Шелушится кожа вокруг носа и покраснения, что делать

Существует целый список причин, по которым кожа вокруг носа шелушится и покрывается красными пятнами. Такие симптомы не всегда эстетическая проблема. В некоторых случаях они говорят о нарушениях в работе организма. Обязательно выясните, почему возникла патология. Это поможет подобрать правильное лечение и вернуть здоровый внешний вид.
Почему кожа шелушится вокруг носа
Когда старые клетки отмирают и не успевают отшелушиваться естественным путём, на кожном покрове появляются светлые чешуйки, придающие человеку болезненный вид. Основной причиной сухости считается нарушение водно-жирового баланса. Патологическому процессу способствуют:
- обветривание лица;
- воздействие ультрафиолета;
- неподходящие косметические средства для ухода;
- авитаминоз;
- перепад температур;
- хроническая усталость и стресс.
Вокруг носа расположены крупные сальные железы, влияющие на формирование угрей и прыщей. Воспалительный процесс приводит к тому, что кожа краснеет и шелушится.
Негативную реакцию вызывают респираторные заболевания. Закапывание носа лечебными каплями, отхождение слизи провоцируют покраснение и зуд. Человек постоянно вытирает нос платком, усиливая раздражение. По мере заживления пораженные участки покрываются чешуйками, которые постепенно исчезают.
Если раздражение и шелушение на носу продолжается долгое время, не игнорируйте проблему, а пройдите обследование, чтобы исключить развитие опасных болезней. Симптомы могут быть вестниками:
- аллергической реакции. Заболевание проявляется хронически насморком и слезоточивостью. Вокруг носа наблюдаются воспалённые зоны, которые сильно чешутся;
- себорейного дерматита. Патологию провоцирует грибок, вызывающий чрезмерную жирность, прыщи и красные шелушащиеся пятна на носу;
- демодекоза. Микроскопический клещ атакует сальные железы. На лице формируется отёчность и воспалённые багровые места;
- сахарного диабета. Болезнь нарушает работу внутренних органов и систем. Дисбаланс проявляется кожным зудом, и шелушением на носу, руках и других участках тела;
- псориаза. Аутоиммунное заболевание поражает здоровые клетки эпидермиса. На коже появляется чешуйчатый слой. Псориатические бляшки располагаются не только вокруг носа, но и в волосистой части головы, за ушами, подмышками.
Важно! Первостепенная задача, гарантирующая успешное лечение, — выяснить, почему шелушится на лице кожа. Опередив провоцирующий фактор, исключите его пагубное влияние. Если этого не сделать, окончательно избавиться от красноты не получится.
Что делать, чтобы кожа не шелушилась
Устранить шелушение можно комплексными профилактическими мерами. В обязательном порядке пересмотрите рацион и включите в него блюда, насыщенные витаминами группы В, токоферолом и ретинолом. Ешьте побольше:
- свежей моркови;
- зелёных овощей;
- морской рыбы;
- молочных продуктов;
- орехов;
- каш из цельного зерна.
Совет. Избегайте употребления цитрусовых, шоколада, копчёностей и солений. Они частая причина аллергической реакции, проявляющейся на носу.
Ежедневно выпивайте не меньше 2 литров чистой воды, чтобы предотвратить нехватку влаги в клетках. В межсезонье пейте витаминные комплексы для повышения защитных сил организма.
Красный шелушащийся нос не терпит горячей или ледяной воды. Для умывания используйте минеральную воду комнатной температуры. Откажитесь от щелочного мыла. Проводите очищение косметическим молочком или овсяной мукой.
- Измельчите хлопья кофемолкой и сложите в пластиковую ёмкость.
- Перед умыванием высыпьте немного порошка на ладонь и разведите тёплой водой до состояния сметаны. Нанесите на лицо, помассируйте крылья носа и смойте.
- Не трите кожный покров полотенцем. Аккуратно промокните влагу салфеткой, протрите дёрму тоником и нанесите увлажняющий крем.
Не применяйте для ежедневного ухода средства на спиртовой основе. Они сушат и усиливают шелушение. Отправляясь на улицу летом, защищайте лицо от ультрафиолета специальными средствами. Зимой используйте плотную тональную основу, ограждающую от мороза и ветра.
https://youtube.com/watch?v=WaERgdEkAUk
Если область вокруг носа покрылась белыми чешуйками, под которыми сформировались красные пятна, не спешите очищать их пальцами. Вначале размочите шелушение водой, смажьте вазелином. Возьмите кусочек марли, свёрнутый в несколько раз, и потрите очаги поражения, убирая чешуйки. Окончив манипуляцию, промойте эпидермис ромашковым настоем, высушите и смажьте кремом.
Рекомендации косметологов
Специалисты советуют сдать анализы и, если шелушение — следствие патологических процессов в организме, пройти соответствующую терапию. Чтобы исключить грибковую инфекцию, берётся соскоб с покрасневшего места. Врач изучает чешуйки и определяет наличие патогенной флоры.
Косметологи рекомендуют комбинированное лечение, включающее:
- правильное питание;
- салонные процедуры;
- лечебные мази и кремы;
- народные методы.
Шелушащаяся кожа возле носа перестаёт беспокоить после курса увлажняющих профессиональных масок. Врач подбирает ингредиенты, соответствующие типу эпидермиса. Хорошие результаты обеспечивают коллаген, гиалуроновая кислота, смягчающие масла, травы, морские водоросли.
Красные пятна и шелушение на носу устраняет мезотерапия. Процедура подразумевает введение под кожу различных препаратов. Для лечения угрей и купирования воспаления используются абсорбирующие и антибактериальные средства, для смягчения — увлажняющие компоненты.
