Экзостоз локтевого сустава фото

Многие годы пытаетесь вылечить СУСТАВЫ?
Глава Института лечения суставов: «Вы будете поражены, насколько просто можно вылечить суставы принимая каждый день средство за 147 рублей…
Читать далее »
Время от времени за летние каникулы у малыша происходит резкий скачок в росте. Конкретно этот период и представляет собой высочайший риск в плане появления экзостозов. Это таковой доброкачественный костный нарост. Почаще всего он воспринимает форму гриба. Определенного ограничения в росте нарост также не имеет.
НАШИ ЧИТАТЕЛИ РЕКОМЕНДУЮТ!
Определенных зон положения нет — экзостозы нередко развиваются во различных местах.
Как происходит сам процесс формирования экзостоза у детей и взрослых:
- нарост формируется их частей хряща;
- ткань новообразования становится наиболее плотной;
- плотный хрящ трансформируется в губчатое костное новообразование;
- наружная оболочка опухоли припоминает костную «скорлупу»;
- хрящ, который находится снаружи «скорлупы», опять затвердевает и нарост возрастает в размерах;
- экзостоз продолжает выращивай.
Свое развитие опухоль начинает с хрящевой ткани, которая потом преобразуется в костную. Из-за изюминок собственного формирования, патология получила заглавие костно-хрящевой экзостоз (доброкачественное образование новой костной ткани на поверхности кости).
Почему развивается недуг?
Поспособствовать возникновению экзостоза коленного сустава могут последующие причины:
- повреждения колена травматического или механического нрава,
- патологические процессы в хрящевой ткани или надкостнице,
- болезни эндокринной системы,
- генетическая расположенность,
- заболевания (это состояние организма, выраженное в нарушении его нормальной жизнедеятельности, продолжительности жизни и его способности поддерживать свой гомеостаз) инфекционного или воспалительного нрава.
Развиться болезнь может и у подростков в переходном возрасте. В таковой ситуации недуг считают недостатком, возникающим при формировании костей. По прошествии времени, когда скелет полностью сформируется, фактически во всех вариантах болезнь без помощи других проходит. В остальных ситуациях требуется терапия недуга, которая подразумевает хирургическое вмешательство.
Предпосылки
Появиться эти костно-хрящевые наросты могут по разным причинам. Они могут показаться:
- во время регенеративного процесса опосля травмы;
- при травмах;
- при ушибах;
- при воспалении слизистых сумок;
- при остеомиелите;
- при воспалительных действиях в фиброзитах;
- при бурситах (воспаление слизистых (синовиальных) сумок преимущественно в области суставов);
- при ущемлении надкостницы;
- как следствие приобретенных воспалительных действиях в костях;
- в последствии асептического некроза;
- при дефицитности функции органов эндокринной системы;
- при разрыве связок в месте их прикрепления;
- как сопутствующее отягощение при доброкачественных опухолях;
- опосля оперативного вмешательства;
- как последствие приобретенных болезней суставов;
- при сифилисе;
- при врожденных нарушениях и аномалиях скелета;
- в вариантах хондроматоза костей.
Почему возникает множественный экзостоз, четко не установлено. Конкретно понятно, что в базе процесса образования наростов лежит нарушение обычного процесса энхондрального окостенения. Верно выслеживается наследственная расположенность к таковому возникновению заболевания.
Раздельно можно выделить экзостоз, происхождение которого непонятно.
Опосля перенесенной травмы экзостоз может образоваться из осколка кости или из окостеневшего кровоизлияния.
Предпосылки болезни
Бурсит имеет множество разных заглавий, фаворитных в люде – «локоть студента», «локоть пекаря», «болезнь спортсмена». Заболевание присуща людям, часто совершающим определенные движения, при которых работают суставы локтя. Недугу нередко подвержены спортсмены, в особенности теннисисты, хоккеисты и гольфисты. Потому болезнь можно именовать проф.
Микротравмы, возникающие в процессе перегрузок – один из стимулирующих причин возникновения разных заболеваний суставов. Время от времени локтевой бурсит развивается опосля механической травмы (ушиб или падение на локоть).
Артрит хоть какой формы, проявляющийся сразу с бурситом, может утяжелить состояние нездорового.
Возникновение 2-ух болезней (это состояние организма, выраженное в нарушении его нормальной жизнедеятельности, продолжительности жизни и его способности поддерживать свой гомеостаз) сразу просит срочного вмешательства спеца.
Бурсит локтевого сустава может иметь инфекционные предпосылки: стафилококки, пищеварительная палочка и остальные бактерии возникают в вольных местах синовиальной сумки, вызывая инфецирование. Бактерии отыскивают лазейку через кровь, к примеру, во время обыкновенной простуды.
Вызывающим болезнь фактором могут являться бурситы иной формы и понижение иммунитета. В виде инфекционного основания бурсита может проявляться панариций (воспаление мягеньких тканей пальцев и костей).
Во докторской практике встречаются варианты идиопатического воспаления, когда заболевание развивается по неизвестным науке причинам.
Симптомы бурсита схожи на признаки таковых заболеваний как артрит, полиартрит или подагра. В каждом из этих вариантов пациенту нужна различная мед помощь с применением различных фармацевтических продуктов. При первом подозрении на бурсит рекомендовано подтвердить диагноз у вашего вылечивающего доктора.
