Почему выпадают ресницы: причины частого выпадения волос и ресничек, что делать

Основная функция ресниц – это защищать глаза от внешних раздражителей: пыли, пота, песка и прочего. Для женщины роскошные длинные и густые реснички – это настоящая гордость. Они придают взгляду выразительности, делают его глубоким и ярким.
Выпадение ресниц – это естественный процесс. Но если они начинают сильно редеть и практически исчезают, то нужно искать причину. Существует огромное количество факторов, вызывающих чрезмерное выпадение ресничек. Одни достаточно быстро устраняются, другие требуют продолжительного лечения.
Уход за ресницами дома и в косметическом салоне
Принято считать, что ресницы – это украшение женских глаз. Обычно домашний уход за ними сводится к тщательному смыву туши. Только после того, как волоски начинают терять цвет и ломаться, женщины начинают задумываться о более полноценном уходе.
Уход дома
Обратите внимание! Уход за ресницами в домашних условиях не потребует больших денежных затрат. Основное требование – регулярность и простота.
То есть, чтобы получить максимальной положительный эффект, процедуры нужно проводить ежедневно и использовать одно любимое народное средство.
Для поддержания молодости ресничек следует применять следующие процедуры:
- Ежедневная «маска» из масла. Для этого подойдут репейное, облепиховое или касторовое. Оно наносится чистой кисточкой для туши. Не стоит оставлять масло на всю ночь. Для первых нескольких дней достаточно 10 минут. Затем время увеличивается до получаса. Масло с ресничек снимается при помощи сухого ватного диска. Такая манипуляция обеспечивает быстрый рост волосков.
- Компресс из трав. Для этих целей подойдут не все травы. Обычно используются ромашка, календула или василек. Готовый настой должен быть комнатной температуры. В отваре смачиваются два ватных диска. Они накладываются на закрытые веки. С таким компрессом нужно полежать 10-15 минут.
- Массаж. Делается после компресса. Он заключается в легком похлопывании подушечками пальцев по поверхности нижнего и верхнего века. Время процедуры – 5 минут.
Дополнительная информация. Одновременно с ресничками можно делать компресс или наносить масло на брови. Это улучшит их состояние.
Нанесение масла на реснички
Уход в салоне
В салоне предложат те же маски и компрессы, которые можно сделать в домашних условиях. Кроме них, можно воспользоваться другими процедурами, но они скорее делают реснички более привлекательными, чем обеспечивают их восстановление и рост. К ним относятся:
- Ламинирование.
- Наращивание.
- Биозавивка.
Важно! Кератиновое ламинирование позволяет сохранить реснички от ломкости. Оно создает защитную оболочку для каждого волоска. Ресницы становятся более толстыми, длинными и блестящими.
Сколько ресниц в среднем выпадает в день у человека
У ресничек есть определенный жизненный цикл. От роста до выпадения он составляет 100-150 дней. В среднем в день человек не должен терять больше 8 волосинок – по четыре с каждого глаза. За год это почти 3 тысячи волосков.
Почему выпадают волосы на голове у мужчин: причины и лечение
Обычно такая потеря проходит незаметно, так как на месте выпавшего волоска тут же начинает расти новый. Следует задаться вопросом, почему выпадают ресницы, в случае их патологической потери, когда исчезновение становится заметным визуально.
Дополнительная информация. Продергивание, выщипывание или наращивание ресниц не влияет на корень (волосяную фолликулу). Новые волоски практически сразу прорастают на месте удаленных.
Почему выпадают ресницы у женщин и мужчин
Ресницы выпадают по разным причинам. Можно выделить несколько, наиболее часто встречаемых факторов:
- Аллергическая реакция на косметику. В этом случае, кроме патологической потери волосков, должны наблюдаться покраснение век, зуд, возможно небольшие отеки.
- Частое использование туши плохого качества.
- Инфекции глаза и век. К ним относят конъюнктивит, блефарит и другие.
- Демодекоз. Заболевание, вызванное микроскопическими клещами.
- Привычка спать с накрашенными тушью глазами.
- Стресс, депрессивное состояние.
- Травмы века и глаза.
Важная информация. Если одновременно выпадают волосы и ресницы причины кроются в сильном гиповитаминозе, гормональном сбое или нарушениях в работе щитовидной железы. Такая ситуация требует особого внимания и консультации с врачом.