! От сильного обезвоживания помогает биоревитализация. Во время сеанса в глубокие слои кожи вводится гиалуроновая кислота. Процедура запускает регенерацию клеток, восстанавливает обменные процессы, избавляет от сухости и дряблости.
Когда шелушатся крылья носа, косметологи предлагают салонный пилинг, аппаратный массаж, парафинотерапию.Проведение одной из таких процедур показано на видео:
Лучшие средства против шелушения вокруг носа
Наилучших результатов проще добиться, совмещая использование аптечных препаратов и народных методов. Если шелушится кожа на носу, проводите процедуры регулярно и согласовывайте действия с косметологом. Это поможет предотвратить побочные реакции и ухудшение состояния.
Аптечные препараты
В аптеках продаются мази и кремы, ликвидирующие воспалительный процесс и убирающие шелушение.
- Быстрые результаты обеспечивает Бепантен. Мазь содержит декспантенол, который, проникая вглубь кожи, преобразовывается в витамин В5. Вещество активирует обменные процессы, заживляет повреждение и сыпь. Бепантен наносится на очищенную дёрму 1-2 раза в день и тщательно втирается.
- Полезна мазь Пантодерм, которая формирует защитную плёнку, ограждающую от вредного влияния окружающей среды и ускоряющую заживление. Мазь в кратчайшие сроки успокаивает зуд и убирает шелушение кожного покрова.
- Шершавые участки вокруг носа полезно смазывать детским кремом с добавлением витаминов А и Е, косметическим вазелином, включающим норковый жир, тёплым облепиховым маслом.
Если кожа вокруг носа шелушится из-за аллергии или грибковой инфекции, необходимы мощные лекарственные препараты. Высокую эффективность имеет гидрокортизоновая мазь. Средство распределяется тонким слоем на очаги покраснения 1-2 раза в сутки. Курс терапии не дольше 2 недель. Можно приобрести мазь Гризеофульвин, лосьон Микоцид, Дермазол.
От себорейного дерматита востребованы:
- Нистатиновая мазь;
- Кетоконазол;
- цинковая паста;
- серная мазь.
Краснота, спровоцированная насморком, устраняется оксолиновой мазью или Вифероном.
Затяжная инфекция, вызывающая покраснение между носовыми пазухами, лечится антибиотиками. Действенные мази: Гентамициновая, Тетрациклиновая, Эритромициновая.
Внимание! Гормональные наружные средства и антибиотики применяйте только по назначению врача. Они отличаются быстродействием, но имеют много противопоказаний, поэтому самолечение недопустимо.
Народные методы
Нетрадиционными методами можно решить проблему, вызванную чрезмерной сухостью, обветриванием, неподходящим косметическим уходом. В остальных случаях рецепты народной медицины используются как вспомогательные средства, дополняющие основное лечение.
Маски
Ложечку натурального мёда смешайте с минеральной водой в одинаковой пропорции. Ватным диском нанесите на воспалённые участки, помассируйте пальцами, оставьте на 5 минут и умойтесь.
- Быстро справляется с шелушащейся кожей на носу простая маска. Ложку овсяных хлопьев залейте небольшим количеством кипящего молока. Через 10 минут отцедите излишки жидкости. В тёплую кашу добавьте по чайной ложке оливкового масла и майского мёда. Нанесите смесь на нос. Через 20 минут смойте состав.
- Большую ложку домашнего творога разотрите вилкой, предварительно влив ложечку оливкового масла. Вымойте веточки петрушки и измельчите. Отберите ложку и смешайте с творогом. Распределите по проблемным зонам и не смывайте 20 минут.
- Столовую ложку липового цвета залейте стаканом кипятка. Через полчаса отфильтруйте. В керамическую миску положите по ложке овсяной муки, оливкового масла и вливайте по чуть-чуть липовый настой, постоянно помешивая. Состав должен приобрести консистенцию жидкой сметаны. Смажьте эпидермис вокруг носа и лицо по массажным линиям. Через 15 минут очистите кожу ватным диском, смоченным в липовом настое.
А это простое и доступное средство позволит избавиться от шелушения уже спустя 2-3 применения:
Маски от шелушения наносите ежедневно в течение недели. Если за это время проблема не исчезнет, проконсультируйтесь с косметологом.
Вывод
Когда кожа около носа шелушится и краснеет — это тревожный сигнал, который указывает на проблемы, спровоцированные внешним или внутренним воздействием. Чтобы избавиться от неприятного явления, используйте комплексные методы борьбы, включающие щадящий косметический уход, наружные средства и салонные процедуры.
Невероятно! Узнайте, кто самая красивая женщина планеты 2020 года!
Почему шелушится кожа на носу и вокруг, причины и лечение шелушения носа

Как раз-таки отмершая кожа вызывает неприятные ощущения – шелушение, жжение, зуд и т.д. Данный факт очень неприятен, выглядит крайне неэстетично. Как только мертвый эпидермис начинает осыпаться, под ним образуются небольшие ранки.
Из-за них могут возникнуть многие заболевания и проблемы, поскольку через них проникают опасные бактерии и микробы.
Что предупреждает о начале шелушения?
Понять, что шелушится кожа на носу, можно по следующим симптомам:
- появление покраснения на носу и около него;
- жжение и зуд;
- чувство стянутости и сухости кожи;
- появление отечности и болезненных ощущений в раздраженной области.
Такая проблема может появиться у женщин, мужчин и даже детей. Таким образом, шелушение на носу, под носом и около него затрагивает очень многих людей.
https://youtube.com/watch?v=2Zub-kl9fYc
Кожа может шелушиться из-за смены времени года и погоды, места жительства, косметических средств, рациона питания. Однакот такжеэто может быть обусловлено очень серьезным заболеванием. Поэтому очень важно установить, по какой причине возникла проблема. Необходимо разобраться с главными факторами, которые влияют на шелушение и покраснение кожи.
