Последствия УЗИ у женщин

Гинекологи отдают предпочтение трансвагинальному УЗИ, которое дает четкую картину состояния органов малого таза. Оно может назначаться беременным женщинам, так как помогает проследить за развитием плода, выявить даже незначительные аномалии и определить причину повышенного тонуса живота. Почему предпочтительна именно такая диагностика в каждом случае решает врач.
После окончания процедуры допускаются скудные коричневые выделения, может болеть низ живота и голова, возможен тонус. Тревожиться следует, если начались обильные кровавые выделения, а общее самочувствие резко ухудшилось.
Данная диагностика у беременных не должна быть причиной длительного повышенния тонуса, обильных коричневых или кровавых выделений, схваток (болит и тянет низ живота и поясница). В противном случае нужно наблюдение специалиста.
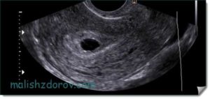
Процедура трансвагинального УЗИ
УЗИ плода трансвагинальным методом можно делать женщинам на ранних сроках беременности, но не позднее 12 недель.
Преимущество вагинального УЗИ заключается в том, что оно позволяет разглядеть даже мелкие кисты яичника, воспалительные процессы, миомы.
У беременных женщин анализы (мазок) и такое обследование способно дать точную оценку развитию плода. Если присутствует гипертонус, диагностика определяет причину его повышения и помогает принять меры по устранению угрозы.
Данная процедура – единственный вариант информативного осмотра пациенток с ожирением.
Следует помнить, что при всех своих преимуществах, трансвагинальное УЗИ имеет ряд недостатков. Сама процедура многими женщинами отмечается как неприятная, а после нее иногда появляются коричневые выделения, живот удерживается в напряжении (тонус) и может начать болеть низ спины. В норме все эти симптомы слабо выражены и вскоре проходят.
Перед УЗИ рекомендуется сдавать мазок на инфекции. Мазок чаще всего берут из уретры, шейки матки и влагалища. Это помогает определить наличие воспалений или ЗППП.
В сочетании с результатами ультразвукового исследования, мазок помогает быстро выявить причину воспалений, увеличения яичника и болей внизу живота.
Особенности УЗИ
При соблюдении рекомендаций, вероятность раздражения стенок влагалища при УЗИ снижается в разы. Однако датчик может стать причиной микротравмирования тканей, поэтому после обследования возможны коричневые выделения, а низ живота может болеть. В редких случаях наблюдаются головные боли, тонус живота или пульсирующие боли в области яичников.
Если неприятные ощущения обретают агрессивную динамику, в виде усиления болевых симптомов, снижения аппетита, увеличения температуры тела, а коричневые выделения сменяет кровь, необходимо срочно обратиться к врачу. Если после процедуры раньше срока пошли месячные, пугаться не стоит, но сказать специалисту следует. Определить, что это именно менструации, а не опасное кровотечение, должен врач.
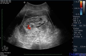
Во время обследования специальный датчик вводится во влагалище. Пациентка должна расслабить мышцы тазового дна и следить за своим дыханием.
Когда врач проводит прибором по нижней стенке влагалища, допускается наличие дискомфорта, но не острой боли.
В большинстве случаях, раздражение, вызванное обследованием, сопровождается кратковременными коричневыми выделениями, поэтому паниковать не следует.
В зависимости от цели обследования врач выбирает подходящую фазу цикла пациентки. Например, чтобы понять, как работает яичник, УЗИ проводят на 5, 9, 11-15 дни цикла. Перед тем как делать УЗИ, можно сдавать мазок на инфекции и другие анализы.
Почему после УЗИ возникают боли?
Что может беспокоить женщину после УЗИ?
Трансвагинальное УЗИ назначают часто, так как эта процедура информативна и безопасна для пациентки и, если женщина беременна, для плода.
Тем, у кого имеются жалобы на самочувствие, например, до процедуры болит яичник так сильно, что иногда трудно наступать на пятки, следует понимать, что после исследования потревоженный ультразвуком орган будет неспокоен.
Это может проявиться как болью внизу живота в целом или как пульсация в той зоне, где расположен воспаленный яичник.
https://youtube.com/watch?v=olfxHFRP0sI
У пациенток с гипертонией, из-за перенесенного волнения и страха, после обследования может болеть голова и даже пойти кровь из носа. Тем, кто страдает гипертонией, необходимо поставить в известность врача. Таким женщинам перед трансвагинальным УЗИ и после него обязательно проверяют артериальное давление.
При исследовании существует риск занесения инфекции, который возрастает в случае проведения биопсии. Врачу следует сообщить, если после УЗИ у вас повысилась температура, живот болит и напряжен (тонус), не прекращает болеть яичник.
