Липома мозолистого тела головного мозга

- 01 Август
- 0 просмотров
- 0 рейтинг
Липома (более известна как жировик) является доброкачественным образованием, состоящим преимущественно из жировой ткани. Наросты могут возникнуть на любом участке тела, в том числе и во внутренних органах. Зачастую опухоль не представляет опасности, так как не имеет тенденции к перерождению.
Тем не менее образование, расположенное в жизненно важных органах (например, липома головного мозга), может привести к серьезным проблемам. В таких случаях медлить с обращением к доктору не рекомендуется. Чем раньше произойдет диагностическое исследование, тем раньше начнется актуальное лечение.
Что такое липома головного мозга и ее симптомы
Липома – нарост, который образуется из жировых клеток. Это дает ей возможность разрастаться до огромных размеров. Такое явление крайне опасно, если дело касается мозга.
В данном органе жировые клетки находятся исключительно в межполушарной щели и мозолистом теле. Таким образом удается предугадать, расположение новообразования. Сама липома не является болезненной.
Но ее воздействие на соседние ткани дает о себе знать.
Новообразование может появиться в единичном экземпляре, или нескольких. Иногда, кроме главной — «материнской» липомы, обнаруживают дополнительные наросты. Как правило, основной жировик имеет более крупные размеры, а дополнительные – намного меньше. Форма липомы может быть круглой или овальной, а структура как мягкой, так и твердой.
На ранней стадии, когда нарост не достиг особо крупного размера, симптоматика не проявляется.
По этой причине, обращение за помощью на первоначальных этапах болезни практически не происходит. С увеличением масштаба опухоли в головном мозге, начинается сдавливание нервов, сосудов. Это приводит к появлению некоторых неприятных ощущений.
Человек может обратить свое внимание на:
- частое появление приступов головной боли;
- периодические головокружения;
- чувство тошноты;
- рвотные позывы;
- нарушение сознания по причине нарушенного кровоснабжения;
- проблемы со сном;
- резкое ухудшение зрения;
- общая слабость организма;
- проблемы с концентрацией внимания;
- снижение умственной способности.
Симптомы могут усиливаться со степенью увеличения опухоли. Чем дольше новообразование воздействует на ткани головного мозга, тем более серьезными могут быть последствия этого воздействия.
Особенности заболевания
В зависимости от того на какой области головного мозга расположилось доброкачественное образование, симптоматика может отличаться. Таким образом, появляются некоторые особенности расположения.
Липома мозга, находящаяся между полушариями, способна вызвать самые разнообразные явления. К примеру, больной может заметить появление непроизвольных движений конечностей. Это может быть как подергивание пальцев, так и сокращения, вызывающие резкие вздрагивания рук и ног. Также могут появиться визуальные и слуховые галлюцинации.
Липома межполушарной щели вызывает нарушения зрительного восприятия. Особенно остро изменяется поле зрения, что заставляет больного терять ориентацию пространства. Вместе с этим наблюдаются сильные беспрерывные головные боли, которые усиливаются при попытке сконцентрировать внимание на чем-либо.
Липома серпа головного мозга, или липома фалькса, может спровоцировать появление сильной давящей боли головы. Преимущественно, неприятные ощущения локализуются в районе лобной доли.
Кроме того, иногда наблюдается чувство кома в горле и подергивания левых конечностей тела.
Некоторые специалисты утверждают, что образований области фалькса не существует, а более точное определение локализации относится к межполушарной щели.
Образования мозолистого тела могут привести к самопроизвольным движениям конечностей. Так называемый Синдром чужой руки довольно часто встречается при образовании наростов в данной локализации. При этом, как правило, рука может совершать движения без желания больного.
Нарост перикаллезных отделов мозга может привести к развитию эпилептических приступов, что является чрезвычайно опасным явлением, но поддается лечению.
Виды лечения липомы головного мозга
Лечить мозговые липомы невозможно традиционными способами. Главным методом, который практикуют большинство специалистов – является хирургическое удаление. Но его применение не всегда актуально.
Чаще всего терапия заключается в динамическом наблюдении, так как лечить липому без хирургического вмешательства не представляется возможности. Если рост образования отсутствует – это хороший признак. Следовательно, вырезать его необходимости нет. Такое часто бывает, в случаях, когда опухоль врожденная.
Она обнаруживается, как правило, в раннем возрасте и вызывает беспокойство у родителей ребенка. Но, тем не менее, рост и развитие врождённых жировиков – редкое явление.
Нейрохирурги считают, что образования незначительного размера можно устранять без непосредственного иссечения. Процедура подразумевает введение специального препарата в тело нароста, который вызовет ее рассасывание. Особенность метода заключается в том, что его использование допустимо исключительно при малогабаритных образованиях.
