Лечение гиперплазии эндометрия

В зависимости от возраста и состояния пациентки, степени развития гиперплазии и других факторов, врач подбирает женщине подходящее лечение.
Медикаментозная терапия: препараты для лечения гиперплазии
Гормоны при гиперплазии эндометрия. Самый щадящий вариант – это медикаментозное лечение, которое состоит в приеме внутрь гормональных препаратов. Регуляция гормонального фона направлена на снижение выработки эстрогенов, что в свою очередь влияет на скорость разрастания эндометрия внутри матки.
Препараты при гиперплазии эндометрия назначаются только врачом после проведения обследований.
Лечащий врач должен учесть противопоказания, которые существуют, если проводится лечение гиперплазии гормонами – это сахарный диабет, гипертония, тромбофлебит, ревматизм, заболевания печени и другие.
На лечение отрицательно влияют употребление алкоголя и курение. В процессе терапии обязателен полный контроль состояния организма.
Для медикаментозного лечения гиперплазии эндометрия применяются следующие препараты:
- КОК (комбинированные оральные контрацептивы) при гиперплазии эндометрия кроме предохранения от нежелательной беременности используются и для лечения заболевания. Подходит такой способ только для молодых девушек, которые еще не рожали. Часто применяемые КОКи могут применяться в лечебной отрасли, например, джес при гиперплазии эндометрия.
- Аналоги гормона прогестерона. Полученный синтетическим путем прогестерон вполне способен наладить ситуацию в течение трех-шести месяцев. Прогестерон при гиперплазии эндометрия сдерживает неконтролируемый рост эндометриального слоя матки.
Норколут или дюфастон при гиперплазии эндометрия
https://youtube.com/watch?v=t2N031WSl3E
Лечение гиперплазии эндометрия дюфастоном широко распространено в современной гинекологической практике.
Как принимать дюфастон при гиперплазии эндометрия? Один из самых известных и популярных гестагенов в лечении гиперплазии – это Дюфастон.
Прием дюфастона при гиперплазии эндометрия весьма эффективен.
Как принимать дюфастон при гиперплазии? Дюфастон при гиперплазии эндометрия применяют минимум три месяца с 16 по 25 день цикла по одной таблетке два раза в день.
Если между менструациями наблюдаются кровотечения, врач может принять решение об увеличении дозировки. На фоне приема Дюфастона при гиперплазии эндометрия возможна индивидуальная непереносимость и аллергия.
Также применяется дюфастон при гиперплазии эндометрия в пременопаузе.
При диагнозе полип эндометрия лечение дюфастоном применяется только после удаления полипа в качестве профилактики рецидивов.
Как принимать норколут при гиперплазии эндометрия? Норколут при гиперплазии эндометрия – еще один препарат, который имеет ярко выраженный антиэстрогенный эффект.
Лечение гиперплазии эндометрия Норколутом – это терапия препаратом, который очень часто используется в гинекологии. В состав Норколута входят гормоны, которые влияют на состояние слизистой оболочки матки, то есть эндометрия.
Лекарственное средство снижает тонус матки и увеличивает количество тканей в молочных железах, которые отвечают за лактацию.
Прием норколута при гиперплазии эндометрия. Пьют Норколут при лечении гиперплазии эндометрия по одной таблетке в сутки с 16 по 25 дни цикла. Если прием гормонов вызвал кровотечение, врач назначает прием Норколута по индивидуальной схеме.
Лекарства при гиперплазии эндометрия: утрожестан
Утрожестан при гиперплазии эндометрия является эффективным лекарственным средством на основе женских половых гормонов. Действующее вещество препарата – прогестерон (гормон, желтого тела яичника).
При лечении гиперплазии эндометрия Утрожестаном препарат назначают для коррекционной терапии при эндогенном дефиците прогестерона.
Пероральное использование Утрожестан помогает в лечении бесплодия, вызванного недостаточностью желтого тела, при нарушениях менструального цикла из-за нарушений овуляции, при предменструальном синдроме и в комбинации с эстрогенными препаратами для заместительной гормональной терапии при гиперплазии эндометрия и климактерическом синдроме.
Визанна при гиперплазии эндометрия представляет собой гестаген. То есть препарат используется при гормональной терапии в лечении гиперплазии эндометрия.
Действующее вещество препарата – диеногест микронизированный, является производным нортестостерона, который обладает антиандрогенной активностью.
Основные показания к применению препарата – лечение эндометриоза, патологий эндометрия и гиперплазии эндометрия матки.
Используется также прогестерон оргаметрил при гиперплазии эндометрия.
Применяется также депо провера при гиперплазии эндометрия. Лекарственная форма — уколы при гиперплазии эндометрия.