От чего развивается заболевание
1-ое – это травма, конкретно опосля нее нередко развивается посттравматический бурсит. Отданная форма имеет актуальность для проф спортсменов, в частности игроков в теннис.
Сумка может инфицироваться стрептококком, стафилококком, гонококком или иными бактериями. Зараза может попадать в организм конкретно в итоге травмы или из первичного очага заразы.
При отсутствии специфичного исцеления, которое хорошо и верно назначить спец, процесс может стать гнойным и обостряется. Также бурсит может развиваться у людей определенных профессий, в особенности когда стоит долгое время (форма протекания физических и психических процессов, условие возможности изменения) опираться локтем о твердую поверхность.
Бурсит локтя может быть острым, рецидивирующим или приобретенным. В зависимости от нрава воды он может быть серозным (легкий вариант, не приводящий к отягощениям), геморрагическим (с примесью крови) или гнойным (страшный вариант). Необыкновенную опасность представляет гнойный бурсит, который перебежал в приобретенную форму.
Бурсит локтевого отростка

Бурсит локтевого отростка (БЛО) – это состояние, при котором воспаляется синовиальная сумка, примыкающая к локтевому отростку локтевой кости.
Поверхностное положение синовиальной сумки, а именно между локтевым отростком локтевой кости и кожей, чувствительно к воспалениям, возникающим из-за ряда причин, в первую очередь, из-за острой или повторяющейся травм.
Также воспаление может возникнуть из-за инфекции, что называется септическим бурситом. Две трети случаев бурсита – это неинфекционный или асептический бурсит.
Эпидемиология/Этиология
БЛО– достаточно часто встречающееся состояние. Несмотря на то, что общаяраспространенность заболевания неизвестна, оно обычно появляется у мужчин ввозрасте от 30 до 60 лет.
Две трети случаев – асептические (т.е.
неинфекционного происхождения) и обычно возникают, когда травма или повторяющиесямелкие повреждения приводят к кровотечению в синовиальную сумку или выбросумедиаторов воспаления.
Заболеваниене имеет предрасположенности по расовому или половому признакам. БЛО наблюдаетсяу детей и взрослых.
Длительное лечение с применением гемодиализа, уремия илимеханические факторы (например, положение покоя локтевого сустава во времялечения с применением гемодиализа) могут вызвать воспаление.
Также этосостояние может быть вызвано острыми повреждениями (травмами) во время занятийспортом, поскольку они включают в себя любое движение, подразумевающееполучение прямой травмы задней части локтя (например, падение на твердуюповерхность и др.).
Друзья, совсем скоро состоится семинар «Локтевой сустав: диагностика и лечение». Узнать подробнее…
Другими частыми причинами возникновения БЛО, не связанными со спортивными занятиями, могут быть повторяющаяся микротравма, как, например, постоянное трение локтя о стол во время письма.
Подобная травма или такие повторяющиеся небольшие повреждения приводят к кровотечению в синовиальную сумку или выбросу медиаторов воспаления.
Люди некоторых видов профессий особенно сильно подвержены этому заболеванию, особенно сантехники или специалисты, занимающиеся отоплением или системами кондиционирования, поскольку им приходится ползать на коленях в тесных местах и опираться на локти.
Наконец, воспаление может произойти из-за системных воспалительных процессов, таких как ревматоидный артрит или подагра/псевдоподагра. Это состояние также может быть побочным эффектом применения препарата Сунитиниб, который используется при лечении пациентов с почноклеточным раком.
Признаки и симптомы
- Пациенты обычно отмечают припухлость в задней части локтя (иногда отечность безболезненна).
- Давление, например, опора на локоть или трение о стол во время письма одной рукой, — это факторы, которые обостряют боль.
- Типичным симптомом БЛО является частое прикосновение (удары, толчки) к опухшему локтю, поскольку он выступает больше обычного.
- Существует вероятность, что во время сбора анамнеза пациент расскажет историю изолированной травмы или повторяющейся микротравмы. Начало может быть внезапным, когда бурсит связан с инфекцией или острой травмой. Когда БЛО возникает вследствие хронического раздражения, манифестация заболевания будет менее быстрой.
Клинически значимая анатомия
Синовиальнаясумка – это структура (грубо говоря, мешок из толстой скользкой ткани),позволяющая частям тела двигаться плавно относительно друг друга. Синовиальныесумки располагаются там, где кожа, мышцы или сухожилия должны скользить надкостью. Они смазываются небольшим количеством жидкости, которая помогает снизитьтрение между скользящими поверхностями.
Синовиальная сумка локтевого отростка расположена между локтевым отростком локтевой кости и кожей. Она позволяет локтевому суставу свободно сгибаться и разгибаться под кожей. Когда синовиальная сумка раздражена, то она наполняется жидкостью, что ведет к отеку кончика локтевого отростка и препятствует движениям локтя.
Клиническая картина
- Классическим проявлением воспаления синовиальной сумки является отек задней части локтя. Эта отечность ясно выделяется внешним видом, т.к. похожа на гусиное яйцо, «выросшее» на кончике локтя.
