Узи после кесарева: зачем делают шва, матки, как, через сколько, когда лучше, когда делают срочно

УЗИ после кесарева назначают на 3-4 день для выявления возможных осложнений (воспаление, непрочный шов, травмирование соседних органов), а также для контроля сокращения матки.
Процедура признана безопасной, у нее нет противопоказаний, разрешено неоднократное выполнение по мере необходимости.
После выписки из роддома женщине обычно рекомендуют прийти на осмотр по месту жительства на 7-10 день и в это же время проводят повторное УЗИ.
При нормальном течении послеоперационного периода оценка состояния шва на матки проводится не реже 1 раза в полгода.
Появление в любое время боли внизу живота, изменения цвета, запаха выделений, кровотечения, повышения температуры является поводом для проведения внепланового УЗИ.
После кесарева сечения разрешены с самых первых дней оба способа исследования – через брюшную стенку (трансабдоминальное) и влагалище (трансвагинальное).
Узи после кесарева: зачем назначают, что смотрят
УЗИ после кесарева сечения назначается для осмотра матки и состояния послеоперационного шва. Врач смотрит:
- размер и положение тела матки;
- состояние внутреннего слоя (эндометрия) на предмет признаков воспаления;
- толщину стенки в области рубца и наличие сгустков крови;
- стабильность шва и наличие отечности прилегающих тканей;
- восстановление области прикрепления плаценты;
- интенсивность маточного кровотока;
- соседние органы (мочевой пузырь, придатки матки).
Это помогает оценить, правильно ли идет процесс сокращения (инволюции) маточной полости, есть ли риск осложнений после операции.
Через сколько после КС можно делать
Плановое УЗИ после КС (кесарева сечения) обычно назначается на 3-4 день. Его в индивидуальном порядке (при необходимости) можно провести в любое время. Особенностью ультразвукового исследования является то, что уже с первых дней после операции допустимо применить два способа – через переднюю стенку живота и влагалище.
Рекомендуем прочитать о том, как формируется рубец на матке после кесарева. Из статьи вы узнаете о том, как выглядит рубец на матке после кесарева, видах рубцов, беременности с рубцом на матке, пластике рубца.
А здесь подробнее о несостоятельности и расхождении шва на матке после кесарева.
Когда делают срочно
Срочное УЗИ делают, если у женщины раньше 3 суток после операции:
- появилась нарастающая боль внизу живота;
- прекратились или усилились выделения из половых путей;
- есть кровотечение;
- повысилась температура тела;
- есть расхождение наружного шва, увеличилось отделяемое;
- у гинеколога есть сомнения в наличии осложнений после осмотра или получения результатов анализов.
В таких случаях исследование ультразвуком можно провести уже на следующий день после кесарева или в любой день после операции в дальнейшем.
Обязательно ли нужно делать
УЗИ после кесарева сечения нужно делать в обязательном порядке, так как другим способом определить прочность шва на матке невозможно. Вторая причина исследования – это угроза эндометрита (воспаления внутреннего слоя матки). Это осложнение после операции встречается гораздо чаще, чем после обычных родов, а послеоперационная боль и выделения маскируют его первые проявления.
Противопоказания
Для УЗИ нет абсолютных противопоказаний, так как этот метод наиболее безопасный. Все ограничения к исследованию ультразвуком могут быть сведены к низкой информативности. После кесарева сечения возможна недостаточная эффективность наружного обследования (через брюшную стенку) из-за обширного разреза. В таком случае можно ввести датчик во влагалище.
Трансвагинальное УЗИ
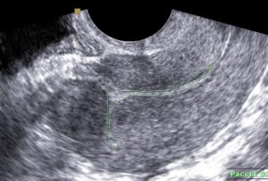
Узи шва после кесарева сечения
Узи шва после кесарева сечения проводится первый раз перед выпиской из стационара. Потом контроль состояния назначают в индивидуальном порядке, но при появлении любых признаков осложнений пройти обследование можно в любое время.
В первый месяц после кесарева оценивают заживление и формирование рубца, но особая важность его отмечается при планировании следующей беременности. Если рубец не соответствует критериям состоятельности, то при вынашивании ребенка возникает угроза разрыва матки по шву.
Как делают
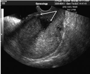
УЗИ шва матки проводится обычно трансабдоминальным методом. Это означает, что врач помещает датчик на нижнюю треть живота после планового кесарева или вблизи от средней линии при экстренно проведенной операции. Врач оценивает и фиксирует такие признаки:
- положение шва;
- ровный или есть деформации;
- наличие симптома «ниши», то есть углубления, заполненного жидкостью, участков втяжения;
- толщина стенки матки в области шва;
- соотношение мышечной и рубцовой ткани;
- движение крови около шва.
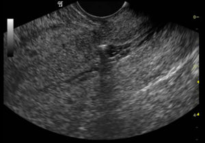
Визуализация рубца после кесарева сечения при проведении трансвагинального УЗИ
Когда лучше делать
УЗИ после кесарева обязательно делать перед выпиской из роддома. По обнаруженным изменениям женщине дают индивидуальные рекомендации: обратиться к гинекологу для следующего осмотра и исследования ультразвуком через 7-10 дней или после полного прекращения выделений. Потом обследования проводят не реже, чем раз в 6 месяцев.