Спираль мирена при гиперплазии
Кроме приема лекарств внутрь, возможно использование более удобного способа лечения гиперплазии эндометрия матки — спираль Мирена. ВМС Мирена эффективна в предупреждении гиперплазии эндометрия и как лечебное и профилактическое средство при патологиях эндометрия. Препарат вводят в матку на 5 лет.
Спираль оказывает гестагенное действие. Левоноргестрел высвобождается в полость матки. Высокие концентрации действующего вещества понижают чувствительность эстрогеновых и прогестероновых рецепторов.
Благодаря этому, эндометрий становится невосприимчивым к эстрадиолу и оказывает сильное антипролиферативное действие.
- АГНРГ (агонисты гонадотропин рилизинг-гормона). Это современные лекарственные препараты, которые эффективны при лечении гиперплазии эндометрия. Процент положительного результата высок, дозировка очень гибкая и назначается врачом индивидуально каждой пациентке. Вещества, содержащиеся в лекарстве, блокируют выработку эстрогена, что приводит к атрофии эндометрия. К препаратам АГНРГ относят Бусерелин, Гозерелин, Золадекс.
Физиотерапия при гиперплазии эндометрия используется, как вспомогательная терапия.
Гиперплазия эндометрия на фоне приема тамоксифена
К сожалению, некоторые препараты способны вызывать патологию. К сожалению, возникает гиперплазия эндометрия при приеме тамоксифена.
Получить бесплатную консультацию врача
Получите на почту памятку при гиперплазии эндометрия!
Оперативное лечение
Хирургическое вмешательство необходимо в большинстве случаев возникновения гиперплазии эндометрия. Оно эффективно и позволяет избежать рецидивов болезни. Однако, метод хирургического вмешательства определяется также индивидуально, после точной диагностики заболевания.
- Выскабливание. Достаточно часто лечение гиперплазии эндометрии без выскабливания невозможно. Суть процедуры: функциональный слой эндометрия удаляется вместе со всеми патологическими образованиями, которые в нем присутствуют. Проводится операция под наркозом, в полость матки вводится гистероскоп, который позволяет пользоваться хирургическими инструментами и видеть на экране все, что происходит внутри. Содержимое матки, полученное после выскабливания, направляют на гистологию, после чего врач определяет необходимость дальнейшего лечения.
- Криодеструкция. Пораженный участок эндометрия подвергается воздействию низкой температуры, в результате чего этот слой отторгается.
- Прижигание или использование лазера. Пораженный участок эндометрия прижигается или же подвергается воздействию лазера. Патологический слой разрушается, после чего слой эпителия начинает расти и развиваться нормальным образом.
- Удаление матки. Если заболевание имеет сложную форму и диагностировано у женщины пременопаузного возраста, то удаление матки является оптимальным решением проблемы. Если исследование тканей на предмет онкологии отрицательно, то яичники сохраняются. Однако, если в организме начались явные онкологические изменения, то матку удаляют вместе с придатками.
Осложнения после лечения
Несмотря на то, что лечение гиперплазии эндометрия в большинстве случаев проводится успешно, существуют определенные виды осложнений.
Самое часто встречающееся осложнение – это рецидив заболевания, поэтому необходим постоянный контроль за состоянием организма.
Кроме того, даже после пройденного лечения возможны онкологические изменения в организме, что тоже следует тщательно отслеживать.
На фоне частых кровотечений может развиться хроническая анемия. Также после лечения гиперплазии эндометрия возможно полное бесплодие.
Гиперплазия эндометрия и полипы матки: что это, как избавиться?

Здесь Вы найдете практическое объяснение как разумно подойти к вопросу избавления от гиперплазии эндометрия, на основе опыта использования натуральных средств с 2002 года.
Можно ли не идти на «чистку», что с приемом гормонов, если уже сделана гистероскопия, но биопсия показала отсутствие раковых клеток, как предупредить появление разрастаний снова? Эти вопросы беспокоят каждую женщину, которая столкнулась с данным диагнозом.
Конечно же наибольшего эффекта в восстановлении саморегуляции женского здоровья возможно добиться при сохраненном менструальном цикле. Если по-возрасту или в силу приема препаратов слизистая ежемесячно не обновляется, целью может быть не само исчезновение изменений в ней, а профилактика после чистки, чтобы не они не появились вновь
Просто проигнорировать появление гиперпластических процессов нельзя: он ясно указывает на риск онкологии при высоком уровне внутренней интоксикации и сниженном противоопухолевом иммунитете.
Правильная и неправильная стратегия поведения при гиперплазии
С одной стороны все женщины понимают, что есть опасное с точки зрения рака состояние (особенно железистая и атипичная гиперплазия), поэтому часто на диагностическое выскабливание соглашаются легко.
https://youtube.com/watch?v=qUNWkMqjRf8
С другой стороны, как только «чистку» сделали и получили отрицательный ответ с биопсии, на том большинство и успокаивается или максимум начинают пить гормональные препараты, вызывающие искусственный климакс.