Чтобы удалить липому, необходимо проводить трепанацию черепной коробки. Это само по себе опасно. А если говорить о вырезании жировой капсулы – это самая ответственная и тонкая работа. Неправильно сделанный срез на таком органе, как мозг может привести к необратимым последствиям. Поэтому хирургическое вмешательство стараются избегать.
Когда нужна операция и ее особенности
Несмотря на опасность, в некоторых случаях, операция является единственным способом сохранить работоспособность органа и жизнь человека.
Большой размер нароста важных частей органа – явное показание к проведению хирургии.
Оперативное вмешательство может проводиться несколькими способами:
- Иссечение нароста вместе с капсулой. Полное удаление липомы, путем вскрытия черепа. Процедура исключает рецидив образования.
- Эндоскопический метод. В черепе просверливают небольшое отверстие, через которое устраняют нарост. Процедура менее опасна, нежели предыдущий способ.
- Пункционно-аспирационная процедура. При помощи специального отсоса, через трубку, введенную в череп, «вытягивают» опухоль.
Липома межполушарной щели головного мозга, мозолистого тела, Фалькса: симптомы и лечение

Липома (более известна как жировик) является доброкачественным образованием, состоящим преимущественно из жировой ткани. Наросты могут возникнуть на любом участке тела, в том числе и во внутренних органах. Зачастую опухоль не представляет опасности, так как не имеет тенденции к перерождению.
Тем не менее образование, расположенное в жизненно важных органах (например, липома головного мозга), может привести к серьезным проблемам. В таких случаях медлить с обращением к доктору не рекомендуется. Чем раньше произойдет диагностическое исследование, тем раньше начнется актуальное лечение.
Локализация
На голове жировая опухоль может иметь разную локализацию:
- На затылке.
- За ушами.
- На лбу.
- На бровях.
Такое расположение может быть опасно частым травмированием жировика расческой, что приводит к инфицированию. Возникает липома чаще у женщин, потому что в большинстве случаев причиной является нарушенный гормональный фон. Есть и другие причины появления жировых новообразований, они могут диагностироваться также у мужчин и детей.
Прогноз, риски
В большинстве случаев прогноз на выздоровление положительный. После удаления доброкачественной опухоли пациенты полностью выздоравливают практически в 100% случаев. Значительный риск рецидива присутствует лишь при злокачественной менингиоме. Больные такой опухолью после операции выздоравливают только в 25% случаев.
Также важно учитывать, что даже небольшой остаток доброкачественной опухоли, который было невозможно удалить, может вновь разрастись. Причем длительное время все может быть хорошо, но через несколько месяцев менингиома начнет увеличиваться. При рецидиве назначается повторное проведение операции.
Есть и другие опасности. Удаленные менингиомы головного мозга вызывают последствия после хирургической операции, которые могут быть очень серьезными. Возможны следующие проблемы:
- Заражение инфекцией;
- Большие кровопотери;
- Потеря зрения, слуха;
- Отек головного мозга;
- Паралич;
- Повторный рост опухоли в ускоренном темпе.
Больному в послеоперационный период требуется серьезное наблюдение врача. Поэтому на несколько дней он остается в больнице.
Реабилитация
Организму после операции нужно время для полного восстановления. Поэтому пациент проходит специальную реабилитацию, которая может длиться до полугода. Точная продолжительность зависит от состояния человека. Комплексная терапия включает:
- Иглоукалывание – помогает восстановить чувствительность конечностей;
- Прием фармакологических средств – поддерживают состояние больного, снижают риск развития осложнений;
- Занятия ЛФК – восстанавливают двигательные функции, помогают усилить иммунитет.
Дополнительно могут назначаться особые методы терапии, учитывающие индивидуальные особенности больного.
Причины появления
Точные причины возникновения липомы на голове не установлены, известно лишь, что под воздействием определенных факторов происходит закупорка сального протока и скопление в нем жира. В большей степени от липом страдают те, кто уже имеет какие-либо проблемы кожи, например, угревую болезнь или себорейный дерматит.
К факторам риска относятся:
- нарушение метаболизма;
- воздействие на организм токсинов;
- несбалансированное питание, авитаминоз;
- нарушения работы желудочно-кишечного тракта;
- почечные и печеночные патологии;
- проблемы в центральной нервной системе;
- эндокринные нарушения;
- наследственность.
Эти фактора становятся причиной плохой усвояемости жиров. Липома также может возникнуть из-за недостаточной гигиены тела (в данном случае, головы).
Агенезия мозолистого тела
Данное явление часто сопровождает различные пороки мозга, в том числе и липомы. Развивается агенезия мозолистого тела у плода и преимущественно встречается у детей. Болезнь проявляется в виде задержки физического и психического развития ребёнка, судорожных припадков и паралича. Изолированная агенезия проходит бессимптомно и обнаруживается случайно во время профильного обследования.
