Очаговое поражение головного мозга что это такое?

Разрушение структур ЦНС бывает очаговым и диссеминированным, то есть имеющим множественные зоны повреждения. Определить, как идет процесс, позволяет МРТ (магнитно-резонансная томография). С помощью нее врач-диагност визуально (по снимкам) оценивает состояние нервной ткани.
Очаговое поражение головного мозга – что это такое и как оно проявляет себя? В первую очередь – это симптом патологии, из-за которой на одном из участков органа происходит нарушение работоспособности соответствующих структур, о чем сигнализирует появление неврологических отклонений.
Типы
Снимки МРТ позволяют выявить все патологии, которые затрагивают ткани головного мозга. Зоны поражения определяю по изменению окраски, эхогенности отдельных участков коры или других структур органа. С помощью полученных данных специалисты измеряют площадь разрушенного участка, а также прогнозируют процесс развития патологии.
Очаговое поражение головного мозга может быть следствием:
- Демиелинизации;
- Наличия новообразований;
- Отека тканей;
- Нарушения кровообращения;
- Глиоза (замещение функциональных клеток глиальной тканью).
Проявления патологии зависят от места расположения очага поражения. Поэтому МРТ-диагностика считается самым информативным методом выявления заболеваний ЦНС.
По характеру расположения очаги поражения головного мозга бывают:
- Юкстакортикальные;
- Перивентрикулярные;
- Лакунарные.
Юкстакортикальные очаги поражения нервной ткани характерны для рассеянного склероза. В этом случае они располагаются максимально близко к коре головного мозга.
При описании МРТ-картины специалисты рекомендуют употреблять именно это определение, так как термин «подкорковые» не может передать полностью характер распространения патологии – он описывает любые изменения в белом веществе вплоть до желудочков.
Перивентрикулярное расположение очагов разрушения диагностируется при гипоксически-ишемическом поражении вещества мозга. В этом случае они располагаются вблизи желудочков.
Лакунарные очаги поражения являются следствием повреждения глубинных артерий. Они располагаются в толще белого вещества вдоль кровеносных сосудов. Обычно их диаметр варьируется в пределах 1–20 мм.
Демиелинезация
Характеризуется наличием областей разрушения миелиновой оболочки нервных волокон. Из-за этого на участке головного мозга нарушается передача нервных импульсов между нейронами, что негативно сказывается на работоспособности ЦНС.
Разрушение тканей по этому типу наблюдаются при рассеянном склерозе, мультифокальной лейкоэнцефалопатии, болезни Марбурга, остром диссимулирующем энцефаломиелите, болезни Девика.
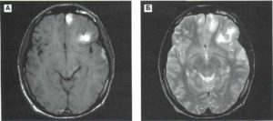
При этих заболеваниях Мрт-картина идентична: на снимках хорошо визуализируются единичные или множественные белые пятна, которые располагаются в одном или нескольких отделах мозга. Размер областей зависит от степени заболевания, что подтверждается наличием и силой неврологических отклонений.
Пространства Вирхова-Робина
На данный момент единого представления о периваскулярных пространствах нет. Некоторые ученые считают, что они окружают только артерии, а другие – все крупные кровеносные сосуды, пронизывающие головной мозг. Одни описывают их, как пространство, которое располагается между стенкой сосуда и нервной тканью, другие – как естественное продолжение подпаутинной и мягкой мозговой оболочки.
Первикулярные пространства выполняют сразу несколько функций:
- Участвуют в циркуляции ликвора;
- В них происходит обмен веществ между ликвором и тканями мозга;
- Являются частью гематоэнцефалического барьера;
- Содержат иммунокомпетентные клетки, то есть с помощью них происходит иммунорегуляция в тканях органа.
Периваскулярные пространства занимают небольшой объем, поэтому у здорового человека на МРТ-снимке их не видно.
При опасных состояниях, например, перед инсультом, у заболевшего повышается ВЧД за счет увеличения объема спинномозговой жидкости. Это ведет к расширению полости между сосудами мозга и нервной тканью. Вместе с этим процессом повышается эхогенность участка, что на Мрт-снимке проявляется в виде возникновения белого пятна.
Очаги болезни Альцгеймера
Заболевание характеризуется потерей нейронов и снижением числа синаптических связей между ними. Это ведет к уменьшению толщины серого вещества и выраженной атрофии пораженных участков.
На МРТ-снимках появляются темные пятна, которые свидетельствуют о некрозе клеток головного мозга. Точный диагноз ставится по итогу нескольких обследований, то есть в динамике.
