
Часто высыпание на лбу может у людей отмечаться при себорейном дерматите. Можно также упомянуть о народном названии недуга: себорейная корона или себорея. Причины красных пятен на лбу у взрослого могут быть и другие. Реже встречаются патологии, имеющие похожие симптомы:
- Появление дерматофитии лица.
- Развитие себопсориаза, то есть сочетания псориаза с себореей.
- Возникновение отрубевидного лишая.
- Появление крапивницы.
Учитывая то, что себорея выступает самым частым заболеванием, вызывающим красные пятна у взрослых на лбу, стоит более подробно остановиться на факторах и терапии этой патологии.
Ошибки ухода
Патологическое пересыхание участков кожи, вызванное дерматологическими заболеваниями, усиливают горячая и холодная вода, солнечные лучи, сухой воздух, твердые сорта мыла. Действие негативных факторов заметнее, если ребёнок маленький. Влажность воздуха, в комнате, где находится новорождённый, грудничок должна быть не ниже 55%.
Не рекомендуется при каждом купании младенца использовать мыло. Достаточно вскипятить чистую воду и охладить до нужной температуры. Детское мыло используют для купания новорождённого не чаще одного раза в неделю.
Появление перхоти
Высыпания способны располагаться на лбу, доставая даже до волосяного покрова, чем вызывается появление чешуек, то есть перхоти.
В целях установления диагноза надо обратиться к дерматологу, который оценит всю клиническую картину патологических образований.
Причины с лечением определяются, как правило, исходя из результата очного осмотра. Этого обычно бывает вполне достаточно, чтобы назначить лечение.
Провоцирует появление таких пятен на этой части лица особый гриб, также появление данной патологии может быть связано с дефицитом цинка либо никотиновой кислоты в человеческом организме. Обострение себореи наблюдают чаще в холодный период года при нехватке ультрафиолета. Летом довольно редко можно встретить людей с такими неприятными симптомами.
Как же избавиться взрослому от красных пятен на лбу такого рода?
Что запрещается делать при появлении пятен
Если у человека возникли высыпания вокруг рта и в других частях тела, то не рекомендуется расчесывать их. Это усиливает зуд и провоцирует дополнительное раздражение кожи. При расчесывании нарушается целостность покровов, через раны в кровь может быть занесена инфекция.
Запрещается при появлении сыпи на различных участках тела (на попе, животе, спине, лице) лечиться самостоятельно без предварительной консультации у дерматолога. Любое самолечение опасно непредсказуемыми последствиями для организма.
Проведение терапии себореи
Кожа в этом районе лица, которая поражена себореей, требует особого ухода и терапии. Обычно проводится местное лечение. Заболевание может носить хронический характер, в связи с этим нужно соблюдать рекомендации по уходу за кожным покровом:
- В рамках устранения симптоматики заболевания в роли терапии применяют болтушку, содержащую цинк.
- В процессе мытья головы используется специальный лечебный шампунь с содержанием кетоконазола, а, кроме того, деготь и цинк. Во время процедуры пенкой от шампуня допускается протирать кожу, где присутствуют пятна.
- По утрам рекомендуют удалять корку на пятнах с помощью ватных тампонов, смоченных в детском или лечебном шампуне, можно протирать участки двухпроцентным «Кетоконазолом».
При условии своевременного обращения к специалисту можно убирать такие образования довольно быстро. Причины и терапию в каждом случае должен устанавливать доктор, который назначит индивидуальное лечение.
Фото красных пятен на лбу у взрослого представлено.
Факторы, которые провоцируют такое явление среди представителей сильного пола, как правило, следующие.
Профилактика
Основным способом предотвращения появления сыпи на лице (вокруг глаз, щеках, подбородке, носу) и теле является соблюдение здорового образа жизни. Особое внимание должно уделяться питанию.
Необходимо избегать употребления продуктов, содержащих в себе аллергены. Значение имеет личная гигиена. Нужно своевременно лечить различные инфекционные заболевания.
Рекомендуется избегать стрессовые ситуации и эмоциональные напряжения.
https://youtube.com/watch?v=M9R2ovPrpHo
Также следует отказаться от вредных привычек. Женщинам рекомендуется с осторожностью использовать косметические средства. Важно избегать вредного воздействия ультрафиолета на кожные покровы.
Наличие у мужчин экземы
Поражения кожи возникает в результате соприкосновения с раздражителями, то есть с различными ядовитыми химикатами на фоне порезов и ожогов. Такие пятна на лице могут просигнализировать об имеющемся нарушении в пищеварительной системе, а, кроме того, о гормональном сбое. Причины круглых красных пятен на лбу у взрослого нужно обязательно выявить.
