Симптомы и лечение опухоли почек, прогнозы доброкачественных образований

Специалисты отмечают постоянный рост числа онкологических заболеваний во всех возрастных группах. Своевременная диагностика и лечение опухолей печек является важнейшей медицинской задачей.
Понятна растерянность и боль человека, его близких, когда врач объявляет страшный диагноз.
Разберемся подробнее, что такое опухоль почки, каковы её виды, особенности, поговорим о критериях диагностики, лечения, прогнозе для жизни и здоровья.
Все, что важно знать, про почечные опухоли
Почки – главный орган выделительной системы, обеспечивающий нормальный обмен веществ, выполняющий гомеостатическую, эндокринную, экскреторную функции. Природа предусмотрительно позаботилась о человеке.
В случае одностороннего патологического поражения, здоровая почка берет на себя дополнительную нагрузку. При выявлении новообразования, исход болезни зависит от вида опухоли, размеров, стадии, наличия метастазов.
Причины развития опухолевых образований
Специалисты относят опухоль в почке к полиэтиологическим процессам. Однозначной причины возникновения онкозаболеваний современная наука назвать не может. Эксперты ВОЗ выделяет следующие факторы риска развития новообразований:
- курение;
- злоупотребление алкогольными напитками;
- гиподинамия;
- избыточная масса тела;
- использование твердого топлива в домашних хозяйствах.
Основные симптомы патологи
Опухоли почек коварны тем, что на ранних этапах болезни симптомы отсутствуют. Клиническая картина зависит от продолжительности заболевания, стадии, степени дифференцировки клеток, наличия метастазов. Различают ренальные (почечные) и общие, прямо не указывающие на патологию мочевой системы, признаки новообразований почек.
Ренальная симптоматика:
- боль в поясничной области;
- наличие эритроцитов в моче;
- опухоль определяется при пальпации.
Экстраренальные признаки:
- Изменения в общем анализе крови – ускоренное СОЭ, полицитемия, рост числа эозинофилов, низкий гемоглобин.
- Интоксикация – гипертермия, общая слабость, необъяснимая потеря веса, отвращение к мясной пище, амилоидоз, дисфункция печени, гипергидроз.
- Стойкое повышение артериального давления.
- Венозные нарушения – отеки ног, тромбоз вен нижних конечностей, варикоцеле, расширение подкожных сосудов брюшной стенки.
Иногда опухоль почки выявляется случайно при ультразвуковом обследовании. Если развиваются метастазы, появляются проявления поражения органов-мишеней.
Доброкачественные опухоли
Онконефрологи в настоящее время используют классификацию опухолей почек, принятую Всемирной организацией здравоохранения в 2004году, с изменениями, утвержденными в январе 2016 года.
В данной систематизации предложен гистологический подход – объединение опухолей в группы по типу тканей, из которых они развиваются. Код «0» после цифр, означает, что процесс носит доброкачественный характер.
МКБ-10 выделяет раздел D30, куда входят также неагрессивные опухоли мочевыводящих путей.
Виды и их особенности
Наиболее часто в почках встречаются образования: киста, ангиомиолипома, онкоцитома, аденома, лейомиома, гемангиома. Отличительной гистологической особенностью доброкачественных новообразований является высокая степень дифференцировки. Каждая клетка опухоли практически ничем не отличается от своих «здоровых собратьев». Клиническое течение характеризуется:
- медленным ростом;
- отсутствием метастазов;
- четкими границами.
Кисты чаще диагностируются у мужчин. Представляют собой один или несколько пузырей, наполненных жидкостью, размерами от 0,1 сантиметра в диаметре и более.
Липома – опухоль из жировой ткани. Ангиомиолипома – еще и из гладкомышечной. Последняя иногда генетически детерминирована – проявление болезни Бурневилля (туберозного склероза). Образования пронизаны кровеносными сосудами и разделены соединительнотканными перегородками.
Онкоцитома – редкая патология. Развивается непосредственно из паренхимы, иногда сочетается с кистой. Практически не влияет на качество жизни пациента.
Одно из наиболее часто диагностируемых почечных новообразований – аденома. Состоит из железистых эпителиальных клеток. Опухоль отличает значительная плотность структуры и медленный рост.
Из гладкомышечных мутированных волокон почки формируется лейомиома. Урологи отмечают наследственный характер данного вида образований.
Гемангиома – разрастание кровеносных сосудов часто врожденного характера. При детальном обследовании ребенка с аномалиями развития новообразование может случайно обнаруживаться на УЗИ. Опасна гемангиома риском спонтанного разрыва и кровотечения.
Осложнения
На начальных этапах болезни доброкачественная опухоль почки не влияет на самочувствие. Пациент может жить несколько лет, не предъявляя жалоб. При значительных размерах образования, возможно сдавливание близлежащих органов, сосудов и нервных пучков.