Внимания требует появление не только кровавых, но и коричневых выделений у беременных. Не беременным женщинам нужно связаться с врачом, если повысилась температура и пошли болезненные месячные, наблюдается тонус, тянет низ живота или яичник, не прекращаясь, болит голова.
Исключить инфицирование поможет взятый на изучение мазок.
Что делать после УЗИ?
Если после УЗИ начались коричневые выделения, которые затем превратились в кровь, а общее самочувствие ухудшилось, нужно показаться специалисту. Чтобы исключить инфекции желательно срочно сдать мазок.
Возможно, что это просто пошли менструации, которые порой сопровождаются тонусом (напряжен низ живота) и болями (при воспалениях яичника).
Однако начались ли критические дни или имеет место осложнение, должен решать гинеколог.
На вопрос о том, почему после процедуры могут быть выделения, врачи часто отвечают, что тут большую роль играет мнительность пациенток. Однако в следующих случаях необходима консультация специалистов:
- живот в тонусе (при беременности);
Гипертонус матки во время беременности
- обильные коричневые выделения (при беременности);
- низ живота болит и тянет;
- пошли кровавые сгустки или алая кровь;
- сразу после процедуры начались месячные;
- держится повышенная температура тела;
- беспокоит яичник, особенно при ходьбе;
- сильно болит голова;
- повысилось артериальное давление.
При наличии перечисленных симптомов, врач может провести ряд исследований, в том числе взять на анализ мазок. Поэтому если появилась кровь, не гадайте. Только гинеколог определит, пошли ли это менструации или женщине требуется срочная госпитализация.
Беременным следует помнить, что если живот в тонусе, а низ тянет, то это говорит о начале преждевременных схваток. Во время беременности опасны любые выделения, даже коричневые и скудные, а тем более, если они кровавые. Исключить инфицирование поможет взятый на изучение мазок и полное обследование. От женщины требуется бдительность и послушное выполнение рекомендаций врача.
Бывают ли выделения после УЗИ

Светло-коричневые выделения после УЗИ в некоторых случаях могут быть нормой, однако нередко они появляются по другим причинам. Данный вид анализа является плановым. При помощи ультразвукового исследования определяется, есть ли заболевания у ребенка, какой у него пол и т.д.
Иногда женщины наблюдают выделения после УЗИ, особенно это касается трансвагинального исследования. Зачастую их вызывает не сама диагностика, а другие факторы, которые могут нести угрозу для женщины и ребенка.
Что делать если после УЗИ пошла мазня
Вагинальное УЗИ зачастую выполняется на ранних сроках беременности. С начала второго триместра такое исследование – не распространенная практика, однако имеет ряд показаний в отдельных случаях. С его помощью можно оценить состояние шейки матки, определить предлежание детского места и т.д.
Данное исследование, как и обычное УЗИ, не влияет на плод негативно и не должно иметь плохих последствий. Так, если после ультразвукового исследования появились кровянистые выделения, следует обратиться к гинекологу, так как эти симптомы могут говорить о развитии патологии.
УЗИ является безопасным, его проводит врач. Заражение через прибор инфекциями исключается, так как на датчик перед вводом надевается специальный презерватив. Заставить делать трансвагинальное УЗИ врач женщину не вправе, однако, именно с помощью данного исследования можно определить внематочное зачатие и другие патологии. Поэтому рекомендуется прислушаться к врачу.
Коричневые выделения после УЗИ при беременности
Существуют разные причины, по которым наблюдаются коричневые выделения после трансвагинального УЗИ. Они часто связаны не с самой процедурой, а с процессами в организме женщины. Так, они могут свидетельствовать об имплантации плода. Этот процесс естественен и является нормой.
Есть и другие причины, провоцирующие кровяные выделения, они не являются физиологическими и требуют лечения:
- Эрозия шейки матки может спровоцировать коричневый секрет после УЗИ.
- Инфекционные патологии.
- Нарушения в развитии беременности, в том числе внематочное зачатие.
- Отслоение плаценты.
Следует помнить, что УЗИ не провоцирует развитие проблемы, а помогает ее обнаружить.
Можно ли делать УЗИ при беременности
Вопросы о том, можно ли делать УЗИ малого таза большое количество раз, не вредит ли это женщине и ребенку, способно ли УЗИ вызвать кровотечение, актуальны. Само по себе УЗИ является выдачей УЗ – частот из специального приемника, который направляется на часть тела, которую нужно исследовать, в том числе на органы малого таза.
Излучаемый звук отражается от тканей, полученное «эхо» распознается прибором. Сигнал звука превращается в электрический, обрабатывается и появляется на экране монитора. Официальных подтверждений тому, что УЗИ несет опасность, нет. В связи с этим данный вид диагностики считается наиболее безопасным, быстрым и точным способом оценки состояния беременности.