Итак, почему шелушится нос?
Дерматологи выделяют несколько причин, которые вызывают такой неприятный симптом: реакции аллергического характера; авитаминоз; насморк; несоблюдение гигиенических норм; внешние факторы; разного рода патологии.
Разновидности
Их можно подразделить по длительности проявления:
- Покраснения временные. Причиной данного факта становятся приливы крови, краснота в таких случаях локализуется на щеках. Вызвана она высокой активностью сосудов, расположенных непосредственно под кожей. При расширении капилляров возникает покраснение, при сужении – нормализация цвета лица. Такие покраснения, как правило, длятся недолго.
- Более длительные покраснения. Они появляются от повреждения агрессивными внешними составляющими (и сезонными, и косметическим) и сохраняются в течение нескольких дней, пока не начнётся регенерация кожи.
- Устойчивые покраснения. Краснота, вызванная заболеваниями, воспалительными процессами будет проявляться до полного устранения недуга. Пока проблема не будет купирована, проблемы с кожей не только не исчезнут, а грозят усугублением – появлением шелушения и различных высыпаний.
Аллергия
Зачастую покраснение кожи бывает вызвано аллергической реакцией человеческого организма. Чаще всего это становится причиной зуда, эпидермис покрывается чешуйками, и люди начинают чихать. Провоцирующими факторами становятся определенные вещества косметики или продукты питания.
Для борьбы с аллергией необходимо пройти лечебный курс, назначенный опытным специалистом-аллергологом, который установит источник такой реакции и назначит правильное лечение. Пациенту, в свою очередь, необходимо исключить из рациона копченую, сильно жареную, острую и жирную пищу, продукты быстрого приготовления и полуфабрикаты.
Нужно стараться есть только здоровую пищу, пить негазированную чистую воду.
Еще почему шелушится нос?
Натуральные и народные средства
Применение эфирных масел и витаминов A, E и C иногда может помочь снять симптомы у некоторых пациентов. Ниже приведены некоторые природные средства, которые могут быть хорошей альтернативой в лечении.
Полезное средство для людей, которые имеют покраснение кожи лица, такие как экзема. В дополнение к уменьшению покраснения, коллоидная овсяная маска обладает увлажняющими эффектом и противовоспалительными свойствами.
Чтобы сделать маску, вам понадобится стакан чистой коллоидной овсянки. Просто смешайте несколько чайных ложок с небольшим количеством воды. Затем нанести и дать высохнуть. Повторяйте процедуру до 4 раз в неделю.
Согласно исследованиям в области здравоохранения, полифенолы в зеленом чае обладают омолаживающими свойствами для кожи. Это является хорошей новостью для тех, кто пьёт зеленый и чай из перечной мяты.
Однако этот способ не подходит для людей с аллергией на растение.
Зеленый чай может улучить состояние пациентов, особенно тех, кто страдает от розацеа.
Другие распространенные средства, которые можно применять для лечения, это яблочный уксус, экстракт семян грейпфрута и мед.
Авитаминоз
При шелушении кожи не только носа, но и всего тела, можно говорить о наличии авитаминоза. Он, как правило, появляется весной, поскольку организм в это время ослаблен и имеет сниженный уровень сопротивляемости отрицательным факторам внешней среды. При этом в организме наблюдается сильный дефицит необходимых минералов и витаминов.
Такая патология может появиться из-за неблагоприятных условий экологии, употребления алкогольных напитков, курения, ведения малоподвижного образа жизни. В этом случае организм ослабевает и в большей степени подвергается различным заболеваниям.
Дефицит витаминов С и А приводит к тому, что кожа становится хрупкой, низкое поступление витамина Е становится причиной ухудшения водного баланса, из-за чего кожа становится сухой.
Красные пятна на лице

Красные пятна на лице – высыпания уплощенной формы, покрытые бляшками или чешуйками розово-красного цвета. Пятна могут проявляться периодически, а могут сопровождать человека длительное время, например, в течение целого сезона. Поскольку причин возникновения этого явления множество, для точной диагностики необходимо обратиться к специалисту.
У кого могут возникнуть пятна на лице?
Наиболее часто красные пятна образуются у молодых женщин (до 30 лет). В пожилом возрасте появление подобных дерматологических проблем несколько реже. В группе риска находятся и грудные дети, подростки обоих полов.
Шелушащиеся красные пятна на лице: причины появления
Причин возникновения досадного косметического дефекта множество. Часто они обусловлены возрастом человека и протекающими в организме местными и системными патологическими процессами:
- Аллергические реакции:
- на холод, солнечный свет, экологические условия проживания;
- на косметические средства;
- прочие виды контактных дерматитов;
- пищевая аллергия, токсидермии;
- лекарственная аллергия, прием некоторых гормональных препаратов;
- экзема, атопический дерматит.
- Недостаток витаминов группы В, витаминов С, А, Е в организме.
- Грибковые инфекции кожи (микозы, дерматофитии).
- Поражение кожных покровов демодексом (подкожным клещом).
- Некоторые инфекционные заболевания – вирусные инфекции (герпес, ветрянка в продромальном периоде), бактериальные инфекции (простой лишай, стрептодермии).
- Паразитарные инвазии.
- Болезни желудка, кишечника, печени, желчного пузыря.
- Нарушения обмена веществ, гормональная перестройка (например, у подростков, при беременности, в менопаузе).
- Эндокринные и неврологические заболевания, стрессы.
- Некоторые системные и аутоиммунные заболевания, например, красная волчанка, гипертоническая болезнь.
- Кожные болезни – розацеа, акне, красный лишай, розовый лишай, псориаз, купероз, эритроз.