Внимание! Наиболее грозным осложнением считается малигнизация – злокачественное перерождение опухоли.
Злокачественные образования
Злокачественные новообразования могут быть как первичными (из нефронов), так и метастатическими (гемато- и лимфогенным путем проникать из других частей организма). Иногда процесс обнаруживается в легких, печени или ином органе, а патологоанатомическая морфология выявляет, что первичная опухоль «скрывается» в почке.
Классификация
Гистологическая классификация ВОЗ указывает на злокачественность образования цифрой «3» в конце кода. Гистологи выделяют следующие формы агрессивных опухолей почек:
- Эпителиальной природы (карцинома, рак).
- Производные нейроэндокринной ткани (нейробластома, карциноид).
- Эмбрионального генеза (аденомиосаркома — опухоль Вильмса, хориокарцинома).
- Из незрелых клеток соединительной ткани (гистиоцитома, саркома).
Диагностика вида клеток и степени их дифференцировки важна для прогноза течения болезни. При обнаружении опухоли почки, нужно определить, что конкретно это может быть. В зависимости от гистологии подбирается индивидуальная терапия.
В клинической практике важно уточнить стадийность развития заболевания по «Международной классификации ТНМ». Буква «Т» означает размеры опухоли («1» – не больше 7см, «4» – прорастание за пределы почечной капсулы). «Н» – количество пораженных региональных лимфатических узлов («0» — не выявлено, «2» — более двух). «М» – наличие метастатического роста.
Степень опасности
Особенно часто родственники пациентов, у которых выявлена опухоль почки, спрашивают, сколько живут люди с таким диагнозом. Возраст больного, национальность, мужской или женский пол – все эти факторы не влияют на сроки выживаемости. Последние научные данные выделяют ряд предпосылок, сопряженных с ухудшением течение болезни:
- Клинические – снижение веса более, чем на 10%; увеличение СОЭ, С-реактивного белка, интерлейкинов, уровня щелочной фосфатазы; прогрессирующая анемия.
- Патоморфологические – распространенность процесса, проникновение в лимфоузлы, мочеточники, надпочечники, наличие венозных осложнений.
- Цитологические – образования из незрелых и неоднородных структурных элементов характеризуются выраженным злокачественным течением. Светлоклеточная саркома склонна к метастазированию чаще других видов опухолей.
- Генетические – наличие мутаций, дефекты участков ДНК, гомо – или гетерозиготность определенных признаков обусловливают резистентность к химиотерапии и лучевой нагрузке.
Имеют значение факторы ангиогенеза (прорастание кровеносных сосудов в образование), наличия внутриопухолевых некрозов, белков-регуляторов клеточного цикла.
Главные отличия раковых опухолей
Главным критерием диагноза злокачественного образования является гистология. Но опытный врач определит степень агрессивности процесса по дополнительным признакам, а именно:
- интенсивное увеличение размеров;
- прорастание в близлежащие ткани;
- метестазирование;
- симптомы интоксикации.
Злокачественный процесс отличается рецидивированием – повторным развитием после хирургического вмешательства. Активное беспорядочное деление клеток подтачивает силы организма. Внутри образования возникают очаги некроза, что усиливает токсикоз.
Процесс диагностики
Специалисты отмечают: ранняя выявляемость новообразований улучшает прогноз, способствует эффективности терапии, снижает стоимость лечения. Классикой в диагностике опухолей считается гистологическое обследование.
Но специалист должен ответить на ряд важных вопросов:
- Уточнить локализацию и размеры опухоли – правая либо левая часть поражена, в каком именно отделе почки (лоханка, паренхима, корковый слой), присутствует ли сдавливание окружающих органов, метастазы.
- Определить характер процесса – злокачественный или нет, выяснить, клетки какой ткани формируют опухоль.
- Установить, какая стадия развития, насколько «пострадал» организм от токсического воздействия.
- Составить план дальнейшего ведения пациента.
Для этого врач направит в лабораторию на общий анализ крови, мочи, коагулограмму, биохимические обследования. Это позволит выявить анемию, гематурию, нарушение свертываемости, степень активности процесса.
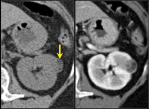
Ультразвуковое обследование уточнит размеры, локализацию, структуру патологии, наличие метастазов. Часто под контролем УЗИ в условиях операционной проводится взятие биоптата. Компьютерная и магнитно-резонансная томография также представят информацию о распространенности новообразования, поражении близлежащих органов, наличии тромбоза вен.
Иногда перед обследованием пациенту внутривенно вводится контраст. Опухолевые клетки обладают свойством накапливать вещества, и это позволяет определить даже микроскопические очаги поражения.