Красные пятна на лбу у взрослого: причины и лечение

Кожа, как правило, требует тщательного ухода. Часто можно заметить красные пятна на лбу у взрослого человека. Стоит подчеркнуть, что причины и терапию при их появлении должен устанавливать дерматолог. Лечение обычно сводится к устранению жжения и ярко выраженного зуда, которыми нередко сопровождается такое заболевание.
Выясним, почему возникают красные пятна на лбу у взрослого.
Каковы основные причины недуга?
Часто высыпание на лбу может у людей отмечаться при себорейном дерматите. Можно также упомянуть о народном названии недуга: себорейная корона или себорея. Причины красных пятен на лбу у взрослого могут быть и другие. Реже встречаются патологии, имеющие похожие симптомы:
- Появление дерматофитии лица.
- Развитие себопсориаза, то есть сочетания псориаза с себореей.
- Возникновение отрубевидного лишая.
- Появление крапивницы.
Учитывая то, что себорея выступает самым частым заболеванием, вызывающим красные пятна у взрослых на лбу, стоит более подробно остановиться на факторах и терапии этой патологии.
Особенности патологии и ее диагностика
При наличии красных пятен на лбу у взрослого, спровоцированных себореей, у пациентов поражаются сальные железы, в связи с этим дословный перевод этого заболевания будет звучать, как салотечение.
Через различные железы выходят высокомолекулярные спирты наряду с жирными кислотами, йодом и другими элементами.
В результате этого на лбу и прочих районах лица возникают красные пятна, которые чешутся и шелушатся.
Высыпания способны располагаться на лбу, доставая даже до волосяного покрова, чем вызывается появление чешуек, то есть перхоти.
В целях установления диагноза надо обратиться к дерматологу, который оценит всю клиническую картину патологических образований.
Причины с лечением определяются, как правило, исходя из результата очного осмотра. Этого обычно бывает вполне достаточно, чтобы назначить лечение.
Провоцирует появление таких пятен на этой части лица особый гриб, также появление данной патологии может быть связано с дефицитом цинка либо никотиновой кислоты в человеческом организме. Обострение себореи наблюдают чаще в холодный период года при нехватке ультрафиолета. Летом довольно редко можно встретить людей с такими неприятными симптомами.
Как же избавиться взрослому от красных пятен на лбу такого рода?
Аллергия
В случае аллергических реакций на внешние раздражители или пищевые продукты могут появляться подобные образования на лбу. Активными аллергенами считают обычно пряности наряду с цитрусовыми, клубникой, шоколадом, кофе. Аллергию у мужчин может провоцировать даже новая пенка для бритья. Еще каковы причины красных пятен на лбу у взрослого мужчины?
Среди любителей спиртного подобное проявление на коже бывает из-за повышенного давления и плохой работы печени.
Прыщи и угри
Прыщи и угри, как правило, возникают в подростковом возрасте.
Большой уровень у мужчин андрогенов приводит к интенсивной выработке сала в расширенных порах, которые не очищаются, как следует, это провоцирует воспаление.
Подобные проявления можно наблюдать и у мужчин, находящихся в пожилом возрасте, когда кожа становится бугристой и красной. Бывает, что красные пятна на лбу у взрослого не чешутся, что это означает?
Наличие сердечных и сосудистых заболеваний
Плохая проходимость капилляров и их слабые стенки ведут к ломкости тканей, из-за чего образуются звездочки. Кожа вокруг может приобретать красноватый оттенок. Похожие пятна также возникают при наличии больного желудка. Более очевидными симптомами служат отрыжка наряду с поносом и метеоризмом, что подтверждает проблему пониженной кислотности.
Красные пятна на лбу у мужчин могут возникать при кашле, удушающем состоянии, при употреблении некоторых медицинских средств, а также в экстремальных ситуациях.
Пятна в сочетании с другими симптомами: о чем это говорит?
Опасно ли то, что шелушится красное пятно на лбу у взрослого?
Порой они являются одним из симптомов крайне серьезных недугов. Вкупе со следующими признаками таковые могут предупреждать:
- На фоне синевы губ или ногтей это может говорить о недостаточности сердца.
- Об отеке горла.
- О сильном сердцебиении и частом пульсе.
Следующие признаки могут оказаться опасными для жизни:
- Шелушащиеся красные пятна на лбу возникают порой при недостатке витаминов «А», «С», «Р». Кожа при этом у людей теряет влагу, покрываясь сухими чешуйками. Как правило, это явление наблюдают весной.
- Имеется такое кожное заболевание, которое называется демодекоз, что вызывается клещом. При заражении им тоже может наблюдаться описываемый симптом. Причины красноты могут заключаться и в наличии в организме других паразитов.
- Лишай наряду с корью, ветрянкой, краснухой — все это тоже может провоцировать появление на лице данного симптома.