Патология возникает на 12-й неделе развития плода. В медицинской практике встречается тотальная агенезия, когда отсутствует задняя часть мозолистого тела и частичная агенезия, при которой отсутствует передняя часть мозолистого тела.
Патология головного мозга негативно влияет на работу нервной системы и существенно замедляет психическое развитие у детей: зафиксированы случаи олигофрении, идиотизма, нарушения работы речевого аппарата.
Опасность образования
Часто жировики не несут опасности и их не нужно удалять. Если образование не имеет симптомов и не мешает больному, врач просто наблюдает за ним. Если же появление липомы на затылке, за ухом или в другой части головы сопровождается симптомами, то опухоль нужно удалять.
Опасным считается жировик, который локализуется около физиологических отверстий – ушей, глаз. При разрастании опухоль оказывает давление на эти органы и нарушает их работу, у больного может снизиться слух или зрение.
Опасность заключается также в периодическом травмировании новообразования. В таком случае опухоль может инфицироваться, воспалиться и нагноиться. Гнойное содержимое капсулы липомы может пойти в окружающие ткани и кровь, приведя к сепсису.
Самым опасным осложнением липомы является злокачественное перерождение клеток образования.
Рекомендуем к прочтению Умеренно дифференцированные аденокарциномы, их виды и лечение
Что такое липома мозга?
Это опухолевая структура, сформированная липоцитами («жировые клетки» по-латински). Они выходят из-под контроля и начинают часто размножаться (делиться). В результате их становится больше, чем нужно в конкретном месте. Зарождается опухоль.
Липома относится к доброкачественным новообразованиям головного мозга, растет очень медленно, не прорастает насквозь в находящиеся рядом структуры (однако постепенно сдавливает их), не дает метастазов и не переходит в рак.
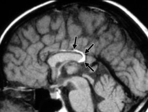
Перикаллезная липома головного мозга на МРТ
Виды
По количеству новообразований на голове, липомы бывают единичными и множественными. В последнем случае речь идет о липоматозе, требующем более тщательного обследования, так как есть риск и внутреннего поражения.
По строению жировик может быть:
- липофибромой – имеет в составе только жировую ткань;
- фибролипомой – более плотное новообразование, в строение которого также входит соединительная фиброзная ткань;
- ангиолипомой – опасная опухоль, включающая в себя кровеносные сосуды;
- миолипомой – состоит из жира и гладномышечных волокон;
- миелолипомой – редкая разновидность новообразования, включающая ткани кроветворной системы;
- аденолипомой – в структуру входят потовые железы, потому необходима дифференциальная диагностика с атеромой.
Самыми опасными являются периневральные липомы, которые окружают нервы. Образование всегда болезненное, и тяжело поддается удалению.
Последствия
С учетом доброкачественного характера опухоли можно сделать вывод, что она не представляет особой опасности. Но все же удаление новообразования является необходимым по следующим причинам:
- Существует вероятность трансформации в злокачественную.
- При повреждении повышается риск ее увеличения.
- Может прорастать в глубинные ткани, поражая их.
- Существенно портит эстетическую составляющую.
Особенность липомы на ноге заключается в том, что эта область наиболее подвержена травмам. Это повышает опасность такого заболевания, поэтому при обнаружении опухоли необходимо обратиться к врачу.
Симптомы
Липома, которая возникла на голове и протекает без осложнений, не имеет выраженной клинической картины. Опухоль мягкая на ощупь, овальной или округлой формы, хорошо передвигается во время пальпации, так как не спаяна с окружающими тканями. Симптомы появления липомы отсутствуют, пока она не вырастет до больших размеров.
Большой жировик на голове сдавливает волосяные фолликулы, что приводит к их атрофии. В связи с этим, над большими новообразованиями волосы расти перестают. Кожный покров при этом остается неизменным.
Рост липомы за ухом может привести к появлению болевых ощущений из-за компрессии нервных окончаний. При осложнениях, таких как инфицирование липомы, появляются боли, покраснение, нагноение опухоли и ее вскрытие.
При возникновении таких признаков, необходимо сразу показаться специалисту и начать лечение. Воспаленные липомы не удаляют сразу же, а только после купирования воспалительного процесса.
При прорастании вглубь головы, липома может сдавливать нервы, приводя к постоянным головным болям, нарушениям сна и невралгическим симптомам.
Удаление
Удаление липомы (по МКБ-10 код см. выше) можно производить как в стационарных условиях, так и в амбулаторных. Выделяется несколько видов оперативных вмешательств:
- Хирургическое удаление липомы с капсулой. Данный метод полностью исключает вероятность рецидива, так как происходит удаление всей опухоли. опасность метода состоит в проведении трепанации черепа, что является серьезным вмешательством.