Лечение опухолей почек
Лечение назначается индивидуально для каждого пациента.
При доброкачественной опухоли, врач может посоветовать соблюдать определенную диету, отказаться от вредных привычек, вести здоровый образ жизни, периодически проводить лабораторное обследование и УЗИ.
Если киста или онкоцитома достигли больших размеров, нарушается функция почек, сдавливаются окружающие органы, существует риск малигнизации – специалист порекомендует операцию.
Основной метод лечения злокачественных опухолей почки – хирургический, он является лишь первым этапом терапии. Иногда операция не может быть проведена или требуется время для подготовки к ней, например: у пациента риск кровотечения, сердечно-сосудистые заболевания, недостаточность работы внутренних органов.
Медикаменты
В зависимости от состояния больного врач назначит симптоматическую терапию – гипотензивные, противоанемические, общеукрепляющие средства. Лечить злокачественные опухоли почек согласно современным научным исследованиям рекомендуется двумя видами медикаментов:
- цитокинами;
- антиангинальными препаратами.
Иммунотерапия улучшает сроки выживания и способствует уменьшению опухоли. Эмболизация сосудов относится к прицельной терапии. В артерию бедра ставится катетер, через который непосредственно в очаг поражения вводятся вещества, нарушающие кровоснабжение опухоли, что провоцирует её разрушение. В дальнейшем, когда состояние пациента улучшится, может быть проведена операция.
Хирургические методы
Злокачественные новообразования требуют как можно более срочного хирургического лечения, что не всегда возможно из-за состояния больного. Предоперационная подготовка необходима для предотвращения осложнений. Выбор метода строго индивидуален.
Различают следующие виды хирургических вмешательств:
- Тотальная нефрэктомия – удаление всей почки, при необходимости – региональных лимфоузлов, близлежащих органов. Считается наиболее радикальным и эффективным методом.
- Органосохраняющая операция (частичная резекция) – когда вылущивается лишь опухоль. Позволяет сохранить орган, но остается риск рецидива.
- Паллиативное вмешательство – проводится с целью облегчить состояние больного. Это может быть удаление метастазов, создание стомы для оттока мочи.
В последнее время широко используются малоинвазивные лапароскопические методики. Любое вмешательство сопряжено с риском. Различают неблагоприятные явления непосредственно в операционной (реакция на наркоз, сердечно-сосудистые, дыхательные осложнения, кровотечение) и отдаленные (инфицирование раны, почечная недостаточность).
Химическое и лучевое лечение
Противоопухолевые препараты неэффективны для лечения онкологических заболеваний почек. Имеются хорошие отзывы специалистов о лучевой терапии в послеоперационном периоде для профилактики рецидивов и метастазирования. Иногда наблюдается эффект от ионизирующего облучения очагов нефрогенной неоплазии в головном мозге и костных тканях.
Как паллиативная помощь облучение показано для снятия болевого синдрома на терминальных стадиях. Оба метода очень тяжело переносятся пациентами, характеризуются осложнениями и неблагоприятными последствиями. Поэтому химио- и лучевая терапия в онконефрологии практически не назначаются.
В медицинской литературе описаны криотерапия (воздействие непосредственно на ткани холодом) и радиочастотная абляция (разрушение неоплазии гипертермией, создаваемой токами высокой частоты) как дополнительные методики терапии опухолей почек.
Прогноз лечения и возможности профилактики
Специфической профилактики рака почек не существует. Важно оградить организм от канцерогенных факторов риска, избавиться от вредных привычек, есть здоровую пищу, укреплять иммунитет.
Прогноз болезни зависит от вида опухоли и стадии процесса. За последние годы онкология сделала огромный скачок вперед. Диагноз, который ещё десять лет тому звучал как приговор, сегодня не является фатальным. Адекватное лечение поможет больному прожить полноценной жизнью долгие годы после операции.
Важно лишь помнить, что опухоль почки, даже доброкачественная – это не тот случай, когда позволительно рисковать собственным здоровьем, используя драгоценное время на народные средства, лекарственные травы и терапию содой. При малейших симптомах опухоли почек необходимо немедленно обращаться к специалистам.
Опухоли почки: классификация, симптоматика, диагностика, лечение

В последнее десятилетие опухоли почки выявляются чаще, что объясняется значительным улучшением диагностики на ранних стадиях заболевания. От 25 до 40% опухолей почек выявляют случайно при УЗИ, опухоли не имеют клинической симптоматики.
С другой стороны у 30% больных при первичном осмотре обнаруживают местнораспространенные формы заболевания и метастазы рака почки. Еще у 30-40% больных рак почки прогрессирует после радикальной нефрэктомии, чаще в 1 год после операции.