Отек мозгового вещества
Характеризуется накоплением жидкости в клетках головного и межклеточном пространстве. За счет этого увеличивается объема органа и повышается внутричерепное давление.
В зоне поражения на МРТ-снимке присутствует светлое пятно, которое по мере усугубления процесса увеличивается и постепенно охватывает весь орган.
Очаги глиоза
Появляются в результате замещения функциональных структур головного мозга на соединительную ткань. Являются следствием дегенеративных процессов в ЦНС – недостатка кислорода, энцефалопатии, рассеянного склероза, энцефалита.
Причины
О том, какие очаги в головном мозге на МРТ при каких заболеваниях выявлены может рассказать только врач. И поэтому, необходимо проведение диагностики и получения данных после исследования.
Очаги поражения нервной ткани в головном мозге присутствуют на МРТ-снимках при следующих заболеваниях:
- Атеросклероз;
- Ангиопатия;
- Гипертония;
- Рассеянный склероз;
- Васкулит;
- Болезнь Бенье;
- Нейросифилис, клещевой боррелиоз;
- Прогрессирующая мультифокальная лейконцефалопатия;
- Рассеянный энцефаломиелит.
Их наличие может быть следствием отравления угарным газом, ЧМТ, ее осложнений, контузии.
У маленьких детей хромосомный сбой, гипоксия, неправильный образ жизни беременной также могут спровоцировать появление множественных очагов поражения головного мозга.
Симптомы
Патологии ЦНС, которые характеризуются наличием очагов поражения, проявляют комплекс схожих симптомов:
- Цефалгия, или головная боль. Отмечается в большинстве случаев, носит постоянный характер и усиливается по мере усугубления заболевания.
- Быстрая утомляемость, заторможенность, ухудшение концентрации внимания, снижение памяти, интеллекта.
- Отсутствие эмоций, апатия. Заболевшего перестают радовать прежние источники удовольствия, постепенно теряется интерес к жизни.
- Нарушаются процессы «сон-бодрствование».
- При наличии очагов возбуждения отмечаются эпилептические припадки.
В зависимости от места расположения патологического участка у пациента могут наблюдаться:
- Отсутствие самоконтроля и самокритики (при разрушении лобной части больших полушарий);
- Нарушение социальных норм (очаги располагаются в толще органа);
- Появляется раздражительность, злость, поведение выходит за рамки нормального: больной ведет себя вызывающе, странно, импульсивно.
По мере усугубления заболевания проявления поражения структур ЦНС усиливаются.
Диагностика
Обнаружить очаги поражения вещества головного мозга позволяет МРТ-диагностика. В процессе ее проведения врач-диагност получает серию снимков послойного изображения структур органа, по которым впоследствии ставится диагноз.
Также с ее помощью можно выявить причину произошедших изменений:
- Если единичный очаг поражения располагается в правой лобной доле, то это указывает на хроническое повышение артериального давления или на перенесенный ранее гипертонический криз.
- Наличие мелких диффузных изменений в коре свидетельствует о развитии заболеваний сосудистого генеза.
- Если очаги демиелинизации находятся в теменной зоне полушарий, то это означает, что у заболевшего нарушено кровообращение в позвоночных артериях.
- При болезни Альцгеймера или болезни Пика на снимках отмечается наличие множества черных точек. Они свидетельствуют о некрозе нервной ткани.
- Ярко-белые точки сигнализируют об остром нарушении кровоснабжения органа.
- Одиночные очаги глиоза свидетельствуют об эпилепсии, гипоксии, хронической гипертонии, родовой травме.
- Единичные субкортикальные гиподенсные очаги регистрируются после инфаркта и ишемии головного мозга.
Подтверждается диагноз во время приема невролога. Он, проводя специальные тесты, оценивает работу ЦНС: реакцию, рефлексы, координацию движений, синхронность мышц-сгибателей и разгибателей. Психиатр изучает психическое состояние заболевшего: восприятие окружающего мира, когнитивные способности.
Лечение
Терапия при очаговом поражении головного мозга направлена на устранение причины возникновения изменений и восстановление функций органа.
Например, если патологию вызвало заболевание, характеризующееся повышением артериального давления, то пациенту предписывается прием препаратов, снижающих АД. Это могут быть мочегонные, блокаторы кальциевых каналов, или бета-адреноблокаторы.