При помощи УЗИ выявляются различные патологии, отклонения в развитии у ребенка. По результатам обследования определяется наиболее безопасный вариант родоразрешения.
Причины появления выделений после УЗИ
Причин коричневатого секрета во время беременности много, и не все они связаны с ультразвуковой диагностикой.
В отдельных случаях секрет, связанный с процедурой может появиться, если:
- Органы половой системы имеют высокую чувствительность.
- Органы репродуктивной системы снабжены большим количеством крови в связи с расширением сосудов.
- Была задета шейка матки.
Выделения, возникающие после такого вида исследования должны быть скудными, по времени они длятся недолго. В редких случаях в процессе осмотра могут появиться небольшие травмы на внутренней поверхности влагалища. Отделяемая кровь смешивается с обычными выделениями, в связи с этим можно заметить коричневатые бели длиной 1-2 дня.
Возможные последствия
Исследование считается одним из наиболее безопасных способов проверки развития беременности. Некоторые неприятные симптомы могут появиться после вагинального УЗИ. Абдоминальная диагностика, как правило, не несет никаких негативных последствий.
После УЗИ нормой могут быть следующие состояния:
- Неприятные ощущения внизу живота.
- Напряжение живота.
- Скудный секрет коричневатого оттенка.
Чтобы узнать точно, какие последствия может принести исследование, следует посоветоваться с врачом. Если длительное время женщина чувствует напряжение или боли в животе, появляются кровянистые выделения, нужно обратиться к гинекологу. Возможно, такие симптомы – не следствие УЗИ, а развивающиеся заболевания, которые представляют опасность для женщины и ребенка.
Какие еще могут быть причины коричневых выделений или выделений с примесью крови при беременности
Выделение крови во время беременности – опасный симптом, который требует срочного обращения к врачу. Нередко он сопровождается болями в области живота и другими неприятными ощущениями. Единственный вариант нормы, когда кровь при вынашивании не несет опасности – имплантационное кровотечение.
Какие патологии сопровождаются кровяным секретом:
- Самопроизвольный аборт – чаще всего возникает на ранних сроках, в первые три месяца. Может произойти в результате повреждения плода. Признак выкидыша – судороги, боль в области поясницы и кровотечение. В таком случае требуется обратиться к врачу, возможно, понадобиться сдать дополнительные анализы.
- Внематочная беременность – возникает, когда оплодотворенная яйцеклетка прикреплена вне матки. Такое состояние является опасным, оно может привести к внутренним кровотечениям, несвоевременное устранение патологии приводит к бесплодию, другим негативным последствиям.
- Предлежание плаценты – аномальное ее расположение. Может привести к появлению кровотечений. Женщинам с таким отклонением может потребоваться сохранение беременности в условиях больницы под наблюдением врачей.
- Отслоение детского места – плацента полностью или частично отделяется от маточной стенки. Состояние сопровождается болями и кровотечениями, представляет большую опасность.
Некоторые выделения могут быть не связанными с беременностью – нередко они свидетельствуют о развитии эрозии, прогрессировании ЗППП, некоторых инфекционных и грибковых болезнях, гормональных патологиях. Могут возникнуть из-за травм, в том числе во время полового контакта. Появление кровянистого вагинального секрета требует консультации врачей.
Когда стоит беспокоиться
В норме выделения не должны иметь посторонних оттенков. Не патологическим считается секрет молочного цвета, который не вызывает дискомфорт, не имеет аромата. Отделяемое не должно иметь большой объем, консистенция в норме однородная, без посторонних вкраплений. В ином случае нужно обратиться к гинекологу.
Что делать
При появлении болей, посторонних выделений следует проконсультироваться с врачом. Возможно, нужно будет сдать дополнительные анализы, мазок и пройти УЗИ, чтобы определить, какие процессы происходят в организме. Самостоятельно не рекомендуется принимать никакие лекарства, только гинеколог сможет назначить действенную терапию.
Когда обратиться к врачу
При появлении белей с посторонним запахом, неестественного цвета, нужно проконсультироваться с врачом. Беспокойство должны вызывать дискомфорт, выделения зеленоватого или желтого цвета, а также серые, белые бели неоднородной консистенции, кровяное отделяемое, прозрачные обильные выделения как вода.
Профилактика
В качестве профилактики развития патологий во время беременности нужно при планировании зачатия пройти обследования, вылечить заболевания, инфекции. Во время вынашивания особую угрозу для плода несут ЗППП, они могут привести к инфицированию плода, преждевременным родам и другим отклонениям.