Если ресницы выпали во время беременности или при лактации, то не стоит беспокоиться. Нужно сообщить об этой проблеме гинекологу. Обычно ситуация связана с гормональной перестройкой организма, через время он приходит в норму, и густота ресничек восстанавливается.
Важно! Сильное выпадение ресничек у ребенка – повод для беспокойства и консультации с педиатром.
Способы и средства для укрепления ресниц
Для того чтобы понять, какие средства следует применять для восстановления роста волосков, необходимо выявить причины, вызывающие выпадение ресниц у женщин или мужчин.
Процесс потери волосков идентичен у разных полов, в то время как факторы, на него влияющие, могут быть разными.
Сильному полу более характерны инфекционные заболевания, в то время как у женщин это применение некачественной косметики, длительные диеты и стрессы.
Если выпали ресницы, что делать на первоначальном этапе, может подсказать врач-косметолог.
Важно! Если диагностированы инфекционные заболевания глаз либо демодекоз, проблема выпадения волосков устраняется медикаментозно. Только врач-дерматолог может порекомендовать эффективное средство.
Если причиной не является заболевание, то следует предпринять следующие профилактические мероприятия:
- Отказаться от дешевой косметики или средств, срок годности которых давно закончился.
- Внимательно вычитывать состав продукта. Следует отдавать предпочтение гипоаллергенным товарам, имеющим натуральный состав.
- Рационально питаться. Употреблять в пищу как можно больше овощей и фруктов. При недостатке витаминов принимать поливитаминные комплексы.
- Не использовать чужую тушь, полотенца для лица.
- Соблюдать гигиену. Одно из условий – не подносить к глазам грязные руки. Не стоит оставлять декоративную косметику на ночь.
- Защищать глаза солнечными очками. Для бассейна приобрести специальные очки для купания.
Если, несмотря на принятые меры, реснички продолжают сыпаться, их можно укрепить простым способом – применением бальзама с витамином Е. Для этого следует выполнить несколько простых действий:
- Смешивают касторовое и репейное масла с масляным раствором витамина Е. К полученной массе добавляют сок алое. Все ингредиенты берутся в одинаковых пропорциях.
- Тщательно перемешивают состав бальзама, помещают его в стерильную емкость.
- Вымывают кисточку для нанесения туши, обмакивают ее в бальзам и аккуратно наносят средство на реснички. Следят, чтобы оно не попало в глаза.
- Удаляют остатки бальзама через 30-45 минут при помощи сухого ватного тампона.
Обратите внимание! Для получения положительного эффекта значение имеет регулярность проведения лечебной процедуры. Ее необходимо проводить не менее месяца. Остатки бальзама следует держать в холодильнике.
Советы опытных врачей и косметологов
В любом косметическом салоне женщине предложат несколько дорогостоящих процедур, способных вернуть или улучшить состояние ресниц. Можно пойти по этому пути, но стоит понимать, что ламинирование придется повторять регулярно каждые 50-60 дней, корректировать наращенные волоски нужно не реже одного раза в месяц.
Проще и дешевле завести несколько полезных привычек, именно к этому сводится мнение ведущих косметологов и врачей:
- Всегда удалять декоративную косметику на ночь. Не стоит использовать для этих целей обычное мыло. Оно не только пересушивает кожу века, но и делает волоски сухими и ломкими. Необходимо приобрести подходящее средство для демакияжа.
- Не пользоваться одной тушью больше трех месяцев. За время использования в тюбик попадают бактерии, которые могут вызвать сильное воспаление. Поэтому брасматик должен меняться каждые 90 дней.
- Отказаться от сна в обнимку с подушкой лицом вниз. Такая поза способствует деформации ресниц, делает их слабыми и ломкими.
- Завести правило ежедневного ухода за волосками. Он состоит из нанесения масок, сывороток, компрессов и массажа.
Обычно простые домашние способы ухода за ресницами позволяют ускорить их естественный рост и улучшить общее состояние. Для того чтобы сделать их красивыми и густыми, не понадобится много времени и денежных средств. Если самостоятельно не получается решить эту проблему, стоит обратиться за помощью к врачу-косметологу.
По каким причинам выпадают ресницы?

- Причины
- Заболевания
- Лечение
- Как не допустить выпадения?