Внеплановое УЗИ нужно при:
- изменении выделений – неприятный запах, зеленый или желтый цвет;
- повышение температуры;
- увеличение боли;
- кровотечение;
- отек или болезненность наружного шва.
Смотрите в этом видео УЗИ рубца на матке после кесарева:
Как делают УЗИ матки после кесарева и когда
УЗИ матки после кесарева делают перед выпиской из роддома, а потом повторяют через неделю. Для контроля размеров тела и маточной полости используется трансабдоминальный метод – излучатель аппарата помещают на переднюю стенку живота. Если нужно оценить состояние матки или часть шва, то допускается и использование вагинального метода исследования.
Размеры матки в норме
Для того чтобы оценить сократимость матки, исследуют ее размеры и другие параметры в динамике (см. таблицу).
| Наружный передне-задний размер, см |
| Внутренний передне-задний размер, см |
| Середина между пупком и лобковой костью |
Полного возврата матки к прежнему состоянию можно ожидать к 6-8 неделе после операции.
Если полость расширена
Если на УЗИ обнаружено расширение полости матки, то это признак ее недостаточного сокращения. Такое состояние называется субинволюцией матки и нередко обнаруживается после кесарева сечения. Врач может рекомендовать введение сокращающих препаратов (например, Окситоцин), так как медленное восстановление является одной из причин воспаления, кровотечения.
При необходимости врач может назначить и гистероскопию (осмотр маточной полости эндоскопом) для выявления причины: сгустки крови, задержка частей последа, остатки плодного пузыря, эндометрит, фибромиома. Если крови в полости матки очень много, то бывает необходимо выскабливание для ускорения сократимости, предупреждения инфекционно-воспалительных осложнений.
Гистероскопия
Другие возможные отклонения
УЗИ может выявить и причины других отклонений восстановительного периода:
- кровотечения – сгустки крови, полип, расхождение шва, кровоточащая плацентарная площадка;
- повышенной температуры тела и нарастания боли, выделений – эндометрит (воспаление) из-за проникновения инфекции, задержки сокращения маточной полости.
Чем раньше поставлен диагноз, тем короче будет курс лечения, а если УЗИ не пройти вовремя, то есть риск осложнений:
- эндометриоз (частицы эндометрия врастают в шейку, мочевой пузырь, яичник, маточные трубы, кишечник), что приводит к сильным болям и кровотечению, бесплодию;
- заражение крови (сепсис);
- воспаление брюшины (перитонит);
- воспаление маточных вен с закупоркой;
- тяжелые маточные кровотечения.
Узи после выписки из роддома: когда и как часто делать
После выписки из роддома первое контрольное посещение гинеколога назначается на 7-10 день, но при ухудшении состояния (кровотечение, температура, боль) диагностику можно пройти в любое время.
Дата следующего исследования определяется гинекологом индивидуально.
Для того, чтобы следить за заживлением шва, достаточно проходить УЗИ раз в полгода, но при наличии угрозы осложнений или выявлении их признаков визиты и обследование рекомендуют раз в 2-3 недели.
Сколько стоит обследование
Средняя стоимость УЗИ зависит от метода:
- трансабдоминальное – от 600 до 2500 рублей;
- трансвагинальное – от 750 до 2800 рублей;
- комбинированное (оба метода) – от 900 до 3000 рублей.
Рекомендуем прочитать статью о том, почему болит шов после кесарева. Из нее вы узнаете, почему болит шов после кесарева, как может заживать в норме и при патологии, профилактике осложнений.
А здесь подробнее о том, какие швы бывают после кесарева сечения и как за ними ухаживать.
УЗИ после кесарева сечения назначается для контроля восстановления матки и заживления шва. Может проводиться в любое время по мере необходимости, срочное исследование нужно при резком прекращении или усиления кровотечения, нарастании боли, изменении характера выделений.
Смотрите в этом видео о том, как наблюдают беременную при рубце матке при последующей беременности:
Узи после кесарева сечения — когда делать

Рождение долгожданного малыша – всегда праздник для родителей. Но нередко случается, что естественным путем кроха на свет не появляется.
Часто особенности женского организма, проблемы с размещением или развитием плода заставляют проводить операцию кесарева сечения.
Обычно осложнений после оперативного вмешательства не возникает, поэтому молодых мам настораживает – почему врач назначает УЗИ после кесарева, и какие нарушения в работе внутренних органах способно обнаружить исследование?
Зачем нужно делать УЗИ после кесарева
Перед рождением крохи проведение УЗИ рекомендуется не менее трех раз – это позволяет своевременно определить патологии плода и предпринять необходимые в таких случаях меры. После кесарева сечения далеко не все врачи считают нужным отправлять на ультразвуковое исследование молодую маму, особенно если женщина чувствует себя хорошо и не жалуется на плохое самочувствие.
Не следует отказываться от прохождения процедуры – исследование покажет, нет ли послеродовых осложнений, развивающихся в организме женщины. Оперативное вмешательство в рождение ребенка подразумевает травматизм не только кожных покровов, но и повреждения некоторых внутренних систем или органов. Только проведение манипуляций поможет определить, насколько действенно происходит регенерация.