Восстановление мозговой активности и устранение патологических явлений осуществляется с помощью препаратов, повышающих метаболизм в нервных тканях: ноотропов. Также применяются средства улучшающие кровоснабжение, реологические свойства крови, понижающие потребность к кислороду.
Симптоматическое лечение направлено на снижение проявлений патологии: прием противосудорожных, противоэпилептических препаратов, антидепрессанты, при чувстве тревоги – транквилизаторов.
Очаги глиоза в головном мозге в белом веществе (единичные) на МРТ: что это такое?

Нервная система – основа полноценной жизни и осуществления рефлекторной деятельности человека. При ее поражении нарушаются все важнейшие функции: питание, дыхание, сердцебиение, ходьба, навыки поддерживания равновесия.
Если же в область повреждения включается головной мозг, человек полностью может утратить способность к формированию речи, чтению, письму и осмысленной деятельности.
Глиоз мозгового вещества – это не болезнь, но аномальный процесс, который вызывает существенные нарушения жизнедеятельности человека.
Глиоз белого вещества мозга – что это?
Глиоз мозгового вещества – это сложный патологический и морфофизический процесс, формирующийся в тканях мозга под действием некоторых травмирующих этиологических факторов. В основе его лежит массивное разрастание на месте травмы (где погибло определенное количество нейронов) рубца, который называется нейроглией.
Нейроглия – дополнительный тканевый компонент головного мозга человека, составляющий в норме до 30% от веса мозговой ткани. Нейроглия защищает от повреждений вещество мозга, отграничивает его от патогенных микроорганизмов, секретирует полезные вещества и активно участвует в обменных процессах.
Когда происходит травматическое или инфекционное повреждение клеток мозга в каком-либо его участке, увеличение количества нейроглии является адаптационным механизмом к произошедшим изменениям.
На месте мертвых нейронов должна сформироваться рубцовая ткань, но нейроглия отграничивает ее, становясь в своем роде биологическим проводником.
К сожалению, она не может функционировать подобно нормальной нервной ткани, за счет чего и возникают основные проблемы, которые видно на МРТ.
Проявление клинической картины при недуге:
- Резкие перепады артериального давления. Утром цифры АД находятся ниже нормы, но в течение дня формируется устойчивая артериальная гипертензия второй или третьей степени.
- Мучительные головные боли и головокружения. Иногда встречается картина мигренозной боли с тошнотой, рвотой и светобоязнью.
- Хроническая усталость. Необъяснимые приступы переутомления и потери сил, которые возникают даже после продолжительного отдыха в спокойной среде.
- Нарушения кратковременной и долговременной памяти. Пациент не может вспомнить, что он делал прошлым вечером и как провел предыдущее лето.
- Изменения координации. Частые падения, удары и большое количество синяков свидетельствует о том, что у больного имеются выраженные расстройства мозжечка.
- Судорожные и эпилептические припадки. При наличии достаточно большого очага возможно появление неврологических симптомов.
- Нарушения речи, письма и словообразования. Эта патология связана с формированием в мозге очага в зоне устной и письменной речи.
- Галлюцинации. Слуховые, звуковые и даже обонятельные галлюцинации могут послужить первым признаком наступления болезни.
- Нарушения поведения. Апатия, депрессивность или избыточная агрессия выступают в качестве неопровержимых свидетелей при заболеваниях мозга различного генеза.
Виды заболевания
Некротические клетки начинают постепенно погибать под давлением растущей нейроглии. После этого формируются островки глиоза различной формы, размера и местоположения. Выделяют несколько типов патологического процесса:
- Очаг сосудистого изменения, иначе именуемый периваскулярным участком. Нейроглия формирует островки, видимые на пленках КТ, вокруг атеросклеротических измененных сосудов мозга, вызывая еще большее их сдавление.
- Внутрижелудочковая форма. Очаги изменения возникают на внутренней поверхности желудочков мозга, за счет чего значительно уменьшается их объем и количество спинномозговой жидкости (такое изменение четко видно на МРТ).
- Краевая форма. Единичные простые очаги нейроглии возникают в наружной части мозговой ткани: повреждение считается одним из самых легких, потому что не затрагивает центральный участок.
- Распространенный глиоз представляет собой массивные очаговые поражения тканей. На МРТ такая картина выглядит подобно пятнистому полю.
- Волокнистые изменения. Глиозные очаги обычно заполнены волокнами самых разных размеров и длины.
- Анизоморфные очаги. Характеризуются хаотичным расположением нейроглии, более гиподенсивные.