- Пораженная сторона может быть чувствительна при пальпации. В случаях, когда присутствует инфекционное начало, пораженная область может быть теплой наощупь и красной.
- Если травма произошла недавно, обследование кожи может выявить ссадины или ушибы.
- Обычно у пациента с прогрессирующим воспалением может быть лихорадка.
- Амплитуда движений пораженного сустава обычно нормальная, но существует вероятность того, что сгибание локтя может ограничиться из-за боли.
- Пациенты, страдающие системными воспалительными процессами (такими как ревматоидный артрит) или болезнями отложения кристаллов (подагра или псевдоподагра) могут демонстрировать признаки очагового воспаления в других местах. Когда вы будете обследовать пациента с ревматоидным артритом, существует вероятность, что вы увидите ревматоидные узелки во время обследования локтя. Если пациент говорит о боли в локте во время активного или пассивного сгибания в локтевом суставе, и, если в анамнезе есть указание на травму, это может усилить клиническое подозрение на перелом локтевого отростка.
Диагностические процедуры
Лабораторные тесты очень важны для дифференциальной диагностики септического бурсита от асептического. Вместе с тем, анализы крови обычно не информативны. Если есть какие-либо сомнения в диагнозе, то лечение должно проводиться как для септического случая, пока не будут получены результаты культивирования (посева на микрофлору).
Дифференциальный диагноз
- Ревматоидный артрит.
- Травмы вследствие чрезмерного использования.
- Подагра и псевдоподагра.
- Переломы локтевого отростка.
- Авульсия сухожилия трицепса.
Физическая терапия
Вбольшинстве случаев физическая терапия и эрготерапия не являются необходимыми,но часто показаны для уменьшения времени восстановления. Пациентам, которыечасто сталкиваются с локтевым бурситом, рекомендуется применять для лечения концепцию«RICE». RICE значит покой (rest), лед (ice), компрессия (compression)и элевация (elevation).
Естьтакже другие терапевтические методы воздействия, которые могут оказатьсяполезными для снижения боли и воспаления. Например, фонофорез или электрическаястимуляция. Однако, большинство пациентов с бурситом локтевого отростка необязательно нуждаются в этих методах воздействия.
Физический терапевт может также позаботиться об обучении пациента и разработать компенсаторные стратегии для расслабления пораженной верхней конечности на период лечения.
Когда пациент не дает ответной реакции на консервативное лечение и его состояние ухудшается, может быть показана операция.
Когда пациент проходит через удаление синовиальной сумки (бурсэктомию), после операции может быть рекомендована физическая терапия для восстановления и поддержания амплитуды движений и силы локтя.
Нехирургическое лечение
Первый шаг включает в себя аспирацию жидкости из синовиальной сумки иглой 18-го размера. Далее в локтевой сустав с латеральной стороны вводится смесь 1 мл Метилпреднизолона и 1,5 мл Лидокаина (без адреналина). Затем накладывается сухая марлевая повязка, а на нее эластичный бинт или локтевой ортез.
Другие методы лечения, предлагавшиеся в прошлом для лечения асептического локтевого бурсита, включали:
- Только аспирацию жидкости из синовиальной сумки, без или с компрессионными повязками.
- Нестероидные противовоспалительные средства в течение 10-14 дней.
- Только введение кортикостероидов, после аспирации жидкости.
- Инъекции в сустав крови.
- Временное трехдневное использование чрескожно-интрасиновиального дренажного катетера.
- Интрасиновиальные инъекции тетрациклина и талька.
Операция на инфицированной синовиальной сумке
Если синовиальная сумка инфицирована и ее состояние не улучшается на фоне приема антибиотиков или после аспирации жидкости, может быть необходима операция по удалению всей синовиальной сумки. Это процедура обычно проводится в стационаре, что означает, что человеку придется остаться в больнице на несколько дней. Эту операцию можно сочетать с дальнейшим приемом антибиотиков.
Операция на неинфицированной синовиальной сумке
ЕслиБЛО не является результатом инфекционного процесса, все еще может понадобитьсяоперация, если неоперационные методы не работают. В этом случае операция поудалению синовиальной сумки обычно проводится в амбулуторных условиях. Операцияне касается мышц, связок или суставных структур.
Несмотря на то, что формально физическая терапия после операции не является необходимой, есть ряд упражнений, которые помогают увеличить амплитуду движений. Обычно их разрешают выполнять через несколько дней после операции.
Бурсит локтевого сустава. Клинические рекомендации

- Артрит
- Бурсит локтевого сустава
- Бурса
- Свищ
д.м.н. – доктор медицинских наук
к.м.н. – кандидат медицинских наук
ОА — остеоартроз
МРТ – магнитно-резонансная томография
СОЭ – скорость оседания эритроцитов
СРБ – С-реактивный белок
ПГ – простагландины
НПВП – нестероидные противовоспалительные препараты
ЖКТ – желудочно-кишечный тракт
Термины и определения
Бурса – заворот синовиальной оболочки сустава
Свищ – канал, соединяющий полость сумки с окружающей средой
Регресс процесса – уменьшение объема бурсы на фоне проводимого лечения
1. Краткая информация
Бурсит – воспалительный процесс, возникающий при раздражении слизистой синовиальной сумки, что приводит к увеличению количества воспаленных клеток и коллагена с последующим утолщением стенок бурсы.
