Мрт матки и яичников – что показывает и как проводится процедура?

Ещё недавно диагностика женских заболеваний представляла собой неприятный для пациентки набор врачебных манипуляций. Традиционный гинекологический осмотр с применением зеркал и прочих медицинских инструментов не давал гарантий диагностирования таких патологических процессов, как кистозное образование или онкология яичника, низкий уровень проходимости маточных труб и пр.
Картина изменилась с появлением и применением неинвазивного метода диагностики патологий матки и придатков — магнитно-резонансной томографии. Даже стандартное МРТ-исследование способно установить практически все разновидности патологических процессов в женской половой системе.
Безопасный метод диагностики
Что такое МРТ матки — особенности диагностики
До того, как появился метод, медработники использовали методы диагностики:
- кольпоскопия при исследовании шейки матки;
- гистероскопия – при обследовании полости матки;
- лапараскопия – метод для исследования проходимости труб, яичников, придатков;
- с использованием контраста — подготовка к рентгенографии, КТ для определения наличия спаек, или изменения органов;
- УЗИ – для изучения состояния придатков и матки.
Метод исследования считается относительно новой методикой, диагностика проводится в специально оборудованной комнате с применением аппарата, который называется томографом.
Особенности способа заключаются в следующих аспектах:
- Во время процедуры не снимают одежду, вы не ощутите на теле неприятные прикосновения инструментов – метод не приносит неприятных ощущений. Женщине нужно просто лежать неподвижно.
- Проходят обследование беременные, томография — безопасная процедура.
- МРТ яичников делают при наличии подозрений на опухоли, поликистоз и прочие недуги органа.
- Доктор получает достоверные и точные результаты исследования, МРТ определяет любое заболевание: начиная опухолями и заканчивая спаечным процессом. Без томографии пришлось бы проходить сразу несколько разновидностей исследования.
- Противопоказаний – минимум. Томографию матки назначают пациентке даже в случае, если у нее есть сопутствующие патологии. Исключение – серьезные заболевания (при которых нельзя использовать контраст), а также наличие в организме медицинских устройств, или если есть что-то металлическое (украшения, пирсинг и т.д.).
- Определяет наличие загибов, новообразований, рубцов, позволяет изучить внешнюю и внутреннюю поверхность матки.
Выявление саркомы
Саркома — наиболее агрессивный и опасный вид злокачественной опухоли. Она может встречаться в любой части тела, в том числе и в женских половых органах. МРТ матки, яичников, придатков и труб помогает максимально точно выявить расположение опухоли, определить ее размер и область поражения.
Уже во время проведения томографии опытный врач сможет без труда определить, какой характер носит раковое новообразование. Также на снимках будут «захвачены» и рядом находящиеся органы. Если у пациентки подтвердится страшный диагноз, то врач сможет посмотреть, не поражены ли ближайшие участки, а также не задеты ли лимфоузлы.
Что лучше – КТ или МРТ яичников?
МРТ яичников считается диагностическим методом, благодаря которому выявляют большое количество болезней. Обследуют пациентку для оценки лимфатических узлов, состояния матки и прилегающих органов, тканей.
Исследование матки и яичников назначается в случаях, когда нужно установить диагноз, у пациентки должны присутствовать определенные показания. Делают МРТ при профилактических осмотрах.
Метод дорогостоящий, но позволяет точно определить наличие патологии, актуально делать, если есть подозрения на новообразования.
Проводят, если доктор подозревает апоплексию, эндометриоз, при бесплодии. МРТ матки – единственный метод определить наличие новообразований с метастазами. Делают при механических повреждениях органов.
Методика безопасная, для выведения картинки на кран используются особые магнитные излучения – они безвредны для человека, если в организме отсутствуют металлические элементы. Не делают людям с психическими отклонениями, при эпилепсии. Это противопоказания к проведению МРТ женщинам.
КТ также позволяет определить гинекологические патологии. Назначают пациенткам, которые страдают от болей, но их причина не установлена. Сканирование – неинвазивное, диагностическое исследование проводится быстро и безболезненно. Преимущество способа – обеспечивает хорошую детализацию сосудов и мягких тканей.
Метод исследования рекомендуют сделать после прохождения УЗИ. С использованием контрастного вещества не делают, если у пациентки имеется аллергия, почечная недостаточность в анамнезе, при беременности. Доза облучения низкая, но для плода вредна. Назначают при подозрении на новообразования, повреждения органов области малого таза, воспалительные процессы.
Исходя из вышесказанного, вывод: МРТ и КТ – это эффективные методики диагностики, которые определяют множество патологий. Компьютерная томография не проводится беременным женщинам, МРТ допускает обследование в этот промежуток времени. Определить, какой способ будет эффективнее, может только доктор – исходя из общего состояния женщины, наличия сопутствующих недугов и прочих факторов.