- Внутриоболочечная форма. Такое поражение является наиболее сложно диагностируемым вариантом по МРТ. Измененные участки расположены под внутренними мозговыми оболочками.
Единичные образования
Единичные очаги распространены в популяции гораздо больше. Их можно встретить у младенцев как последствия недавней родовой травмы или у пожилых людей как результат возрастной дегенерации мозговой ткани. Такой процесс является вполне естественным и встречается на 60% снимков МРТ белого вещества у людей старше восьмидесяти лет.
Обычно такие поражения становятся случайной находкой во время скрининга, потому что не доставляют пациентам каких-либо выраженных неудобств.
Однако, находясь в области левой лобной доли, они могут вызвать некоторые галлюцинации. Это объясняется тем, что в той доле располагаются важнейшие центры глубоких чувств и ощущений.
Это поражение не имеет тенденции к разрастанию и не представляет большой угрозы при хронических заболеваниях.
Множественные очаги
Встречаемость множественного поражения гораздо ниже, чем единичного очага глиоза.
При многих заболеваниях центральной нервной системы (в особенности белого вещества), кровеносных сосудов и соединительных тканей может возникнуть данная патология.
Чаще всего источником поражений такого генеза становятся инсульты, инфаркты или атеросклерозы. Нередко возникает подобная картина при черепно-мозговой травме.
При легких травмах головы размеры повреждений не превышают нескольких миллиметров, что не может существенно отразиться на мыслительных функциях. На КТ можно увидеть даже самые мелкие участки с измененной структурой.
При каких заболеваниях появляются очаги в белом веществе?
Возникновение подобного состояния обычно считают мультифакторым. Окружающая среда, вредные привычки, отягощенный семейный, генетический и инфекционный анамнез также играют значительную роль в формировании патологии. Предрасполагающие факторы:
- наличие у родственников заболеваний нервной системы;
- работа на химическом или физическом производстве;
- занятие опасными и экстремальными видами спорта;
- злоупотребление алкоголем и никотином;
- прием наркотических веществ в течение длительного времени;
- нарушения питания: избыток жареной, жирной и соленой пищи;
- генетическая предрасположенность к возникновению обменных сбоев.
Причины глиоза тканей:
- трофические нарушения и болезни обмена веществ, связанные с отложением патогенных частиц в мозге;
- менингит и менингоэнцефалит;
- туберкулезное поражение мозга;
- эпилепсия и эпилептический статус;
- патологии сосудистого пучка;
- врожденные аномалии развития;
- инфекционно-токсическое поражение тканей;
- повреждение в процессе рождения (ишемия и гипоксия плода);
- паразитарная инвазия любого генеза;
- черепно-мозговая травма любой давности (ушиб, сотрясение, гематома);
- инсульт и инфаркт головного мозга;
- гипертоническая болезнь или симптоматическая артериальная гипертензия, которая существует более десяти лет.
Очаговые изменения сосудистого происхождения
Расстройство кровообращения в мозговых сосудах, вазогенные врожденные изменения сосудистой стенки, которые могут привести к развитию атеросклероза, диагностируют еще на первом этапе любого морфологического исследования.
Данная патология имеет свою клиническую симптоматику, описание которой изложено здесь:
- Нарушения ритма пульсовой волны, иначе именуемое аритмией. Пульс становится более интенсивным, нарушается частота сердечных сокращений, формируется более упругая и твердая пульсовая волна, что характерно для начальной стадии болезни.
- Регулярный подъем артериального давления (как систолического, так и диастолического) на 40-50 миллиметров ртутного столба выше установленной в медицинских рекомендациях нормы. Это может вызвать носовые кровотечения.
- Обмороки и синкопальные состояния. Чаще всего их наблюдают в период полного разгара болезни.
- Слабость нижних и верхних конечностей. Руки теряют возможность плотно удерживать предметы, ноги начинают подгибаться в неподходящих ситуациях, что может нанести серьезный ущерб здоровью и жизни.
- Невозможность усвоения привычного количества информации. В результате сосудистой патологии страдает память, концентрация внимания и способность запоминать большие объемы текста.
Очаги в головном мозге на МРТ при каких заболеваниях, глиоз, пятна

Что обеспечивает жизнь человека — это правильное функционирование головного мозга. Именно от его работы зависит деятельность каждого органа. Любая травма и болезни могут привести к тяжелой форме заболевания, к параличу и даже летальному исходу.