Густые пышные ресницы делают глаза более выразительными.
Поэтому хочется, чтобы реснички были здоровыми и не выпадали. Выпадают ресницы постоянно — это естественный процесс, если волоски вовремя успевают отрастать.
Но бывает и так, что выпадение настолько интенсивно, что глаза могут остаться вовсе без естественной защиты.
Причины
Состояние глаз и ресниц — это отражение самочувствия организма. Причин выпадения может быть множество. Ниже представлены самые распространенные:
- Дефицит витаминов. При недостатке питательных веществ, волосы и реснички начинают ломаться и выпадать. Чем больше дефицит, тем интенсивнее идет процесс выпадения. При такой неприятности может не хватать кальция, витаминов A, Е.
- Механические повреждения. Чаще всего это случается при ежедневном использовании щипчиков для завивки (особенно, если они с подогревом). Также реснички повреждения могут произойти, если сильно тереть глаза во время снятия макияжа.
- Некачественная тушь. Выпадают ресницы от туши, которая имеет агрессивный состав. Такая косметика очень опасна не только для волосков, но и для глаз.
- Последствия наращивания. Не секрет, что после наращивания, на веках может не хватать до половины волосков. Это происходит потому, что нарощенные волоски прикрепляются к настоящим, из-за чего они ломаются и выпадают. После долгого периода наращивания требуется длительный восстановительный период.
- Неправильное использование макияжа. Чаще всего страдают те девушки, которые ложатся спать, не смывая косметики. Через некоторое время ресницы начинают выпадать и ломаться.
- Заболевания. Это обширная причина, об этом нужно сказать отдельно.
Все причины выпадения, кроме болезней, можно решить самостоятельно и за короткий срок.
Заболевания
Существует множество заболеваний, связанных с выпадением ресниц. Не обязательно это болезни глаз.
- Онкологические заболевания. Сами опухоли не влияют на выпадение. Но лечение химическими препаратами почти всегда провоцируют этот процесс.
- Конъюнктивит. Воспаление глаз часто сопровождается такими симптомами. Как раз при воспалительных процессах выпадают ресницы на одном глазу.
- Демодекоз. Поражение кожи лица и зоны роста ресниц условно-патогенным клещом. Этот паразит быстро размножается, портит внешний вид кожи и повреждает волосяные луковицы, тем самым способствуя выпадению.
- Блефарит. Заболевание, при котором наблюдается воспаление крайней каймы век. Болезнь может поражать один или сразу два глаза. Распространенным симптомом является выпадение и ломкость ресниц.
- Гормональные нарушения. Любой дисбаланс гормонов может привести к значительной потере волосков. Восстановить реснички получится только тогда, когда уровень гормонов придет в норму.
При всех этих заболеваниях, выпадение — это только следствие. Чтобы избавиться от этой неприятности, необходимо вылечить основное заболевание.
Лечение
Для того чтобы начать лечение, необходимо определить основное заболевание, из-за которого ресницы выпадают. В первую очередь нужно посетить терапевта. В большинстве случаев, этот специалист способен сам справиться с проблемой. Но если случай запущенный, то понадобится обращение к узким специалистам.
Блефариты и конъюнктивиты будет лечить офтальмолог, так как болезни глаз — его специализация. Лечением демодекоза займется дерматолог, так как это комплексное кожное заболевание, поражающее не только зону роста ресниц, но другие кожные покровы.
Если реснички выпадают на фоне лечения онкологии, тут уж ничего не сделаешь. Необходимо ждать, когда закончится сеанс химиотерапии, тогда реснички отрастут самостоятельно. Гормональные нарушения лечить довольно долго. Контролировать лечение будет эндокринолог.
В некоторых случаях бывает достаточно сложно установить связь между выпадением ресничек и гормональными болезнями.
Как не допустить выпадения?
Если нет никаких болезней, а реснички все равно выпадают, значит, за ними неправильно ухаживают. Есть несколько советов, подсказывающих, как сделать реснички более длинными и пышными:
- Необходимо выбирать безопасные и качественные косметические средства для глаз.
- Нельзя ложиться спать с макияжем на лице. Реснички от этого сильно страдают.
- Не стоит сильно увлекаться наращиванием. Если выпадают ресницы после наращивания, то нужно прекратить эти процедуры.