- На фоне красной волчанки или псориаза.
Что делать, если красные пятна на лбу у взрослого чешутся?
Лечение
Теперь поговорим об особенностях терапии:
- Такие пятна на лице из-за солнца, холода или прочих механических причин, как правило, не потребуют особого лечения. Достаточно использовать питательные или увлажняющие крема. Авитаминоз определяется врачом, который назначает употребление недостающего витамина. Но беспорядочно принимать все питательные микроэлементы подряд нельзя. Это может пагубно отразится на здоровье.
- При наличии аллергии, прежде всего, нужно выявить и избавиться от раздражителя, а далее принимать антигистаминные средства, назначенные врачом.
- Для того чтобы избавиться от акне, применяется комплексная терапия. Речь идет об очистке лица, употреблении средств, сужающих поры и использовании гормональных лекарств.
- Терапию гельминтоза начинают обычно с выявления типа паразита через кровяной анализ. Только тогда доктор сможет прописать препарат для лечения.
- Стригущий лишай можно подхватывать от больного индивида, а также от бродячего животного. Это заболевание лечить довольно трудно. Но грамотно проработанная тактика терапии врачом поможет избавиться от такого тяжелого кожного заболевания навсегда.
- Инфекции наподобие краснухи, ветрянки и кори у детей протекают довольно легко, а вместе с тем предсказуемо. Главное – это вовремя начать терапию. Взрослые люди тяжелее переносят такие заболевания. У них могут возникнуть те или иные осложнения. Ветрянка покрывает все тело сыпью. Если прыщики не прижигать с помощью зеленки, тогда они распространятся, и будут провоцировать температуру.
- Красная волчанка с псориазом выступают неизлечимыми заболеваниями, но системная терапия облегчает жизнь пациентов. На коже такая болезнь проявляется в виде красных выпуклых пятен на лице. Подобные воспалительные проявления поражают помимо прочего и внутренние органы.
- При наличии тяжелых венерических заболеваний тоже могут возникать пятна на лбу. После избавления от базового заболевания краснота сходит сама собой.
Терапия в зависимости от заболевания
Такой недуг, как, например, экзема возникает в виде небольших пятен, имеющих красный цвет, на любом участке лица. Они могут покрываться водянистыми пузырьками, лопающимися и подсыхающими. Все они могут сильно зудеть.
Чтобы от экземы избавиться, внутрь принимаются антигистаминные лекарства в целях устранения причин патологии, а снаружи кожа лечится мазями с дегтем или раствором борной кислоты. В тяжелых случаях доктором выписываются гормональные мази.
К примеру, при наличии контактной экземы хорошо помогает «Флуцинар».
Пероральный дерматит среди мужчин, как правило, встречается нечасто. Его основной причиной обычно становятся плохая работа пищеварительной системы или гормональные дисфункции. После ликвидации основного заболевания проводится лечение примочками календулы или нужно выполнять криомассажи.
Почему в стрессовых ситуациях лицо у людей краснеет? Это напрямую связано с повышением давления в случае нервного возбуждения.
У смелых такая реакция дает кровяной прилив и силы, а у слабых лицо обычно бледнеет, то есть абсолютно все процессы полностью замирают, а кровь стынет в жилах из-за страха.
При наличии диабета поражаются некоторые сосуды, что ведет к образованию лиловых и красных пятен, осложняющихся язвочками. Избавиться от них довольно трудно.
Краснеет лицо по причине учащенного сердечного ритма. Подобные нарушения возникают у женщин и при климаксе. Причина их кроется в приливе крови.
Скарлатина у взрослых определяется по обилию красных мелких прыщиков, постепенно превращающихся в одно поле с белыми пятнышками близ носа.
У кори имеются свои отличительные черты – это образования красного цвета и белый налет на слизистой щек с обратной стороны. Краснуха, помимо рассматриваемого симптома, характеризуется припухшими лимфатическими узлами.
Мы рассмотрели, что означают красные пятна на лбу у взрослого. Фото с пояснениями представлено.
Красные пятна на теле у взрослого: причины появления на шее, щеке, лбу, ягодицах, вокруг рта и т.д

Что делать, если появляются красные пятна на подбородке у ребенка? Рассмотрим далее основные причины их появления, а также наиболее эффективные способы устранения.
Acne (прыщи) – как «подростковая» форма себореи
Механизм возникновения себорейной формы дерматита до конца еще не изучен современной медициной. Чаще всего, прыщи (акне) появляются у подростков, в период полового созревания.
Это время, характеризуется наличием в организме гормонального дисбаланса.
Органы внутренней секреции, особенно половые, начинают активно вырабатывать – андроген, мужской гормон, который стимулирует избыточное выделение секрета жировых желез.