Красные пятна у детей чаще всего появляются в силу пищевой непереносимости или аллергической реакции на продукты питания.
В некоторых случаях подобные признаки у ребенка – тревожный знак, требующий немедленного визита к врачу.
Симптомы и признаки красных пятен
Симптоматика во многом обусловлена причиной, приводящей к появлению красных шелушащихся пятен.
Если это явление связано с аллергией на холод или ультрафиолет, некачественную косметику, то характерные признаки следующие:
- красноватые пятна с расплывчатыми границами разных форм и размеров;
- легкое шелушение;
- усиление красноты по мере воздействия провоцирующих факторов;
- грубость, шероховатость кожи лица;
- пятна чешутся, вызывают чувство стянутости;
- наиболее вероятная область локализации пятен – возле носа, на щеках, на подбородке.
Если пятна на лице становится первым признаком экземы или пищевой аллергии, они, как правило, сильно чешутся, кожа в месте появления трескается, лопается, покрываясь грубыми чешуйками. Элементы шелушения могут отслаиваться, после чего кожа немного светлеет, но становится сухой, раздраженной. Вследствие расчесов на лице наблюдаются корки, царапины.
При дерматофитии красные пятна представляют собой шелушащиеся бляшки, иногда – полностью или участками возвышающиеся над поверхностью кожи.
Красный плоский лишай проявляется пятнами-предвестниками, изредка располагающимися на коже лица, розоватого цвета овальной формы с шелушением по краю; размеры пятен- 2-3 см. Розовый лишай редко локализуется на лице, но в иногда может способствовать возникновению розово-желтых шелушащихся элементов, зудящих или же не причиняющих особого дискомфорта.
Псориатические бляшки – ограниченные образования розового цвета, покрытые белыми чешуйками. Если отслоить ногтем такие чешуйки, может появиться капелька крови.
Красные шелушащиеся пятна на веке или под глазом могут быть симптомом демодекоза или пищевой аллергии, а также одним из признаков начинающегося конъюнктивита. Нередко красные пятна появляются после перенесенного стресса или нервного потрясения.
В этом случае шелушение и зуд проходят самостоятельно в течение короткого периода.
Кожные проявления системной красной волчанки зачастую начинаются с формирования красных шелушащихся образований на лице, по внешнему виду напоминающих размах крыльев бабочки (на скулах, в области носа). При розацеа пятна на лице покрыты мелкими красными прожилками, иногда исчезающими и появляющимися вновь.
Какие могут быть последствия от пятен
Кроме явных косметических недостатков, опасность дерматологических проблем на лице – возможное появление их в связи с тяжелым системным заболеванием.
В этом случае перед визитом к врачу необходимо оценить дополнительные симптомы (боли в суставах, повышение температуры, давления, покалывание в сердце, увеличение лимфоузлов) для того, чтобы получить точное и полное обследование с целью исключения серьезных поводов для волнения.
Диагностика
Обследование при кожных проявлениях в виде пятен на лице может включать:
- консультации дерматолога, эндокринолога, гастроэнтеролога, невропатолога;
- общий анализ крови;
- биохимический анализ крови;
- иммунограмму;
- аллерготесты;
- соскоб с поверхности пятен для определения грибкового возбудителя или демодекса;
- при подозрении на заболевания внутренних органов – УЗИ, гастроскопию, колоноскопию и т.д.
Мази и кремы для наружного применения
В большинстве случаев терапия заболевания заключается в наружном применении средств:
- Кремы, мази, бальзамы против аллергии (элидел, гистан, фенистил, радевит, траумель, ирикар).
- Мази с глюкокортикостероидами (синафлан, локоид, адвантан, момат).
- Обработка кожи антисептиками, кератолитиками (хлоргексидин, борный спирт, салициловая кислота).
- Мази с календулой, ромашкой.
- Лосьоны на основе камфарного спирта, ментола.
- При грибковом поражении кожи – мази-антимикотики (тридерм, низорал).
- Мази с цинком (зинерит).
- Средства на основе дегтя (мыло, кремы).
- Кремы с ретиноидами (клензит, дифферин).
- При поражении кожи бактериальной инфекцией – тетрациклиновая, эритромициновая мази, метрогил-гель).
- Препараты для улучшения восстановления тканей (куриозин).
- При возникновении красных пятен вокруг глаз – блефарогель, гидрокортизоновая мазь.
- При вирусном поражении кожи – противовирусные мази (ацикловир).
В некоторых случаях показано проведение комплекса системных терапевтических мер:
- Антигистаминные препараты (кларитин, телфаст).
- Седативные средства (ново-пассит, пустырник, валериана, глицин).
- Витаминно-минеральные комплексы (преимущественно, с содержанием витаминов А, Е, цинка, кальция).
- Энтеросорбенты (лактофильтрум).
- 5. Антибиотики, антимикотики, противовирусные средства.
- Базисная терапия, если появление пятен вызвано системным заболеванием организма.
Терапия заболевания у детей проводится только по назначению педиатра. Ведущую роль в выздоровлении играет питание или потребление здоровой гипоаллергенной пищи матерью, если ребенок находится на грудном вскармливании.
Лечение народными средствами
Народные средства помогут справиться с недостатками кожи, а также ускорить выздоровление при общих болезнях организма:
- Примочки из настоя березовых почек отлично увлажняют кожу и снимают воспаление. Для применения залить ложку почек стаканом кипятка, настоять пару часов. Смочить чистую тряпочку настоем, приложить на кожу на 15 минут.
- Взять в равных количествах траву чистотела, крапивы и тысячелистника, немного измельчить, залить кипятком. После того, как растения размякнут, остудить их, приложить к лицу на 20 минут. Такой рецепт помогает устранить воспаление, смягчает кожу лица.