- Щипцы для завивки должны быть качественные. Плохие модели повреждают волоски.
- Ресничкам необходим уход и укрепление. Для этого подойдут витамины, касторовое и репейное масла.
- При дефиците витаминов необходимо изменить рацион или принимать витаминные комплексы.
Выпадение не только ухудшает внешний вид, но и может быть симптомом скрытого заболевания. Поэтому не стоит относиться пренебрежительно к таким сигналам.
Почему болят глаза после наращивания ресниц

Боль после процедуры: в каких случаях можно дождаться, когда пройдёт сама, а в каких нужно срочно бежать к врачу.
Расскажем о «тёмных» сторонах наращивания ресниц.
Сегодня разберёмся в причинах того, почему болят глаза после наращивания ресниц. Вы, наверняка, слышали об этом побочном эффекте, пришло время дать ему объяснение, а также рассмотреть возможные варианты, которые помогут избежать неприятных ощущений после работы над созданием нового образа.
Основные виды причин боли в глазах
Ошибки техники наращивания
Область глаз — самая деликатная зона на лице, которая не прощает ошибок при уходе за ней, макияже и других способах влияния. Поэтому при наращивании зачастую можно столкнуться с ощущениями некоторого дискомфорта и болезненности со стороны органов зрения.
Присутствие слабовыраженных симптомов неизбежно, но, в ряде случаев, за неприятными симптомами могут скрываться более серьёзные нарушения здоровья. Расскажем вам обо всём по порядку.
Всего можно выделить 3 основные глобальные причины появления болезненности после наращивания:
- Физиологические побочные эффекты — это те симптомы, которые не несут угрозы, быстро проходят со временем.
- Ошибки техники наращивания. Если во время сеанса что-то пошло не так, нарушены правила выполнения процедуры, допущена небрежность, то появление боли и других серьёзных расстройств — наиболее вероятное следствие.
- Индивидуальные причины. Это патологические реакции, связанные с особенностями состояния здоровья клиента. Наиболее распространены: аллергия на клей и материалы.
Чтобы вам было понятнее, о чем идёт речь, мы рассмотрим эти обстоятельства более подробно.
Побочные эффекты, которые пройдут
В процессе работы над созданием вашего образа, а также в период после процедуры, пока вы лежите с закрытыми глазами, ожидая полного высыхания клея, может возникнуть небольшое жжение, зуд, слабое покраснение.
Эти ощущения должны быть терпимыми. Главным для них является постепенное снижение интенсивности, но никак не нарастание и обрастание новыми симптомами.
Почему так происходит:
- У любого человека глаза очень чувствительны, они не терпят длительного и систематического касания к ним.
- Во время процедуры обязательно необходимо, чтобы веки были плотно сомкнуты. При этом вы тщательно контролируете этот процесс, что создаёт напряжение кожи и глазного яблока. Это может провоцировать болезненность. Вы можете возразить, что во время сна мы тоже закрываем глаза, причём надолго, но следует понимать, что во сне нет необходимости осуществлять контроль за тем, чтобы веки случайно не раскрылись, это естественный и свободный процесс, при котором искусственное напряжение исключено.
- Наращивание ресниц завершается не тогда, когда мастер заканчивает создавать ваш образ, а когда полностью высохнет клей и закрепитель. Чтобы этот процесс ускорить, зачастую используется специальный мини-вентилятор. Вот только вместе с клеем, он ещё и оказывает сушащее действие на кожу век, а они на это отвечают зудом и болезненностью.
- Неприятное чувство могут вызывать длительно контактирующие с кожей средства защиты — патчи. Лучше всего, если они выполнены из гипоаллергенных материалов. Широко и успешно используются силиконовые и гидрогелевые, они плотно прилегают к коже, но не прилипают, как скотч. Поэтому обычно, при снятии, если оно производилось аккуратно, особенного дискомфорта не появляется. Максимум, что вы можете почувствовать — небольшой зуд, от того, что кожа вокруг глаз недополучала кислород и испытывала давление.
Все неприятные ощущения, которые принято относить к физиологическим побочным эффектам проходят самостоятельно спустя пару часов и не требуют ни экстренных мер, ни специализированной медпомощи.