Вам назначили УЗИ после кесарева?
УЗИ шва после кесарева сечения позволяет контролировать заживление родовых путей. Это способствует предупреждению появления шрамов, своевременно применяя препараты, рассасывающие ткани. Рубец на матке после кесарева сечения тоже легко предупредить, если заранее выявить патологию и вовремя отреагировать на осложнение.
Как изменяется матка после кесарева
В продолжение беременности матка претерпевает существенные изменения и значительно увеличивается в размерах. Даже хирургическое вмешательство при рождении ребенка не предотвращает травматизма – поверхность повреждается и требует продолжительного заживления и сокращения.
На УЗИ, которое проводится после кесарева сечения, врачи смотрят, насколько активно происходит заживление, нет ли осложнений, не наблюдаются ли опасные для женского организма патологии.
В продолжение процедуры доктор фиксирует, насколько уменьшается масса, размеры внутреннего полового органа женщины.
При необходимости врачом назначаются лекарства, способствующие восстановлению и заживлению матки.
Если удалось полностью восстановить состояние органа, избежать образования рубца на матке после кесарева, норма его массы не должна быть более 100 гр. После рождения ребенка оперативным путем заживление происходит более длительный период, чем после естественного процесса. До полного восстановления матки может пройти до полутора месяцев.
Нередко случается, что женщина после рождения ребенка не жалуется на недомогание или боли в брюшной полости, но исследование ультразвуком показывает, что заживление происходит с осложнениями.
В таких случаях врач назначает ряд манипуляций с применением ультразвука, что позволяет прослеживать, насколько эффективно происходит лечение, способствует ли оно заживлению и восстановлению функций женского органа.
УЗИ также поможет определить, как происходит очищение матки от кровяных сгустков. На первых порах, сразу же после рождения крохи, они концентрируются в верхней части органа. Если регенерация происходит без осложнений, через неделю после хирургического вмешательства сгустков крови должно стать существенно меньше.
Они перемещаются в нижнюю часть и со временем совсем исчезают. Ультразвуковые манипуляции позволяют контролировать этот процесс.
Если сгустки крови выходят плохо, врач может назначить чистку, позволяющую удалить накопления из матки и не допустить опасных последствий в виде воспалительных процессов и даже гнойных накоплений.
Как проводят УЗИ после кесарева
Каким способом проводится УЗИ матки после кесарева? Обычно процедура назначается уже на вторые сутки после оперативного вмешательства.
Обследование проводится через брюшную полость, специальное приспособление вводится в разрез, что позволяет подробно изучить травмы, причиненные в процессе родов. Исследования через влагалище провести невозможно, поскольку матка в этот период значительно изменилась в размерах.
Это не позволяет с точностью изучить все особенности, поэтому врачам приходится прибегать к менее эффективному, но крайне необходимому проведению процедуры.
Через несколько дней проводится следующий этап исследований, который позволяет врачу проверить состояние матки, шейки, повреждения, вызванные родами.
На этот раз специалист вводит специальное приспособление через влагалище, поскольку матка за это время успела уменьшиться в размерах и начала восстанавливаться. При исследовании маточной ткани на снимке видно, высок ли риск образования рубцов.
Если есть вероятность заживления, при котором появятся шрамы на матке, врач может назначить специальную терапию, способствующую регенерации тканей без нежелательных последствий.
Перед тем как делают УЗИ, врач непременно проводит устное опрашивание больной, выслушивает жалобы на недомогание, болезненные ощущения – это позволяет определить, чему именно уделить внимание при исследованиях.
Также происходит внимательный осмотр выделений из матки, нередко их отправляют на анализ.
Если в организм проникла инфекция или существует риск воспалительных процессов, ультразвуковые манипуляции позволят определить опасность и увидеть, на каком именно участке матки развивается осложнение.
Процедуру УЗИ также могут назначить и без особых причин – достаточно роженице пожаловаться на неприятный дискомфорт в брюшной полости или болезненные ощущения. Такая предосторожность позволяет своевременно предупредить развитие опасных патологий и предпринять необходимые меры.
Какие частые проблемы выявляет УЗИ
В продолжение беременности организм женщины претерпевает существенные изменения. Рождение малыша, которое происходило с помощью кесарева сечения, приносит свои осложнения.
Результаты таких стрессов для женского организма – нежелательные процессы, способные развиться на внутренних органах.
Именно поэтому проводят исследования ультразвуком – процедура позволяет убедиться в том, что восстановление происходит без опасных для здоровья осложнений.
Манипуляции с применением ультразвука позволяют изучить и обнаружить такие проблемы в организме женщины:
- своевременно выявить кровотечения;
- исследовать состояние разреза, отсутствие в нем инфекции;
- предупредить развитие эндометриоза, который нередко развивается в организме женщины после кесарева сечения;
- выяснить, почему беспокоят болезненные ощущения, дискомфорт, недомогания;
- своевременно выявить проблемы, носящие септический характер;
- пресечь на начальных этапах развитие воспалительных процессов на матке.