- Отжать сок петрушки (0,5 ч. л.), соединить с жирной сметаной. Маску из полученной смеси можно делать часто, поскольку она прекрасно питает, увлажняет кожу, устраняет покраснения.
- Ежедневно необходимо протирать кожу свежим огуречным соком или кубиками льда, приготовленного из отвара петрушки, крапивы.
- Маска из листьев капусты поможет устранить досадное явление всего за несколько применений. Для изготовления мелко нашинковать белокочанную капусту (лучше – измельчить блендером), приложить к лицу, а через 20 минут смыть. При сухой коже можно добавить в средство ложку глицерина или немного детского крема.
- Если есть необходимость в отшелушивании кожи, лучше воспользоваться народным средством: взять овсяные хлопья мелкого помола, смешать с аптечной голубой глиной и развести молоком до консистенции кашицы. Такой скраб аккуратно втирают в кожу лица, оставляют минуту, смывают водой.
Образ жизни, уход за кожей и питание
Какой бы ни была причина возникновения пятен, необходимо изменить режим питания, а также качественно улучшить уход за кожей.
По возможности, из рациона исключаются все возможные аллергены, жирная и сладкая пища, алкоголь и соления, консервы и жареные, копченые продукты.
Избыток мучной пищи и дефицит витаминов и минералов, в изобилье содержащихся в овощах и фруктах – распространенная причина косметических проблем. Контроль уровня стресса, борьба с неврологическими расстройствами зачастую способствуют улучшению состояния кожи.
Ежедневный уход за кожей должен включать ее тщательное очищение не пересушивающими средствами, нанесение увлажняющего крема днем, и питательного – вечером.
Дополнительно рекомендуется выполнять полезные маски для кожи, лучше – домашнего приготовления. Жесткие скрабы при появлении красных пятен рекомендуется временно не применять.
Перед выходом из дома в мороз нужно нанести на лицо защитный крем (за 20 минут перед походом).
Профилактика появления пятен
Чтобы предотвратить неприятную косметическую проблему, необходимо следовать следующим правилам:
- Использовать качественную гипоаллергенную косметику.
- Соблюдать нормы гигиены.
- Не злоупотреблять алкоголем, не курить.
- Следить за реакцией организма на прием лекарств.
- Правильно питаться. При склонности к аллергиям – исключать пищевые аллергены.
- Предотвращать контакты с любыми возможными раздражителями (воздушными, бытовыми и т.д.).
- Больше гулять на воздухе, заниматься спортом.
- Своевременно лечить все инфекционные и прочие болезни, производить коррекцию хронических заболеваний.
Новости, которые помогают!
Особенности появления пятен в области носа: что влияет на возникновение дерматологического заболевания, диагностика заболевания и лечение

Изменения кожи в области носа могут быть связаны с различными процессами, протекающими в организме. Кожа бывает подвержена шелушению, покраснению и появлению пятен. Также нередко за помощью к врачу обращаются при возникновении сыпи и пузырьков в области крыльев носа.
В статье описаны не только основные причины появления пятен в носовой области, но и представлены фотографии. Лечение таких состояний, в первую очередь, основывается на установлении причины и подбора лекарственной терапии в зависимости от степени поражения и развития процесса.
Особенности базалиомы носа
Нос — самая выступающая часть лица, видимые повреждения (в том числе базалиому) на коже носа замечают часто сами пациенты в самом начале болезни. Из-за своего выступающего положения наиболее подвержен действию солнечного света. По этой причине базалиома кожи чаще поражает именно нос.
Кожа в области хрящевой части носа (кончик и крылья) очень тонка и практически не содержит под собой жировой клетчатки. В результате чего базалиома носа относительно быстро внедряется в хрящ, достать ее из хряща возможно лишь с большим трудом и сопряжено с уродующими оперативными вмешательствами (см фото ниже).
Очень опасна так же базалиома носа на его боковой поверхности на границе со внутренним краем глаза — здесь существует риск проникновения в окологлазничную клетчатку.
Если раньше у Вас уже была базалиома, нос требует наибольшей защиты и внимания, ибо после лечения у 30-40% вновь разовьется заболевание, но уже в другом месте. Загар противопоказан, а в летнее время кроме головного убора здесь необходим хороший солнцезащитный крем.
Базалиома носа. Основные виды, их фото
Относительно основных видов базалиомы носа, здесь прежде всего следует ожидать узловых и язвенных форм, ибо к ним предрасполагают анатомические особенности кожи. Скорость роста относительно большая, чем в других областях. На фото представлена базалиома носа основных разновидностей.
Базалиома носа узлового вида с самыми ранними проявлениями. Небольшая жемчужная бляшка (помечена болшой стрелкой) на крыле носа и еще меньшая (помечена маленькой стрелка) в носогубной складке. Это очень ранние стадии базалиомы. Серой стрелкой помечен интардермальный невус.
Дальнейшая стадия развития узлового базально-клеточного рака. Одиночный блестящий узел базалиомы крыла носа с большим количеством расширенных сосудов.
https://youtube.com/watch?v=vncZJMoMvOs
На фото базалиома носа узлового вида. Крупный, твердый красноватый блестящий узел с небольшими изъязвлениями на коже крыла носа.
На фото пигментная базалиома носа слева пигментной разновидности, в центральной части появляется язва.
Язвенная базалиома носа под струпом. Периодически часть струпа может отходить, опухоль тогда начинает кровоточить. У некоторых людей кожа сплошь покрыта кератомами, из-за чего базалиома такого вида может какое-то время восприниматься, как очередная кератома.
На фото базалиома носа язвенной разновидности. Большая округлая язва на кончике носа с валикообразными границами.