- Удаление посредством эндоскопа. Осуществить процедуру можно с помощью небольшого отверстия в черепной коробке. В данном случае практически исключен риск повреждения мозга. Внутрь черепа вводится небольшая камера, которая позволяет удалить опухоль без трепанации. Для этого используются специальные инструменты.
- Пункционно-аспирационная методика удаления липомы. Это малоинвазивный способ, который позволяет подвести трубку к опухоли через небольшое отверстие в черепе. Затем производится удаление новообразования посредством электронасоса. Подобный метод не исключает риск рецидива патологии, так как капсула остается нетронутой. Швы снимаются спустя неделю после операции.
Обращаться для удаления опухоли необходимо к квалифицированному специалисту. Липома способна привести к большому количеству осложнений, равно как и неправильно проведенная операция. Структура липомы также способна существенно осложнить проведение операции по ее удалению. Иногда опухоль переплетается с нервами или сосудами.
Липома головного мозга (межполушарной щели, мозолистого тела, фалькса): симптомы у детей и взрослых

Онкологические заболевания — серьезная угроза для здоровья и жизни человека. Многие выявленные опухоли не являются злокачественными, но это не делает их менее опасными. Среди подобных новообразований специалисты выделяют липому головного мозга.
Опухоль формируется из жировой ткани, способна привести к инвалидности. Для данного типа жировика характерен медленный рост. Его размеры варьируются от 0,5 см до 5 см и более.
Виды и сопутствующие симптомы
Симптоматика развития липом не отличается специфическими признаками и имеет схожую клиническую картину с различными патологиями центральной нервной системы. По этой причине заболевание трудно поддается диагностике.
На первых этапах опухоль развивается без особых проявлений. Иногда люди живут с липомой в головном мозге долгие годы, совершенно не жалуясь на плохое самочувствие.
Как правило, о жировике больной узнает случайно, в результате обследования головного мозга по другим причинам. При разрастании опухоли происходит ухудшение состояния, которое не должно остаться без внимания.
Новообразование безболезненное, подвижное, мягкое по консистенции. В зависимости от места локализации различают межполушарную и липому межполушарной щели. Опухоль образуется только в 2 отделах внутричерепной коробки, редко в цистерне четверохолмия.
Межполушарная
Межполушарный жировик формируется в мозолистом теле у детей или взрослых. Во время диагностических мероприятий часто обнаруживается скопление нескольких опухолей.
Пациентов беспокоят зрительные и звуковые галлюцинации, неконтролируемые движения конечностей, заторможенность, увеличение выработки гормонов гипофиза.
Межполушарной щели
Липома межполушарной щели головного мозга воздействует на определенные мозговые центры. Такое давление приводит к резкому падению зрения и слуха, нарушению сна, постоянным скачкам внутричерепного давления, слабости, ухудшению памяти, сильным головным болям. Образование межполушарной борозды способно достигать размера куриного яйца.
Некоторые специалисты считают возможным появление жировика в серпе головного мозга. Липома фалькса провоцирует сильные головные боли, локализующиеся в районе лобной доли. Человека беспокоят подергивания левых конечностей, чувство кома в области горла.
Липома левой и правой лобной доли мозга в обязательном порядке провоцирует изменение психического состояния и сбой в работе жизненно важных органов. Из-за нарушения мозгового кровообращения существует большая вероятность инсульта.
Особое опасение вызывает присоединение упорной рвоты, двоения в глазах, повышенной сонливости, расстройства сознания. При вышеперечисленных признаках важно исключить наличие злокачественных образований, других серьезных отклонений.
Основные причины образования
Липома головного мозга является крайне редким заболеванием. Его возникновение не зависит от возраста или пола человека. Установить точную причину образования жировиков не представляется возможным. Развитию доброкачественной опухоли способствуют различные врожденные и приобретенные факторы:
- генетическая предрасположенность;
- неправильное питание, приводящее к нарушению обменных процессов;
- радиационное и химическое воздействие на организм человека;
- чрезмерное употребление спиртных напитков, наркотических веществ, курение;
- переутомление, нарушение дневного и ночного режима;
- получение черепно-мозговой травмы;
- гормональный сбой;
- ослабленный иммунитет;
- заболевания эндокринной системы;
- наличие сахарного диабета;
- демодекоз.
В медицинской практике встречаются случаи врожденной липомы головного мозга. Причины такой патологии связаны с нарушением внутриутробного развития плода.
Негативное воздействие на организм ребенка оказывает образ жизни беременной женщины, состояния ее здоровья, травмы (например, в результате сильного удара по животу).
Современные методы диагностики
Диагностика липомы головного мозга не представляет сложности для специалиста. Определить наличие опухоли можно с помощью УЗИ, МРТ или КТ.
В ходе исследования уточняется место расположения образования, его структура, размеры, наличие дополнительных очагов формирования.