Результаты МРТ
Отклонения в работе матки и образования в яичниках на МРТ визуализируются гораздо четче, чем на УЗИ. Вспомогательные программы, которые используют врачи для обследования, позволяют сосредоточиться даже на мелких объектах. Задача радиолога сравнить полученные данные с нормой. На снимках здорового человека воспаления и опухоли отсутствуют.
При использовании контрастного вещества измененные патологией участки на снимках видны отчетливее здоровых тканей. Поэтому, например, поликистоз яичников на МРТ будет представляться как россыпь контрастных пятен.
Для подготовки заключения радиологу, как правило, необходимо около часа. В сложных случаях изучение снимков может затянуться. Врач фиксирует все полученные данные в медицинском заключении. После описания полученных результатов, радиолог отдает пациентке снимки и диск с записью исследования, которая может потребоваться, если будет необходимо заключение второго эксперта.
Признаки аденомиоза матки на МРТ видны как утолщение соединительной зоны, часто с гиперинтенсивными очагами. Гладкие мышцы миометрия при этом гипертрофированы, эндометриальные железы расширены. Томография и УЗИ сегодня являются основными способами диагностики данного заболевания. Клинический диагноз, обычно невозможен из-за неспецифичности симптомов.
Многих пациенток интересует, показывает ли МРТ проходимость маточных труб? Томография при этой болезни малоинформативна. Диагноз ставится после гистеросальпингографии. Однако при выявлении непроходимости МРТ будет показана для изучения причин возникшего патологического состояния.
Что может выявить МР томография матки и яичников
Многих женщин волнует вопрос — что показывает мрт яичников, и актуально ли делать процедуру. Исследование оценивает состояние шрама, рубца на матке после проведенного кесарева сечения. Исследование поможет определить изменения тканей и органов, на снимке доктор визуализирует такие патологии:
Гистероскопия матки

Операция нужна срочно?
Скидка 10% на экстренную хирургию
Нарушение репродуктивной функции женщин является следствием множества причин, где маточный фактор составляет 24–62%
Внутриматочная патология является единственной причиной бесплодия у 10–15% женщин, а в сочетании с другими факторами ее частота увеличивается. Внедрение в клиническую практику гистероскопии значительно расширило возможности диагностики патологий эндометрия.
Гистероскопия — процедура диагностики и лечения патологий устья маточных труб, шейки матки и ее полости с помощью гистероскопа (прибора с оптической системой). Гистероскопическое исследование является наиболее информативным, высокотехнологичным и малоинвазивным методом диагностики причин бесплодия и патологических образований.
Гистероскопия матки В хирургическом центре «СМ-Клиника» производится гистероскопия матки. Новейшее оборудование, комфортабельные палаты и круглосуточное наблюдение.
Различают диагностическую (офисную) гистероскопию и лечебную гистерорезектоскопию, которая включает хирургические манипуляции в полости матки.
Лечебная часто применяется в комплексе с РДВ (раздельное диагностическое выскабливание) для последующего лабораторного исследования слизистой оболочки полости матки и цервикального канала.
Гистероскопия проводится также во время операций для контроля всех манипуляций.
Трансцервикальный метод
Общая анестезия
Время операции — 20 минут
Восстановление в стационаре — 2 часа
Стоимость операции: от 15 000 руб
Показания к проведению «офисной» гистероскопии
- бесплодие, отрицательные результаты ЭКО или естественного зачатия;
- невынашивание беременности;
- подозрения на эндометриоз тела матки, аденомиоз, миому матки, синехии (сращения) в полости матки, опухоли, остатки плодного яйца, другие патологии эндометрия;
- подозрение на онкологию матки и шейки матки;
- контрольное исслеование после прерывания беременности или самопроизвольного выкидыша;
- нарушение менструального цикла у женщин репродуктивного возраста;
- кровотечения в постменопаузе;
- профилактическое обследование матки.
Врач акушер – гинеколог, гинеколог — эндокринолог, репродуктолог, оперирующий гинеколог
«Перед гистероскопией пациентка должна сдать ряд анализов и пройти некоторые обследования: ЭКГ, флюорография, УЗИ органов малого таза, мазок из влагалища, цитология шейки матки, клинический и биохимический анализы крови, общий анализ мочи. Анализы сдаются за 10-14 дней до процедуры.»
Диагностическая гистероскопия в большинстве случаев не требует обезболивания, так как тонкие гистероскопы могут быть введены в полость матки, не травмируя и не расширяя шейку.
Обследование часто назначается в протоколах ЭКО для результативной диагностики причин неудач зачатия и повышения шанса на успешный перенос эмбриона и благополучную беременность.