Еще одно достоинство проведенной после операционного вмешательства процедуры УЗИ – если есть риск, что образуется рубец после кесарева сечения, можно своевременно предпринять шаги по его устранению. Лечение в таких случаях намного проще, чем после полного заживления.
Одновременно с определением возможных патологий, УЗИ позволяет определить, насколько правильно происходит формирование матки. Первые дни после родов она напоминает крупный шар, который постепенно начинает видоизменяться. К концу восстановительного периода орган должен приобрести контуры груши, которые и являются нормой для здоровой женщины.
Когда следует бить тревогу
Когда делать УЗИ после оперативного вмешательства при рождении ребенка, и какие случаи требуют немедленного врачебного реагирования? Женщины должны знать, что в их интересах внимательно наблюдать за состоянием своего организма и бить тревогу при первых тревожных признаках.
Особую опасность составляет отсутствие кровянистых выделений сразу же после рождения малыша. После родов в матке непременно остаются крупные частицы эндометрия, поэтому вполне нормально, когда в выделениях присутствуют сгустки темной крови.
Они свидетельствуют о том, что происходит естественное очищение этого женского органа.
Если выделения полностью отсутствуют или в них не наблюдаются крупные кровяные сгустки, сообщить врачу нужно немедленно.
В таких случаях без исследований ультразвуком не обойтись – процедура позволяет разобраться в том, почему не происходит естественный процесс очищения матки.
После выяснения проблемы назначается выскабливание, не допускающее развития эндометриоза, воспалительных процессов, гниения.
Еще одна проблема, способная ожидать женщину после кесарева сечения – кровяные выделения, в которых явственно просматриваются желтые или даже зеленоватые сгустки. Появиться они могут не сразу после оперативного вмешательства, а через несколько суток.
Свидетельствуют они о том, что начинаются осложнения, развивающиеся поэтапно:
- Очищение матки происходит с затруднениями, в ней накапливается кровь, частицы эндометрия.
- Начался процесс гниения тканей.
- Возможно отмирание некоторых участков.
- Происходят воспалительные процессы.
Сообщить о своих подозрениях врачу нужно немедленно, не допуская опасных для жизни последствий.
Процедура исследования ультразвуком позволит определить, какие патологии происходят в матке, назначить необходимое лечение или провести чистку.
Наиболее опасными признаками заболевания считаются выделения, имеющие неприятный желтоватый оттенок и гнилостной запах. Это свидетельство того, что процесс разложения уже развивается не один день и есть риск поражения важных внутренних органов.
Реагировать в таких случаях нужно немедленно – врач назначает исследования ультразвуком, определяет степень поражения матки и соседних органов, назначает лечение, в котором может применяться хирургическое вмешательство.
Учащенный пульс у женщины, частые обмороки и резкое повышение температуры – лишнее свидетельство развития тяжелого заболевания.
Менее опасным, но тоже тревожным является еще один симптом нежелательных последствий – резкое прекращение выделений на 10-11 день после кесарева сечения. Нередко женщины ошибочно считают, что эндометрий из матки вышел полностью, и это стало причиной отсутствия кровянистых выделений.
Не нужно совершать ошибку, небрежно относиться к такому явному симптому осложнений и отказываться от медицинской помощи.
Свидетельствовать такой признак может только об одном – во внутренних половых органах начался воспалительный процесс и стремительно распространяется инфекция! Только процедура ультразвукового исследования позволит определить, насколько быстро развивается осложнение.
Своевременное лечение с применением мощных аптечных препаратов, чистка, восстановление под наблюдением врача – единственный способ не допустить опасных патологий, способных привести к летальному исходу.
Каждая женщина должна помнить, что только от нее зависит, насколько быстро и безопасно произойдет восстановление организма.
Врачи рекомендуют внимательно следить за всеми ощущениями, регулярно измерять температуру, проверять характер, цвет, запах выделений после кесарева сечения.
Нередко это позволяет своевременно обратиться за помощью медиков и предотвратить опасные для женского организма последствия.
Мнение врачей
Даже если УЗИ уже проводилось перед кесаревым сечением и не позволило обнаружить осложнения, отказываться от процедуры после оперативного вмешательства не стоит.
Если организм женщины не подает никаких тревожных сигналов, выделения нормальные, в них наблюдаются сгустки эндометрия, есть риск, что на матке начал развиваться воспалительный процесс, образуется рубец или регенерация тканей происходит слишком медленно.
Без лечения в таких случаях не обойтись, и именно ультразвуковые манипуляции позволят вовремя узнать об осложнениях.
https://youtube.com/watch?v=olfxHFRP0sI
Еще одна особенность кесарева сечения, о которой отлично известно специалистам – восстановление более продолжительное, чем после естественных родов. Патологии в таких случаях могут начать развиваться тоже замедленно, определить их не позволит даже УЗИ, проведенное на следующий день после рождения ребенка.
Именно поэтому врачи предупреждают женщин – в течение нескольких месяцев после оперативного вмешательства при родах нужно внимательно наблюдать за общим состоянием здоровья, самочувствием. Малейший признак недомогания должен стать причиной обращения к доктору.
Нередко случается, что осторожность и наблюдательность женщины позволяют своевременно отреагировать на опасное заболевание или осложнение.