Предупредить развитие болезней, правильно назначить лечение при травмах различных степеней тяжести, обеспечить жизнедеятельность всего организма человека, а не только мозга — это задача посильна только квалифицированным специалистам.
Значителен по количеству набор диагностических исследований и современных приборов, с помощью которых можно проникнуть в сам мозг и увидеть, что там происходит.
Еще совсем недавно единственным способом увидеть патологические изменения, очаги в головном мозге можно было только с помощью рентгеновского обследования.
Порой и этот метод не давал точных результатов, и хирурги уже во время операции встречались с последствиями травмы или болезни.
Чтобы предотвратить последствия такой «неожиданности», врачам приходилось прямо на месте решать, что делать дальше, и никто при этом не давал гарантии благоприятного исхода.
МРТ (магнитно-резонансная томография) стала своего рода панацей в вопросе обследования головы человека без вмешательства хирургов, без нарушения целостности костей черепа, без риска подвергнуть человека рентгеновскому облучению.
Сравнительно молодая методика за последние десять лет стала весьма востребованной.
Это один из самых точных и безопасных способов обследования организма человека, определяющий патологические очаги в головном мозге на МРТ, при каких заболеваниях они появляются.
Расшифровка — это ряд снимков, число их не менее 6. Получается поэтапный ряд снимков во всю толщину мозга начиная с его поверхности. Так можно увидеть последствия травмы или болезни, объем и месторасположения.
Для специалиста — это ценная информация, логически выстроенная цепочка. Также в МРТ изображение может быть и объемным.
Такой снимок дает возможность в проекции посмотреть, где и как расположены повреждение или включения.
Правильно прочитать результат магнитно-резонансной томографии и расшифровать его может только узкий специалист — врач лучевой диагностики при наличии длительного практического опыта. Без специального медицинского образования и долговременной практики сделать правильные выводы, глядя на результаты магнитно-резонансной томографии, практически невозможно.
Особенности проведения МРТ
Магнитно-резонансная томография любого органа в виде результата обследования выдается на руки пациенту. Расшифровку данных представляет специалист.
Существует множество медицинских книг, в которых могут содержаться изображения с наиболее типичными возникающими патологиями. Но необходимо понять, что не бывает двух идентичных заболеваний головного мозга, как двух абсолютно одинаковых людей.
Поэтому каждый результат магнитно-резонансной томографии — это единственный случай.
Постановка диагноза любого заболевания сама по себе требует знаний и опыта, что же говорить о постановке диагноза заболеваний головного мозга.
Магнитно-резонансная томография в этом случае играет важную роль, позволяет собрать самые сложные «пазлы» и понять картину всего течения болезни. Также необходимо сказать, что МРТ — это не приговор.
Для постановки точного анализа нужно магнитно-резонансная томография и ряд других анализов, развитие болезни, его симптоматика.
Существует множество болезней, которые можно выявить с помощью этой диагностики:
- повреждения и заболевания коры головного мозга;
- нарушения кровообращения, приводящие к глиозу сосудистого генеза и инсульту, закупоренности сосудов;
- новообразования, воспалительные процессы;
- патологические очаги в головном мозге на МРТ;
- степень повреждения мозга и последствия после полученных травм;
- нарушения движения жидкости головного мозга и другое.
Норма магнитно-резонансной томографии
Что значит «норма на МРТ головного мозга» — это результаты МРТ здорового человека. Оцениваются данные по нескольким параметрам:
- структуры развиты правильно и полноценно, нет смещений;
- магнитно резонансный сигнал в норме;
- извилины и борозды в норме, не имеют включений, воспалений и изменений в структуре;
- такие части мозга, как турецкое седло, гипофиз четко видны и не имеют патологий;
- периваскулярное, субарахноидальное пространство развито нормально и не имеет патологий;
- желудочковая система имеет нормальные стандартные размеры (ни увеличена и ни уменьшена), патологий нет;
- слуховые проходы, носовые пазухи, а также глазницы четко визуализируются, имеют нормальные размеры и правильные формы;
- общая оценка — это когда нет очаговых изменений, мозговые ткани развиты в норме, сосуды головного мозга правильной формы, не имеют диффузных изменений, равномерно заполнены, нет кровотечений, тромбов и гнойных образований различного размера.
Магнитно-резонансная томография никак не влияет на сам мозг, не изменяет его структуру. В отличие от рентгена МРТ не ограничивается в частоте проведения, можно делать так часто, как потребуется.
Противопоказаний явных нет, к тому же, МРТ назначается только по направлению врача, выдаваемое после обследования.