Внимание! Вы должны понимать: без устранения причины полип матки может вырасти снова уже за пару месяцев и гиперплазия также легко возвращается. Что потом? Опять на выскабливание?
Посмотрите видео. Вам станут более ясными причины и механизмы развития гиперплазии и роста полипов матки. И Вы сможете принять осознанное решение что делать в своем случае.
Натуральная программа в полном и наиболее комплексном варианте занимает 3 месяца. Именно столько обычно нужно, чтобы убедиться за несколько циклов, что процесс идет в правильном направлении. Она может применяться и после «выскабливания» и если ее не делали
Подробнее о схеме приема
Что такое гиперплазия эндометрия
С научной точки зрения это состояние — избыточный рост клеток внутренней оболочки матки — эндометрия.
Сначала нарушается нервная регуляция (как правило на фоне хронического стресса), вместе с этим как правило существует хроническая интоксикация из-за нарушенного пищеварения и неправильного питания, и только за этим идет сбой гормональной регуляции и противоопухолевого иммунитета.
Он не замечает самых первых клеток, которые пошли в рост, а потом самостоятельно уже не справляется. Но задайте себе вопрос: а разве на причины нарушения гормонального фона нельзя воздействовать, если
Разрастание эндометрия с точки зрения физиологии может проходить, если в течение нескольких циклов поддерживать гормональный фон и иммунитет.
Но при длительном существовании, особенно если есть в пище дефицит витаминов и минералов — антиоксидантов, гиперплазия может озлокачествляться.
Поэтому гинеколог всегда и рекомендует удалять все полипы и участки разрастания эндометрия, а заодно берет биопсию для исключения атипичных клеток.
Но очень важно понимать, что при этом нет естественного противодействия росту со стороны противоопухолевого иммунитета! Сама по себе чистка (выскабливание) не лечит причину!
Полип это та же гиперплазия, только когда ткань растет не на плоскости, выдается в полость матки. Гинеколог в 100% случаев предложит удаление поскольку риск развития рака при этих нарушениях высок.
Что такое диагностическое выскабливание? Фактически это тот же аборт, но выполняемый с помощью гистероскопа т. е. не вслепую. Устраняет ли эта операция причины развития разрастаний в эндометрии? Ответ очевиден… Конечно нет.
Она удаляет последствия.
С точки зрения воздействия стресса все обычно понятно. А что такое токсины? И есть ли они у меня. Это не выдумка, а накапливающиеся в организме неполезные вещества, влияющие в том числе на процесс обновления клеток в матке, как и в других органах.
Токсины образуются как побочный продукт пищеварения при неправильном высококалорийном, «синтетическом» питании, при наличии запоров, застоя желчи, нарушения активности ферментов.
Также внутренняя интоксикация часто нарастает у городских жителей из-за накопления металлов при плохой работе печени и кишечника, при злоупотреблении лекарствами.
Многие из этих веществ, не только вызывают аллергию, нарушение роста волос, плохое состояние кожи и иммунитета, но и цитотоксичны — разбалансируют работу нервной системы и вмешиваются в рост клеток. Поэтому в „Системе Соколинского“ восстановление саморегуляции в организме всегда начинается с очищения кишечника, печени, крови.
Нужно ли удалять полипы и делать «чистку»?
Я не знаю способов, которые помогают без хирургического удаления избавиться от полипа. При наличии менструаций от гиперплазии избавиться можно. Но нужно всегда консультироваться со знающим гинекологом. Если он считает, что у вас есть 3-4 месяца, то попробуйте обойтись без чистки. За пару недель исправить саму гиперплазию нельзя.
Даже в случае, когда диагностическое выскабливание неизбежно, начните сразу принимать натуральные средства. Пускай они уже сегодня начнут действовать на причины развития проблемы.
Ваша задача при использовании натуральных средств добиться чтобы под их защитой и при их поддержке внутренний слой матки правильно обновлялся с каждым менструальным циклом пока не станет стабильно нормальным.
1. Первый месяц — очищение (обязательно избавиться от запоров и застоя желчи)
Раз возможна причина в накоплении токсических веществ с онкогенным эффектом и нарушении противоопухолевого иммунитета, то самый первый рецепт натуральных средств при гиперплазии эндометрия и полипе матки — в первый месяц глубокое ферментативное очищение организма с помощью комплекса Премиум детокс и перезагрузка микрофлоры.