Условно, принято выделять две основных группы прыщей:
- открытые: черные точки, гнойничковые уплотнения (узлы);
- закрытые: подкожные прыщи (папулы) в виде уплотнений красных бугорков, мелкие прыщики (камедоны), кисты.
Со временем гормональный фон стабилизируется, приходит в норму и признаки себорийного дерматита исчезают.
Основные виды образований
- Комедоны. Они образуют на коже целые участки воспаления. Основная причина их появления – это закупорка сальных желез. Комедоны могут появиться от пользования некачественной косметикой. Самим удалять их нельзя, потому что в ранку может попасть инфекция. Тогда зона воспаления станет намного больше и болезненнее.
- Внутренние подкожные прыщи. Они не заметны на коже, но их можно почувствовать, потому что при надавливании на них ощущается болезненность. Появляются они из-за специфики строения кожного покрова в нижней части лица. Удалять прыщи можно, используя ихтиоловую мазь.
- Белые небольшие прыщи, имеющие гнойное содержимое. Проявляются они сразу кучкой на определенном участке кожи. Причина кроется в гормональном дисбалансе, в стрессах или приеме антибактериальных средств. По ним можно определить, что в организме произошел внутренний сбой.
- Угри или акне. Они могут проявиться в разных местах кожи. Угревая сыпь начинает беспокоить женщину при гормональных переменах в организме, на которые накладываются внешние факторы.
- Угри простудного характера. Они могут периодически появляться и исчезать. Это зависит от проблем с иммунной системой. Сначала на подбородке появляется небольшая шишка, доставляющая дискомфорт. А потом внутри образуется гнойник. Спустя некоторый промежуток времени все проходит. На коже не остается следов. Поэтому ничего предпринимать не надо, все проявления сыпи пройдут сами.
https://www..com/watch?v=
Важно при появившейся сыпи правильно определить ее характер.
Ведь причины могут быть разные: внутренние или внешние. И соответственно методы лечения применяются тоже разные.
Дерматит на лбу: как индикатор работы внутренних органов человека
Подкожные прыщи, язвочки, наполненные жидкостью локализируются в основном в области лба. В чем причина многочисленного появления черных точек (угрей), прыщей в этой зоне?
Дело в том, что большинство желез, вырабатывающих сальный секрет расположены в лобной части головы. В процессе активной выработки этого фермента организмом, происходит закупоривание протоков.
Жиры, скапливаются в подкожном слое, тем самым образуя благоприятную среду для размножения различных патогенных микроорганизмов. Эти многочисленные колонии бактерий, способствуют развитию различных воспалительных процессов во внутреннем слое эпидермиса.
Происходит нагноение многочисленных сальных протоков. Лоб покрывается различными видами высыпаний.
Причина того, что на лбу возникает огромное количество прыщей – сильная работа желез.
Очаги возникновения прыщей в области лба носит всегда зональный характер. Результаты многочисленных медицинских исследований показали, что сбои в работе пищеварительного тракта в организме человека могут спровоцировать возникновение такого заболевания как себорейный лицевой дерматит:
- Если появились признаки дерматита на лбу, с левой или с правой его стороны, то присутствует вероятность, сбоя в работе прямой кишки.
- Появление очагов воспаления кожи между бровями может сигнализировать об изменениях в печени.
- Проблемы в мочевом пузыре могут вызвать, появление акне (прыщей) вдоль линии начала роста волос на лице, то есть в верхней части лба.
- Воспаление кожных тканей в середине лба, может стать сигналом о неполадках в функционировании тонкого кишечника.
- Пораженные себореей правый или левый висок головы, могут сигнализировать о неправильной работе желчного пузыря.
Стоит помнить о том, что данная классификация ни в коем случае не заменит полноценную профессиональную медицинскую консультацию.
Для определения точной причины возникновения воспалительных процессов во внешних и внутренних слоях эпидермиса лица следует обратиться к врачу!
Заболевания, вызывающие появление пятен
Чаще мелкие красные точки на теле у взрослого – следствие патологических процессов. Высыпания – один из симптомов. Точную причину может установить только доктор после комплексного изучения состояния. Самодиагностика неэффективна.
Заболевание передается воздушно-капельным путем. Источником инфекции является больной человек. На теле появляются красные точки через 3-4 дня после заражения. Инфекция вместе с кровью распространяется по всему организму.
Сначала присутствует одна красная точка на лице. Через несколько суток их становится множество. Уже через 3-4 дня высыпания распространяются по всему телу.
Папулы плоские и окружены красными наростами. Новообразования быстро увеличиваются в размерах. Пятна могут полностью сливаться и образовывать один большой нарост.
Чаще болезнь появляется у ребенка. Нарушение сопровождается повышением температуры тела, лихорадкой, насморком. Только на 4-5 сутки пациент становится незаразным.