Нужно своевременно проходить все плановые обследования, соблюдать рекомендации врача. Важно отказаться от вредных привычек и вести здоровый образ жизни, правильно питаться.
Выделения после УЗИ при беременности

УЗИ во время беременности является плановым, регулярным и одним из самых необходимых исследований. По результатам такого осмотра можно сказать о развитии плода, вовремя заметить различные патологии, узнать пол и т.д. Однако иногда случается, что после него наблюдаются некоторые неприятные последствия.
Одним из таких являются выделения после УЗИ. Согласно м на многочисленных женских форумах беременные наблюдают светло коричневые, коричневые, кровянистые и розовые выделения во время беременности после ультразвукового исследования.
Какова причина их появления и чем это грозит матери и ребенку – разберемся ниже.
Вредно ли УЗИ при беременности?
Разберемся сначала об опасности ультразвукового исследования вообще.
Само по себе оно представляет собой выдачу ультразвуковых частот из специального приемника, который направляется на исследуемый орган или область тела.
Излучаемый звук отражается от каждой из тканей, полученное «эхо» считывается тем же аппаратом. Сигнал из звукового превращается в электрический, анализируется программой и отображается на экране.
На сегодняшний день официальных доказательств вреда УЗИ не существует, хотя попытки исследования влияния высоких частот на плод предпринимались не раз. Все они сводились к тому, что звуковые волны способны изменить структуру ДНК.
Результаты испытаний не подтвердили негативное воздействие этого вида исследования на ребенка, поэтому до сих пор это считается самым удобным и достоверным способом собирания сведений о развитии беременности. Именно данная методика позволяет выявить множество возможных патологий, заболеваний у ребенка, а также определить способ безопасного для матери родоразрешения (естественным путем или кесарева сечение).
Трансвагинальное УЗИ на ранних сроках
Данный вид исследования в кругу врачей считается более точным. Обычно именно он назначается для изучения состояния органов малого таза. Возможным считается также его применение при беременности на ранних сроках.
По результатам вагинального УЗИ можно выяснить стадию развития плода, рассмотреть самые незначительные аномалии и выяснить причину повышенного тонуса живота. Насколько необходимо проведение этой процедуры на маленьком сроке, решает непосредственно врач. Обычно это связано с какими-то патологиями, заболеваниями матери или проявлении негативных симптомов (кровотечение, боли внизу живота).
Таким методом допускается проводить изучение состояния плода на сроке до 12 недель. При этом в совокупности с анализами (мазками) он даст более точную картину. Однако большинством женщин процедура признается довольно неприятной, поэтому без указания на то гинеколога, ее обычно не проводят.
Последствия УЗИ
Говоря о каких-либо последствиях после ультразвуковой диагностики, имеют в виду вагинальное исследование. Как правило, после абдоминального УЗИ (через переднюю стенку живота) неприятных симптомов не наблюдается. Так, по окончанию процедуры допустимым считается следующее состояние:
- непродолжительные головные боли;
- боли внизу живота;
- тонус живота (напряжение);
- скудные светло-коричневые выделения.
Все эти симптомы в норме быстро проходят и не требуют обращения к врачу. Тревогу у женщины должно вызвать резкое ухудшение самочувствия, длительный повышенный тонус брюшной области, схваткообразные боли внизу живота и в пояснице, обильные кровянистые выделения. Во всех этих случаях необходимо сразу обратиться к своему лечащему врачу.
Какие еще могут быть причины коричневых выделений или выделений с примесью крови при беременности?
Выделения сами по себе являются симптомом множества разных состояний, заболеваний и патологий. Если у вас начались коричневые выделения сразу после УЗИ, то нужно подождать пару дней. В том случае, когда неприятный симптом не проходит, есть вероятность, что вагинальное исследование просто совпало с проявлением какого-то заболевания или спровоцировало его острое течение.
Среди всех причин этому явлению можно выделить следующие самые распространенные:
- Меструация. Бежевые и коричневые выделения при беременности могут появиться, когда в матке осталось немного менструальной крови.
- Имплантация. Имплантационное кровотечение – это нормальное явление, которое обязательно происходит спустя 2 недели после зачатия.
- Вирус. В этом случае окрашенный в розовые и коричневые тона секрет — результат присутствия в организме беременной женщины вируса папилломы человека;
- Эрозия шейки матки или полип. Кровяные выделения на ранних сроках могут быть следствием эрозии или полипов шейки матки – эти патологии гинеколог сразу заметит на осмотре и сообщит вам. Изучите статью, описывающую выделения при эрозии шейки матки во время беременности.
- Инфекции. Наличие инфекционных заболеваний (ИППП) или воспалительных процессов тоже вызовет подобный признак.