К противопоказаниям можно отнести, к примеру, невозможность спокойно лежать около получаса (30 минут).
Это может быть по причине психического состояния человека или других заболеваний, не позволяющих лежать неподвижно продолжительное время.
Нельзя проводить МРТ, если у пациента есть какие-либо металлические имплантаты, инсулиновый насос или кардиостимулятор. На сам аппарат МРТ это не повлияет, а функции металлических элементов в теле человека могут быть нарушены.
Патология на МРТ, очаги глиоза в головном мозге
Патология может иметь различный характер: это могут быть отдельные включения, изменения в развитии целого отдела головного мозга, различные осложненные состояния, образовавшиеся после полученной травмы.
Глиоз — это отдельная патология мозга, которую можно определить только с помощью МРТ (количество образований, где расположены очаги и каким образом они локализованы). Глиоз — одно из заболеваний, не имеющее четко выраженных симптомов, поэтому МРТ может дать ответ, обследовав мозг и объяснив появившиеся недомогания, упростив поиск причин осложнений, появляющихся на фоне глиоза.
Глиоз представляет собой шрамы, черные точки от патологически разрастающихся глиозных клеток, которые со временем могут расширяться и уплотняться. Клетки глии замещают поврежденные нейроны.
И это неестественное изменение: когда так происходит, значит, это образования патологические. Обычно глиоз развивается на фоне перенесенных заболеваний.
Чаще всего он определяется случайно, при обследованиях общего плана или после перенесенных серьезных болезней или травм.
На снимке очаги глиоза выглядят как белые пятна, или черные пятнышки и точки. Количество таких включений можно подсчитать с помощью числа клеток ЦНС (центральной нервной системы) и клеток глии на одну единицу объема. Число клеток уже образовавшихся подобных разрастаний прямо пропорционально объему заживленных повреждений в области мягких тканей головы.
Образование глиоза, как уже говорилось выше, может происходить вследствие ряда заболеваний, к ним можно отнести энцефалит, эпилепсию, гипертонию (продолжительную), энцефалопатию, рассеянный склероз, туберкулезный склероз — заболевания, связанные с ЦНС.
Важно! Глиоз может образоваться и после родов у ребенка вследствие кислородного голодания, но, как правило, это не влияет на развитие самого малыша в первые дни жизни.
Если глиоз есть, то проявится он на 2–6-м месяце жизни ребенка в виде неправильного психического и физического развития, также может пропасть ряд жизненно важных рефлексов (глотательный, к примеру).
Затем ситуация только усугубляется, и такие детки не доживают до 2–4-х лет.
Симптоматика глиоза неточная, но можно выявить ряд наиболее характерных проявлений, а именно:
- скачки давления;
- постоянные головные боли, носящие хронический характер;
- развитие и проявление болезней ЦНС.
Последствия очагов такого типа следующие:
- нарушение кровообращения в головном мозге, а также нарушение кровообращения во внутренних органах и тканях;
- появление и прогрессирование рассеянного склероза;
- гипертонические кризы;
- болезнь Альцгеймера.
Важно также заметить, что абсолютной нормы развития человеческого мозга нет ни у одного человека. Фактически врачи, формируя диагноз, отталкиваются от ряда детальных результатов МРТ:
- наличие образований, их количество, форма, контуры и расположение;
- четкость образования и пятен;
- образующиеся тени и просветления;
- возможные дефекты и интенсивность самого снимка магнитно-резонансной томографии;
- учет особенностей отдельно взятой болезни головы, и каким образом она отображается на снимке (рентгенологические синдромы).
МРТ — один из методов обследования, но благодаря магнитно-резонансной томографии можно уже на ранних стадиях распознать развитие болезни мозга, поставить верный диагноз и подобрать наиболее правильную тактику лечения.
Глиоз белого вещества головного мозга: единичные и множественные очаги, признаки и прогноз жизни

Заболевания головного мозга наиболее опасны, так как способны навредить всем органам и системам организма, отключить многие функции нервной системы и сделать из человека инвалида. Глиоз белого вещества головного мозга – болезнь очень серьезная и требующая немедленного лечения.
Глиоз белого вещества головного мозга – что это?
В головном мозге человека по каким-либо причинам может начаться гибель нервных клеток. Спровоцировать это способны некоторые болезни и состояния.
Начинается заболевание с единичного участка такого поражения, постепенно эта площадь разрастается, на месте погибших нейронов образуются глии – рубцевидные ткани, которые защищают орган от различных инфекций и травм. Большие скопления глий образуют глиоз.