Специфичность опухоли проявляется отсутствием в зоне поражения кровеносных сосудов. В противном случае высокая вероятность, что опухоль является злокачественной.
Исследование с помощью рентгена
Одиним из доступных и информативных методик диагностики является рентген. С его помощью удается оценить состояние внутренних структур, костных элементов. Процедура сопровождается невысоким облучением тела, поэтому ее рекомендуют проводить не чаще 1 раза в год.
Снимки, полученные после рентген-сканирование, не всегда обладают необходимой информативностью. Уточнить структуру образования будет невозможно, и понадобятся дополнительные исследования.
МРТ — очень точный метод диагностики заболевания, проводится с помощью специального аппарата замкнутого типа. Принцип его действия заключается в воздействии на организм радиочастотных частот и магнитного поля.
Компьютер считывает поступающие импульсы от клеток, в результате формируя трехмерное изображение. МРТ позволит определить даже мельчайшие изменения в тканях мозга.
В основе КТ лежит послойное рентгеновское сканирование тканей мозга. Диагностический метод рекомендован пациентам с клаустрофобией, испытывающим страх перед замкнутыми пространствами.
Томограф воздействует на исследуемый участок под разными углами. КТ позволяет не только установить размеры и расположение новообразования, но также оценить состояние системы кровообращения в месте поражения.
Процедура не требует предварительной подготовки и может быть проведена в любое время суток. Допустимо совмещать с контрастированием сосудов.
УЗИ головного мозга используют для уточнения структуры липомного образования. Ультразвук отражается от срединных структур мозга.
При внутричерепном исследовании липома имеет вид гипоэхогенного образования с тонкой капсулой. УЗИ не оказывает негативного воздействия на организм, что позволяет проводить процедуру необходимое количество раз.
Помимо КТ и МРТ, пациенту в обязательном порядке назначают общий анализ крови, мочи, кала. Во время диагностики необходимо определить, является ли новообразование доброкачественным или имеется основание для подозрения на рак.
Используемые методики лечения
При выявлении липомы головного мозга в первую очередь фиксируют наличие симптомов, место локализации, ее размеры. Если опухоль доброкачественная и не влияет на качество жизни пациента, врачи в этом клиническом случае занимают выжидательную позицию. Для отслеживания динамики понадобится постоянное наблюдение за возможным ростом образования.
Жировые опухоли нечувствительны к воздействию высокоактивных рентгенологических излучений и использованию цитостатических средств (химиотерапии).
Увеличение липомы в размерах, при котором оказывается давление на нервные окончания и сосуды, является абсолютным показанием к оперативному лечению.
Выбор метода хирургического вмешательства напрямую зависит местоположения жировика и индивидуальных особенностей пациента.
Эндоскопическое лечение
В ходе операции делается небольшое отверстие, которое просверливается в черепной коробке. Через него вводится эндоскоп с видеокамерой для получения полноценного обзора.
Тщательный осмотр образования позволит полностью удалить образование в пределах здоровых тканей.
Обычное хирургическое вмешательство
Операция проходит под общей анестезией. Хирург проводит трепанацию черепной коробки с последующим извлечением жировой ткани и капсулы. Такой метод оправдан при больших размерах образования.
Операция травматична, но количество рецидивов при таком лечении минимально. Швы снимаются через 7 дней.
Сложности при удалении возникают, если опухоль переплетается с нервами и сосудами. Любое неточное движение хирурга может привести к тяжелым последствиям.
Проведение аспирационной пункции
Через маленькое отверстие в черепе вводится специальная игла с отсосом, с помощью которой удаляется жировик. Недостатком данного метода является невозможность удаления капсулы и как следствие наличие риска рецидива.
Перед хирургическим вмешательством в обязательном порядке проводится исследование на ВИЧ, общеклиническое лабораторное обследование, определяется биохимический состав крови, уровень глюкозы. Важно на этапе подготовки исключить любые противопоказания к операции.
Осложнения при удалении липомы возникают редко и в большинстве случаев связаны с последующим инфицированием послеоперационной раны, а также появлением гематомы. Лечение народными методами в данном случае недопустимо.
Только использование современных методик позволит избежать тяжелых поражений отделов головного мозга. После удаления липомы возможно проведение гистологического исследования.
Может ли перерасти в рак
Липомы не характеризуется специалистами как предраковое состояние. В 80% всех случаев она не представляет опасности для здоровья человека.
Подобные опухоли не перерождаются в злокачественные. Изменение структуры образования происходит при долгом течении заболевания (более 10 лет), гигантских размерах жировика, частой ее травматизации.
Возможные осложнения
В случае отказа от удаления липомы большая вероятность развития осложнений. Болезнь может обернуться серьезными расстройствами психики, отеком головного мозга, нарушением микроциркуляции крови, частичной или полной потерей слуховых и зрительных функций.