Крупная базалиома носа с распространением на внутренний угол глаза. Лечение такого заболевания — непростая задача, обычно берется лоскут кожи из другой области, и пересаживается вместо удаленных тканей, возможна так же криодеструкция.
На фото базалиома носа в области спинки и боковой поверхности. Ближе к центру носа базалиома проявляется в виде участка западения, напоминает шрам, относится к склерозирующей разновидности. По краю опухоли справа базально-клеточный рак переходит в узелок с валикообразными краями, приобретая вид узловой разновидности.
Фиброзирующая базалиома носа на фото выглядит как рубцовые бляшки. На ощупь оказалось, что опухоль распространяется за пределы видимых границ.
На фото оставшиеся здоровые ткани после удаления базалиомы носа. Заболевание было пролечено хирургическим путем с поэтапным исследованием под микроскопом (способом Моса). Исследование показало, что опухоль проникает очень глубоко, даже прорастает в хрящ.
Перемещаемый лоскут на носу. Рана после удаления базалиомы боковой поверхности носа с очертаниями перемещения лоскута вдоль крыла.
Базалиома носа удалена. Для перемещения лоскута кожу отслаивают от подлежащей жировой клетчатки и хряща. Окончательное закрытие послеоперационной раны после лечения.
Вращательный спиральный лоскут. Остается маленькая рана округлой формы после удаления базалиомы носа.
На фото базалиома крыла носа удалена, сделаны дополнительные разрезы. Края раны соединены в форме буквы Z.
Так выглядит рубец через 3 месяца после оперативного лечения базалиомы носа. Рубец идет вдоль складки крыла.
Далее представлены фото внешне похожих заболеваний кожи, характерных для области носа.
Ринофима, отличия от базалиомы носа
Ринофиму чаще всего относят к 4 стадии развития розацеа (розовых угрей). Подразумевая этим, то, что выраженные проявления розацеа рано или поздно приведут к ринофиме.
Наличие розацеа затрудняет диагностику, когда имеется базалиома носа, ведь розовый угорь может быть в непосредственной близости от базалиомы, а сама базалиома может восприниматься,как часть воспаленной кожи носа.
Причина ринофимы в избыточном развитии сальных желез, появлении микробов, питающихся сальным секретом, развитии хронического воспаления в области сальных желез, разрастанием рубцовой ткани и сосудов в области хронического воспаления.
В прошлом ринофиму зачастую связывали с алкоголизмом, но новые исследования связи не подтвердили. Отличается от базалиомы более обширным распространением, наличием розовых угрей, отсутствием валикообразных краев.
Лечится ринофима хирургическим способом
Ринофима. За базалиому может принята лишь в начальной стадии. Масса тканей на поверхности носа с дольчатой структурой, с поверхностным расширением сосудов кожи. На данном фото поражение распространяется на щеки; однако, опухоль может быть ограничена исключительно носом.
Саркома Капоши представлена множественными высыпаниями розово-фиолетового цвета. В отличие от базалиомы кожи, Саркома Капоши может возникнуть в любом месте на коже или слизистых оболочках тела, в том числе внутренних органов.
Чаще всего поражаются нижние конечности (особенно подошвы ног), голова, шея. Обычно саркома Капоши появляется у людей с ВИЧ-инфекцией и связана с иммунодефицитом. Лечится саркома Капоши лучевой терапией, химиотерапией.
Множественность поражения, связь с ВИЧ-инфекцией, отсутствие валикообразных краев — основные отличия от базалиомы носа кожи.
Саркома Капоши. Характерная фиолетовая бляшка на крыльях и кончике носа у ВИЧ-положительного пациента. Базалиома носа будет отличаться краями, также следует обращать внимание на края опухоли и множественность поражения при саркоме Капоши.
В простонародье сосудистая звездочка. Представлена центральной артериолой, формирующей узелок и расходящимися лучами от артериолы капиллярами. В отличие от базалиомы носа, давление на сосудистую звездочку заставляет ее побледнеть. Бледность быстро исчезает, если прекратить надавливание, за счет наполнения из центральной артериолы.
Наиболее часто сосудистые звездочки поражают лицо и верхнюю часть тела, нередко возникают у молодых людей и исчезают самостоятельно. Если имеется заболевание печени, то паукообразные гемангиомы бывают множественными.
В отличие от базалиомы — не имеют характерных возвышенный краев и восковидного блеска, у пожилых людей часто множественные.
Невус Аранеус (паукообразная гемангиома, сосудистая звездчка). В центре красного поражения небольшая (1 мм) красная папула, окруженная расходящейся сетью сосудов. Базалиома носа будет отличаться возвышенным краем, а так же восковидным блеском в области расширенных сосудов.
Сосудистая звездочка боковой поверхности носа. В данном случае вокруг центральной папулы более густая сосудистая сеть, отдельные сосуды различимы с трудом. Все вместе делает заболевание похожим на маленькую базалиому.
Эозинофильные гранулемы возникают вследствие хронического воспаления кожи на носу, подбородке, лбу, висках и щеках. Проявляются в виде округлых или овальных коричнево-красных пятен и возвышающихся бляшек с расширенными порами, что делает их похожими на кожуру апельсина.
Появлению таких бляшек способствуют аллергии, заражение глистами. Лечится эозинофильная гранулема инъекциями глюкокортикоидов.
Базалиома кожи носа отличается прежде всего тем, не имеет расширенных пор, так же можно опираться на классические признаки базалиомы (приподнятые края и расширенные сосуды).
На фото эозинофильная гранулема кожи носа. Приподнятый красно-коричневый узелок, похож на базалиому носа, но имеет расширенные поры, и не имеет расширенных сосудов.