Заключение
Только врачи отлично знают, насколько важным и даже незаменимым может оказаться УЗИ при кесаревом сечении.
Простая и безболезненная процедура, которая не причинит беспокойства и неприятностей женщине, перенесшей оперативное вмешательство, позволит определить и опередить развитие патологий, проверить состояние швов, узнать, насколько быстро происходит регенерация.
На фото можно увидеть, как проводится УЗИ матки после кесарева сечения, какие проблемы позволяют определить манипуляции ультразвуком, разобраться в особенностях важного женского органа, который больше других претерпевает при родах, даже искусственных. Исследования ультразвуком – единственный способ опередить нежелательные процессы, а иногда даже спасти жизнь!
На сколько Вам помогла статья?
Выберите количество звезд
Средний рейтинг: / 5.
Мы сожалеем, что этот пост не был полезен для вас… Мы исправимся…
Давайте улучшим эту статью!
Спасибо большое, нам важно Ваше мнение!
Узи после родов: норма размеров матки, узи рубца после кесарева сечения

Все беременные женщины исправно посещают гинеколога и своевременно делают УЗИ. Однако о необходимости проведения ультразвукового исследования органов половой системы после родов мало, кто задумывается.
С помощью УЗИ определяют все основные характеристики женских репродуктивных органов, соответствие их нормам для конкретного периода. Эти данные крайне важны для предотвращения возможных послеродовых осложнений.
Инволютивные процессы в органах репродуктивной системы
Сразу после родов матка начинает интенсивно уменьшаться, и происходит заметное изменение ее формы. Уже на 10 день она приобретает свои естественные параметры, которые были до беременности. Если к концу беременности масса матки около 1 кг, то уже на 7-й день после родов ее масса около 0,3 кг., а норма этого показателя составляет 0,1 кг.
Значительной характеристикой является форма матки. На 3-ий день после родов она сохраняет шарообразную форму, на 5-е сутки — приобретает форму овала, а на 7-ой день становится грушевидной, т.е. соответствует норме.
Происходит изменение влагалищного отделяемого. В первое время выделения ярко-красного цвета, затем постепенно светлеют и к 5 — 6 неделе становятся такими же, как до зачатия.
Возвращение органов репродуктивной системы в норму после родов
Узи после естественного родоразрешения
Показанием к УЗИ в первые два часа после родоразрешения является угроза разрыва матки и подозрение на кровотечение.
В случае протекания послеродового периода без осложнений, ультразвуковое исследование назначают на 3 день. В основном, проводят УЗИ через кожный покров нижнего отдела живота, т.е. применяют трансабдоминальную методику исследования. Выбор метода УЗИ связан с тем, что размеры матки еще не вернулись в норму, и проводить исследование с помощью влагалищного датчика затруднительно.
В первую очередь, с помощью УЗИ исследуют полость матки. Норма при этом — щелеобразная форма и несущественное ее расширение из-за остатков в ней сгустков крови, которые на 5-6 день должны сместиться вниз, во влагалище. Ультразвуковая диагностика позволяет обнаружить аномальное ее увеличение, плодные оболочки и плацентарные ткани, патологическое количество крови.
О сокращении матки судят по высоте ее дна. Высота уменьшается после родов каждые сутки на 2 см. сразу после родоразрешения, мышцы тазового дна и влагалища восстанавливаются и начинают смещать матку.
Так, на вторые сутки маточное дно располагается на 13 – 14 см.
выше, чем лобковое соединение, на 6-е сутки – на 8 см, на 10-е – матка находится, практически, на уровне лобка, а через 5 недель — достигает своего нормального состояния.
УЗИ малого таза после родов
Нарушение процессов обратного развития матки
Иногда отмечается несоответствие размеров норме. Такое состояние может объясняться физиологически. Так, беременность двумя и более плодами, ребенок крупнее 3,5 кг., а также многоводие часто сопровождаются сильным увеличением матки. Другие варианты такого состояния считаются патологическими. Называется эта патология — маточной субинволюцией. Такая патология наблюдается у 2% рожениц.
В случае, если ультразвуковое исследование указывает на большой объем кровяных сгустков, назначают проведение процедуры, называемой вакуум – аспирация, т. е. удаление кровяных сгустков при помощи вакуумного насоса, либо проводят выскабливание.
Эндометрит послеродовой
Несвоевременное удаление чрезмерного содержимого матки может привести к развитию тяжелого заболевания – эндометрита. Из влагалища в маточную полость попадает инфекция и вызывает воспалительные процессы на внутренних оболочках.
Существенно уменьшить вероятность появления этого осложнения позволяет методика УЗИ. Без адекватного лечения заболевание осложняется, развивается тяжелая форма эндометрита.
Однако стоит заметить, что такое осложнение родов достаточно редкое, им страдают не более 2% рожениц, у которых роды проходили естественным путем.
Также с помощью методики УЗИ возможно предотвратить еще ряд осложнений, в том числе внезапные кровотечения в первые дни после родоразрешения. В случае начала кровотечения назначают срочное выскабливание.