2. Второй и третий месяцы — прием антиоксидантов и поддержка противоопухолевого иммунитета
Мы стараемся добиться именно саморегуляции. Ведь у миллионов женщин на планете организм способен контролировать рост клеток в матке. Так почему Ваш не сможет? В процессе выполнения курса очищения вы уже почувствуете как изменились в лучшую сторону работоспособность и пищеварение. Это говорит о начинающемся восстановлении саморегуляции в организме.
Комплекс при миоме, гиперплазии, эндометриозе, мастопатии на 2 месяца (возраст ДО 50 лет)
В его состав входят:
Индогрин (растительные индолы) принимается в качестве регулятора риска опухолеобразования, для устранения влияния со стороны «плохих» метаболитов эстрогена. Прочесть подробнее
Второй компонент комплекса — непревзойденный иммуномодулятор растительного происхождения Мейши (экспортная формула).
Это полисахариды высших базидальных грибов и его я использую уже более 12 лет в подобных ситуациях и если время позволяет, то с такой схемой часто удается избавиться от причин гиперплазии без выскабливания.
Особенно можно обратить внимание на Мейши, когда онкомаркеры демонстрируют полное спокойствие по раку. Подробно о полисахаридах грибов при гиперплазии
В реальной жизни, решение использовать этот курс поддержки противоопухолевого иммунитета и гормонального фона с помощью Мейши (экспортная формула) и Индогрина, принимают женщины, которые уже однажды перенесли «чистку» и скоро случился рецидив.
Все потому, что они уже знают, что само по себе диагностическое выскабливание не решает проблемы! Но, надеемся, что Вы более здраво подойдете к ситуации, воспользуетесь консультацией и посоветуетесь как более глубоко изменить ситуацию через исправление неправильных моментов в образе жизни, питании, через использование очищения организма и питательных поддерживающих веществ.
Далее при положительных сдвигах на УЗИ мы обычно используем 4 месяца специальное натуральное средство Куркуминум Q10 комплекс по 1 капс. 2 раза в день для поддержки противоопухолевого иммунитета и рассасывающего эффекта. Он производится в Чехии и может быть заказан в Центре Соколинского в Праге
Если Вы старше 50 лет (или при раннем климаксе)
1. Комплекс детокса (см. выше)
Премиум детокс и перезагрузка микрофлоры
2. Во втором и третьем месяце используйте Комплекс при миоме, гиперплазии, эндометриозе, мастопатии (возраст ОТ 50 лет)
Важно также учитывать состояние нервной системы
Из практики хорошо известно, что женские проблемы с гинекологией часто идут «рука об руку» с эмоциональными переживаниями, хроническим стрессом, нарушением сна, неврозом. Их нельзя просто проигнорировать.
Нервные клетки необходимо защитить, чтобы снизить влияние стресса на противоопухолевый иммунитет и эндокринную систему. Для этого больше всего подходит Биолан.
Он просто уникальный по своей эффективности и безопасности.
Он входит в состав Комплекса для глубокого очищения на фоне стресса — который можно использовать вместо стандартного детокса в первый месяц. А потом переходим к программам при гинеколоческих проблемах (выбираем из двух вариантов в зависимости от возраста — больше или меньше 50 лет)
Для подбора схемы приема лично для Вас лучше обратиться за консультацией
Скачать книгу
Лечение гиперплазии эндометрия методом ФДТ

Гиперплазия эндометрия – гинекологическая патология, при которой разрастается эндометрий – внутренний слой матки, что приводит к её увеличению в размерах. Врачебная статистика утверждает, что каждая 5-7 женщина склонна к этой болезни. Развитие заболевания происходит в основном в фертильном возрасте.
Если показатели нормальны, то рабочий слой эндометрия увеличивается в размерах в самом начале цикла: идёт подготовка матки к зачатию. Если такового не произошло, во время менструации этот слой отторгается, выводится из организма. Любые перемены происходят благодаря слаженной работе женских половых гормонов.
Протекание процессов происходит под воздействием слаженной работы женских гормонов. Если происходит гормональный сбой, происходит нарушение выведение эндометрия. Клетки продолжают деление, но не выводятся.
Происходит утолщение внутреннего маточного слоя. Спустя отведенное время продолжается отторжение эндометрия, сопровождаемое кровотечением. Отсутствие лечения приводит к беспрестанным рецидивам.
Гиперплазия эндометрия может привести к различным осложнениям, включая появления злокачественной опухоли.
Формы гиперплазии эндометрия
Рассматривая разрастание элементов эндометрия можно вывести несколько классификаций гинекологической патологии:
- Железистая форма – железистая ткань активно разрастается, но не трансформируется в злокачественную опухоль. Вероятность развития онкологии не превышает 5%.