Глаза болят сильно: допущены ошибки
Наиболее часто причиной возникновения болезненности служат ошибки при проведении процедуры. Они могут возникать не только из-за неопытности или халатности мастера, но и при несоблюдении рекомендованных правил самим клиентом.
Расскажем, про наиболее типичные промахи, которые могут привести к печальным для глаз последствиям:
- Мастер пренебрёг правилами гигиены: инструменты, предназначенные для одноразового применения использовались повторно, не были надеты перчатки и пр. Такое нарушение повышает риск инфицирования глаз, а инфекция всегда проявляет себя болью.
- Была грубо нарушена технология выполнения наращивания: инструментом повредилась кожа, глаз приоткрывался от сильного нажима инструментом на веко, мастер слишком рано разрешил открывать глаза, когда клей ещё не до конца полимеризировался и не рассеялись пары. Такие ошибки могут привести к химическому ожогу роговицы, а он не только будет сильно болеть, но и потребует серьёзного лечения.
- Микротравмы из-за некачественных патчей, неправильное их наложение на область вокруг глаз. Запомните, профессиональные мастера дорожат своей репутацией и не станут подвергать вас опасности, поэтому используют только качественные материалы для процедуры. Это касается не только защитных подушечек, но и в принципе всех материалов, которые будут применяться для вашего преображения.
- Искусственные ресницы были прикреплены слишком близко к линии роста волос. В таком случае они могут касаться век и царапать её при моргании, благодаря чему быстро появляется раздражение, боль и отёки.
- Фиксация искусственного волоска происходит неправильно: например, он присоединён на два настоящих одновременно, а то и на веко. Такая ошибка приводит не только к раздражению глаз, появлению неприятных ощущений, но и влияет на конечный результат: вместо ожидаемого эффекта, вы рискуете заполучить неряшливые, запутанные волоски.
- Не только неопытный или безответственный лэшмейкер может быть виновником боли в глазах, нередко и сами клиенты провоцируют это осложнение. Например, преждевременно открывая глаза в процессе наращивания или до момента полного высыхания клея. В таком случае, урон органам зрения может быть огромен: ожог, повреждение конъюнктивы инструментом. Также обязательно следите за руками, они могут непроизвольно полезть чесать веки, а это категорически запрещено.
Как видите, причин, которые могут вызвать болезненные ощущения очень много. О них необходимо иметь представление, чтобы получить возможность избежать их появления.
Незамеченные противопоказания — особый риск непредсказуемых реакций
Наращивание ресниц может быть полностью безопасным, только если у вас отсутствуют противопоказания к этой процедуре. В некоторых случаях они могут быть незаметными, и отправляясь на сеанс преображения, вы не знаете, что в этот период нежелательны любые вмешательства.
Скрытые противопоказания бывают следующими:
- Аллергия. Если вы раньше не прибегали к технике наращивания ресниц, вы не можете быть уверены, что организм бурно не отреагирует на материалы. Особенный риск возникает в том случае, если ранее были замечены симптомы иммунного ответа на косметические средства или вы страдаете идиопатической (с неустановленной причиной, полиэтилогической) формой крапивницы. Для надёжности лучше провести предварительный тест на переносимость материалов.
- Скрытые инфекции. Конъюнктивит проявляется не сразу, клинические симптомы возникают, когда заболевание уже в самом разгаре, а вот начальная стадия не всегда даёт о себе знать. Вы можете не подозревать ещё, что инфекция есть на слизистой оболочке, но после наращивания этот процесс ускорится и проявит себя во всей красе: покраснением глаз, гнойными выделениями, зудом, резью.
- Забытые линзы. Многие девушки носят контактные линзы, это обстоятельство не является противопоказанием к проведению процедуры. Главное условие: не забыть снять контактное средство для коррекции зрения перед сеансом наращивания, оно может стать причиной боли и покраснения, потому что впитывает пары клея.
- Ваши глаза обладают повышенной чувствительностью. Это не совсем аналогично аллергии, но при особой предрасположенности, конъюнктива глаз может отреагировать стойким покраснением и болью. Сохраняться симптомы могут 2-3 дня, если по истечении этого срока они не устранились — обратитесь к врачу.
Это основные провокаторы болезненных ощущений после наращивания ресниц. Если вы хотите, чтобы процедура не принесла вам лишних переживаний, их нужно обязательно учитывать.