УЗИ после кесарева сечения
Образование рубца и заживление шва занимает продолжительное время
Восстановление организма после кесарева сечения дольше и сложнее, чем после естественного родоразрешения.
Разрез, произведенный во время операции, нарушает структуру мышечной ткани, в результате чего матка сокращается медленно. Размер и форма органа нормализуются только к концу второй недели послеродового периода.
Заживление шва от кесарева сечения и образование рубца достаточно длительное.
Проведение кесарева сечения существенно повышает вероятность появления послеродовых осложнений. В наблюдении женщин с кесаревым сечением роль УЗИ сложно переоценить.
С помощью ультразвука дополнительно оценивается состояние послеоперационного шва на матке.
Существование специальных аппаратных методик наложения лигатур позволяет ускорить заживление маточных стенок и улучшить состояние послеоперационного рубца.
Часто отклонение параметров рубца от нормы является показателем развития патологических процессов. Так, о начале эндометрита может свидетельствовать отек рубца.
Восстановление организма после кесарева сечения и заживление шва не всегда протекает без осложнений. УЗИ позволяет определять наличие кровоизлияний в районе рубца, отслеживать их расположение и размеры. На основании этих данных о состоянии шва подбирается наиболее подходящая методика лечения.
Считается, что полное заживление рубца происходит спустя два года после операции. И повторную беременность можно планировать только в это время или позже. Перед следующим зачатием желательно сделать контрольное исследование рубца.
Узи после выписки из родильного дома
На 7-10 день после выписки рекомендуется посетить участкового гинеколога и решить, есть ли необходимость делать УЗИ и когда лучше пройти это исследование. Если молодая мама не имеет никаких жалоб и отклонений по всем показателям, то следующее посещение врача рекомендуют проводить через полгода.
Абсолютным показанием к УЗИ после выписки является наличие осложнений в раннем послеродовом периоде и осложнения кесарева сечения.
Во время УЗИ всех рожениц в раннем периоде после родов обязательно проводится диагностика состояния яичников, маточных вен.
Так же определяют аномальное присутствие в полости малого таза жидкости и кровяных сгустков, остатков плаценты, а также исследуют состояние рубца после кесарева.
Тревожные симптомы и повод для проведения УЗИ
Один из тревожных симптомов — это увеличение количества влагалищного отделяемого, изменение цвета. Такие признаки могут говорить о наличии плацентарного полипа.
В случае, когда появляются боли в области шва от кесарева сечения, а тем более выделения из него, это свидетельствует о патологии рубца, возможном его расхождении.
Узи после кесарево сечения

Роды – естественный процесс, предусмотренный самой природой. Однако рождение новой жизни иногда сопровождается осложнениями.
В условиях постоянно ухудшающейся экологии и популярного сегодня малоподвижного образа жизни, здоровье будущих мам не всегда оправдывает ожидания. Некоторые беременные женщины сталкиваются с необходимостью родоразрешения при помощи кесарево сечения. Данная хирургическая операция подразумевает извлечение младенца из матки матери через специальный разрез в области живота.
Современная медицина максимально снижает риски осложнений при кесарево сечении. Однако такое хирургическое вмешательство может стать причиной воспалений или инфицирования, как во время его проведения, так и после него. Поэтому делать операцию желательно только тогда, когда роды путем естественным считаются опасными для жизни и здоровья будущей матери или ее малыша.
Чтобы направить беременную на кесарево сечение врач должен иметь резкие основания. Самые популярные причины, для такого решения, звучат следующим образом:
- особенности скелета (слишком узкий таз);
- близорукость с изменениями глазного дна;
- тяжелая форма позднего токсикоза;
- обострение герпеса в области гениталий;
- сахарный диабет;
- патологические особенности строения влагалища и матки;
- неправильное положение ребенка (косое или поперечное);
- предлежание плаценты (обнаруживается во время УЗИ);
- наличие на матке нескольких старых рубцов (от 2);
- резус-конфликт;
- переношенная беременность.
При тяжелых самопроизвольных родах часто назначают экстренную операцию. Она оправдана в случае, если женщина не может самостоятельно вытолкнуть плод или при риске кислородного голодания ребенка.
Набирающая популярность в некоторых клиниках практика направлять женщину на кесарево по ее желанию, по мнению ВОЗ, является неоправданной. Если возможны естественные роды, то рожать нужно именно так, как задумано самой природой.
Что происходит при кесаревом сечении?
Ребенка прикладывают к груди матери
Прежде чем направить роженицу на кесарево, ее подвергают тщательному обследованию. Среди обязательных медицинских исследований – УЗИ плода и матки.
В ходе операции, беременной женщине, которая находится в это время под наркозом, вскрывают сначала брюшную стенку, а потом полость матки (для извлечения плода).
Рана на матке зашивается непрерывным швом, брюшная стенка восстанавливается. На коже фиксируют специальные скобки, которые удаляют через неделю.
Если после кесарево сечения нет осложнений, то счастливую маму вместе с малышом выписывают из роддома сразу после удаления скобок.
Негативные последствия данной операции:
- тяжелый выход из наркоза;
- невозможность первое время самостоятельно ухаживать за ребенком;
- проблемы с лактацией;
- длительные запоры;
- возможно скопление сгустков в матке;
- боли и зуд в области рубца;
- обязательная антибиотикотерапия;
- у ребенка возможны неврологические последствия.