Бурса локтевого отростка — это анатомическое образование, мешок, находящийся выше локтевого отростка под кожей. Она имеет синовиальную оболочку, но не сообщается с окружающими тканями. Она снижает трение между кожей, сухожилием трехглавой мышцы плеча, связками и костями при движении, и позволяет им плавно скользить относительно друг друга [1,2,3].
Когда синовиальная оболочка бурсы, продуцирующая жидкость, воспаляется, увеличивается ее капиллярная проницаемость и белковый экссудат собираться в бурсе, вызывая характерный отек [4,5].
В большинстве случаев бурсит локтевого сустава проходит без осложнений, однако повторные эпизоды могут возникать периодически, особенно после повторяющихся травм.
https://youtube.com/watch?v=wd9Ld3wGc2k
— пациентов молодого и среднего возраста [6];
— пациентов, у которых на рабочем месте возникают регулярные травмы локтя или давление на область бурсы [6], например:
— людей, профессиональная деятельность, которых связана с однообразными механическими движениями: садоводы, механики [7,8], сантехники, кровельщики, водители грузовиков, студенты и люди, занимающиеся письменной работой и делопроизводством [8];
— спортсменов, занимающихся спортом, у которых нагрузки связаны с повторяющимся метанием над головой или сгибанием в локтевом суставе (например, бейсбол, дартс, гимнастика, тяжелая атлетика), или падением на область локтевого сустава (например, регби, футбол, хоккей) [9].
Он также встречается реже у:
— пациентов с хроническими проблемами легких (который часто опираются локтями на твердую поверхность, на уровне грудной клетки, чтобы увеличить усилие вдоха) [9];
— пациентов на гемодиализе (чье положение рук во время диализа может создавать длительное давления на локтевые суставы) [10].
М 70.2 – Бурсит локтевого сустава
М 70.3 – Другие бурситы локтевого сустава
Бурсит, как правило, классифицируются [11] на асептический (наиболее распространенный), при котором возникают стерильные воспаления в результате различных причин и септический, при котором развивается инфекция в результате обсеменения бурсы микроорганизмами, как правило, бактериями.
Асептический бурсит развивается при:
— Травмах чрезмерных или даже легких, например, опирание на локоть [12]. Воспаление возникает из-за кровоизлияния в бурсу или за счет высвобождение медиаторов воспаления после травмы [13];
— системных заболеваниях — наиболее часто при подагре, сахарном диабете и ревматоидном артрите (внутри бурсы образуются ревматоидные узелки), редко при заболевании, таком как болезнь Бехтерева, системной красной волчанке, склеродермии [13,14];
Другие микроорганизмы, которые редко встречаются при развитии бурсита локтевого сустава: Pseudomonas, Enterobacter agglomerans, энтерококки фекальный, гемофильная и кишечная палочка. Инфекции, вызываемые кандидами, микобактериями и грибами обычно возникают только у людей, которые имеют системное заболевание или ослабленный иммунитет [15].
Факторы, предрасполагающие к септическому бурситу, включают уже существующие сумочные болезни, склонность к инфильтрации бурсы и ослабление иммунитета (например, системное лечение кортикостероидами, сахарный диабет, злоупотребление алкоголем) [16,17,18].
Осложнения септического бурсита редки и включают в себя:
— свищи, которые могут возникнуть, когда септический бурсит локтевого отростка спонтанно прорывается, или после его вскрытия и дренирования [18,19];
— инфекционные осложнения (редко), в том числе вторичный септический артрит – редко встречается потому, что сумка локтевого отростка не сообщается с локтевым суставом, за исключением некоторых случаев хронической воспалительной артропатии [18].
Тем не менее, вторичный септический артрит был зарегистрирован у людей с ревматоидным артритом [19,20], бактериемией и токсическим шоком [20], некротическим фасциитом [20] и остеомиелитом локтевого отростка от септического бурсита локтевого сустава [21].
2.1 Жалобы и анамнез
- При обследовании пациента рекомендован тщательный сбор анамнеза и проведение клинического осмотра [6].
Уровень убедительности рекомендаций В (уровень достоверности доказательств –2)
Бурсит локтевого отростка. Симптомы, диагностика, виды лечения

Патология представляет собой воспаление синовиальной сумки локтя, располагающейся на разгибательной поверхности. Патология охватывает бурсу – мешок, который находится под кожей выше локтевого отростка.
Задача бурсы заключается в обеспечении плавного и мягкого скольжения костей и сухожилий мышц плеча. При воспалении трение между этими участками усиливается, поэтому развивается воспаление.
Виды и причины возникновения
В основном воспаление развивается из-за регулярных травм локтя или периодического давления на бурсу. Поспособствовать этому может:
- сильный ушиб, перелом локтя,
- профессиональная деятельность, в ходе которой локтевой отросток травмируется. В эту группу входят школьники и студенты, бухгалтера, садовники, офисные работники, которые заняты письменной работой и у них постоянно согнут локтевой сустав,
- профессиональные физические нагрузки. В эту группу входят спортсмены, занимающиеся метанием, тяжелоатлеты, гимнасты, бейсболисты, у которых постоянно согнут локоть, а также футболисты, которые регулярно падают на локоть.