Липома внутри черепа способна спровоцировать инсульт. Последствия такого состояния крайне тяжелые и в 30% приводят к летальному исходу.
Одной из самых опасных вариантов развития липомы ее малигнизация. Перерождение в липосаркому происходит крайне редко, такие случаи на практике единичны.
Выживаемость и прогноз
В силу своей доброкачественности липома имеет благоприятный исход. Лечение, начатое на ранней стадии, позволит избавиться от образования со 100% вероятностью. После оперативного вмешательства человек быстро восстанавливается, возвращаясь к привычной жизни.
При запущенной стадии заболевания происходит повреждение нервных клеток и их отростков. Устранить проблему будет значительно сложнее, а многие последствия могут иметь необратимый характер.
Избавиться от опухоли получается в 70-95% случаях. При отказе от лечения новообразование представляет серьезную опасность для жизни пациента.
К оперативному вмешательству следует подходить серьезно. Любые манипуляции в головном мозге представляют опасность. Большое значение играет профессионализм нейрохирурга и его опыт работы в данной области.
Если капсула жировика удалена полностью, вероятность возникновения рецидива минимальна. Так же для снижения риска повторного возникновения жировика следует исключить из своей жизни факторы, провоцирующие заболевание.
Профилактические мероприятия
Истинная причина роста опухоли неизвестна, при этом достаточно большой процент заболевших людей имеют генетическую предрасположенность. Поэтому не существует специфической профилактики липомы головного мозга.
Снизить вероятность развития патологии позволит соблюдение правильного режима питания, достаточная двигательная активность.
В качестве профилактических мер большое значение играет отказ от имеющихся вредных привычек. При снижении защитных свойств организма рекомендован прием поливитаминов.
Необходимо минимизировать неблагоприятные факторы внешней среды, такие как обморожения, нахождения в зоне облучения или в условиях вредной атмосферы.
Помимо коррекции собственного образа жизни, не следует забывать регулярно посещать врача, своевременно проходить профилактические осмотры. Лечение заболевания на ранней стадии позволит снизить риск развития осложнений.
Некоторые специалисты рекомендуют использовать препараты, действие которых направлено на снижение концентрации жирных фракций в крови.
Считается, что аторвастатин и симвастатин косвенно предотвращают развитие жировиков, замедляют их рост. Самостоятельный прием данных медикаментозных средств способен привести к необратимым нарушениям обмена веществ. Все назначения должен делать только врач, изучивший историю болезни пациента.
Несмотря на то что липома головного мозга доброкачественное заболевание, образование способно нанести серьезный вред организму. Поэтому при любых патологических симптомах необходимо пройти диагностическое обследование и начать своевременное лечение.
Липома головного мозга: лечение, симптомы и диагностика

Липома головного мозга – это опухоль, состоящая из жировой ткани и локализующаяся в головном мозге под фронтальной корой. Бытовое название липомы – жировик. Полость образования заполнена жировым веществом, находящимся в подкожной капсуле. Размеры жировика достигают нескольких миллиметров на ранней стадии развития и пяти сантиметров на позднем этапе.
Для данной патологии характерна безболезненность, подвижность, медленный рост и латентная форма развития, по причине которой липому невозможно обнаружить самостоятельно на начальном этапе болезни.
Гендерная принадлежность, возраст и масса тела не являются определяющими факторами при возникновении внутричерепного жировика. Код по МКБ-10 D17 определяет жировик как новообразование, носящее доброкачественный характер.
Несмотря на это, болезнь может трансформироваться в злокачественную патологию.
Разновидности внутричерепной липомы
Выделяется ряд разновидностей липомы головного мозга с характерными особенностями и разными местами локализации в голове.
- Межполушарная липома образуется в мозолистой ткани головного мозга. Чаще всего встречается множественная форма жировика. Опухоль препятствует нормальному функционированию мозжечка, провоцирует нарушения человеческого поведения и когнитивных функций. Жировик провоцирует возникновение массивных психических расстройств, поражая оба полушария мозга. На фоне расстройства наблюдается появление галлюцинаций, расстройств памяти вплоть до прогрессирующего слабоумия.
- Липома межполушарной щели головного мозга обнаруживается случайно при полном профильном обследовании человеческого организма, так как на начальной стадии развития скрытна. Большинство людей могут жить с опухолью мозга на протяжении многих лет и не подозревать о патологии. Увеличиваясь в размерах, липома препятствует нормальному кровообращению внутричерепной области, что чревато частыми потерями сознания, головокружением, тошнотой и головными болями. Мутированная ткань жировика неблагоприятно влияет на центральную область мозга, вызывая зрительные и слуховые галлюцинации, поведенческие нарушения и дисфункцию моторики. Жировик давит на центральную нервную систему, нарушая циркуляцию спинномозговой жидкости. Головной мозг человека считается самым опасным местом для локализации для жировика, так как вызывает расстройства психики и, распространяясь на область гипофиза, может привести к параличу.