Выяснить достоверную причину появления выделений можно лишь с помощью проведения гинекологического осмотра и ряда анализов.
Помните, что необычные выделения могут быть не только следствием проведения УЗИ, но и результатом различных патологий и заболеваний.
В любом случае лучше всего обратиться за консультацией к специалисту, ведь своевременная диагностика многих негативных состояний способна предотвратить более серьезные проблемы со здоровьем матери и ребенка.
Выделения после УЗИ (малого таза): кровянистые, мажущие, коричневые

Вагинальная секреция – естественное проявление функционирования женской репродуктивной системы. В норме бели имеют прозрачный или мутно-белый цвет и тянущуюся слизистую консистенцию.
Они в зависимости от фазы цикла, становится более густыми и кремообразными. Выделения с кровью, не связанные с месячными, настораживают и пугают представительниц прекрасного пола.
Имеет ли появление крови в белях опасное значение или беспокоиться не стоит?
Норма или патология
Подобное явление может сопровождать гормональные процессы в женском организме и являться вариацией нормы. Чтобы понять, почему идут кровавые бели и предвещают ли они потенциальную угрозу здоровью, имеет смысл подробно разобраться в естественных случаях их возникновения.
Начало полового созревания
Кровянистая вагинальная секреция у девочек до 10 лет всегда является патологией. Причиной такого явления могут оказаться заболевания мочеполовой системы, воспалительные процессы пищеварительных органов, нарушения полового созревания.
Важно! Половая секреция у девочек начинается примерно за год до начала первой менструации. До этого каких-либо выделений в норме быть не должно.
В период полового созревания девушек могут беспокоить нежеланные бели с кровяными примесями. Изменения гормонального фона приводят к колебаниям цикла.
Небольшие кровянистые мажущие выделения, обычно связаны с менструацией, которая может наступать нерегулярно – раз в несколько месяцев или же чаще одного раза в месяц. Такой процесс находится в пределах нормы, однако требует постоянного наблюдения у врача.
Обильная секреция или кровотечение вместо месячных говорят о наличии патологических процессов в организме, которые нужно незамедлительно диагностировать и лечить.
Овуляция
Слизистые выделения у женщин, тянущиеся как сопли с кровью, появляются при овуляции. В середине менструального цикла, перед тем как выйти, созревшая яйцеклетка провоцирует гормональный скачок.
Он сопровождается ослаблением эндометрия и разрывом фолликула, содержащего кровяные капилляры. В результате чего, кровь смешивается с влагалищной секрецией и выходит наружу.
При овуляции подобное явление является вариацией нормы и не повод для беспокойства, если кровянистые незначительные выделения появляются без боли.
Справка: Наличие алых примесей в этот период у одних женщин, и их отсутствие у других, объясняется объемом крови, выделяемой из фолликула.
У кого-то её меньше из-за меньшего количества сосудов и капилляров. Таким образом, объем выделяемой крови настолько мизерный, что остается незамеченным и выходит наружу с мочой.
Секреция с содержанием выделений коричневого цвета говорит, что кровь уже успела окислиться.
Поводом для беспокойств может стать наличие неприятного запаха у выделений, боли в животе и боку, повышение температуры тела, головная боль, быстрая утомляемость. А также необходимо обратиться к врачу, если выделения, выглядящие как слизь – прозрачная и тянущаяся с кровью, слишком обильные и длятся больше двух дней.
Беременность
Отдельного внимания требуют кровянистая секреция у беременных женщин. Подобный признак необязательно говорит о наличии патологии или угрозы жизни плода. С наступлением оплодотворения, появление кровянистых не обильных выделений из влагалища, может свидетельствовать о гормональной перестройке организма и закреплением зародыша.
Важно! Кровомазание на любых сроках беременности требует немедленной консультации с врачом.
Помимо естественных причин, наличие таких выделений может предупреждать о таких состояниях:
- Воспалительное заболевание или инфекция.
- Отслойка плаценты.
- Вероятность преждевременных родов.
- Угроза выкидыша.
Кровянистая вагинальная секреция характерна для послеродового периода. В первые часы после родов они обильные, бордового цвета. Затем их количество становится более скудным. Такая секреция наблюдается около 2 месяцев, пока не урегулируется менструальный цикл. Мажущие кровяные скудные выделения могут наблюдаться во время грудного вскармливания и сразу после него.
Для послеродовой кровянистой секреции актуально постепенное уменьшение объема. Отклонение от нормы — повод для обращения за врачебной помощью.
Менопауза
С наступлением климакса до полного прекращения менструации проходит примерно год. За это время, женщины могут наблюдать у себя мажущие бели коричневого цвета. Они связаны с нерегулярным циклом, когда менструация наступает раз в 2–4 месяца, в самое неожиданное время.
Бели с кровянистыми примесями могут появиться вследствие снижения уровня эстрогена во время климакса. Стенки влагалища теряют эластичность, слизистая пересыхает, что приводит к микротрещинам и повреждениям.
После окончания этого периода и с наступлением менопаузы, кровянистых белей наблюдаться не должно.
Аборт
Сразу после искусственного прерывания беременности, неизбежно наблюдаются выделения обильного характера у женщин с кровью коричневого оттенка. Затем они приобретают вид обычной менструации со сгустками крови.
Сигналом патологии может стать длительность кровавых выделений более двух недель или их резкое прекращение раньше срока.
Другие причины
Влагалищная секреция с примесями крови, далеко не всегда признак заболевания гинекологического характера. Среди дополнительных причин отметим следующие:
- Аллергия на ткань белья, интимное мыло, лубриканты или же на средства для стирки. Цвет выделений приобретает алый оттенок, без прожилок. Исключением является период овуляции, когда такая консистенция в пределах нормы. А также характерно для аллергической реакции то, что если выходят кроваво-алые выделения, они сопровождаются небольшой припухлостью.
- Травмы слизистой оболочки вагины после грубого полового акта, недостаток естественной смазки, использование интимных игрушек.
- Послеоперационное восстановление.
- Механическое повреждение слизистой после гинекологического осмотра или сдачи мазка из шейки матки. В норме, необильные кровянистые и мажущие выделения, проходят спустя сутки.
- Установка внутриматочной спирали.
- Нарушение графика приема гормональных контрацептивов.
- Сбой гормонального фона после приема средств экстренной контрацепции.
- Заболевания эндокринной системы. Нестабильный гормональный фон ослабляет клетки эндометрия.
- Прием лекарственных препаратов, влияющих на свертываемость крови.
Признаки отклонения от нормы
Вышеперечисленные обстоятельства являются вариацией нормы для здоровой женщины. Однако при их проявлении не следует пренебрегать консультацией с врачом.
Кровянистые бели являются тревожным звоночком и свидетельствует о развитии гинекологических заболеваниях или мочеполовых инфекциях, когда присутствуют такие симптомы:
- Незначительные мажущие бели с кровянистыми примесями, которые не заканчиваются спустя неделю после менструации. Они дополняются общей слабостью, головокружением, тошнотой.
- Наблюдаются постоянные кровяные мажущие выделения у женщин после секса.
- Межменструальные кровотечения, сопровождаются болью и общим недомоганием.
- Белые выделения с прожилками крови, не связаны с периодом адаптации к приему оральных контрацептивов или ВМС.
- Кровянистая секреция у женщин с наступлением менопаузы.
Впервые обнаружив кровавые выделения, необходимо обратить внимание на следующие характеристики:
Цвет выделений. Может варьироваться от кроваво-красного до бордового и даже коричневого, а примеси белей – от прозрачного до мутно-белого и желтого.
Продолжительность и фаза менструального цикла: за несколько дней до месячных, более недели после их окончания, больше двух дней в середине цикла.
Недомогания: боль в животе и спине, повышенная температура тела, тошнота, головокружение.
Дополнительные симптомы: запах, зуд, жжение, высыпания на слизистой и в лобковой зоне. Даже если появился хоть один из них.
Гинекологические патологии и воспалительные процессы
Наличие выделений с кровью, может предупреждать о серьезных заболеваниях и наличии воспаления в органах малого таза.
- Мочеполовые инфекции: гонорея, трихомониаз, кандидоз, уреаплазмоз и другие. Симптоматика инфекционных заболеваний сопровождается высокой температурой, жжением, зудом и кровянистыми прожилками в выделениях у женщин, высыпаниями на слизистой и в зоне лобка.
- Воспалительные процессы: вагинит и цервицит. Провоцируют их возникновение наличие инфекций и грибковые заболевания. Кровянистые примеси в секреции сопровождаются зудом, дискомфортом в V-зоне и болью.
- Эрозия шейки матки. Заболевание может протекать почти бессимптомно из-за отсутствия болевых рецепторов в этой области. При воспалительных процессах наблюдаются постоянные кровянистые выделения после секса, боли во время полового акта.
- Эндометриоз – разрастание слоя эндометрия вне матки. Для этой патологии характерна секреция с примесями крови перед месячными, часто беспокоят тянущие боли внизу живота и пояснице, болезненные менструации.
- Эндометрит – воспаление внутренней оболочки матки. Сопровождается болями в животе, повышенной температурой, секрецией с кровяными прожилками и сукровицей.
- Синдром поликистоза яичников. Эндокринное заболевание может стать причиной сбоя менструального цикла и препятствует образованию и выходу яйцеклетки. Определить можно по таким симптомам как: скудные нерегулярные месячные, андрогенные кровянистые выделения в середине цикла, угревая сыпь, лишний вес.
- Миома. Среди симптомов болезни: дискомфортные ощущения во время полового акта, слабость, быстрая утомляемость, постоянно выделяется смазка с кровянистыми вкраплениями после секса.
- Полипы и опухоли. Симптомы заболеваний похожи с другими воспалительными процессами: болезненные половые акты, боли в животе, общая слабость. Признаком раковых образований могут быть как межменструальные кровотечения, так и кровяные выделения у женщин в период менопаузы.
- Внематочная беременность. Вагинальные кровотечения могут сопровождаться слабостью, тошнотой, головокружениями, болью в пояснице и животе. Требует немедленной госпитализации.
Многие заболевания на ранних стадиях протекают почти бессимптомно. Поэтому, впервые заметив межменструальное кровотечение, которое нельзя объяснить естественными факторами, стоит обратиться за медицинской помощью.
Диагностика и лечение
Неожиданное появление кровяных примесей в белях значит, что важно не пренебрегать обращением к специалисту. Особенно если они сопровождаются болезненной симптоматикой.
Внимание! Установить причину появления крови в вагинальной секреции возможно только при тщательной диагностике и сдаче необходимых анализов. Правильно определить наличие какой-либо патологии самостоятельно – практически невозможно.
Симптоматика многих болезней очень похожа. К тому же, не редкость когда на фоне одного заболевания, начинает развиваться другое, усложняя клиническую картину.
Чтобы определить наличие заболевания или воспалительного процесса, гинекологу потребуется подробный сбор анамнеза – симптомы, история недомогания и описание начала проблемы. А также необходим полный гинекологический осмотр, сдача анализов для лабораторных исследований и УЗИ органов малого таза.
Обнаружив кровянистые следы в выделениях не нужно тревожиться. Если подобное случилось впервые, стоит обратиться к доктору. В дальнейшем наблюдайте за процессом и ответственно относитесь к беспокоящим вас симптомам. Помните, своевременное обнаружение заболевания – ключ к успешному выздоровлению.
Стоит ли переживать из-за выделений после узи
Беременность – долгожданное и важное событие в жизни каждой женщины. И чтобы убедиться в том, что формирование и развитие плода происходит без отклонений, необходимо периодически делать УЗИ (ультразвуковое исследование).
Однако иногда у женщин после его проведения появляется кровавая или коричневая мазня, которая, естественно, выводит их из равновесия и вселяет страх за своего будущего ребенка.
Но являются ли выделения после УЗИ опасными? И с чем может быть связано их наличие? Попробуем в этом разобраться.
3 причины выделений после УЗИ при беременности на ранних сроках

На странные выделения после УЗИ жалуются многие беременные женщины, сразу или через несколько часов от диагностики у них возникала темно-коричневая или розоватая мазня. Конечно, у многих зарождались сомнения, и даже паника. Некоторые даже начинают избегать исследований под страхом осложнений.
Что значит УЗИ для женщин и гинекологов?
Ультразвуковая диагностика считается самым быстрым, безопасным и информативным способом обнаружения заболеваний органов малого таза и контроля беременности.
Проводились научные исследования на предмет воздействия ультразвука на организм пациента и эмбрион в матке. Опасностей и последствий так и не выявили. Но врачи стараются не прибегать к процедуре без необходимости. За период вынашивания плода женщина обследуется через брюшную стенку (абдоминально) 3 раза.
Трансвагинальный датчик используют в первом триместре только в случае сомнительных результатов обычного УЗИ. Такой вариант помогает лучше просматривать матку и придатки из-за близости к этим органам. При процедуре во влагалище вводят тонкий прибор, на который надевают презерватив.
Времени исследование занимает не больше, чем через живот.
Какие выделения возникают после УЗИ?
Конечно, мы будем говорить о специфике вагинального метода. Абдоминальный способ не может привести к появлению подобных симптомов.
После исследования, по отзывам женщин, возникали бежевые, светло-коричневые и розоватые выделения. Они продолжались до вечера того же дня или до утра. Попутно у некоторых отмечалось напряжение живота, тянущие ощущения.
При беременности часто возникают контактные кровотечения после интимной близости, действий врача. Это следствие особой чувствительности слизистой в данный период, а также усиленного кровоснабжения половых органов. Движения прибора и задевание шейки привело к легким повреждениям. Нельзя сказать, что это нормально, но к тяжелым последствиям не приводит.
Есть также отзывы об обильных слизистых выделениях после введения трансвагинального датчика, что объясняется стандартной реакцией организма на инородный предмет. Иммунная защита усиливает выработку секрета, чтобы вытолкнуть постороннее тело.
Внимание! В результате диагностики ультразвуком не должно что-то болеть, в таком случае нужно обращаться к врачу.
Почему возникает кровянистая мазня у будущих мам после УЗИ?
Кроме, микротравм нежной слизистой причина появления коричневых выделений при беременности может быть разной. В данном случае УЗИ стало катализатором обострения заболевания, либо симптом совпал с датой проведения процедуры.
Светло-коричневые выделения на 5 неделе, по акушерским расчетам, или на 3 после зачатия являются признаком имплантации плода в полости матки. Поэтому женщина, которая не подозревала о беременности при наличии такого симптома накануне месячных или при задержке, через неделю должна провести тест, чтобы убедиться в наличии новой жизни. УЗИ на таком сроке эмбрион не выявит.
Иногда коричневая мазня в первом месяце после оплодотворения приходит в дни, соответствующие месячным. Это вытекает уже отслоившийся старый эндометрий, но подтвердить отсутствие угрозы выкидыша сложно.
Патологические состояния в репродуктивной системе почти всегда характеризуются красными и темными выделениями как при беременности, так и вне её:
- Полипы шейки или эндометрия кровят после воздействия и без причины. Если образование торчит из цервикального канала, то датчик может повредить его, что вызовет появление сукровицы, а также коричневой мазни на протяжении 2-3 дней.
- Эрозия при беременности обостряется, шейка чувствительна даже к легким прикосновениям. Выделения кровавого характера скудные.
- Инфекционные воспаления, особенно при длительном скрытом течении начинают разъедать слизистые оболочки шейки и влагалища. Темная мазня возникает без повода, но чаще после полового акта или гинекологических манипуляций. Причиной становятся ЗППП, кандидоз, вагиноз, вирусы. Помимо коричневых, отмечаются зеленые, желтые, прозрачные водянистые или клейкие и творожистые белые выделения на фоне сильного зуда половых органов. Большинство из них сопровождается изменением запаха от легкой кислинки, до сильного тухлого флера.
Киста яичника, миома, эндометриоз, аденомиоз, раковая опухоль — все эти патологии характеризуются мажущими кровянистыми выделениями, но с действием трансвагинального датчика УЗИ это никак не связано.
Подобные обстоятельства характерны не только при беременности. Эрозия, полип или воспаление у любой женщины способны привести к коричневатой мазне, если делать внутреннее ультразвуковое исследование.
На ранних сроках риск потерять ребенка в десятки раз выше. Нельзя сказать, что УЗИ трансвагинальным датчиком спровоцировало этот факт. Патологии беременности случаются из-за гормональных нарушений, нервного напряжения, после травм и прочих причин. Иногда в плодном яйце сформирован неверный набор хромосом и эмбрион просто не способен выжить.
Симптомы угрозы прерывания беременности:
- Тянет низ живота в область промежности;
- Ноет крестец и поясница;
- Выделения будут появляться обильнее;
- Цвет жидкости становится ярче;
- Возникает недомогание — головокружение, тошнота, беспричинный страх, тремор;
- В тяжелых случаях доходит до обмороков и рвоты, обильного кровотечения.
Что предпринять при необычных выделениях после УЗИ?
Небеременным женщинам необходимо сообщить о симптоме гинекологу. Если имеется эрозия, полип или другие проблемы, то на момент исследования они будут диагностированы, и врач назначит лечение. Если патологий нет, стоит сдать анализ на уровень ХГЧ, он с первой недели выявляет беременность.
При вынашивании ребенка и выделениях кровянистого характера в результате УЗИ, следует оценить симптомы:
- Светло-коричневые мажущие бели 1-2 дня без запаха, боли, зуда не требуют никаких действий. Для предотвращения проблем лучше на время отказаться от половых отношений, подъема тяжестей и излишней активности.
- Насыщенные коричневые мажущие выделения, если они длятся 3-4 суток и сопровождаются напряжением матки, тянущими ощущениями — повод внепланово посетить врача.
- Обильные темно-коричневые, алые, со сгустками бели сопровождаются выраженной болью, значит, пора вызывать скорую.
Врачи рекомендуют беременным женщинам, сколько бы ни шли выделения кровянистого типа после УЗИ, как бы они ни выглядели, соблюдать постельный режим и половой покой. А также незамедлительно посетить своего гинеколога. При любых сомнениях можно вызвать неотложку, на ранних сроках они обязаны помочь и госпитализировать пациентку для обследования.