Для первичного обследования предварительно может назначаться гистеросальпингография (ГСГ) — метод рентгенологического исследования матки с введением контрастного вещества.
Показания к хирургической гистероскопии:
- миомы матки;
- синехии, перегородки в маточной полости;
- полипы эндометрия;
- гиперплазия (утолщение) эндометрия;
- остатки внутриматочного контрацептива.
- этап подготовки к беременности, если во время прошлых родов выполнялось кесарево сечение.
- внутриматочная спираль, находящаяся в теле более 5 лет, и невозможность удалить ее по стандартной методике.
Гистероскопия матки В хирургическом центре «СМ-Клиника» производится гистероскопия матки. Новейшее оборудование, комфортабельные палаты и круглосуточное наблюдение.
Исследование проводится в ранней фолликулиновой фазе менструационного цикла (на 7-9 дни), когда эндометрий имеет минимальную толщину. В день обследования запрещен прием пищи и жидкости. После процедуры возможны незначительные кровянистые выделения и тянущие боли внизу живота, которые снимаются обезболивающим. На усмотрение лечащего врача может быть рекомендован курс антибиотиков.
Противопоказания
- Наличие беременности.
- Наличие очагов воспаления на гениталиях.
- Последняя стадия рака шейки матки.
- Наличие ОРВИ либо инфекций в организме.
- Стеноз шейки матки.
- Общее тяжелое состояние при некоторых стадиях и формах экстрагенитальных недугов.
Преимущества «СМ-Клиника»
Медицинский центр «СМ-Клиника» приглашает Вас пройти эффективное обследование и лечение по суперсовременной методике. Наши врачи – одни из лучших в Северной столице. Наши неоспоримые преимущества: отличное оснащение, комфортные условия для пациенток, опытные и квалифицированные специалисты в различных областях медицины.
Популярные вопросы по гистероскопии
Чем отличается офисная гистероскопия от обычной?
Диагностическая (офисная) гистероскопия проводится амбулаторно, без общего наркоза и использования расширителей. Диаметр современных гистероскопов — в пределах 5 мм.
Метод позволяет изучить полость матки, цервикального канала и устья маточных труб на предмет патологии, рассечь синехии, удалить небольшой полип.
При выявленных новообразованиях большого размера рекомендуется проведение традиционной гистероскопии.
Какие могут возникнуть осложнения после гистероскопии с РДВ?
Теоретически при патологически истонченных и рыхлых стенках матки возможна перфорация, развитие кровотечения, снижение артериального давления. В послеоперационном периоде есть вероятность развития воспалительного процесса, который купируется антибактериальной терапией.
Можно ли заменить гистероскопию УЗИ или МРТ матки и яичников?
МРТ с контрастом может быть информативно, например, для выявления полипов. Если требуется гистология или прогнозируются хирургические вмешательства, гистероскопия не может быть заменена методами визуальной диагностики. Если есть сомнения, спросите у своего гинеколога, почему показана именно гистероскопия в Вашем случае.
Вы можете задать дополнительные вопросы, узнать стоимость гистероскопии или записаться на прием, позвонив нам по телефону. Необходимая пациентам информация также имеется на сайте.
| Гистероскопия + раздельно-диагностическое выскабливание (РДВ) I кат.сложности | 15000 | от 1499 |
| Гистероскопия + раздельно-диагностическое выскабливание (РДВ) II кат.сложности | 25000 | от 2498 |
* Ознакомиться подробнее с условиями можно здесь — Лечение в кредит или рассрочку.
Источники:
- Диагностика патологии полости матки у больных, страдающих трубно-перитонеальной формой бесплодия / Корсак B. C. [и др.] // Журнал акушерства и женских болезней. — 2005. — вып.3. — С.50–53.
- Корнеева И. Е. Состояние концепции диагностики и лечения бесплодия в браке: автореф. дис. … д-ра мед. наук. — М., 2003.
Оплачивать услуги клиники можно любым удобным способом, в том числе наличными средствами, с помощью банковских карт основных платежных систем, а также с помощью карт рассрочки «Совесть» или «Халва»:

При наличии какой-либо болезни в области репродуктивной системы женщины или подозрении на ее наличие специалист обычно прибегает к помощи двух методов исследования: общий, специальный.
Обычный осмотр гинеколога считается общим методом диагностирования состояния половых органов. Также в эту группу входят такие методы исследования, как УЗИ, кольпоскопия.
МРТ матки врачи относят к специальным методам диагностирования.
Такой исследовательский метод, как МРТ матки, практически все специалисты признают самым эффективным для обнаружения, исследования гинекологических патологий.
Эта процедура показывает женский детородный орган в мельчайших подробностях. Благодаря полученным срезам исследуются наименьшие изменения, даже те, которые происходят в норме.