Классификация опухоли почки
Опухоли почечной паренхимы и опухоли лоханки отличаются как по структуре, так и по путям распространения и требуют различных методов диагностики и лечения. 1. Опухоли почечной паренхимы
а) Доброкачественные опухоли: аденома, липома, фиброма, миома, ангиома и гемангиома, лимфангиома, миксома, дермоид.
б) Злокачественные: почечно – клеточный рак, фибро-, мио-, липо-, ангиосаркомы, смешанная опухоль Вильмса (в детском возрасте).
в) Вторичная (метастатическая) опухоль почки.
2. Опухоли почечной лоханки.
а) Доброкачественные опухоли: папиллома, ангиома, лейомиома.
б) Злокачественные опухоли: переходно – клеточный рак, плоско – клеточный рак, слизисто-железистый рак, саркома.
Причины опухоли почки
Этиология опухоли почки однозначно не установлена, специфический канцероген не выявлен. Подробно на этиологии и патогенезе останавливаться не будем.
Показано, что курение табака повышает риск заболевания опухолями почки. Исследования показали роль хромосомных нарушений и активации онкогенов в ткани опухоли почки. Показана немаловажная роль наследственной отягощенности.
Имеются доказательства роли вторичного иммунодефицита и недостаточности иммунной системы в возникновении и прогрессировании рака почки. Чувствительность почечно – клеточного рака к иммунотерапии подтверждает данные исследования.
Известно возникновение опухолей почки под воздействием лучевой энергии и радионуклидов (это актуально для Республики Беларусь, так как наряду с увеличением выявляемости опухоли имеется сложная радиоактивная обстановка. Радионуклиды выделяются из организма с мочой).
Патологическая анатомия опухоли почки
Краткая характеристика:
https://youtube.com/watch?v=jw1RxVlUtgk
Мезенхимальные опухоли почки редки.
Опухоли почек у детей (опухоль Вильмса) – эмбриональна аденомиосаркома почки, злокачественная, в 95% смешанного строения, составляет 20-50% всех опухолей, диагностируемых в детском возрасте.
Самый частый вариант доброкачественной опухоли – ангиомиолипома, у мужчин.
Симптоматика и клиническое течение
В настоящее время все чаще случайно при УЗИ и КТ выявляют бессимптомные опухоли ранних стадий, когда еще нет гематурии и боли, а почка не пальпируется (это так называемая триада симптомов). Чаще всего эта триада симптомов является признаком запущенного процесса и не следует их дожидаться, а проводить при профилактических осмотрах обязательное УЗИ почек!
Характер гематурии
Гематурия при раке почки тотальная (по трехстаканной пробе эритроциты во всех трех пробах мочи), чаще всего безболевая, нет дизурических расстройств, возникает внезапно на фоне удовлетворительного общего состояния и быстро проходит.
Эти обстоятельства обычно обуславливают позднее обращение к врачу, когда уже имеются и другие симптомы.
Больной обращается к врачу когда при очередной гематурии отходят червеобразные сгустки и наблюдается почечная колика (характерный признак рака почки это боль вслед за гематурией, в отличие от МКБ).
Гематурия иногда может вызвать тампонаду мочевого пузыря и ОЗМ, что бывает редко и требует экстренной помощи. Гематурия чаще всего является признаком рака из-за деструкции сосудов опухоли, прорастания в стенку лоханки и чашек, гемодинамических нарушений.
Ввиду вышесказанного важно обращать внимание на гематурию как на категорически важный симптом, не терять время впустую на применение кровоостанавливающих препаратов, а подвергнуть больного полному урологическому обследованию, в первую очередь цистоскопии для выявления источника кровотечения.
Боли в области почек чаще всего тупого, ноющего характера, зависят от растяжения и прорастания капсулы почки, иногда по типу почечной колики при отхождении сгустков.
Прощупываемая опухоль
Прощупываемая опухоль – это наиболее характерный признак, однако самый редкий и поздний симптом.
Варикоцеле
Варикоцеле – расширение вен семенного канатика из-за вовлечения в опухолевый процесс яичковых вен и коллатерального тока крови. Характерно внезапное появление варикоцеле у лиц среднего и пожилого возраста, может быть справа, не исчезает при переходе больного в горизонтальное положение и является чаще признаком далеко защедшего процесса.
Общие симптомы
Среди общих симптомов опухоли почки отмечаются ухудшение общего состояния, общая слабость, потеря аппетита, похудание (признак далеко зашедшего процесса) – в результате интоксикации организма продуктами обмена опухолевой ткани. Больных с подобными жалобами длительно лечат по поводу самых разных предполагаемых заболеваний, прежде чем возникнет мысль о необходимости УЗИ почек.
Симптомы опухоли почки
Симптомом опухоли почки может быть субфебрильная лихорадка и анемия. Иногда температура повышается до 38-39, симулируя острое инфекционное заболевание.