После схода папул на теле остаются красно-коричневые пятна. Есть ощущение, что кожа грязная. Это результат гиперпигментации. На 7 сутки начинается шелушение, которые является результатом скопления отмерших клеток. На 10 сутки состояние пациента улучшается. Это связано с выработкой антител в организме. После заболевания иммунитет восстанавливается 1-2 месяца.

Мелкие кровяные точки в области лица на медицинском языке называются петехиями.
Для любой женщины их появление является проблемой, ведь каждой хочется иметь безупречную кожу, без которой невозможен идеальный внешний вид.
Появлению красных точек предшествует повреждение капилляров, в результате которого происходят небольшие подкожные кровоизлияния. Они не выступают над кожей и довольно легко маскируются тональными средствами.
Сыпь на лице может быть вызвана и другими причинами, она часто бывает проявлением различных заболеваний. Не меньшее беспокойство доставляет возникновение красных точек на лице у ребенка. Что же вызывает это явление и как себя от него избавить?
Причины появления
Кровеносная система в организме доставляет кислород и питание всем органам и клеткам. Самые мелкие сосудики (капилляры), расположенные в подкожном слое лица — особенно чувствительные и тонкие. Их повреждение может быть вызвано любым усилием, которое сопровождается перенапряжением.
На поверхностном слое кожи в месте кровоизлияния появляются красные точки небольшого размера. Некоторые путают петехии с тепловой сыпью, но это два разных явления. Тепловая сыпь располагается также на спине и в области груди. Видом она больше напоминает красные прыщики.
Появлению петехий часто предшествуют следующие неприятные состояния:
- Сильный кашель. При сильном упорном кашле в сосудах лица возникает повышенное давление, что становится причиной их повреждения. Мелкие красные точки могут появиться на лице и шее.
- Рвота. Во время приступа тошноты и рвоты у человека возникает мышечное перенапряжение, которое также вызывает разрыв мелких сосудов. Особенно если рвота обильная и многократная. Поэтому она вполне может сопровождаться появлением петехий.
- Надрывный плач, рыдание. Еще одна причина появления маленьких кровяных точек в зоне лица. Их вызывает все тот же избыточный мышечный тонус.
- Аллергия. Эта патология часто сопровождается проявлениями на коже, в том числе и в виде петехий. Аллергическая реакция может возникнуть на медикаменты или продукты питания.
Кроме указанных причин, появление красных точек на лице может провоцировать нарушенная свертываемость крови. В норме на месте повреждения мелкого сосуда должен тут же образовываться тромб, препятствующий дальнейшему кровотечению.
Если этого не происходит, возникают лицевые петехии. Иногда к этому явлению приводит прием антикоагулянтов, например, аспирина или гепарина.
Наиболее часто в этом случае появляются красные точки под глазами или на щеках, они самостоятельно проходят через несколько дней.
Сосудистые звездочки на лице являются симптомом купероза (расширенной капиллярной сетки). Возникает купероз в результате нарушения микроциркуляции крови. Красная точка под глазом, на щеках и губах может оказаться гемангиомой — сосудистой опухолью.
Она обычно слегка выступает над кожей и похожа на родинку. В этом случае красная точка на лице не проходит самостоятельно. Гемангиомы безобидны и безопасны, если они не кровоточат и не наблюдается их рост.
Точные причины их появления медицине неизвестны.
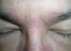
Появившиеся на лбу красные крапинки имеют совсем другую природу. Обычно так себя проявляет себорейный дерматит. Возникает это заболевание из-за нарушения работы сальных желез. На волосистой части головы себорея сопровождается появлением перхоти. Красные пятна на лбу при себорейном дерматите имеют монетообразную форму.
Другими причинами появления красных точек в этой области могут стать:
- грибковая инфекция;
- дерматофития;
- ceбопсориаз;
- крапивница;
- лишай.
Для постановки диагноза лучше всего обратиться к дерматологу, который установит истинную причину заболевания и пропишет необходимые медикаменты. Диагностика проводится на основе опроса и осмотра пациента.
Кроме этого, врач назначает анализ крови с лейкоцитарной формулой, берет соскоб. Проводится дермоскопия и бактериологический посев.
Все эти действия позволяют найти виновника заболевания и назначить адекватное лечение.
Иногда высыпания бывают в области носа. Если маленькая красная точка на носу не проходит, а, наоборот, появляются новые, это может быть проявлением угревой сыпи, демодекоза, аллергии или грибка. Чтобы избавиться от угрей и акне, посетите косметолога.
Он даст рекомендации по питанию и уходу за кожей. Возможно, придется поменять привычное косметическое средство. Если же доктор заподозрит грибок или клещевое поражение, придется пройти курс лечения специальными препаратами.