Эта процедура поможет поставить точно диагноз, опровергнуть неправильный диагноз.
Магнитно-резонансная томография лидирует среди других методов исследования яичников и матки по следующим причинам:
- Безопасность, которая заключается в отсутствии радиации.
- Полная визуализация анатомии органов, расположенных внутри малого таза.
- Неинвазивность метода.
- Сохранность результатов процедуры в виде серии снимков, которые могут помещаться на съемных носителях.
- Высочайшая точность. Чувствительность метода дошла до 90%.
Показания
Диагностирование матки, яичников обычно назначают для исследования следующих патологий:
- Злокачественные опухоли.
- Воспалительные болезни (оофорит, который представляет собой воспаление яичников. Сальпингоофорит – воспаление в области маточной трубы, яичников. Сальпингит – воспаление маточной трубы и многие другие.
- Кистома.
- Эндометриоз.
- Киста яичника. Благодаря диагностике врачи могут выполнить оценку доброкачественного/злокачественного процесса. В медицинской практике чаще всего встречаются такие формы кисты: геморрагическая, фолликулярная, дермоидная, серозная, киста желтого тела, муцинозная, эпителиальные опухоли, герминогенные опухоли.
- Эрозия шейки матки.
- Аномалии в развитии органов (лишний яичник, агенезия яичника).
- Рак яичника.
Также на диагностику женщин направляют при наличии миомы (доброкачественной опухоли, которая формируется из мышечной ткани). Благодаря диагностическому исследованию, проведенному посредством магнитно-резонансного томографа, специалисты определяют метод лечения (консервативный, хирургический).
Благодаря максимально точным данным, врач может установить причину, спровоцировавшую бесплодие:
- аномалию матки;
- непроходимость маточных труб;
- эндометриоз;
- кисту яичников.
Проводим МРТ для диагностики женских заболеваний
Магнитно-резонансная томография очень часто применяется в такой сфере медицины, как гинекология. Проводя диагностику патологий малого таза специалисты из области гинекологии назначают МРТ яичников и матки, а также гипофиза.
В норме длинна матки составляет 70 мм, ширина – 60 мм, переднезадний размер – 40 мм. Но при наличии какой-либо патологии, ее размеры меняются (чаще она увеличена, реже — уменьшена) также, как и эхогенность стенок (в них обнаруживаются гипоэхогенные образования)
Что же показывает этот метод исследования? Специалист может рассмотреть:
- состояние яичников;
- количество фолликулов;
- опухолевый процесс;
- положение яичников;
- наличие воспаления, спаек;
- доминантное тело.
Базируясь на результатах исследования, врач-радиологи может диагностировать спаечный процесс, который является следствием инфекционного процесса, эндометриоза, кисты матки, яичника, кровоизлияния.
Исследование яичников предоставляет радиологу следующие возможности:
- определение количества фолликулов внутри яичника;
- оценка проходимости маточных труб;
- оценка желтого тела;
- обнаружение доминантного фолликула.
Часто МРТ назначают после того, как на предварительно проводимом исследовании (УЗИ), не видно было яичники. Пугаться не стоит. Магнитно-резонансная томография покажет картину более детально, соответственно, специалист определит причину, по которой УЗИ не обнаружило яичники. Среди возможных причин укажем:
- вздутие, не опорожненный кишечник;
- некачественное УЗИ;
- особенности анатомии матки (патология, большой размер органа);
- уменьшение яичников из-за истощения их функции, при климаксе;
- патологическая смена локализации (при некоторых болезнях);
- врожденное отсутствие этого органа;
- удаление при оперативном лечении.
МРТ маточных труб назначают при наличии подозрения на:
- воспаление в этой области;
- опухоль;
- острые состояния;
- патологические процессы, которые имеют отношение к нарушению функций мочеполовой системы.
Если у гинеколога возникает подозрение на наличие онкологии, пациентку обязательно направляют на МРТ. При наличии рака шейки матки специалист оценивает распространенность опухоли, процесс метастазирования. Шейку матки обычно относят к наиболее уязвимым детородным органам. В этой области врачи могут диагностировать такие патологии:
- рак;
- эндометриоз;
- дисплазия;
- рубцы на матке;
- папилломо-вирусные инфекции;
- полипы, фиброиды;
- эндоцервицит.
Если метастазы были обнаружены в других органах, тканях, пациентке назначают проведение диагностики с контрастированием.
Применяемое для контрастирования парамагнитное вещество усиливает результативность обследования. При миоме использование контраста не нужно.
Это доброкачественное образование врач диагностирует уже при первичном осмотре. Его особенностью является увеличение матки в размерах.