После радикального оперативного лечения температура тела обычно нормализуется, а её возобновление свидетельствует прогрессировании заболевания.
Анемия – признак далеко зашедшего процесса, из-за токсического действия продуктов опухоли на костный мозг.
Проявлением опухоли почки может быть и полицитемия, или вторичный эритроцитоз, из-за повышенной продукции опухолевой тканью эритропоэтиноподобных веществ. Еще признаки опухоли почки – повышение СОЭ и артериальная гипертензия. При благоприятном прогнозе после радикальной нефрэктомии эти признаки тоже исчезают.
Признаки наличия метастазов в легких часто не проявляются или протекают под маской бронхогненного рака, пневмонии или туберкулёза.
Метастазы в кости проявляются соответствующими болями в костях, протекающими под маской радикулита, межреберной невралгии и патологических переломов.
Все перечисленные выше симптомы не являются «атипичными» при раке почки и должны вызывать подозрение на наличие опухоли почки и быть показанием к детальному урологическому исследованию.
Диагностика опухоли почки
Применяется стандартное обследование, которое позволяет определить вышеуказанные симптомы и подготовить больного к операции (ЭКГ, ОАК, ОАМ, коагулограмма, биохимический анализ крови). По показаниям – консультации специалистов.
Сведений о стадии опухолевого процесса, столь важных для лечения, эти методы не дают. Необходимо выполнение экскреторной урографии для уточнения функционального состояния противоположной почки.
Для диагностики распространенности процесса показано выполнение КТ, МРТ, рентгенографии и рентгеноскопии легких, УЗ печени и забрюшинных лимфоузлов, рентгенографии и сцинтиграфии костей скелета.
Ангиография, венокаваграфия и почечная венография применяются только в редких, трудных случаях, когда планируется выполнение резекции почки или операций на сосудах.
Дифференциальная диагностика
Проводится с кистами и гнойно – деструктивными заболеваниями почки (карбункул и абсцесс почки), гидронефрозом, поликистозом и туберкулезом. Основное – это использование рентгенологических, УЗИ, КТ и МРТ.
Диагностика позволяет установить стадию TNM.
Лечение опухоли почки
Единственный радикальный метод лечения это оперативный. В последние годы показания к радикальному оперативному лечению опухолей почки значительно расширились, а противопоказания сократились, что связано с совершенствованием оперативной техники, развитием современной анестезиологии и реаниматологии, появлением мощного арсенала фармакопрепаратов.
При наличии метастазов удаление основного опухолевого очага (т.н. паллиативная нефрэктомия) избавляет больного от боли, гематурии, улучшается общее состояние.
Одиночные метастазы в легкие, печень, кости конечностей в настоящее время не рассматриваются как противопоказания, ибо проводятся операции лобэктомии или пульмонэктомии, резекции печени, ампутация и экзартикуляция конечности.
Выделяют три основных вида оперативного доступа при нефрэктомии по поводу опухоли: трансперитонеальный, ретроперитонеальный, торакоабдоминальный, используемые по различным показаниям и в разных клиниках.
Основное – это лигирование сосудов почечной ножки в самом начале операции, до проведения каких-либо манипуляций на самой почке и последующее радикальное удаление почки с параренальной клетчаткой, надпочечником. Инвазия опухоли в соседние органы не является противопоказанием к нефрэктомии.
Одновременно может выполняться резекция пораженного органа (кишка, печень).
Сколько живут с раком почек? Стадии и признаки рака почек

Рак почек – злокачественная опухоль, поражающая одну или обе почки. Чаще всего появляется у людей пожилого возраста. Склонен к метастазированию. Он чаще диагностируется у мужчин, чем у женщин. Высока вероятность рецидива, а выживаемость не превышает 70%.
Причины заболевания
Врачами до конца не изучены причины возникновения рака в почках, но победить рак вполне возможно.
К возможным причинам образования опухоли в почках можно считать:
- Пожилые мужчины возрастом от 60 лет находятся в группе риска;
- Курение. У курящих людей риск образования рака почки возрастает на 60%.
- Избыточный вес;
- Повышенное артериальное давление;
- Сахарный диабет;
- Почечная недостаточность или поликистоз;
- Прием мочегонных препаратов, а также некоторых анальгетиков, антибиотиков и других препаратов, выводящихся из организма с мочой;
- Вредные условия труда, контакт с нефтепродуктами, ионизирующее облучение;
- Наследственная предрасположенность. Риск приобретения рака почек возрастает, если в истории болезни у ближайших родственников диагностировали рак почки, особенно у братьев или сестер;
- Синдром Гиппеля-Линдау.
Виды злокачественных опухолей в почках. Что такое почечно-клеточный рак.