Задача глиозных клеток состоит в защите головного мозга. Образовываясь на месте поражения тканей органа, глии защищают разрушенный участок, обволакивая его. Если гибель нейронов происходит в большом количестве, глии покрывают объемные участки головного мозга, то нервная система перестает нормально функционировать.
Степень поражения головного мозга определяется количеством очагов поражения, в зависимости от этого, врачи диагностируют вид заболевания.
Глиоз бывает нескольких видов, обусловленных местом локализации и степенью разрастания глиозных клеток.
Виды
- Анизоморфный глиоз диагностируется в том случае, если волокна клеток расположены хаотично.
- Волокнистый вид данного заболевания определяется по более выраженному формированию глиальных клеток, чем клеточное составляющее.
- Диффузный тип болезни означает, что зона поражения головного мозга очень большая.
- Изоморфный вид этого заболевания встречается у пациентов в том случае, когда глиальные волокна размещены относительно правильно.
- Маргинальный глиоз обусловлен разрастанием глиальных клеток только в подоболочечных областях головного мозга.
- Периваскулярный тип такой болезни возникает при атеросклерозе сосудов головного мозга. Глиальные волокна образовываются, окружая пораженные сосуды.
- Субэпендимальный вид означает, что зона роста глий располагается под эпиндимой.
Заболеваний, вызывающих глиоз белого вещества головного мозга, огромное количество. Даже самые банальные недуги, встречающиеся довольно часто, могут выступить провокатором этой болезни.
Здесь вы можете подробно прочитать о глиозных изменениях головного мозга.
Единичные
Единичные очаги глиоза могут возникнуть у многих. Обычно это означает, что пациент страдает гипертонией. При постоянно повышенном давлении, спустя некоторое время, как правило, возникает гипертензивная энцефалопатия, что приводит к единичным очагам глиоза.
Важно вовремя обратиться в медицинское учреждение, чтобы остановить процесс гибели нейронов, иначе площадь поражения и количество очагов могут сильно увеличиться. Проблема состоит в том, что повернуть этот процесс вспять уже невозможно, нервные клетки погибают уже безвозвратно, и, главное, не допустить их дальнейшего разрушения.
Глиоз зачастую вызывает болезни нервной системы, которые полностью излечить нельзя, но современная медицина способна остановить прогрессирование таких заболеваний, а значит и развитие самого глиоза.
Множественные
Множественные очаги глиоза головного мозга обычно встречаются при диффузном типе этой болезни. Заболевание такой формы характеризуется большими очагами глиозных разрастаний, что делает функционирование нервной системы практически невозможным.
Если при единичных очагах поражений, симптоматика данной болезни выражена слабо или может вовсе отсутствовать, то при множественных очагах симптомы довольно серьезные и тяжелые.
Следует отметить, что глиоз головного мозга может появиться на фоне старения организма, когда нейроны в мозгу отмирают. Такая ситуация вполне естественна с помощью медикаментозных средств, возможно частично восстановить функции нервной системы пожилого человека.
Признаки глиоза
Довольно часто, пациент узнает о наличии единичного очага глиоза в своем головном мозге, случайно, на плановом осмотре. При этом человека ничего не беспокоит. Такая ситуация требует особого внимания.
Пациента необходимо тщательно обследовать и выявить причину, по которой образовался очаг, то есть болезнь, спровоцировавшую разрастание глиозных волокон. В случае с множественными очагами глий, дело обстоит иначе, без неприятных симптомов не обойтись.
Симптомы:
- Постоянные головные боли.
- Скачки артериального давления.
- Головокружения.
- Нарушение интеллектуальной деятельности.
- Потеря или нарушение координации.
- Изменение речевых функций.
- Парезы и параличи.
- Нарушение слуха и зрения.
- Изменения в психической сфере.
- Деменции.
Чем больше площадь поражения мозга, тем более выражены симптомы этого заболевания.
Опасен ли глиоз
Глиоз белого вещества головного мозга, очень опасная болезнь, требующая особого внимания. Даже если очаг поражения мозга глиозными клетками небольшой и единичный, нельзя оставлять его без внимания, так как каждый отдел этого органа человека, отвечает за определенные функции.
Любые нарушения в таком отделе, негативно сказываются на работе всей системы жизнедеятельности.
В случае множественных очагов поражения, работа нервной системы нарушается полностью, страдает функционирование всех отделов мозга, приводя человека к полной беспомощности.