МРТ матки и придатков способствует обнаружению такой патологии, как рак яичников. Эта патология может поражать один/оба органа. В группу риска включены женщины старше 45 лет. Соответственно, обследование им рекомендовано проходить ежегодно.
Мрт матки (рубца, миомы): что показывает, как выглядит снимок и сколько стоит?

Магнитно-резонансная томография внутренних органов, расположенных в малом тазу, позволяет максимально информативно исследовать динамические процессы, происходящие в женском организме. МРТ матки и яичников — современный метод исследования, помогающий при диагностике гинекологических заболеваний. Процедура проводится с целью уточнения диагноза, предварительно поставленного специалистом.
С помощью специального оборудования, используемого для проведения МРТ, удается получить трехмерные модели строения органов, проанализировать состояние мягких тканей, труб, придатков и кровеносных сосудов. Исследования показывают наличие или отсутствие патологий, новообразований, отклонения в строении и функционировании органа или системы кровообращения.
Показания к МР томографии матки
МРТ матки и яичников назначается при патологиях гинекологического характера. Полученные данные используются для постановки и дифференцирования окончательного диагноза. Снимок показывает возможность проведения хирургической операции и анализирует результаты таковой.
Основные показания:
- болевые ощущения в области малого таза;
- подозрения на внематочную беременность;
- образования в матке;
- нарушения менструального цикла;
- травмирование органов малого таза;
- эндометрит;
- подозрение на развитие кисты яичников;
- влагалищные кровотечения;
- отсутствие наступления беременности (бесплодие).
Беременность с рубцом на матке требует тщательного исследования. После осмотра гинекологом назначается УЗИ, при котором анализируется норма толщины рубца (остаточное явление оперативных вмешательств). На 4-5 день цикла проводится гистероскопия. Метод оценивает внутреннюю поверхность рубца. Гистероскопия помогает тщательно изучить дефект (цвет, количество сосудов).
Что показывает снимок МРТ?
Прохождение процедуры выявляет:
- развитие опухолей, метастазирование;
- кистозные образования;
- воспалительные и инфекционные процессы;
- спайки в маточных трубах;
- эндометриоз;
- врожденные или приобретенные патологии;
- патологические изменения кровеносных сосудов.
По результатам МРТ яичников и органов, расположенных в малом тазу, определяется опасность преждевременных родов, проводится оценка рубца после проведения кесарева сечения (повторная беременность). Процедуру проводят на сроках беременности более трех месяцев.
https://youtube.com/watch?v=30EfRgaXUwA
Неинвазивный метод исследования дает полную информацию о состоянии внутренних органов. Посмотрите на фото — и вы увидите, как выглядит типовой снимок.
Доброкачественные новобразования в матке
Доброкачественные опухоли возникают из-за нарушения в механизме деления клеток. В отличие от злокачественных образований, не имеют метастазов, увеличиваются медленно, а по структуре сходны с тканью, на которой возникли.
Виды:
- миомы — образования из мышечной ткани (под брюшиной на поверхности матки; в толще миометрия; с узлами, нарушающими форму полости матки; интралигаментарные — в толще широкой связки матки, шеечные миомы);
- фибромиомы — из соединительной ткани;
- фибраденомиомы — из железистой ткани;
- предсаркомы.
Известны пограничные формы опухолей: цистоденомы и аденофибромы. Часто доброкачественные образования развиваются бессимптомно, и выявить их можно с помощью МРТ яичников, УЗИ матки и придатков.
Доброкачественные образования на яичниках
Опухоли яичников — объемное образование, которое прорастает из ткани яичников. Доброкачественные опухоли не соединяются с соседними тканями и не выходят за границы пограничной оболочки. В зависимости от степени разрастания способны негативно влиять на соседние органы, сдавливая их и нарушая основные физиологические функции.
Типы доброкачественных опухолей яичников:
- эпителиальные опухоли (серозные, муцинозные, эндометриоидные, светлоклеточные) — цистаденомы и аденомы;
- опухоли полового тяжа и стромальные — фибромы яичника;
- герминогенные опухоли — тератомы, дермоидные кисты и др.
Гистологическое строение опухоли отличается от здоровой ткани незначительно. При разрастании не разрушают ткань яичника и не пускают метастазы. МРТ-диагностика яичников помогает установить состояние опухолевого процесса. Прогноз лечения благоприятный — после удаления хирургическим путем наступает полное выздоровление.
Миома
Миома матки — гормонозависимая доброкачественная опухоль, развивающаяся в мышечном слое органа. С наибольшей вероятностью возникает в климактерический и поздний репродуктивный периоды. Заболевание тесно связано с гормональным фоном женщины. МРТ-диагностирование матки выявляет развитие болезни на ранних стадиях, что значительно повышает благоприятный результат лечения.