Почки – это парный орган, находится в забрюшинном пространстве. Очищение организма их главная задача. Почки очищают организм от токсичных продуктов, поддерживает артериальное давление.
Рак в почках локализируется в левой или правой почке, возможно сразу в обеих. В самой почке рак развивается в паренхиме или в лоханке почки. Рак в почках образуется чаще всего в паренхиме почек. К ним относится: почечно-клеточный рак, Опухоль Вильмса, саркома.
Более 80% случаев заболевания приходится напочечно-клеточную форму рака (карцинома). Он образуется в эпителии почечных канальцев. В некоторых случаях образуется более одной опухоли в одной или обеих почках. Карциному можно заметить и на начальных стадиях, благодаря этому, начать своевременное лечение, и добиться хороших результатов и ремиссии.
Опухоль Вильмса — это нефробластома(nefro — почка, bl –ma – опухоль), которая встречается у 7 детей из 1 миллиона по всему миру, в возрасте до 5 лет. Встречается среди девочек и мальчиков одинаково. Из-за генетической мутации происходит ненормальный агрессивный рост клеток в паренхиме почки. Ее можно вылечить в 90% случаев.
Светлоклеточный рак или гипернефрома. Ее еще называют аденокарцинома. Образовывается из эпителиальных клеток паренхимы почек.
Гипернефроидный рак склонен к быстрому развитию до объемных образований в левой почке или правой почке. Опухоль задевает и давит на паренхиму почки. Ситуация усугубляется от ожирения, сахарного диабета.
Отличается от остальных разновидностей рака наличием своеобразной капсулы вокруг опухоли. С ростом опухоли, капсула пропадает.
Также встречаются более редкие разновидности почечно-клеточного рака:
- Папиллярный рак (развивается из клеток выстилающих лоханку почки);
- Хромофобный (развивается из крупных эпителиальных клеток).
В лоханке образуется: переходно-клеточный рак, плоскоклеточный рак, саркома. Рак в лоханке почки встречается в 5-10% случаях. Переходно-клеточный рак образуется в лоханке почки. Из-за близкого расположения, может заражать мочевой пузырь и мочеточник. У большинства курильщиков выявляется именно эта форма рака.
По степени злокачественности клетки в отличие от здоровых клеток опухолевую ткань разделяют на 5 типов. G1 – опухоль высоко дифференцирована, G2 – дифференцирована умеренно, G3 – низко дифференцирована, G4 – не дифференцирована, GX – степень дифференцирование определить не возможно.
С помощью всемирной классификации TNM c-r staging (T — первичная опухоль (тумор), N — регионарные лимфатические узлы, М — отдаленные метастазы) онкологические заболевания можно разделить на степени распространения опухоли в почках.
Согласно этой классификации можно определить стадию развития опухоли:
- Первая стадия характеризуется небольшими размерами опухоли (менее 7см в диаметре), опухоль не покинула орган. Скорость роста опухоли медленная.
- На второй стадии опухоль увеличивается, становится более 7 см, опухоль все еще не покинула орган. Заражение лимфоузлов не присутствует.
- На третьей стадии опухоль прорастает в крупные сосуды и проникает в лимфоузлы.
- На четвертой стадии появляются отдаленные метастазы в печени, легких, костях, надпочечнике, а также мозге. Происходит распад и некроз опухолевых узлов, из-за этого повышается температура, присутствует лихорадка.
На четвертой стадии метастазирование происходит лимфогенным (через лимфу) и гематогенным путем (через кровь), сопровождается нестерпимыми болями в органах с метастазами.
Проявления рака почки
К сожалению, рак почки на ранних стадиях протекает совсем незаметно, признаки не дают о себе знать долгое время.
Уже на поздних стадиях при раке почки проявляются симптомы:
- Наличие кровяных сгустков в моче (гематурия);
- Ощутимое уплотнение;
- Боль в области почек.
Гематурия может привести к закупориванию мочеточника. Кровь может появляться временами, исчезает и появляется вновь спустя некоторое время. От этого больные страдают анемией.
Врач может заметить припухлость и уплотнение в брюшной полости при пальпации. Они сильнее заметны у худощавых людей. Больной жалуется на тупые ноющие боли, которые при росте опухоли усиливаются, и становятся постоянными. Сдавливание нижней полой вены (Варикоз, варикоцеле, тромбоз вен нижних конечностей).
К другим характерным признакам заболевания можно отнести повышение артериального давления, анемию, возможны гиперкальциемия, гипогликемия. При метастазах проявляется боль в костях, кашель с кровью — при поражении легких, а также желтуха и невралгические нарушения.
У женщин к симптомам относят также повышенную температуру, изменение состояния кожи, образование родинок и бородавок, которые постоянное меняют внешний вид и размеры.