Фиброзные папулы развиваются в молодом возрасте на носу, реже в другом месте на лице. Это куполообразной формы блестящее поражение 2-6 мм в диаметре, иногда в центре имеет волосы, наиболее часто встречается на крыльях и кончике носа.
Хотя фиброзные папулы очень похожи на телесного цвета интрадермальные невусы, но более плотные на ощупь. Являются разновидностью ангиофибромы. Фиброзные папулы безвредны, но не исчезают в течение всей жизни.
Лечение хирургическим способом, показано исключительно в косметических целях, ибо для здоровья такие опухоли не опасны. Базалиома носа отличается от фиброзной папулы возвышенными краями, более хрупкой кровоточащей при прикосновениях поверхностью.
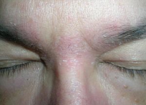
Шелушатся брови и кожа: причины и как лечить

При нормальном состоянии кожи она обновляется ежедневно, этот процесс незаметен для человека и окружающих. В глаза бросается массовое отмирание клеток, особенно если шелушатся брови, лоб, щеки, нос. Причины такого раздражения могут быть внешними или внутренними, связанными с проблемами в организме.
Причины
Обильное омертвление клеток, покраснение, зуд – реакция кожи на раздражение. Чешуйки особенно заметны на бровях: волоски задерживают частички отмершего эпителия. Такая перхоть придает внешнему виду неряшливость.
Чтобы брови перестали шелушиться, нужно понять причину раздражения – результат действия внешних факторов, внутренних проблем организма или кожных заболеваний.
Внешние факторы
Сильно шелушится может кожа под бровями часто из-за внешних раздражителей. Если устранить негативное влияние, она быстро восстанавливается.
Причины раздражения:
- Татуаж. Процедура подразумевает введение пигмента, это раздражает эпителий, провоцирует его ускоренное отмирание. В течение нескольких дней после использования краски брови могут шелушиться.
- Манипуляции нестерильным инструментом. Грязный пинцет может занести бактерии в верхний слой дермы.
- Ультрафиолетовое излучение сушит эпителий на открытых местах, особенно на лице. Длительное пребывание на ярком солнце провоцирует раздражение.
- Соленая вода агрессивно действует на кожу, заставляя ее сохнуть и шелушиться.
- Уличная и домашняя пыль, сажа, выхлопные газы, смог негативно влияют на эпителий.
- Неправильно подобранная декоративная косметика вызывает аллергическую реакцию. Из-за неподходящего состава, длительного, слишком активного использования средств для ухода брови начинают шелушиться, чесаться.
- Если плохо смывать макияж перед сном или пользоваться некачественными, просроченными препаратами, можно спровоцировать заболевание.
- Частая механическая очистка: пилинги, мыло, маски, скрабы.
- Сухой воздух в отапливаемых помещениях нарушает водный баланс, вызывая преждевременное отмирание клеток эпителия.
- Заставить дерму шелушиться могут укусы паразитов, насекомых.
Часто причину повреждений можно узнать по их расположению.
Шелушится кожа под бровями от аллергии на косметику. Тонкий, чувствительный покров на веках быстро реагирует на неподходящие или некачественные препараты.
На переносице отмирание эпителия вызывают механические повреждения от очков, частые прикосновения грязными пальцами, укусы насекомых, длительное воздействие солнечных лучей.
Над бровями шелушится кожа из-за проблем ЖКТ, сухого воздуха, перепада температур.
Вокруг глаз раздражение вызывают погодные условия: холодный воздух, ветер, соленая вода.
Шелушиться кожа около бровей может у женщины, мужчины, ребенка. У новорожденных дерматологические проблемы часто возникают из-за адаптации к новой окружающей среде. Если это не сопровождается отеком, зудом, высыпаниями, симптом можно снять с помощью детского крема.
Внутренние
Кроме влияния внешних факторов на кожу возле бровей, причиной того, что она шелушится, могут быть внутренние проблемы в организме.
Авитаминоз и гипервитаминоз. Недостаток полезных элементов, особенно весной и осенью, ухудшают состояние эпидермиса. Избыток нарушает баланс питательных веществ, кожа раздражается, чешется, краснеет. Правильное питание, витаминно-минеральные комплексы решат проблему.
Аллергия. Если на бровях шелушится кожа и красные пятна, появляется зуд, отек, глаза воспаляются и слезоточат, раздражение, скорее всего — ответ на косметику, средства ухода, очищающие препараты. Помогут антигистаминные медикаменты.
Нуждаетесь в совете бьюти эксперта?Получите консультацию бьюти эксперта в онлайн-режиме. Задайте свой вопрос прямо сейчас.
задать бесплатный вопрос
Проверить наличие реакции можно, отказавшись на время от декоративной, уходовой косметики, средств для очищения, салонных манипуляций. Через неделю приема антигистаминов эпидермис перестают шелушиться.
Проблемы в ЖКТ часто отражаются на состоянии эпидермиса. Острая, жирная, сладкая, жареная пища раздражает кишечник, вызывая неприятные симптомы.
Стрессовые ситуации как причина шелушения. Расстройства нервной системы, депрессии, невроз, ссоры, перенапряжение оборачиваются гормональными проблемами, которые вызывают покраснения, зуд, пятна на лице и в области бровей.
Дегидратация организма. Состояние кожи зависит от водного баланса, его восполнения в течение суток. Чистую воду нельзя заменять сладкими газировками, кофе чаем, от недостатка жидкости эпидермис начнет сохнуть и шелушиться.
Гормональный дисбаланс. Особенно этому фактору подвержены женщины, которые сталкиваются с изменениями фона в течение менструального цикла. Неправильная работа эндокринной системы приводит к высыпаниям на лице, покраснениям. Выяснить, нормальны ли колебания или нужно лечение, может врач.