Нужно ли УЗИ после операции «Кесарево сечение»?
Аппарат для проведения УЗИ
Если до проведения кесарева сечения УЗИ назначается несколько раз, то после операции ультразвуковое исследование матки не всегда является необходимостью. Некоторые врачи предпочитают подстраховаться и направляют всех своих пациенток на УЗИ. Другие считают, что при отсутствии у женщины жалоб на самочувствие, делать его (УЗИ) перед выпиской необязательно.
https://youtube.com/watch?v=oIvT55HP6Lc
После операции «Кесарево сечение», как и после самопроизвольных естественных родов, у женщин выделяются лохии (кровянистые сгустки). Операция не избавляет от этого явления, как многие ошибочно полагают. Врачи стараются дополнительно не травмировать матку во время полостного хирургического вмешательства, поэтому не выскабливают эндометрий.
Благодаря грудному вскармливанию обеспечивается активное маточное сокращение, и матка исторгает из себя сгустки и лохии.
Если женщина здорова, то на 5-ый день после операции кровянистые выделения сменяют густые мажущие выделения, допускается наличие в них сгустков коричневого или темно-красного цвета.
Это может длиться несколько недель, а затем выделения становятся прозрачными и превращаются в бели.
При нормальном течении периода после родов, перед выпиской мамы и малыша домой, нет необходимости делать УЗИ. Однако наличие опасных симптомов, даже одного из них, требует назначения дополнительных анализов и исследований, причем в срочном порядке.
Когда следует бить тревогу?
Если после родов у женщины нет выделений, ей следует срочно рассказать об этом врачу.
Так как в матке после родов обязательно остались частицы эндометрия, отсутствие выделений или мажущие выделения, где полностью отсутствуют сгустки – повод для серьезного беспокойства.
В такой ситуации врачи безотлагательно делают УЗИ и направляют женщину на выскабливание. Причиной возникновения такой патологии может быть загиб или спазм шейки матки.
Когда у женщины после родов обыкновенные кровянистые выделения сменяют зеленые или желтые сгустки – это также серьезная причина для тревоги. Если эти выделения сопровождаются запахом гнили, а у молодой матери высокая температура и учащенный пульс – нельзя терять ни минуты!
Повышение температуры у женщины после кесарева сечения
Опасным считается и внезапное прекращение выделений, например, дней через 10 или 15 после рождения ребенка. Быстрое прекращение выделений свидетельствует не о том, что в матке не остались фрагменты эндометрия, а о наличии воспалительного процесса и инфекции. Нужно вызывать скорую помощь!
Важно помнить, что каждая женщина обязана самостоятельно заботиться о своем здоровье. После родов, необходимо внимательно следить за температурой тела, выделениями, их запахом и своими ощущениями. От здоровья матери зависит благополучие ее ребенка!
Какие выделения являются нормой после кесарево?
Чтобы не впадать в панику, нужно понимать, что в послеродовый период организм восстанавливается по определенной системе. Зная, что нормально, а что нет, можно избавиться от ненужных страхов и, в то же время, не впасть в состояние беспечности.
После кесарево сечения выделения должны быть такие же, как и после обычных родов:
- вначале обильные сгустки крови (первую неделю);
- затем красно-коричневые выделения (если в матке еще остались фрагменты эндометрия, то возможны иногда красные сгустки);
- через 4 недели выделения становятся совсем скудными;
- через 6-8 недель лохии прекращаются.
Беременность после кесарево
Роды при помощи хирургического вмешательства характеризуются как сложные роды, о чем нельзя забывать.
Организм женщины родившей самостоятельно быстрее восстанавливает свои силы и репродуктивные функции.
А тем, кто прошел через операцию, приходится соблюдать определенные сроки перед планированием следующей беременности. Этот вопрос индивидуален и должен решаться индивидуально в каждом конкретном случае.
Уже через 60-70 дней после родов у многих женщин полностью возобновляется менструальный цикл. После кесарево сечения необходимо строго соблюдать советы врача и регулярно посещать женскую консультацию в месте проживания. Планировать повторную беременность можно только после периода восстановления и тщательного обследования, во время которого обязательно делается УЗИ брюшной полости и матки.
Как и когда после кесарева сечения делают УЗИ: расшифровка нормы и отклонений

После кесарева сечения матка восстанавливается медленнее, чем после естественных родов. Это увеличивает риски развития серьезных осложнений. При обнаружении любых подозрительных симптомов врач назначает УЗИ после кесарева для оценки состояния матки и послеоперационных рубцов.
Зачем нужно УЗИ шва
УЗИ всегда делают после кесарева сечения. Процедура позволяет контролировать состояние матки и скорость ее восстановления. Своевременно сделанное обследование сведет к минимуму риски инфицирования, воспаления и развития других осложнений.
После оперативного вмешательства на матке остается рубец. От его размеров зависит, насколько благополучно пройдет следующая беременность. Прежде чем планировать второго ребенка, нужно сделать УЗИ матки после первого кесарева сечения и убедиться, что ткани срослись правильно.