Получите смету на лечение
* Только при условии получения данных о заболевании пациента, представитель клиники сможет рассчитать точную смету на лечение.
Если вы заметили хоть один признак из вышеперечисленных, следует немедленно делать диагностику, и выявлять причины данных симптомов.
Диагностика
Диагностику проводят следующими методами:
- УЗИ (ультразвуковое исследование);
- Компьютерная томография (КТ), Магнитно-резонансная томография (МРТ);
- Пункционная биопсия опухоли (забор кусочка опухолевой ткани для гистологического исследования);
- Внутривенная урография (рентгенологическое исследование с контрастным веществом в вены);
- Ангиография (рентгенологическое исследование с контрастным веществом);
- Радиоизотопная сцинтиграфия (введение радиофармацевтического препарата в костную ткань);
- Общий анализ крови, с определением уровня эритроцитов, и наличия лейкоцитоза, повышения СОЭ;
- Общий анализ мочи на наличие крови или других примесей.
Как лечить опухоль
Лечение рака почек зависит от стадии рака, размера опухоли, наличия метастазов. В большинстве случаев в онкологии врач использует хирургическое вмешательство вместе с другими видами лечения. Хирургическое вмешательство считается самым эффективным в лечении рака в почках. Без операции излечить рак почки невозможно.
На почках проводят: нефрэктомию и резекцию.
Нефрэктомия – это полное удаление почки, применяется, начиная со второй стадии развития рака. Применяется только в случае нормального функционирования второй почки. Перед нефрэктомией также может проводиться эмболизация артерий, то есть удаление кровеносных сосудов снабжающих опухоль кровью. Это поможет уменьшить размер опухоли.
Резекция – это частичное удаление почки, где находится сама опухоль. Почка удаляется на треть или наполовину. Применяется, когда опухоль не превышает 4 сантиметров в диаметре и в случае нарушения функционирования второй почки.
Одиночные метастазы также удаляют хирургически. На множественные метастазы используют химиотерапию и иммунотерапию.
Химиотерапия при раке почки практически не используется, так как показала свою неэффективность.
Лучевая терапия как вариант лечения рака почки очень редко. Опухоль не чувствительна к облучению. Облучение используют для облегчения болей при метастазировании в кости и головной мозг. Стоит отметить, что облучение хорошо влияет на опухоль Вильмса у детей, но радиоактивное излучение имеет плохие последствия в развитии ребенка.
Иммунотерапия – это терапия, проводимая при лечении рака почки, для увеличения сопротивляемости организма к раковым клеткам. Используется на последних стадиях рака.
Существуют случаи регресса рака почки у больных с метастазами. Иммунотерапию могут прекратить вследствие большого количества побочных эффектов.
К ним относятся: тошнота, рвота, лихорадка, снижение веса, снижение аппетита, головные и мышечные боли, усталость.
Таргетная терапия – терапия препаратами, губительно воздействующими на раковые клетки. К данным препаратам относятся препараты подавляющие прорастание сосудов в опухоль и препараты, блокирующие рост раковых клеток. У таргетной терапии также есть много побочных действий. В случаях непереносимости организмом препаратов, терапию прекращают.
Прогноз выздоровления при раке почек
Выявление заболевания на первых стадиях позволяет добиться выздоровления в 90% случаев.
https://youtube.com/watch?v=r5JWvcPyGww
На второй стадии, при комплексном лечении, прогноз составляет около 60-70% выздоровлений. Благодаря тому, что на второй стадии опухоль растет все еще медленно. Самым главным критерием благоприятного исхода является отсутствие метастаз в лимфатических узлах и когда опухоль не задевает соседние органы.
К сожалению, рак выдает свои признаки уже на поздних стадиях. И больной обращается к врачу с симптомами на третьей стадии, когда рак начинает метастазировать. Прогноз выживаемости по статистике составляет около 50%.
Рак почки очень агрессивный вид рака, и очень часто проявляется рецидив или вторичный рак в отдаленных метастазах. Поэтому сказать, сколько живут больные на четвертой стадии не, сможет сказать ни один врач.
Профилактика рака
Врачами еще точно не определены причины проявления рака почек, соответственно трудно сказать какие профилактические меры стоит предпринимать. Определенно, что пойдет вам на пользу – это отказ от курения. Так же желательно перейти на здоровое питание, и следить за своим артериальным давлением.
Какие первые признаки опухоли почки, и как её лечить?

Опухоль – это бесконтрольный процесс, для которого свойственно постоянное разрастание тканей. На долю этого нарушения приходится порядка 5% среди всех заболеваний мочевыводящей системы. Патология делится на два вида, в зависимости от способностей клеток давать метастазы.