- Атипическая – классифицируется как предраковое состояние, считается очень тяжелой формой. Присутствуют серьезные изменения одновременно в функциональном и базальном слое. Если своевременно не оказать медицинскую помощь, то болезнь перерастет в онкологию. Вероятность этого составляет 40%.
- Очаговая – происходит неравномерное разрастание клеток внутреннего слоя, которые формируют малые очаги по 2-3 мм в диаметре (возможно увеличение до пары сантиметров). Клетки высокочувствительны к гормонам, что увеличивает скорость деления. Если клетки разрастаются в полипе, его габариты существенно увеличиваются.
Причины гиперплазии эндометрия
К провоцирующим факторам относятся следующие причины:
- Наличие гормональных нарушений, присутствующие у женщин, у которых развиты патологии гинекологического типа: миома, эндометриоз, мастопатия и т.д. Повлиять на работоспособно гормональной системы могут как многочисленные стрессы и физические нагрузки, так и прием оральных контрацептивов.
- Болезни эндокринной системы. Недееспособность или отклонения в работе любых желез, негативно воздействующих на эндометрий или яичники, приводят к развитию гиперплазии.
- Аборты и диагностические выскабливания, приводящие к потере чувствительности рецепторов эндометрия. Они становятся невосприимчивыми к гормонам, клетки продолжают деление, учитывая нормальные показатели гормонального фона.
- Передача по наследственности. Болезнь может быть получена от родственников вплоть до третьего колена.
Группа риска
Даже если анамнез содержит неблагоприятный фактор, риск развития болезни остается относительным. Спровоцировать развитие гиперплазии эндометрия может множество причин. Группу риска составляют женщины, страдающие ожирением, диабетом 1 или 2 типа, гипертоники, с синдромом поликистозных яичников и т.д.
Существенно возрастает риск при отсутствии физических нагрузок, нестабильном психоэмоциональном состоянии. Стоит отметить, что женщины, в период менопаузы, более подвержены заболеванию.
Симптомы
Среди основных признаков гиперплазии эндометрия стоит выделить основной симптом – кровотечение. Оно бывает циклического или ациклического типа.
Циклическое кровотечение присутствует преимущественно у женщин, находящихся в репродуктивном возрасте. Разница между ним и менструацией состоит в продолжительности, вплоть до 21 дня.
Ацикличные кровотечения не совпадают с менструальным периодом. Выделения умеренные, болевые ощущения отсутствуют.
Женщины в период менопаузы сталкиваются с различными видами кровотечения. Они могут быть обильными или скудными, сопровождаться дискомфортными ощущениями внизу живота. Сильные выделения, содержащие сгустки, присутствуют преимущественно у подростков, когда цикл только начинает свое становление.
Болезнь может присутствовать в бессимптомной форме. Женщина начинает ощущать сильный дискомфорт, подозревать у себя бесплодие. Чтобы своевременно диагностировать патологию, рекомендуется посещать гинеколога согласно установленному графику, даже если отсутствуют поводы для жалоб.
При регулярных визитах к врачу можно вовремя обнаружить болезнь и начать ее лечение заранее.
Осложнения гиперплазии эндометрия
Если своевременно не оказать медицинскую помощь, с высокой вероятностью может развиться анемия, спровоцированная кровотечениями. Избыток эстрогенов, нестабильный цикл, ановуляция – эти факторы нередко провоцируют бесплодие. Также не исключен риск перехода болезни в онкологию.
Диагностика
Гиперплазия эндометрия диагностируется различными способами:
- УЗИ (трансвагинальное) – относится к продуктивным и безболезненным методикам. Процедура позволяет установить толщину эндометрия, очаг болезни, наличие полипов.
- Гистероскопия – полостное исследование матки. В основе лежит особое оборудование с качественной оптикой, за счёт чего эндометрий тщательно рассматривается. Во время процедуры проводится выскабливание или прицельная биопсия.
- Аспирационная биопсия эндометрия – продуктивная диагностическая методика. Взятый материал передается в лабораторию для изучения. Биопсия помогает определить наличие злокачественных клеток, опровергнуть или диагностировать онкологию.
- Гормональные исследования – проводятся для выявления отклонений в гормональном фоне. Проверке подлежат эстрогены, прогестероны, дополнительно исследуется щитовидка или надпочечники, если имеется такая необходимость.
Профилактика гиперплазии эндометрия
Предотвращение развития гиперплазии эндометрия возможно в том случае, если вовремя лечить болезни половой сферы, спровоцированные инфекцией или воспалением. Нельзя забывать про заболевания, способные повлиять на гормональный фон, а именно сахарный диабет и гипертония.
Женщинам, страдающим ожирением, рекомендуется пройти специализированную диету. Без необходимости не проводить аборты, а также принимать оральные контрацептивы.