При аллергии следует пересмотреть свое питание и исключить те продукты, которые ее вызывают.
Если красные точки появились на лице у вашего малыша — это повод немедленно посетить педиатра. В летнее время маленький ребенок может пострадать от укусов насекомых.
К остальным причинам относятся инфекционные заболевания и аллергические реакции. У самых маленьких детей красные точки на лице могут стать последствием родовой травмы. Иногда детская кожа таким образом реагирует на смену климата.
Инфекциями, провоцирующими красную сыпь на лице у ребенка, являются:
- скарлатина;
- ветрянка;
- краснуха;
- корь.
Помимо того, что дитя может покрыться сыпью, при инфекционных болезнях наблюдается высокая температура. При своевременной постановке диагноза медицина успешно лечит любые инфекции. Если врач заподозрит аллергию, ребенку придется сдать пробы на выявление аллергенов. Снять симптомы в этом случае помогут антигистаминные препараты.
Как избавиться
Как убрать красные точки на лице чтобы они не портили внешний вид? Это зависит от причины их возникновения.
Петехии проходят сами в течение нескольких дней, какого-либо специфического лечения они не требуют. Чуть дольше держатся на лице следы укусов насекомых. Ускорить их исчезновение могут специальные мази и гели.
При помощи мази также избавляются от демодекоза, ей обрабатывают и красное пятно, вызванное лишаем.
Аллергические симптомы снимаются приемом антигистаминных медикаментов и исключением аллергена. Удаление сосудистых звездочек проводят аппаратными способами. Может быть задействована электрокоагуляция, лазерная терапия, криодеструкция, озонотерапия и некоторые другие способы. Стенки пораженных сосудов склеиваются или разрушаются, и красные точки исчезают.
Пигментация на лбу: особенности возникновения и способы избавления

Часто высыпание на лбу может у людей отмечаться при себорейном дерматите. Можно также упомянуть о народном названии недуга: себорейная корона или себорея. Причины красных пятен на лбу у взрослого могут быть и другие. Реже встречаются патологии, имеющие похожие симптомы:
- Появление дерматофитии лица.
- Развитие себопсориаза, то есть сочетания псориаза с себореей.
- Возникновение отрубевидного лишая.
- Появление крапивницы.
Учитывая то, что себорея выступает самым частым заболеванием, вызывающим красные пятна у взрослых на лбу, стоит более подробно остановиться на факторах и терапии этой патологии.
Самостоятельное устранение проблемы
Помочь проблемной коже можно в домашних условиях при помощи специальной косметики:
- Отличным средством при шелушении эпидермиса являются натуральные масла, например, оливковое, апельсиновое, кокосовое или миндальное.
- Можно делать маски для лица с добавлением эфирных масел.
- Горячая вода с мылом вредит дерме. Для умывания лучше использовать гель или пенку.
- Рекомендуется принимать поливитамины, особенно важно наличие в их составе витамина А, В и Е.
- Перед выходом на улицу в морозную погоду нельзя использовать увлажняющий крем.
- Солнцезащитные средства и термальная вода помогут защитить кожу от корочки летом.
- С шелушением дермы поможет справиться домашний крем из сливок и масла.
- Очень важно следить за питанием и соблюдать питьевой режим. Кожа будет здоровой, если отказаться от сигарет и алкоголя, ограничить употребление кофе.
- Занятия спортом избавят организм от застоя крови и лимфы. Благодаря этому клетки получат достаточное количество кислорода и питательных веществ, избавятся от токсинов.
- Предотвратить сухость эпидермиса поможет частое пребывание на свежем воздухе.
Как правило, с шершавой кожей можно справиться самостоятельно в домашних условиях. Но если проблема связана с каким-либо заболеванием, необходима консультация специалиста.
Причины появления пигментных пятен
Дефекты на голове, на щеках возникают из-за:
- воспалительных процессов в репродуктивной системе. Половые гормоны непосредственно влияют на цвет, структуру кожи, деятельность сальных желез. При воспалительных процессах пигментация выступает на лбу, щеках, спине, груди и других частях тела. Поэтому устранение косметического дефекта начинают с похода к гинекологу или эндокринологу;
- беременность. Пигментные пятна на коже часто возникают во время вынашивания малыша. Физиологические изменения, колебания гормонального фона — все это негативно сказывается на внешнем виде будущей мамы. Часто проблемы и гиперпигментация пропадает после беременности или окончания лактации. При вынашивании малыша и кормлении грудью для устранения пигментации нельзя использовать косметические средства или аппаратные процедуры;
Причиной пигментирования также являются солнечные лучи, особенно в весенний период, которые вызывают появление веснушек и пятен
- неконтролируемый прием гормональных контрацептивов. Если систематически превышать дозу или длительность терапии фармакологическими препаратами, то возникновение коричневых, желтых, синих, красноватых точек неизбежно;
- последствия солнечного, термического или химического ожога. Пятна разного цвета на открытых участках возникают из-за чрезмерного воздействия ультрафиолетовых лучей или химических веществ. Поэтому важно после ожогов провести регенерацию покрова с помощью фармакологических препаратов или мазей на основе пантенола;
- патологии печени и органов пищеварения. Из-за некачественного переваривания продуктов, застоя желчи или других секретов, наличия камней или новообразований доброкачественной или злокачественной природы появляется гиперпигментация;
- неправильное питание с дефицитом витаминов, минералов и избытком углеводов, жиров.
