. Так как ребенок тянет в рот все, что находится в его поле зрения, это значительно усугубляет развитие инфекции.
Причины повышения температуры
Повышение температуры тела указывает на наличии болезнетворных бактерий, вырабатывающих токсины – пирогенны, провоцирующие процесс воспаления в организме ребенка. При высокой температуре в организме детей активируются защитные реакции: усиливается циркуляция крови, приток кислорода, который очищает и расщепляет вредные метаболиты, освобождая тем самым организм от продуктов воспаления.
В такой ситуации ребенка необходимо показать врачу. Дожидаясь осмотра доктора ребенка необходимо уложить на кровать и давать много пить. Не рекомендуется принимать жаропонижающие препараты без осмотра врача.
Насколько долго держится температура при гингивите?
Когда у детей при воспалении десен проявляется высокая температура, родителей беспокоит один вопрос: как долго будет продолжаться данное состояние?
Высокие показатели термометра снижаются за два дня, а вот субфебрильная температура 37 °С-38 °С, может продолжаться, дней пять. Все зависит от тяжести гингивита у ребенка. Предсказать заранее течение болезни невозможно, это сугубо индивидуальный процесс. Так что невысокая температура может держаться, пока воспалительный процесс десен не пойдет на спад.
Токсический синдром, вызван патологическими бактериями, зачастую проявляется у детей со сниженной иммунной системой и вызывает повышенную температуру. Если жар приносит беспокойство ребенку, то температуру можно начинать сбивать с субфебрильной температуры (37 °С).
Если ребенок чувствует себя нормально с 38 °С, то не стоит отравлять организм химическими веществами. Температуру 39 °С и выше, необходимо понижать, так как это влияет на жизнедеятельность организма. Поддерживать норму необходимо строго по рекомендациям специалиста.
- Невысокий жар можно побороть холодными компрессами, и обтираниями.
- Высокую температуру следует понижать жаропонижающими препаратами на основе ибупрофена и парацетамола.
- Маленькому ребенку жаропонижающие препараты необходимо давать в виде ректальных свечей, сиропов.
Важно знать! Свечи считаются самым действенным и надежным препаратом. Вещество всасывается в организм, не повреждая желудок.
Лечение гингивита у детей
Начать лечить заболевание можно и дома, но положительный результат данных действий весьма сомнительный. Детский организм восприимчив к гингивиту, нежели взрослый. Чтобы избежать осложнений, нужно обратиться за помощью к специалисту.
Необходимо выявить и убрать причину воспаления и налета на зубах. Устранить симптомы гингивита помогут бактерицидные эмульсии и аппликации. Антибактериальные препараты назначаются детям только при инфекционном или бактериальном поражении полости рта. Если не изъять причину воспаления, то гингивит может перейти в более острую форму – пародонтит.
Важно! После антибактериальной терапии, необходимо провести восстановительный курс микрофлоры кишечника пробиотиками. Препараты данной группы нормализуют бактериальный фон и восполнят нормальную микрофлору.
Народные методы лечения
- Облепиховое масло обладает противовоспалительными, иммуностимулирующими, общеукрепляющими, антибактериальными свойствами. Масло содержит витамин «Е» и является антиоксидантом. Необходимо наносить масляный раствор на пораженную слизистую после приема пищи не меньше 3 раз в день.
- Шалфей лекарственный используют как антисептическое, противовоспалительное, дезинфицирующее, ранозаживляющее средство. При лечении гингивита используют отвар для полосканий. 1 ст. ложка сырья на 1 стакан воды, кипятить одну минуту.
- Жевательная паста. Для приготовления нужно смешать пчелиный воск, мед, сок лимона и масло мяты. Ингредиенты растопить на водяной бане, до образования консистенции жвачки. Необходимо жевать несколько раз на день. Данный рецепт поможет восстановить кровообращение в деснах и очистить межзубное пространство от остатков пищи.
Народные методы лечения при гингивите оказывают хороший эффект работая вместе с медикаментозными препаратами.
Не стоит начинать лечить ребенка народными средствами, не проконсультировавшись с врачом.
Гингивит у детей: каковы причины и симптомы

Гингивит, или воспаление слизистой вокруг зубов у детей — явление достаточно распространенное. Чаще всего можно обнаружить гингивит у ребенка в 1–3 года, а также в подростковом возрасте — в обоих случаях «спусковым крючком» болезни могут стать активный рост организма, гормональные изменения и особенности формирования иммунной системы
Гингивит у детей развивается довольно быстро. Если во рту у ребенка развивается воспаление, то количество бактерий увеличивается в разы по сравнению с нормой. Уже через 72 часа начинается процесс образования камней из мягкого налета, появляются первые признаки эрозии десен. Если ситуацию запустить, это может привести к потере зубов у детей — как молочных, так и постоянных.