Реже бурсит локтя является следствием артрита, отложения солей или фурункула.
https://youtube.com/watch?v=MZgrw77ZkHM
В зависимости от состава патологической жидкости, бурсит локтевого отростка бывает:
- гнойным,
- серозным,
- неспецифическим. Образуется вследствие бруцеллеза, сифилиса и т.д.
Симптомы
В первую очередь локтевой сустав краснеет. Покраснение – первый признак воспаления, который спустя несколько часов чувствуется боль. Поскольку рядом с бурсом сосредоточен сосудисто-нервный пучок, болевые ощущения интенсивные и постоянные.
Фиксируется воспаление из-за повышенной выработки синовиальной жидкости. Признаки бурсита локтевого отростка таковы:
- острая и пульсирующая боль, которая усиливается при движении рукой и снижается в статичном положении. Локоть дергает,
- ограниченная подвижность локтевого сустава,
- местное повышение температуры. При прикосновении к локтю чувствуется жар и при сравнении с другой конечностью пораженный локоть слишком горячий,
- локоть опухает, краснеет,
- образуется шаровидное выпячивание, которое на ощупь мягкое. Уплотнение указывает на наличие выпота в полости синовиальной сумки.
Чаще всего диагностируется острый бурсит локтевого отростка. Хронический бурсит подразумевает стертую клиническую картину с периодическими обострениями и ремиссиями. В этом случае пациенты отмечают покраснение, отек локтевого сочленения с незначительной болью.
К какому врачу обращаться при бурсите локтевого отростка
Воспаление синовиальной оболочки локтя лечит ортопед.
Методы лечения
Сначала купируется воспаление. Для этого больной принимает нестероидные противовоспалительные средства, прикладывает холодный компресс, смазывает локоть противовоспалительной мазью с обезболивающим эффектом. Местные препараты уменьшают отек, активизируют тканевый обмен.
Если диагностируется острое интенсивное воспаление или хроническая форма бурсита, врач осуществляет инъекции кортикостероидов в бурсу. Мощное противовоспалительное действие наступает через несколько часов и длится до двух-трех дней. Лечение гормонами проводится не всегда, поскольку стероиды ослабляют эластичность соединительной ткани.
Далее к лечению подключаются антибиотики. Антимикробные средства подавляют рост бактерий, уменьшают воспаление. В зависимости от выраженности симптомов антибиотики назначаются в виде таблеток или инъекций.
Обязательным пунктом становится иммобилизация. Конечность обездвиживается путем наложения тугой повязки и подвешивания к шее на протяжении всего срока лечения.
По показаниям проводится операция. Бурса вскрывается, очищается, промывается, вводится антибиотик, а затем полость дренируется. Крайне редко синовиальная сумка иссекается и удается. После процедуры конечность иммобилизируется на срок до 10-14 дней.
Результаты
Прогноз лечения благоприятный. Уже через несколько недель заболевание полностью проходит и осложнений не наблюдается.
Реабилитация и восстановление образа жизни
В период ремиссии для ускоренной регенерации ткани и возобновления подвижности назначаются физиопроцедуры, например лечение сухим теплом.
Реабилитация начинается с первых дней после снятия воспаления.
Для восстановления подвижности сочленения, стабилизации выработки синовиальной жидкости, улучшения оттока венозной жидкости, предотвращения гипотрофии мышц и сухожилий назначается ЛФК под руководством опытного инструктора сразу после снятия болевого синдрома. Стоит отметить, что во время лечебной гимнастике избегают упражнений с отягощением и большой амплитудой движения.
Вернуться к списку
Как лечить бурсит локтевого сустава: медикаменты, компрессы и физиопроцедуры

При воспалении синовиальной сумки у любого человека ухудшается общее состояние.
Это первый признаки бурсита. Он может обнаруживаться в области любого сустава: тазобедренного, плечевого, коленного.
Однако чаще у пациентов разного возраста диагностируется серозный или травматический бурсит локтевого сустава: симптомы, причины и эффективное лечение в домашних условиях и в стационаре будет рассматривать далее статья.
Болезнь достаточно серьезная, поэтому остановить воспалительный процесс лучше на начальной стадии. Последствия и осложнения бывают довольно непредсказуемыми.
Надо знать, как правильно проводится лечение бурсита локтевого сустава, к какому специалисту можно обратиться, что делать, если нестерпимо болит рука в сгибе.
Причины бурсита локтевого сустава
Травма локтя – довольно частое явление. Бывает у взрослых и детей. Одни не обращают внимания до возникновения боли, другие испытывают травматический шок, долго не могут оправиться.
Незначительные повреждения, нечаянные движения, резкие удары могут привести к травмам. В результате развивается бурсит локтевого сустава, основные симптомы и методы лечение предлагает для знакомства статья.
Бурсит правого и левого локтей появляется по разным причинам. Воспаление суставной сумки, нервов, сухожилий и мышц, расположенных по соседству, происходит от удара, ушибов, микротравм, ссадин.