Гиперплазия эндометрия может присутствовать в бессимптомной форме. Своевременное посещение гинеколога поможет выявить болезнь на ранней стадии, что существенно облегчит проведение терапевтического курса.
Лечение
Составление терапевтической схемы сугубо индивидуальное, так как нужно учесть возраст и состояние женщины, разновидность патологии. Отдельные формы гиперплазии эндометрия лечатся исключительно медикаментозным способом. цель метода – прерывание дальнейшего прогрессирования патологии, возвращение гормонального фона в исходный вид.
Если консервативные методы не принесли ожидаемого результата или болезнь постоянно возвращается, то используют оперативные способы лечения. Современное медицинское оборудование позволяет вылечить патологию без удаления матки. К продуктивным способам можно отнести гистероскопию. Процедура осуществляется женщинам в репродуктивном и пременопаузальном возрасте.
Гистероскопия назначается при обильных кровотечениях, необходимости произвести срочное оперативное вмешательство, присутствии полипов. Этот способ не наносит ущерба здоровью, период послеоперационный реабилитационный период существенно сокращен. Если присутствует киста и полипы одновременно, то врачи сочетают хирургическое вмешательство и консервативные методы.
К не менее продуктивным способам относят абляцию эндометрия. Метод малоинвазивный, позволяет полностью удалить эндометрий, фрагмент подлежащего миометрия. Проводиться процедура электрохирургическим или лазерным способом. Действия специалиста контролируются гистероскопом.
Если присутствует атипичная форма у женщин в период менопаузы, то проводится удаление матки. При отсутствии нарушений в работоспособности яичников производится удаление лишь матки. Наличие онкологии является показанием для проведения гистерэктомии с придатками.
Лечение методом фотодинамической терапии
Фотодинамическая терапия (ФДТ) — современный метод лечения гиперплазии эндометрия.
Терапия основана на действии светового излучения низкой интенсивности и специального препарата-проводника — фотодитазина.
Фотодитазин накапливается в поврежденных тканях эндометрия, а затем под воздействием света разрушает больные клетки. Здоровые клетки при этом остаются нетронутыми.
ФДТ проводится в амбулаторных условиях и не требует хирургического вмешательства, полностью сохраняет целостность и работоспособность эндометрия, делает его пригодным для зачатия. Таким образом, ФД-терапия сегодня является наиболее щадящим и бережным методом лечения гиперплазии, абсолютно безопасным для женского репродуктивного здоровья.
Сравнение методов лечения
| Классическое хирургическое вмешательство (конизация шейки матки) | Радиоволновая хирургия (Сургитрон) | Фотодинамическая терапия |
| Высокий травматизм — удаление большого участка шейки матки | Минимальный травматизм — поражение как больных, так и здоровых клеток шейки матки | Отсутствие травматизма — разрушение больных клеток шейки матки «изнутри». Здоровые клетки нетронуты. |
| Возможность осложнений в ходе операции (например, кровотечений) | Возможность небольших осложнений в ходе операции (например, кровотечений) | Исключена возможность осложнений |
| Болезненный метод, требуется наркоз | Минимально болезненный метод | Безболезненный метод |
| Остаются серьезные рубцы, могут возникнуть проблемы с зачатием | Остаются рубцы, есть риск возникновения проблем в зачатием | Рубцы не остаются |
| Небезопасно для женщин, планирующих беременность, есть высокий риск развития бесплодия | Небезопасно для женщин, планирующих беременность, есть риск развития бесплодия | Безопасно для нерожавших женщин |
| Есть риск повторного развития болезни, так как причина — ВПЧ — остается и требуется дополнительное лечение | Есть риск повторного развития болезни, так как причина — ВПЧ — остается и требуется дополнительное лечение | Нет риска повторного развития болезни, так как вирус ВПЧ разрушается под действием фотодинамической терапии |
| 70 дней — средний период восстановления и заживления. Необходимо отложить зачатие. | 70 дней — средний период восстановления и заживления. Необходимо отложить зачатие. | 35 дней — средний период восстановления и заживления. Возможность самостоятельного зачатия в следующем цикле или с помощью ЭКО |
| Процедура занимает несколько часов | Процедура занимает несколько часов | Процедура занимает 15-30 минут |
| Высокий травматизм — удаление большого участка шейки матки |
| Возможность осложнений в ходе операции (например, кровотечений) |
| Болезненный метод, требуется наркоз |
| Остаются серьезные рубцы, могут возникнуть проблемы с зачатием |
| Небезопасно для женщин, планирующих беременность, есть высокий риск развития бесплодия |
| Есть риск повторного развития болезни, так как причина — ВПЧ — остается и требуется дополнительное лечение |
| Долгий период восстановления и заживления. Необходимо отложить зачатие |
| Процедура занимает несколько часов |
| Минимальный травматизм — поражение как больных, так и здоровых клеток шейки матки |
| Возможность небольших осложнений в ходе операции (например, кровотечений) |
| Минимально болезненный метод |
| Остаются рубцы, есть риск возникновения проблем в зачатием |
| Небезопасно для женщин, планирующих беременность, есть риск развития бесплодия |
| Есть риск повторного развития болезни, так как причина — ВПЧ — остается и требуется дополнительное лечение |
| Умеренный период восстановления и заживления. Необходимо отложить зачатие. |
| Процедура занимает несколько часов |
| Отсутствие травматизма — разрушение больных клеток шейки матки «изнутри». Здоровые клетки нетронуты. |
| Исключена возможность осложнений |
| Безболезненный метод |
| Рубцы не остаются |
| Безопасно для нерожавших женщин |
| Нет риска повторного развития болезни, так как вирус ВПЧ разрушается под действием фотодинамической терапии |
| Быстрое восстановление. Возможность самостоятельного зачатия в следующем цикле или с помощью ЭКО |
| Процедура занимает 15-30 минут |
Гиперплазия эндометрия — лечение, симптомы, диагностика болезни

Актуальной проблемой современной гинекологии остаётся гиперплазия эндометрия. Что это такое, как её лечить – тема данной статьи.
