Прошел медкомиссию и рентген, а через 3 месяца умер от рака. Родные:

В конце прошлого года семья Шкред потеряла близкого человека. Родственники до сих пор не могут прийти в себя: настолько молниеносно рак поглотил жизнь 60-летнего борисовчанина.
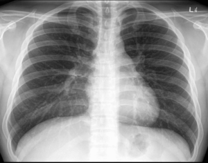
Еще в июле он успешно прошел флюорографию, в августе — ежегодный профосмотр, а в ноябре ему поставили диагноз — рак легкого 4-й степени с метастазами в позвоночник и печень.
Сын умершего Александр не понимает, как врачи могли пропустить болезнь в настолько запущенной стадии, и выражает сомнения в эффективности наших профосмотров.
Фото с сайта onco.me
Из здорового человека — в смертельно больного за 3 месяца?
О коварности онкологических заболеваний в последнее время говорится немало. Но даже зная об этом, тяжело соотнести два документа с разницей менее чем в полгода: августовская медицинская справка с пометкой «К работе допущен» и свидетельство о смерти, выданное в декабре.
— Я понимаю, что воскресить моего отца уже невозможно, но то, что случилось с ним, может произойти с любым из нас, — говорит Александр Шкред. — Для чего мы тогда проходим ежегодно флюорографию, если она либо ничего не показывает, либо на ней ничего не могут (не хотят) увидеть?
По словам родственников, Сергей Николаевич Шкред последние 9 лет работал на городском молочном заводе Борисова и ежегодно проходил медицинскую комиссию. Последний рентген он сделал в конце июля — тогда, по заключению доктора, все было в порядке.
В октябре мужчина начал жаловаться на боль в боку. Обратился в поликлинику, врач выписала ему обезболивающие лекарства. Первоначально был поставлен диагноз «торакалгия» (межреберная невралгия).
Когда пациента осмотрели более внимательно, послушали легкое и сделали снимок, направили с подозрением на пневмонию в больницу.
И уже через 2 недели медики дали направление в онкологический центр в Боровлянах, где родственники услышали неутешительный диагноз.
— Я задал вопрос онкологу, как можно пройти флюорографию и медкомиссию и не обнаружить онкологию на такой стадии? Мне ответили: на снимке тень сердца, не смогли увидеть.
Я им говорю: а вам самим не страшно проходить обследования? Здесь вопрос такой: либо это некомпетентный человек делал флюорографию, а потом ее рассматривал, либо аппаратура ничего не дает.
К тому же, если терапевт проводил общий осмотр пациента, как можно не услышать, что легкое не работает? Почему не брали анализ крови?
Сигареты «шли плохо», но флюорография успокаивала
Помимо профосмотров на работе, признает Александр, его отец редко бывал у врачей. В 2013 году в последний раз проверялся по поводу перелома ребра, а в остальном — полагался на медкомиссию. Курил. Сигареты в последнее время «шли плохо», часто кашлял, но флюорография успокаивала. На самочувствие особенно не жаловался.
После того как в семье узнали о диагнозе, бывшая супруга пациента сходила в поликлинику и забрала его карточку. Медперсонал неоднократно заходил к ним домой с просьбой вернуть документ, рассказывает Александр.
— Началась фактически охота за медицинской карточкой отца. Я не выдержал, поехал в отделение милиции и написал заявление о случае преступной халатности.
Заявление принимать не хотели, мотивировали тем, что у меня нет медицинского образования и онкология так и должна развиваться.
Примерно через месяц меня вызвал следователь для беседы, а еще через неделю или около того пришел отказ в возбуждении уголовного дела. Сейчас карточка находится у следователя.
Собеседник подчеркивает, что не имеет претензий к большинству медиков. Напротив, врачам скорой, которые приезжали на вызовы к его отцу, он даже писал благодарность — настолько компетентными, порядочными и человечными людьми они оказались. Но случай с диагностикой рака поверг Александра в шок.
— Почему врачи не несут никакой ответственности? Некомпетентный бухгалтер сядет в тюрьму, если он нанес материальный ущерб фирме, почему же некомпетентный врач не несет никакой ответственности? — задается вопросом собеседник.
Комиссия провела служебное расследование
Как следует из документов, Борисовский районный отдел Следственного комитета Беларуси отказал заявителю в возбуждении уголовного дела, поскольку «в чьем-либо деянии отсутствует состав преступления».
При этом следователями было установлено, что за несколько месяцев до постановки диагноза врач-рентгенолог не обнаружила на снимке легкого и сердца видимой патологии.
В ходе профосмотра пациент сдал общий и биохимический анализ крови, жалоб не высказывал.
В управлении здравоохранения Миноблисполкома было назначено служебное расследование, говорится в постановлении СК.
TUT.BY удалось выяснить, что служебное расследование на сегодняшний момент благополучно завершено. Но его результаты в управлении здравоохранения журналисту озвучить отказались, сославшись на врачебную тайну.
Сыну умершего Александру Шкреду заключение комиссии без письменного запроса также не предоставили. Устно пояснили, что комиссия врачей на июльском снимке не нашла отклонений.
Лишь специально приглашенный врач-онколог разглядел некую патологию, которая к раку не имеет отношения, передает слова медиков собеседник.