Доброкачественная опухоль почки не дает метастазов и имеет благоприятный прогноз, а злокачественное новообразование происходит при полном перерождении тканей и разносом патологических клеток по организму.
Возможные причины
Согласно медицинской статистике, в зоне наибольшего риска находятся маленькие дети и люди старше 70 лет. Патологическое разрастание тканей чаще встречается у мужчин, нежели у женщин. Точные причины нарушения зачастую выявить невозможно. Учитывать можно факторы, способные спровоцировать появление любых опухолей.
К ним относятся:
- генетические нарушения;
- наследственность;
- плохое состояние здоровья;
- алкоголизм;
- продолжительное курение;
- проблемы с иммунной системой;
- воздействие радиации;
- длительное употребление медикаментов.
Еще опухоль может быть следствием хронических нарушений мочеполовой системы или осложнением других онкологических заболеваний.
Способы лечения подбираются в зависимости от классификации опухоли, осложнений и индивидуальных особенностей организма.
Симптоматика
Клиническая картина по большей части зависит от типа патологии в органе. На первичных этапах симптомы опухоли почки могут полностью отсутствовать. В большинстве случаев больной замечает только общую слабость и повышенную утомляемость, и причины обычно ищут в других проблемах.
По мере прогрессирования опухоли почек симптомы начинают ощущаться. Возможны следующие проявления нарушения:
- почечные колики;
- нарушения менструации;
- уменьшение массы тела;
- признаки отравления организма;
- незначительный рост температуры;
- анемия;
- тошнота и рвота;
- потеря аппетита;
- отечность;
- повышенная утомляемость.
Постепенно начинаются неприятности с мочеиспусканием: потребности сходить учащаются, во время процесса возможны болезненность и жжение, а ощущения полного опорожнения мочевого пузыря не наступает. В моче могут появляться незначительные следы крови.
На поздних сроках в области пораженной почки начинаются заметные боли, ноющего или острого приступообразного характера. При движении они усиливаются. Часто появляется боли в области поясницы, что может обмануть пациента и негативно повлиять на диагностику.
Способы диагностики
При условиях подозрения, что у больного имеется опухоль в почке, обращаться следует к нефрологу. Дополнительно могут потребоваться осмотры у гинеколога, уролога или онколога. Стандартный осмотр включает в себя пальпацию левой и правой почки. Патология бывает односторонняя или двусторонняя, поэтому «осматриваются» оба органа.
Чтобы установить вид опухоли почки, необходимы определенные диагностические мероприятия. К ним относятся:
- почечная артериография селективного типа;
- общий анализ мочи;
- общее исследование крови;
- кавография;
- биохимия крови;
- УЗИ мочеполовой системы;
- УЗИ почек;
- МРТ и КТ;
- биопсия.
Список корректируется в зависимости от общей клинической картины. Женщинам обязательно проводится гинекологическое обследование. При подозрении на злокачественные опухоли почек, требуется забор крови на онкологические маркеры.
Необходимое лечение
Некоторые виды доброкачественных опухолей допускается просто держать под контролем. Назначается динамическое наблюдение – больному необходимо регулярно проходить обследования. Если патология не отличается быстрым ростом, ее можно не трогать.
При активном делении клеток разросшаяся опухоль способна сдавливать окружающие органы и привести к отказу почки. Чтобы стабилизировать состояние пациента, принимается решение о хирургическом вмешательстве. По возможности врачи стараются сохранить орган и удалить только саму опухоль.
С помощью лечения необходимо:
- снизить отечность тканей;
- нормализовать водно-электролитный баланс;
- установить кислотно-щелочное равновесие;
- убрать болевой синдром;
- восстановить отток мочи;
- вывести из организма лишнюю жидкость;
- предотвратить метастазы;
- активировать иммунную систему;
- стабилизировать воспалительный процесс.
Подобрать оптимальный способ терапии без врача невозможно.
Хирургия
При отсутствии результатов консервативного лечения или быстром росте опухоли, рекомендуется оперативное вмешательство. Предпочтение отдается методикам, позволяющим сохранить хотя бы здоровую часть почки, если не весь орган. Вид процедуры зависит от расположения опухоли и степени ее распространения.
При незначительном размере патологии может использоваться лапароскопия – малотравматичный способ вмешательства. Во время процедуры выполняются три небольших прокола, через которые вводятся инструменты и видеокамера, позволяющая контролировать ход операции. При необходимости проводится резекция – частичное иссечение органов.
При необходимости проводится полостная операция, во время которой могут быть удалены сама опухоль, поврежденный орган или вся система с надпочечником, лимфатическими узлами и сосудами. Если операция невозможна, используются альтернативные методы – радиотерапия, химиотерапия или ингибирование белков направленного типа, при котором блокируются компоненты, участвующие в росте опухоли.