Не всегда характеризуется выраженными признаками, что приводит к разрастанию и запущенности заболевания. В профилактических целях рекомендуется не реже 1 раза в год проходить обследование у специалиста. Проведение МРТ матки для диагностирования миомы матки показано при наличии одного или нескольких симптомов:
- изменение длительности менструального цикла;
- болевые ощущения в спине, ногах;
- тянущие боли в области малого таза;
- учащенное мочеиспускание, сопровождающееся болью;
- болезненный сексуальный контакт.
Эндометриоидная киста
Эндометриоидная киста яичника — одно из самых неприятных гинекологических заболеваний, которое относится к группе эндометриоза. Образование состоит из скопления менструальной крови и возникает на внешней поверхности яичника. Заболевание может протекать как бессимптомно, так и сопровождаться ярко выраженными признаками. МРТ состояния яичников назначается при следующих патологиях:
- бесплодие;
- болезненные длительные менструации, сгустки крови в выделениях;
- сильные боли в животе.
Постановка диагноза эндометриоидной кисты яичника проводится наряду с дополнительными заключениями по результатам УЗИ и лапароскопии. Методы лечения — хирургическое удаление и гормональная терапия.
Аденомиоз
Аденомиоз — гинекологическое заболевание, форма эндометриоза, характеризуется опухолью в мышечной ткани матки. Эндометрий (слизистая оболочка полости матки) увеличивается и прорастает в разделительной оболочке, постепенно внедряясь в маточную мышечную ткань.
На местах поражения формируются кисты, заполненные жидкостью. Причинами развития болезни являются:
- оперативные вмешательства в матку;
- использование спирали;
- гормональные сбои;
- отсутствие половой жизни.
Гинекологическое заболевание развивается постепенно и имеет 4 стадии (степени):
- эндометрий прорастает в промежуточный слой;
- поражается до 50% мышечного слоя;
- поражение мышечного слоя более 50%;
- эндометрий прорастает в брюшную полость.
Классифицируются три типа заболевания:
- Диффузный. При этом типе образования эндометрий разрастется равномерно по всей площади.
- Очаговый. Участки нарастания четко выражены.
- Узловой. Есть внешнее сходство аденомиоза с миомой матки.
Методы лечения аденомиоза зависят от степени заболевания:
- 1-я и 2-я: терапия и физиотерапия;
- 3-я и 4-я: хирургическая операция.
Злокачественные опухоли
При подозрении на онкологию методом исследования назначается магнитно-резонансная томография. Диагностика рака шейки матки на МРТ позволяет получить информацию о распространенности опухоли и наличии метастаз.
Если выявлено метастазирование на другие органы, делают контрастную МРТ. Использование парамагнитного вещества помогает исключить ошибки в диагнозе.
МРТ-исследование матки при диагностировании миомы матки проводится без контрастного усиления.
Рак шейки матки лечится только оперативным путем, что значительно увеличивает шансы на полное излечение от онкологического заболевания. Лечебный комплекс включает: курсы радио-, химио- и гормональной терапии. К гормональной терапии прибегают при тяжелой степени рака на шейке матки.
Репродуктивные проблемы
Маточное бесплодие может возникать при патологиях, повреждающих толщу матки и ее внутренний слой. Реже встречаются врожденные нарушения развития органа. Одной из основных причин проблем репродуктивной функции являются повреждения миометрия и эндометрия — рак шейки органа, миома и другие патологии.
При возникновении репродуктивных проблем рекомендованы исследования:
- УЗИ. Ультразвуковая диагностика обнаруживает нарушения строения органов.
- МРТ. Полный анализ внутренних органов.
- Гистероскопия. Исследование общего состояния полости матки и эндометрия.
- ГСГ. Гистеросальпингография помогает осмотреть анатомические особенности маточных труб.
- Лапароскопическое обследование. Процедура проводится эндоскопом, который дает возможность диагностировать наличие патологии.
Противопоказания к МР томографии матки
В некоторых случаях проведение исследования с помощью магнитно-резонансной томографии невозможно из-за противопоказаний. К ним относятся:
- импланты и кардиостимуляторы, поддерживающие жизнедеятельность;
- любые электронные и металлические приборы в теле пациента.
Перед процедурой исследования выключается мобильный телефон, убираются предметы, которые имеют металл или магнит (одежда, пуговицы, застежка молния, банковские карты и пр.). При введении контраста требуется анализ на наличие/отсутствие аллергических реакций на гадолиний. Пациентам с бронхиальной астмой назначается дополнительное исследование.
Томография проводится на голодный желудок в период с 7 по 12 день менструального цикла. За сутки до прохождения диагностики пациенту рекомендуется диета: ограничение в рационе углеводов и клетчатки. За 30 минут до процедуры необходимо принять таблетку Но-шпы.