— Комиссия, насколько я понял, в основном акцентировала внимание на снимке, поскольку все анализы для профосмотра регламентируются приказом Минздрава. В итоге все свели к тому, что это очень агрессивная форма рака.
То есть за три месяца заболевание развилось так, что человека убило… Не знаю, если честно, не верится… В октябре отец уже чувствовал боль, то есть метастазы были.
И вот вопрос: могут ли метастазы развиться так быстро, что за пару месяцев начинают причинять боль?
Медики: рак легких иногда долго не проявляет себя
В Беларуси от рака легких в течение первого года после выявления болезни умирают 53% пациентов, рассказал TUT.
BY заведующий торакальным отделением РНПЦ онкологии и медицинской радиологии, доктор медицинских наук, доцент Виктор Малькевич.
По этому показателю мы находимся на одном уровне с США, Великобританией и другими развитыми странами. То есть некоторые формы рака легких действительно очень агрессивны, пояснил специалист.
Рентген и флюорография при диагностике рака легких

Злокачественное образование в легких является одним из самых распространенных онкозаболеваний среди мужчин и занимает первое место, а среди женщин четвертое. Карциному лёгких на первых стадиях выявить невозможно, так как болезнь протекает практически бессимптомно, но можно увидеть рак легких на флюорографии.
Врачи онкологи утверждают, что от данного новообразования излечиться до конца невозможно, но если обнаружить опухоль на ранних стадиях, то можно предотвратить распространение метастазов, тем самым продлить безболезненную жизнь пациенту на несколько лет.
Первые симптомы
- Хриплое дыхание.
- Отдышка после любой физической нагрузки, даже ходьбы.
- Отказ от еды.
- Тошнота.
- Слабость, апатия.
- Лечение сиропами, таблетками, отхаркивающими средствами и все безрезультатно.
- Кашель, во время которого появляется болевые ощущения.
- Субфебрильная температура, иногда может скакать в течение всего дня.
ПРИМЕЧАНИЕ! Если есть какие-то из этих симптомов, то стоит обратиться к врачу-онкологу или к врачу –рентгенологу.
Но не стоит сразу паниковать, так как эти симптомы могут указывать на ряд других заболеваний, такие как заболевание бронхов — бронхит, пневмония и т.п.
Стадии развития
| Этапы | Описание |
| Биологический | Биологическим этапом называют опухоль от ее возникновения и до проявления первых признаков. Без труда можно увидеть при прохождении флюорографии. |
| Доклинический | Когда на рентгеновских снимках можно увидеть новообразование, но явных симптомов еще нет, поэтому пациенты часто не обращаются к врачу. |
| Клинический период | На этой стадии уже есть все признаки и симптомы онкологии. |
У каждого пациента этапы протекают по-разному, это зависит от разновидности рака легких и от роста самой опухоли. Процесс роста может быть агрессивным быстрым или наоборот очень медленным и спокойным.
Человек в России должен ежегодно проходить данное обследование. Флюорография – это рентгенографический вид диагностики, используется для обследования органов грудной клетки.
Видно ли рак легких на флюорографии или нет? Данный метод исследования не позволяет точно определить злокачественную опухоль, а позволяет лишь увидеть само новообразование. Врач делает снимки в прямой проекции. При необходимости делают боковые снимки, что позволяет определить какой именно рак:
- периферический рак лёгкого
- центральный рак легкого на рентгенограмме.
ПРИМЕЧАНИЕ! Для точного определения злокачественного характера или доброкачественного необходим КТ, МРТ и биопсия опухолевых тканей.
| Стадия рака | Описание | Рак легких на рентгене |
| Первая | Первая стадия рака легких подразделяется на две группы:1А — опухоль не более 30 мм в диаметре.1В — опухоль не более 50 мм в диаметре.На первой стадии еще нет метастазов, а значит опухоль можно удалить полностью или излечить с помощью лучевой терапии.Шанс на выздоровление составляет 73%.К сожалению, явных симптомов на этой стадии нет, поэтому очень трудно распознать самому. | Как выглядит рак легких: |
| Вторая | 2А — размер достигает 50 мм.2В — до 70 мм.Метастазы могут уже поваляться рядом с легкими, но еще не достигли лимфоузлов. Тень лимфатических узлов можно увидеть на рентгенологии.Выживаемость значительно ниже чем на 1 стадии. Вылечиваются только треть онкобольных. | |
| Третья | 3А- опухоль достигает не менее 70 мм.3В- опухоль более 7 мм.В процессе разрастания опухоли уже затрагиваются лимфоузлы и поражает их, а также опухоль может затрагивать и другие органы и метастазировать в них. Могут поражаться такие органы как: сердце, трахея, печень, кровеносные и лимфатические сосуды. | |
| Четвертая | 4 стадия карциномы легких уже не подлежит лечению и заканчивается летальным исходом. У пациента сильные и мучительные боли. Метастазы проникают в другие органы и уже появляются сопутствующие заболевания. |
Так показывает ли флюорография рак? Да, рентгеноскопия позволяет увидеть врачу рентгенологу затемнение или просветление, контуры, полости новообразования. Да и сам пациент может просмотреть рентген и увидеть, так как чаще всего четко просматриваются заболевания органов дыхания.