Бурсит локтевого сустава в следствии травмы
Другие не менее частые причины, вызывающие посттравматический бурсит локтя:
- нахождение руки на протяжении длительного периода времени в очень неудобном положении, когда локоть оказывается напряженным, зажатым или опущенным с рабочей поверхности;
- отложение солей рядом с суставами;
- наличие артрита, сахарного диабета;
- неудачное движение конечностью;
- медикаментозное лечение стероидами.
В группу риска попадают лица, получающие повышенные нагрузки на область локтя: спортсмены, чертежники, офисный профессионал.
Механизм развития заболевания
Болезнь, называемая бурсит локтевого сустава, имеет свои особенности возникновения и протекания.
Происходит воспаление суставной или локтевой сумки, которая представляет собой небольшую капсулу, наполненную синовиальной жидкостью.
Ей отведена роль амортизатора, защищающего околосуставные ткани и кости от трения.
Стоит инфекции попасть в бурсу, как начинается процесс воспаления. Сразу увеличивается количество синовиальной жидкости, постепенно меняется ее состав.
Заметно, что локоть опух. Ощущается боль, воспаляется сустав. Сумка продолжает расширяться, набухать.
Заметным становится отек. Совсем скоро в воспаленной сумке кроме синовиальной жидкости появится гнойная слизь или сгустки крови.
При подобных симптомах обычно констатируется наличие бурсита геморрагического локтевого сустава.
Инфицирование сопровождает гнойный процесс. Он локализуется не только в области левого или правого локтя, но и переходит на соседние ткани. Гнойный бурсит локтевого сустава непредсказуем, опасен.
Последствия могут быть разными:
- кальцификация;
- некроз тканей;
- формирование спаек.
В отличие от других заболеваний хронический бурсит локтевого сустава имеет отличительные особенности:
- На локтях отсутствует жировая прослойка, поэтому мышцы не защищены. Примерно так же болят колени, когда воспаляется синовиальная сумка.
- Поражает сразу три синовиальные сумки, но больше страдает бурса, находящаяся в районе локтевого отростка на разгибательной поверхности.
В остальном бурсит локтевой имеет симптомы схожие с другими заболеваниями.
Симптомы бурсита локтевого сустава
Выяснив, почему возникает бурсит локтевого сустава, необходимо выявить его симптомы, по которым заболевание определяется. Симптоматика напрямую зависит от вида заболевания.
Серозный бурсит бывает острый и хронический. Он отличается тем, что жидкость в синовиальной сумке напоминает сыворотку, но экссудат не инфицированный.
Его симптомы выражены, но мало обращают на себя внимание:
- локоть немного распух, болит при совершении любых движений;
- появляется отек в зоне локализации боли;
- температура незначительно повышается (до 37,5º), но чувствуется прилив жара в месте поражения сустава;
- вокруг бурсы кожный покров краснеет.
Рентген показывает, что внутренних повреждений суставов нет, но полость синовиальной сумки значительно увеличена (до 10 см), значит, произойдет нарушение двигательной функции.
При отсутствии лечения бурсит локтевого сустава из острого серозного превратится в хронический, а симптомы станут менее заметными.
Отечность при бурсите локтевого сустава
Остановимся, как выглядит острый гнойный инфицированный бурсит локтевого сустава. Его признаки иные. Ключевым моментом становится боль, ощущаемая даже при легком прикосновении.
Другие симптомы:
- наличие значительного отека из-за скопления синовиальной жидкости;
- припухлость резко увеличивается в размерах (до куриного яйца);
- расползание отечности на соседние ткани;
- покраснение кожных покровов в области локтя;
- происходит ограничение движений;
- повышается температура до 39º;
- при пальпации чувствуется пульсация в месте поражения.
На кожных покровах можно заметить гной, если имеются раны от травм.
Если локоть распух, продолжается воспаление локтевого сустава при бурсите, лечение необходимо начинать немедленно.
Иначе появятся новые симптомы: открытые свищи, флегмоны, ухудшение общего состояния. Вылечить полностью такую патологию сможет только хирург.
Пункция при локтевом бурсите
Предстоит пункция, операция и длительная реабилитация после курса терапии.
Острый геморрагический бурсит отличается нахождением в жидкости кровяных клеток. Полость сумки увеличивается, воспаляется. Появляется отечность тканей.
Чтобы остановить распространение, приходится делать тугую повязку для фиксации сустава. Иногда требуется оперативное удаление сумки.
Виды патологий
Заболевание посттравматический и травматический бурсит локтевых суставов бывает разным по течению, причинам.
Современная медицина дает классификацию по нескольким направлениям. Разделение проводится по интенсивности боли, учитываются последствия и осложнения.
По характеру протекания определяют три формы патологии:
- Острая. Основным признаком бурсита локтевого отростка является боль. Часто повышается температура. На ее фоне наблюдается интоксикация. Обнаруживается ограничение движений конечности. Любые незначительные нагрузки вызывают дискомфорт.
- Хроническая. Болевые ощущения практически отсутствуют, однако периодически проявляются признаки физической слабости. Болит область локтя, опухоль незначительна. При ощупывании пальцами очага заболевания чувствуется уплотнение в области бурсы.
- Рецидивирующая. Если посттравматический бурсит вызвал ушиб локтя, после завершенного лечения может произойти инфицирование из-за нарушения целостности кожных покровов. В экссудат попадают патогенные микроорганизмы, начинается новый виток заболевания.