Что делать, если появилась боль в глазах после наращивания
В первую очередь, не надо проявлять героизм, если вы испытываете боль, дискомфорт, обязательно скажите об этом мастеру. Зачастую при излишней мнительности может сложиться и абсолютно противоположная ситуация: незначительное покалывание или слабое жжение вызовет панику. И это представляет большую сложность.
Лэшмейкеру приходится полагаться только на субъективную оценку состояния с вашей стороны и уже исходя из вашего описания ощущений принимать решение как поступить: продолжать процедуру или срочно снимать наращённый материал и оказывать помощь. Поэтому нужно очень тщательно прислушиваться к своим чувствам.
Симптомы, которые без всякого сомнения требуют экстренной медицинской помощи:
- невыносимая боль;
- обильное слезотечение;
- усиливающийся отёк глаз и лица;
- затруднение дыхания;
- заложенность носа, чихание;
- сильное покраснение кожи век и белков глаз;
- крайне редко возможна отслойка кожи окологлазничной области.
Эти признаки могут появиться как сразу после процедуры, так и в течение первых суток после неё. Они могут говорить о том, что происходит сильная аллергическая реакция или химический ожог.
Что делать в таких случаях?
- Снять наращённые ресницы. Если реакция идёт по нарастающей и нет времени на растворение клея ремувером, то искусственные ресницы приходится срезать вместе с настоящими.
- Тщательно промыть глаза. Можно проточной водой, но лучше стерильным физиологическим раствором.
- Принять антигистаминный препарат.
- Если состояние не улучшается, вызвать скорую. В любом случае, нужно обязательно обратиться к врачу.
- Для устранения воспаления и увлажнения конъюнктивы можно использовать глазные капли: флоксал, левомицетиновые, визин, альбуцид и пр.
Если же симптомы не столь устрашающие, они пройдут самостоятельно, при условии, что вы будете соблюдать рекомендации по некоторым ограничениям после процедуры.
Как снизить риск появления болевых ощущений после процедуры
Вот несколько полезных советов, которые помогут вам избежать серьёзных последствий после наращивания ресниц:
- Доверяйте заботу о красоте только опытным и квалифицированным мастерам, которым важна их репутация и безупречный эффект после наращивания ресниц
- При проведении сеанса в домашних условиях всегда велик риск занесения инфекции, так как невозможно обеспечить стерильные условия, надлежащую температуру и влажность воздуха (а это тоже важные параметры, от которых зависит скорость высыхания клея и рассеивания его паров). Поэтому лучше проводить процедуру в салоне, где все эти требования учтены.
- Если у вас есть какие-то проблемы со здоровьем, отложите наращивание. Конечно, вы можете скрыть от мастера своё недомогание, но, как правило, тайны становятся явными при не очень благоприятных обстоятельствах. Поэтому не стоит подвергать неоправданному риску себя и специалиста.
- Некоторые девушки, знающие о возможности развития аллергии, подстраховываются перед процедурой принятием антигистаминных средств за 3-4 дня до сеанса и после него. Такой вариант возможен, если вы заранее обсудите его со своим лечащим врачом, который сможет оценить степень агрессии аллергии и предполагаемого риска.
- Если на процедуру вы решились впервые, но до этого в течение жизни у вас нередко случались эпизоды негативной реакции на косметику, например, появлялась отёчность, сыпь, зуд в глазах и в носу, то лучше не экономить время, а провести тест на переносимость компонентов, которые будут использоваться в работе над вашей внешностью.
- В течение нескольких дней (3-4) откажитесь от посещения бани и сауны: влажный и горячий воздух размягчает свежий клей и усиливает выделение его испарений, которые могут вызывать негативную симптоматику.
- И обязательно во время процедуры старайтесь не шевелиться, не открывать глаза, не использовать мимику.
- Работа над созданием нового образа, которую проводит квалифицированный мастер должна приносить только радость от преображения, а не страдания и боль.
Тщательно подходите к выбору лэшмейкера, прислушивайтесь к своему здоровью и приходите с хорошим настроем на новый великолепный образ. В большинстве случаев этих составляющих достаточно, чтобы наращивание прошло без эксцессов.