Другие методы диагностики
МРТ (Магнитно-резонанская томография) — позволяет исследовать внутренние органы и ткани. С помощью данной методики можно увидеть новообразования в легочной ткани, срезы всех органов, костей и тканей в трех проекциях.
КТ (компьютерная томография) — томография легких на кт, которая позволяет так же, как и на МРТ увидеть срезы органов и тканей, а также покажет срезы опухоли. Данный аппарат дает возможность с помощью настроек увидеть срез, который может достигать 1 мм.
Бронхоскопия — для исследования заболеваний органов дыхания по этому методу используют зонд или эндоскоп. При онкологической патологии просвет трахеи и бронхов сужается, на бронхиальной стенке образуют язвы с участками некроза и поражения стенок.
С помощью бронхоскопии нередко берут биопсию. У этого метода есть последствия – несколько дней после проведенной манипуляции у пациента может отхаркиваться мокрота с темным оттенком.
Исследование мокроты — цитологическое исследование мокроты позволяет изучить мокроту под микроскопом. На мазке можно увидеть атипичные клетки, чаще всего плоскоклеточные фракции, что говорит о раке. Пациентов с подозрением отправляют к врачу.
Анализ крови – анализ крови не дает возможности определить в организме ракового образования, но с помощью этого метода можно посмотреть отклонения от нормы, а также посмотреть на работу органов. Чаще всего сдают кровь на общий и биохимический анализ, чуть реже на онкомаркеры.
Биопсия — это хирургический метод, берут кусочек опухоли на исследование, либо используют иглу, которую вводят в опухоль, «собирают» клетки и рассматривают под микроскопом.
Позитронно-эмиссионная томография — метод ПЭТ позволяет увидеть функциональность органов, а также обмен веществ между тканями. Больному вводят препарат, который является радиоактивным на небольшое количество времени, затем делают снимок. Снимок получается в 3-х проекциях. Пациент получает облучение, равное двум рентгенам.
Стадирование — данная диагностика позволяет определить стадию, форму, наличие метастазов в других органах, размеры, количество новообразований в легких, в каком именно легочном сегменте находится онкология. Стадирование необходимо для того, чтобы подобрать правильный и индивидуальный метод лечения. Результат и заключение озвучивает врач.
Плевральная пункция — новообразование в бронхах нередко сопровождается плевральным выпотом повреждением плевральных стенок. Для исследования берут жидкость (выпот) это и есть плевральная пункция. При изучении материала могут обнаружить атипичные онкологические клетки.
(1 5,00 из 5) Загрузка…
Диагностика рака легких: какие методы позволяют выявить опасность своевременно?

Рак легких на сегодняшний день не является редко встречающимся заболеванием. Патология наиболее часто прогрессирует под влиянием длительного табакокурения, когда стаж исчисляется годами либо при агрессивной окружающей обстановке, когда воздух сильно загрязнен.
Знание признаков, которые являются характерными для такой патологии, предоставляют возможность ее своевременно обнаружить и начать терапию. Современные диагностические методы позволяют обнаружить раковые опухоли даже на начальных этапах, что позволяет полностью ликвидировать патологический процесс и позволить человеку прожить длинную жизнь.
Диагностика рака легких подразумевает проведение многих манипуляций.
Какие признаки могут указывать на развитие рака легких?
Характерные симптомы.
Рак легких подразделяется на 2 типа. Первый тип – центральный рак легких и 2 – периферический.
Основными причинами, которые указывают на прогрессирование рака легких, принято считать:
- генетическую предрасположенность;
- никотиновую зависимость;
- экологические факторы;
- хронические патологии бронхолегочной системы.
При раке легких достаточно часто проявляются следующие симптомы:
- дыхание с присвистом;
- понижение работоспособности;
- одышка;
- непроходящий кашель;
- частые повышения общей температуры тела без причины;
- слабость общего характера;
- отсутствие аппетита;
- мокрота с вкраплениями крови;
- болезненность области груди.
Указанные симптоматические проявления не всегда являются признаками рака легких, тем не менее, игнорировать их не рекомендуется, так как могут наличествовать иные патологические процессы дыхательной системы.
С течением времени, клиническая картина приобретает более выраженный характер:
- возникают тахикардические проявления;
- развивается одышка;
- кашель приобретает более интенсивный характер.
Даже при обыкновенном дыхании пациент может испытывать боли. Глотания затрудняется, а голос приобретает сиплый характер. Может развиться цианоз верхней части тела.
Этапы развития опухоли
Прогрессирование онкологии легких подразделяется специалистами на несколько стадий, рассмотренных в таблице:
Стадии развития патологического процессаЭтапОписаниеБиологическийОн длится на протяжении момента возникновения опухолевого образования и до первых клинических проявлений, которые подтверждаются рентгенографическим исследованием.
ДоклиническийИмеются исключительно рентгенологические признаки, но на данном этапе пациенты редко попадают к специалисту, так как их еще ничего не беспокоит.КлиническийНа данном этапе возникают внешние симптоматические проявления онкологического процесса.
Наиболее часто образование язвенных поражений становится причиной беспокойства. Врач в таком случае поможет определить причину изменений.