- Перикаллёзная опухоль не поражает мозолистое тело и локализуется поблизости. Для патологии характерны большие размеры и стремительный рост. Этот вид патологии признан врождённым.
- Опухоль спинного мозга – это новообразование, локализующееся в области позвоночника и имеющее возможность прорастать вглубь спинномозгового канала. Жировик мягкий и эластичный на ощупь. Заболевание легко диагностируется посредством пальпации. Чаще всего болезнь встречается у новорождённых. Жировики спинного мозга имеют три разновидности: интрадуральная, терминальной нити и липомиеломенингоцеле. Патология терминальной нити состоит из жировой консистенции и располагается в верхней области межъягодичной складки. Главный симптом данного заболевания – это появление кожного нароста над ягодицами. Кожная патология не имеет волосяного покрова. Жировик терминальной нити считается редкостным явлением и встречается всего у 5% населения, преимущественно у детей. Жировики спинного мозга возникают в результате черепно-мозговых травм, наследственной предрасположенности, при патологических изменениях окружающих тканей и заболеваний внутренней секреции желёз и сахарного диабета. Патология может быть врождённой и приобретенной. У ребёнка первые симптомы проявляются с процессом взросления в виде головных болей, нарушений функций малого таза, болевых ощущений и сдавливания в области возникновения патологии.
- Липома серпа головного мозга, или жировик Фалькса, являет собой капсулу, наполненную жировой жидкостью, которая находится в области лобной доли черепа. Жировик указанного вида вызывает частые головные боли, дисфункцию моторики и непроизвольное подергивание конечностей. Размеры липомы Фалькса могут достигать пяти сантиметров в диаметре. Первый симптом наличия липомы серпа – поведенческие нарушения у ребёнка, что спровоцировано локализацией опухоли.
- Липомы мозолистого тела головного мозга распространяются на подкорковые образования и соседние отделы коры мозга, что затрудняет своевременную диагностику первичных симптомов. Место локализации – лобная, височная и затылочная области черепа. Располагаясь в лобной доли, опухоль провоцирует возникновение апатии, вялости, дизартрии, ранних тазовых расстройств и двусторонних моторных нарушений. Липома затылочной доли не оказывает негативного влияния на человеческий рассудок, но замечаются сенсорные и психосенсорные расстройства. Жировик, находящийся в височной доле, провоцирует нарушения памяти и ухудшает качество речи. Любая разновидность липомы мозолистого тела сопровождается возникновением психических расстройств.
- Внутричерепная липома четверохолмия – это врождённая патология пониженной плотности, расположена в затылочной области. Данное явление встречается у взрослых и детей. Для патологии характерен медленный рост. Первые симптомы проявляются в нарушении функционирования дыхательных органов, снижении подвижности конечностей и возникновении регулярных головных болей. Локализация данной патологии провоцирует нарушения зрения.
- Кальцинированная липома имеет капсулу, состоящую не только из жировой ткани, но и из кальция. Патология данного вида может сформировывать некроз мозолистого тела.
- Межгемисферная опухоль возникает в результате недоразвитости мозолистого тела и встречается преимущественно у детей. Липома указанной разновидности считается врождённой.
- Фибролипома – врождённая патология спинного мозга. Для заболевания характерна жировая трансформация, утолщение, укорочение и потеря эластичности спинной нити. Чаще всего встречается у детей во время прогрессивного роста и развития – с 4 до 18 лет. Наибольший прирост опухоли происходит в первый год жизни ребёнка – размеры могут достигать 24 сантиметров в диаметре. Во время общего осмотра кожных покровов обнаруживается 30% скрытых кожных аномалий. К симптомам фибролипомы относятся боль в области поясницы и грудном отделе позвоночника, функциональные нарушения органов малого таза, возникновение менингита, разрастание волосяного покрова в области появления патологии и болевые ощущения в районе нижних конечностей во время физических нагрузок.
Общие симптомы заболевания
К общим симптомам болезни, по которым можно распознать жировик, относятся:
- ноющие боли в лобной области головы;
- непроизвольное движение конечностей;
- тошнота и рвота;
- головокружение;
- сдавливание в височной области головы;
- ухудшение зрения и концентрации внимания;
- снижение умственных способностей;
- резкое повышение и понижение артериального давления;
- бессонница, заторможенность, апатия;
- отсутствие аппетита и запоры.