Процедура длится около 30 минут и проводится в три этапа:
- пациентку укладывают на томографный стол;
- стол задвигается в тоннель;
- действие томографа.
Сколько стоит исследование матки?
Стоимость зависит от предполагаемого диагноза и медицинского учреждения.
Исследование на наличие кист яичника с мягкотканным компонентом, онкологии и патологий в органах малого таза колеблется от 5 до 8 тысяч рублей.
Цена на использование контраста составляет 2000-2500 рублей в зависимости от региона. Уточнить, сколько стоит процедура, можно в клинике или центре, где назначено прохождение исследования.
Мрт яичников и матки что показывает при раке и кисте. | второе мнение

Магнитно-резонансная томография широко используется в гинекологии, как в диагностике заболеваний малого таза и визуализации гипофиза (орган, который находится в головном мозге). Патология гипофиза также частая причина гинекологических заболеваний. МРТ вышел на лидирующие места в диагностике гинекологических патологии по ряду причин.
- данный метод абсолютно безопасный (нет такого поражающего фактора, как радиация).
- метод позволяет оценить полностью анатомию органов малого таза.
- неинвазивный метод в отличие хирургических диагностических процедур.
- высокоточный метод. Чувствительность ко всем заболеваниям находится на уровне 90%.
- сохранение данных обследования, что дает возможность сравнивать после лечения или отправлять свои диагнозы на второе мнение.
При исследовании МРТ яичников нужно сказать о наличии имплантата (кардиостимуляторы) и о спирали частой в гинекологической практике.
При МРТ оценивают состояние яичников, положение, доминантное тело, количество фолликулов, наличие воспалительного, спаечного, опухолевого процесса в малом тазу.
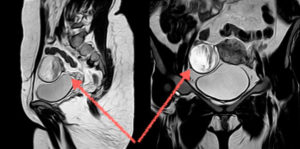
МРТ яичников. Визуализируются множественные кисты обоих яичников
Мрт труб матки и яичников
При выполнении МРТ яичников также выполняют сканирование маточных труб, что важно при диагностике следующих заболеваний:
- воспалительные заболевания Оофорит — воспаление яичников. Сальпингоофорит — воспаление яичников и маточной трубы. Также может быть просто сальпингит — воспаление маточной трубы. Также в зависимости от содержимого в маточной трубе или яичнике добавляют такие приставки гидро (жидкость), пио (гной), гемо (кровь) и получаются такие диагнозы, как, например, пиосальпингоофорит.
- кисты. При помощи МРТ оценивают доброкачественные или злокачественный процесс. Наиболее часто встречаемые кисты яичника следующие: фолликулярная киста, киста желтого тела, геморрагическая киста, эндометриоидная киста, дермоидная киста, муцинозная киста, серозная киста, герминогенные опухоли, эпителиальные опухоли, множественные кисты яичников.
- злокачественные опухоли.
- аномалии развития (агенезия яичников, лишний яичник и так далее).
МРТ помогает врачу гинекологу определить дальнейший план лечения, который может быть хирургический или консервативный.
https://youtube.com/watch?v=Koq58mkDnN0
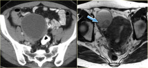
МРТ малого таза. Стрелкой указан яичник и геморрагический компонент в нем
МРТ яичников и матки
На том уровне, где расположены яичники при МРТ визуализируется матка. На МРТ диагностику отправляют много женщин с бесплодием. Аномалия матки, кисты яичников или непроходимость маточных труб часто являются причинами бесплодия.
Самая частая аномалия матки — это двурогая матка, которая в свою очередь может быть неполной, полной или седловидной двурогой маткой.
Как правило, женщина, которая долго не может забеременеть в браке, обращается к акушеру-гинекологу тот после общего гинекологического осмотра, УЗИ, чаще советует пройти на такое обследование, как МРТ.
Частое заболевание, которое поражает и яичники, и матку одновременно — это эндометриоз и воспалительные процессы со спаечным процессом. Эндометриоз чаще поражает сначала матку, а потом в 3 степени берется и за яичник, что клинически также выражается в бесплодии.
Воспалительный процесс в малом тазу — это исход венерологических заболеваний таких возбудителей, как гонорея, хламидиоз, поражение стрептококком, стафилококком, грибками и вирусами.
Клинически у пациента бесплодие, повышенная температура, хроническая тазовая боль, болезненные менструации.
На МРТ радиолог диагностирует спаечный процесс, когда речь идет о инфекционном процессе, и кровоизлияния, формирование кист в матке и яичнике при эндометриозе.
МРТ малого таза.Двурогая матка. Частая причина бесплодия. Стрелками указаны рога матки
Мрт яичников что показывает?