Состав синовиальной жидкости необходимо учитывать, решая, как лечить после диагностики бурсит локтя.
В данном случае классификация выглядит так:
- Серозный: в синовиальной сумке образуется жидкость, напоминающая по консистенции сыворотку. Данный вид отличает легкая боль в суставе. Чувствуется недомогание, обнаруживается небольшая припухлость. Ее цвет светлый. Заболевание проходит довольно быстро при ограничении физической нагрузки. Операционное лечение не требуется. Медицина предлагает ряд эффективных способов лечения, включая оказание помощи народными средствами.
- Гнойный: в составе жидкости в разном количестве выявляется гной. Инфицированный бурсит вызывают патогенные микроорганизмы. Пациент становится вялым, порой раздражительным из-за постоянно чувствующейся боли. Вылечить полностью можно, но придется пройти терапевтический курс. Иногда необходимо удаление зараженной бурсы. Недуг опасен, но эффективно лечится. Пройти курс терапии необходимо немедленно, чтобы справиться с возникшими симптомами.
- Геморрагический: основным признаком заболевания является наличие в жидкости крови. Экссудат выглядит довольно необычно: заметен розовый оттенок из-за присутствия в нем эритроцитов. Причиной возникновения может быть травма.
Нередко медицина отмечает, что бурсит бывает смешанным. При наличии фиброзного выпада он называется серозно-фиброзным. Может развиваться заболевание по гнойно-геморрагическому типу.
Нередко причиной заболевания, когда локоть опухает, становится инфекция.
Деление проводится по двум видам:
- Неспецифический: вызывается стафилококками, стрептококками, другими патогенными микроорганизмами.
- Специфический: причиной воспаления синовиального мешка становятся гонококки, бледная спирохета.
Диагностика бурситов
Проведя визуальный осмотр левого и правого локтя, сравнив их, выслушав жалобы пациента, врач определяет бурсит локтевой, но медикаментозное лечение или операция будет назначена после дополнительных исследований.
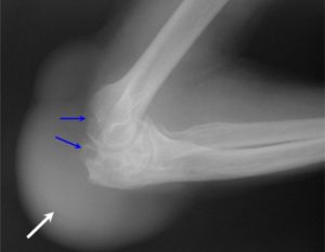
Бурсит локтевого сустава на рентгене
Для уточнения диагноза и выявления вида заболевания предлагается сделать:
- Рентген: рекомендуется для выявления состояния отростка кости, на которой могут сформироваться остеофиты. По результатам рентгеновского исследования врач решает, будет проводиться операция или медикаментозное лечение.
- Пункцию: из суставной сумки через прокол извлекается синовиальная жидкость для изучения ее состава. Пункция при бурсите проводится иглой 18-20 G при разогнутом суставе. Исследование экссудата проводится в лаборатории.
Клинические исследования проводятся, чтобы определить, сколько длится воспаление, какой характер оно имеет.
Сдаются анализы:
- крови из пальца на лейкоцитоз и увеличение СОЭ;
- кровь из вены для проведения серологического исследования на выявление антигена.
Если указанного медицинского исследования недостаточно, назначается УЗИ, МРТ и КТ.
Лечение бурсита локтевого сустава
Только врач, получивший результаты всех назначенных исследований, осмотревший пациента решает, сколько и как лечить локтевой бурсит.
Ограничение физической активности назначается сразу, если распух локоть. Физкультура не практикуется, зато эффективными окажутся фиксирующие повязки.
При сильной боли можно накладывать компрессы с обезболивающими медикаментами, смазывать локоть гелями. Появления инфицирования и осложнения удастся избежать, если сразу назначить пациенту антибиотики.
Лекарства для лечения бурсита локтевого сустава
Курс длится, пока не наступит восстановление. Выявив гнойный или геморрагический бурсит локтевого сустава, как эффективно лечить решает хирург. Потребуется извлечь экссудат из локтевой сумки.
Назначается сначала рентген, затем пункция. Врач решает, где делать прокол. В стерильных условиях в сумку вводится игла для извлечения жидкости. Чувствуется неприятная боль, но она проходит после завершения манипуляции.
Для избегания осложнения рекомендуется реабилитационное и медикаментозное лечение:
- вводится в сумку Кеналог;
- местно назначаются мази Ибупрофен, Вольтарен;
- рекомендуются физиотерапевтические процедуры.
Операция назначается при локтевом бурсите, когда консервативное лечение оказывается бесперспективным. Обычно к столь радикальному методу прибегают, когда прокол, медикаментозное восстановление неэффективны, болезнь становится рецидивирующей.
Операция помогает остановить заболевание, не дать распространиться гною на соседние ткани, уйти дальше отростка.
Операция для устранения бурсита локтя
Оперативное вмешательство бывает двух видов:
- иссечение части пораженной бурсы;
- полное удаление врачом синовиальной сумки.
Какое оперативное вмешательство лучше выбрать, решит врач. Обязательно после процедуры требуется продолжительная реабилитация. Могут назначаться физиопроцедуры.
Заключение
Данная статья лишь рассказ о заболевании суставов. Она не заменяет поход к врачу и не берет на себя лечебную функцию.
Восстановите в памяти ее сведения и обязательно посетите специалиста. Помните, бурсит сам не проходит.
Он опасен, поэтому вылечить его полностью может только специалист: хирург, ревматолог, мануальный терапевт, ортопед.
Сколько продлится восстановление, зависит от поведения больного, правильно выбранных методов. Реабилитация ускорит процесс возвращения работоспособности.
: Лечение бурсита локтевого отростка
Причины развития и методы лечения костно-хрящевого экзостоза

Костно-хрящевой экзостоз является доброкачественным новообразованием на трубчатой кости. Он развивается в зоне роста костной ткани, расположенной ближе к суставной головке.
Костный экзостоз возникает:
- Чаще всего на длинных костях бедра и голени;
- Может образовываться на трубчатых костях рук;
- Непосредственно в кистях, суставах запястья или колена;
- А также поражать позвоночник, ребра, ключицы, лопатки.
Экзостозная болезнь (другое название – остеохондрома) зарождается с началом максимально быстрого развития опорно-двигательного аппарата в возрасте 6-8 лет, прогрессирует во время активного роста костей у детей и угасает по мере взросления, постепенно прекращаясь к 18-20 годам.
Природа хрящевого экзостоза
Перерождение клеток гиалуронового слоя, который является местом образования новых клеток костной ткани, формирующих тело трубчатой кости, приводит к возникновению нароста. Хрящевая ткань, разрастающаяся на эпифазарной пластинке, образует опухолевидное тело, которое может иметь удлиненную (линейную) или шаровидную форму.
https://youtube.com/watch?v=5J4SS8kw0og
Вектор нарастания экзостоза костей совпадает с их продольной осью, начинаясь ближе к суставной головке и распространяясь к центральной части трубчатой кости.
Поскольку новообразование разрастается за счет наружного хрящевого слоя, его внутренняя структура постепенно минерализуется и приобретает характеристики костной ткани. На рентгеновских снимках экзостоза у ребенкачетко видны очертания окостеневшего тела нароста, слившегося с телом кости. При этом хрящевой слой не оставляет тени на рентгенограмме, как и обычный хрящ.
Причины возникновения у детей
Множественные наросты на костях являются последствием нарушения в генном аппарате ребенка. Это заболевание передается по наследству и не поддается полному излечению.
Экзостоз какой-либо одной кости может быть приобретенным по различным причинам:
- В результате травмы или ушиба;
- При инфекционном поражении костной ткани (частой причиной становится возбудитель сифилиса);
- В результате нарушения гормонального баланса;
- При наличии индивидуальных особенностей развития накостницы и хрящевой ткани.
Остеохондромы могут разрастаться до 5-6 см размера.
В медицинской практике отмечены отдельные редкие случаи, когда наросты останавливают свое развитие до окончания полового созревания организма и даже постепенно рассасываются до полного исчезновения. Упоминаются отдельные случаи возникновения болезни у взрослых людей. Как правило, развитие костных образований начинается на местах переломов или инфекционных поражений.
Симптоматика
Обнаружение хрящевого экзостоза зачастую происходит случайно, поскольку образование нароста происходит безболезненно. Диагностируется костно-хрящевой экзостоз у детей:
- Во время профилактических осмотров;
- При пальпации или рентгеноскопии;
- В результате обследований в связи с другими заболеваниями.
О чем свидетельствует боль при развитии нароста на кости
- Возникновение болевого синдрома при экзостозной болезни у детей может сигнализировать о переходе заболевания в недоброкачественную форму.
- Болезненность проявляется при возникновении экзостоза коленного сустава. Образующийся на нижнем конце большеберцовой кости нарост нарушает структуру сустава изнутри.
Разгибающие мышцы колена сдавливаются и повреждаются увеличивающимся в размере новообразованием. Мениск смещается и препятствует нормальному функционированию сустава.
Чрезмерное увеличение нароста на кости может стать причиной разрыва суставной сумки или внутренних связок, что приводит к ограничению подвижности сочленения, образованию «ложного сустава» и возможной инвалидности.
- Болевые ощущения возникают при экзостозе позвоночника.
Разрастающееся образование, формирующееся на теле позвонка, сдавливает отходящий от спинного мозга нервный отросток, мешая прохождению импульсов по нему. Краевые экзостозы позвоночника опасны тем, что могут расти внутрь позвоночного канала и повреждать ствол спинного мозга.
Терапия народными средствами
Остеохондрома не поддается воздействию лекарственных препаратов. Целебные средства народной медицины также не вызывают сколько-нибудь заметного изменения в течении заболевания.
Лечение экзостоза народными средствами в целом сводится:
- К поддержанию организма в здоровом состоянии;
- Повышению эффективности работы иммунной системы;
- Нормализации гормонального фона на всех стадиях роста.
Нужно помнить, что использование различного рода компрессов, втираний и мазей может привести к перерождению болезни в раковую форму.
Предупредить возникновение костных наростов практически невозможно. Профилактические меры заключаются в регулярных обследованиях, особенно актуальных для детей в период формирования скелетных костей.
Взрослые люди должны наблюдать за своим организмом после серьезных травм трубчатых костей, чтобы вовремя обнаружить образующийся на месте перелома нарост.