Процесс развития.Важно! Скорость течения онкологического процесса обуславливается лишь степенью агрессивности и характеристиками гистологии. В некоторых случаях, биологический и доклинический этапы могут продолжаться на протяжении многих лет, никак себя не проявляя и не вызывая у пациента никаких подозрений.
Как возможно диагностировать рак легких?
Характер злокачественного процесса.
Рак легких подразделяется на 4 специфических группы, в зависимости от степени развития процесса и согласно предполагаемой стадии выполняются диагностические мероприятия:
- Первая группа заключает в себе методики, которые способны указать на вероятное прогрессирование опухолевого процесса. В эту категорию относится осмотр специалистом, рентгенографическое и флюорографическое исследования, цитологическое исследование мокроты.
- Вторая группа предполагает прохождение пациентом КТ, бронхоскопического и радионуклидного исследований, а также цитологического теста мокроты.
- Третья группа подразумевает диагностические мероприятия морфологического характера, которые способствуют окончательному подтверждению диагноза. В группу входят цитологическое исследование биоматериала, гистология.
- Четвертая группа представлена диагностическими мероприятиями, которые позволяют провести оценивание распространенности онкологического процесса. Для этого пациенту требуется пройти радионуклидное, ультразвуковое исследование и КТ.
Одним из важных моментов диагностики раковых опухолей легких является возможность отличить их от туберкулезных процессов, которые имеют сходные симптоматические проявления, к примеру — кровохарканье. Тем не менее, туберкулез и рак – категорически разные заболевания, которые специалисты определяют и отделяют после прохождения пациентом полноценного исследования.
Внимание! Определение рака легких по флюорографии является возможным, потому не следует пренебрегать основным правилом – ежегодное прохождение планового обследования. Регулярное обследование как средство самозащиты.
Наиболее распространенным методом диагностирования рака легких выступает рентгеноскопия и флюорография, которую возможно сделать в любой городской больнице.
Рентгеноскопия
Наиболее доступный метод диагностики.
Рентгеноскопия характеризуется высокой степенью информативности и в 80% случаев позволяет обнаружить легочную онкологию. Лишь в малой доле случаев, рентгеноскопия отображает нормальное состояние легочных тканей при наличии онкологического процесса легочной системы.
При центральной форме ракового образования, на рентгенографии будет отображаться, что в легких присутствует расширенная сеть сосудов, а также имеются замутненные участки. Когда у легочной онкологии периферический характер, картина на рентгеновском изображении будет отображать присутствие четкой тени с неровными краями, от которой к корню легких отходят отростки в виде лент.
Видны ли раковые опухоли при флюорографии?
Флюорография.
Онкология легких определяется при помощи флюорографического исследования, которое является наиболее доступным способом проверки легких на данный момент. Некоторые пациенты ошибочно думают, что такая методика не способна отобразить присутствие каких-либо опухолевых процессов.
Тем не менее, это не так и опытный рентгенолог способен обнаружить какие-либо патологические изменения в легочной системе. По этой причине не рекомендуется отказываться от флюорографического исследования. Именно этот метод ранней диагностики рака легкого доступен всем пациентам.
Бронхоскопия
Бронхоскопия является диагностическим мероприятием, которое основывается на визуальном исследовании системы дыхании при помощи оптоволоконного зондирования. Зонд вводится в пути дыхания – при легочном раке бронхиальный просвет сужается и в нем развиваются язвенные процессы.
Также происходит деформация и смещение бронхиальных стенок. Могут также увеличиваться трахеобронхиальные лимфатические узлы.
Бронхоскопия как метод диагностики рака.
Описываемая методика достаточно часто неприятна и по этой причине пациенту вводится успокоительное и обезболивающее. При помощи бронхоскопического обследования достаточно часто берут материал для биопсии опухолевых тканей. После выполнения исследование, на протяжении 1-2 суток, у пациента могут отхаркиваться сгустки крови темного цвета.
МРТ
МРТ (на фото) базируется на принципе ядерно-магнитного резонанса, который в совмещении с необходимым ПО позволяет провести обработку полученных данных с максимальной достоверностью и предоставить наиболее доскональные результаты обследования. Такая диагностическая мера полностью безопасна для здоровья пациента.
Помимо этого, МРТ – это высоко информативный метод, так как при его использовании получается добиться снимков максимальной четкости и разрешения.
Магнитно-резонансная томография.
Тем не менее, имеются некоторые ограничения – МРТ противопоказано при электронных имплантатах, к примеру – сердечных клапанов, водителей ритма и прочих. Цена проведения обследования с использованием данного метода достаточно высока, особенно если рассматривать возможность проведения МРТ в частных клиниках.
Компьютерная томография
КТ обычно используется при недостаточной ясности картины, которую предоставило рентгенологическое исследование о состоянии опухолевой патологии. Такая методика наиболее предпочтительна в сравнении с обыкновенной рентгенографической, так как у компьютерной томографии наибольшая чувствительность по отношению к присутствию опухолевых процессов в легочных структурах.
в этой статье ознакомит читателей с особенностями проведения КТ при подозрении на рак легкого.
Компьютерная томография.
Суть методики заключается в том, что в процессе выполнения КТ выполняется огромное число снимков тела в срезе. В редких случаях пациентам, для того чтобы получить более полную картину происходящих в организме процессов, вводятся специфические контрастные вещества, которые способны повышать четкость изображения.
Цитологическое исследование мокроты
Цитологическое исследование мокроты предполагает при проведении диагностики использование специфического микроскопа. Когда возникают сложности с забором материала для исследований, то его изымают в ходе бронхоскопического исследования.
Достаточно часто, при легочном раке, в мокроте имеются плоскоклеточные атипичные фракции, которые и говорят о присутствии онкологического процесса.
Цитологическое исследование.
Такая методика является наиболее финансово доступной и безопасной. Но, она характеризуется ограниченной информативностью, так как нередко при раке в мокроте могут отсутствовать определенные клеточные структуры, а значит – исследование потенциально способно предоставить специалистам ложноотрицательный результат, что приведет к осложнению течения.
Плевральная пункция
Плевральная пункция.
Плевральная пункция также именуется как торакоцентез. Иногда, онкология легких сопровождается и поражениями плевры, а также возникновение плеврального выпота.
Инструкция полагает забор биоматериала для исследования и дальнейшее изучение именуется плевральной пункцией. В результате исследования, в материале обнаруживаются онкологические клетки, что и выступает доказательством присутствия ракового процесса в дыхательном органе.
Хирургические методики
Хирургический метод диагностики.
Имеются и оперативные методики диагностирвоания, которые представлены торакотомией и медиастиноскопией. Первая методика базируется на взятии биопсии малого кусочка опухоли, а другая предполагает исследования взятых образцом лимфатических узлов либо тканей опухоли, в которых могут присутствовать метастазы.
Подобная диагностика требует выполнения всех мероприятий в условиях операционной. Оба метода способны стать причиной множественных осложнений, которые представлены инфекционными поражениями, кровотечениями либо побочными реакциями организма пациента на применяемые медикаменты.
Пункционная биопсия
Указанная диагностика выполняется за счет введения в очаг опухолевого процесс тонкой иглы, сквозь которую производится забор биоматериала. После этого образцы отправляются в лабораторию для дальнейшего изучения. Выполнение пункционной биопсии требует предварительного местного обезболивания либо наркоза.
Позитронно-эмиссионная томография
Подобная диагностическая методика позволяет получить оценку работоспособностей тканей и активности обменных процессов. Изображения пострадавшего участка выполняются за счет влияния радиоактивных веществ с кратким периодом воздействия. Позитронно-эмиссионная томография позволяет выполнить изображения внутриорганных структур в 3D формате.
ПЭТ.
Пациенту вводят радиоактивный препарат с кратковременным действием, а после этого проводят сканирование. В процессе обследования, пациент получает облучение, которое по степени сопоставимо с флюорографией.
Анализ крови
Выявить присутствие рака исключительно исходя из результатов лабораторных анализов, возможности не имеется. При таком исследовании могут быть обнаружены исключительно нарушения и отклонения состава крови и прочие признаки, характерные онкологическим процессам.
Присутствие либо нехватка определенных ферментов могут указывать на метастазирование некоторых органов.
Анализ крови.Внимание! Определение рака легких по анализу крови на онкологические маркеры является простым и доступным методом диагностики, тем не менее, способ не позволяет утвердить абсолютно точный диагноз.
Стадирование
Результат стадирования.
Для каждого из этапов онкологического процесса имеется собственная характерная стадия распространенности по структурам организма. Стадирование рака легких основывается на оценивании параметров новообразования, присутствия онкологических клеток в лимфатических узлах и прочим параметрам.
Стадирование выступает одной из наиболее важных диагностических мероприятий, которые помогают специалисту подобрать оптимальную схему лечения. Также, стадирование помогает выполнить прогноз жизни пациента.
Читать далее…
Видно ли рак легких на флюорографии: что показывает снимок

Рак легких — распространенное онкологическое заболевание. И одно из самых опасных, потому что нередко проходит с серьезными осложнениями, приводит к летальному исходу.
Мы традиционно считаем, что заподозрить признаки этой патологии поможет флюорография, которая проводится в рамках ежегодных медицинских осмотров.
Но вместе с тем в Сети можно встретить и множество тревожных сообщений, что спустя несколько месяцев после флюорографии у человека обнаружили рак легких в запущенной стадии.
Видно ли рак легких на флюорографии? В статье мы представим полный ответ на этот вопрос.
О заболевании
Неспроста так много людей обеспокоены вопросом, видно ли рак легких на флюорографии. Это распространенное онкологическое образование имеет неблагоприятные прогнозы. Велик риск летального исхода.
Поэтому так важно определить эту онкопатологию на начальной стадии. Она опасна тем, что протекает практически бессимптомно.
Признаки болезни зачастую начинают проявлять себя только на стадии метастазирования опухоли.
https://youtube.com/watch?v=Sx3JZD2MDUE
Заболевание встречается у представителей обоих полов. Однако все же чаще страдают от него мужчины. Существует целый ряд факторов, провоцирующих рак легких:
- Курение.
- Злоупотребление спиртными напитками.
- Наркотическая зависимость.
- Неблагоприятная экологическая обстановка.
- Работа в среде с потенциальными канцерогенами.
- Генетическая предрасположенность.
- Употребление продуктов питания, содержащих канцерогены.
- Радиационное облучение.
По локализации рак легких подразделяется на центральный, периферический и массивный. Последний встречается достаточно редко. А наиболее распространен центральный.
Видно ли рак легких на флюорографии? Это процедура не включена в онкодиагностику. Последнюю составляет следующее:
- Осмотр пациента.
- Сбор анамнеза и его жалоб.
- Лабораторные исследования крови пациента.
- Инструментальная диагностика. В частности, рентген легких.
Опасные признаки
Покажет ли флюорография рак легких на ранней стадии? Как мы убедимся далее, не всегда. А ведь от малейшего промедления порой зависит жизнь больного.
Коварство онкологических заболеваний легких в том, что даже их первые симптомы не вызывают у человека серьезных опасений. Поэтому так много людей обращаются за помощью к специалистам только при явных признаках онкологии.
Первыми тревожными симптомами в данном случае считаются следующие:
- Хроническая беспричинная слабость, упадок сил.
- Кашель непонятного происхождения.
- Одышка.
Видно ли рак легких на флюорографии? Медики советуют для профилактической диагностики этого заболевания все же обращаться к рентгену легких.
Флюорография — что это?
Рак легких на флюорографии выявить возможно. Но, к сожалению, не во всех случаях. И особенно на ранних стадиях. Так почему же эта методика является распространенной, включена в состав стандартного медосмотра?
Флюорография — быстрый и бюджетный способ исследования легких. Буквально через день уже можно получить результаты. С помощью данной методики специалисты могут выявить опухоли и дисфункции не только в легких, но и в других органах и системах: сердце, диафрагме, костных тканях, прилежащих сосудах и проч.
Также метод ценится за то, что является безболезненным и безвредным. Доза облучения, которую получает при процедуре человек, ничтожно мала. Поэтому нет ничего вредного в том, чтобы проходить эту профилактическую диагностику каждый год.
Что видно на флюорограмме?
Если флюорограмма снята правильно, то по этому снимку опытный специалист может обнаружить следующее:
- Плевральные воспаления.
- Отложение кальция в сердечной мышце.
- Расширение корней бронхов и легких, а также фиброзных тканей.
- Усиленный сосудистый рисунок.
- Очаговые тени онкологических опухолей.
Флюорография ценится за то, что с ее помощью можно заметить патологические изменения не только в строении легких, но и всех органов, так или иначе задействованных в дыхательном процессе: сердца, вен, артерий и проч.
Когда рак легких не виден на флюорограмме?
Флюорография выявляет рак легких? Да, но, к сожалению, не во всех случаях. Это связано с серьезным недостатком методики — процедура проводится только в прямой проекции. Поэтому существует ряд факторов, когда при флюорографии не удается распознать опухоль в легких:
- Новообразование находится в базальных сегментах нижней правой доли органа. Так как их загораживает печень, рассмотреть опухоль специалисту не представляется возможным.
- Слишком мелкие онкологические очаги.
- Опухоль расположена слишком глубоко в тканях органа.
Флюорография показывает рак легких на ранних стадиях? Да, но, как вы убедились, не во всех случаях.
Как выглядит новообразование на флюорограмме?
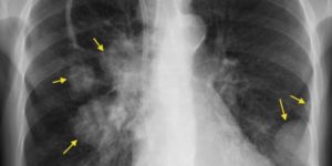
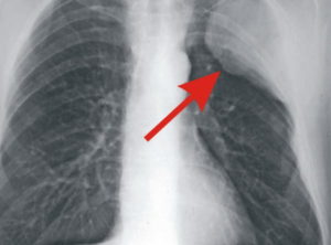
Как выглядит рак легких на флюорографии? Конечно, опухоль на снимке сложно распознать неспециалисту. Квалифицированный доктор может ее заподозрить по следующим признакам:
- Наличие уплотнения. Чаще всего оно одностороннее, отбрасывает тень. К нему могут примыкать тяжи. При этом заметно, что корни легкого будут несколько расширенными.
- Тень, которую отбрасывает уплотнение, разной формы. Но чаще всего именно шаровидной. Как правило, она имеет нечеткие края, вокруг нее может быть некоторая «лучистость».
Косвенные признаки
Не всегда на снимке видно новообразование в то время, как рак уже начинает развиваться. Квалифицированный доктор способен заподозрить это заболевание по ряду косвенных признаков:
- Гиповентиляция (недостаточная вентиляция) легких.
- Ателектаз легочных участков.
- Компенсаторное повышение воздушности примыкающих к нему отделов.
- Дистальное сближение сосудов (оно может происходить за счет сдавливания опухолью).
- Утолщение стенок бронхов.
Флюорография и рентген — есть разница?
Как мы убедились, флюорография показывает рак легких, но не во всех случаях. Более точный способ инструментальной диагностики этой патологии — рентген.
https://youtube.com/watch?v=HD2itkKHGZ4
Рентгенограмму снимают быстрее, чем делают флюорографию. Более того, если вы проходите диагностику в частной медицинской клинике, стоимость рентгена ниже.
Еще один плюс рентгенографии: лучевая нагрузка на пациента тут может быть ниже, чем при флюорографии. К слову, самая высокая доза облучения — при компьютерной томографии. Но преимущество флюорографии в высокой пропускной способности. Из-за быстроты получения результатов процедуры ее и включают в медицинские ежегодные осмотры.
Принцип получения рентген-снимка прост: из лучевой трубки аппарата исходит пучок лучей. Через тело человека, соответственно, они будут проходить в разной степени. Результат отображается на пленке. Из-за свойств наших органов по-разному пропускать через себя рентгеновские лучи получается снимок, напоминающий фото: мягкие ткани серые, воздушные полости — черные, а кости — белые.
Еще два альтернативных флюорографии метода — магнитно-резонансная и компьютерная томография. КТ — более точный метод, так как тело пациента просвечивается рентген-лучами с нескольких ракурсов. Но он гораздо дороже флюорографии и рентгенографии. Доза облучения при КТ гораздо значительней.
МРТ безвредна, так как это воздействие магнитных полей. Но процедуру, опять же, отличает высокая стоимость. Кроме того, к МРТ есть большой ряд противопоказаний.
Цифровая флюорография
В некоторых медицинских российских клиниках сегодня уже установлены современные агрегаты, позволяющие проводить цифровую флюорографию. С помощью новейшей техники можно получить не только стандартный снимок, но и изучить цифровое изображение легких, которое выводится на монитор.
Достоинство нового метода очевидно. Если при стандартной флюорографии был доступен только фронтальный снимок органов, то при цифровой легкие возможно рассмотреть со всех сторон и ракурсов. Что в разы повышает качество диагностики. Кроме того, отдельные участки изображения, обеспокоившие доктора, можно увеличивать, приближать.
Показывает ли флюорография рак легких при проведении ее на таком оборудовании? Ответ будет, конечно, положительным. Важно отметить, что в цифровой методике задействованы крайне чувствительные сенсоры. Для пациента это хорошо тем, что в десятки раз уменьшается уровень облучения его организма.
Что касается специалистов, они ценят новую методику дополнительно и за то, что можно переместить снимок легких на автономный носитель или же распечатать его бумажные варианты в необходимом количестве.
Альтернативные способы диагностики
Помимо флюорографии, существует целый ряд диагностических процедур, при проведении которых возможно обнаружить рак легких на начальных стадиях:
- Цитология мокрот. Исследуются массы, либо выделяемые при кашле, либо изъятые в ходе бронхоскопии. Цитологический анализ позволяет выявить атипичные плоскоклеточные фракции, которые являются характерными для онкологических патологий.
- Плевральная пункция. Позволяет опровергнуть или подтвердить наличие онкоклеток.
- Торакотомия. Хирургическая процедура, целью которой является «отщипывание» частицы опухоли для дальнейшего анализа на ее доброкачественность.
- Медиастиноскопия. Лабораторное исследование образца или опухолевых, или лимфатических тканей.
- Пункционная биопсия. Необходимый для исследования материал собирается при помощи шприца и тончайшей иглы. Последнюю вводят в очаг опухоли. Процедуру проводят под местным наркозом. Она ценится за 100 % точность результатов исследования.
- Позитронно-эмиссионная томография. В ходе процедуры оценивается деятельность тканей, продуктивность метаболизма в подозреваемой области нахождения онкологического новообразования. Однако нужно учитывать, что доза облучения пациента здесь примерно в два раза больше той, что получают при флюорографии.
Подведем итоги. Привычная флюорография — устаревший метод исследования. Но распространенный по причине своей дешевизны. Снимок нечеткий, с одного ракурса. Отчего не всегда на нем можно распознать рак легких на первой стадии. Альтернатива — цифровая флюорография, рентген, КТ, МРТ.
Флюорография и рак: что можно увидеть на снимках?

Флюорография рак теоретически распознать может. Флюорографическое исследование дает возможность выявить развивающуюся опухоль даже на стадии зарождения. Однако многое зависит не от самого аппарата, а от грамотности специалиста, которому достанутся ваши снимки для последующего анализа.
Большинство клиник мира и врачей с известными именами утверждают, что полное излечение от злокачественных новообразований невозможно. Впрочем, не стоит забывать о наличии огромного количества диагностических методов.
Обнаружив опухоль на первоначальной стадии развития, предупредив распространение ее по кровеносным и лимфатическим сосудам, по всем органам и системам, можно добиться 100%-ного результата лечения.
К первоначальным методам диагностики относятся флюорография и рентген.
Понятие флюорографии и ее виды
Флюорография – самый распространенный метод диагностики всех заболеваний легочной системы. Для проведения исследования используется рентгеновское излучение, но в меньшем количестве, чем при других методах диагностики.
Это рентгенодиагностическая методика, направленная на изображение сфотографированных теней органов грудной полости на фотопленке (устаревший вариант) с флуоресцентного экрана или перенос отображенных органов в цифровой формат.
Цифровая флюорография проводится с незначительным радиационным влиянием на организм пациента в сравнении с рентгеном, что является неоспоримым преимуществом современного метода. Однако разрешающая способность этого метода меньше.
https://youtube.com/watch?v=b00mkc3BfTQ
Проведение профилактических осмотров в кабинете флюорографии назначается практически каждый год, поэтому знаком с этой процедурой каждый житель нашей страны. Данный диагностический способ является законным способом скрининга легочных заболеваний.