Симптомы гингивита у детей
Как же проявляет себя гингивит у детей? Симптомы таковы:
- неприятный запах изо рта
- дискомфорт, болезненные ощущения во рту
- кровоточивость десен
При этом температура при гингивите у детей поднимается далеко не всегда. Поэтому пропустить начало заболевания довольно просто. Ребенок может терпеть дискомфорт, не придавая ему значения, или терпеть, опасаясь визита к стоматологу (особенно если у него уже был неудачный опыт лечения зубов).
Вот почему необходимо время от времени ненавязчиво проверять состояние полости рта у сына или дочки. У малышей это можно сделать во время игры, а вот к подростку придется найти психологический подход.
Возможно, проще (и правильней!) будет «познакомить» вашего отпрыска с профессиональным врачом-стоматологом, которому он сможет доверять, и периодически водить его на профилактические осмотры.
Виды гингивита у детей
Только грамотный врач может определить, от какой формы гингивита страдает ребенок, и, соответственно, назначить эффективное лечение, быстро снимающее неприятные ощущения. Болезнь может проявлять себя в по-разному:
- Катаральный гингивит. Чаще всего болеют дети в возрасте 3–7 лет. Сопровождается отеком тканей вокруг зуба, неприятными вкусовыми ощущениями во рту, болью при давлении на десны, появлением розовой слюны, общим недомоганием и плаксивостью.
Этот вид болезни легко переходит в хроническую форму, когда гингивит возникает примерно дважды в год, причиняет ребенку временные неудобства и вроде бы проходит сам.
На самом деле с каждым разом воспалительный процесс становится все более сильным, формируются твердые зубные отложения, что в конечном итоге может «перерасти» в пародонтит — заболевание, при котором разрушаются связи зуба с окружающими его тканями, что приводит к его выпадению.
- Атрофический гинивит. Такая форма гингивита характеризуется «опусканием» десны: шейка (а иногда даже корень) зуба оголяются, ребенок чувствует дискомфорт от приема холодной и горячей пищи. При этом десны становятся бледными и слабо кровоточат.
Это не только неприятно и некрасиво, но и достаточно опасно, а также сложно в лечении: восстанавливать форму десны, скорее всего, придется с помощью пластической мини-операции.
Конечно, родителям хочется верить, что им не придется лечить гингивит у детей, зная причины его возникновения. Их действительно важно знать — это могут быть:
- Системные заболевания организма (сбой эндокринной, сердечно-сосудистой, пищеварительной, гормональной системы, влияние инфекции)
- Патологии зубного ряда, дефекты прикуса и ошибки при их коррекции
- Неправильная установка пломб или их деформация
- Запущенный кариес, небрежное отношение родителей к здоровью зубов ребенка
- Ослабленный иммунитет, недостаток витамина С, плохой аппетит
Но основной и главной причиной развития гингивита как у детей, так и у взрослых все-таки остается плохая гигиена полости рта. Вспомните об этом, когда в очередной раз разрешите своему малышу «так уж и быть, разок не чистить зубы»!
Причин развития гингивита у ребенка существует множество, и не все они связаны непосредственно с состоянием полости рта.
Тем не менее, начать лечение следует именно с визита к стоматологу: он определит форму болезни и назначит правильное лечение, которое позволит эффективно снять симптомы — то есть быстро улучшить самочувствие ребенка.
Ведь иногда воспаление десен причиняет малышу настоящие мучения, а он даже не может объяснить, что его беспокоит!
Профессиональный стоматолог сразу же поймет, в чем дело, увидев клиническую картину заболевания, и обязательно найдет подход к самому капризному юному пациенту. После этого родителям (которым тоже сразу станет легче после того, как их ребенок перестанет испытывать боль) стоит полностью обследовать ребенка, начав с клинического анализа крови.
Возможно, воспаление связано с прорезыванием зубов, формированием корней и становлением прикуса — это наилучший вариант, его можно условно отнести к норме. В ином случае понадобится консультация специалистов других медицинских специальностей — нужно будет искать и лечить причину, вызвавшую гингивит.
ОБРАТНЫЙ ЗВОНОК
https://youtube.com/watch?v=JCBsBZ3p7sY
ЗАПИСАТЬ НА ПРИЕМ