Причины возникновения
Факторы, влияющие на возникновение жировика, до сих пор не выяснены окончательно, но к вероятным причинам относят:
- наследственность;
- вредные привычки, особенно злоупотребление алкогольными напитками и табачными изделиями, так как они оказывают прямое воздействие на мозг;
- инфекционные заболевания центральной нервной системы повышают риск возникновения опухоли;
- очаги воспалительных процессов, находящиеся в головном мозге;
- загрязненная окружающая среда;
- неправильное питание, особенно злоупотребление жирным, сладким и острым;
- физическое и химическое воздействие на головной мозг;
- наличие психических заболеваний, особенно шизофрения;
- стрессы, недосыпание, нервное напряжение.
Диагностика
Жировики в головном мозге на ранней стадии развития обнаружить сложно из-за отсутствия симптомов. Зафиксированы случаи, когда люди жили с опухолью десятилетиями и не подозревали о существовании явления. Патология обнаруживается случайно при профильном обследовании пациента. Ждать первых симптомов опухоли не следует, ведь известны современные способы диагностирования подобных патологий.
Компьютерная томография
КТ – это информативное и безопасное обследование внутричерепной области. Метод позволяет поставить точный диагноз и заменяет УЗИ или рентгенографию, либо экономит время и даёт возможность узнать результаты сразу. С помощью компьютерной томографии опухоль детально визуализируется, вплоть до сосудов и нервных окончаний.
Нейросонография
Ультразвуковое исследование головного мозга, или нейросонография, активно используется в педиатрии и помогает получить информацию о локализации, размере и степени разрастания опухоли внутри черепно-мозгового пространства.
Уже на первом месяце жизни новорождённому следует проходить обследование на наличие врождённых опухолей. С помощью нейросонографии выявлению поддаётся даже небольшая опухоль на ранней стадии развития.
Желательно проходить обследование детям, родившимся с низкой массой тела, родовыми травмами, патологиями развития и внутриутробным инфицированием.
МРТ
Магнитно-резонансная томография или МРТ предоставляет точную информацию о степени развития опухоли.
Диагностирование с помощью данного метода намного результативнее, чем КТ или УЗИ, так как на МРТ есть возможность получить трёхмерное изображение липомы, что является более детальным снимком.
Жировик имеет резко очерченную форму на полученных изображениях. Главный признак обнаружения липомы – высокая интенсивность сигнала жировой ткани при обнаружении патологии.
Лечение
Чаще всего пациенты обращаются за медицинской помощью, когда липому уже надо удалять. Это обусловлено отсутствием симптомов на ранней стадии или врачебной выжидательной тактикой.
Врачи не советуют лечить на начальной стадии развития, чтобы не спровоцировать изменения или рост патологии и наблюдают пациента продолжительное время до появления первых симптомов.
Увеличиваясь в размерах, жировик приносит дискомфорт и болевые ощущения и тогда встает вопрос об удалении опухоли.
Хирургическое вмешательство
Жировик представляет угрозу для жизни и психического здоровья человека, увеличиваясь до солидных размеров, поэтому хирурги проводят радикальное удаление вместе с капсулой во избежание дальнейших рецидивов. Во время операции производится трепанация черепа, то есть удаление части черепной коробки.
Малоинвазивное вмешательство
Данный метод включает эндоскопическую нейтрализацию опухоли, которая осуществляется с помощью эндоскопа и видеокамеры. Врач удаляет жировки вместе с капсулой с помощью этого способа. К малоинвазивному вмешательству также относится пункционно-аспирационный способ удаления.
Во время процедуры пациенту проделывают отверстие в черепно-мозговой коробке, через которое происходит операция. В отверстие вставляют трубку и с помощью электроотсоса удаляют жировую ткань патологии. Единственный недостаток операции заключается в том, что капсула жировика остаётся в головном мозге человека и это становится причиной повторного возникновения липоматоза.
Медикаментозная терапия
Сторонники медикаментозного способа уверены, что жировик головного мозга можно удалить без оперативного вмешательства. Для этого врач выписывает препараты, способствующие уменьшению размеров липомы. Чаще всего используется гормональное лечение, так как дисбаланс гормонов является одной из причин возникновения жировиков по теоретическим предположениям.
Терапия даёт результаты на начальном этапе развития, но в то же время оказывается неэффективной при стремительном росте жировика. Для ликвидации жировика активно используются нетрадиционные методы: люди уверены, что травяные отвары и компрессы вызывают полное рассасывание опухоли, но зачастую народные средства оказываются безрезультатными.
Осуществлять лечение следует комплексно и только по предписанию врача.
Осложнения
Липомы головного мозга зачастую вызывают осложнения: психические расстройства, синдром серповидного отростка, заболевания органов зрения, нарушения моторики и поражения близлежащих органов.
Данные осложнения происходят от того, что опухоль, увеличиваясь в размерах, давит на области головного мозга.
опасность жировика: он может трансформироваться в злокачественную раковую патологию, поэтому самолечением заниматься не стоит.
Выберите город, желаемую дату, нажмите кнопку «найти» и запишитесь на приём без очереди:






