Перелом лучевой кости руки: лечение, срок срастания и методы реабилитации

Перелом лучевой кости руки считается одним из наиболее распространенных повреждений.
На его долю приходится почти 16% всех травм, получаемых в быту. Особенно часто он встречается у женщин в период менопаузы.
Первые упоминания о переломе можно найти в античных медицинских трактатах Египта и Китая. Уже тогда древние врачеватели обращали внимание на этот вид травмы, и составляли рекомендации по лечению и реабилитации пострадавших.
Перелом лучевой кости в типичном месте
У травматологов есть такое понятие, как «перелом луча в типичном месте». Это связано с тем, что подавляющее большинство случаев перелома (почти 75%) приходится на дистальную часть кости (расположенную ближе к кисти руки).
Перелом средней и проксимальной (расположенной ближе к локтю) части лучевой кости встречается всего лишь в 5 % случаев.
Бывает двух видов:
- Смита, или сгибательный. Случается, когда человек падает на кисть, согнутую в сторону тыльной поверхности предплечья. В результате костный отломок лучевой кости смещается к наружной поверхности предплечья;
- Колеса, или разгибательный. Происходит в том случае, когда пострадавший падает на ладонную поверхность кисти. В результате имеет место переразгибание в лучезапястном суставе, и костный отломок смещается в сторону тыльной поверхности предплечья.
Как видно из описания, перелом Смита и Колеса являются зеркальным отображением друг друга.
Классификация травмы
В зависимости от природы возникновения:
- Патологические – возникают не столько под действием механической силы, сколько в результате снижения минеральной плотности кости. Заболевание, ярким проявлением которого являются патологические переломы, носит название остеопороз;
- Травматические. Возникают в результате воздействия на кость какого-либо механического фактора: удар, падение, скручивание, чрезмерная физическая нагрузка и др.
В зависимости от нарушения целостности кожных покровов:
- Закрытый перелом лучевой кости руки, когда кожа над местом травмы не повреждена;
- Открытый. При этом целостность кожного покрова нарушена, и костные отломки выходят наружу.
В зависимости от линии разлома:
- Косые;
- Поперечные;
- Продольные;
- Винтообразные;
- Т-образные;
- Вколоченные, при которых костные отломки входят («вколачиваются») друг в друга;
- Оскольчатые.
Любой тип перелома может быть как со смещением костных отломков, так и без него.
Существует так же анатомическая классификация:
- Перелом диафиза (тела) кости;
- Внутрисуставной перелом головки и шейки лучевой кости;
- Перелом шиловидного отростка.
Симптомы
Травма сопровождается достаточно яркой клинической картиной. Основные признаки и симптомы перелома руки следующие:
- Болезненность. Боль очень острая, усиливается при малейшей попытке пошевелить или даже просто напрячь мышцы руки. Особенно интенсивен болевой синдром в случае открытой травмы;Вас заинтересует… Первая помощь при переломе кисти руки, лечение и восстановительный период
- Местный отек тканей. Перелом запускает каскад реакций, в результате которых развивается воспалительный процесс. При этом расширяются кровеносные сосуды, и жидкость частично пропотевает в ткани, что и приводит к появлению припухлости. Если в результате травмы возникла гематома, то место отека со временем приобретает синюшно-багровый цвет;
- Патологическая подвижность в руке. Данный симптом относится к абсолютным признакам, то есть его наличие в 100% случаев свидетельствует о переломе. Проверка патологической подвижности может привести к дополнительному повреждению тканей, поэтому проводить ее может только специалист!
- Укорочение руки. Этот симптом встречается при переломе со смещением отломков по длине;
- Крепитация костных отломков. Данный симптом, как и патологическая подвижность, относится к абсолютным признакам перелома. При попытке сместить кости под пальцами ощущается характерный хруст, который в клинической практике называется крепитацией. Проверить наличие крепитации может только специалист. При попытке самостоятельно проверить данный симптом может случиться еще большее смещение костных отломков.
Первая помощь при переломе лучевой кости руки
Существует три принципиальных этапа, которые должны быть обязательно проведены при оказании первой помощи. К ним относится:
- Ранняя иммобилизация (обездвиживание) поврежденной конечности;
- Адекватное обезболивание;
- Местное воздействие холода;
Иммобилизация поврежденной конечности – первоочередной этап в оказании первой помощи. Правильная фиксация конечности выполняет сразу несколько задач:
- Минимизирует дополнительное смещение костей;
- Снижает риск повреждение мягких тканей отломками;
- Уменьшает боль.
Перед тем, как проводить иммобилизацию, важно освободить руку от колец, часов, браслетов и пр. В противном случае они могут вызвать сдавливание кровеносных сосудов и нервов. Чтобы придать фиксированной конечности физиологическое положение, ее нужно согнуть в локтевом суставе под углом 90 градусов и привести к туловищу, повернув кисть вверх.
Чтобы минимизировать болевые ощущения, можно воспользоваться препаратами из группы НПВС (нестероидные противовоспалительные средства). К ним относится диклофенак, ибупрофен, кетонал, дексалгин, целебрекс и др. Перечисленные препараты можно принимать в виде таблетированных форм или в виде внутривенных и внутримышечных инъекций.
Местное применение холода так же уменьшает болевые ощущения. Кроме того, под действием низкой температуры происходит сужение сосудов и уменьшается отек тканей.
Использовать холод для обезболивания надо осторожно, чтобы не спровоцировать обморожение. Для этого грелки или пакеты со льдом перед использованием заворачивают в полотенце.
Диагностика
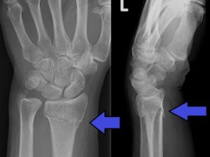
Лучевые методы диагностики являются «золотым стандартом» в диагностике переломов. Чаще всего в рутинной практике используется рентгенография конечности в двух проекциях.
Рентгеновский снимок покажет не только наличие перелома, но и его характер, наличие отломков, вид смещения и др. Эти данные играют ключевую роль в выборе лечебной тактики.
Иногда для диагностики сложных травм травматологи используют метод компьютерной томографии.
Лечение переломов лучевой кости
Тактика лечения напрямую зависит от характера повреждения и в каждом конкретном случае подбирается индивидуально.
В случае перелома кости в типичном месте лечение заключается в закрытой репозиции («сборке») костных отломков и наложении гипсовой повязки во избежание смещения. Обычно гипсовая повязка охватывает кисть, предплечье и нижнюю треть плеча.
Сколько носить гипс при переломе лучевой кости руки? Иммобилизация длится, в среднем, 4-5 недель. Перед тем, как снимать гипсовую повязку, в обязательном порядке проводится контрольная рентгенография. Это нужно для оценки сращения косных отломков.
Иногда бывает невозможно вылечить травму путем наложения одной только гипсовой повязки. Тогда прибегают к следующим методам:
- Чрескожная фиксация отломков спицами. Плюсом метода является его быстрота и малая травматичность. Однако при таком лечении невозможно начинать раннюю разработку лучезапястного сустава;
- Открытая репозиция костных отломков с использованием металлоконструкции. При этом хирург производит разрез мягких тканей, сопоставляет костные отломки и фиксирует их при помощи металлической пластины и винтов.
К сожалению, хирургические методы имеют ряд отрицательных моментов. Прежде всего, это риск инфицирования раны. Поэтому после проведения операции необходимо пропить курс антибиотиков широкого спектра действия. Второй недостаток хирургического лечения переломов заключается в длительном периоде реабилитации.
Сроки восстановления
Длительность восстановительного периода зависит от сложности полученной травмы и составляется, в среднем, 6-8 недель. На длительность восстановления влияют такие факторы, как масштаб операции, скорость заживления раны, состояние иммунитета, наличие заболеваний костной ткани и др.
Нередко процесс восстановления после перелома лучевой кости затягивается из-за того, что пациенты пренебрегают рекомендациями докторов, в частности, самостоятельно снимают гипсовые повязки раньше положенного срока. Это чревато рядом осложнений, речь о которых пойдет ниже.
Если после снятия гипса рука отекла — это нормальный процесс, как избавиться от отека после перелома руки можно узнать здесь.
Реабилитация и как разработать руку после перелома лучевой кости
Реабилитация после перелома должна осуществляться комплексно и включать в себя массаж, физиотерапию, а так же лечебную физкультуру. Успех лечения во многом зависит от того, насколько ответственно человек подойдет к каждому из перечисленных мероприятий.
Массаж
Начинать восстановление конечности можно с массажа. Правильно выполняемый массаж после перелома лучевой кости обладает обезболивающим эффектом, улучшает процессы восстановления, а так же препятствует гипотрофии мышц.
Начинают с массажа плеча, затем работают с локтевым суставом, и только после этого переходят к массажу участков вокруг травмы. В завершении проводят массаж кисти. Длительность массажного сеанса составляет около 15 минут.
Методы физиотерапии
Физиотерапия занимает важное место в реабилитации. Используются следующие процедуры:
- Электрофорез с препаратами кальция. Суть электрофореза сводится к медленному направленному движению частиц лекарственного препарата вглубь тканей. Кальций повышает минеральную плотность костей и ускоряет сращение костных отломков;
- Низкочастотная магнитотерапия. Оказывает обезболивающее и противовоспалительное действие;
- Метод УВЧ. Данная методика направлена на прогревание мягких тканей. В результате улучшается местный обмен веществ, что ускоряет регенерацию;
- Ультрафиолетовое излучение. Под действием ультрафиолетового излучения происходит выработка витамина D, необходимого для лучшего усвоения кальция.
Занятия ЛФК
В результате длительной иммобилизации мышцы теряют тонус, что чревато развитием гипотрофии. Именно поэтому так важно своевременное начало ЛФК при переломе лучевой кости. Занятия следует начинать с самых простых упражнений, например, с поочередного сгибания пальцев. Врач выпишет схему упражнений, как разрабатывать руку после перелома лучевой кости.
Упражнения после перелома лучевой кости следует выполнять аккуратно, без резких движений.
Важно проводить ЛФК под руководством специалиста, который подберет комплекс упражнений в соответствии с физическими возможностями пациента и проследит за правильностью его выполнения.
Осложнения и возможные последствия
Их можно разделить на две группы: непосредственные осложнения травмы и ее отдаленные последствия.
К непосредственным осложнениям травмы относятся:
- Повреждение нервного пучка (например, разрыв). Влечет за собой нарушение чувствительности (тепловой, тактильной, двигательной и др.);
- Повреждение пальцевых сухожилий, в результате чего может быть нарушена функция сгибания или разгибания кисти;
- Повреждение кровеносных сосудов с формированием гематомы;
- Частичный или полный разрыв мышц;
- Инфекционные осложнения (например, присоединение инфекции к раневой поверхности).
Отдаленные осложнения встречаются не так часто. К ним относится остеомиелит (гнойное расплавление кости), деформация конечности из-за неправильного сращения костных отломков, формирование контрактур.
Особенности перелома лучевой кости у ребенка
Кости ребенка по своей структуре отличаются от костей взрослого человека. Это обусловлено наличием зон роста костей, лучшим кровоснабжением, а так же особенностями надкостницы – оболочки, которая покрывает кости снаружи.
Для детского возраста очень характерно формирование переломов по типу «зеленой ветви», или поднадкостничного перелома. За счет того, что надкостница у детей очень гибкая, она не теряет своей целостности при травме.
При падении или ударе кость прогибается, выпуклая сторона ее ломается, а вогнутая остается нетронутой. Таким образом, перелом получается неполным и заживает намного быстрее.
Несмотря на перечисленные особенности к переломам у детей стоит относиться серьёзно. Нередки случаи, когда неправильное сращение костей в детстве оставляет отпечаток в виде нарушения функции руки на всю жизнь.
Виктор Системов — эксперт сайта 1Travmpunkt
Перелом лучевой кости: виды переломов и реабилитация

На перелом лучевой кости руки приходится 1/2 травматических повреждений костей верхней конечности и более 15% от общего числа повреждений скелета. 1 место по частоте встречаемости травмы занимают женщины периода постменопаузы, когда костная ткань претерпевает инволюционные изменения и теряет минеральные вещества.
Самый распространенный механизм травмы – непрямой, обусловленный падением на разогнутую в локтевом суставе руку. Реже повреждение возникает вследствие прямого удара по предплечью.
Виды
- Открытый перелом. Сопровождается ранением мягких тканей и кожи острыми костными краями изнутри или травмирующим фактором извне. Надкостница при этом сообщается с внешней средой через рану, которая считается потенциально инфицированной.
- Закрытый перелом лучевой кости. Характеризуется сохранением целостности кожных покровов.
Повреждение может быть оскольчатым, вколоченным, с наличием сместившихся отломков или без смещения.
- При переломе со смещением костные отломки сдвигаются с общей оси по линии излома. Смещение может быть по длине, ширине, под углом, ротационное.
Смещение по ширине – следствие травмирующего механического фактора, перемещение отломков по длине возникает под действием мышечной тяги предплечья. При угловом и ротационном смещении отломки разобщаются мышцами-антагонистами.
- При вколоченном переломе имеет место вклинивание одного костного отломка в другой в результате приложения силы перпендикулярно оси конечности. При этом происходит раздробление проникающих друг в друга отломков и укорочение конечности.
- Консолидирующий перелом является результатом образования на месте линии излома костной мозоли и срастания отломков. При отсутствии своевременной иммобилизации конечности консолидация может быть неправильной: с неполным сопоставлением отломков, нарушением функции конечности, давлением костной мозоли на сосуды и нервы.
Часто срастанию без медицинской помощи подвергаются трещины (неполные переломы). Наиболее опасные последствия несет консолидированный перелом со смещением.
- Перелом головки, шейки лучевой кости. Травма бывает оскольчатой, со смещением и без него. Её механизм – падение на вытянутую и развернутую пальцами назад руку.
опасность – возможность повреждения локтевого сустава головкой луча.
- Перелом нижнего (дистального) конца лучевой кости. Дистальным концом луча именуется его нижняя треть. Линия излома при этом проходит достаточно высоко (более 3 см) над лучезапястным суставом и делает травму относительно благоприятной. Повреждение дистального отдела часто относится к внесуставным, протекает без смещения.
Без смещения
Более 50% травм луча протекает без смещения ввиду отсутствия на предплечье мощного мышечного массива, способного перетянуть отломки.
https://youtube.com/watch?v=9wX61fZCakQ
Перелом головки лучевой кости без смещения благоприятен меньшей вероятностью повреждения локтевого сустава. Он возникает при вклинивании головки в головчатое образование плеча. При этом виде повреждения отломок не выступает за пределы площадки головки луча и не травмирует хрящ, окружающий костные структуры плеча.
При закрытом переломе лучевой кости без смещения частой локализацией является нижняя треть луча. Травма является внесуставной ввиду отсутствия отломков, проникающих в полость сустава.
Наиболее благоприятный вариант повреждения – трещина. Трещина – это линия излома, которая не проникает на всю толщу костной структуры. При вколоченной травме также отсутствует смещение отломков, но этот вариант требует более длительной реабилитации.
В типичном месте
На такую травму приходится более 70% повреждений луча.
Объясняется это тем, что нижняя треть луча представлена губчатой тканью и имеет наименьшую толщину коркового костного слоя, поэтому травмы этой локализации – самые распространенные.
Перелом на дистальном участке (в 2-3 см от лучезапястного сустава) в травматологии именуют переломом лучевой кости в типичном месте.
Повреждение подразделяется на 2 вида в зависимости от положения кисти на момент падения: сгибательное и разгибательное.
Разгибательный перелом Колеса возникает вследствие приземления на разогнутую кисть. Дистальный (нижний) костный отломок под влиянием задней группы мышц предплечья оказывается смещенным к тыльной поверхности конечности. Этот вариант встречается чаще.
Причина сгибательного перелома Смита – падение на вытянутую и согнутую в ладони кисть. Для повреждения характерно смещение дистального отломка к ладонной, или внутренней поверхности предплечья. При проникновении отломков в полость лучезапястного сустава травму относят к внутрисуставной. Интересная статья по теме перелом костей предплечья.
Лечение
Лечение травмы начинается с обезболивания. При открытом переломе накладывают стерильную повязку на область раны.
После перелома лучевой кости без смещения накладывают гипсовую лонгету. Врач выбирает физиологическое положение руки, основываясь на том, травмированы ли суставы.
- При переломе шейки и головки без смещения лонгету снимают уже через 1-1,5 недели и приступают к дозированной нагрузке на локтевой сустав и физиопроцедурам.
- Закрытое повреждение головки и шейки со смещением требует одномоментной закрытой репозиции. Может использоваться фиксация отломка спицей, проведенной через мыщелок плеча. Через 2 недели спицу удаляют и накладывают лонгету: на 2 недели постоянную, с 3 недели съемную.
- Множественные осколки головки и шейки сопоставляют хирургически, после чего осуществляют иммобилизацию конечности. Неподвижность сохраняют 3 недели, после чего приступают к разработке локтевого сустава. При невозможности восстановить костную структуру, её удаляют и заменяют эндопротезом.
- Лечение травмы нижней трети луча, типичного перелома консервативное: при отсутствии смещения лонгету устанавливают сразу, при его наличии – после вытяжения.
Также необходимо помнить сколько носить гипс при переломе лучевой кости.
Реабилитация
Реабилитация после перелома лучевой кости направлена на восстановление нарушенной функции конечности, предупреждение контрактуры суставов, лимфостаза, сдавливания сосудов.
Она включает:
- Дозированную лечебную физкультуру, трудотерапию,
- Массаж,
- Физиотерапию.
Во время ношения постоянного гипса выполняют активные движения пальцами и плечами, чтобы улучшить артериальный приток и венозный отток в зоне перелома, снять отечность. В первые дни после травмы для предотвращения застоя нужно держать руку в приподнятом положении.
На 8-11 сутки травматический отек исчезает бесследно. Если отек не проходит, устранить его поможет только ослабление лонгеты травматологом. С 3 недели болезни постоянная повязка заменяется съемной лонгетой или фиксатором, их ношение чередуется с дозированной гимнастикой.
Утраченная конечностью функция обычно восстанавливается через 1,5-2 месяца после окончания лечения.
Физиотерапия
К процедурам приступают после снятия гипса. Физиотерапия включает:
- Ультразвук с обезболивающими, противовоспалительными препаратами,
- УВЧ-терапию,
- Электрофорез,
- Магнитотерапию.
Лечебная физкультура
Разработать переломы лучевой кости можно при помощи простых упражнений. Некоторые можно выполнять, не снимая лонгеты:
- Перекладывание спичек или других мелких предметов,
- Сгибание, разгибание пальцев рук,
- Круговые движения в плечевом суставе,
- Опускание, поднимание плеч,
- Подъем руки до уровня головы.
После снятия фиксирующей повязки присоединяются упражнения для лучезапястного и локтевого сустава:
- Сгибание-разгибание кисти, круговые движения,
- Исходное положение – кисти плашмя на столе. Поднимание и опускание ладони, пальцы при этом лежат на плоской поверхности.
- Сгибание-разгибание, круговые вращения в локтевом суставе.
Упражнения выполняются 10-15 раз по 3 подхода. Длительность гимнастики – не менее 20-30 минут.
Возможные осложнения
Осложнения перелома лучевой кости в типичном месте:
- Травма срединного нерва,
- Гематома вследствие ранения сосуда,
- Отеки окружающей кости ткани из-за препятствия лимфооттоку,
- Надрывы мышц, разрывы сухожилий,
- Гемартроз, воспаление сустава, посттравматический остеоартроз.
Последствия перелома лучевой кости со смещением:
- Неправильно сросшийся перелом лучевой кости грозит изменением оси конечности, сдавливанием сосудов, нервов,
- Ишемической контрактурой – стойкой тугоподвижностью сустава вследствие нарушения его трофики,
- Постоянным болевым синдромом, утратой конечностью функции.
Перелом дистального метаэпифиза лучевой кости (перелом лучевой кости «в типичном месте»): симптомы, диагностика, лечение в ЦКБ РАН

Перелом дистального метаэпифиза лучевой кости («луч в типичном месте»)
Дистальный метаэпифиз – это нижний конец лучевой кости, расположенный рядом с кистью.
Перелом «луча в типичном месте» обычно возникает при прямом падении на вытянутую руку.Помимо резкой боли в руке, может появиться штыкообразная деформация, изменение положения кисти. В процесс перелома бывают вовлечены нервы и сосуды запястья, которые могут быть поджаты отломками, что проявляется онемением в пальцах, похолоданием кисти.
Для уточнения характера перелома и выбора дальнейшей тактики лечения используется рентгенография, в ряде случаев – компьютерная томография. Иногда требуется УЗИ кистевого сустава.
Поскольку лучевая кость примыкает к кисти, очень важно восстановить анатомию и объем движений в суставе, чтобы в дальнейшем избежать проблем с ним. Раньше такие переломы лечили консервативно, т. е.
в гипсовой повязке, но часто отломки смещались, кость срасталась неправильно, что в дальнейшем сказывалось на функции конечности — рука не сгибалась и/или не разгибалась до конца – формировалась тугоподвижность сустава (контрактура), оставался болевой синдром.
К тому же длительное пребывание в гипсе отрицательно сказывалось на кожных покровах.
Длительность больничного листа при переломе дистального метаэпифиза лучевой кости зависит от рода деятельности пациента. К примеру, для офисных работников средний срок нетрудоспособности – 1,5 месяца. Для профессий, связанных с физической нагрузкой, срок нетрудоспособности может быть увеличен.
Консервативное лечение перелома лучевой кости в типичном месте (гипсовая повязка)
При переломах без смещения можно предложить консервативное лечение – в гипсовой повязке. Средний срок пребывания в гипсе – 6-8 недель. Это редко проходит для конечности бесследно — после консервативного лечения сустав требует разработки движений, реабилитации. При лечении перелома даже с небольшим смещением в гипсе может произойти вторичное смещение отломков.
Оперативное лечение перелома лучевой кости в типичном месте (остеосинтез)
Практически все переломы лучевой кости со смещением требуют оперативного лечения – сопоставления и фиксирования отломков кости — остеосинтеза. Именно этот метод позволяет восстановить функцию кисти наиболее полноценно и добиться хороших функциональных результатов.
Лучевая кость полностью срастается примерно за 6-8 недель. Спустя этот срок пациент может начинать полноценно пользоваться рукой. Но разрабатывать руку с помощью определенных, рекомендованных врачом, упражнений, благодаря использованию фиксаторов можно уже спустя 1-2 недели после вмешательства. Легкие спортивные физические нагрузки можно начинать примерно спустя 3 месяца после операции.
В зависимости от типа перелома (оскольчатый, многооскольчатый, со значительным или незначительным смещением) можно выделить несколько возможных вариантов фиксации – пластиной, фиксированной винтами; аппаратом внешней фиксации; винтами; спицами.
В ряде случаев при выраженном отеке накладывается аппарат внешней фиксации, а после спадения отека он заменяется на пластину (или другой фиксатор в зависимости от типа перелома).
Остеосинтез лучевой кости пластиной
При значительном смещении отломков используется остеосинтез лучевой кости металлической пластиной, специально изготовленной для данного сегмента. После сопоставления отломков пластина фиксируется винтами к поврежденной кости. После установки пластины накладываются на кожу накладываются швы на 2 недели, а также гипсовая лонгета примерно на тот же срок.
После операции назначается лекарственная терапия: обезболивающие препараты, препараты кальция для более быстрого срастания костей, при необходимости – препараты местного действия для уменьшения отека. Средний срок пребывания в стационаре – 7 дней. Швы снимаются в амбулаторном режиме спустя 2 недели. Рука носится в возвышенном положении на косыночной повязке.
Необходимости в удалении пластины нет.
Аппарат внешней фиксации
В ряде случаев – в пожилом возрасте, при выраженном отеке кисти и лучезапястного сустава, делать доступ для установки пластины бывает нежелательно в силу различных факторов (отек, состояние кожи).
В таких случаях устанавливают аппарат внешней фиксации – он фиксирует отломки с помощью спиц, которые проходят через кожу в кость. Аппарат выступает над кожей небольшим блоком (около 12 см длиной и 3 см высотой).
Преимущество этого вида остеосинтеза в том, что нет необходимости делать большие разрезы, однако за аппаратом нужно следить – делать перевязки, чтобы спицы не воспалились.
После операции рука 2 недели находится в лонгете, потом пациент начинает разрабатывать лучезапястный сустав в аппарате, который этому не препятствует.
Аппарат внешней фиксации удаляется примерно через 6 недель, после рентген-контроля, в условиях стационара.
Операция снятия аппарата внешней фиксации не занимает много времени и достаточно легко переносится пациентом. Средний срок госпитализации 5-7 дней, длительность больничного листа – около 1,5 месяцев.
Перевязки надо делать через день, в амбулаторном режиме. Рука носится в возвышенном положении на косыночной повязке.
Фиксация спицами, или винтами
При незначительном смещении отломков лучевая кость фиксируется спицами или винтами через небольшие проколы кожи. Примерно на 2 недели накладывается гипсовая лонгета, затем человек начинает разрабатывать руку. Спустя 6-8 недель спицы извлекаются.
В ряде случаев возможно применение саморассасывающихся имплантов, удалять которые не нужно.
Застарелые, неправильно сросшиеся переломы лучевой кости
При застарелых неправильно сросшихся переломах могут беспокоить болевые ощущения, присутствовать ограничения движения – тугоподвижность сустава, и другие неприятные последствия (онемение и отечность пальцев кисти). В подобных случаях рекомендовано оперативное лечение, чаще всего – с фиксацией пластиной.
Кость разобщается, выставляется в правильное положение и фиксируется.
Если есть зона дефекта кости – например, если кость срослась с укорочением, этот дефект заполняется либо собственной костью человека (трансплантат берется, как правило, из гребня подвздошной кости), либо искусственной костью, которая за 2 года перестраивается в собственную костную ткань.
Дальнейшее послеоперационное и восстановительное лечение при застарелых и неправильно сросшихся переломах дистального метаэпифиза лучевой кости аналогичны описанным выше. Однако, учитывая застарелый характер повреждения, может потребоваться более длительная реабилитация.
Анестезия при оперативном лечении перелома дистального метаэпифиза лучевой кости
Для проведения всех вышеописанных операций, как правило, используется проводниковая анестезия — раствор анестетика вводится в зону плечевого сплетения, где проходят нервы, которые иннервируют всю верхнюю конечность (отвечают за ее чувствительность и движения), и рука полностью немеет.
Подобная анестезия достаточно легко переносится, длится 4-6 часов. Фактически это разновидность местной анестезии. Кроме того, делается премедикация – успокаивающий укол, и во время операции человек спит своим сном. Возможно применение общей анестезии.
Окончательный выбор метода анестезии определяется врачом-анестезиологом накануне операции.
Лечение переломов лучевой кости

Перелом лучевой кости – один из «любимых» переломов травматологов. Переломы нижней трети лучевой кости даже называют «переломами в типичном месте», настолько часто с ними встречаются врачи-травматологи. По статистике, почти 20% случаев переломов связано именно с лучевой костью.
Лучевая кость – это парная кость в составе предплечья, которая на пару с локтевой костью участвует в образовании двух суставов: локтевого и лучезапястного. Перелом лучевой кости случается, как правило, ближе к лучезапястному или, как еще говорят, кистевому суставу.
Какие действия при переломе?
Важно помнить, что срок лечения перелома составляет 3 дня, поэтому не затягивайте с обращением к врачу.
Если после травмы у вас есть подозрение на перелом, то вам необходимо обратиться в травмпункт. Там вам сделают рентген и в случае, если перелом произошел без смещения, то наложат гипс. В нашей клинике вы также можете сделать рентген и наложить современный полимерный гипс. Если же перелом произошел со смещением, то необходима операция, чтобы правильно установить кости на место.
https://youtube.com/watch?v=_dM3FZqC9WU
В нашей клинике мы можем предложить оперативное лечение перелома лучевой кости. Как правило операция стоит около 140 тысяч рублей. Сюда включена стоимость пластины для фиксации кости, пребывание, наркоз, наблюдение и медицинское сопровождение.
Количество подобных травм возрастает при гололеде. Такая сезонность не удивительна, ведь именно в этот период случаются самые неудачные приземления. А травмы лучевой кости чаще всего случаются именно «в полете» – когда человек автоматически вытягивает руку, чтобы предотвратить падение.
Лучевая кость в принципе не отличается достаточной прочностью, но, кроме того, имеет и весьма слабое место – у лучезапястного сустава. Именно там чаще всего случается перелом, поскольку это «звено» достаточно легко ломается под тяжестью тела при падении.
Травмы не редки при активных занятиях спортом – лыжи и коньки, велосипед и мотоцикл. Кроме того, подобные переломы часто встречаются при «легких» авариях, когда человек инстинктивно выпрямляет руки даже при небольшом ударе по машине сзади.
Пожилые люди более подвержены переломам, поскольку тонкая лучевая кость становится еще более хрупкой с возрастом.
Виды переломов:
1) В зависимости от направления смещения отломка (сломанного фрагмента кости):
- Перелом Коллеса (сгибательный перелом). Отломок смещается к тыльной поверхности предплечья. Как правило, случается при падении с упором на раскрытую ладонь;
- Перелом Смита (разгибательный перелом). Отломок смещается к ладонной поверхности. Подобная травма происходит при падении на обратную (тыльную) сторону запястья.
2) В зависимости от локализации перелома:
- Перелом шейки и головки лучевой кости (привычный перелом при падении на вытянутую руку);
- Перелом центрального отдела лучевой кости (диафиза) (травма в результате удара или падения);
- Перелом лучевой кости «в типичном месте» (следствие падения на согнутую кисть при вытянутой руке).
Классификация переломов лучевой кости
Переломы лучевой кости настолько многообразны, что существует даже их квалификация – от типа А (самых простых) до С (сложных, раздробленных, со смещением). Если сильно не углубляться в систематизацию, можно разделить все травмы на несколько основных блоков:
Блок I.
- Открытый перелом. При травме повреждается кожный покров, в ране в некоторых случаях заметны отломки кости;
- Закрытый перелом. Кожа не повреждается, никаких особых видимых повреждений нет. Иногда место перелома можно определить только по отеку.
Блок II.
- Перелом без смещения (вколоченный перелом, трещина). По статистике, переломы лучевой кости чаще случаются без смещения отломков, что значительно облегчает процесс лечения;
- Перелом со смещением. Такие переломы являются заведомо нестабильными, поскольку всегда существует опасность вторичного смещения отломков.
Блок III.
- Внутрисуставной перелом. В случае внутрисуставных травм перелом «заходит» на лучезапястный сустав;
- Внесуставной перелом. Травма происходит непосредственно с лучевой костью без затрагивания сустава.
- Острая боль;
- Припухлость и отек запястья;
- Небольшие гематомы (синяки) вокруг запястья (по причине кровоизлияния в мышцах);
- Ограничение при движении запястьем и пальцами (сгибании и разгибании, вращении);
- Хруст при движении;
- Видимая деформация запястья.
Клиническая картина при закрытом переломе без смещения достаточно невыразительна и может проявляться только припухлостью и небольшими болезненными ощущениями в запястье. В этом случае основные двигательные функции сохраняются, хоть и немного ограничиваются.
Первое, о чем нужно знать – поврежденная рука должна находиться в покое.
- Необходимо зафиксировать ее в приподнятом положении и при возможности наложить импровизированную шину от предплечья до локтя. Повязка не должны быть тугой, она должна просто поддерживать запястье в одном положении. Если не рискуете накладывать повязку, просто держите руку высоко и неподвижно;
- Сделайте холодный компресс либо приложите к месту перелома лед.
Диагностика перелома лучевой кости
Как правило, для подтверждения перелома достаточно обычной рентгенографии.
https://youtube.com/watch?v=7HsezRk2VEc
Дополнительные диагностические методы – такие, как компьютерная томография (КТ) или магнитно-резонансная томография (МРТ) – необходимы только при сложных переломах для точной оценки сочетанных повреждений. Кроме того, подобные методы используются для предоперационного планирования и послеоперационного контроля.
Основные методы лечения переломов: консервативные и оперативные.
Консервативное лечение
Консервативное лечение – это наложение на травмированную руку иммобилизационной повязки (стандартной гипсовой или облегченной полимерной). Такое лечение сопровождает переломы, не требующие хирургического вмешательства.
После наложения гипса необходимо, во-первых, следить за тем, насколько вам комфортно (не сдавливает ли гипс руку), а во-вторых, обязательно после спадения отека (на 5-7 сутки) сделать рентген, чтобы вовремя выявить непреднамеренное смещение.
Хирургическое лечение
Хирургическое лечение проводится при нестабильном переломе, склонном к смещению, при серьезных внутрисуставных повреждениях и многочисленных отломках.
Основной метод лечения переломов – репозиция (сопоставление костных фрагментов).
Репозиция (открытая и закрытая)
Закрытая репозиция. Закрытая репозиция, по сути, больше относится к консервативному лечению, поскольку вправление отломков происходит при помощи исключительно рук специалиста, без хирургического вмешательства – врач-травматолог специальными движениями «собирает» ваш перелом.
Закрытая репозиция должна быть осуществлена с высокой точностью, поскольку очень важно полностью восстановить анатомию лучевой кости. Именно от этого зависит успех лечения.
Открытая репозиция. Открытая репозиция проводится при отсутствии возможности устранить перелом другим методом – это чисто хирургическое лечение. Во время операции делают разрез над местом травмы, чтобы был доступ к сломанной кости и проводят мобилизацию костных отломков, устраняют смещение и фиксируют его при помощи специальной конструкции – проводят остеосинтез.
Остеосинтез, проведенный вовремя и хорошим специалистом, дает возможность выздороветь в достаточно короткие сроки, в некоторых случаях, даже раньше, чем при обычном консервативном лечении.
Существует несколько методик остеосинтеза:
- спицами;
- пластинами (специально разработанными для дистального отдела лучевой кости);
- дистракционными аппаратами (например, аппарат Илизарова) – при внутрисуставных и сильно раздробленных переломах с большим количеством маленьких отломков.
Во время оперативного вмешательства осуществляется обязательный контроль всех манипуляций при помощи ЭОПа (электронно-оптического образователя) — для снижения риска неполной репозиции отломков.
После наложения гипса некоторое время могут сохраняться болезненные ощущения различной интенсивности. Как правило, прием обезболивающих препаратов помогает устранить боль на первоначальном этапе, а с течением времени болевой синдром стихнет. Руку желательно держать в приподнятом положении, чтобы не усугубить отек.
Необходимо следить за своими ощущениями – не перетягивает ли гипс руку, не бледнеют ли пальцы и сохраняется ли их чувствительность. В случае возникновения подобных симптомов, важно быстро обратиться к врачу.
После того, как будет снят гипс, обязательно нужно потратить время, чтобы добиться полного восстановления. Оно будет невозможно, если не прислушаться к рекомендациям вашего лечащего врача и не провести полный реабилитационный курс. В каждом конкретном случае количество занятий, их интенсивность, а также подбор упражнений строго индивидуальны.
Как правило, к реабилитационным методам, позволяющим быстрее восстановиться, относится лечебная физкультура (ЛФК), физиотерапевтические средства, массаж.
| Прием травматолога-ортопеда | 2500 RUBруб. |
| Цифровой рентген лучевой кости | 2100 RUBруб. |
| Наложение полимерного гипса | 6000 RUBруб. |
| Операция при переломе лучевой кости | от 120000 RUBруб. |
Перелом лучевой кости руки со смещением

Перелом лучевой кости со смещением — составляет в медицинской практике около 40% от всех переломов руки. Данная травма развивается в результате перемещения фрагментов сломанной кости и требует грамотного, своевременного лечения.
Причины возникновения и классификация
Перелом лучевой и локтевой кости с сопутствующим смещением можно получить вследствие падения на вытянутую руку, удара.
Перелом лучевой кости в типичном месте подразделяют на сгибательный (со смещением обломка к тыльной стороне ладони) и разгибательный (с характерным смещением костного фрагмента к лучевой стороне).
Врачи-травматологи классифицируют данного вида травмы следующим образом:
- Закрытый перелом лучевой кости — без сопутствующего повреждения мягких тканей и кожных покровов. Считается наиболее безопасным, поскольку риски развития инфекционных осложнений минимальны.
- Открытая травма — характеризуется наличием раневой поверхности, в которой могут просматриваться костные осколки. Часто сопровождается кровотечением.
- Оскольчатый перелом — возникает в результате компрессии, сдавливания конечности. Травма характеризуется распадением лучевой кости на мелкие костные осколки, зачастую сопровождается повреждением мягких тканей.
- Внутрисуставный — характеризуется локализацией линии перелома в области сустава, что грозит развитием гемартроза и нарушением суставных функций.
Хрупкость костной ткани существенно повышает риски повреждения даже при незначительных нагрузках и силовых воздействиях.
Как проявляется?
Врачи выделяют следующие клинические симптомы, характерные для переломов лучевой кости со смещением:
- Отечность поврежденной конечности;
- Болезненные ощущения с тенденцией к усилению при пальпации или попытках совершения движения;
- Синяки, гематомы, подкожные кровоизлияния;
- Суставные боли;
- Визуальное укорочение конечности;
- Патологическая подвижность.
В большинстве случаев, данная травма сопровождается повреждениями локтевой кости, что провоцирует сильные, нарастающие боли, локализованные в области локтевого сустава, ограничение двигательной функции конечности. Травмированная рука становится бледной и холодной на ощупь, что обусловлено нарушениями процессов кровообращения и кровоснабжения.
В чем опасность?
Нарушение целостности лучевой кости с сопутствующим смещением — травма серьезная. Травматологи выделяют следующие наиболее распространенные осложнения данного вила переломов:
- Неправильное сращивание костных обломков, грозящее деформацией верхней конечности и нарушением ее основных функций;
- Ущемление нерва;
- Неврит (болезнь Зудека-Турнера).
- Костная атрофия;
- Отеопороз;
- Остеомиелит.
Неправильное и несвоевременное лечение способно привести к серьезным последствиям, таким как утрата способности нормально двигать рукой, пальцами кисти. Если были повреждены мышцы, связки или сухожилия, двигательная активность значительно ограничивается и любые движения доставляют пациенту сильнейшую боль.
В дальнейшем вероятны такие неблагоприятные осложнения, как ишемическая контрактура — снижение суставной подвижности, патологические изменения костной структуры, развитие остеомиелита — инфекционного поражения костной ткани, протекающего в хронической форме. Чтобы не допустить столь нежелательных осложнений и свести возможные риски к минимальным показателям, перелом необходимо лечить, причем делать это нужно правильно.
О доврачебной помощи
Скорость оказания первой помощи имеет важное значение для предупреждения возможных осложнений и последующего успешного лечения. Первым делом, травмированную руку необходимо обездвижить. Иммобилизация проводится путем наложения шины или тугой фиксирующей повязки.
Этот пункт имеет особенное значение при оскольчатых переломах. Ведь смещающиеся костные обломки могут повредить сосуды, нервные окончания, мышечные ткани, что существенно усугубит ситуацию.
Если речь идет об открытом переломе, то рану необходимо обработать антисептическим раствором, остановить кровотечение. Наложить стерильную повязку.
К области повреждения на 20–25 минут рекомендуется приложить ледяной компресс, для облегчения состояния больного, предупреждения чрезмерной отечности и появления обширных гематом. После этого больного нужно как можно быстрее доставить в травматологическое отделение, где ему будет оказана профессиональная медицинская помощь.
Особенности лечения
При переломе лучевой кости руки со смещением лечение и срок срастания зависят от вида, степени тяжести повреждения, возрастной категории и индивидуальных особенностей пациента.
В большинстве случаев, такого вида переломы срастаются на протяжении 2 месяцев. При этом следует учитывать возраст больного.
У ребенка перелом может срастись за 1–1,5 месяца, а лицам старше 60-лет для полноценного восстановления может потребоваться 2,5-3 месяца.
Тактика лечения зависит от типа перелома. При закрытых повреждениях применяют метод аппаратного вправления. Под действием местной анестезии специалист вправляет поврежденные костные фрагменты, после чего используются специальные аппаратные приспособления. После того, как репозиция завершается, на область предплечья пациента накладывают лангетную повязку.
Если была повреждена локтевая кость или же головка лучевой кости, применяется метод закрытой репозиции. Данная операция предполагает сопоставление костных обломков при помощи спиц, которые водятся через кожные покровы. В некоторых, наиболее тяжелых случаях, для фиксации фрагментов кости используют пластины с отверстиями и специальные винты.
По истечении 1–1,5 месяцев, после образования костной мозоли, фиксирующие устройства в обязательном порядке должны быть извлечены!
При наличии множественных смещений, переломах суставной головки, требуется открытая полостная операция — остеосинтез. В процессе хирургического вмешательства, которое проводится под действием общего наркоза, поврежденную кость специалист собирает вручную и фиксирует при помощи специальных титановых пластин. После этого накладываются швы и гипсовая повязка.
Применение методики остеосинтеза позволяет существенно сократить реабилитационный период, в силу обеспечения более быстрого, надежного и качественного срастания кости.
Реабилитационный период и его особенности
Гипс при переломе лучевой кости с сопутствующим смещением накладывают обычно на 4–5 недель. Точные сроки ношения гипса устанавливаются лечащим врачом в индивидуальном порядке.
Уже с момента наложения повязки начинается восстановительный период.
На начальных этапах больным рекомендуется применение хондропротекторов, препаратов с содержанием кальция, витаминно-минеральных комплексов и иммуномодуляторов.
Спустя неделю-полторы после наложения гипса пациентам уже разрешают поднимать руку, двигать пальцами. С этого момента, предварительно согласованного с доктором, начинаются занятия лечебной физкультурой, направленные на восстановление двигательной активности, работоспособности и функциональности травмированной руки.
Подбирать упражнения должен лечащий врач. Степень допустимой нагрузки и продолжительность занятий регулируется специалистом, по индивидуальной схеме.
Практикуется при восстановлении и диетотерапия. Для скорейшего, успешного восстановления пациенту необходимо включить в свой рацион пищу, богатую белками и кальцием. В ежедневное меню должны входить такие продукты, как яйца, мясо нежирных сортов, рыба, холодец, желе, морепродукты, бобовые.
Для того чтобы полезные вещества лучше усвоились организмом и принесли максимальную пользу, в дневные часы рекомендуется отдавать предпочтение белковой пищи, а вечером употреблять больше продуктов, богатых фосфором и кальцием.
После того, как снимают гипс или лангетную повязку, начинается период активного восстановления. Для того чтобы ускорить этот процесс, доктора рекомендуют пациентам курсы массажа и физиотерапевтические процедуры:
- Электрофорез;
- УВЧ-терапию;
- Магнитную терапию;
- Ультрафиолетовое облучение.
Такие процедуры помогут улучшить обменные процессы, активизировать регенерацию, уменьшить боли и воспалительные проявления, ускорить сращивание костных обломков. Однако, ведущую роль в восстановлении функциональности и подвижности конечности играет лечебная физкультура.
Гимнастические упражнения после снятия гипса рекомендуется выполнять в небольшом тазике, погружая кисти в теплую воду. Хороший эффект дают плавные движения по направлению вверх-вниз, повороты ладонью.
Через неделю водной гимнастики можно приступать к сгибательным и разгибательным упражнениям, поворотам ладони. Хороший результат в плане разработки мелкой моторики дают собирание мозаики, пазлов, спичек и т.
д.
Перелом со смещением в области лучевой кости требует проведения хирургического вмешательства, ношения гипсовой повязки и последующей комплексной реабилитации. В среднем, этот процесс занимает около 2-3 месяцев — именно столько времени необходимо для сращивания кости и восстановления функций конечности.