Возможные заболевания
Если брови начали шелушиться из-за косметики или аллергии, раздражение устраняется относительно легко. Иногда омертвение эпителия связано с дерматологическими заболеваниями, которые нужно лечить.
При подозрении на патологические процессы нужно посетить дерматолога, а не косметолога. Медик сделает анализ соскоба частичек, который покажет проблему в случае ее наличия.
В зависимости от типа заболевания шелушиться могут брови, участки лба, уши, волосистая часть головы.
- Грибок. Инфекцию можно диагностировать только после соскоба. Обычно поражает эпителий над глазами, на ушах. Избавиться от болезни и шелушения можно лечебными мазями, обычно с жирной текстурой и неприятным запахом.
- Себорея, экзема, псориаз. Заболевания, затрагивающие кожу на всем теле — руки, ноги, живот, спина. На поврежденных участках образуются корочки.
- Перхоть. По этой причине шелушится кожа на бровях у мужчин и женщин, захватывается вся волосистая часть головы, области около ушей. Лечение проводится аптечными шампунями.
- Поражение клещом, демодекоз. Клещ демодекс поражает волосяные луковицы. Для подтверждения заболевания на бровях дерматолог берет часть отмершего эпителия на анализ. Лечение проводится с помощью антибиотиков, иммуномодулирующих препаратов, витаминов, диеты.
Чтобы избежать дерматологических заболеваний или ускорить выздоровление, нужно тщательно соблюдать личную гигиену. Если шелушится эпидермис под бровями — часто менять полотенца, постельное белье, проглаживать вещи после стирки.
Какими средствами можно убрать
Когда брови начинают шелушиться, нужно соблюдать правила, чтобы не увеличить повреждение.
Нельзя чесать кожу – лучше помассировать жесткой тканью. Умываться нужно теплой водой, горячая сушит эпидермис.
Не рекомендуется пользоваться мылом, декоративной косметикой, пока брови не перестанут шелушиться.
Справиться с раздражением можно разными методами, с помощью домашних рецептов или медикаментов.
Маски из натуральных ингредиентов
Домашние средства уберут раздражение возле бровей, если оно вызвано внешними факторами.
Есть несколько эффективных средств для домашнего применения, если кожа вокруг глаз шелушится.
| Медовый тоник | Смешать растопленный мед и чистую воду в равных частях. Средством протирать брови каждый день. |
| Отвар календулы | 2 ст. л. сухой календулы заварить в 1 ст. кипятка. Процедить, умываться 2 раза в день. |
| Овсяная маска | 1 ст. л. сваренной на молоке овсянки смешать с 1 ч. л. меда, 1 ч. л. оливкового масла. |
| Компресс из масел | Масло из виноградных косточек, миндаля, персика, абрикоса, ростков пшеницы в равных долях смешать и нанести на участок брови, который шелушится, на 10 минут перед сном. |
| Маска из огурца и кефира | Пюре из сырого огурца смешать с кефиром. |
| Сок алоэ | Протирать брови свежевыжатым соком, чтобы избавиться от шелушения. |
| Примочки из трав | Отвары из календулы, зверобоя, чабреца, мелиссы, мяты успокаивают кожу. |
| Раствор пищевой соды | Смешать 1 ч. л. соды на 1 ст. воды, обработать лицо. |
| Маска из кефира и желтка | 4 ст. л. кефира смешать с яичным желтком и 1 ч. л. оливкового масла. Наносить на брови на час 2 раза в неделю. |
| Лосьон из аспирина и водки | 2 гр. аспирина смешать с 5 гр. касторки и 100 гр. водки. Протирать участок, который шелушится, 3 раза в неделю. |
Дерматологические заболевания и аллергию масками вылечить нельзя, есть риск ухудшить шелушение, а не найти решение проблемы.
Аптечные мази
Нельзя использовать медикаменты, которые не были прописаны врачом при личном осмотре, когда шелушится лицо, брови. Не прислушивайтесь к рекомендациям знакомых о лекарствах, даже если симптомы совпадают.
Назначать лечение должен врач после диагностики. Порекомендовать нужную мазь может фармацевт, зная диагноз.
| Тип | Препарат | Действие |
| Антигистаминные (негормональные) | Супрастин, Гистан, Фенистил | Негормональные мази и гели устранят последствия аллергии, если шелушится лицо, брови. Снимают зуд, покраснение, воспаление. Применять 2-4 раза в сутки. |
| Противогрибковые | Тербизил, Клотримазол, Фундизол | При грибковой инфекции имеют антисептическое, дезодорирующее действие. Наносят на брови 2-3 раза в день. |
| Антибиотик | Метрогил, Розамет, Синтомицин | Применяют для лечения демодекоза и шелушения в составе комплексной терапии. |
| Гормональные антигистамины | Гидрокортизон, Сульсена | Противоаллергенные медикаменты сильного действия. Применять 1 раз в день. |
| Регенерирующие | Бепантен, Пантенол | Помогают восстановить поврежденную дерму, имеют антисептический, обезболивающий эффект. |
| Увлажняющие | Avene Cicalfate | Увлажняет, если шелушится лоб, брови. Подходит для любой кожи и возраста. |
| A-Derma Dermalibour | Крем для ежедневного ухода за проблемными местами. | |
| «Живительное увлажнение» от Garnier | Мазь на базе пчелиного воска. Смягчает кожу бровей. |
Если брови шелушатся, используйте увлажняющие и защитные средства, качественную косметику, питайтесь правильно, пейте много воды. Ежедневный уход и своевременное лечение исключат проблему отмирания клеток эпителия.
Ссылка на основную публикацию
Не нашли подходящий совет?
Статья проверена бьюти экспертом
Ирина Сердюк
статьи:
Загрузка…
отзывов