Выпадение ресниц (мадароз): причины и лечение

Такое неприятное происшествие как выпадение ресниц многим из нас знакомо не понаслышке. Поэтому важно знать не только основные причины подобного явления, но и эффективные способы борьбы с проблемой.
Ведь иногда редеющие ресницы могут представлять не только угрозу для внешнего вида человека, а свидетельствовать о некоторых достаточно серьезных заболеваниях. Причем стоит отметить, что не стоит бить тревогу из-за каждой выпавшей волосинки, определенные потери в данном смысле вполне оправданы и являются свидетельством естественной регенерации.
Но если выпадение ресниц в несколько раз превышает их рост и ваши веки в полном смысле слова начинают лысеть, то к специалисту стоит обратиться незамедлительно.
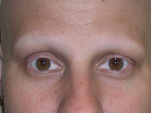
Полное выпадение ресниц
Даже не очень интенсивное выпадение ресниц может стать причиной тревоги и беспокойства пациента, о полной потере волосяного покрова и говорить не приходится.
https://youtube.com/watch?v=zDmhqwa122g
В большинстве случаев подобный процесс обратим, и при наличии должного лечения достаточно легко поворачивается вспять. Но некоторые виды травм или лучевая терапия при лечении раковых опухолей может способствовать полной потере волосяного покрова по всему телу и на веках в том числе.
Возвратить утраченные таким образом ресницы удается не всегда, но отчаиваться не стоит, ведь современные медицинские учреждения могут оказать эффективную помощь даже в таком вопросе.
Как правило, при полном выпадении ресниц пациенту предлагается провести их трансплантацию. Хоть подобная процедура требует некоторых финансовых затрат со стороны пациента и высокой квалификации врача, но результат всего этого определенно стоит.
Почему выпадают ресницы у женщин и мужчин? Как можно остановить данный процесс?

Каждый день здоровый человек теряет от 3 до 5 ресниц. Данный показатель принято считать нормой.
Однако в том случае, когда это число значительно возрастает, у человека образуется веский повод для беспокойства.
Существует огромное множество причин, способных спровоцировать потерю ресничек: одни из них достаточно легко корректируются, а другие требуют немедленного лечения.
Кроме того, существует множество сопутствующих симптомов, позволяющих определить конкретную причину выпадения. К основным из них можно отнести:
- припухлость века;
- зуд и жжение в глазах;
- шелушения на веке;
- образование гнойничков;
- выраженное покраснение тканей и слизистой.
В зависимости от симптомов необходимо обращаться за помощью либо к офтальмологу, либо дерматологу.
Почему выпадают ресницы: причины
Существуют десятки причин, вызывающих чрезмерное выпадение волосков. К наиболее распространенным относятся:
- использование некачественных косметических средств;
- нарушение питания;
- различные заболевания глаз и век;
- внутренние заболевания.
Иногда выпадение может сигнализировать о наличии достаточно серьезных заболеваний.
При обнаружении подобного симптома важно пройти комплексное обследование и сдать ряд анализов.
Есть ли отличия в причинах выпадения ресниц у мужчин и женщин?
Например, у женщин выпадение часто провоцирует некачественная косметика или гормональный сбой после родов.
У мужчин выпадение чаще всего возникает на фоне инфекций или нехватки витаминов.
Наиболее распространенные причины
Как было отмечено выше, ресницы могут выпадать по самым разным причинам. К наиболее распространенным следует отнести:
- нехватку витаминов и микроэлементов — при этом поредение волосяного ряда является единственным внешним симптомом. Потерев глаз, на пальце может остаться до 7-8 волосков;
- использование некачественной косметики — в данном случае химические компоненты средства влияют на волосяные фолликулы, разрушая их и вызывая потерю волосков. Из дополнительных симптомов можно отметить покраснение глаза и века, а также сильный зуд;
- воздействие лекарственных препаратов — особенно часто на этом фоне волоски выпадают у больных, проходящих лечение от онкологии.
Почему выпадают нарощенные ресницы?
В процессе наращивания с помощью специального клея к натуральному волоску приклеивают один, два или три синтетических.
Выпадение после наращивания может быть обусловлено следующими факторами:
- нарушением технологии наращивания. При этом выпадать волоски начинают практически сразу после процедуры или через пару дней после нее;
- естественным выпадением. Так как синтетические волоски приклеены к натуральным, то их выпадение происходит одновременно.