Магнитно-резонансная томография оценивает анатомию (расположение, структуру органов) яичников и маточных труб, содержимое в яичниках и маточных трубах, патологические изменения.
МРТ видит изменения в яичниках размеров менее 1 сантиметра, что особенно важно при эндометриозе. Для того, чтобы диагноз был максимально точный важно, чтобы пациент предоставил свою историю болезни врачу МРТ.
Это поможет проводить МРТ исследование в нужных протоколах и последовательностях, что в свою очередь гарантирует правильный диагноз.
Врач выявить доминантный фолликул, посчитать количество фолликулов в яичнике, оценить желтое тело в яичнике, оценить проходимость маточных труб.
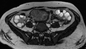
МРТ малого таза. Гиперинтенсивные очаги свидетельствуют о жидкости в маточных трубах у женщины
Мрт при кисте яичника
Кисты яичника является абсолютным показанием для выполнения магнитно-резонансной томографии.
Существует следующая классификация кист яичников.
- фолликулярная киста. 83% всех кист яичников. Вырастает главного фолликула, чаще поражает женщин в первые пять лет климакса.
- киста желтого тела. Формируется после овуляции в результате действия гормона гипофиза лютеин-гормона.
- геморрагическая киста. Киста внутри, которой находится кровь. Возникает в следствие кровоизлияния в функциональную кисту.
- эндометриоидная киста. Киста, которая возникает из-за эндометриоза.
- дермоидная киста. Киста, которая содержит волосы, волосяные фолликулы и сальные железы
- муцинозная киста. Киста, которая состоит из капсулы, заполненной муцином.
- серозная киста. Киста, которая состоит из капсулы, заполненной серозной жидкостью.
- герминогенные опухоли — это опухоли (герминомы) возникающие из первичных зародышевых клеток и способные дифференцироваться в любые ткани. /
- эпителиальные опухоли — это опухоли развивающиеся из плоского или железистого эпителия.
- множественные кисты яичников (поликистоз яичников).
Все данные патологические состояния МРТ в силах визуализровать, дифференцировать друг от друга (отличить друг от друга). Также МРТ оценивает состояние рядом расположенных органов, что облегчают тактику хирургу, который будет выполнять операцию.
МРТ малого таза. Серозная киста правого яичника
Мрт диагностика кистомы яичника фото
Кистома яичника — это опухоль яичника, которая постоянно увеличиваются в размерах за счет накопления в них либо муцинозной, либо серозной жидкости.
Обычно гинеколог направляет на МРТ малого таза по поводу кистомы со следующими симптомами:
- тянущие боли, которые усиливаются при физической нагрузке.
- увеличение живота в размерах.
- сдавление соседних органов — нарушение мочеиспускания, акта дефекации.
Классификация кистом яичника:
- муцинозная цистаденома.
- серозная цистаденома.
Кистомы яичника — это в целом доброкачественные образования, но есть склонность к переходу в злокачественную опухоль. Муцинозная опухоль встречается реже серозных опухолей. При МРТ рентгенолог в силах отличить одну опухоль от другой.
МРТ малого таза. У пациентки нарушение менструации и выраженная правосторонняя тазовая боль. Стрелкой указано патологическое образование.
Муцинозная цистаденома. Гипоинтенсивный сигнал на Т1 и гиперинтенсивный сигнал на Т2.
Рак яичников МРТ
Рак яичников — это злокачественные опухоли яичников.
Смертность от рака яичников на первом месте среди смертности от онкопатологий у женщин. Поражает женщин разных возрастных групп, но чаще женщин в климаксе.
Чаще на ранних стадиях рак яичников никак не проявляется, возможные проявления и маскировка процесса под воспаление в малом тазу. Как только опухолевая масса распространяется по брюшной полости, то в клинике появляется такой момент, как раздражение брюшины и скопление жидкости в малом тазу.
Опухолевый процесс классифицируется в зависимости распространения на соседние органы.
- поражение только яичника (с клиникой асцита или без клиники).
- распространение процесса в малом тазу (поражение матки, маточных труб и асцит).
- распространение процесса на брюшина и первые метастазы, которые чаще поражают печень, поражение паховых лимфузлов.
- отдаленные метастазы.
МРТ брюшной полости и малого таза является самым диагностически значимым методов исследования, при помощи которого возможно оценить все выше перечисленные элементы из классификации рекомендованной во всем мире.
МРТ яичника. У женщин с её слов был дискомфорт в малом тазу. Выявляется образование правого яичника. С множественными перегородками свидетельствуют о множественном количестве кист. Так кисты имеют гиперинтенсивный сигнал на Т2 то мы можем сказать о серозном содержимым в кистах. Диагноз: серозная цистаденофиброма яичника.