Структура эндометрия
Во время нормального менструального цикла под влиянием женских половых гормонов в функциональном слое эндометрия происходят периодические изменения.
Эстрогены (эстрон, эстрадиол, эстриол) вызывают пролиферативный рост желёз эндометрия, но мало влияют на строму.
Основной объём эстрогенов вырабатывается фолликулом яичника в 1-ю фазу менструального цикла.
Прогестерон — подавляет размножение железистых клеток (пролиферацию) и перестраивает маточные железы из растущего состояния в секреторное. При этом прогестерон стимулирует рост клеток стромы.
Прогестерон (гормон жёлтого тела) производится преимущественно во 2-ю фазу менструального цикла жёлтым телом яичника, а также корой надпочечников. Он готовит слизистую матки к имплантации оплодотворённой яйцеклетки.
Если оплодотворения не происходит, жёлтое тело в яичнике регрессирует, выработка половых гормонов (и эстрогенов, и прогестерона) угасает.
Питание функционального слоя эндометрия нарушается, он разрушается, отмирает и удаляется с менструальной кровью.
Базальный слой эндометрия не подвержен цикличному отторжению. Он обеспечивает восстановление функционального слоя в следующем менструальном цикле.
Овариально-менструальный цикл, изменения в эндометрии
В норме размер и структура эндометрия в каждую фазу месячного цикла имеет строго определённую картину.
Высокие «ударные» дозы или длительное, непрерывное воздействие умеренного количества эстрогенов на эндометрий на фоне дефицита прогестерона приводят к патологическому разрастанию маточных желёз — к гиперплазии эндометрия. В процессе гиперплазии происходит увеличение объёмов и дезорганизация как функционального, так и базального слоёв слизистой. Эндометрий теряет свои функции.
Чем опасна гиперплазия эндометрия?
- Озлакачествление. Доброкачественная гиперплазия слизистой матки становится предшественником 80% случаев рака эндометрия (аденокарциномы 1 типа).
- Бесплодие.
Гормональный дисбаланс и нарушение морфологической структуры эндометрия приводят к дисфункции слизистой матки, невынашиванию беременности и маточным кровотечениям.
- Анемия.
Дисфункциональные маточные кровотечения истощают организм женщины, становятся причиной развития малокровия.
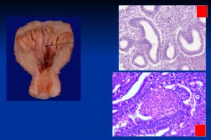
Формы гиперплазии эндометрии
Гиперпластические процессы эндометрия
Гиперплазия эндометрия без атипии
- Проста типичная гиперплазия эндометрия – разрастание желёз и стромы эндометрия в равном соотношении друг к другу (без преобладания железистого компонента), без атипичных изменений в клетках (нет мутации клеток).
При простой гиперплазии маточные железы удлинены, расширены. Иногда в них образуются кистозные полости. При этом количество желёз соответствует норме, их структура практически не нарушена, контуры ровные.
Соотношение «железы : строма» в эндометрии соответствует норме.
Риск перерождение в рак простой гиперплазии эндометрия без атипии ничтожен: не более 0,5 — 1%
- Комплексная (сложная, аденоматоз) гиперплазия эндометрия без атипии – отличается от простой значительным разрастанием желёз, увеличением их числа, структурной перестройкой желёз. Соотношение «железы и строма» увеличивается в сторону железистого компонента эндометрия.