Сколько растут ресницы после выпадения?
Также стоит знать, что около половины верхних ресниц и треть нижних находятся в состоянии «спячки». Рассмотрим процесс роста волосков поэтапно:
- формирование фолликула.Постепенно под «старой» ресницей начинает формироваться новый фолликул.
Как только он созревает, происходит выпадение волоска, «отслужившего» свой век;
- активный рост. Фаза, когда ресничка активно растет, занимает в среднем от 1 до 1,5 месяцев. После этого ее рост прекращается;
- жизненный цикл. После того, как рост волоска остановился, она «живет» от 3 до 6 месяцев, затем процесс повторяется по кругу.
Почему нарощенные ресницы выпадают вместе со «своими»?
Все дело в специальном клее, который надежно соединяет нарощенные реснички и не дает им отпадать отдельно от «своих».
Клей устойчив к воздействиям влаги и температуры.
Лечение и профилактика проблемы
Как и любую другую проблему, выпадение волосков проще предотвратить, нежели лечить в течение долгого времени.
Среди профилактических мер следует выделить следующие:
- необходимость выбирать только качественные косметические средства. Лучше всего отдавать предпочтение профессиональной косметике;
- важно следить за сроком годности продукта, соприкасающегося с глазами и веками;
- отдавать предпочтение продуктам с натуральным или гиппоаллергенным составом;
- регулярно принимать витаминные комплексы:
- не пользуйтесь чужими полотенцами и средствами индивидуальной гигиены;
- тщательно мойте руки, прежде чем поднести их к глазам;
- в бассейне надевайте специальные защитные очки.
Косметические средства
На сегодняшний день на рынке представлено огромное множество косметических продуктов для лечения данной проблемы.
Выбор того или иного средства должен осуществляться индивидуально. Несмотря на это можно выделить общие принципы по подбору косметических средств:
- лучше всего выбирать препараты с содержанием токоферола и ретинола. Они позволяют восстановить структуру волосков, восстанавливают обмен веществ в волосяных луковицах и предотвращают выпадение;
- в составе может быть касторовое масло. Данный продукт ужу долгие годы входит в число самых эффективных средств по уходу за ресницами;
- для защиты выбирайте гели с витамином С и керотином.
Народные средства против выпадения
Народные методы могут отличаться достаточно высокой эффективностью.
Кроме того, их применение возможно в качестве дополнения к основному лечению.
Наиболее популярными рецептами при этом являются:
- маски для ресниц с касторовым маслом.Для этого масло немного подогревают на водяной бане и наносят на волоски. Держат маску не более 20 минут.
Важно убедиться, что у вас нет повышенной чувствительности, так как в результате аллергии ситуация может значительно усугубиться;
- компресс из ромашки.Данное средство хорошо помогает в том случае, если проблема вызвана инфекционными заболеваниями.Для этого необходимо приготовить отвар из ромашки любым, удобным для вас способом.
Затем в жидкости смачивают марлевый тампон и на 20-30 минут прикладывают к глазам.
Именно поэтому, перед выбором того или иного метода, необходимо проконсультироваться с окулистом и дерматологом.
Причины и лечение данного явления у ребенка
Выпадение ресниц у детей может происходить по следующим причинам:
- возникновение стрессовой ситуации. Например, при переводе ребенка в новую школу. В этом случае единственным выходом из ситуации является обращение за помощью к квалифицированному психологу;
- наличие инфекционных заболеваний. К таковым можно отнести конъюнктивит или ячмень. Лечение при этом назначается окулистом;
- гормональные проблемы. Чаще возникают у подростков. Лечение при этом должно назначаться исключительно эндокринологом;
- наследственная предрасположенность.Данную проблему можно предсказать заранее.
Если у ближайших родственников ребенка наблюдалось повышенное выпадение ресниц, то, скорее всего, подобная проблема образуется и у их потомства;
- прием лекарственных препаратов. Корректировать проблему можно заменой препарата или полным отказом от него.
Из данного видео вы узнаете, что можно сделать если выпадают ресницы:
Под выпадением ресниц могут крыться достаточно серьезные заболевания.
В том случае, если ресницы редеют с невероятной быстротой или у вас появились сопутствующие симптомы, немедленно обратитесь за медицинской помощью.
Статья была полезной?