Первоначально поголовное обязательное прохождение через аппарат было обосновано возрастающим количеством людей, болеющих туберкулезом.
Со временем разработки новых аппаратов метод позволил выявлять и другие заболевания легочной системы, поэтому флюорография классифицируется на несколько типов:
- цифровая. Это самый современный метод скрининга заболеваний легких и легочного дерева. Итоговый результат появляется на экране компьютера. Недостаток этого варианта – невозможность многих медицинских учреждений приобрести современную аппаратуру в связи с трудным материальным положением;
- классическая (или традиционная) – устаревший вариант, когда то, что показывает флюорография, выдается на фотопленке небольшого размера.
Выявит ли флюорография рак?
По всему миру и в нашей стране с каждым годом увеличивается количество людей, страдающих раковыми опухолями, особенно раком легких.
Многие, кто стремятся предотвратить развитие этого заболевания у себя, интересуются, показывает ли флюорография рак легких? Из-за низкого рентгеновского облучения при флюорографии снимок получается небольшой, поэтому выделить лишь факт наличия какого-то заболевания. Рак легких на флюорографии диагностировать со 100%-ной уверенностью нельзя – можно лишь сказать, что пациент болен.
Необходимо определить некоторые особенности онкологического обследования, чтобы понять в какой ситуации флюорография или рентген будут необходимы.
Если в вашей семье существует генетическая предрасположенность к хроническим легочным заболеваниям (астма, бронхит), злокачественным опухолям (в любой системе организма), но никаких проблем со здоровьем и недомоганий на данный момент нет, проходите ежегодную флюорографию как обычно.
Надежней выполнять ее на цифровом аппарате, использующем современные технологии – так качество полученного результата будет выше.
Допустим, у вас появился длительный кашель, не поддающийся лечению, кровохарканье, произошла ощутимая потеря в весе.
Первоначально следует обратиться к врачу-онкологу, который определит последующую диагностику.
В таком случае, видно ли рак на флюорографии или нет, не имеет никакого значения, так как будут назначены более точные диагностические методы, например, рентген или компьютерная томография.
При расположении онкообразований в поверхностных слоях органа или же возле места входа главного бронха флюорография выявляет рак в виде темного пятна неясной этиологии.
Если врач-рентгенолог при плановом посещении пациента обнаруживает на снимке такие пятна, он направляет пациента на рентген в двух проекциях или же на компьютерную томографию с целью получить более точные снимки.
Будет виден ли рак на флюорографии при другом расположении раковой опухоли? Если процесс начал развиваться в глубине легких, флюороснимок не будет информативным, и потребуются другие способы.
Итак, подведем итоги. Можно ли обнаружить рак легких на фото флюорографии? Обнаружить можно, но далеко не в каждом случае. Рак на флюорографии выявляется только при поверхностном расположении очагов поражения.
Если вы относитесь к группе повешенного риска (курильщики с длительным стажем, работники опасных для здоровья производств, лица, подверженные частым простудным заболеваниям легких), регулярно (один раз в год) проходите флюорографию или рентген-исследование для обнаружения возможных патологий, в том числе рака.
Если вы отмечаете у себя некоторые симптомы тяжелой болезни (недомогание, похудение, потеря аппетита), немедленно обращайтесь специалисту и не подвергайте себя самостоятельной диагностике и лечению – это может усугубить тяжесть заболевания.
Чтобы определить рак, нередко обращаются к такому методу диагностики, как биохимический анализ крови, подробнее о котором можно прочитать здесь. Еще одним высокоточным видом исследования является мазок на рак, ознакомиться с методикой которого можно здесь.
Рак и рентген-диагностика
Рентген отличается от вышеописанного метода диагностики большей информативностью из-за большей плотности потоков рентгеновских лучей при его проведении.
Рентген – это качественная альтернатива флюорографии для обнаружения туберкулеза, пневмонии и других легочных заболеваний.
Как правило, врач назначает этот способ только при наличии веских подозрений на наличие болезни, так как облучение, которому подвергается пациент, значительно выше, чем при флюорографии. Снимки делают в разных положениях, получая прямое, боковое и прицельное изображения.
Некоторые медики ошибочно считают, что снимок рентген-аппарата не способен показать развивающийся рак, а флюорография метастазы.
Грамотный врач-рентгенолог способен увидеть изменение легочного «рисунка», обнаружить какие-либо затемнения или пятна в органах дыхательной системы и сообщить, что это может означать.
Таким образом, рентген, как и флюорография может показать рак, но для точного определения формы и степени рака следует пройти другие, более информативные диагностические обследования.
Рентген показывает рак, но только в общих чертах. Понять, что в легких пациента имеются именно онкологические образования, даже с помощью этого метода удается не всегда.
Целесообразность прохождения рентген-диагностики и флюорографии легочной ткани при подозрении на рак активно обсуждается многими практикующими врачами и учеными, которые к сегодняшнему дню к единому мнению, к сожалению, пока прийти не сумели. Ясно лишь одно: выполнение ежегодных осмотров способно обезопасить от развития страшного недуга.