Предлагаем ознакомиться Резкое выпадение волос у женщин причины Как избавиться от проблемы расскажем более подробно.
К появлению пигментных пятен на теле люди относятся по-разному. Кто-то пугается и немедленно записывается на прием к врачу, кто-то не переживает, считая, пигментацию безобидной. Нужно заметить, что пигментные пятна бывают разные, поэтому не стоит относиться к их появлению легкомысленно. Разберемся, почему могут появиться пигментные пятна на голове.
https://youtube.com/watch?v=OhtUnEfWvmI
Даже самому внимательному человеку бывает сложно заметить появление пятна на , поскольку кожа скрыта волосами, да и увидеть, что там у тебя затылке достаточно проблематично. Чаще всего, появление таких пятен замечают другие люди. Например, пятна у ребенка может заметить мама во время причесывания.
Почему появляются?
Пигментация появляется в результатеизбыточной выработки меланина. Так называется особый пигмент, который вырабатывается особыми клетками кожи, в ответ на солнечное облучение. Именно на этом явлении основан эффект загара. Во время пребывания на солнце клетки-меланоциты начинают активно вырабатывать пигмент, и кожа приобретает более темный цвет.
Но в некоторых случаях меланоциты функционируют неправильно, вырабатывая излишнее количество пигмента на ограниченном участке. В результате появляется пятно, цвет которого может варьироваться от рыжего до темно-коричневого. Оттенок пятна зависит от количества пигмента.
Какие причины могут спровоцировать появление пятен? Это:
- слишком длительное пребывание на солнце, нередко пятно появляется на месте, где был солнечный ожог. Конечно, кожа головы защищена волосами, но эта защита зачастую бывает недостаточной;
- различные заболевания;
- наследственная предрасположенность;
- травма.
Предрасполагающими факторами к появлению пигментации являются:
Сыпь на лбу у взрослого: основные причины появления сыпи, красных пятен, лечение

Наша кожа всегда нуждается в тщательном уходе, особенно в области лица. В этой зоне отражается наше состояние здоровья. Так, утверждает китайская медицина на протяжении многих тысячелетий. Не каждый из нас может похвалиться идеальной кожей.
Прыщи и различные высыпания случаются часто в подростковом возрасте, но со временем проходят. У взрослых людей также можно заметить сыпь на коже лица, которая сразу настораживает.
Какие причины у таких высыпаний и как они связаны со здоровьем?
В подростковом периоде появление прыщей связано с гормональной перестройкой организма. Обычно такие высыпания проходят сами по себе. Они редко нуждаются в лечении, главное, постоянно следить за чистотой кожи. Высыпания бывают у девушек и женщин в период беременности или перед месячными.
На коже лица сыпь появляется гораздо чаще, чем на теле, поскольку там находится больше сальных и потовых желез. Если у взрослого человека так происходит, такие симптомы свидетельствуют о нарушениях в работе внутренних органов. В этом случае нужно обращаться за советом к медикам, чтобы выяснить причину высыпаний.
Очень часто высыпания появляются в области лба. Когда железы внутренней секреции функционируют нормально это не вызывает проблем с кожей. Причины внешние и внутренние могут влиять на состояние кожи в области лба. К внешним факторам, влияющим на состояние кожного покрова, относятся:
- неправильный уход;
- плохая гигиена;
- природные факторы (плохая экология, солнечные лучи, холод).
Внутренние факторы наиболее распространенные. Они чаще всего вызывают сыпь на лбу. Причинами могут быть:
- нарушения гормонального баланса;
- нездоровое питание и образ жизни;
- проблемы с органами ЖКТ;
- аллергия;
- раздражение.
Причину можно определить по характеру высыпаний. Это может быть мелкая сыпь угревая или красные пятна.
Сыпь на лбу у взрослого: причины
Если взрослый человек соблюдает все правила гигиены, следит за своей кожей и при этом у него появляются высыпания в области лба, возможно, тому виной неподходящие средства по уходу. Об этом можно спросить у косметолога, дерматолога они смогут оценить состояние кожи и дадут свои рекомендации.
https://youtube.com/watch?v=4q_FgHF7-II
Скорей всего сыпь или пятна на лбу — это сигнал от том, что с организмом что-то не в порядке. Сбой в работе органов пищеварения сразу отражается на лице. В этом случае кроме, сыпи также появляются мелкие прыщики, угри, красные пятна. Последние чаще всего появляются при себорее.