Ультразвуковое исследование не облучает организм. При проведении процедуры на орган воздействуют ультразвуковые волны, которые отражаются от тканей с разной силой в зависимости от их плотности. Эти колебания фиксирует датчик и выводит на экран.
В большинстве случаев ультразвуковая диагностика проводится в раннем послеродовом периоде. Матку обследуют в течение 3–5 первых часов после операции. Это делают, чтобы убедиться в отсутствии рисков кровотечения и нарушения целостности швов.
К просмотру видеоматериал об УЗИ рубца матки от кесарева:
Показания и противопоказания
УЗИ шва на матке после кесарева сечения бояться не нужно. Эта процедура не имеет противопоказаний. Она не оказывает негативного воздействия на организм, поэтому при необходимости ее делают чаще чем 1 раз в полгода.
Проводят ультразвуковое исследование по назначению врача. Внеплановое УЗИ рубца на матке после родов с помощью кесарева делают при возникновении подозрительных симптомов.
Когда нужно делать ультразвуковую диагностику:
- отсутствие выделений первые 6 недель после операции;
- наличие в выделениях желтых или зеленоватых сгустков;
- обильные выделения спустя 6 недель после родов;
- повышение температуры;
- сильные боли в области шва;
- отек шрама на матке.
Плановые обследования матки назначает врач. Женщина должна посетить гинеколога спустя 10–14 дней после операции. Если динамика восстановления нормальная и подозрительные симптомы отсутствуют, то следующий раз к специалисту обращаются через 2 месяца. Необходимо ли делать УЗИ шва от кесарева, решает врач.
Сделать УЗИ нужно и в том случае, если женщина планирует вторую беременность. Это необходимо для оценки состояния шва, который полностью заживает через 2 года после операции.
УЗИ матки после родов не требует специальной подготовки. Женщине нужно принять душ перед процедурой. Брить зону бикини необязательно.
На процедуру женщине нужно взять с собой пеленку или одноразовое полотенце для застилания кушетки и бумажные салфетки, которые нужны для вытирания геля. Чтобы зайти в кабинет, понадобятся бахилы. В платных клиниках все необходимое выдают на месте.
Как проводится УЗИ
Для проверки рубцовой ткани после кесарева УЗИ делают двумя способами. В большинстве случаев состояние матки проверяют через нижнюю часть живота (абдоминально).
Как в клинике делают диагностику матки ультразвуком:
- Пациентка застилает полотенцем кушетку. Она ложится на спину, оголив живот.
- На нижнюю часть живота наносится специальный гель.
- Врач водит по коже датчиком и смотрит на изображение, появляющееся на экране.
- После процедуры женщина удаляет с живота остатки геля.
Иногда матку обследуют через влагалище (трансвагинально). В этом случае на прибор надевают презерватив.
К просмотру видеообзор от главного врача медицинского центра доктора Николаева по теме:
Расшифровка результатов ультразвуковой диагностики
Расшифровывать результаты ультразвукового обследования после кесарева должен врач. Самостоятельно поставить диагноз очень сложно. Оценить, в норме ли находится послеоперационный шов, по описанию УЗИ возможно.
После кесарева сечения матка восстанавливается медленнее. К нормальным размерам она возвращается через 10 дней.
Норма восстановления матки на УЗИ:
| Параметр | 3–4-е сутки | 4–7-е сутки | 8–10-е сутки |
| Длина | От 13,6 до 14,4 | От 11,5 до 12,5 см | 9,4–11 см |
| Ширина | От 13,4 до 13,8 | От 11 до 11,9 | От 9,6 до 10,5 |
| Размер передне-задний | От 6,7 до 7,1 | От 6,4 до 7 | От 6 до 6,8 |
| Длина полости | От 15 до 15,3 | От 8,8 до 9,5 | От 7 до 7,8 |
| Ширина полости | От 10,5 до 11, 7 | От 4 до 4,5 | От 3 до 3,5 |
| Размер переднее-задний | От 5 до 7,1 см | От 3,1 до 4,9 | От 2,8 до 3,7 |
В случае небольших отклонений от нормальных показателей врач обычно не ставит заключение о патологии. Скорость восстановления матки после кесарева у каждой женщины индивидуальна.
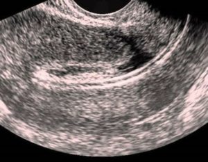
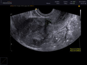
Большое внимание уделяется внешнему виду рубца. Его толщина не должна быть меньше 5 мм. На изображении он хорошо различим и выглядит как тонкая темная полоска. Вариацией нормы считается и шрам толщиной 3,5 см.
В идеале рубец должен состоять из мышечной ткани, которая более темная на снимке. У некоторых женщин присутствует соединительная ткань. На изображении возле шва имеется небольшое количество светлых участков.
Несостоятельным считается шов, толщина которого меньше 1,5 мм. Возле рубца имеются неровности и несросшаяся ткань. Сам рубец состоит преимущественно из соединительной ткани.
На снимке такие швы выглядят неровными и размытыми. Четкая темная полоска отсутствует (возможно прослеживание белой полосы). В области рубца наблюдается большое темное пятно.