Для комплексной гиперплазии характерно изменение формы маточных желёз: чрезмерно извитые, деформированные железы образуют скопления, сливаются друг с другом по принципу «железа в железе» и вытесняют собой строму. Выстилающий протоки железистый эпителий наслаивается, выпячивания в просветы желёз и в строму. Но атипичных изменений в клетках железистого эпителия нет.
При комплексной гиперплазии слизистая оболочка матки сильно разрастается, поэтому матка увеличивается в размерах.
Риск перерождения в рак типичной комплексной гиперплазии эндометрия: ≈3%
Гиперплазия эндометрия с атипией
особенность атипической гиперплазии эндометрия – мутация клеток эпителия маточных желёз. Признаки клеточной атипии:
- неравномерное распределение хроматина в клеточных ядрах, необычные формы и размеры ядер (ядерный полиморфизм);
- высокая скорость размножения клеток эндометрия; множественные паталогические митозы;
- значительное наслоение клеток друг на друга (атипичная многослойность эпителия), хаотичное расположение клеточных ядер в цитоплазме (нарушение полярности эпителия).
Простая атипическая гиперплазия встречается крайне редко. Без лечения переходит в рак эндометрия примерно в 8% случаев.
Комплексная атипическая гиперплазия эндометрия (аденоматоз с атипией) – наиболее распространённая форма.
Признаки комплексной атипической гиперплазии:
- Быстрый рост желёз.
- Железы близко «спина к спине» расположены друг к другу. Они образуют скопления, сливаются в конгломераты.
- Значительно изменена форма желёз: извитость, скрученность, пальцеобразные выросты, инфильтрация крупных отростков в строму.
- Объём стромы в эндометрии уменьшен. Строма отёчна, есть признаки воспаления.
- Кровеносные сосуды эндометрия деформированы, распределены неравномерно, есть признаки стаза и тромбозов.
Атипическая гиперплазия часто возникает на фоне типичной.
Но!
Эта патология — не стадия развития типичной гиперплазии эндометрия, а самостоятельный локальный, реже диффузный, мало зависимый от действия гормонов процесс.
Подробно о причинах, диагностике и лечении атипической гиперплазии эндометрия рекомендуем читать в статье: Атипическая гиперплазия эндометрия.
Полипы эндометрия
– это ограниченное разрастание отдельных участков функционального или базального слоёв эндометрия вместе с прилежащей стромой.
По современным представлениям полипоз – результат инфекционно-воспалительного процесса (хронического эндометрита), усугублённый локальным гормональным дисбалансом.
О фиброзных полипах эндометрия читайте подробно здесь
О железистых полипах матки — здесь
Причины типичной гиперплазии эндометрия
Гиперпластические процессы эндометрия – отражение «поломки» системы гипоталамус-гипофиз-яичники-матка.
Нейроэндокринный дисбаланс приводит к нарушению продукции гормонов в яичнике, к формированию болезней гепато-билиарной системы. Конечным звеном патологической цепочки является абсолютная или относительная гиперэстрогения.
Ключевой момент типичной гиперплазии эндометрия — избыточное влияния на эндометрий эстрогенов на фоне недостаточного влияния прогестерона.
- Нарушение овариально-менструального цикла: персистенция или атрезия фолликула, укорочение лютеиновой фазы цикла, недостаточность функции жёлтого тела (гипопрогестеронемия).
- Гормонально-активная опухоль яичника, диффузная или стромальная гиперплазия яичника.
- Высокая выработка эстрона избыточной жировой тканью (ожирение).
- Болезни печени, приводящие к увеличению активной фракции стероидных гормонов в крови.
- Гиперинсулинемия, наследственная резистентность клеток к инсулину, гиперлипидемия.
- Болезни надпочечников, щитовидной железы, диабет, гипертоническая болезнь.
- Заболевания гипоталамо-гипофизарной системы: синдром Иценко-Кушинга, синдром поликистозных яичников и др.
- Гормонпродуцирующие экстрагенитальные опухоли, гиперандрогения.
- Изменения гормонально-рецепторной чувствительности эндометрия.
- Нарушение иммунитета и регуляции пролиферативных процессов эндометрия на клеточном уровне.
- Механические повреждения слизистой матки.
- Инфекции.
- Различные метаболические нарушения.
- Генетическая предрасположенность.
Симптомы гиперплазии эндометрия
Клиническое проявление гиперплазии эндометрии – маточные кровотечения разной степени выраженности.
Кровотечения могут быть:
Меноррагии – обильные, продолжительные менструации.
Метроррагии – кровотечения, не связанные с нормальным менструальным циклом. Возникают, как правило, после задержки менструации.
Дисфункциональные маточные кровотечения могут быть: — обильными (профузными); — продолжительными, с умеренной кровопотерей;
— межменструальными мажуще-кровянистыми;