Медицина определила несколько основных факторов, влияющих на состояние кожи взрослого человека. Например, при аллергической реакции также возникают высыпания на коже. Аллергия может быть медикаментозного и пищевого характера.
Часто из-за инфекций в организме поднимается уровень вредных веществ. Кожа реагирует на это отрицательно. Нездоровое внутреннее состояние сразу отражается на кожной поверхности.
Неправильное или несбалансированное питание также провоцирует появление различных сыпей и пятен. В организме происходит сбой обмена веществ, которые могут быть вызваны хроническими или системными заболеваниями.
Кожа страдает и от нехватки витаминов или из-за их переизбытка в организме. Очень большую роль играют вредные привычки, например, курение и злоупотребление алкоголем.
Вредные привычки наносят вред системе пищеварения.
Стрессовые ситуации и неустойчивое психологическое состояние, нервозность и перенапряжение также плохо влияют на состояние кожи. В таком состоянии нарушается процесс кровообращения, отчего страдает эпидермис. Ему недостаточно питательных веществ.
На кожу также может повлиять прием сильнодействующих препаратов, например, антибиотиков.
Что делать и к кому обращаться?
Самостоятельно узнать причину высыпания вряд ли получиться, поэтому лучше узнать об этом у специалистов. Медики должны комплексно подойти к такому вопросу:
- выполнить диагностику;
- взять пробы и анализы.
Обычно такие исследования выполняет несколько специалистов. Они после диагностирования подберут походящий курс лечения, чтобы решить проблему.
Косметолог — изучает состояние кожи, проводит диагностику и с учетом особенностей кожи проведет необходимые процедуры по восстановлению эпидермиса, подскажет правильный уход за кожей.
Дерматолог — проведет диагностику на предмет инфекции в кожном покрове. Подберет комплексное лечение и при необходимости посоветует обратиться к другим специалистам.
Аллерголог — после сдачи анализов сможет выявить наличие аллергена в крови. Если есть нарушения, назначит диету и поможет подобрать правильную систему питания.
Гинеколог, эндокринолог — эти специалисты могут назначить дополнительные анализы и лабораторные исследования, чтобы установить причину. После этого смогут уточнить диагноз и назначат курс лечения, направленный на стабилизацию гормональной функции.
Гастроэнтеролог — он сможет определить точную причину и скорректировать питание, а также подберет нужное лечение.
Комплексный подход поможет установить точный диагноз и выбрать правильное лечение при высыпаниях на коже, в том числе и в области лба.
Как лечить красные пятна на лбу?
При себорейном дерматите на коже могут появляться красные пятна, в том числе и на лбу. Это довольно распространенное заболевание, возникающее из-за поражения сальных желез. В результате появляются красные пятна, которые доставляют большой дискомфорт. Они чешутся и затем шелушатся. В основном пятна расположены высоко на лбу ближе к волосам. По этой причине появляется перхоть.
Справиться с такой проблемой поможет только дерматолог. Он осмотрит красные пятна и оценит клиническую картину. После осмотра он назначит лечение.
Обычно появление красных пятен связано с дефицитом цинка или никотиновой кислоты в организме. Чаще всего обострение заболевания наблюдается в холодное время года из-за недостатка ультрафиолетовых лучей.
В летнее время красные пятна почти не появляются на коже лба и других участках.
Для лечения почти всегда назначают болтушки с цинком, рекомендуется мыть волосы шампунем с цинком и дегтем, кетоконазолом. Следует протирать красные пятна в области лба таким средством. При своевременном обращении к дерматологу красные пятна можно убрать, выполняя рекомендации специалиста.
Народные средства и профилактика
Эти методы борьбы с высыпаниями на коже должны использоваться только в комплексе с основной терапией. Очень важно это сделать на ранней стадии развития. Лекарственные травы, мази и кремы имеют свои особенности, в том числе и противопоказания. По этому поводу лучше проконсультироваться с дерматологом и косметологом, чтобы самостоятельное лечение не нанесло вреда.
Рекомендуется по утрам использовать отвары трав, например, ромашка, липа, шалфей. Хорошими антимикробными и противовоспалительными свойствами обладает свежий сок алоэ. Им нужно протирать участки лица, пораженные мелкими прыщиками.
При желании можно избавиться от различных высыпаний, если постоянно следить за кожей лица, пользоваться качественными косметическими средствами. Кожа всегда будет здоровой, если здоров организм.