К чему приводит болезнь:
- Сильные скачки артериального давления.
- Энцефалиты головного мозга.
- Рассеянный склероз.
- Нарушение кровообращения во всех органах.
- Полное повреждение ЦНС.
При первых симптомах данного заболевания , необходимо обратиться к врачу и исследовать головной мозг для выявления таких нарушений. Существуют методики, позволяющие снизить прогрессию глиоза.
Для новорожденных детей, такой диагноз, как глиоз – это практически приговор.
В результате генетических мутаций, у плода, в возрасте 5 месяцев, начинают происходить патологические процессы в головном мозге, что приводит к тяжелому глиозу.
Малыши, страдающие этим недугом, редко доживают до возраста 4 лет, хотя в первые месяцы их жизни все кажется благополучно, и болезнь не дает о себе знать.
Диагностика и МРТ
Диагностика глиоза головного мозга основывается на данных КТ и МРТ:
- Магнитно-резонансная томография, является приоритетным методом для выявления таких отклонений. Помощью этого метода, специалист увидит очаги глиоза в мозге, выяснит степень распространенности и определит точную причину возникновения болезни.
- Компьютерная томография тоже может быть использована в качестве способа диагностики глиоза белого вещества головного мозга, но данный метод не дает такой точной клинической картины, как МРТ, а кроме того КТ способно облучать рентгеновскими лучами, что сказывается на общем здоровье не лучшим образом.
Иногда, для развернутой картины болезни необходимо провести дополнительное обследование, в виде анализов и других манипуляций. Всегда, после диагностирования глиоза, возникает необходимость в лечении заболевания, спровоцировавшего гибель нейронов.
Результаты МРТ
Сегодня МРТ считается самым популярным методом исследований многих заболеваний:
- В случае глиоза, обычно в заключении МРТ может быть написано – «картина очага глиоза в левой (правой) лобной доли».
- Если очаги множественные, то данная методика выявит все места их локализации и масштабы гибели нейронов.
- Также магнитно-резонансный томограф определит причину возникновения таких очагов.
- Если виновником отмирания нервных клеток стало заболевание сосудистого характера, то в заключении МРТ будет написано – «картина единичного (множественных) очагов глиоза в белом веществе головного мозга – вероятно, сосудистого генеза». Подробнее о сосудистом генезе головного мозга и что это такое читайте в нашей аналогичной статье.
- Кроме того, специалист может выявить дополнительные отклонения в головном мозге, в виде гидроцефалии, гематом и других болезней.
Последствия и прогноз жизни
Глиоз головного мозга нельзя назвать незначительной патологией. Такая ситуация требует немедленной медицинской помощи.
Прогноз для таких больных будет полностью зависеть от степени распространенности глиозного процесса и заболеваний, вызвавших его.
Зачастую достаточно пройти курс терапии у невролога, и болезнь отступит. Иногда лечение может занять годы, и улучшений не наступит.
К сожалению, новорожденные дети, страдают от этого недуга гораздо сильнее взрослых. Гибель нервных клеток у младенцев быстро прогрессирует, приводя к смерти ребенка.
На плановых обследованиях беременных женщин, с помощью УЗИ диагностики можно выявить глиозные изменения в головном мозге плода.
В этом случае ставится вопрос о прерывании беременности.
Профилактика
Для того чтобы исключить появление глиоза или затормозить процесс отмирания нервных клеток, в первую очередь необходим:
- Спорт — хорошо укрепляетнервную систему человека, а значит, служит методом профилактики глиоза. Достаточно выполнять небольшой комплекс упражнений каждый день, и организм станет сильнее и выносливее.
- Хороший отдых и сон положительно влияют на нервную систему.
- Нужно наладить распорядок своего дня, чтобы нервы оставались крепкими, и заболевания этой сферы не возникали.
- Наладитьпитание, полностью исключив из своего рациона жиры животного происхождения.Ожирение провоцирует гибель нейронов и, как следствие, замену их на глиозные клетки. Меню такого больного должно состоять из полезных блюд.
Необходимые продукты:
- Злаковые.
- Фрукты.
- Овощи в любом виде.
- Нежирные сорта мяса.
Жарка продуктов недопустима, все блюда нужно готовить на пару или варить. Каждый человек должен сам заботиться о своем здоровье, чтобы не допустить болезни.
Такие методы профилактики будут полезны для любого человека и обезопасят от проявлений такого опасного недуга, как глиоз белого вещества головного мозга.
21.09.2016





